Abstract
Immune cells, such as cytotoxic T lymphocytes, natural killer cells, B cells, and dendritic cells, have a central role in cancer immunotherapy. Conventional studies of cancer immunotherapy have focused mainly on the search for an efficient means to prime/activate tumor-associated antigen-specific immunity. A systematic understanding of the molecular basis of the trafficking and biodistribution of immune cells, however, is important for the development of more efficacious cancer immunotherapies. It is well established that the basis and premise of immunotherapy is the accumulation of effective immune cells in tumor tissues. Therefore, it is crucial to control the distribution of immune cells to optimize cancer immunotherapy. Recent characterization of various chemokines and chemokine receptors in the immune system has increased our knowledge of the regulatory mechanisms of the immune response and tolerance based on immune cell localization. Here, we review the immune cell recruitment and cell-based systems that can potentially control the systemic pharmacokinetics of immune cells and, in particular, focus on cell migrating molecules, i.e., chemokines, and their receptors, and their use in cancer immunotherapy.
Key words: adenovirus vector, cancer immunotherapy, cell-based system, cell recruitment, chemokine, chemokine receptor, dendritic cell
INTRODUCTION
Cancer cells are ‘self’ cells that have bypassed normal homeostatic regulatory mechanisms. Immunotherapy is a promising approach for the development of integrative therapies for cancer (1–3). Combined with other approaches, immunotherapy can be an effective tool for the treatment of malignant disease. Recent findings indicate that a multifactorial strategy might be the best strategy for treating cancer (4–6). Surgery, chemotherapy, and radiotherapy are effective for reducing tumor burden, and immunotherapy might effectively be used to attack residual tumor cells to reduce the risk of recurrent disease and metastasis, and prolong patient survival (7–10).
Studies in animal models and in clinical trials have demonstrated that immune cell infiltration of tumors is associated with improved survival of patients with a variety of cancers (11,12). Investigations of the relationship between prognosis and the infiltration frequency of tumor-associated immune cells in patients with cancer indicate that posttreatment recurrence or metastasis is significantly suppressed in cases that exhibit high immune cell infiltration (especially CD8 T cells) in the primary tumor tissue (13–16). On the basis of this knowledge, cancer immunotherapy has steadily progressed toward clinical application and various approaches have been developed, such as adoptive transfer of tumor specific cytotoxic T lymphocytes (CTLs) and the administration of tumor-associated antigen (TAA)-component vaccine, genetically modified tumor cell-based vaccine, TAA-coding DNA vaccine, or TAA-delivered dendritic cell (DC)-based vaccine (17–24). The principal objective of most conventional studies of cancer immunotherapy has been efficient induction and activation of effector cells. Even with adequate induction of effector cells that kill tumor cells in a patient, the efficacy of the cancer immunotherapy would be considerably limited if the effector cells were unable to infiltrate the tumor tissue and come into contact with the tumor cells. Therefore innovative approaches to better control the accumulation of immune effector cells in tumor tissue are needed to overcome the limitations of the current therapies and to improve the cancer cure rate.
Currently, many research programs focus on one part of immunotherapy, i.e., the enhancement of immune cell recruitment and the use of a cell-based system to control the distribution of immune effector cells in the body and to enhance antitumor immunity. Compared to a drug delivery system, which delivers the optimal amount of drug to the target site and subsequently elicits its effects via a chemical compound or biologic macromolecules such as plasmid DNA, small interference RNA, or antisense nucleotides (25–28), a cell-based system, which uses smart cells existing in the body as the therapeutic agent, is a more intriguing and potentially more promising approach for cancer therapy.
Many factors influence the biodistribution of cells in the body; among them, a type of cytokine, chemokines, have been extensively investigated (29–31). Chemokines are small, secreted basic proteins that were originally discovered in 1987 and have many different roles (32). The chemoattractive and promotive properties of chemokines on the effector functions of different leukocyte subpopulations, such as T cells, natural killer (NK) cells, and DCs, in vitro and in vivo, have led to numerous studies on the effects of chemokines in the development of antitumor immune responses (33–40). Moreover, because different chemokines migrate towards different immune cells, the development of optimal carriers and transduction of chemokines to tumor cells might enhance tumor immunity by inducing the accumulation of various immune cells and their subsequently secreted cytokines.
Alternatively, a cell-based system using DCs modified by specific genes to manipulate their migration and accumulation could be developed. DCs are antigen-presenting cells with the unique ability to initiate and maintain primary immune responses when pulsed with antigens (41–43). Dendritic cells are sentinels in an immature state with a high endocytic and phagocytic capacity. Several recent studies have tested the interesting concept of chemoattraction of DCs in vivo to bring DCs and tumor cells/antigens into direct contact (44–47).
CANCER IMMUNOTHERAPY AND ITS USE IN CLINICAL TRIALS
Whether the immune system can actually target tumors has been debated for nearly a century (48,49). Compelling evidence now suggests that immune cells have an important role in the control of malignant diseases (50). Augmentation of the immune response produces therapeutic benefits, not only in experimental models but also in clinical trials with cancer patients. Furthermore, advances in cellular and molecular immunology in the past two decades have provided enormous insights into the nature and consequences of the interactions between tumors and immune cells and have suggested strategies by which the immune system might be harnessed to treat established tumors (51).
The challenge of developing cancer immunotherapy is one of the longest standing goals of immunology, dating back to the late nineteenth century with the use of Coley’s toxins (52). In the first real attempt to use non-specific immunotherapy, bacterial products were used to treat cancers. Currently, the notion of immunosurveillance against tumors is attracting great interest. There is no doubt that the immune system can be experimentally manipulated to enhance antitumor activity. In general, immunotherapy is used as an adjuvant treatment for cancer, together with surgery, chemotherapy, or radiotherapy, and it has been tested in various cancers (53–55).
The use of immunotherapy for the treatment of cancer can broadly be divided into two categories, therapies that are tumor-specific and highly targeted and therapies that modulate the immune system, but in a non tumor-specific way. There are several reviews summarizing selected recent immunotherapy clinical trials for cancer (56–58). Despite many setbacks, recent developments have rejuvenated the sense of optimism in cancer immunotherapy. Almost 30 years after their development, monoclonal antibodies are now commonly used in the treatment of selected malignancies. Current immunotherapeutic approaches to treating cancer patients include systemic administration of tumor cell-targeting monoclonal antibodies, adjuvant cytokine treatment, or various vaccination protocols (59–61). For example, the use of low-dose interleukin (IL)-2, either alone or in combination with other cytokines, is widely used throughout Europe (62,63). Similarly, granulocyte-macrophage colony-stimulating factor (GM-CSF) has become the cytokine of choice because of its DC-maturing properties (64). Also, gene therapy is currently being used to create recombinant cancer vaccines. Autologous or allogeneic cells are harvested and grown in vitro and then engineered with the addition of one or more genes that make the vaccine more recognizable to the immune system (65). Another novel strategy facilitated by gene therapy is to alter the patient’s immune system make it more sensitive to the cancer cells. One such approach uses mononuclear circulating blood cells or bone marrow collected from the patient (66). A tumor antigen, or other stimulatory gene, is then added to the selected cell type. These altered cells are then primed to cause an immune reaction to the cancer cells leading to cancer eradication. Alternatively, the gene can be added in vivo using a targeted delivery system, such as an altered viral particle (67).
An exciting result was obtained recently with a synthetic version of the bacterial DNA CpG motif that binds to Toll-like receptors (TLR)9. In a phase IIb trial, late-stage non-small cell lung cancer patients treated with a TLR9 agonist, Promune, in combination with standard of care cisplatin chemotherapy had an 80% increase in median survival (68). The advantages of a cancer vaccine-based approach include: (1) the ability to target both surface and intracellular tumor antigens through the induction of polyclonal cellular and humoral responses; (2) the potential for a response of greater longevity and therefore obviating the need for long-term multiple injections; (3) no requirement for “humanization” of the immune response; and (4) lower production cost (69). More than 50 vaccines are under clinical testing now and more than 400 cancer vaccine studies have been performed (69). Vaccines using engineered cells are promising for the treatment of many cancers that respond poorly to conventional therapy. Recently, a phase I/phase II trial with GVAX, a vaccine made from autologous tumor cells modified to express GM-CSF resulted in 3 of 33 patients experiencing complete remission and an additional 7 patients who achieved stable disease for an average of 7 months (70). Another phase II study in advanced stage patients demonstrated a clinical effect with 14 of the 53 participants experiencing stable disease and 1 patient experiencing stable disease for over 2 years (71). On the other hand, T lymphocyte infusion adoptive transfer of ex vivo expanded autologous T cell populations has been continuously tested and improved for many years. In a later trial, polyclonally activated CD8+ cells derived from autologous tumoral tissues were infused in combination with a low dose of IL-2. The results indicated that the survival rate was 65% at 1 year after nephrectomy and the overall median survival was 22 months (72).
There are still a few areas of current clinical trials, however, that need to be improved (57). For example, many of the most promising vaccines that rely on autologous cells for vaccine production might also present a long-term problem because of the expense and effort needed to create the vaccine. Few hospitals contain the facilities for vaccine production and substantial time and expertise are required to grow the cells and create a custom vaccine (73). One way to overcome this problem is to create allogeneic alternative vaccines (74). On the other hand, combining therapeutic genes might lead to a stronger immune response than either gene used alone. As with any cancer monotherapy, combination therapy using vaccines might be more effective than vaccine therapy alone.
Though it remains poorly understood how to harness therapeutic chemoattractants and activators, the expression of molecules such as tumor necrosis factor superfamily member 14 (LIGHT) in tumor sites converts these microenvironments into highly immunogenic structures (75). Because cancer cells are ‘self’ cells that have bypassed normal homeostatic regulatory mechanisms, and because of the specific characteristics of tumor tissue, it is difficult to infiltrate a large number of effector cells into the tumor. Insights into cellular and molecular events that lead to the recruitment and activation of immune cells suggest that the obstacles present at the tumor site might be overcome and tumor immunity might be initiated by providing pro-inflammatory cytokines and/or chemokines to the sites of solid tumors (76). There is some evidence that the presence of tumor-infiltrating lymphocytes is a favorable prognostic sign. In ovarian cancer, 5-year survival is significantly increased (38% vs 4.5%) in patients whose tumor biopsy samples contain CD3+ tumor-infiltrating lymphocytes compared with patients whose biopsy samples lack these cells (77). Therefore, to induce an efficient antitumor response, large numbers of cells, such as T cells, NK cells, and DCs capable of eliciting an effector response upon presentation and activation by a tumor antigen, must be attracted to the tumor site. Selected clinical trials with respect to immune cell recruitment and related cancer immune therapies are listed in Table 1. In this review, we focus on the immunity modulation activity of chemokines and consider the use of vectors encoding chemokines that can induce immune cell recruitment. We also describe a cell-based system in which chemokine genes are introduced into DCs for effective cancer immunotherapy.
Table 1.
Selected Clinical Trials with Respect to Immune Cell Recruitment and Related Cancer Immune Therapies
| Authors | Tumor | Patient Num. | Gene | Results |
|---|---|---|---|---|
| Verra et al. [152] | Renal cell carcinoma | 15 | IL-2, IFN-α and GM-CSF | Increased infiltration of activated, mature DCs and functionally active CD8+ T cells |
| Dessureault et al. [153] | Melanoma | 21 | Autologous tumor cells and bystander cells transfected with CD40L and GM-CSF | Recruitment and activation of DCs were confirmed. Some patients developed tumor- specific T cell responses, but there was no tumor regression after vaccination |
| Vuylsteke et al. [154] | Melanoma | 12 | GM-CSF | Increased number and activation state of DCs in the paracortical areas of the sentinel lymph nodes and enhanced binding to T cells |
| van Herpen et al. [155] | Head and neck squamous cell carcinoma | 10 | IL-12 | Induced high number of CD56+ cell infiltration and longer survival |
| Giannopoulos et al. [156] | Superficial transitional cell carcinoma | 123 | IFN-γ | Statistically significant increases in T cells, T-helper cells, T-cytotoxic cells, NK cells, and total leukocytes, as well as in the number of B cells expressing intercellular adhesion molecule-1 and total leukocytes expressing HLA-DR, were observed in tissue specimens and bladder washings |
| Romano et al. [157] | Gastric cancer | 39 | IL-2 | Statistically significant difference in the peri- and intratumoral lymphocytes infiltration between IL-2 treated and control patients was observed. Median overall and disease-free survivals were prolonged |
| Rousseau et al. [158] | Advanced or refractory neuroblastoma | 21 | Lymphotactin- and IL-2-secreting allogeneic neuroblastoma cells | Increased infiltration of CD4+ and CD8+ lymphocytes, eosinophils, and Langerhans cells. Enhanced expansion of CD4+ T cells, NK cells, and eosinophils. Six patients had significant increases in NK cytolytic activity |
| Jorkov et al. [159] | Metastatic malignant melanoma | 13 | IL-2, IFN-α and histamine dihydrochloride | In tumor tissues, the extent of leukocyte infiltration prior to treatment correlated with tumor response. Additional infiltration by NK cells and monocytes during treatment was observed only in responding patients. Patients with progressive disease exhibited a low density of leukocytes infiltrating tumor tissues at the onset of treatment as compared to the surrounding tissues |
| Tani et al. [160] | Renal cell cancer | 4 | Autologous tumor cells transduced with GM-CSF | The vaccination sites showed significant infiltration by CD4(+) T cells, eosinophils, and HLA-DR- positive cells. Oligoclonal expansion of T cells in the peripheral blood, skin biopsy specimens from DTH sites, and tumors |
| Galanis et al. [161] | Metastatic renal cell carcinoma | 31 | IL-2 | Increased tumor infiltration by CD8-positive lymphocytes in 5/8 patients posttreatment |
| Barnetson et al. [162] | Basal cell carcinoma | 16 | Imiquimod | Treatment was associated with the early appearance of CD4 cells, activated DCs and macrophages, with later infiltration by CD8 T cells |
DC: dendritic cell, DTH: delayed-type hypersensitivity, IFN: interferon, IL: interleukin, NK: natural killer cells
IMMUNE CELL RECRUITMENT AND CELL-BASED SYSTEM FOR CANCER IMMUNOTHERAPY
Cell Migrating Molecules, Chemokines, Used in Cancer Immunotherapy
Chemokines
The use of cytokines in cancer immunotherapy was first reported more than 20 years ago, and the recent discovery of chemokines (chemotactic cytokines), a new family of cytokines with proinflammatory activities, has further enhanced their therapeutic application. Chemokines serve as potent chemoattractants for immune cells, and are involved in many physiologic functions, such as inflammation, elimination of infection, and tissue repair. Chemokines also have a role in pathologic conditions, however, such as cardiovascular diseases, allergy, and cancer (78).
Chemokines are comprised of a superfamily of small (8–14 kDa), secreted basic proteins that regulate relevant leukocyte migration and invasion into the tissue by interacting with their specific receptors, which belong to the superfamily of seven-transmembrane domain G protein-coupled receptors (79–81). Chemokines, which can attract specific immune cells, function in inflammatory disease sites as well as in normal lymphoid tissues (82). To date, more than 50 chemokines have been identified, and they are divided into four families—CC, CXC, CX3C, and C. Each chemokine family member interacts with a reciprocal family of G protein-coupled receptors expressed almost exclusively on leukocytes. The expression of chemokine receptors varies in mast cells, neutrophils, and eosinophils, depending on their stage of differentiation and activation status. Some chemokines, such as CCL9 and CCL10, have angiostatic activity (83,84). These properties and the fact that some tumor cells express lower chemokines levels than do normal cells make chemokines an intriguing molecule for cancer immunotherapy, based on the premise of the eradication of tumor cells as a consequence of interactions with immune cells that have migrated and accumulated in the tumor tissues. Several chemokines are candidates for cancer treatment for use as sole agents or with an adjuvant.
Vector-Carried Chemokine Genes Used in Cancer Immunotherapy
For immune cell recruitment, the delivery system used in cancer immunotherapy should be comprised of effective carriers, such as viral vectors or non-viral vectors and their encoded genes, that can induce immune cell migration to diseased tissues. Gene transfer carriers have an important role in cancer gene therapy (85–87). Whereas viral vectors have high gene transfer efficiency, non-viral vectors such as liposomes and nanoparticles have low toxicity. Cytokines or chemokines encoded by viral vectors are currently regarded as promising tools for cancer gene immunotherapy (39,40). Among the vectors used for cancer immunotherapy encoding chemokine genes, the adenovirus (Ad) vector is most often used.
The Ad vector, which has high gene transduction efficiency and can infect both dividing and non-dividing cells, is widely used as a carrier for gene therapy (88). The therapeutic use of recombinant Ad vectors represents a new chapter in the treatment of cancer. Recent studies demonstrated the antitumor activity of Ad vectors encoding chemokines introduced into tumor cells alone or together with other cytokines (89–91). There are some limitations, however, associated with the use of conventional Ad vectors. One disadvantage is that Ad vectors result in inefficient gene transfer to many malignant cells lacking the Ad receptor. Ad infection requires two sequential steps. First, the Ad-fiber knob mediates attachment to the Coxsackievirus and adenovirus receptor (CAR) on the cell surface. Following binding, internalization of the virion is facilitated by the interaction of Arg–Gly–Asp (RGD) motifs located at the Ad-penton base with secondary receptors, αvβ3 and αvβ5 integrin. The viral particle then escapes from the endosome and translocates to the nucleus. Based on the known mechanisms of this Ad-entry pathway, the relative resistance of some malignant cells to Ad-mediated gene transfer was thought to be due to a lack of or to low levels of CAR and/or αv integrin expression on the cells. Thus, the mRNA levels of CAR and integrin were investigated using reverse transcription-polymerase chain reaction and the analysis revealed that the relative resistance of melanoma cells and DCs to Ad-mediated gene transfer is due to the absence of CAR expression, and that melanoma cells and DCs express adequate αv integrins. To overcome the low gene expression levels in CAR-negative cells, a fiber-mutant Ad vector developed by Mizuguchi et al. was used as a carrier for the cell-based system (92,93). The Arg–Gly–Asp (RGD) sequence was added to the recombinant adenovirus vector in the fiber knob, which facilitated internalization of the virion through receptor-mediated endocytosis via interaction of the fiber directly with αvβ3 and αvβ5 integrins. This fiber-mutant Ad (Ad-RGD) vector possesses higher transduction and antitumor activities than conventional Ad vectors when used in cytokine-gene therapy against B16BL6 melanoma, and it exhibits higher gene transfection efficiency in OV-HM ovarian carcinoma and Meth-A fibrosarcoma (94–96). CX3CL1-encoding fiber-mutant Ad and stromal cell-derived factor (SDF)-1-encoding Ad were also developed and intratumoral injection of these vectors effectively suppressed the growth of preexisting tumors (97,98).
Compared to replication-incompetent Ad vectors, retrovirus vectors generally maintain the ability to express genes for a long time because the vector is integrated into the genome. Sustained maintenance of therapeutic levels of angiostatic proteins in tumor tissues is particularly important in antiangiogenesis cancer therapy. Sun et al. utilized gene transfer via replication-competent retroviral (RCR) vectors for chronic protein delivery (99). They constructed RCR vectors carrying the human IP10 gene; the results indicated that the production of IP10 from RCR-transduced cells could be maintained in culture for at least 3 months. The level and duration of IP10 expression in vivo was sufficient to inhibit the growth of subcutaneous tumors as well as metastatic lesions in mice and the tumor inhibition correlated with the marked reduction in tumor vascularization and mitotic activity.
On the other hand, plasmids with or without the commercial transfection agent, Lipofectamine, were also used. For example, transfection of the expression vector pCI-SDF-1 into J558 myeloma cells produced biologically active SDF-1 in the culture supernatants of cells, and SDF-1-expressing J558/SDF-1 tumors invariably regressed in BALB/c mice and became infiltrated with CD4+ and CD8+T cells (100). Another nonviral, liposome-based MCP-1 gene transfer approach using lipoplexes also demonstrated that nonviral MCP-1 gene transfer significantly improved peripheral conductance as well as the ratio of peripheral over aortic blood pressure when compared to untreated controls 2 weeks after occlusion (101).
As gene carriers have a pivotal role in cancer gene therapy, more attention must be paid to the vectors used in developing an optimal delivery system according to the therapeutic aims and the gene and tumor characteristics.
Immune Cell Recruitment and Therapeutic Effect of a Delivery System Encoding Chemokines
Antitumor Effects and the Influence on the Distribution of Immune Cells of Chemokine-Encoding Delivery System
There are several reported strategies for using chemokines in cancer immunotherapy (102–104). Among them, transfection of tumor cells in vitro and inoculation in vivo and intratumoral injection of chemokine-encoding vectors are used most frequently.
A certain chemokine changes the distribution of immune cells in vivo and subsequently induces tumor suppression or even disappearance. CXCL14 was significantly downregulated in oral carcinoma cells when treated with epidermal growth factor and the rate of tumor formation in vivo of CXCL14-expressing vector-transfected tumor cells in nude mice was significantly lower than that of mock vector-transfected tumor cells (105). In addition, tumors formed in vivo by the CXCL14-expressing cells were significantly smaller than those formed by mock-transfected cells. These results indicated that CXCL14 activity suppresses tumor progression of oral carcinoma in vivo. The CXC chemokine SDF-1alpha, which functions in vitro as a chemotactic factor for lymphocytes, monocytes, and DCs, has antitumor effects on various tumor cells. Fushimi reported that an SDF-1alpha-encoded adenovirus, AdSDF-1alpha, mediates the expression of SDF-1alpha mRNA and protein in A549 cells in vitro, and the supernatant of the AdSDF-1alpha-infected A549 cells has chemotactic activity towards DCs. When syngeneic murine CT26 colon carcinoma tumors, B16 melanoma, and Lewis lung cell carcinoma were injected with AdSDF-1alpha, DCs and CD8+ cells accumulated within the tumor and tumor growth was significantly inhibited compared with control groups. The injection of AdSDF-1alpha into tumors induced inflammation-related enlargement and the accumulation of DCs in the draining lymph nodes. Intratumoral AdSDF-1alpha administration elicited tumor-specific CTLs and the antitumor activity was T cell-dependent. Shi et al. transfected an expression vector, pCI-SDF-1, for SDF-1 into J558 myeloma cells and tested its ability to form tumors in BALB/c mice. They detected the production of biologically active SDF-1 in the culture supernatants of cells transfected with pCI-SDF-1. SDF-1-expressing J558/SDF-1 tumors invariably regressed in BALB/c mice and were infiltrated with CD4+ and CD8+ T cells. Regression of the J558/SDF-1 tumors was dependent on both CD4+ and CD8+ T cells. Furthermore, immunization of mice with engineered J558/SDF-1 cells elicited the most potent protective immunity against J558 tumor challenge in vivo, compared to immunization with J558 alone, and this antitumor immunity mediated by J558/SDF-1 tumor cell vaccination in vivo appeared to be CD8+ CTL dependent. The authors concluded that SDF-1 has natural adjuvant activities that might augment antitumor responses through their effects on T cells and could thereby be important in gene transfer immunotherapies for some cancers. Also, the CX3C chemokine fractalkine encoded in the adenovirus AdFKN and intratumorally injected into C26 and B16F10 tumors markedly induced tumor growth compared to controls (97). Histologic examination of the tumor tissues revealed an abundant infiltration of NK cells, DCs, and CD8+ T lymphocytes 3 and/or 6 days after treatment with AdFKN. Splenocytes from mice treated with AdFKN developed tumor-specific CTLs. The antitumor effects were T cell and NK cell-dependent. This study suggests that fractalkine is a suitable candidate for immunogene cancer therapy because fractalkine induces both innate and adaptive immunity.
For evaluating tumor-suppressive effect of chemokines, eight chemokines were encoded in recombinant Ad-RGD vectors and chemoattraction activity for cells expressing specific receptors CCL17 and CCL22 (L1.2/CCR4), CCL20 (L1.2/CCR6), CCL19 and CCL21 (L1.2/CCR7), CCL27 (L1.2/CCR10), XCL1 (L1.2/XCR1), or CX3CL1 (L1.2/CX3CR1) in vitro induced by tranfection of Ad-RGD-chemokines into A549 cells was investigated. The results demonstrated the chemotactic activity for specific receptor-expressing cells (Fig. 1) (40). In another study, OV-HM ovarian carcinoma was used as a model and the antitumor effect of chemokines was investigated. Of the evaluated chemokines, ILC/CCL27 had a significant antitumor effect, and both CCL27 and CX3CL1 induced the accumulation of CD3+ T cells and NK cells in the tumor upon transfection into tumor cells through the Ad-RGD vector (Fig. 2). Additional experiments demonstrated that the antitumor activity is T cell-dependent and both CD4+ and CD8+ are involved in the response (39).
Fig. 1.
Chemoattraction activity for cells expressing specific receptors in vitro induced by transfection of Ad-RGD-chemokines into A549 cells. Chemoattractant activity of culture supernatants of A549 cells transfected with each chemokine gene-carrying Ad-RGD against the stable specific chemokine receptor-expressing cells. The culture supernatants of intact A549 cells, Ad-RGD-Luc-transfected A549 (Luc/A549) cells, and chemokine gene-transduced A549 cells were prepared and diluted with the assay medium. The fractional values within the parentheses in each panel express the dilution factor. These samples and recombinant chemokines dissolved with the assay medium were added to a 24-well culture plate. Cells expressing specific receptors for CCL17 and CCL22 (L1.2/CCR4), CCL20 (L1.2/CCR6), CCL19 and CCL21 (L1.2/CCR7), CCL27 (L1.2/CCR10), XCL1 (L1.2/XCR1), or CX3CL1 (L1.2/CX3CR1) were suspended with the assay medium and placed in a Chemotaxicell-24 installed in each well at 1 × 106 cells /well. Likewise, parental L1.2 cells for these transfectants were prepared and added to the Chemotaxicell-24. Cell migration was allowed for 2 h at 37°C in a 5% CO2 atmosphere. The cells that migrated to the lower well were lysed and quantified using a PicoGreen double-stranded DNA quantification reagent. The data are expressed as the mean±SE of the triplicate results. (Reproduced from Okada et al. [40]).
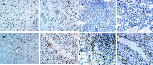
Fig. 2.
Accumulation of immune cells in ovarian carcinoma in vivo by transfection of chemokine-encoding adenovirus vectors. Left: CD3-positive lymphocytes infiltrated into OV-HM tumors infected with Ad-RGD-mCCL27 and Ad-RGD-mCX3CL1. a–d Representative immunohistochemical appearance of tumor nodules from mice inoculated intradermally with 1 × 106 OV-HM cells infected with a none, b Ad-RGD, c Ad-RGD-mCCL27, or d Ad-RGD-mCX3CL1. Right: NK cells infiltrated into OV-HM tumors infected with Ad-RGD-mCCL27 and Ad-RGD-mCX3CL1. e–h Representative immunohistochemical appearance of tumor nodules from mice inoculated intradermally with 1 × 106 OV-HM cells infected with e none, f Ad-RGD, g Ad-RGD-mCCL27, or h Ad-RGD-mCX3CL1. (Reproduced from Gao et al. [39]).
Chemokine macrophage-derived chemokine /CCL22 also recruits macrophages, monocytes, activated T cells, DCs, B cells, and NK cells (106, 107). Likewise, the EBI1-ligand chemokine/CCL19 and secondary lymphoid-tissue chemokine/CCL21 have chemoattractant activity for T cells, B cells, NK cells, and DCs (108).
Though the findings of recent studies provide experimental evidence that the introduction of chemokines into the tumor environment results in the recruitment of relevant leukocyte subsets in vivo and decreases tumorigenicity of malignant cells, most of the studies used ex vivo methods and few studies have demonstrated that transfection with a chemokine alone can induce a complete regression of tumors, especially in an established tumor mass. Chemokine genes such as those encoding XCL1 and CCL3 have been transfected into tumor cells and although they attracted T lymphocytes to the malignant tissue, they failed to induce regression (109,110). A combination of those chemokines with other cytokines or costimulatory molecules, however, ultimately activates lymphocytes, such as IL-2, CD80, and IL-12, resulting in a marked antitumor effect. The results suggested that the accumulation of immune cells into a tumor itself does not induce notable tumor regression.
Therefore, a potent strategy of combining cytokines and chemokines was proposed (109,111). This strategy, termed ‘attraction-expansion’, is based on the assumption that if more immune cells are recruited to the tumor site by chemokines and subsequently activated by cytokines, the antitumoral immune response will be significantly enhanced. Although a few promising results showed antitumor synergy induced by chemokines and cytokines, the mechanisms are poorly understood and further research is required. Furthermore, the gene carriers, the tumor cells, the types of chemokines and cytokines, as well as the doses used all influence the synergistic activity induced by the chemokines and other immunoregulators.
As described in a previous report, CCL27 suppressed tumor growth through transfection in vitro (39). Intratumoral injection of Ad-RGD-CCL27, however, did not regress the preexisting ovarian tumor, even though many T cells were recruited to the tumor nodule. Further studies revealed that the T cells that accumulated in the tumor expressed little or no perforin, indicating that they were not activated. Then a combined strategy using both CCL27 and IL-12 was studied and this combination induced a synergistic antitumor effect that recruited more immune cells than IL-12 alone and the T cells that accumulated were activated, which did not occur when CCL27 alone was used (112).
The results described above were supported by the finding that among the eight kinds of chemokine-expressing Ad-RGDs (CCL17, CCL19, CCL20, CCL21, CCL22, CCL27, XCL1, and CX3CL1), intratumoral injection of Ad-RGD-CCL19 most efficiently induced T cell infiltration into established B16BL6 tumor parenchyma, whereas most of these T cells were perforin-negative in immunohistochemical analysis (113). Additionally, the growth of Ad-RGD-CCL19-injected tumors as well as that of other tumors treated with each chemokine-expressing Ad-RGD decreased only slightly, indicating that the accumulation of naive T cells in tumor tissue does not effectively damage the tumor cells. In tumor-bearing mice, in which B16BL6-specific T cells were elicited by DC-based immunization, intratumoral injection of Ad-RGD-CCL17, -CCL22, or -CCL27 considerably suppressed tumor growth and attracted activated T cells. On the other hand, Ad-RGD-CCL19 injection into the immunized mice slightly increased the infiltration of T cells compared to treatment with a control vector. Therefore, although Ad-RGD-mediated chemokine gene transduction into established tumors might be very useful for enhancing the number of tumor-infiltrating immune cells, a combination treatment that can systemically induce tumor-specific effector T cells is necessary for satisfactory antitumor efficacy.
In summary, the findings of recent studies provide experimental evidence that the introduction of chemokines into the tumor environment results in the recruitment of relevant leukocyte subsets in vivo and decreases tumorigenicity of malignant cells. In addition, the combination of chemokines with other immunostimulatory factors provides enhanced and long-term antitumor immunity. Consequently, chemokines might act as potent natural adjuvants for experimental antitumor peptide-pulsed DCs; direct coupling to tumor antigens or immunostimulatory cytokines results in synergistic antitumor activity and represents a way to reduce toxic side effects.
Tumor Metastasis and Angiogenesis Induced by Chemokines
As described above, chemokines not only display chemotactic ability for immune cells, but are also involved in many physiologic functions such as inflammation, elimination of infection, tissue repair, cardiovascular disease, allergy, and cancer. Therefore, their effects on tumors are also controversial. Although the studies described above demonstrate that chemokines can induce antitumor effects through transfection of tumor cells in vitro or directly when injected into the preexisting tumor nodules, several studies report that some chemokines enhance tumorigenicity and induce tumor metastasis and angiogenesis. Therefore, the chemokine used for cancer treatment must be chosen carefully (114–117).
A novel chemokine, VCC-1, which is co-regulated in tumors and angiogenesis model systems with vascular endothelial growth factor expression, was recently reported to have a possible role in angiogenesis and in the development of tumors in some tissue types (114). VCC-1 is upregulated by 3- to 24-fold in 71% of breast tumors. In Northern blot analysis of human tissues, a 1-kb band representing VCC-1 was detected in lung and skeletal muscle. Murine VCC-1 expression is detected in lung as well as thyroid, submaxillary gland, epididymis, and uterus tissues by slot blot analysis. In situ hybridization of breast carcinomas showed strong expression of the gene in both normal and transformed mammary gland ductal epithelial cells. In vitro, VCC-1 expression was increased almost 100-fold in human microvascular endothelial cells grown on fibronectin. In addition, in the mouse angioma endothelial cell line PY4.1, VCC-1 was over-expressed by 28-fold 6 h after the induction of tube formation. Finally, 100% of mice injected with NIH3T3 cells over-expressing VCC-1 developed rapidly progressing tumors within 21 days, whereas there was no detectable growth in control mice injected with NIH3T3 cells containing the vector alone. These results strongly suggest that VCC-1 is involved in angiogenesis and possibly in the development of tumors in some tissue types. In another study, Kuroda reported that the expression of MCP-1 was associated with macrophage infiltration and tumor vessel density in human gastric carcinomas (115). The human MCP-1 gene cloned into the BCMGS-Neo expression vector was transfected into the human gastric carcinoma TMK-1 cell line. There was no difference in in vitro proliferation between MCP-1-transfected TMK-1 cells and mock-transfected cells; however, MCP-1 transfectants induced tumor growth in ectopic xenografts and increased tumorigenicity and induced lymph node metastases and ascites in orthotopic xenografts. In both ectopic and orthotopic xenograft models, strong infiltration of macrophages was observed within and around the tumors after implantation of MCP-1 transfectants. The microvessel density was significantly higher in tumors produced by MCP-1 transfectants than in control tumors. These findings suggest that MCP-1 produced by gastric carcinoma cells regulates angiogenesis via macrophage recruitment.
On the other hand, SDF-1 (CXCL12) also has an important role in chemotaxis of cancer cells and in tumor metastasis through its cognate receptor CXCR4. Kang et al. analyzed the expression of CXCL12 and its relation to clinicopathologic features and clinical outcomes in human breast cancer (116). SDF-1 expression was identified in MRC5, MDA-MB-435s, and MDA-MB-436 cell lines. MDA-MB-231 cells transfected with a mammalian expression cassette encoding CXCL12 exhibited significantly greater invasion and migration potential. It was most notable that the levels of CXCL12 correlated significantly with overall survival and incidence-free survival. In another study by the same group, CXCL12-knockout MDA-MB-435s cells had a slower growth rate over a 7-day period compared with the respective control and wild-type MDA-MB-435s cells. In contrast, the growth of the CXCL12-transfected MDA-MB-231SDF1+/+ cells was markedly enhanced when compared with wild-type and vector control cells. Breast cancer cell lines with an autocrine CXCL12-CXCR4 signaling pathway, displayed aggressive behavior, including increased invasiveness and migration, together with faster growth (117).
Another chemokine, CXCL1, mediates the proliferation of glia progenitor cells during neural development. Malignant gliomas are thought to arise from glia progenitors or their differentiated counterparts, astrocytes or oligodendrocytes. Zhou et al. reported that resected glioma specimens were strongly immunoreactive for CXCL1 expression in cells with tumor cell morphology (118). In culture, a U251 glioma line transfected to overexpress CXCL1 had increased motility and invasiveness. CXCL1 transfectants increased the expression of several proteins associated with migratory behavior, including matrix metalloproteinase-2, beta1-integrin, and SPARC. Implantation of CXCL1 glioma clones into the brains of nude mice decreased survival time in the mice, which was associated with the formation of larger intracerebral tumors compared with mice implanted with control vector lines. These results implicate the involvement of CXCL1 in gliomas and suggest that the dysregulation of a glia proliferative factor contributes to tumorigenesis.
Dendritic Cell-Based System for Cancer Immunotherapy
Cell-based approaches to treat cancer include the adoptive transfer of immunologic effector cells such as tumor-specific CTLs and cell-based tumor vaccines (119–121). Cell-based tumor vaccines often consist of autologous or allogeneic tumor cells that can be genetically modified (122–125), or they are based on professional antigen-presenting cells such as DCs loaded with TAAs (126–129). Alternatively, DCs might be fused with tumor cells or genetically modified to express TAAs and/or immunostimulatory genes.
DCs are the most potent specialized antigen-presenting cells for initiating antigen-specific immune responses. DCs are widely distributed in vivo and highly express surface levels of major histocompatibility complex (MHC) class I and class II adhesion and costimulatory molecules, all of which assist in T cell activation (130). After antigen acquisition and processing, DCs migrate via lymph vessels or blood to the T cell areas of regional lymphoid tissues, where they present MHC class I- and II-restricted peptides to naïve T cells (131). TAA-containing DCs are currently used as cellular vaccines in clinical trials of cancer immunotherapy (132–137). In preclinical and clinical studies, mostly in vitro generated mature monocyte derived DCs in combination with TAAs are used for the treatment of advanced cancer patients (138, 139). Also, antigen-bearing DCs have been used as “natural adjuvants’’ in numerous clinical trials for the immunotherapy of melanoma (140). Selected clinical trials of DC-based cancer therapies are listed in Table 2. The majority of studies showed that DC-based vaccination of melanoma patients provides a safe approach to anticancer immunotherapy that can be effective in some patients with only minimal side effects (141). The most promising results were obtained after vaccination with RNA-transfected DCs in a small cohort of renal cancer patients (132). T cell activity was detected in the majority of patients evaluated after vaccination and 7 of 10 patients were still alive after a mean follow-up of 19 months, which are encouraging results. There are several limitations of the current DC-based vaccination strategies, however, including: (1) immune evasion of tumor cells by downregulation of surface (MHC, costimulatory molecules, epitopes) or intracellular molecules; (2) secretion of soluble immunosuppressive cytokines by tumor cells that convert immature DCs into tolerogenic DCs; (3) induction of regulatory T cell through tolerogenic DCs; and (4) presence of naturally occurring, antigen-specific regulatory T cells (140). Therefore, despite repeated T cell activation with antigen loaded DCs, only rarely does DC immunization induce stable disease or regression of tumor metastases at the level of clinical responses (138,142,143).
Table 2.
Selected Clinical Trials of Dendritic Cell-Based Cancer Therapies
| Author | Tumor | Patient Num. | DC | Results |
|---|---|---|---|---|
| Thurner et al. [163] | Metastatic melanoma | 11 | Monocyte-derived mature DCs | Expansion of IFN-γ-producing tumor-specific CTL |
| Chang et al. [164] | Myeloma, squamous cancer and renal cell cancer | 5 | Monocyte-derived mature DCs loaded with α-GalCer | Expansion of several subsets of NKT cells in all patients and detected for up to 6 months after vaccination |
| Kyte et al. [165] | Advanced malignant melanoma | 22 | Monocyte-derived DCs transfected with tumor-mRNA | Successful vaccine production in all patients. No serious adverse effects were observed. A vaccine-specific immune response was demonstrated in 9/19 patients |
| Guo et al. [166] | Advanced melanoma | 18 | DCs in combination with local hyperthermia | Decreased infiltration of regulatory T cells and increased infiltration of active CTL. Overall survival time was not statistically different between treated group and the control |
| Nakai et al. [167] | Advanced malignant melanoma | 16 | Peptides and tumor lysate-pulsed monocyte-derived DCs | Stable disease, progression of disease and disease-free were 3/11, 6/11, and 2/11, respectively. 10/14 cases showed positive DTH responses. 8/13 cases showed positive immunologic responses. |
| Butterfield et al. [168] | Hepatocellular carcinoma | 16 | DCs pulsed with α-fetoprotein peptides | 6/10 subjects increased IFNgamma producing AFP-specific T cell responses to at least one of the peptides postvaccination |
| Thomas-Kaskel et al. [169] | Hormone- and chemotherapy-refractory prostate cancer | 12 | DCs presenting PSCA and PSA peptides | Twelve patients completed vaccination without relevant toxicities. Six patients had stable disease. One had complete tumor regression. Four with SD and 1 progressor developed a positive DTH. DTH-positivity was associated with significantly superior survival |
| Hildenbrand et al. [170] | Hormone refractory prostate carcinoma | 12 | DCs pulsed with HLA-A2-specific PSA peptides plus IFN-γ | The vaccination was well tolerated without any vaccination-associated adverse events. All responders showed a positive DTH-response, but only two showed a slight increase in PSA-peptide specific T lymphocytes. |
| Westermann et al. [171] | Chronic myeloid leukemia | 10 | Autologous DCs | Feasible, safe and induces anti-leukemic T cell responses in some CML patients. In some patients, T cells recognizing leukemia-associated antigens became detectable |
| Maier et al. [172] | Cutaneous T cell lymphoma | 10 | Autologous tumor-lysate-pulsed DCs | Selected patients had massive infiltration of CD8+ and TIA+ cytotoxic T cells at the site of regressing lesions and molecular remission after therapy. 3/5 patients showed significant tumor-lysate-specific increases of in vitro peripheral blood lymphocyte proliferation |
| Nestle et al. [173] | Metastatic melanoma | 16 | Monocyte-derived immature DCs | Recruitment of T cells to DTH challenge site as an immunologic response in some patients |
| Banchereau et al. [174] | Melanoma | 18 | CD34+ | Induction of immunity to multiple antigen epitopes is correlated with a prolonged stable disease |
AFP: alpha fetoprotein, CML: chronic myelogenous leukemia, CTL: cytotoxic T lymphocytes, DC: dendritic cell, DTH: delayed-type hypersensitivity, IFN: interferon, NKT: natural killer T cells, PSA: prostate-specific antigen, PSCA: prostate cancer stem cell antigen, SD: stable disease
On the other hand, the vaccine efficacy of TAA peptide-pulsed DCs might be limited in vivo because peptides pulsed onto DCs only transiently bind to MHC molecules due to variations in peptide binding affinities, peptide–MHC complex dissociation, and MHC turnover (144). Additionally, the use of peptide-pulsed DCs is greatly dependent upon identification of the TAA peptide epitopes corresponding to the MHC haplotype of the patient. To solve these problems, introduction of the TAA gene into DCs has been explored. Transduction of DCs with TAA genes might allow for constitutive expression of the full-length protein, leading to prolonged antigen presentation in vivo, as well as presentation of multiple or unidentified antigen epitopes appropriate to MHC class I, and possibly class II molecules.
Generally speaking, gene introduction efficiency and expression efficiency in DCs is very low when using conventional gene transduction methods, such as lipofection, electroporation, or conventional Ad vector infection. In a previous study, we demonstrated that Ad-RGD could more efficiently transduce a gene into DCs than conventional Ad vectors (94). Comparison of immunologic properties and vaccine efficacy of DCs transduced with the antigen gene by Ad-RGD and conventional Ad vectors indicated that DCs transduced with the antigen gene by Ad-RGD more efficiently presented antigen peptides via MHC class I molecules in a vector particle-dependent manner and induced an antigen-specific CTL response by vaccination than did DCs transduced with the antigen gene by conventional Ad vectors (132,144). Moreover, vaccination with DCs transduced with an antigen gene by Ad-RGD induced antigen-specific CTLs and an equal or greater antitumor effect against challenge with antigen-expressing tumor cells while using lower doses of Ad vectors for infection or fewer cells for immunization than a vaccination procedure using DCs transduced with an antigen gene by conventional Ad vectors. In addition, DC maturation was promoted by efficient expression of the antigen gene by Ad-RGD, and was accompanied by elevated expression of MHC class I and II molecules and adhesion and/or costimulatory molecules such as CD40, CD54, CD80, and CD86, as well as the production of T cell stimulatory cytokines.
On the other hand, another potential cause of the disappointing results of DC-based immunotherapy for cancer is insufficient investigation and understanding of methods that can improve the trafficking of DC vaccines from the administration site to lymphoid tissues. In addition, immune effector cells activated by TAA-presenting DC vaccines should accumulate more efficiently in tumor tissue to injure tumor cells by cell–cell contact. Therefore innovative approaches capable of better controlling the trafficking and biodistribution of DC vaccines and immune effector cells are needed to overcome the limitations of current DC-based immunotherapy for cancer. On the basis of the serial immune mechanisms, the degree of accumulation of administered DC vaccine in lymphoid tissues, where they present MHC class I and II-restricted peptides to naive T cells, is a factor in determining the therapeutic effects in DC-based immunotherapy. Because optimal DC conditioning for enhancing the migratory ability has not yet been established, however, very few DC vaccines in currently available DC-based immunotherapies are capable of migrating from the administration site to regional lymphoid tissue (138,142,144).
In recent years, there have been many reports on chemokine-chemokine receptor coupling in DC-migration from peripheral tissue to lymphoid tissue. For example, DC-migration to secondary lymphoid tissues is inhibited in CCL21 expression-defective plt/plt mice (145) and inhibition of DC-migration to secondary lymphoid tissues occurs in CCR7-knockout mice (146). Based on these results, the association between CCL21, which is produced and secreted constitutively in lymphoid tissues and lymphatic vessels, and CCR7, a seven-transmembrane domain G protein-coupled receptor whose expression is enhanced on the surface of maturing DCs, has a central role in the control of DC-migration from peripheral tissue to lymphoid tissues. Therefore, DCs, which are not only introduced with antigens but also exhibit enhanced CCR7-expression, might positively migrate to lymphoid tissue and efficiently activate the host immune system after administration to a living body.
Efficient CCR7-gene transduction to DCs is proposed as a preparatory method for this novel “lymphoid tissue-directivity DC” vaccine (Fig. 3). CCR7/DCs, which are DCs transfected by CCR7-encoding Ad-RGD, acquire strong chemotactic activity for CCL21 and exhibit an immunophenotype similar to mature, but not immature, DCs with regard to MHC/costimulatory molecule-expression levels and allogenic T cell proliferation-stimulating ability, while maintaining inherent endocytotic activity (147). Importantly, CCR7/DCs injected intradermally into mice accumulate in draining lymph nodes approximately 5.5-fold more efficiently than control Ad-RGD-transduced DCs. Reflecting these properties of CCR7/DCs, DC vaccines genetically engineered to simultaneously express endogenous antigen and CCR7 could elicit a more effective antigen-specific immune response in vivo using a lower dose than DC vaccine transduced with antigen alone. Therefore, the application of CCR7/DCs having positive migratory ability to lymphoid tissues might contribute to reduce the effort and cost associated with DC vaccine preparation by considerably reducing the DC vaccine dose needed to achieve effective treatment by DC-based immunotherapy. In another report, Yang et al. used a different strategy: they transduced DCs with an adenovirus vector expressing secondary lymphoid chemokine (CCL21) and evaluated its antitumor activity in a murine model of spontaneous bronchoalveolar cell carcinoma (148). The transgenic mice (CC-10 TAg) expressed the SV40 large T antigen (TAg) under the Clara cell promoter, developed bilateral, multifocal, and pulmonary adenocarcinomas, and died at 4 months of age as a result of progressive pulmonary tumor burden. A single intratracheal administration of CCL21 gene-modified DCs (DC-AdCCL21) markedly reduced the tumor burden with extensive mononuclear cell infiltration of the tumors. The reduced tumor burden was accompanied by the enhanced production of type 1 cytokines such as interferon-gamma, IL-12, and GM-CSF and antiangiogenic chemokines such as CXCL9 and CXCL10. At the same time, there was a concomitant decrease in the immunosuppressive molecules IL-10, transforming growth factor-beta, and prostaglandin E(2) in the tumor microenvironment. The DC-AdCCL21 treatment group had a significantly greater percentage of tumor-specific T cells releasing interferon-gamma compared with the controls. Continuous therapy with weekly intranasal delivery of DC-AdCCL21 significantly prolonged median survival time in the CC-10 TAg mice. Both innate NK and specific T cell antitumor responses significantly increased following DC-AdCCL21 therapy. These results provide a strong rationale for further evaluation of intrapulmonary-administered DC-AdCCL21 to regulate tumor immunity and genetic immunotherapy for lung cancer.
Fig. 3.
Enhancement of DC migration to lymphoid tissues by chemokine receptor expression on DCs. Increasing the migratory ability of a DC vaccine toward lymphoid tissue would remarkably improve the efficacy of DC-based immunotherapy. The chemokine receptor (CCR7) facilitates DC migration to lymphoid tissues. Superior lymphoid tissue-accumulation of DCs transduced with the CCR7 gene (CCR7/DCs) is advantageous as a vaccine carrier because it efficiently activates immune effector cells in regional lymph nodes.
DCs genetically modified with CX3CL1 ex vivo to overexpress CX3CL1 and induce immune cell migration to enhance the T cell-mediated cellular immune response with a consequent induction of antitumor immunity to suppress tumor growth were also developed (149). Different mouse cancers (B16-F10 melanoma, H-2b, and Colon-26 colon adenocarcinoma, H-2d) were established and treated with intratumoral injection of bone marrow-derived DCs that was modified in vitro with an RGD fiber-mutant adenovirus vector expressing mouse CX3CL1 (Ad-CX3CL1). In both tumor models tested, treatment of tumor-bearing mice with Ad-CX3CL1-transduced DCs significantly suppressed tumor growth and increased survival compared to control mice. Immunohistochemical analysis of tumors treated with direct injection of Ad-CX3CL1-transduced DCs demonstrated that the treatment resulted in an accumulation of CD8+ T cells and CD4+ T cells in the tumor milieu, leading to the activation of immune-relevant processes. Consistent with the finding, the intratumoral administration of Ad-CX3CL1-transduced DCs evoked tumor-specific CTLs, which resulted from in vivo priming of Th1 immune responses in the treated host. In addition, the antitumor effect provided by intratumoral injection of Ad-CX3CL1-transduced DCs was completely abolished in CD4+ T cell-deficient mice as well as in CD8+ T cell-deficient mice. These results indicate that genetic modification of DCs with a recombinant CX3CL1 adenovirus vector might be a useful strategy for cancer immunotherapy protocols.
DIRECTIONS AND DEVELOPMENTAL STRATEGIES FOR SUCCESSFUL CANCER THERAPY BASED ON IMMUNE CELL RECRUITMENT AND CELL-BASED THERAPY
Although the results from the above studies are encouraging, the strategies for successful cancer therapy based on immune cell recruitment remain to be elucidated. The findings of recent studies provide experimental evidence that introducing chemokines into the tumor environment results in the recruitment of relevant leukocyte subsets in vivo and decreases tumorigenicity of malignant cells. Chemokines have been used in only a few clinical trials. The results of pilot studies suggest that the combination of chemokines with other therapeutic genes or approaches that efficiently induce the activation of immune cells provide enhanced and long-term antitumor immunity. Also, chemokines might act as potent natural adjuvants for experimental antitumor peptide-pulsed DCs; direct coupling to tumor antigens or immunostimulatory cytokines results in synergistic antitumor activity and represents a way to reduce toxic side effects.
On the other hand, whether or not DC vaccinations can provide a significant, long-term benefit in clinical cancer treatment also remains to be determined. There are several limitations of the current DC-based vaccination strategies, such as immune evasion of tumor cells by downregulation of surface or intracellular molecules; induction of regulatory T cells through tolerogenic DCs; secretion of soluble immunosuppressive cytokines by tumor cells that convert immature into tolerogenic DCs, etc. To improve the clinical efficiency of DC tumor vaccination trials, several key points should to be considered (150, 151). The search for highly immunogenic antigen/peptides must be intensified, not only to possibly improve clinical benefit, but also to monitor the immunologic response; DCs should be modified with functional genes such as α-GalCer, tumor-mRNA, and PSA peptide, to enhance their anti-tumor efficiency; DCs should be combined with chemokine receptors to facilitate their migration to lymph nodes; DCs should be combined with cytokines such as interferon-γ or with hyperthermia ito enhance DC function; and a standard protocol should be developed for DC generation and activation to improve the reproducibility of the vaccination procedure and allow for a comparison of the results from different studies.
CONCLUSION
In vivo control of immune cells such as T cells and NK cells, or DCs to tumors or lymphoid tissues, is very useful for enhancing the efficacy of cancer immunotherapy. Therefore, many approaches that can enhance the recruitment of activated immune cells and the development of a DC-based system have been investigated. These efforts are expected to greatly improve antitumor responses and lead to an effective clinical application for cancer therapy.
Acknowledgements
This study was supported in part by the Research on Health Sciences focusing on Drug Innovation from The Japan Health Sciences Foundation; by grants from the Bioventure Development Program of the Ministry of Education, Culture, Sports, Science and Technology of Japan; by Grants-in-Aid for Scientific Research (C) from the Ministry of Education, Culture, Sports, Science and Technology of Japan; by the National Natural Science Foundation of China (30572270); and by SRF for ROCS, SEM, China; and by grants from the Ministry of Health and Welfare in Japan.
Contributor Information
Jian-Qing Gao, Phone: +86-571-88208437, FAX: +86-571-88208436, Email: gaojianqing1029@yahoo.com.cn.
Shinsaku Nakagawa, Phone: +81-6-68798176, FAX: +81-6-68798179, Email: nakagawa@phs.osaka-u.ac.jp.
References
- 1.M. Schuster, A. Nechansky, and R. Kircheis. Cancer immunotherapy. Biotechnol. J.1:138–147 (2006). [DOI] [PubMed]
- 2.T. Hinz, C. J. Buchholz, S. T. van der, K. Cichutek, and U. Kalinke. Manufacturing and quality control of cell-based tumor vaccines: a scientific and a regulatory perspective. J. Immunother.29:472–476 (2006). [DOI] [PubMed]
- 3.G. P. Dunn, C. M. Koebel, and R. D. Schreiber. Interferons, immunity and cancer immunoediting. Nat. Rev. Immunol.6:836–848 (2006). [DOI] [PubMed]
- 4.J. N. Blattman and P. D. Greenberg. Cancer immunotherapy: a treatment for the masses. Science305:200–205 (2004). [DOI] [PubMed]
- 5.M. Whelan, J. Whelan, N. Russell, and A. Dalgleish. Cancer immunotherapy: an embarrassment of riches? Drug Discov. Today8:253–258 (2003). [DOI] [PubMed]
- 6.S. A. Rosenberg. Shedding light on immunotherapy for cancer. N. Engl. J. Med.350:1461–1463 (2004). [DOI] [PMC free article] [PubMed]
- 7.K. M. Hege, K. Jooss, and D. Pardoll. GM-CSF gene-modifed cancer cell immunotherapies: of mice and men. Int. Rev. Immunol.25:321–352 (2006). [DOI] [PubMed]
- 8.M. Kurooka and Y. Kaneda. Inactivated Sendai virus particles eradicate tumors by inducing immune responses through blocking regulatory T cells. Cancer Res.67:227–236 (2007). [DOI] [PubMed]
- 9.C. Palena, S. I. Abrams, J. Schlom, and J. W. Hodge. Cancer vaccines: preclinical studies and novel strategies. Adv. Cancer Res.95:115–145 (2006). [DOI] [PubMed]
- 10.S. Liu, B. A. Foster, T. Chen, G. Zheng, and A. Chen. Modifying dendritic cells via protein transfer for antitumor therapeutics. Clin. Cancer Res.13:283–291 (2007). [DOI] [PubMed]
- 11.L. Zhang, J. R.Conejo-Garcia, D. Katsaros, et al. Intratumoral T cells, recurrence, and survival in epithelial ovarian cancer. N. Engl. J. Med.348:203–213(2003). [DOI] [PubMed]
- 12.E. Sato, S. H. Olson, J. Ahn, et al. Intraepithelial CD8+ tumor-infiltrating lymphocytes and a high CD8+/regulatory T cell ratio are associated with favorable prognosis in ovarian cancer. Proc. Natl. Acad. Sci. U. S. A.102:18538–18543(2005). [DOI] [PMC free article] [PubMed]
- 13.A. K. Eerola, Y. Soini, and P. Paakko. A high number of tumor-infiltrating lymphocytes are associated with a small tumor size, low tumor stage, and a favorable prognosis in operated small cell lung carcinoma. Clin. Cancer Res.6:1875–1881 (2000). [PubMed]
- 14.X. Y. Yin, M. D. Lu, Y. R. Lai, L. J. Liang, and J. F. Huang. Prognostic significances of tumor-infiltrating S-100 positive dendritic cells and lymphocytes in patients with hepatocellular carcinoma. Hepatogastroenterology50:1281–1284 (2003). [PubMed]
- 15.A. Fukunaga, M. Miyamoto, Y. Cho, S. Murakami, Y. Kawarada, T. Oshikiri, K Kato., T. Kurokawa, M. Suzuoki, Y. Nakakubo, K. Hiraoka, T. Itoh, T. Morikawa, S. Okushiba, S. Kondo, and H. Katoh. CD8+ tumor-infiltrating lymphocytes together with CD4+ tumor-infiltrating lymphocytes and dendritic cells improve the prognosis of patients with pancreatic adenocarcinoma. Pancreas28:e26–e31 (2004). [DOI] [PubMed]
- 16.Y. Naito, K. Saito, K. Shiiba, A. Ohuchi, K. Saigenji, H. Nagura, and H. Ohtani. CD8+ T cells infiltrated within cancer cell nests as a prognostic factor in human colorectal cancer. Cancer Res.58:3491–3494 (1998). [PubMed]
- 17.S. A. Rosenberg, J. R. Yannelli, J. C. Yang, S. L. Topalian, D. J. Schwartzentruber, J. S. Weber, D. R. Parkinson, C. A. Seipp, J. H. Einhorn, and D. E. White. Treatment of patients with metastatic melanoma with autologous tumor-infiltrating lymphocytes and interleukin 2. J. Natl. Cancer Inst.86:1159–1166 (1994). [DOI] [PubMed]
- 18.O. Mandelboim, E. Vadai, M. Fridkin, A. Katz-Hillel, M. Feldman, G. Berke, and L. Eisenbach. Regression of established murine carcinoma metastases following vaccination with tumour-associated antigen peptides. Nat. Med.1:1179–1183 (1995). [DOI] [PubMed]
- 19.R. M. Conry, D. T. Curiel, T. V. Strong, S. E. Moore, K. O. Allen, D. L. Barlow, D. R. Shaw, and A. F. LoBuglio. Safety and immunogenicity of a DNA vaccine encoding carcinoembryonic antigen and hepatitis B surface antigen in colorectal carcinoma patients. Clin. Cancer Res.8:2782–2787 (2002). [PubMed]
- 20.G. Dranoff, E. Jaffee, A. Lazenby, P. Golumbek, H. Levitsky, K. Brose, V. Jackson, H. Hamada, D. Pardoll, and R. C. Mulligan. Vaccination with irradiated tumor cells engineered to secrete murine granulocyte-macrophage colony-stimulating factor stimulates potent, specific, and long-lasting anti-tumor immunity. Proc. Natl. Acad. Sci. U. S. A.90:3539–3543 (1993). [DOI] [PMC free article] [PubMed]
- 21.H. Asada, T. Kishida, H. Hirai, E. Satoh, S. Ohashi, M. Takeuchi, T. Kubo, M. Kita, Y. Iwakura, J. Imanishi, and O. Mazda. Significant antitumor effects obtained by autologous tumor cell vaccine engineered to secrete interleukin (IL)-12 and IL-18 by means of the EBV/lipoplex. Mol. Ther.5:609–616 (2002). [DOI] [PubMed]
- 22.J. I. Mayordomo, T. Zorina, W. J. Storkus, L. Zitvogel, C. Celluzzi, L. D. Falo, C. J. Melief, S. T. Ildstad, W. M. Kast, A. B. Deleo, and M. T. Lotze. Bone marrow-derived dendritic cells pulsed with synthetic tumour peptides elicit protective and therapeutic antitumour immunity. Nat. Med.1:1297–1302 (1995). [DOI] [PubMed]
- 23.W. Song, H. L. Kong, H. Carpenter, H. Torii, R. Granstein, S. Rafii, M. A. Moore, and R. G. Crystal. Dendritic cells genetically modified with an adenovirus vector encoding the cDNA for a model antigen induce protective and therapeutic antitumor immunity. J. Exp. Med.186:1247–1256 (1997). [DOI] [PMC free article] [PubMed]
- 24.S. K. Nair, A. Heiser, D. Boczkowski, A. Majumdar, M. Naoe, J. S. Lebkowski, J. Vieweg, and E. Gilboa. Induction of cytotoxic T cell responses and tumor immunity against unrelated tumors using telomerase reverse transcriptase RNA transfected dendritic cells. Nat. Med.6:1011–1017 (2000). [DOI] [PubMed]
- 25.K. Petrak. Essential properties of drug-targeting delivery systems. Drug Discov. Today10:1667–1673 (2005). [DOI] [PubMed]
- 26.T. Minko, S. S. Dharap, R. I. Pakunlu, and Y. Wang. Molecular targeting of drug delivery systems to cancer. Curr. Drug Targets5:389–406 (2004). [DOI] [PubMed]
- 27.S. A. Wissing, O. Kayser, and R. H. Muller. Solid lipid nanoparticles for parenteral drug delivery. Adv. Drug Deliv. Rev.56:1257–1272 (2004). [DOI] [PubMed]
- 28.C. C. Muller-Goymann. Physicochemical characterization of colloidal drug delivery systems such as reverse micelles, vesicles, liquid crystals and nanoparticles for topical administration. Eur. J. Pharm. Biopharm.58:343–356 (2004). [DOI] [PubMed]
- 29.O. Yoshie, T. Imai, and H. Nomiyama. Chemokines in immunity. Adv. Immunol.78:57–110 (2001). [DOI] [PubMed]
- 30.A. Zlotnik, and O. Yoshie. Chemokines: a new classification system and their role in immunity. Immunity12:121–127 (2000). [DOI] [PubMed]
- 31.V. I. Slettenaar, and J. L. Wilson. The chemokine network: a target in cancer biology?. Adv. Drug Deliv. Rev.58:962–974 (2006). [DOI] [PubMed]
- 32.A. Imaizumi, M. Torisu, and T. Yoshida. A chemotactic factor for rat thymocytes may regulate T-lymphocyte migration toward the thymic microenvironment. Cell. Immunol.108:53–63 (1987). [DOI] [PubMed]
- 33.D. Wang, H. Wang, J. Brown, T. Daikoku, W. Ning, Q. Shi, A. Richmond, R. Strieter, S. K. Dey, and R. N. DuBois. CXCL1 induced by prostaglandin E2 promotes angiogenesis in colorectal cancer. J. Exp. Med.203:941–951 (2006). [DOI] [PMC free article] [PubMed]
- 34.T. Tsuchiyama, Y. Nakamoto, Y. Sakai, Y. Marukawa, M. Kitahara, N. Mukaida, and S. Kaneko. Prolonged, NK cell-mediated antitumor effects of suicide gene therapy combined with monocyte chemoattractant protein-1 against hepatocellular carcinoma. J. Immunol.178:574–583 (2007). [DOI] [PubMed]
- 35.U. Thanarajasingam, L. Sanz, R. Diaz, J. Qiao, L. Sanchez-Perez, T. Kottke, J. Thompson, J. Chester, and R. G. Vile. Delivery of CCL21 to metastatic disease improves the efficacy of adoptive T-cell therapy. Cancer Res.67:300–308 (2007). [DOI] [PubMed]
- 36.F. Nishimura, J. E. Dusak, J. Eguchi, X. Zhu, A. Gambotto, W. J. Storkus, and H. Okada. Adoptive transfer of type 1 CTL mediates effective anti-central nervous system tumor response: critical roles of IFN-inducible protein-10. Cancer Res.66:4478–4487 (2006). [DOI] [PubMed]
- 37.T. Ishida, T. Ishii, A. Inagaki, H. Yano, S. Kusumoto, M. Ri, H. Komatsu, S. Iida, H. Inagaki, and R. Ueda. The CCR4 as a novel-specific molecular target for immunotherapy in Hodgkin lymphoma. Leukemia20:2162–2168 (2006). [DOI] [PubMed]
- 38.K. Flanagan, R. T. Glover, H. Horig, W. Yang, and H. L. Kaufman. Local delivery of recombinant vaccinia virus expressing secondary lymphoid chemokine (SLC) results in a CD4 T-cell dependent antitumor response. Vaccine22:2894–2903 (2004). [DOI] [PubMed]
- 39.J. Q. Gao, Y. Tsuda, K. Katayama, T. Nakayama, Y. Hatanaka, Y. Tani, H. Mizuguchi, T. Hayakawa, O. Yoshie, Y. Tsutsumi, T. Mayumi, and S. Nakagawa. Antitumor effect by interleukin-11 receptor alpha-locus chemokine/CCL27, introduced into tumor cells through a recombinant adenovirus vector. Cancer Res.63:4420–4425 (2003). [PubMed]
- 40.N. Okada, J. Q. Gao, A. Sasaki, M. Niwa, Y. Okada, T. Nakayama, O. Yoshie, H. Mizuguchi, T. Hayakawa, T. Fujita, A. Yamamoto, Y. Tsutsumi, T. Mayumi, and S. Nakagawa. Anti-tumor activity of chemokine is affected by both kinds of tumors and the activation state of the host s immune system: implications for chemokine-based cancer immunotherapy. Biochem. Biophys. Res. Commun.317:68–76 (2004). [DOI] [PubMed]
- 41.C. G. Figdor, I. J. de Vries, I, W. J. Lesterhuis, and C. J. Melief. Dendritic cell immunotherapy: mapping the way. Nat. Med.10:475–480 (2004). [DOI] [PubMed]
- 42.J. Banchereau and R. M. Steinman. Dendritic cells and the control of immunity. Nature392:245–252 (1998). [DOI] [PubMed]
- 43.Z. Chen, D. Xia, X. Bi, A. Saxena, N. Sidhu, A. El-Gayed, and J. Xiang. Combined radiation therapy and dendritic cell vaccine for treating solid tumors with liver micro-metastasis. J. Gene Med.7:506–517 (2005). [DOI] [PubMed]
- 44.G. Hintzen, L. Ohl, M. L. del Rio, J. I. Rodriguez-Barbosa, O. Pabst, J. R. Kocks, J. Krege, S. Hardtke, and R. Forster. Induction of tolerance to innocuous inhaled antigen relies on a CCR7-dependent dendritic cell-mediated antigen transport to the bronchial lymph node. J. Immunol.177:7346–7354 (2006). [DOI] [PubMed]
- 45.T. Osada, T. M. Clay, C. Y. Woo, M. A. Morse, and H. K. Lyerly. Dendritic cell-based immunotherapy. Int. Rev. Immunol.25:377-413 (2006). [DOI] [PubMed]
- 46.J. Yang and A. Richmond. The angiostatic activity of interferon-inducible protein-10/CXCL10 in human melanoma depends on binding to CXCR3 but not to glycosaminoglycan. Mol. Ther.9:846–855 (2004). [DOI] [PMC free article] [PubMed]
- 47.C. Guiducci, C. E. Di, M. Parenza, M. Hitt, M. Giovarelli, P. Musiani, and M. P. Colombo. Intralesional injection of adenovirus encoding CC chemokine ligand 16 inhibits mammary tumor growth and prevents metastatic-induced death after surgical removal of the treated primary tumor. J. Immunol.172:4026–4036 (2004). [DOI] [PubMed]
- 48.M. Burnet. Cancer; a biological approach. I. The processes of control. Br. Med. J.1:779–786 (1957). [DOI] [PMC free article] [PubMed]
- 49.O. Stutman. Tumor development after 3-methylcholanthrene in immunologically deficient athymic-nude mice. Science183:534–536 (1974). [DOI] [PubMed]
- 50.V. Shankaran, H. Ikeda, A. T. Bruce, J. M. White, P. E. Swanson, L. J. Old, and R. D. Schreiber. IFNgamma and lymphocytes prevent primary tumour development and shape tumour immunogenicity. Nature410:1107–1111 (2001). [DOI] [PubMed]
- 51.J. N. Blattman and P. D. Greenberg. Cancer immunotherapy: a treatment for the masses. Science305:200–205 (2004). [DOI] [PubMed]
- 52.B. Wiemann and C. O. Starnes. Coley s toxins, tumor necrosis factor and cancer research: a historical perspective. Pharmacol. Ther.64:529–564 (1994). [DOI] [PubMed]
- 53.J. Copier and A. Dalgleish. Overview of tumor cell-based vaccines. Int. Rev. Immunol.25:297–319 (2006). [DOI] [PubMed]
- 54.S. Goto, A. Noguchi, H. Jinguji, and M. Takahara. The therapeutic potential of immuno-cell therapy of cancer in combination with aminobisphosphonates. Anticancer Res.26:3989–3995 (2006). [PubMed]
- 55.K. M. Jacobsohn and C. G. Wood. Adjuvant therapy for renal cell carcinoma. Semin. Oncol.33:576–582 (2006). [DOI] [PubMed]
- 56.G. C–cile, S. Arnulf, S. Stefan, and R. Hans-Georg. Immunotherapy of renal cell carcinoma. Cancer Immunol. Immunother.56:117–128(2007). [DOI] [PMC free article] [PubMed]
- 57.D. Cross, and J. K. Burmester. Gene therapy for cancer treatment: past, present and future. Clin. Med. Res.4:218–227 (2006). [DOI] [PMC free article] [PubMed]
- 58.S. Shu, J.C. Alistair, R.R. Huang, L.M. Donald, and T.M. Holden, Immune responses in the draining lymph nodes against cancer: Implications for immunotherapy. Cancer Metastasis Rev.25:233–242 (2006). [DOI] [PubMed]
- 59.J. A. Berzofsky, M. Terabe, S. Oh, I. M. Belyakov, J. D. Ahlers, J. E. Janik, and J. C. Morris. Progress on new vaccine strategies for the immunotherapy and prevention of cancer. J. Clin. Invest.113:1515–1525 (2004). [DOI] [PMC free article] [PubMed]
- 60.M. Harris. Monoclonal antibodies as therapeutic agents for cancer. Lancet Oncol.5:292–302 (2004). [DOI] [PubMed]
- 61.L. Muller and G. Pawelec. Cytokines and antitumor immunity. Technol. Cancer Res. Treat.2:183–194 (2003). [DOI] [PubMed]
- 62.J. Atzpodien, R. Hoffmann, M. Franzke, C. Stief, T. Wandert, and M. Reitz. Thirteen-year, long-term efficacy of interferon 2alpha and interleukin 2-based home therapy in patients with advanced renal cell carcinoma. Cancer95:1045–1050 (2002). [DOI] [PubMed]
- 63.A. H. Baselmans, J. W. Koten, J. J. Battermann, J. E. Van Dijk, and O. W. Den. The mechanism of regression of solid SL2 lymphosarcoma after local IL-2 therapy. Cancer Immunol. Immunother.51:492–498 (2002). [DOI] [PMC free article] [PubMed]
- 64.R. M. Steinman and M. Pope. Exploiting dendritic cells to improve vaccine efficacy. J. Clin. Invest.109:1519–1526 (2002). [DOI] [PMC free article] [PubMed]
- 65.S. Nawrocki, P.J. Wysocki, A. Mackiewicz. Genetically modified tumour vaccines: an obstacle race to break host tolerance to cancer. Expert Opin. Biol. Ther.1:193–204 (2001). [DOI] [PubMed]
- 66.T. Kikuchi. Genetically modified dendritic cells for therapeutic immunity. Tohoku J. Exp. Med.208:1–8 (2006). [DOI] [PubMed]
- 67.J. W. Hodge, J. W. Greiner, K. Y. Tsang, H. Sabzevari, C. Kudo-Saito, D. W. Grosenbach, J. L. Gulley, P. M. Arlen, J. L. Marshall, D. Panicali, J. Schlom. Costimulatory molecules as adjuvants for immunotherapy. Front. Biosci.11:788–803 (2006). [DOI] [PubMed]
- 68.G.G. Leichman, D. Woytowitz, D. Mezger, J. Albert, G. Schmalbach, T. Al-Adhami, and M. Manegold. CPG 7909, a TLR9 agonist, added to first line taxane/platinum for advanced non-small cell lung cancer, a randomized, controlled phase II study. ASCO Annual Meeting. Abstract 7039 (2005).
- 69.H. Richard, J. Justin, and W.C. Miles. Recombinant viral vectors: Cancer vaccines. Adv. Drug Deliv. Rev.58:931–947 (2006). [DOI] [PubMed]
- 70.J. Nemunaitis. GVAX (GMCSF gene modified tumor vaccine) in advanced stage non small cell lung cancer. J. Control. Release91:225–231 (2003). [DOI] [PubMed]
- 71.J. Nemunaitis, J. Schiller, H. Ross, D. Jablons, H. Harper, D. Sterman, K. Kelly, D. Carbone, A. Lin, D. Maslyar, and K. Hege. A phase 2 randomized study of GM-CSF gene-modified autologous tumor cell immunotherapy (CG8123) with and without low-dose cyclophosphamide in advanced stage non-small cell lung cancer (NSCLC). Mol. Ther.13:S243 (2006).
- 72.R. A. Figlin, W. C. Pierce, R. Kaboo, C. L. Tso, N. Moldawer, B. Gitlitz, J. deKernion, and A. Belldegrun. Treatment of metastatic renal cell carcinoma with nephrectomy, interleukin-2 and cytokine-primed or CD8(+) selected tumor inWltrating lymphocytes from primary tumor. J. Urol.158:740–745 (1997). [DOI] [PubMed]
- 73.N. F. Gordon, and B. L. Clark. The challenges of bringing autologous HSP-based vaccines to commercial reality. Methods32:63–69 (2004). [DOI] [PubMed]
- 74.J. Nemunaitis, T. Jahan, H. Ross, D. Sterman, D. Richards, B. Fox, D. Jablons, J. Aimi, A. Lin, and K. Hege. Phase 1/2 trial of autologous tumor mixed with an allogeneic GVAX vaccine in advanced-stage non-small-cell lung cancer. Cancer Gene Ther.13:555–562 (2006). [DOI] [PubMed]
- 75.R. T. Costello, F. Mallet, B. Barbarat, J. M. Schiano De Colella, D. Sainty, R. W. Sweet, A. Truneh, and D. Olive. Stimulation of non-Hodgkin s lymphoma via HVEM: an alternate and safe way to increase Fas-induced apoptosis and improve tumor immunogenicity. Leukemia17:2500–2507 (2003). [DOI] [PubMed]
- 76.B. Homey, A. Muller, and A. Zlotnik. Chemokines: agents for the immunotherapy of cancer? Nat. Rev. Immunol.2:175–184 (2002). [DOI] [PubMed]
- 77.L. Zhang, J. R. Conejo-Garcia, D. Katsaros, P. A. Gimotty, M. Massobrio, G. Regnani, A. Makrigiannakis, H. Gray, K. Schlienger, M. N. Liebman, S. C. Rubin, and G. Coukos. Intratumoral T cells, recurrence, and survival in epithelial ovarian cancer. N. Engl. J. Med.348:203–213 (2003). [DOI] [PubMed]
- 78.M. Baggiolini. Chemokines in pathology and medicine. J. Intern. Med.250:91–104 (2001). [DOI] [PubMed]
- 79.A. Zlotnik, O. Yoshie, and H. Nomiyama. The chemokine and chemokine receptor superfamilies and their molecular evolution. Genome Biol.7:243 (2006). [DOI] [PMC free article] [PubMed]
- 80.R. Benelli, G. Lorusso, A. Albini, and D. M. Noonan. Cytokines and chemokines as regulators of angiogenesis in health and disease. Curr. Pharm. Des.12:3101–3115 (2006). [DOI] [PubMed]
- 81.N. M. Rebenko-Moll, L. Liu, A. Cardona, and R. M. Ransohoff. Chemokines, mononuclear cells and the nervous system: heaven (or hell) is in the details. Curr. Opin. Immunol.18:683–689 (2006). [DOI] [PubMed]
- 82.M. Baggiolini. Chemokines in pathology and medicine. J. Intern. Med.250:91–104 (2001). [DOI] [PubMed]
- 83.M. Maurer and S. E. von. Macrophage inflammatory protein-1. Int. J. Biochem. Cell Biol.36:1882–1886 (2004). [DOI] [PubMed]
- 84.M. J. Robertson. Role of chemokines in the biology of natural killer cells. J. Leukoc. Biol.71:173–183 (2002). [PubMed]
- 85.M. Ogris and E. Wagner. Targeting tumors with non-viral gene delivery systems. Drug Discov. Today7:479–485 (2002). [DOI] [PubMed]
- 86.W. C. Russell. Update on adenovirus and its vectors. J. Gen. Virol.81:2573–2604 (2000). [DOI] [PubMed]
- 87.J. G. Altin and C. R. Parish. Liposomal vaccines–targeting the delivery of antigen. Methods40:39–52 (2006). [DOI] [PubMed]
- 88.J. A. St George. Gene therapy progress and prospects: adenoviral vectors. Gene Ther.10:1135–1141 (2003). [DOI] [PubMed]
- 89.J. M. Lee, R. E. Merritt, A. Mahtabifard, R. Yamada, T. Kikuchi, R. G. Crystal, and R. J. Korst. Intratumoral expression of macrophage-derived chemokine induces CD4+ T cell-independent antitumor immunity in mice. J. Immunother.26:117–129 (2003). [DOI] [PubMed]
- 90.T. Tsuchiyama, S. Kaneko, Y. Nakamoto, Y. Sakai, M. Honda, N. Mukaida, and K. Kobayashi. Enhanced antitumor effects of a bicistronic adenovirus vector expressing both herpes simplex virus thymidine kinase and monocyte chemoattractant protein-1 against hepatocellular carcinoma. Cancer Gene Ther.10:260–269 (2003). [DOI] [PubMed]
- 91.I. Narvaiza, G. Mazzolini, M. Barajas, M. Duarte, M. Zaratiegui, C. Qian, I. Melero, and J. Prieto. Intratumoral coinjection of two adenoviruses, one encoding the chemokine IFN-gamma-inducible protein-10 and another encoding IL-12, results in marked antitumoral synergy. J. Immunol.164:3112–3122 (2000). [DOI] [PubMed]
- 92.H. Mizuguchi and M. A. Kay. Efficient construction of a recombinant adenovirus vector by an improved in vitro ligation method. Hum. Gene Ther.9:2577–2583 (1998). [DOI] [PubMed]
- 93.H. Mizuguchi, M. A. Kay, and T. Hayakawa. In vitro ligation-based cloning of foreign DNAs into the E3 and E1 deletion regions for generation of recombinant adenovirus vectors. Biotechniques30:1112–1114 (2001). [DOI] [PubMed]
- 94.N. Okada, Y. Tsukada, S. Nakagawa, H. Mizuguchi, K. Mori, T. Saito, T. Fujita, A. Yamamoto, T. Hayakawa, and T. Mayumi. Efficient gene delivery into dendritic cells by fiber-mutant adenovirus vectors. Biochem. Biophys. Res. Commun.282:173–179 (2001). [DOI] [PubMed]
- 95.Y. Okada, N. Okada, S. Nakagawa, H. Mizuguchi, K. Takahashi, N. Mizuno, T. Fujita, A. Yamamoto, T. Hayakawa, and T. Mayumi. Tumor necrosis factor alpha-gene therapy for an established murine melanoma using RGD (Arg–Gly–Asp) fiber-mutant adenovirus vectors. Jpn. J. Cancer Res.93:436–444 (2002). [DOI] [PMC free article] [PubMed]
- 96.Y. Okada, N. Okada, S. Nakagawa, H. Mizuguchi, M. Kanehira, N. Nishino, K. Takahashi, N. Mizuno, T. Hayakawa, and T. Mayumi. Fiber-mutant technique can augment gene transduction efficacy and anti-tumor effects against established murine melanoma by cytokine-gene therapy using adenovirus vectors. Cancer Lett.177:57–63 (2002). [DOI] [PubMed]
- 97.H. Xin, T. Kikuchi, S. Andarini, S. Ohkouchi, T. Suzuki, T. Nukiwa, Huqun, K. Hagiwara, T. Honjo, and Y. Saijo. Antitumor immune response by CX3CL1 fractalkine gene transfer depends on both NK and T cells. Eur. J. Immunol.35:1371–1380 (2005). [DOI] [PubMed]
- 98.T. Fushimi, T. P. O Connor, and R. G. Crystal. Adenoviral gene transfer of stromal cell-derived factor-1 to murine tumors induces the accumulation of dendritic cells and suppresses tumor growth. Cancer Res.66:3513–3522 (2006). [DOI] [PubMed]
- 99.Y. Sun, C. Finger, L. varez-Vallina, K. Cichutek, and C. J. Buchholz. Chronic gene delivery of interferon-inducible protein 10 through replication-competent retrovirus vectors suppresses tumor growth. Cancer Gene Ther.12:900–912 (2005). [DOI] [PubMed]
- 100.M. Shi, S. Hao, L. Su, X. Zhang, J. Yuan, X. Guo, C. Zheng, and J. Xiang. Vaccine of engineered tumor cells secreting stromal cell-derived factor-1 induces T-cell dependent antitumor responses. Cancer Biother. Radiopharm.20:401–409 (2005). [DOI] [PubMed]
- 101.A. Muhs, M. C. Lenter, R. W. Seidler, R. Zweigerdt, M. Kirchengast, R. Weser, M. Ruediger, and B. Guth. Nonviral monocyte chemoattractant protein-1 gene transfer improves arteriogenesis after femoral artery occlusion. Gene Ther.11:1685–1693 (2004). [DOI] [PubMed]
- 102.M. Maric and Y. Liu. Strong cytotoxic T lymphocyte responses to a macrophage inflammatory protein 1alpha-expressing tumor: linkage between inflammation and specific immunity. Cancer Res.59:5549–5553 (1999). [PubMed]
- 103.E. Nakashima, A. Oya, Y. Kubota, N. Kanada, R. Matsushita, K. Takeda, F. Ichimura, K. Kuno, N. Mukaida, K. Hirose, I. Nakanishi, T. Ujiie, and K. Matsushima. A candidate for cancer gene therapy: MIP-1 alpha gene transfer to an adenocarcinoma cell line reduced tumorigenicity and induced protective immunity in immunocompetent mice. Pharm. Res.13:1896–1901 (1996). [DOI] [PubMed]
- 104.R. Liu, C. Zhou, D. Wang, W. Ma, C. Lin, Y. Wang, X. Liang, J. Li, S. Guo, Y. Wang, Y. Zhang, and S. Zhang. Enhancement of DNA vaccine potency by sandwiching antigen-coding gene between secondary lymphoid tissue chemokine (SLC) and IgG Fc fragment genes. Cancer Biol. Ther.5:427–434 (2006). [DOI] [PubMed]
- 105.S. Ozawa, Y. Kato, R. Komori, Y. Maehata, E. Kubota, and R. Hata. BRAK/CXCL14 expression suppresses tumor growth in vivo in human oral carcinoma cells. Biochem. Biophys. Res. Commun.348:406–412 (2006). [DOI] [PubMed]
- 106.J. Guo, B. Wang, M. Zhang, T. Chen, Y. Yu, E. Regulier, H. E. Homann, Z. Qin, D. W. Ju, and X. Cao. Macrophage-derived chemokine gene transfer results in tumor regression in murine lung carcinoma model through efficient induction of antitumor immunity. Gene Ther.9:793–803 (2002). [DOI] [PubMed]
- 107.T. Ishida and R. Ueda. CCR4 as a novel molecular target for immunotherapy of cancer. Cancer Sci.97:1139–1146 (2006). [DOI] [PMC free article] [PubMed]
- 108.T. Nomura, H. Hasegawa, M. Kohno, M. Sasaki, and S. Fujita. Enhancement of anti-tumor immunity by tumor cells transfected with the secondary lymphoid tissue chemokine EBI-1-ligand chemokine and stromal cell-derived factor-1alpha chemokine genes. Int. J. Cancer.91:597–606 (2001). [DOI] [PubMed]
- 109.D. Dilloo, K. Bacon, W. Holden, W. Zhong, S. Burdach, A. Zlotnik, and M. Brenner. Combined chemokine and cytokine gene transfer enhances antitumor immunity. Nat. Med.2:1090–1095 (1996). [DOI] [PubMed]
- 110.M. Maric, L. Chen, B. Sherry, and Y. Liu. A mechanism for selective recruitment of CD8 T cells into B7-1-transfected plasmacytoma: role of macrophage-inflammatory protein 1alpha. J. Immunol.159:360–368 (1997). [PubMed]
- 111.P. C. Emtage, Y. Wan, M. Hitt, F. L. Graham, W. J. Muller, A. Zlotnik, and J. Gauldie. Adenoviral vectors expressing lymphotactin and interleukin 2 or lymphotactin and interleukin 12 synergize to facilitate tumor regression in murine breast cancer models. Hum. Gene Ther.10:697–709 (1999). [DOI] [PubMed]
- 112.J. Q. Gao, N. Kanagawa, Y. Motomura, T. Yanagawa, T. Sugita, Y. Hatanaka, Y. Tani, H. Mizuguchi, Y. Tsutsumi, T. Mayumi, N. Okada, and S. Nakagawa. Cotransduction of CCL27 gene can improve the efficacy and safety of IL-12 gene therapy for cancer. Gene Ther.14:491–502 (2007). [DOI] [PubMed]
- 113.N. Okada, A. Sasaki, M. Niwa, Y. Okada, Y. Hatanaka, Y. Tani, H. Mizuguchi, S. Nakagawa, T. Fujita, and A. Yamamoto. Tumor suppressive efficacy through augmentation of tumor-infiltrating immune cells by intratumoral injection of chemokine-expressing adenoviral vector. Cancer Gene Ther.13:393–405 (2006). [DOI] [PubMed]
- 114.E. J. Weinstein, R. Head, D. W. Griggs, D. Sun, R. J. Evans, M. L. Swearingen, M. M. Westlin, and R. Mazzarella. VCC-1, a novel chemokine, promotes tumor growth. Biochem. Biophys. Res. Commun.350:74–81 (2006). [DOI] [PubMed]
- 115.T. Kuroda, Y. Kitadai, S. Tanaka, X. Yang, N. Mukaida, M. Yoshihara, and K. Chayama. Monocyte chemoattractant protein-1 transfection induces angiogenesis and tumorigenesis of gastric carcinoma in nude mice via macrophage recruitment. Clin. Cancer Res.11:7629–7636 (2005). [DOI] [PubMed]
- 116.H. Kang, R. E. Mansel, and W. G. Jiang. Genetic manipulation of stromal cell-derived factor-1 attests the pivotal role of the autocrine SDF-1-CXCR4 pathway in the aggressiveness of breast cancer cells. Int. J. Oncol.26:1429–1434 (2005). [PubMed]
- 117.H. Kang, G. Watkins, C. Parr, A. Douglas-Jones, R. E. Mansel, and W. G. Jiang. Stromal cell derived factor-1: its influence on invasiveness and migration of breast cancer cells in vitro, and its association with prognosis and survival in human breast cancer. Breast Cancer Res.7:R402–R410 (2005). [DOI] [PMC free article] [PubMed]
- 118.Y. Zhou, J. Zhang, Q. Liu, R. Bell, D. A. Muruve, P. Forsyth, M. rcellana-Panlilio, S. Robbins, and V. W. Yong. The chemokine GRO-alpha (CXCL1) confers increased tumorigenicity to glioma cells. Carcinogenesis26:2058–2068 (2005). [DOI] [PubMed]
- 119.R. M. Steinman, M. Witmer-Pack, and K. Inaba. Dendritic cells: antigen presentation, accessory function and clinical relevance. Adv. Exp. Med. Biol.329:1–9 (1993). [DOI] [PubMed]
- 120.M. E. Dudley, J. R. Wunderlich, P. F. Robbins, et al. Cancer regression and autoimmunity in patients after clonal repopulation with antitumor lymphocytes. Science298:850–854 (2002). [DOI] [PMC free article] [PubMed]
- 121.M. E. Dudley, J. R. Wunderlich, J. C., Yang, et al. Adoptive cell transfer therapy following non-myeloablative but lymphodepleting chemotherapy for the treatment of patients with refractory metastatic melanoma. J. Clin. Oncol.23:2346–2357 (2005). [DOI] [PMC free article] [PubMed]
- 122.M. S. Mitchell, J. Kan-Mitchell, R. A. Kempf, et al. Active specific immunotherapy for melanoma: phase I trial of allogeneic lysates and a novel adjuvant. Cancer Res.48:5883–5893 (1988). [PubMed]
- 123.D. L. Morton, E. C. Hsueh, R. Essner, et al. Prolonged survival of patients receiving active immunotherapy with Canvaxin therapeutic polyvalent vaccine after complete resection of melanoma metastatic to regional lymph nodes. Ann. Surg.236:438–448 (2002). [DOI] [PMC free article] [PubMed]
- 124.G. Dranoff. GM-CSF-secreting melanoma vaccines. Oncogene22:3188–3192 (2003). [DOI] [PubMed]
- 125.S. Ward, D. Casey, M. C. Labarthe, et al. Immunotherapeutic potential of whole tumour cells. Cancer Immunol. Immunother.51:351–357 (2002). [DOI] [PMC free article] [PubMed]
- 126.J. Banchereau, and A. K. Palucka, Dendritic cells as therapeutic vaccines against cancer. Nat. Rev. Immunol.5:296–306 (2005). [DOI] [PubMed]
- 127.C. G. Figdor, I. J. de Vries, W. J. Lesterhuis, et al. Dendritic cell immunotherapy: mapping the way. Nat. Med.10:475–480 (2004). [DOI] [PubMed]
- 128.P. Moingeon. Cancer vaccines. Vaccine19:1305–1326 (2001). [DOI] [PubMed]
- 129.N. Renkvist, C. Castelli, P. F. Robbins, et al. A listing of human tumor antigens recognized by T cells. Cancer Immunol. Immunother.50:3–15 (2001). [DOI] [PMC free article] [PubMed]
- 130.J. M. Austyn. New insights into the mobilization and phagocytic activity of dendritic cells. J. Exp. Med.183:1287–1292 (1996). [DOI] [PMC free article] [PubMed]
- 131.R. N. Germain and D. H. Margulies. The biochemistry and cell biology of antigen processing and presentation. Annu. Rev. Immunol.11:403–450 (1993). [DOI] [PubMed]
- 132.F. O. Nestle, S. Alijagic, M. Gilliet, Y. Sun, S. Grabbe, R. Dummer, G. Burg, D. Schadendorf. Vaccination of melanoma patients with peptide- or tumor lysatepulsed dendritic cells. Nat. Med.4:328–332 (1998). [DOI] [PubMed]
- 133.B. Schuler-Thurner, E.S. Schultz, T. G. Berger, G. Weinlich, S. Ebner, P. Woerl, A. Bender, B. Feuerstein, P. O. Fritsch, N. Romani, and G. Schuler. Rapid induction of tumor-specific type 1 T helper cells in metastatic melanoma patients by vaccination with mature, cryopreserved, peptide-loaded monocyte derived dendritic cells. J. Exp. Med.195:1279–1288 (2002). [DOI] [PMC free article] [PubMed]
- 134.Z. Su, J. Dannull, A. Heiser, D. Yancey, S. Pruitt, J. Madden, D. Coleman, D. Niedzwiecki, E. Gilboa, and J.Vieweg. Immunological and clinical responses in metastatic renal cancer patients vaccinated with tumor RNA-transfected dendritic cells. Cancer Res.63:2127–2133 (2003). [PubMed]
- 135.P. A. Lodge, L. A. Jones, R. A. Bader, G. P. Murphy, and M. L. Salgaller. Dendritic cell-based immunotherapy of prostate cancer: immune monitoring of a phase II clinical trial. Cancer Res.60:829–833 (2000). [PubMed]
- 136.P. Brossart, S. Wirths, G. Stuhler, V. L. Reichardt, L. Kanz, and W. Brugger. Induction of cytotoxic T-lymphocyte responses in vivo after vaccinations with peptide-pulsed dendritic cells. Blood96:3102–3108 (2000). [PubMed]
- 137.J. S. Yu, C. J. Wheeler, P. M. Zeltzer, H. Ying, D. N. Finger, P. K. Lee, W. H. Yong, F. Incardona, R. C. Thompson, M. S. Riedinger, W. Zhang, R. M. Prins, and K. L. Black. Vaccination of malignant glioma patients with peptide-pulsed dendritic cells elicits systemic cytotoxicity and intracranial T-cell infiltration. Cancer Res.61:842–847 (2001). [PubMed]
- 138.B. Thurner, I. Haendle, C. Roder, D. Dieckmann, P. Keikavoussi, H. Jonuleit, A. Bender, C. Maczek, D. Schreiner, P. von den Driesch, E. B. Brocker, R.M. Steinman, A. Enk, E., and G. Kampgen. Vaccination with mage-3A1 peptide-pulsed mature, monocyte derived dendritic cells expands specific cytotoxic T cells and induces regression of some metastases in advanced stage IV melanoma. J. Exp. Med.190:1669–1678 (1999). [DOI] [PMC free article] [PubMed]
- 139.A. Tuettenberg, E. Schmitt, J. Knop, and H. Jonuleit. Dendritic Cell-Based Immunotherapy of Malignant Melanoma: Success and Limitations. J. Dtsch. Dermatol. Ges.5:190–196 (2007). [DOI] [PubMed]
- 140.A. Mackensen, B. Herbst, J. L. Chen, G. Kohler, C. Noppen, W. Herr, G. C. Spagnoli, V. Cerundolo, and A. Lindemann. Phase I study in melanoma patients of a vaccine with peptide-pulsed dendritic cells generated in vitro from CD34 hematopoietic progenitor cells. Int. J. Cancer.86:385–392 (2000). [DOI] [PubMed]
- 141.J. Banchereau, A. K. Palucka, M. Dhodapkar, S. Burkeholder, N. Taquet, A. Rolland, S. Taquet, S. Coquery, K. M. Wittkowski, N. Bhardwaj, L. Pineiro, R. Steinman, and J. Fay. Immune and clinical responses in patients with metastatic melanoma to CD34 progenitor-derived dendritic cell vaccine. Cancer Res.61:6451–6458 (2001). [PubMed]
- 142.H. Jonuleit, A. Giesecke-Tuettenberg, T. Tuting, B. Thurner-Schuler, T.B. Stuge, L. Paragnik, A. Kandemir, P.P. Lee, G. Schuler, J. Knop, and A.H. Enk. A comparison of two types of dendritic cell as adjuvants for the induction of melanoma-specific T-cell responses in humans following intranodal injection. Int. J. Cancer.93:243–251 (2001). [DOI] [PubMed]
- 143.N. Okada, T. Saito, Y. Masunaga, Y. Tsukada, S. Nakagawa, H. Mizuguchi, K. Mori, Y. Okada, T. Fujita, T. Hayakawa, T. Mayumi, and A. Yamamoto. Efficient antigen gene transduction using Arg–Gly–Asp fiber-mutant adenovirus vectors can potentiate antitumor vaccine efficacy and maturation of murine dendritic cells. Cancer Res.61:7913–7919 (2001). [PubMed]
- 144.N. Okada, Y. Masunaga, Y. Okada, H. Mizuguchi, S. Iiyama, N. Mori, A. Sasaki, S. Nakagawa, T. Mayumi, T. Hayakawa, T. Fujita, and A. Yamamoto. Dendritic cells transduced with gp100 gene by RGD fiber-mutant adenovirus vectors are highly efficacious in generating anti-B16BL6 melanoma immunity in mice. Gene Ther.10:1891–1902 (2003). [DOI] [PubMed]
- 145.M. D. Gunn, S. Kyuwa, C. Tam, T. Kakiuchi, A. Matsuzawa, L. T. Williams, and H. Nakano. Mice lacking expression of secondary lymphoid organ chemokine have defects in lymphocyte homing and dendritic cell localization. J. Exp. Med.189:451–460 (1999). [DOI] [PMC free article] [PubMed]
- 146.R. Forster, A. Schubel, D. Breitfeld, E. Kremmer, I. Renner-Muller, E. Wolf, and M. Lipp. CCR7 coordinates the primary immune response by establishing functional microenvironments in secondary lymphoid organs. Cell99:23–33 (1999). [DOI] [PubMed]
- 147.N. Okada, N. Mori, R. Koretomo, Y. Okada, T. Nakayama, O. Yoshie, H. Mizuguchi, T. Hayakawa, S. Nakagawa, T. Mayumi, T. Fujita, and A. Yamamoto. Augmentation of the migratory ability of DC-based vaccine into regional lymph nodes by efficient CCR7 gene transduction. Gene Ther.12:129–139 (2005). [DOI] [PubMed]
- 148.S. C. Yang, R. K. Batra, S. Hillinger, K. L. Reckamp, R. M. Strieter, S. M. Dubinett, and S. Sharma. Intrapulmonary administration of CCL21 gene-modified dendritic cells reduces tumor burden in spontaneous murine bronchoalveolar cell carcinoma. Cancer Res.66:3205–3213 (2006). [DOI] [PubMed]
- 149.M. Nukiwa, S. Andarini, J. Zaini, H. Xin, M. Kanehira, T. Suzuki, T. Fukuhara, H. Mizuguchi, T. Hayakawa, Y. Saijo, T. Nukiwa, and T. Kikuchi. Dendritic cells modified to express fractalkine/CX3CL1 in the treatment of preexisting tumors. Eur. J. Immunol.36:1019–1027 (2006). [DOI] [PubMed]
- 150.S. Matthias. Immunesurveillance by dendritic cells: potential implication for immunotherapy of endocrine cancers. Endocr. Relat. Cancer13:779–795 (2006). [DOI] [PubMed]
- 151.P. Klenerman, V. Cerundolo, and P. R. Dunbar. Tracking T cells with tetramers: new tales from new tools. Nat. Rev. Immunol.2:263–272 (2002). [DOI] [PubMed]
- 152.N. Verra, D. de Jong, A. Bex, et al. Infiltration of activated dendritic cells and T cells in renal cell carcinoma following combined cytokine immunotherapy. Eur. Urol.48:527–33 (2005). [DOI] [PubMed]
- 153.S. Dessureault, D. Noyes, D. Lee, et al. A phase-I trial using a universal GM-CSF-producing and CD40L-expressing bystander cell line (GM.CD40L) in the formulation of autologous tumor cell-based vaccines for cancer patients with stage IV disease. Ann. Surg. Oncol.14:869–84 (2007). [DOI] [PubMed]
- 154.R. J. Vuylsteke, B. G. Molenkamp, H. A. Gietema, et al. Local administration of granulocyte/macrophage colony-stimulating factor increases the number and activation state of dendritic cells in the sentinel lymph node of early-stage melanoma. Cancer Res.64:8456–60 (2004). [DOI] [PubMed]
- 155.C. M. van Herpen, J. A. van der Laak, I. J. de Vries, et al. Intratumoral recombinant human interleukin-12 administration in head and neck squamous cell carcinoma patients modifies locoregional lymph node architecture and induces natural killer cell infiltration in the primary tumor. Clin. Cancer Res.11:1899–1909 (2005). [DOI] [PubMed]
- 156.A. Giannopoulos, C. Constantinides, E. Fokaeas, et al. The immunomodulating effect of interferon-gamma intravesical instillations in preventing bladder cancer recurrence. Clin. Cancer Res.9:5550–5558 (2003). [PubMed]
- 157.F. Romano, G. Cesana, R. Caprotti, et al. Preoperative IL-2 immunotherapy enhances tumor infiltrating lymphocytes (TILs) in gastric cancer patients. Hepatogastroenterology53:634–638 (2006). [PubMed]
- 158.R. F. Rousseau, A. E. Haight, C. Hirschmann-Jax, et al. Local and systemic effects of an allogeneic tumor cell vaccine combining transgenic human lymphotactin with interleukin-2 in patients with advanced or refractory neuroblastoma. Blood101:1718–26 (2003). [DOI] [PubMed]
- 159.A. S. Jorkov, F. Donskov, T. Steiniche, et al. Immune response in blood and tumour tissue in patients with metastatic malignant melanoma treated with IL-2, IFN alpha and histamine dihydrochloride. Anticancer Res.23:537–542 (2003). [PubMed]
- 160.K. Tani, M. Azuma, Y. Nakazaki, et al. Phase I study of autologous tumor vaccines transduced with the GM-CSF gene in four patients with stage IV renal cell cancer in Japan: clinical and immunological findings. Mol. Ther.10:799–816 (2004). [DOI] [PubMed]
- 161.E. Galanis, P. A. Burch, R. L. Richardson, et al. Intratumoral administration of a 1,2-dimyristyloxypropyl-3-dimethylhydroxyethyl ammonium bromide/dioleoylphosphatidylethanolamine formulation of the human interleukin-2 gene in the treatment of metastatic renal cell carcinoma. Cancer101:2557–2566 (2004). [DOI] [PubMed]
- 162.R. S. Barnetson, A. Satchell, L. Zhuang, H. B. Slade, G. M. Halliday. Imiquimod induced regression of clinically diagnosed superficial basal cell carcinoma is associated with early infiltration by CD4 T cells and dendritic cells. Clin. Exp. Dermatol.29:639–43 (2004). [DOI] [PubMed]
- 163.B. Thurner, I. Haendle, C. Roder, et al. Vaccination with mage-3A1 peptide-pulsed mature, monocyte-derived dendritic cells expands specific cytotoxic T cells and induces regression of some metastases in advanced stage IV melanoma. J. Exp. Med.190:1669–78 (1999). [DOI] [PMC free article] [PubMed]
- 164.D. H. Chang, K. Osman, J. Connolly, et al. Sustained expansion of NKT cells and antigen-specific T cells after injection of alpha-galactosyl-ceramide loaded mature dendritic cells in cancer patients. J. Exp. Med.201:1503–17 (2005). [DOI] [PMC free article] [PubMed]
- 165.J. A. Kyte, L. Mu, S. Aamdal, et al. Phase I/II trial of melanoma therapy with dendritic cells transfected with autologous tumor-mRNA. Cancer Gene Ther.13:905–918 (2006). [DOI] [PubMed]
- 166.J. Guo, J. Zhu, X. Sheng, et al. Intratumoral injection of dendritic cells in combination with local hyperthermia induces systemic antitumor effect in patients with advanced melanoma. Int. J. Cancer120:2418–25 (2007). [DOI] [PubMed]
- 167.N. Nakai, J. Asai, E. Ueda, et al. Vaccination of Japanese patients with advanced melanoma with peptide, tumor lysate or both peptide and tumor lysate-pulsed mature, monocyte-derived dendritic cells. J. Dermatol.33:462–72 (2006). [DOI] [PubMed]
- 168.L. H. Butterfield, A. Ribas, V. B. Dissette, et al. A phase I/II trial testing immunization of hepatocellular carcinoma patients with dendritic cells pulsed with four alpha-fetoprotein peptides. Clin. Cancer Res.12:2817–25 (2006). [DOI] [PubMed]
- 169.A. K. Thomas-Kaskel, R. Zeiser, R. Jochim, et al. Vaccination of advanced prostate cancer patients with PSCA and PSA peptide-loaded dendritic cells induces DTH responses that correlate with superior overall survival. Int. J. Cancer119:2428–2434 (2006). [DOI] [PubMed]
- 170.B. Hildenbrand, B. Sauer, O. Kalis, et al. Immunotherapy of patients with hormone-refractory prostate carcinoma pre-treated with interferon-gamma and vaccinated with autologous PSA-peptide loaded dendritic cells–a pilot study. Prostate67:500–508 (2007). [DOI] [PubMed]
- 171.J. Westermann, J. Kopp, A. Van Lessen, et al. Vaccination with autologous non-irradiated dendritic cells in patients with bcr/abl+ chronic myeloid leukaemia. Br. J. Haematol.137:297–306 (2007). [DOI] [PubMed]
- 172.T. Maier, A. Tun-Kyi, A. Tassis, et al. Vaccination of patients with cutaneous T-cell lymphoma using intranodal injection of autologous tumor-lysate-pulsed dendritic cells. Blood102:2338–2344 (2003). [DOI] [PubMed]
- 173.F. O. Nestle, S. Alijagic, M. Gilliet, et al. Vaccination of melanoma patients with peptide- or tumor lysate-pulsed dendritic cells. Nat. Med.4:328–32 (1998). [DOI] [PubMed]
- 174.J. Banchereau, A. K. Palucka, M. Dhodapkar, et al. Immune and clinical responses in patients with metastatic melanoma to CD34(+) progenitor-derived dendritic cell vaccine. Cancer Res.61:6451–8 (2001). [PubMed]



