Abstract
RAS mutations arise at high frequency (20–40%) in both acute myeloid leukemia and myelodysplastic syndrome (which is considered to be a manifestation of preleukemic disease). In each case, mutations arise predominantly at the N-RAS locus. These observations suggest a fundamental role for this oncogene in leukemogenesis. However, despite its obvious significance, little is known of how this key oncogene may subvert the process of hematopoiesis in human cells. Using CD34+ progenitor cells, we have modeled the preleukemic state by infecting these cells with amphotropic retrovirus expressing mutant N-RAS together with the selectable marker gene lacZ. Expression of the lacZ gene product, β-galactosidase, allows direct identification and study of N-RAS–expressing cells by incubating infected cultures with a fluorogenic substrate for β-galactosidase, which gives rise to a fluorescent signal within the infected cells. By using multiparameter flow cytometry, we have studied the ability of CD34+ cells expressing mutant N-RAS to undergo erythroid differentiation induced by erythropoietin. By this means, we have found that erythroid progenitor cells expressing mutant N-RAS exhibit a proliferative defect resulting in an increased cell doubling time and a decrease in the proportion of cells in S + G2M phase of the cell cycle. This is linked to a slowing in the rate of differentiation as determined by comparative cell-surface marker analysis and ultimate failure of the differentiation program at the late-erythroblast stage of development. The dyserythropoiesis was also linked to an increased tendency of the RAS-expressing cells to undergo programmed cell death during their differentiation program. This erythroid lineage dysplasia recapitulates one of the most common features of myelodysplastic syndrome, and for the first time provides a causative link between mutational activation of N-RAS and the pathogenesis of preleukemia.
R AS proto-oncogenes (1) are a group of closely related genes (H-RAS, K-RAS, and N-RAS) that encode 21kD proteins, which function as molecular switches in signal transduction. RAS proteins transduce downstream signals when in the GTP-bound conformation, but are inactive when bound GTP is hydrolyzed to GDP by an intrinsic GTPase activity. A variety of extracellular stimuli result in the formation of RAS-GTP, in particular, many cytokines result in activation of RAS through stimulation of receptor tyrosine kinase activity (2, 3). Downstream signals are mediated through a number of target molecules including RAF kinases PI-3 kinase and MEK kinase-1, which have the ability to stimulate a wide array of biological responses from proliferation to cell death (4).
Before its significance as a signal transducer became known, RAS genes were identified as important oncogenes, occurring at high frequency across a wide range of malignancies (5). RAS oncogenes have mutations around codons 12 or 60 that result in proteins with greatly reduced GTPase activity and hence, proteins that are constitutively active signal transducers. Mutational activation of RAS genes is one of the most common abnormalities associated with hematological malignancy. The highest incidence in leukemia occurs in acute myeloid leukemia where ∼30% of patients have activated RAS genes (5). Mutations occur in N-RAS (mainly) or K-RAS, whereas H-RAS mutations are rarely detected. A similar frequency of RAS mutations are found in preleukemic syndromes, the incidence in myelodysplastic patients being in the range of 25–45% (6). 60% of these mutations involve G to A transitions at codon 12 or 13 of N-RAS, which usually results in the substitution of glycine for aspartic acid (7). In addition to mutation, other mechanisms of constitutive activation of RAS are also associated with hematological malignancy: constitutive upstream signals, e.g., from BCR-ABL (8); loss of negative regulator function, e.g., in neurofibromatosis patients (9); and overexpression of RAS which is common both in leukemia and preleukemia (10, 11).
The presence of high frequencies of RAS abnormalities in hematological malignancy, together with its role in growth factor signaling, provides abundant correlative evidence that RAS oncogenes play an important role in leukemogenesis. In addition, their prevalence in myelodysplasia also suggests that constitutive activation of RAS plays a role early in leukemogenesis. Myelodysplatic patients exhibit disorders of development of one or more of the hematopoietic lineages, although the erythroid lineage is most commonly affected (12–14). The disorder is clonal in origin and probably results from a defect at the stem cell level (15, 16). There is, however, little causative evidence that oncogenic RAS can disrupt normal hematopoiesis and give rise to the changes which are manifest in leukemia and preleukemia. To investigate the possible role of this oncogene as an initiating event in leukemogenesis, we have examined whether mutant N-RAS alone can affect the development potential of human progenitor cells. To study these cells throughout their development, we have used retroviral constructs expressing the reporter gene lacZ to identify single CD34+ cells expressing an N-RAS oncogene, and followed their subsequent differentiation and proliferation in response to erythropoietin (EPO)1 by using multiparameter flow cytometry. We show here, for the first time, that expression of mutant N-RAS in primary hematopoietic progenitor cells severely impairs their subsequent ability to undergo erythroid development.
Materials and Methods
Retroviral Vectors and Producer Lines.
The retroviral vectors were based on the myeloproliferative sarcoma virus (MPSV). MPSV containing the selectable marker lacZ was constructed by blunt cloning the bacterial lacZ gene as BamH1 fragment of pGH101 (ATCC 37480; American Type Culture Collection, Rockville, MD) into the env position of the MPSV plasmid pM7J (gift of Carol Stocking, Heinrich Pette Institute, Hamburg, Germany). Fulllength human N-RAS cDNA (containing a mutation in codon 12 resulting in glycine being substituted for aspartic acid) was excised with HindIII from GC61 (gift of Alan Hall, University College, London, U.K.). This was introduced by a second round of blunt cloning into the gag/pol position to create the double gene vector. The integrity of the construct DNA was checked by sequence analysis around the cloning sites. Retrovirus was generated by expressing these constructs in the ecotropic packaging line GP+E86 (gift of Dina Markovitz, Columbia University, New York). Virus from these cells was subsequently used to infect the corresponding amphotropic producer line GP+envAM12. High titre amphotropic producer clones, 154-3 (MPSV–lacZ) and 181-7 (MPSV– N-RAS-lacZ), were then selected, which gave titres of 1–5 × 105 infectious units per milliliter. Packaging lines were negative for helper virus as judged by the absence of transmissible virus from pure infected cultures of NIH3T3 and K562 cells (see below) and by the absence of amphotropic env sequences after PCR of DNA from these cell lines using the env-specific primers described previously (17).
Cell Culture and Infection.
The protocol described below involves a two-stage culture of CD34+ cells. First, these cells were cultured in the absence of EPO, including a period of co-cultivation with retroviral producer cells to allow infection to occur. Second, after enrichment of the infected cells, EPO was added to stimulate erythroid differentiation. This protocol is similar to one already described (18) and allows all stages of EPO-dependent erythroid maturation to be studied.
CD34+ cells were purified from mononuclear cells from neonatal cord blood using MiniMACS (Miltenyi Biotec, Camberley, U.K.) according to the manufacturer's instructions. These preparations were >95% CD34+. These cells were subsequently cultured at 2 × 105 cells/ml in IMDM containing 1% deionized bovine serum albumin fraction V (Sigma Chemical Co., Poole, U.K.), 20% FCS, 4.5 × 10−5M β-mercaptoethanol, 360 μg/ml of 30% iron-saturated human transferrin (Boehringer Mannheim Biochemical, Lewes, U.K.), 25 ng/ml IL-3, 50 ng/ml IL-6 (R&D Sys. Inc., Minneapolis, MN), and 50 ng/ml stem cell factor (SCF) (gift of Amgen Biologicals, Thousand Oaks, CA). After 40 h culture, these cells were seeded at 2 × 105 cells/ml onto preestablished monolayers of producer cells: 154-3, 181-7, and parental GP+envAM12. This gave rise to control-, N-RAS– and mock-infected cultures, respectively. Co-cultivation was carried out for 48 h in the presence of 4 μg/ml polybrene with an equal volume of fresh medium (as above) being added after 24 h. Nonadherent cells were then harvested and cultured in fresh medium for a further 48 h. These cells were then stained for β-galactosidase expression and infected cells enriched to 50–60% purity (as described below). After enrichment, cells were cultured at 2 × 105 cells/ml in IMDM as above but containing 5 ng/ml IL-3, 10 ng/ml IL-6, 20 ng/ml SCF, and 2 U/ml EPO (Boehringer Mannheim Biochemical). A subsequent culture was carried out in the same medium. Cell densities were maintained at 0.2–1.0 × 106 cells/ml. In some experiments, enriched cells were introduced into semisolid medium to assess colony formation as previously described (19). The concentration of growth factors for erythroid colony formation were as above. To assess granulocyte macrophage colony formation, granulocyte macrophage colony stimulating factor (5 ng/ml) was added in place of EPO.
To assess retroviral expression of N-RAS and to check for the absence of helper virus, the above retroviral producer lines were used to infect NIH3T3 and K562 cells. K562 cells were grown in RPMI medium containing 10% FCS and were infected by cocultivation as described above. Infection frequency of this cell line was 15–20%. NIH3T3 cells were grown in DMEM containing 10% newborn calf serum and were infected by exposure to 0.4-μm filtered retroviral supernatant. In each case, pure cultures of retrovirally infected cells were derived by carrying out two rounds of cell sorting for β-galactosidase positive cells as described below.
Cell Labeling and Flow Cytometry.
For cell sorting and all analyses except for cell cycle analysis, cells were initially stained for β-galactosidase expression as previously described (20). In brief, cells in culture medium were mixed with an equal volume of a 2 mM aqueous solution of the fluorogenic substrate, fluorescein di β-galactoside (FDG; Molecular Probes Inc., Eugene, OR) at 37°C for 60 s. Substrate loading was then stopped by adding a 20-fold excess of isotonic medium at 4°C. Substrate-loaded cells were then incubated for 16 h at 4°C before sorting or further labeling. Cells expressing β-galactosidase hydrolyze the nonfluorescent substrate, FDG, into the fluorescent compound fluorescein, which is retained within the cell at 4°C.
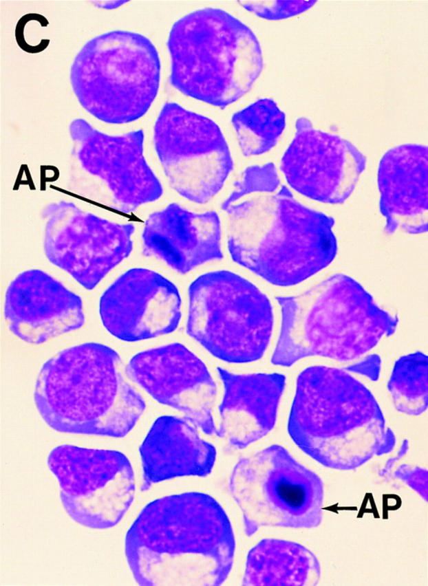
For fluorescence-activated cell sorting of cells directly after infection, cells were stained with FDG and propidium iodide (PI) at 1 μg/ml to stain membrane-damaged cells. Viable, PI negative, fluorescein-bright cells (5–10% of total) were enriched by using a FACS® 440 (Becton Dickinson, San Jose, CA) using standard filters for PI and fluorescein. The cells were kept ice-cold during this procedure. Stained, mock-infected cells were used to define the level of background fluorescence. Cells sorted for morphological assessment were sorted in the same way, except that yield was sacrificed to give purities of >85%. Sorted cells were subsequently kept on ice before cytospin preparation. Cells were stained with a modified Wright-Giemsa stain (Bayer, Newbury, U.K.). Cells clearly demonstrating a condensed nucleus were scored as apoptotic (see Fig. 10).
Figure 10.


Morphology of RAS-expressing erythroid cells. (A) Control-infected cells purified by cell sorting, (B–C) corresponding RAS-infected cells. PE, proerythroblast; IE, intermediate erythroblast; LE, late erythroblast; AP, apoptotic cell. Original magnification, ×1000.
For immunophenotyping, cells were subsequently kept ice-cold and stained with phycoerythrin-labeled monoclonal antibodies directed against the following antigens: CD34(clone 8G12), HLADR (L243), CD13 (L138), CD33 (P67.6) (all from Becton Dickinson), glycophorin A (D2.10; Immunotech, Marseille, France), and CD71 (RVS-10; Cymbus Bioscience, Southampton, U.K.). CD36 (FA6-152; Immunotech) was indirectly stained using anti–mouse phycoerythrin-labeled second antibody (DAKO, High Wycombe, U.K.). All stains were controlled with an appropriate isotypematched control reagent. Each incubation was carried out for 30 min on ice with antibodies being applied at the recommended concentrations. After staining, cells were resuspended in ice-cold medium containing 1 μg/ml 7-amino actinomycin D (7AAD; Molecular Probes, Inc.). Cells were analyzed on a FACScan® cytometer equipped with a single argon ion laser.
Cell cycle analysis was carried out by supravitally staining cultures with Hoechst 33342 (Molecular Probes, Inc.) at 5 μg/ml for 60 min under normal culture conditions. Cells were subsequently stained for β-galactosidase activity as described above. PI at 1 μg/ml was used to identify membrane-damaged cells. Cells were analyzed on a FACS® 440 dual laser cytometer. PI and Hoechst were excited by UV radiation and analyzed at 630 and 424 nm. Fluorescein was excited at 488 nm and analyzed at 513 nm. PI fluorescence from 488 excitation was excluded by temporal separation.
To determine the frequency of apoptotic cells within these cultures, cells stained for β-galactosidase activity were resuspended in DMEM and incubated on ice with biotinylated annexin V (Nexins Research, Hoeven, Netherlands) for 10 min at the recommended concentration. These cells were then washed and incubated with streptavidin phycoerythrin (DAKO) for 30 min on ice. After staining, cells were resuspended in ice-cold medium containing 1 μg/ml 7AAD and analyzed using a FACScan® cytometer.
Data Analysis.
Acquired data were analyzed using Lysys II (Becton Dickinson) and WinMDI (gift of Joe Trotter, Scripps Institute, La Jolla, CA). Cell cycle analysis was carried out using the pragmatic approach of Watson et al. (21). Copies can be obtained from CytonetUK http://www.cf.ac.uk/uwcm/hg/hoy/. Infected cultures contained mixed populations of infected and uninfected cells. Infected cells were identified as those exhibiting greater fluorescence than the equivalent mock-infected culture (see Fig. 2). The threshold of positivity was set such that >90% of the selected cells had fluorescence greater than the mock-infected control. Membrane-damaged cells were excluded from the analysis on the basis of strong staining with 7AAD or PI as appropriate. In this way, both infected and uninfected populations were analyzed by gating on β-galactosidase positive and negative cells, respectively.
Figure 2.
Expression of β-galactosidase after infection of CD34+ cells. Mock-infected cells (open histograms) indicate the threshold for positivity. These data represent β-galactosidase expression after a 3 d induction with EPO.
Analysis of the frequency of retroviral expression in control- and RAS-infected cells (see Fig. 3) was restricted to the erythroblast population by applying a forward scatter threshold; this was to eliminate loss of lacZ expression due to terminal differentiation (and enucleation) of control-infected cells. The percentage of cells demonstrating positive labeling for cell-surface markers was calculated by setting a threshold (>95% of cells) on equivalently gated cells stained with an isotype-matched control antibody. The percentage of cells demonstrating positive labeling for annexin V was calculated by setting a threshold (>99% of cells) on equivalently gated cells stained with streptavidin phycoerythrin only. In analysis of cell cycle data, the relative time spent in G1 and S + G2M was estimated on the basis that relative frequency of cells was proportional to the time spent in these phases; this assumes that all cells in the culture were cycling. Since analysis of the RAS-expressing cells showed only a relative increase in G1 phase, the increment in cell cycle time was calculated on the basis that time spent in synthesis and division was unaltered. Significance of difference was tested using the paired t test.
Figure 3.
Relative expansion of β-galactosidase positive cells after induction with EPO. The data have been normalized relative to expression after a 3 d induction with EPO. The mean of six separate experiments is shown; error bars indicate ± SD.
Northern Analysis.
To demonstrate coexpression of mutant N-RAS in hematopoietic cells infected with MPSV–N-RAS-lacZ retrovirus, total RNA from pure cultures of K562 cells expressing MPSV–N-RAS-lacZ were isolated using RNAzol (AMS Biotechnology, Witney, U.K.) according to the manufacturer's instructions. 20 μg of RNA was then loaded onto a 1% agarose formaldehyde gel. RNA from K562 cells infected with lacZ alone and 181-7 packaging line RNA were also loaded as controls. Northern blotting was carried out as previously described (22). The HindIII fragment of GC61 (see above) was used as a probe for N-RAS mRNA. The same membrane was subsequently reprobed with β-actin (Oncor Inc., Gaithersburg, MD). Fig. 1 demonstrates that K562 cells infected with MPSV-N-RAS-lacZ express moderate levels of N-RAS mRNA in comparison to the packaging line control. Due to the antiproliferative effect of mutant N-RAS on primary erythroblasts (see Results), we were unable to generate sufficient material to carry out Northern analysis to determine the average level of transduced N-RAS expression in these cultures.
Figure 1.
Northern analysis of N-RAS expression. Lane 1, 181-7 packaging line (positive control); lane 2, K562-lacZ cells; lane 3, K562-N-RAS-lacZ cells. The upper panel demonstrates the expression of the lacZ-N-RAS transcript of the expected size. The lower panel shows the same blot reprobed with β-actin.
Results
Expression of Mutant N-RAS in Erythroid Progenitors Induces an Antiproliferative Effect.
Fig. 2 illustrates β-galactosidase expression in control cells (expressing lacZ alone) and in RAS-infected cells (coexpressing mutant N-RAS and lacZ). By applying a threshold of positivity defined by an identically treated mock-infected culture, we were able to assess the relative proportion of infected cells in the culture. This enabled us to determine the relative expansion of the infected cells in relation to the uninfected cells throughout the subsequent culture period. Fig. 3 demonstrates that the relative expansion of control-infected erythroblasts was close to that of uninfected cells, demonstrating that there was stable expression of β-galactosidase in these cells and that expression of this selectable marker did not overtly affect their proliferative capacity. On the other hand, the proportion of RAS-infected erythroblasts rapidly declined, indicating that the effect of activated RAS on these cells was to reduce their overall proliferative rate in comparison with the nonexpressing cells within the same culture. This rate of decline appeared to be constant, since logarithmic transformation of these data yielded a linear plot (r = −0.9982). This allowed us to calculate that the effective doubling time of these cells was increased from 14.6 to 18.9 h, a 29% average increase over the time frame indicated. The cumulative effects of this increase resulted in the gradual disappearance of RAS-expressing cells from these cultures. A number of explanations could account for this observation: (a) cell cycle time (tc) is increased, (b) cell cycle is unaffected, but there is an increased rate of premature cell death, or (c) a combination of the above. To determine whether expression of mutant N-RAS caused perturbation of the normal cell cycle distribution, we supravitally stained these cultures for DNA content in combination with staining for β-galactosidase activity. Fig. 4 shows that the proportion of cells in cycle was indeed reduced in the RAS-expressing cells (43%) when compared with the control-infected cells (59%); P <0.001. Since these cultures contained mixed populations of infected and uninfected cells (as defined by β-galactosidase positivity), we were also able to analyze the cells not expressing mutant RAS within the same culture; this analysis effectively acts as an internal control. The proportion of cells in cycle in this population (57%) was effectively identical to the controls and demonstrates that the changes in cell cycle distribution were specific to the mutant RASexpressing cells within the culture. The most likely explanation for the observed decrease in the proportion of cells in S + G2M is that, on average, the RAS-expressing cells spent more time in the G1 phase of the cell cycle. If this is the case, the increased proportion in G1 could be accounted for by an overall increase in tc of 30% to 19 h. This value is close to the actual increased doubling time observed above and suggests that increase in cell cycle time alone could account for the decreased proliferative rate of these cells.
Figure 4.
Effect of mutant N-RAS expression on cell cycle distribution. Representative histograms are shown from one of four experiments. Filled histograms represent infected cells (β-galactosidase positive); open histograms show uninfected cells (β-galactosidase negative) within the same culture. Values indicate the proportion of cells in S + G2M ± SD. **P <0.001.
Mutant N-RAS–expressing Erythroblasts Show an Increased Tendency to Apoptose.
Since it has been reported that premature cell death by apoptosis is a feature of preleukemia (23–25), we investigated whether expression of mutant N-RAS had any effect on the tendency of erythroid cells to undergo apoptosis. The extent of apoptosis cannot be implied from cell cycle data (Fig. 4) since erythroid cells do not necessarily enter G0 before apoptosis (26). To circumvent this, we measured one of the earliest events associated with the apoptotic program, exposure of phosphatidyl serine (PS) at the cell surface using the PS probe, annexin V (27–30). This allows simultaneous identification of infected (β-galactosidase-positive) cells and estimation of the frequency of apoptosis. Fig. 5 demonstrates that after 5 d of culture with EPO, the frequency of apoptosis in RASexpressing cells was 1.7 times that detected in control-infected cells or in the uninfected cells within the same culture. Essentially identical results were obtained when these cultures were reanalyzed by this technique after 7 d (not shown). To confirm this result, we sorted lacZ-positive cells from both cultures and scored apoptotic frequency by morphological assessment. Again, the RAS-infected cells showed significantly enhanced levels of apoptosis (1.8 times the control). The overall levels of apoptosis were somewhat lower than indicated by using annexin V; however, this is probably accounted for by the fact that exposure of PS on the cell surface precedes the overt morphological changes associated with apoptosis (31).
Figure 5.
Frequency of apoptotic cells. (A) Frequency as defined by staining with annexin V. Infected and uninfected cells within each culture were separately analyzed; only RAS-expressing cells showed enhanced frequency of apoptotic cells (**P <0.001). (B) Frequency as defined by morphological assessment of infected cells (*P <0.05). In each case, the mean of four experiments is shown; error bars indicate ± SD.
Despite this enhanced level of programmed cell death, the overall proportion of apoptotic cells in the culture was too low to suggest that it greatly contributed to the reduced proliferative capacity of the RAS-expressing cells. These data support the fact that the most important antiproliferative effect of RAS appears to be mediated through increase in tc, most probably as a result of extension of G1.
Expression of Mutant N-RAS in CD34+ Cells Causes Aberrant Display of Developmental Markers.
The abnormalities in the proliferative status of mutant RAS-expressing erythroid cells led us to examine whether their developmental capacity was also affected. By following changes in cell-surface marker expression in these cultures, it is possible to monitor the differentiated status of these cells (32–35). Fig. 6 shows the phenotype of infected cells before induction of differentiation with erythropoietin. These data demonstrate that after infection, the cultures are predominantly CD34+ HLA-DR+ CD33+ which is characteristic of a mixed progenitor population. Approximately 50% of these cells were erythroid committed as defined by expression of a thrombospondin receptor (CD36). As would be expected from these EPO-deprived cultures, these cells were glycophorin A (gly A) negative (not shown). Expression of transferrin receptor CD71 was heterogeneous, with the majority of cells expressing intermediate levels of CD71. After 5 d of exposure to EPO, these cultures were morphologically and phenotypically (CD36+ and CD13−) almost exclusively erythroid as a result of relative expansion of this population under the influence of EPO (18). Fig. 7 shows that controlinfected cultures exhibited a loss or marked downregulation of cell-surface markers associated with primitive erythroid cells, i.e., were CD34− (not shown) and HLA-DRlo. Expression of CD33 also declines rapidly during early erythroid development (32), and this was also observed. At the same time, upregulation of markers associated with erythroid development occurred, with approximately half of the cells expressing gly A and nearly all cells expressing high levels of transferrin receptor CD71. This pattern of expression was essentially identical to mock-infected cells, demonstrating that retroviral infection and expression of β-galactosidase in these cells had not affected their ability to differentiate.
Figure 6.
Immunophenotypic analysis of cells before induction of differentiation with EPO. Representative histograms from one of four experiments are shown. Dashed histograms represent levels of control antibody staining. Mean percentage expression of each marker ± SD are indicated.
Figure 7.
Effect of mutant N-RAS expression on cell-surface markers. Representative histograms from one of at least four experiments are shown for each marker. Dashed histograms represent levels of control antibody staining. Mean percentage expression of each marker ± SD, or in the case of CD71 and CD36, mean fluorescence intensity ± SD are indicated. *significant difference P <0.05, **P <0.001.
In contrast, cells expressing the N-RAS oncogene demonstrated reduced or absent expression of gly A. CD71 expression was also abnormal in that a large proportion of the cells apparently failed to upregulate expression of transferrin receptor to the levels seen on control cells. In addition, markers associated with more immature cells were retained, with the RAS-transduced cells expressing significantly higher levels of HLA-DR and CD33. The absence of CD34+ expression on these cells, however, suggested that the early stages of differentiation had taken place. Again, these phenotypic abnormalities were specific to the mutant RAS-expressing cells, since the phenotype of the nonexpressing cells within the same culture was not significantly different than that of the controls.
Overall, these results suggest a block or attenuation in the capacity of these RAS-expressing cells to undergo erythroid differentiation. One possible explanation for these results is that the differentiation the RAS-expressing cells was merely delayed as a result of their increased doubling time. Since, on this basis, RAS-expressing cells could potentially have undergone two fewer divisions after 5 d of culture, we reanalyzed these cells after a further 48 h culture period. The results in Fig. 8 demonstrate that whereas expression of some markers (HLA-DR, CD33, gly A) recovered to the levels of day 5 control cells, other markers associated with erythroid differentiation remained aberrant; in particular, a large proportion of cells had still failed to upregulate CD71 expression to normal levels (P <0.05). Interestingly, this extra culture period was also associated with a significant decrease in expression of CD36 when compared to both days 5 and 7 control cells (P <0.05). Declining CD36 expression is a feature of the more advanced stages of erythroid maturation (34); therefore, in the context of this marker, RAS-expressing cells could be interpreted as being more mature than control cells. Thus, even taking into account a delay in differentiation (perhaps as a result of increased cell cycle time), the immunophenotype of the RAS-expressing erythroid cells remained aberrant.
Figure 8.
Immunophenotype of RAS-expressing cells compared with control values after 5- and 7-d induction with EPO. Open symbols, RAS-expressing cells after 5-d induction; closed symbols, RAS-expressing cells after 7-d induction. Expression levels have been normalized to that of control cells after 5-d induction with EPO (100%). Data are based on mean percentage expression in the case of HLA-DR, CD33, and gly A and mean fluorescence intensity in the case of CD71 and CD36. Means of at least three experiments are shown for each marker; error bars indicate SD.
Mutant N-RAS–expressing CD34+ Cells Fail to Develop into Late Erythroblasts.
To investigate whether, despite their phenotypic abnormalities, RAS-expressing erythroid cells can give rise to normal progeny by morphological criteria, we isolated β-galactosidase–positive cells by FACS® and compared the morphology of the control- and RAS-infected cells. Although by day 8 of induction with EPO, control cultures were already rich in mature progeny (not shown), we isolated infected cells after 10 d of culture to allow for a possible developmental delay of the RAS-expressing cells. Figs. 9 and 10 show that the control-infected cells exhibited a range of differentiated morphology, including late erythroblasts, after 10 d of culture. In contrast, virtually no late erythroblast morphology was observed in the RASexpressing population, indicating that even after prolonged culture, these cells are unable to generate viable late erythroblasts. In support of these data, we found that erythroid colony formation from cultures containing RAS-infected cells was consistently reduced (53% of control, P <0.001, n = 5) whereas there was no significant difference in granulocyte macrophage colony formation (P = 0.89). Given that these cultures were only 50–60% enriched for infected cells, it suggests a complete failure of erythroid colony formation under clonal conditions.
Figure 9.
Differential counts of erythroid morphology. RAS-infected cells (solid bars) and control-infected cells (open bars). Data show the mean of two experiments; error bars indicate ± SD. * significant difference P <0.05.
Discussion
We have studied the effect of an N-RAS oncogene as a single abnormality during erythroid differentiation. Perhaps the most surprising finding of this study is the antiproliferative effect induced by expression of mutant N-RAS. This was observed both as a decrease in the relative rate of proliferation and by a reduced proportion of cells in S phase relative to control cultures. This phenotype is at odds with the positive effect of mutant RAS expression on proliferation and alleviation of growth factor dependence indicated from work on hematopoietic cell lines (36, 37). However, these data are consistent with cell cycle analysis of more advanced stage myelodysplastic patients, which demonstrate reduced rates of cell cycle progression in the erythroid compartment (38–40). These data are also consistent with the reduced erythroid output observed in all subtypes of myelodysplasia (12–14). Recent evidence suggests, that reduced erythroid output in preleukemia patients may partly result from a block in precursor formation (41, 42) suggesting either that lineage decision making is affected, or that erythroid differentiation is blocked at a very early stage. From the results of this study, we cannot exclude the possibility that mutant RAS also affects lineage decision making, since the target population in this study consisted primarily of cells which were already lineage committed.
As might be expected, the antiproliferative effect was combined with developmental changes. This was observed both in the context of morphology and immunophenotyping data. Immunophenotypically, RAS-expressing cells tended to retain markers of relatively immature erythroid cells (CD33, HLA-DR) while expression of markers associated with later erythroid development (gly A) were largely absent. To some extent, this appeared to result from a delayed differentiation program since the aforementioned markers recovered to near normal levels after a further 48 h culture. This in itself would not be expected to yield abnormal progeny, since there appears to be a degree of flexibility in the cellular dynamics of erythroid development (43). However, not all markers attained normal levels of expression; transferrin receptor (CD71) expression remained low throughout the culture period and thrombospondin receptor (CD36) became aberrant in day 7 cultures. It is tempting to suggest that low CD71 expression may be a further manifestation of the reduced proliferative activity of these cells; however, CD71 expression is regulated differently in erythroid compared with nonerythroid cells, and there is no relationship between CD71 expression and proliferative status, particularly during the later stages of development (35, 44). More significantly, there is an absolute requirement for transferrin for normal development for erythroid cells (44). Therefore, the abnormal regulation of CD71 may, in part, explain their subsequent failure to complete differentiation. Morphological analysis demonstrated that even after extended culture, RAS-expressing erythroid cells were unable to generate viable late erythroblasts. The block in development was also supported by colony formation data. Thus the antiproliferative effect of mutant N-RAS appears to be combined with an ultimate block in differentiation.
The consequences of such a block depend on the subsequent fate of the expressing cell; either the cell could continue to proliferate without further differentiation, or the failure to successfully complete the differentiation program would trigger apoptosis. We found no evidence of continued proliferation of RAS-expressing erythroid cells within these cultures. However, we were able to demonstrate an increased frequency of apoptotic cells within the RASexpressing population. Overall, these data suggest that mutant N-RAS–expressing erythroblasts undergo apoptosis rather than complete erythroid differentiation. This scenario again has parallels in the pathogenesis of preleukemia, where a number of investigators have recently reported increased frequencies of apoptotic cells in myelodysplastic marrow (23–25).
Decreased cell proliferation combined with increased frequency of apoptosis suggests an impairment of signaling from growth factor receptors. EPO is known to be important in driving proliferation and preventing apoptosis (45–47), while SCF has a synergistic effect on erythroid output (48); indeed SCF receptor (R) may directly stimulate EPO-R (49). However, using specific monoclonal antibodies to EPO-R and SCF-R, we have found no reduction in the level of receptor expression on the RAS-expressing cells (data not shown). Loss of expression of EPO-R and SCF-R, likewise does not explain the reduced responsiveness of preleukemia cells to these growth factors (50).
The most likely interpretation of these results is that constitutive activation of N-RAS transduces an antiproliferative signal in erythroblasts, and there is indirect evidence to support this. The role of RAS in growth factor receptor signaling has been dissected by creating COOH-terminal– deleted receptor molecules which fail to activate RAS. Such mutations of EPO-R expressed in cell lines have failed to demonstrate any mitogenic role of RAS in EPO-R signaling (51). Moreover, genetically acquired COOH-truncations of EPO-R lead to erythrocytosis and hypersensitivity to EPO (52). These data are therefore consistent with the results presented here, namely, that constitutive activation of RAS does not mediate a mitogenic signal for erythroblasts. Indeed, our results suggest that constitutively activated RAS antagonizes both the mitogenic effects of EPO and its ability to protect against apoptosis. A potential mechanism by which activated RAS could mediate such an effect may involve the phosphotyrosine phosphatase, SHP-1. SHP-1 has been shown to dephosphorylate EPO-activated JAK2, and this is thought to be important for the downmodulation of signals generated by activated EPO-R (53). Since it has also been demonstrated that SHP-1 can become activated in a RAS-GTP–dependent manner (54), there is a possible link between activation of RAS and suppression of cytokine signaling. Such a mechanism is also supported by the observation that inactivating mutations of SHP-1 as found in “motheaten” mice (55) result in hypersensitivity to EPO (56).
In contrast, the ability of mutant RAS to block erythroid maturation does not appear to involve changes to EPO signaling per se, since we have recently shown that RAS oncogenes also inhibit erythroid development in erythroleukemia cells, which differentiate in response to low molecular weight inducers (Zaker, F., R.L. Darley, and A.K. Burnett, manuscript submitted). It is also unlikely that RAS-expressing erythroid cells secreted a factor that antagonized their development such as TGF-β (57) or TNF-α (58), since the nonexpressing cells within the same culture proliferated and differentiated normally (although such a factor acting at an exclusively autocrine level cannot be ruled out). On the other hand, mutant N-RAS may affect the activity of erythroid transcription factors as does inappropriate expression of the Evi-1 gene. This gene is activated by translocations which are found at low frequency in both leukemia and preleukemia (59–61). Expression of this gene in cells with erythroid potential blocks their development through a mechanism which appears to involve repression of the transcriptional properties of GATA-1 (62).
The effects of mutant RAS expression in erythroid cells provide an interesting counterpoint to its effect on monocytic differentiation. A number of hematopoietic cell lines undergo spontaneous monocytic differentiation in response to mutant RAS expression (37, 63; Darley, R.L., unpublished observations) and transgenic mouse experiments also indicate an important role for the RAS protooncogene in monocytic development (64). Furthermore, antisense experiments have shown that N-RAS expression is required for monocytopoiesis, but is not required throughout erythroid differentiation of human CD34+ cells (65); therefore, RAS may play fundamentally different roles in the development of these lineages.
In conclusion, the failure to generate functionally mature hematopoietic cells is a key feature of leukemia and preleukemia. These results demonstrate that activation of N-RAS alone is capable of eliciting such a change. Furthermore, from a number of aspects, these changes mimic the pathology of preleukemia and therefore, for the first time, provide a causative link between the activation of N-RAS and the pathogenesis of this disease. Finally, we have also demonstrated the feasibility of studying, in detail, the effects of a retrovirally introduced transgene in single human progenitor cells and in their differentiated progeny. We hope that this methodology will help to further our understanding of the role of RAS and other putative oncogenes in leukemogenesis.
Acknowledgments
We would like to thank Lorna Pearn, Janet Fisher, and Sarah Phillips for technical assistance and Alison May for critically reading this manuscript.
This work was supported by the Leukemia Research Fund.
Footnotes
1 Abbreviations used in this paper: 7AAD, 7-amino actinomycin D; EPO, erythropoietin; FDG, fluorescein di β-galactosidase; gly A, glycophorin A; MPSV, myeloproliferative sarcoma virus; PI, propidium iodide; PS, phosphatidyl serine; R, receptor; SCF, stem cell factor; tc, cell cycle time.
References
- 1.Barbacid M. Ras genes. Annu Rev Biochem. 1987;56:779–827. doi: 10.1146/annurev.bi.56.070187.004023. [DOI] [PubMed] [Google Scholar]
- 2.Satoh T, Nakafuku M, Miyajima A, Kaziro Y. Involvement of ras p21 protein in signal-transduction pathways from interleukin-2, interleukin-3, and granulocyte macrophage colony–stimulating factor, but not from interleukin4. Proc Natl Acad Sci USA. 1991;88:3314–3318. doi: 10.1073/pnas.88.8.3314. [DOI] [PMC free article] [PubMed] [Google Scholar]
- 3.Torti M, Marti KB, Altschuler D, Yamamoto K, Lapetina EG. Erythropoietin induces p21(ras) activation and p120GAP tyrosine phosphorylation in human erythroleukemia-cells. J Biol Chem. 1992;267:8293–8298. [PubMed] [Google Scholar]
- 4.Marshall MS. Ras target proteins in eukaryotic cells. FASEB J. 1995;9:1311–1318. doi: 10.1096/fasebj.9.13.7557021. [DOI] [PubMed] [Google Scholar]
- 5.Kiaris H, Spandidos DA. Mutations of rasgenes in human tumours. Int J Oncol. 1995;7:413–421. [PubMed] [Google Scholar]
- 6.Bartram CR. Molecular genetic aspects of myelodysplastic syndromes. Hematol Oncol Clin N Am. 1992;6:557–570. [PubMed] [Google Scholar]
- 7.Parker J, Mufti GJ. Ras and myelodysplasia: lessons from the last decade. Semin Hematol. 1996;33:206–224. [PubMed] [Google Scholar]
- 8.Goga A, McLaughlin J, Afar DEH, Saffran DC, Witte ON. Alternative signals to RAS for haematopoietic transformation by BCR-ABL oncogene. Cell. 1995;82:981–988. doi: 10.1016/0092-8674(95)90277-5. [DOI] [PubMed] [Google Scholar]
- 9.Kaira R, Paderanga DC, Olson K, Shannon KM. Genetic analysis is consistant with the hypothesis that NF-1limits myeloid cell growth through p21ras. Blood. 1995;84:3435–3439. [PubMed] [Google Scholar]
- 10.Shen WPV, Aldrich TH, Venta-Perez G, Franza BR, Furth ME. Expression of normal and mutant rasproteins in human acute leukaemia. Oncogene. 1987;1:157–165. [PubMed] [Google Scholar]
- 11.Gallagher AG, Padua RA, Alsabah A, Burnett AK, Darley RL. Overexpression of p21RAS but not p120GAP is a common feature of myelodysplasia. Leukemia (Basingstoke) 1995;9:1833–1840. [PubMed] [Google Scholar]
- 12.May SJ, Smith SA, Jacobs A, Williams A, Baileywood R. The myelodysplastic syndrome: analysis of laboratory characteristics in relation to the FAB classification. Br J Haematol. 1985;59:311–319. doi: 10.1111/j.1365-2141.1985.tb02996.x. [DOI] [PubMed] [Google Scholar]
- 13.Ruutu T, Partenen S, Lintula R, Teerenhovi L, Knuutila S. Erythroid and granulocyte-macrophage colony formation in myelodysplastic syndromes. Scand J Haematol. 1984;32:395–402. doi: 10.1111/j.1600-0609.1984.tb00695.x. [DOI] [PubMed] [Google Scholar]
- 14.Chui DHK, Clarke BJ. Abnormal erythroid progenitor cells in human preleukemia. Blood. 1982;60:362–367. [PubMed] [Google Scholar]
- 15.Janssen JWG, Buschle M, Layton M, Drexler HG, Lyons J, Vandenberghe H, Heimpel H, Kubanek B, Kleihauer E, Mufti GJ, Bartram CR. Clonal analysis of myelodysplastic syndromes: evidence of multipotent stem-cell origin. Blood. 1989;73:248–254. [PubMed] [Google Scholar]
- 16.Gallagher, A.G., R.L. Darley, and R.A. Padua. 1997. The molecular basis of myelodysplastic syndrome. Haematologica. In press. [PubMed]
- 17.Kiem HP, Darovsky B, Vonkalle C, Goehle S, Stewart D, Graham T, Hackman R, Appelbaum FR, Deeg HJ, Miller AD, et al. Retrovirus-mediated gene transduction into canine peripheral-blood repopulating cells. Blood. 1994;83:1467–1473. [PubMed] [Google Scholar]
- 18.Fibach E, Rachmilewitz EA. The 2-step liquid culture: a novel procedure for studying maturation of human normal and pathological erythroid precursors. Stem Cells. 1993;11:36–41. doi: 10.1002/stem.5530110608. [DOI] [PubMed] [Google Scholar]
- 19.Baines P, Truran L, Baileywood R, Hoy T, Lake H, Poynton CH, Burnett A. Hematopoietic colonyforming cells from peripheral-blood stem-cell harvests: cytokine requirements and lineage potential. Br J Haematol. 1994;88:472–480. doi: 10.1111/j.1365-2141.1994.tb05062.x. [DOI] [PubMed] [Google Scholar]
- 20.Nolan GP, Fiering S, Nicolas JF, Herzenberg LA. Fluorescence-activated cell analysis and sorting of viable mammalian cells based on beta-d-galactosidase activity after transduction of Escherichia coli lacZ. . Proc Natl Acad Sci USA. 1988;85:2603–2607. doi: 10.1073/pnas.85.8.2603. [DOI] [PMC free article] [PubMed] [Google Scholar]
- 21.Watson JV, Chambers SH, Smith PJ. A pragmatic approach to the analysis of DNA histograms with a definable G1 peak. Cytometry. 1987;8:1–8. doi: 10.1002/cyto.990080101. [DOI] [PubMed] [Google Scholar]
- 22.Sambrook, J., E.F. Fritsch, and T. Maniatis. 1989. Molecular Cloning: A Laboratory Manual Cold Spring Harbor Laboratory, Cold Spring Harbor, NY. 7.43–7.50.
- 23.Raza A, Gezer S, Mundle S, Gao XZ, Alvi S, Borok R, Rifkin S, Iftikhar A, Shetty V, Parcharidou A, et al. Apoptosis in bone-marrow biopsy samples involving stromal and hematopoietic-cells in 50 patients with myelodysplastic syndromes. Blood. 1995;86:268–276. [PubMed] [Google Scholar]
- 24.Di Stefano, M., A. Cortelezzi, B. Sarina, S. Giannini, M. Pomati, I. Silvestris, C. Cattaneo, R. Calori, G.L. Gornati, and A.T. Maiolo. 1996. Evidence of apoptosis in myelodysplastic syndromes (MDS): involvement of the BCL2 protooncogene. Br. J. Haematol. 93:587. (Abstr.)
- 25.Kouraklis, A., P. Tsoplou, A. Symeonidis, V. Orphanos, and N. Zoumbos. 1996. The clinical-significance or apoptosis in the marrow of patients with primary myelodysplastic syndromes (MDS). Br. J. Haematol. 93:263. (Abstr.)
- 26.Kelley LL, Green WF, Hicks GG, Bondurant MC, Koury MJ, Ruley HE. Apoptosis in erythroid progenitors deprived of erythropoietin occurs during G(1)- phase and S-phase of the cell-cycle without growth arrest or stabilization of wild-type p53. Mol Cell Biol. 1994;14:4183–4192. doi: 10.1128/mcb.14.6.4183. [DOI] [PMC free article] [PubMed] [Google Scholar]
- 27.Martin SJ, Reutelingsperger CPM, Mcgahon AJ, Rader JA, Vanschie RCAA, Laface DM, Green DR. Early redistribution of plasma-membrane phosphatidylserine is a general feature of apoptosis regardless of the initiating stimulus: inhibition by overexpression of BCL-2 and ABL. J Exp Med. 1995;182:1545–1556. doi: 10.1084/jem.182.5.1545. [DOI] [PMC free article] [PubMed] [Google Scholar]
- 28.Homburg CHE, Dehaas M, Vondemborne AEGK, Verhoeven AJ, Reutelingsperger CPM, Roos D. Human neutrophils lose their surface Fc-gamma-RIII and acquire annexin-V binding-sites during apoptosis in vitro. Blood. 1995;85:532–540. [PubMed] [Google Scholar]
- 29.Vermes I, Haanen C, Steffensnakken H, Reutelingsperger C. A novel assay for apoptosis: flow cytometric detection of phosphatidylserine expression on early apoptotic cells using fluorescein-labeled annexin-V. J Immunol Methods. 1995;184:39–51. doi: 10.1016/0022-1759(95)00072-i. [DOI] [PubMed] [Google Scholar]
- 30.Koopman G, Reutelingsperger CP, Kuijten GA, Keehnen RM, Pals ST, van Oers MH. Annexin V for flow cytometric detection of phosphatidylserine expression on B cells undergoing apoptosis. Blood. 1994;84:1415–1420. [PubMed] [Google Scholar]
- 31.Vanengeland M, Ramaekers FCS, Schutte B, Reutelingsperger CPM. A novel assay to measure loss of plasmamembrane asymmetry during apoptosis of adherent cells in culture. Cytometry. 1996;24:131–139. doi: 10.1002/(SICI)1097-0320(19960601)24:2<131::AID-CYTO5>3.0.CO;2-M. [DOI] [PubMed] [Google Scholar]
- 32.Kansas GS, Muirhead MJ, Dailey MO. Expression of the CD11/CD18, leukocyte adhesion molecule1, and CD44 adhesion molecules during normal myeloid and erythroid-differentiation in humans. Blood. 1990;76:2483–2492. [PubMed] [Google Scholar]
- 33.Loken MR, Shah VO, Dattilio KL, Civin CI. Flow cytometric analysis of human-bone marrow. I. Normal erythroid development. Blood. 1987;69:255–263. [PubMed] [Google Scholar]
- 34.Okumura N, Tsuji K, Nakahata T. Changes in cell-surface antigen expressions during proliferation and differentiation of human erythroid progenitors. Blood. 1992;80:642–650. [PubMed] [Google Scholar]
- 35.Shintani N, Kohgo Y, Kato J, Kondo H, Fujikawa K, Miyazaki E, Niitsu Y. Expression and extracellular release of transferrin receptors during peripheral erythroid progenitor-cell differentiation in liquid culture. Blood. 1994;83:1209–1215. [PubMed] [Google Scholar]
- 36.Andrejauskas E, Moroni C. Reversible abrogation of IL-3 dependence by an inducible H-RASoncogene. EMBO (Eur Mol Biol Organ) J. 1989;8:2575–2581. doi: 10.1002/j.1460-2075.1989.tb08396.x. [DOI] [PMC free article] [PubMed] [Google Scholar]
- 37.Maher J, Baker D, Dibb N, Roberts I. Mutant ras promotes haemopoietic cell proliferation or differentiation in a cell-specific manner. Leukemia (Basingstoke) 1996;10:83–90. [PubMed] [Google Scholar]
- 38.Jones BM, White AD, Culligan DJ, Jacobs A. Cell-cycle progression rates and sister chromatid exchange frequencies in the bone marrow of patients with myelodysplastic syndrome and acute myeloid leukemia. Cancer Genet Cytogenet. 1992;62:66–69. doi: 10.1016/0165-4608(92)90041-6. [DOI] [PubMed] [Google Scholar]
- 39.Montecucco C, Riccardi A, Traversi E, Giordano P, Mazzini G, Ascari E. Proliferative activity of bone marrow cells in primary dymyelopoietic (preleukaemic) syndromes. Cancer (Phila) 1983;52:1190–1195. doi: 10.1002/1097-0142(19831001)52:7<1190::aid-cncr2820520711>3.0.co;2-r. [DOI] [PubMed] [Google Scholar]
- 40.Jensen IM, Hokland M, Hokland P. A quantitative-evaluation of erythropoiesis in myelodysplastic syndromes using multiparameter flow-cytometry. Leuk Res. 1993;17:839–846. doi: 10.1016/0145-2126(93)90149-f. [DOI] [PubMed] [Google Scholar]
- 41.Sawada K, Sato N, Notoya A, Tarumi T, Hirayama S, Takano H, Koizumi K, Yasukouchi T, Yamaguchi M, Koike T. Proliferation and differentiation of myelodysplastic CD34+ cells: phenotypic subpopulations of marrow CD34+cells. Blood. 1995;85:194–202. [PubMed] [Google Scholar]
- 42.Backx B, Broeders L, Touw I, Lowenberg B. Blast colony-forming cells in myelodysplastic syndrome: decreased potential to generate erythroid precursors. Leukemia (Baltimore) 1993;7:75–79. [PubMed] [Google Scholar]
- 43.Papayannopoulou, T., and J. Abkowitz. 1991. Biology of erythropoiesis, erythroid differentiation, and maturation. In Haematology, Basic Principles and Practice. R. Hoffman, editor. Churchill-Livingstone, Inc., New York. 252–263.
- 44.Ponka P, Schulman HM. Regulation of hemebiosynthesis: distinct regulatory features in erythroid-cells. Stem Cells. 1993;11:24–35. doi: 10.1002/stem.5530110607. [DOI] [PubMed] [Google Scholar]
- 45.Nijhof W, Dehaan G, Pietens J, Dontje B. Mechanistic options of erythropoietin-stimulated erythropoiesis. Exp Hematol. 1995;23:369–375. [PubMed] [Google Scholar]
- 46.Wu H, Liu X, Jaenisch R, Lodish HF. Generation of committed erythroid BFU-E and CFU-E progenitors does not require erythropoietin or the erythropoietin receptor. Cell. 1995;83:59–67. doi: 10.1016/0092-8674(95)90234-1. [DOI] [PubMed] [Google Scholar]
- 47.Koury MJ, Bondurant MC. Erythropoietin retards DNA breakdown and prevents programmed death in erythroid progenitor cells. Science (Wash DC) 1990;248:378–381. doi: 10.1126/science.2326648. [DOI] [PubMed] [Google Scholar]
- 48.Muta K, Krantz SB, Bondurant MC, Dai CH. Stem-cell factor retards differentiation of normal human erythroid progenitor cells while stimulating proliferation. Blood. 1995;86:572–580. [PubMed] [Google Scholar]
- 49.Wu H, Klingmuller U, Besmer P, Lodish HF. Interaction of the erythropoietin and stem-cell-factor receptors. Nature (Lond) 1995;377:242–246. doi: 10.1038/377242a0. [DOI] [PubMed] [Google Scholar]
- 50.Backx B, Broeders L, Hoefsloot LH, Wognum B, Lowenberg B. Erythropoiesis in myelodysplastic syndrome: expression of receptors for erythropoietin and kit-ligand. Leukemia (Baltimore) 1996;10:466–472. [PubMed] [Google Scholar]
- 51.Miura Y, Miura O, Ihle JN, Aoki N. Activation of the mitogen-activated protein-kinase pathway by the erythropoietin receptor. J Biol Chem. 1994;269:29962–29969. [PubMed] [Google Scholar]
- 52.Delachapelle A, Traskelin AL, Juvonen E. Truncated erythropoietin receptor causes dominantly inherited benign human erythrocytosis. Proc Natl Acad Sci USA. 1993;90:4495–4499. doi: 10.1073/pnas.90.10.4495. [DOI] [PMC free article] [PubMed] [Google Scholar]
- 53.Klingmuller U, Lorenz U, Cantley LC, Neel BG, Lodish HF. Specific recruitment of SH-PTP1 to the erythropoietin receptor causes inactivation of JAK2 and termination of proliferative signals. Cell. 1995;80:729–738. doi: 10.1016/0092-8674(95)90351-8. [DOI] [PubMed] [Google Scholar]
- 54.Krautwald S, Buscher D, Kummer V, Buder S, Baccarini M. Involvement of the protein-tyrosine-phosphatase SHP-1 in ras-mediated activation of the mitogenactivated protein-kinase pathway. Mol Cell Biol. 1996;16:5955–5963. doi: 10.1128/mcb.16.11.5955. [DOI] [PMC free article] [PubMed] [Google Scholar]
- 55.Tsui HW, Siminovitch KA, Desouza L, Tsui FWL. Moth-eaten and viable moth-eaten mice have mutations in the hematopoietic-cell phosphatase gene. Nat Genet. 1993;4:124–129. doi: 10.1038/ng0693-124. [DOI] [PubMed] [Google Scholar]
- 56.van Zant G, Shultz L. Hematologic abnormalities of the immunodeficient mouse mutant, viable motheaten (mev) Exp Haematol (Charlottesv) 1989;17:81–87. [PubMed] [Google Scholar]
- 57.Dybedal I, Jacobsen SEW. Transforming growth-factor-beta (TGF-beta), a potent inhibitor of erythropoiesis-neutralizing TGF-beta antibodies show erythropoietin as a potent stimulator of murine burst-forming unit erythroid colony formation in the absence of a burst-promoting activity. Blood. 1995;86:949–957. [PubMed] [Google Scholar]
- 58.Rusten LS, Jacobsen SEW. Tumor-necrosisfactor (TNF)-alpha directly inhibits human erythropoiesis invitro: role of p55 and p75 TNF receptors. Blood. 1995;85:989–996. [PubMed] [Google Scholar]
- 59.Morishita K, Parganas E, Willman CL, Whittaker MH, Drabkin H, Oval J, Taetle R, Valentine MB, Ihle JN. Activation of Evi1 gene-expression in human acute myelogenous leukemias by translocations spanning 300– 400 kilobases on chromosome band-3q26. Proc Natl Acad Sci USA. 1992;89:3937–3941. doi: 10.1073/pnas.89.9.3937. [DOI] [PMC free article] [PubMed] [Google Scholar]
- 60.Fichelson S, Dreyfus F, Berger R, Melle J, Bastard C, Miclea JM, Gisselbrecht S. Evi-1 expression in leukemic patients with rearrangements of the 3q25-q28 chromosomal region. Leukemia (Basingstoke) 1992;6:93–99. [PubMed] [Google Scholar]
- 61.Bellomo MJ, Parlier V, Muhlematter D, Grob JP, Beris P. 3 new cases of chromosome-3 rearrangement in band-q21 and band-q26 with abnormal thrombopoiesis bring further evidence to the existence of a 3q21q26-syndrome. Cancer Genet Cytogenet. 1992;59:138–160. doi: 10.1016/0165-4608(92)90208-p. [DOI] [PubMed] [Google Scholar]
- 62.Kreider BL, Orkin SH, Ihle JN. Loss of erythropoietin responsiveness in erythroid progenitors due to expression of the Evi-1 myeloid-transforming gene. Proc Natl Acad Sci USA. 1993;90:6454–6458. doi: 10.1073/pnas.90.14.6454. [DOI] [PMC free article] [PubMed] [Google Scholar]
- 63.Hibi S, Lohler J, Friel J, Stocking C, Ostertag W. Induction of monocytic differentiation and tumorigenicity by v-Ha-ras in differentiation-arrested haematopoietic cells. Blood. 1993;81:1841–1848. [PubMed] [Google Scholar]
- 64.Jin DI, Jameson SB, Reddy MA, Schenkman D, Ostrowski MC. Alterations in differentiation and behavior of monocytic phagocytes in transgenic mice that express dominant suppressors of rassignaling. Mol Cell Biol. 1995;15:693–703. doi: 10.1128/mcb.15.2.693. [DOI] [PMC free article] [PubMed] [Google Scholar]
- 65.Skorski T, Szczylik C, Ratajczak MZ, Malaguarnera L, Gewirtz AM, Calabretta B. Growth factor– dependent inhibition of normal hematopoiesis by N-rasantisense oligodeoxynucleotides. J Exp Med. 1992;175:743–750. doi: 10.1084/jem.175.3.743. [DOI] [PMC free article] [PubMed] [Google Scholar]










