Abstract
Ulnar lengthening is an accepted modality of treatment to achieve joint levelling in Kienbock’s disease. The conventional method of ulnar lengthening with a plate and bone graft is fraught with complications including graft site morbidity, non-union, hardware removal and difficulty in the achievement of a proper length. We used a Umex distractor to achieve distraction osteogenesis in a group of 12 patients and assessed them over an average follow-up period of 29.5 months. We had one excellent, ten good and one fair result. We conclude that distraction osteogenesis addresses all the complications of coventional lengthening in addition to providing an increase in the local blood supply, which might be beneficial in a disease that is primarily an avascular necrosis. This procedure addresses both the biomechanical and the biological aspects of this disease.
Résumé
L’allongement du cubitus est un traitement habituel pour obtenir l’élargissement de l’interligne articulaire dans la maladie de Kienbock. La méthode conventionnelle avec greffe et fixation par plaque est obéré par des complications comme la morbidité du prélèvement, la non consolidation, la difficulté de régler la longueur et la nécessité d’ablation du matériel. Nous avons utilisé un distracteur Umex pour faire une ostéogénèse en distraction chez 12 patients étudiés avec un recul moyen de 29,5 mois. Il y avait un résultat excellent, dix bons et un moyen. Nous concluons que la distraction évite les complications habituelles de l’allongement et, en outre, augmente la vascularisation locale ce qui peut être bénéfique dans cette maladie qui est une nécrose avasculaire.
Introduction
Kienbock’s disease is an affliction of the lunate leading to chronic debilitating pain and loss of function in the wrists of young productive patients. The disease is manifested by avascular necrosis and subsequent disintegration of the lunate. Despite the recognition of this disease entity for the past 70 years, its cause is still debated [1].
Various factors have been blamed, including vascular and skeletal variations combined with trauma or repetitive loading [6, 16].
Treatment options include immobilisation, radial shortening or ulnar lengthening, intercarpal fusion, vascular bone grafting and prosthetic replacement [2, 17]. All these procedures address either the biological or the biomechanical aspects of causation in isolation.
The relationship between a short ulna and the development of avascular necrosis of the lunate has been established by several studies [3, 5, 6, 13, 14, 23]. Theoretically, a short ulna causes increased shear forces on the ulnar side of the wrist and part of the lunate.
Among the joint levelling procedures, ulnar lengthening is less popular due to the possibility of non-union at the osteotomy site, graft site morbidity, requirement of a second operation for the removal of the implant and difficulty in controlling the lengthening to an exact point.
Ilizarov discovered a number of biological regularities that encourage both the repetitive and formative processes of regeneration and growth, not only of bone tissue, but also of soft tissue in diseased locomotor systems [8]. According to him, angiogenesis accompanying distraction osteogenesis has remarkable clinical applications [8, 9].
In this study, we applied the principles of distraction osteogenesis to achieve ulnar lengthening to address the biomechanical and biological aspects of Kienbock’s disease simultaneously while reducing the quantum of surgery.
Materials and methods
From April 2001 to June 2005, 19 patients with Kienbock’s disease were treated with an ulnar lengthening procedure in the Department of Orthopaedics, Bone and Joint Hospital. Twelve patients underwent the procedure of distraction osteogenesis after the pros and the cons of the procedure had been explained to them. Permission for the study was sought from the hospital study and review board. All 12 cases were assessed and the findings recorded.
Assessment and surgical procedure
All the patients were diagnosed as having Kienbock’s disease on the preliminary radiographs and clinical assessment. We then followed the criteria laid down by Palmer et al. in taking standard postero-anterior and lateral radiographs with the shoulder abducted 90 degrees and the elbow flexed to 90 degrees, keeping the wrist in a neutral position. The ulnar variance was measured and recorded by the concentric circle method [19]. The carpal height ratio was calculated by dividing the height of the lunate and capitate by the length of the third metacarpal.
The lunate bone was observed for the presence of cysts and sclerosis. The disease was staged on the basis of the radiographs as per Litchman [17]. The 12 patients who had stage 3 disease combined with a contributory ulnar negativity were included in the study.
Under general anesthesia, a Universal Mini External Fixator (Umex) was applied spanning the planned corticotomy site. This fixator has low-profile small-dimension clamping elements with a threaded connecting rod over which the transport is done. If the planned lengthening was up to 2 mm, one 2.5-mm pin was placed on either side of the planned corticotomy. If the lengthening required was more than 2 mm, additional pins were placed to prevent rotation. A skin incision measuring 2 cm was made over the subcutaneous border of the bone to expose the corticotomy site. The corticotomy was done from 1.5 to 2 cm proximal to the distal articular surface to bring the area of intense angiogenesis as close to the lunate as possible without compromising the fixation stability. The periosteum was minimally lifted. The endosteum, bone marrow, the muscles and soft tissues were maximally protected. The preserved periosteal sleeve was used as a stabilising sleeve in short transport, i.e., up to 2 mm [24].
Postoperatively, the patient was encouraged to exercise the wrist and hand and indulge in light work. A delay of 7 days was allowed before distraction. Distraction was done at the rate of 0.25 mm 12 hourly. Once the requisite, planned distraction was achieved, a repeat radiographic assessment was done to confirm the achievement of distraction and of ulnar neutrality or positivity as required by the criteria [11, 19]. The stitches were removed after 2 weeks. The regenerate was allowed to consolidate for 6–8 weeks. Before removal, another radiograph was taken to rule out any delay in regenerate consolidation. In cases with a less than 2 mm ulnar negativity, an ulnar plus of 1 mm was aimed for, whereas in cases with an ulnar negativity equal to or more than 2 mm, ulnar neutrality was the goal. Six-monthly radiographs were taken. At the final follow-up, the patients were assessed in terms of the pain, grip strength, range of movement, sclerosis, cystic changes and carpal height index (Table 1). The results were interpreted in terms of the modified score of Nakamura et al. [18].
Table 1.
Clinical and radiological assessment of patients at final follow-up
| Clinical assessment | |
|---|---|
| Pain | |
| None | 10 |
| Mild with strenuous activity | 7 |
| Mild with light work | 4 |
| Grip strength (compared to the normal side) | |
| 90% | 5 |
| 80% | 4 |
| 70% | 3 |
| 60% | 2 |
| 50% | 1 |
| Increase in the range of flexion and extension | |
| More than 20 degrees | 6 |
| 10–19 | 5 |
| 5–9 | 3 |
| Radiological assessment | |
| Improved sclerosis | 1 |
| Improved cystic changes | 1 |
| Reduction in fragmentation | 1 |
| Carpal height ratio | |
| Increased | 3 |
| Unchanged | 1 |
| Scoring | |
| Excellent | 21–27 |
| Good | 15–20 |
| Fair | 10–14 |
| Poor | 0–9 |
Results
Our study group comprised eight males and four females with an overall average age of 28.7 years (17–37 years). The left side of six patients was involved, and six patients had right-sided pathology. The average duration of symptoms was 17.3 months (4 weeks to 4 years). Pain was the presenting feature in all cases, with five patients with pain on direct palpation, four with diffuse wrist pain and three with pain on passive motion. Five patients gave a history of preceding direct trauma. The average dynamometric grip strength of the patients was 17.6 kg on the involved side and 33.4 kg on the normal side. Preoperatively, the average palmar flexion was 32.5 degrees, dorsiflexion 45 degrees, ulnar deviation 22.9 degrees and radial deviation 16.2 degrees. The average range of motion of the contralateral side of these patients was 60.9 degrees dorsiflexion, 65.5 degrees palmar flexion, 23 degrees ulnar deviation and 26.4 degrees radial deviation.
The average ulnar negativity on the normal side in these patients was −0.58, and on the affected side it was −2.1 (Table 2). Three of our patients had cysts within the lunate on the initial radiographs (Table 3). The average carpal height index was 0.48. We included only stage 3 cases in our study, with six patients being 3a and six more being 3b.
Table 2.
Preoperative assessment of signs and symptoms
| Patient no. | Age (years) | Sex | Side | Duration of symptoms | Pain | History of trauma | Occupation | Grip strength (kgs) | Range of motion (degrees) | |||
|---|---|---|---|---|---|---|---|---|---|---|---|---|
| DF | PF | UD | RD | |||||||||
| 1. | 32 | M | R | 8 months | Direct | + | Manual laborer | 23.5 | 39 | 42 | 30 | 19 |
| 2. | 33 | F | L | 48 months | Direct | + | Teacher | 21.5 | 36 | 23 | 05 | 06 |
| 3. | 36 | F | L | 5 months | Diffuse | − | Housewife | 12.1 | 43 | 53 | 30 | 21 |
| 4. | 20 | M | L | 12 months | Diffuse | − | Manual laborer | 21.1 | 42 | 56 | 35 | 16 |
| 5. | 17 | F | R | 36 months | Direct | + | Student | 4.3 | 16 | 26 | 06 | 17 |
| 6. | 24 | M | R | 6 months | Passive | − | Engineer | 20.1 | 44 | 59 | 29 | 18 |
| 7. | 27 | M | L | 4 weeks | Diffuse | + | Manual laborer | 18.7 | 40 | 51 | 24 | 20 |
| 8. | 31 | M | R | 7 months | Passive | − | Electric technician | 24.6 | 35 | 57 | 31 | 20 |
| 9. | 29 | F | L | 25 months | Direct | + | Housewife | 17.5 | 14 | 28 | 12 | 14 |
| 10. | 24 | M | R | 12 months | Passive | − | Mechanized farmer | 20.2 | 31 | 66 | 33 | 11 |
| 11. | 34 | M | L | 12 months | Diffuse | − | Teacher | 18.5 | 28 | 56 | 22 | 18 |
| 12. | 37 | M | R | 36 months | Direct | − | Preacher | 22 | 22 | 25 | 18 | 17 |
Table 3.
Preoperative radiological assessment
| Patient no. | Ulnar variance (normal side) (mm) | Ulnar variance (affected side) (mm) | Cysts in lunate | Carpal height index | Stage |
|---|---|---|---|---|---|
| 1. | −1 | −4 | − | 0.51 | 3a |
| 2. | −1 | −1 | − | 0.51 | 3a |
| 3. | −1 | −1 | − | 0.43 | 3b |
| 4. | 0 | −1 | + | 0.52 | 3a |
| 5. | 0 | −2 | + | 0.46 | 3b |
| 6. | −1 | −2 | − | 0.44 | 3b |
| 7. | 0 | −2 | − | 0.52 | 3a |
| 8. | 0 | −3 | − | 0.45 | 3b |
| 9. | −1 | −2 | − | 0.50 | 3a |
| 10. | −1 | −1 | − | 0.51 | 3a |
| 11. | 0 | −3 | + | 0.43 | 3b |
| 12. | −1 | −4 | − | 0.45 | 3b |
Our follow-up averaged 29.5 months (10 months to 5 years). The average duration in the Umex fixator was 7.3 weeks. Our average transport was 2.5 mm (2–4 mm). At the final assessment, seven patients had no pain, three had mild occasional pain and one patient had pain on moderate activity. The average range of motion improved by 18.75 degrees for dorsiflexion, 9.1 degrees for palmar flexion, 2.1 degrees for radial deviation and 7.1 degrees for ulnar deviation. The grip strength of our patients improved by 24.5% over the preoperative value, but reached a value of 70% compared to the normal side. The carpal height index increased by 0.01 in our patients, a figure that is not statistically significant. Pertinently, however, none of our patients had a progression of carpal collapse. Furthermore, all six of the stage 3b cases had an improved carpal height ratio. We had one excellent, ten good and one fair result, with no poor results.
We encountered only three complications in our series with two patients developing pin tract infection, which responded quickly to antibiotics, and and one patient having 1-mm regenerate collapse, which did not affect his final result (Table 4).
Table 4.
Assessment of the results
| S No | Maximum follow-up | Length of transport (mm) | Duration in fixator (weeks) | Pain | Range of motion (degrees) | Grip strength (kgs) | CHI | Occupation modification | Complications | |||
|---|---|---|---|---|---|---|---|---|---|---|---|---|
| DF PF UDRD | ||||||||||||
| 1. | 5 years | 4 | 8 | Mild | 54 | 70 | 25 | 22 | 35 | 0.51 | − | – |
| 2. | 54 months | 2 | 8 | − | 51 | 45 | 25 | 23 | 23.3 | 0.51 | − | Regenerat collapse 1 mm |
| 3. | 4 years | 2 | 6 | − | 43 | 59 | 35 | 21 | 18 | 0.45 | − | – |
| 4. | 4 years | 2 | 8 | + | 47 | 61 | 28 | 24 | 24.2 | 0.52 | + | – |
| 5. | 36 months | 2 | 6 | Mild | 54 | 43 | 21 | 19 | 12.1 | 0.48 | − | PTI |
| 6. | 24 months | 2 | 6 | − | 66 | 57 | 31 | 26 | 20.1 | 0.48 | − | – |
| 7. | 22 months | 2 | 6 | − | 51 | 55 | 31 | 28 | 21.7 | 0.52 | − | PTI |
| 8. | 16 months | 3 | 8 | Mild | 54 | 63 | 24 | 27 | 30.2 | 0.46 | − | – |
| 9. | 14 months | 2 | 6 | − | 49 | 42 | 31 | 20 | 20 | 0.50 | − | – |
| 10 | 12 months | 2 | 8 | Mild | 66 | 65 | 16 | 25 | 20.2 | 0.51 | − | – |
| 11 | 11 months | 3 | 8 | − | 37 | 54 | 20 | 25 | 27.5 | 0.46 | − | – |
| 12 | 10 months | 4 | 8 | − | 43 | 36 | 15 | 19 | 26.9 | 0.51 | − | – |
M, male; F, female; R, right L, left DF, dorsiflexion; PF, palmar flexion; UD, ulnar deviation; RD, radial deviation; PTI, pin tract infection
Discussion
The purpose of this study was to evaluate the advantages of distraction osteogenesis as a method in ulnar lengthening for the treatment of stage 3 Kienbock’s disease. As our hospital has significant experience in the lengthening of short metacarpals and metatarsals by distraction osteogenesis using the Umex fixator, the application of the same treatment modality to the lengthening of the Ulna was an easy progression. At the outset, the idea was to provide the patients with a biomechanical as well as a biological advantage with a single procedure.
Kienbock described this lesion in 1910 and thought it was a result of trauma. He believed that repeated sprains, contusions or subluxations led to ligamentous and vascular injury resulting in a loss of blood supply to the lunate. Others have described the pathology as resembling avascular necrosis [3, 10]. It was Hulten who found a 78% incidence of a short ulna in patients with Kienbock’s disease. He coined the term ulnar minus for this discrepancy. Gelberman described a method for quantifying this variation. Since then, studies contradicting Hulten’s findings have been published; however, there is a consensus that negative ulnar variance predisposes a patient to the development of Kienbock’s disease (Fig. 1) [5, 7]. A short ulna causes increased shear forces on the ulnar side of the wrist and part of the lunate. Hoogenberg showed a shift in bone density towards the scaphoid fossa, indicating altered force transmission [12].
Fig. 1.
Negative ulnar variance with avascular necrosis of the lunate. Cyst formation is visible within the lunate
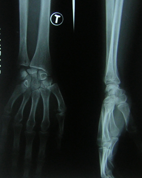
Joint levelling procedures have been advocated for the treatment of Kienbock’s disease by several authorities [3, 20, 21, 23] with ulnar lengthening and radial shortening or osteotomy. In the literature, the number of cases managed by these procedures is small, and most of these series include cases regardless of the stage. There is an agreement that stage 2 and stage 3a cases are best managed by joint levelling procedures [7]. It is the stage 3b cases that are subject to much debate, with scapho-trapezio-trapezoid or scapho-capitate fusion with or without lunate excision being a treatment modality. Proximal row carpectomy and vascularised grafting have also been advocated [6, 7]. All these procedures are technically difficult and leave very little scope for salvage. It was Aspenberg who drew attention to the fact that in operative revascularisation, the process of revascularisation itself is a probable cause of collapse [4]. Zafra et al. reported a series of five patients treated for Kienbock’s disease with a vascularised bone graft from the second metatarsal with lateral shortening and closing wedge osteotomy of the radius [25]. Schulz et al. in a study of ten cases felt that in many operative procedures only the biomechanical considerations were addressed [22]. They attempted to induce biological healing with a stress osteotomy of the distal radius and the ulna. Ilizarov’s data suggest that distraction osteogenesis of a bone can increase the blood supply to the limb by as much as 330% [15]. He reinforced this fact by saying that this process has remarkable clinical applications, including in peripheral circulatory disorders [8, 9]. In our series, we attempted to combine two time-tested procedures, i.e., distraction osteogenesis and ulnar lengthening to achieve the goal of biomechanical reduction in stress on the proximal lunate pole and the revascularisation of the avascular lunate (Figs. 2 and 3).
Fig. 2.
Showing distraction osteogenesis of the ulna with the fixator to overcome the negative ulnar variance
Fig. 3.
Shows revascularisation of the lunate with attainment of ulnar neutrality. This roentgenogram was taken 35 months after commencement of treatment. The distraction site has completely remodelled
Armistead in his study of ulnar lengthening encountered a non-union rate of 15% [3]. He, however, observed that lengthening encourages consolidation and increases grip strength. He achieved pain relief in 90% of his patients. Horii et al. found that shortening the radius or lengthening the ulna by 4 mm led to a 45% decrease in the radiolunate load with only a moderate increase in force across the midcarpal or radio-scaphoid joint [13].
Nakamura et al. in their study of radial recession osteotomy observed increased grip strength of 63 to 82%. Osseus union in their series took 3 months. They had 2 excellent, 12 good and 13 fair results [18].
Quenzer et al. in a review of 68 cases found that 36% required one or more additional procedures. Of their patients, 93% had an increased grip strength, and 75% returned to their original occupations [20].
Salmon et al. in a study of 15 cases recommended radial shortening for severe pain and progressive carpal collapse after assessing the results [21].
Sundberg et al. found ulnar lengthening to be a satisfying procedure [23].
Our results show that the process of distraction osteogenesis addresses almost all the problems of ulnar lengthening encountered in the earlier series [3, 23]. Often raised objections are non-union, graft site morbidity, healing of the osteotomy at two sites, hardware removal and the exact control of the lengthening by the Armistead technique [3]. Inherent to this process of distraction osteogenesis is the attainment of the exact length as planned preoperatively. This is helpful in avoiding ulnar impingement.
From a purely biomechanical point of view, our series and method provide a definite advantage over other methods of ulnar lengthening. The fact that our results are comparable to other studies inspite of the study group being made up of purely stage 3 patients is an indicator of the success of the procedure. Interestingly enough, the fact that all of our stage 3b cases had an improved carpal height ratio points to a biological influence. As Kienbock’s disease is a comparatively uncommon pathology, with stage 3 being even less common, this aspect deserves a broader multicentre study.
References
- 1.Almquist EE (1986) Kienbock’s disease. CORR (202):68–78, Jan [PubMed]
- 2.Almquist EE (1987) Kienbock’s disease. Hand Clin 3(1):141–148, Feb [PubMed]
- 3.Armistead RB, Linscheid RL, Dobyns JH, Beckenbaugh RD (1982) Ulnar lengthening in the treatment of Kienbock’s disease. JBJS (Am) 64(2):170–178, Feb [PubMed]
- 4.Aspenburg P, Wang JS, Jonsson K, Hagert CG (1994) Experimental osteonecrosis of the lunate. Revascularization may cause collapse. J Hand Surg (Br) 19(5):565–569, Oct [DOI] [PubMed]
- 5.Bonzar M, Firrell JC, Hainer M, Mah ET, McCabe SJ (1998) Kienbock’s disease and negative ulnar variance. JBJS 80-A(8):1154–1157, Aug [DOI] [PubMed]
- 6.Alexander CE, Alexander HA, Litchman DM. Kienbock’s disease and idiopathic necrosis of carpal bones. In: Disorders of the hand and wrist, 2nd edn, pp 329–346. Saunders
- 7.Allan CH, Joshi A, Litchman DM (2001) Kienbock’s disease: Diagnosis and treatment. J AAOS 9(2):130–136 [DOI] [PubMed]
- 8.Ilizarov GA(1997) The principles of the Ilizarov method. Hospital for joint diseases. 56(1):49–53 [PubMed]
- 9.Ilizarov GA (1989) The tension stress effect on the genesis and growth of tissues. Part 1; The influence of stability of fixation and soft tissue preservation. CORR 238:249–281 [PubMed]
- 10.Gelberman RH, Bauman TD, Menon J, Akeson WH (1980) The vascularity of the lunate bone and Kienbock’s disease. J Hand Surg 5:272–278 [DOI] [PubMed]
- 11.Gelberman RH, Salamon PB, Jurist JM, Posch JL (1975) Ulnar variance in Kienbock’s disease. JBJS 57-a:674–676 [PubMed]
- 12.Hoogenbergen MM, Rijnders W, Van Dongen AJ, Anema PC, Van Rijk PP et al (2000) The long-term effects of force transmission in an injured wrist, measured with DEXA: a case report. Clin Nucl Med 25(2):97–98 [DOI] [PubMed]
- 13.Horii E, Garcia- Elias M, Bishop AT, Cooney WP, Linscheid RL, Chao EY (1990) Effect on force transmission across the carpus in procedures used to treat Kienbock’s disease. J Hand Surg(Am) 15:393–400 [DOI] [PubMed]
- 14.O Hulten (1928) Uber anatomische Variationen der Handgelenkkenochen. Acta Radiol Scand 9:155
- 15.Ilizarov GA (1983) The significance of the combination of optimal mechanical and biologic factors in the regenerative process in transosseus osteosynthesis. In abstracts of First International symposium on experimental, theoretical and clinical aspects of transosseus osteosynthesis method developed in KNIIEKOT (Orthopaedic Institute in Kurgan) Kurgan. USSR 20–23:5–15
- 16.Kienbock R (1980) Concerning traumatic malacia of the lunate and its consequences: Degeneration and compression fractures. Clin Orthop 149:4–8 [PubMed]
- 17.Litchman DM, Mack GR, Macdonald RI, Gunther SF, Wilson JN (1977) Kienbock’s disease: The role of silicone replacement arthroplasty. JBJS (Am) 59:899–908 [PubMed]
- 18.Nakamura R, Tsuge S, Watanabe K, Tsunoda K (1991) Radial wedge osteotomy for Kienbock’s disease. JBJS-A 73-A(9):1391–1396 [PubMed]
- 19.Palmer AK, Glisson RR, Werner FW (1982) Ulnar variance determination. J Hand Surg 7:376–379 [DOI] [PubMed]
- 20.Quenzer E, Dobyns JH, Linscheid RL, Trail IA, Vidal MA (1997) Radial recession osteotomy for Kienbock’s disease. J Hand Surg (Am) 22(3):386–395 [DOI] [PubMed]
- 21.Salmon J, Stanley JK, Trail IA (2000) Kienbock’s disease; conservative management versus radial shortening. JBJS (Br) 82(6):820–823 [DOI] [PubMed]
- 22.Schulz C, DeCarli P, Anetzberger H, Illaramendi A (1998) Stress osteotomy of the distal radius and ulna metaphysic (Illaramendi procedure): an alternative treatment method in lunate necrosis. Handchir Mikrochir Plast Chir 30(3):188–195 [PubMed]
- 23.Sundberg SB, Linscheid RL (1984) Kienbock’s disease. Results of treatment with ulnar lengthening. CORR 187:43–51 [PubMed]
- 24.Schwartsman V, Schwartsman R (1992) Corticotomy. CORR 1:37–47 [PubMed]
- 25.Zafra M, Carrasco-Becerra C, Carpentra P (2005) Vascularised bone graft and osteotomy of the radius in Kienbock’s disease. Acta Orthop Belg 71(2):163–168 [PubMed]



