Abstract
The herpes simplex virus (HSV) immediate early protein ICP47 inhibits the transporter associated with antigen processing (TAP)-dependent peptide translocation. As a consequence, empty major histocompatibility complex (MHC) class I molecules are retained in the endoplasmic reticulum and recognition of HSV-infected cells by cytotoxic T lymphocytes is abolished. We chemically synthesized full-length ICP47 (sICP47) and show that sICP47 inhibits TAP-dependent peptide translocation in human cells. Its biological activity is indistinguishable from that of recombinant ICP47 (rICP47). By using synthetic peptides, we mapped the core sequence of ICP47 minimally required for TAP inhibition to residues 2–35. This segment is located within the region of the molecule conserved between ICP47 from HSV-1 and HSV-2. Through alanine scanning substitution we identified three segments within this region that are critical for the ability to inhibit TAP function. The interaction of ICP47 with TAP is unlikely to mimic precisely that of the transported peptides, as deduced from differential labeling of the TAP1 and TAP2 subunits using sICP47 fragments with chemical cross-linkers.
The MHC-encoded transporter associated with antigen processing (TAP)1 connects the cytosol with the lumen of the endoplasmic reticulum (ER) to allow loading of MHC class I molecules with cytosolic peptides for presentation to CTL (1–3). This MHC class I–restricted pathway is critical for elimination of most virus infections. TAP, a key component of this pathway, is blocked specifically by the herpes simplex virus (HSV) protein ICP47, a blockade that allows escape from eradication by CTL (4, 5). TAP is a member of the ATP-binding cassette (ABC) family of transporters, which includes the cystic fibrosis transmembrane conductance regulator (CFTR) and the multidrug resistance transporter (MDR) (6). To date, ICP47 is the only known natural inhibitor of a member of the ABC transporter family. A better understanding of the mode of interaction between ICP47 and TAP is relevant not only for learning more about viral evasion strategies, but could also inspire the design of inhibitors for other members of the ABC transporter family.
ICP47 of HSV-1 is an 87–amino acid cytosolic polypeptide, 88 residues if the initiation methionine is included. It binds to the TAP1–TAP2 heterodimer in human but not in mouse cells and prevents transport of peptides through blockade of the peptide binding site of TAP (7, 8). As a consequence, MHC class I molecules fail to be loaded with peptides. The resultant empty class I molecules are retained in the ER and presentation of epitopes to CTL is abolished in HSV-infected human cells (4, 5).
The affinity of the human TAP–ICP47 interaction has been estimated to be around 50 nM (9, 10). The ability of ICP47 to prevent photocross-linking of peptides to TAP indicated that ICP47 prohibited peptide binding to TAP (9). Furthermore, the kinetics of competition between peptide and ICP47 for binding to TAP indicate that ICP47 and peptide may compete for a single binding site (9, 10). While suggestive, these experiments cannot readily distinguish between a conformational distortion of TAP caused by ICP47, or a direct competition for the binding site.
Here, we have used chemical synthesis to make fulllength ICP47, as well as NH2- and COOH-terminally truncated versions and alanine-substituted peptide analogues. We show that the ability of ICP47 to inhibit TAP lies within the NH2-terminal half of the molecule, which is highly conserved between ICP47 from HSV-1 and HSV-2. We present evidence that the mechanism of interaction of ICP47 with the TAP heterodimer likely differs from that of its peptide substrates.
Materials and Methods
Synthesis and Purification of ICP47 and Truncations.
The peptides used in this study were synthesized on a multiple peptide synthesizer (model 350; Advanced Chemtech, Louisville, KY) by Fmoc chemistry or on an ABI (Applied Biosystems, Inc., Foster City, CA) peptide synthesizer (model 430A) by Tboc chemistry and purified by fast performance liquid chromatography (FPLC) on a Sephacryl 100 column or by reverse-phase HPLC on a C18 column. Their composition was verified by amino acid analysis and also by mass spectrometry for full-length ICP47. Quantitation was carried out by amino acid analysis or optical density measurement. 4′-(Trifluoromethyl–diazirinyl)-phenylalanine (Tpa) (11) was coupled to peptide 1–35 (1–35 Tpa) during synthesis by using its Fmoc derivative.
Antibodies.
Anti-TAP antiserum was raised against the TAP1 COOH-terminal domain (12) and the anti-ICP47 antiserum against a COOH-terminal peptide of ICP47 (7).
DNA Sequence of the ICP47 Gene from HSV-2.
A KpnI– HindIII fragment (8,477 bp) of HSV-2 strain HG52 genomic DNA was cloned into pUC19, and fragments obtained by sonication then subcloned into M13mp8 for sequence determination by chain terminator methods. The sequence comprised adjoining parts of the short unique and short repeat regions of the genome, including the gene for ICP47 (US12), and will be submitted to the EMBL Library as part of the whole genomic sequence of HSV-2 (Dolan, A., and D.J. McGeoch, unpublished observations).
Peptide Translocation Assay.
Peptide translocation was performed esentially as described (7). In brief, cells were washed twice with transport buffer (130 mM KCl, 10 mM NaCl, 1 mM CaCl2, 2 mM EGTA, 2 mM MgCl 2, 5 mM Hepes [pH 7.3] with KOH) at 4°C and then permeabilized (107 cells/ml) in transport buffer containing 2 U/ml of streptolysin O (SLO) (bioMérieux, Marcyl'Etoile, France) for 10 min at 37°C. Permeabilization was assessed by Trypan blue exclusion. Permeabilized cells (106 cells/ sample in Eppendorf tubes) were incubated for 10 min at 37°C with 10 μl of the radioiodinated peptide library (13) and 10 μl of ATP generating system (50 μM ATP, 250 μM UTP, 2.5 mM creatine phosphate, and 8 U creatine phosphokinase; Sigma Chemical Co., St. Louis, MO) in a total volume of 100 μl at 37°C. When indicated, synthetic ICP47 was added to the translocation mixture in a volume of 10 μl. Peptide translocation was terminated by adding 1 ml of ice-cold stop buffer (transport buffer plus 10 mM EDTA, 0.02% Na azide). Samples were centrifuged at 14,000 rpm, supernatant was removed, and 1 ml of ice-cold lysis buffer (0.5% NP-40, 5 mM MgCl 2, 50 mM Tris–HCl [pH 7.5]) added. After 20 min, debris was removed by centrifugation at 14,000 rpm and the supernatant incubated with gentle agitation for 1 h with 100 μl of Con A–Sepharose beads (Pharmacia, Uppsala, Sweden) at 4°C. Beads were washed three times with lysis buffer and radioactivity quantitated by γ counting.
Metabolic Labeling and Immunoprecipitation.
TK143 human fibroblasts (American Type Culture Collection, Rockville, MD) and Ft1+ mouse embryonic fibroblasts (gift from L. van Kaer, Howard Hughes Medical Institute, Vanderbilt University School of Medicine, Nashville, TN) were infected with a recombinant vaccinia virus expressing human TAP1+TAP2 (7) at a multiplicity of infection of 10. 1 h after infection, medium was removed and cells were labeled overnight with [35S]methionine/cysteine. Cells were lysed in NP-40 lysis buffer (0.5% NP-40, 50 mM Tris–HCl [pH 7.2], 5 mM MgCl2) and immunoprecipitations were performed as described (14). Immune complexes were recovered on Staphylococcus aureus (Staph A) protein A and washed four times with NET buffer (50 mM Tris–HCl [pH 7.4], 0.5% NP-40, 150 mM NaCl, 5 mM EDTA) and analyzed by SDSPAGE on 10% or 12.5% gels.
Gel Electrophoresis.
SDS-PAGE and fluorography were performed as described (15).
Peptide Iodination.
Peptides were iodinated by the chloramine T method as described (16).
Cross-linking Assays.
TK143 cells infected with vaccinia virus expressing human TAP1+2 in the conditions above described were permeabilized with SLO as previously defined. 5 × 106 cells were resuspended in 200 μl of transport buffer and incubated with 100 μl of 125I-labeled 1–35 Tpa or 1–35 polypeptide for 5 min on ice. Cross-linking was induced by irradiation with long-wave UV lamp (Fotoprep I, 120 V, 60 Hz; Fotodyne, New Berlin, WI) for 5 min on ice (17). Cells were then lysed and immunoprecipitations were performed as described (14).
Results and Discussion
Biochemical and Functional Analysis of Synthetic ICP47-1.
An 87-amino acid polypeptide corresponding to ICP47 from HSV-1 (strain 17) without the initiating methionine was synthesized on a solid phase support, the substitution grade of which had been reduced to facilitate synthesis of longer peptides. Nor-leucine was substituted for methionine at positions 6 and 14 to avoid oxidation of these residues during HF cleavage and workup of the synthetic product, and lysine was substituted for arginine at the COOH terminus to facilitate future chemical modifications. Synthetic ICP47 (sICP47) eluted as a single major peak in gel chromatography on a Sephacryl 100 matrix, showing a Gaussian distribution with a Stokes radius corresponding to a molecular weight of 19,000 for a globular protein (Fig. 1 A). We conclude that sICP47 (molecular weight 9,598) does not behave as a monomeric globular protein in aqueous solution, but rather like an unfolded polypeptide chain. Fractions were pooled and analyzed by SDS-PAGE on 15% gels. The results are consistent with a single major species of the predicted molecular weight but with lower molecular weight contaminants clearly visible (data not shown). Mass spectrometry revealed that the major product was of predicted molecular weight, but again, the broad range of masses observed indicated substantial heterogeneity, as expected for an 87-residue synthetic product.
Figure 1.
Synthetic ICP47 has identical biological activity to recombinant ICP47. (A) Elution profile of synthetic ICP47 on a Sephacryl 100 column (48 cm × 1 cm) equilibrated with 150 mM NaHCO3, 10 mM NaCl, pH 8.5. The elution profile of sICP47 is shown along with the calibration graph for molecular weight standards (BSA 66,000, OVA 44,000, carbonic anhydrase 30,000, RNAse 13,700 and cytochrome C 12,300). Kav is plotted against the logarithm of the molecular weight. Kav = (Ve − Vo) / (Vt − Vo), where Ve represents the elution volume of the sample, Vo the void volume, and Vt the total volume. (B) The human lymphoblastoid cell line Hom2 was permeabilized using SLO and incubated with synthetic or recombinant ICP47-1 at the concentrations indicated, and with the 125I-labeled peptide library for 10 min at 37°C as described in Materials and Methods. Results represent the amount of radiolabeled, glycosylated peptides recovered with Con A–Sepharose. Synthetic ICP47 (sICP47) (closed symbols) inhibits TAP function with the same efficacy as recombinant ICP47 (rICP47) (open symbols). (C) Hom2 cells were incubated with the 125I-labeled peptide library for 10 min at 37°C for the times indicated and with 5 μM recombinant or synthetic ICP47 either treated with trypsin for 30 min at 37°C or not treated. Radioactivity associated with Con A–Sepharose is counted. Trypsin destroys the biological activity of both synthetic and recombinant ICP47. (D) Hom2 cells were incubated with the 125I-labeled peptide library for 10 min at 37°C and with various concentrations of synthetic ICP47 unheated (open squares) or heated to 95°C for 30 min and then slowcooled (open circles) or snapcooled (closed squares). Results in A, B, and C are the mean of duplicates ± SD.
The biological activity of sICP47 was compared with that of recombinant ICP47 (rICP47) in a TAP-dependent peptide transport assay in semi-intact human lymphoblastoid cells (Fig. 1 B). In this assay, the inhibitory activity of sICP47 and rICP47 was indistinguishable. Both preparations inhibit human TAP, with 50% inhibition seen at approximately 0.2 μM. As with rICP47, the activity of sICP47 is destroyed by proteolysis with trypsin (Fig. 1 C) but not by boiling sICP47 for 30 min (Fig. 1 D) (10). We examined the ability of sICP47 to inhibit TAP-dependent peptide transport in mouse cells. As observed for rICP47 (9, 10), sICP47 was unable to block murine TAP at concentrations up to 10 μM (data not shown). We conclude that the biological activity of sICP47 is indeed attributable to the protein itself, and not to some other nonpeptide product that might have persisted after gel filtration.
Solid-phase synthesis of ICP47 is thus a practical proposition, and because the polypeptide is not exposed to proteases during purification, yields a product that is more stable than rICP47. The purity of the resultant product is adequate for quantitative functional studies. Additionally, the ability to synthesize variants of the molecule rapidly makes truncation and mutagenesis studies simple to perform.
Amino Acid Sequence of ICP47 from HSV-2 Reveals Homology Only in the NH2-terminal Region (Residues 1–54) of the Molecule.
Both HSV-1 and HSV-2 inhibit TAP function and cause retention of MHC class I molecules in the ER (5). The sequence of the US12 gene (which encodes ICP47) from HSV-2 (strain HG52) was determined. The coding sequence for HSV-2 ICP47 was compared with its HSV-1 counterpart (18, 19). The HSV-2 ICP47 gene contains 86 codons. As shown in Fig. 2 A, the DNA sequences are similar over most of their length, except that in or around codon 59 in the HSV-1 sequence there is a 13-bp deletion relative to the HSV-2 sequence; that is, there is an apparent frameshift. Upstream of this location the encoded amino acid sequences are closely similar (Fig. 2 B), downstream the amino acid sequences are distinct, and the predicted translation termination sites do not coincide. Both HSV-1 and HSV-2 DNA sequences were carefully checked and no errors were found. Therefore, we consider that the DNA sequence determination and our interpretation are correct, and that a frameshift mutation (that occurred in either HSV-1 or HSV-2) has been tolerated, presumably because the COOH-terminal region of ICP47 is not functionally important. This view is consistent with studies on the two proteins, including results in this paper.
Figure 2.

Comparison of the ICP47 gene and protein sequences of HSV-1 and HSV-2. (A) Alignment of coding sequences of the HSV-1 and HSV-2 (US12) genes. The ICP47 coding sequences of HSV-1 (top line) and HSV-2 (bottom line) are shown from initiator ATG to translation stop codon (TGA in each case), with identical aligned residues marked by vertical lines. (B) Amino acid sequence comparison of ICP47 from HSV-2 and HSV-1. Regions of identical aligned sequence are boxed.
Recombinant ICP47 from HSV-2 (rICP47-2) inhibited human TAP with the same efficiency as did sICP47-1 (data not shown). The preservation of biological activity between the two molecules, despite an apparent frameshift mutation, suggests that it is the NH2-terminal region of the molecule that interacts with TAP and that the COOH terminus is not essential for activity.
Definition of the Core Region of ICP47 Responsible for TAP Inhibition and Lack of Requirement for a Free α NH2 Group.
A 53-mer polypeptide (1–53) containing the NH2-terminal region of ICP47 from HSV-1, highly conserved between ICP47-1 and ICP47-2, was synthesized along with shorter polypeptides lacking the NH2-terminal 4 or 9 residues. Titration of these products in a TAP-dependent assay showed that ICP47-1–53 had activity identical to the full-length molecule. However, removal of residues 1–4 profoundly diminished activity (Fig. 3 A). Another synthesis was performed in which NH2-terminal residues from the 1–53 polypeptide were progressively deleted. At 3.3-μM concentration, only peptide 2–53 showed the same inhibitory activity as full-length sICP47 (Fig. 3 B). Further peptides were made with progressive deletions from the COOH terminus. Fig. 3 C shows that a peptide corresponding to residues 1–35 had identical inhibitory activity to the full-length molecule, whereas shorter peptides were ineffective in blocking TAP. Thus, we conclude that residues 2–35 contain the core region responsible for TAP inhibition. Interestingly, the longer peptide 1–40 did not inhibit effectively, perhaps due to an unfavorable conformation adopted by this peptide in solution, a possibility that has not yet been fully explored. Next, an alanine scan was performed in which each nonalanine residue in peptide 1–35 was replaced by an alanine. The concentration of inhibitor peptides was chosen such that for wild-type 1–35 polypeptide full inhibition had just been reached (3.3 μM). Any loss of inhibitory activity should now be discernible as an increase in peptide transport. This experiment was performed not so much to determine half-maximal inhibitory concentrations of each of the substituted peptides, but to identify those regions of ICP47-1–35 most likely to determine biological activity. Fig. 3 D shows the ability of these peptides to inhibit peptide transport. Three regions (A, 8–12; B, 17–24; and C, 28– 31) appear important for the ability to inhibit TAP, with segment 17–24 showing the least tolerance of alanine substitution at any residue, with the exception of position 20.
Figure 3.

Synthetic peptides map the core region of ICP47-1 responsible for TAP inhibition to a segment between amino acids 2 and 35. Peptide translocation was assayed in the human cell line Hmy2.C1R using the 125I-radiolabeled peptide library as translocated substrate. Results are means of duplicates ± SD. (A) The activity of full-length synthetic ICP47 (open squares) was compared with that of the polypeptides containing residues 1-53 (open circles), 5-53 (closed squares), and 10-53 (closed circles) at the concentrations indicated. (B) Inhibition of peptide translocation by sICP47 is compared with that of synthetic 1–53 polypeptide with progressive truncations from the NH2-terminal residues at 3.3 μM concentration. (C) The ability of sICP47 (open symbols) to block peptide transport was compared with that of peptides with progressive truncations at its COOH terminus (closed symbols) at the concentrations indicated. (D) An alanine scan was performed by replacing each single residue in the polypeptide 1–35 with alanine, except residues 3, 7, and 22 which are alanine in the original ICP47 sequence. The ability of each of these alanine analogues at a concentration of 3.3 μM to inhibit TAP function was tested in a transport assay. Positions conserved between ICP47-1 and ICP47-2 are in bold. Results represent percent peptide transport remaining in the presence of ICP47 alanine analogues. 100% refers to transport in the absence of inhibitors. The amino acid sequence of 1–35 polypeptide is shown. (E) Acetylation of sICP47 has no effect on its biological activity. The ability of 1–53 polypeptide (open symbols) to inhibit TAP function was compared with that of its N-acetylated version (closed symbols) at the concentrations indicated.
Finally, we note that transport of peptides by TAP cannot be competed by NH2-terminal acetylation of the peptide substrate (20). Because of the importance of the NH2terminal region of ICP47 to its ability to inhibit TAP, and because ICP47 and transportable peptides compete for the same binding site (9, 10), we tested whether N-acetylation of ICP47 would inhibit its function. ICP47-1–53 was N-acetylated on the resin before cleavage and deprotection. N-acetylation had no effect on the ability of ICP471–53 to inhibit TAP (Fig. 3 E).
Short peptides used at a similar concentration to the IC50 for ICP47 can act effectively as competitors for transport of peptides by TAP (21). Therefore, the question arises as to whether the truncations of ICP47 act to inhibit TAP by the same mechanism as the full-length molecule, or simply serve as competitive inhibitors. We believe that the mechanism is distinct from simple competitive inhibition because (a) a series of peptides all terminating in residue 53, and from 9 to 50 residues in length failed to inhibit (Fig. 3 B); (b) results from other laboratories, using peptides of ∼30 amino acids long as competitive inhibitors of TAP, suggest that pepides of this length generally bind poorly to the peptide binding site of TAP (22); (c) the fact that N-acetylation affects transport of peptide substrates (20), but not the ability of ICP47 to prevent transport; and (d) the inability of ICP47 to inhibit mouse TAP (9, 10) all argue for distinct modes of action.
The TAP Complex Coimmunoprecipitates with Synthetic ICP47.
The TAP1–TAP2 heterodimer coprecipitates with ICP47 in cells infected with a recombinant adenovirus expressing ICP47 (7) or stably transfected with ICP47 (8). To determine whether the TAP complex could be coprecipitated with sICP47, sICP47 was introduced into semi-intact mouse fibroblasts that had been infected with a vaccinia vector expressing human TAP1+2 and then metabolically labeled. Immunoprecipitations with the appropriate antibodies revealed abundant synthesis of the TAP heterodimer. The cells were permeabilized with SLO, incubated with sICP47 for 10 min, and immunoprecipitated with an antiserum against ICP47. TAP1 and TAP2 indeed coprecipitated with sICP47 (Fig. 4 A). More TAP was recovered after a 10 min incubation at 37°C than at 4°C, presumably reflecting a shorter equilibration time at the higher temperature. Permeabilization and incubation with sICP47 of the semi-intact cells in PBS rather than the normal K+-based intracellular transport buffer did not affect the coprecipitation of TAP (data not shown).
Figure 4.
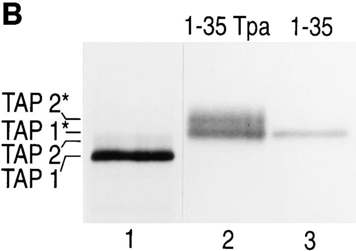
Synthetic ICP47 forms a complex with the TAP1 and TAP2 heterodimer. (A) Mouse Ft1+ fibroblasts were infected with a recombinant vaccinia virus expressing human TAP1+2 for 1 h and then labeled with [35S]methionine/cysteine overnight. SLO-permeabilized cells were incubated for 10 min with synthetic ICP47 either at 4°C or 37°C, lysed, and immunoprecipitated either with an antiTAP1 or with an anti-ICP47 antiserum. Samples were analyzed by 12.5% SDS-PAGE and fluorography. The anti-ICP47 antiserum nonspecifically precipitates a protein with a mobility identical to that of the TAP1 subunit. (B) Cross-linking with 1–35 Tpa results in labeling both TAP subunits, whereas only TAP1 subunit is labeled with 1–35 polypeptide labeled at Tyr 21. TK143 human fibroblasts were infected with a recombinant vaccinia virus expressing human TAP1+2. Cells were permeabilized with SLO and incubated for 5 min on ice either with 125I-radiolabeled 1–35 Tpa (lane 2) or with 125I-radiolabeled Tyr21 1–35 polypeptide (lane 3). Cross-linking was induced by exposure to long wave UV light for 5 min on ice. After lysis in 0.5% NP-40 lysis buffer, samples were immunoprecipitated with an anti-TAP1 antiserum. As a control, TK143 cells infected with vaccinia virus expressing TAP1+2 were metabolically labeled with [35S]methionine/cysteine and immunoprecipitated with the same anti-TAP1 antiserum (lane 1). Samples were analyzed by 10% SDS-PAGE and fluorography. The position of migration of TAP1 and TAP2 was established based on the mobility of [35S]methionine/ cysteine–labeled samples. The increase in size observed for the cross-linked products is due to the covalent attachment of the 125I-labeled 1–35 fragment. (C) Model of ICP47–TAP interaction. The NH2 terminus of ICP47 contacts both TAP subunits, whereas residue 21 (Y21) binds only to TAP1 subunit. Likely, the COOH-terminal half of ICP47 does not interact with TAP.
Photocross-linking of ICP47-1–35 to TAP.
To determine whether the 1–35 polypeptide has the same ability as the full-length sICP47 to interact with the TAP complex, a cross-linkable 1–35-mer polypeptide was synthesized by coupling the UV photoactivable phenylalanine analogue Tpa to its NH2 terminus (1–35 Tpa). The ability to assign the length of the active core of ICP47 to residues 1–35 makes the synthesis of the photoactivable analogue feasible. This analogue also blocks TAP function, although less efficiently than the unmodified 1–35 polypeptide (data not shown). Although peptide substrates containing Tpa are translocated normally by TAP (17), it is likely, given the importance of the NH2-terminal region of ICP47 to its function, that Tpa modification renders the molecule less effective in blocking TAP.
Permeabilized human TK143 fibroblasts infected with a recombinant vaccinia virus expressing human TAP1+2 were incubated with 125I-labeled 1–35 Tpa. Both TAP1 and TAP2 subunits were photolabeled with 1–35 Tpa crosslinkable polypeptide with similar efficacy (Fig. 4 B).
Small polypeptides labeled with 125I at Tyr residues can often be cross-linked to its receptor. While the chemistry underlying this reaction is not known, it is a highly effective way of cross-linking epidermal growth factor (EGF) to its receptor (23). We explored a similar strategy for 125I-Tyr21 labeled 1–35 polypeptide. We observed that only TAP1 crosslinks with this 125I-labeled Tyr21 1–35 polypeptide (Fig. 4 B).
ICP47 inhibits TAP function by binding to a site in TAP that includes both subunits and overlaps the peptide binding domain (9, 10). Because the NH2 terminus of ICP47 interacts with both TAP1 and TAP2 as deduced from crosslinking with 1–35 Tpa, we suggest that ICP47 must contact spatially close cytosolic domains in both subunits to allow residue Y21 in ICP47, where 125I-labeled moiety is attached, to interact with TAP1 subunit (Fig. 4 C). Residue 21 and adjoining residues (17–24) are particularly intolerant of alanine substitution (see Fig. 3 D), emphasizing the involvement of this region of ICP47 in binding and inhibition of TAP function.
The results presented here show that (a) residues 2–35 contain the core region responsible for TAP inhibition and that (b) within this sequence, subregions are rather intolerant of amino acid substitutions, suggesting that local conformation or specific local interactions may be necessary for TAP inhibition. Thus, the distal frameshift between ICP47 coding sequences of ICP47 from HSV-1 and HSV-2 is tolerated, presumably because the COOH-terminal one-third of the molecule is not functionally important. Of interest is the fact that the sequence most highly conserved between ICP47-1 and ICP47-2, between residues 33 and 47, lies largely outside the region we have mapped as essential for blockade of TAP. We assume that this region has been conserved because it is important perhaps for the stability of ICP47 inside the cell. Alternatively, this region may interact with TAP outside the peptide binding area and account for the prolonged association between TAP and ICP47 (10). As our assay involves the near simultaneous addition of ICP47 and reporter peptide, we would not have detected an alteration in the stability of the ICP47–TAP interaction. However, we do note that the interaction of peptide substrate with TAP has two distinct phases: binding occurs regardless of the presence of ATP. Binding of ATP to TAP then results in either transport of peptide or its rapid dissociation from TAP (24). ICP47 is not transported and avoids this ATP-induced dissociation (9, 10). We suggest that interactions with TAP outside the peptide binding site may be important for this stability. Mapping these sites should facilitate the design of better inhibitors for TAP and might perhaps be useful for identification or design of inhibitors of other members of the ABC transporter family.
Acknowledgments
We thank Dr. D.C. Johnson for providing recombinant ICP47 of HSV-2, and Dr. J. Yewdell for making available recombinant vaccinia virus expressing human TAP1+2.
This work was supported by the National Institutes of Health (NIH; Grant No. ROIAI33456). Begoña Galocha is a fellow of Ministerio de Educación y Ciencia, Spain.
Footnotes
1 Abbreviations used in this paper: ABC, ATP-binding cassette; CFTR, cystic fibrosis transmembrane conductance regulator; EGF, epidermal growth factor; ER, endoplasmic reticulum; FPLC, fast performance liquid chromatography; HSV, herpes simplex virus; MDR, multidrug resistance transporter; SLO, strepolysin O; TAP, transporter associated with antigen processing; Tpa, 4′-(Trifluoromethyl–diazirinyl)-phenylalanine.
References
- 1.Androlewicz MJ, Anderson KS, Cresswell P. Evidence that transporters associated with antigen processing translocate a major histocompatibility complex class I–binding peptide into the endoplasmic reticulum in an ATPdependent manner. Proc Natl Acad Sci USA. 1993;90:9130–9134. doi: 10.1073/pnas.90.19.9130. [DOI] [PMC free article] [PubMed] [Google Scholar]
- 2.Neefjes JJ, Momburg F, Hämmerling GJ. Selective and ATP-dependent translocation of peptides by the MHC-encoded transporter. Science (Wash DC) 1993;261:769–771. doi: 10.1126/science.8342042. [DOI] [PubMed] [Google Scholar]
- 3.Shepherd JC, Schumacher TNM, Ashton-Rickardt PG, Imaeda S, Ploegh HL, Janeway CA, Tonegawa S. TAP1-dependent peptide translocation in vitrois ATP-dependent and selective. Cell. 1993;74:577–584. doi: 10.1016/0092-8674(93)80058-m. [DOI] [PubMed] [Google Scholar]
- 4.York IA, Roop C, Andrews DW, Riddell SR, Graham FL, Johnson DC. A cytosolic Herpes simplex protein inhibits antigen presentation to CD8+T lymphocytes. Cell. 1994;77:525–535. doi: 10.1016/0092-8674(94)90215-1. [DOI] [PubMed] [Google Scholar]
- 5.Hill AB, Barnett BC, McMichael AJ, McGeoch DJ. HLA class I molecules are not transported to the cell surface in cells infected with Herpes simplex virus types 1 and 2. J Immunol. 1994;152:2736–2741. [PubMed] [Google Scholar]
- 6.Higgins CF. ABC transporters: from microorganisms to man. Annu Rev Cell Biol. 1992;8:67–113. doi: 10.1146/annurev.cb.08.110192.000435. [DOI] [PubMed] [Google Scholar]
- 7.Hill A, Jugovic P, York I, Ruus G, Bennink J, Yewdell J, Ploegh H, Johnson D. Herpes simplex virus turns off the TAP to evade host immunity. Nature (Lond) 1995;375:411–415. doi: 10.1038/375411a0. [DOI] [PubMed] [Google Scholar]
- 8.Früh K, Ahn K, Djaballah H, Sempé P, van Endert PM, Tampé R, Peterson PA, Yang Y. A viral inhibitor of peptide transporters for antigen presentation. Nature (Lond) 1995;375:415–418. doi: 10.1038/375415a0. [DOI] [PubMed] [Google Scholar]
- 9.Ahn K, Meyer TH, Uebel S, Sempé P, Djaballah H, Yang Y, Peterson PA, Früh K, Tampé R. Molecular mechanism and species specificity of TAP inhibition by herpes simplex virus protein ICP47. EMBO (Eur Mol Biol Organ) J. 1996;15:3247–3255. [PMC free article] [PubMed] [Google Scholar]
- 10.Tomazin R, Hill AB, Jugovic P, York I, van Endert P, Ploegh HL, Andrews DW, Johnson DC. Stable binding of the herpes simplex virus ICP47 protein to the peptide binding site of TAP. EMBO (Eur Mol Biol Organ) J. 1996;15:3256–3266. [PMC free article] [PubMed] [Google Scholar]
- 11.Brunner J. New photolabeling and crosslinking methods. Annu Rev Biochem. 1993;62:483–514. doi: 10.1146/annurev.bi.62.070193.002411. [DOI] [PubMed] [Google Scholar]
- 12.Cromme FV, Airey J, Heemels M-T, Ploegh HL, Keating PJ, Stern PL, Meijer CJLM, Walboomers JMM. Loss of transporter protein, encoded by the TAP-1 gene, is highly correlated with loss of HLA expression in cervical carcinomas. J Exp Med. 1994;179:335–340. doi: 10.1084/jem.179.1.335. [DOI] [PMC free article] [PubMed] [Google Scholar]
- 13.Schumacher TNM, Kantesaria DV, Serreze DV, Roopenian DC, Ploegh HL. Transporters from H-2b, H-2d, H-2s, H-2k, and H-2g7(NOD/Lt) haplotype translocate similar sets of peptides. Proc Natl Acad Sci USA. 1994;91:13004–13008. doi: 10.1073/pnas.91.26.13004. [DOI] [PMC free article] [PubMed] [Google Scholar]
- 14.Beersma MFC, Bijlmakers MJE, Ploegh HL. Human cytomegalovirus down-regulates HLA class I expression by reducing the stability of class I H chains. J Immunol. 1993;151:4455–4464. [PubMed] [Google Scholar]
- 15.Ploegh, H.L. 1995. One-dimensional isoelectric focusing of proteins in slab gels. In Current Protocols in Protein Science. J.E. Coligan, B.M. Dunn, H.L. Ploegh, D.W. Speicher, and P.T. Wingfield, editors. John Wiley & Sons, New York. 10.2.1–10.2.8. [DOI] [PubMed]
- 16.Hunter WM, Greenwood FC. Preparation of iodine-131 labelled growth hormone of high specific activity. Nature (Lond) 1962;194:495–496. doi: 10.1038/194495a0. [DOI] [PubMed] [Google Scholar]
- 17.Nijenhuis M, Schmitt S, Armendola EA, Obst R, Brunner J, Hammerling GJ. Identification of a contact region for peptide on the TAP1 chain of the transporter associated with antigen processing. J Immunol. 1996;156:2186–2195. [PubMed] [Google Scholar]
- 18.Rixon FJ, McGeoch DJ. A 3′ co-terminal family of mRNAs from the herpes simplex virus type 1 short region: two overlapping reading frames encode unrelated polypeptides one of which has a highly reiterated amino acid sequence. Nucleic Acids Res. 1984;12:2473–2487. doi: 10.1093/nar/12.5.2473. [DOI] [PMC free article] [PubMed] [Google Scholar]
- 19.McGeoch DJ, Dolan A, Donald S, Rixon FJ. Sequence determination of genetic content of the short unique region in the genome of herpes simplex virus type 1. J Mol Biol. 1985;181:1–13. doi: 10.1016/0022-2836(85)90320-1. [DOI] [PubMed] [Google Scholar]
- 20.Schumacher TNM, Kantesaria DV, Heemels M-T, Ashton-Rickardt PG, Shepherd JC, Früh K, Yang Y, Peterson PA, Tonegawa S, Ploegh HL. Peptide length and sequence specificity of the mouse TAP1/TAP2 translocator. J Exp Med. 1994;179:533–540. doi: 10.1084/jem.179.2.533. [DOI] [PMC free article] [PubMed] [Google Scholar]
- 21.van Endert PM, Tampé R, Meyer TH, Tisch R, Bach J-F, McDevitt HO. A sequential model for peptide binding and transport by the transporters associated with antigen processing. Immunity. 1994;1:491–500. doi: 10.1016/1074-7613(94)90091-4. [DOI] [PubMed] [Google Scholar]
- 22.Androlewicz MJ, Cresswell P. Human transporters associated with antigen processing possess a promiscuous peptide-binding site. Immunity. 1994;1:7–14. doi: 10.1016/1074-7613(94)90004-3. [DOI] [PubMed] [Google Scholar]
- 23.Verheijden GF, Verlaan I, van Iersel MJ, Moolenaar WH. Second messenger modulation of epidermal growth factor receptor function does not occur at the level of receptor dimerization. Biochem J. 1990;271:215–221. doi: 10.1042/bj2710215. [DOI] [PMC free article] [PubMed] [Google Scholar]
- 24.Heemels M-T, Ploegh HL. Generation, translocation, and presentation of MHC class I–restricted peptides. Annu Rev Biochem. 1995;64:463–491. doi: 10.1146/annurev.bi.64.070195.002335. [DOI] [PubMed] [Google Scholar]







