Abstract
TRPV1 mediates cell death and pro-inflammatory cytokine production in lung epithelial cells exposed to prototypical receptor agonists. This study shows that NHBE, BEAS-2B and TRPV1 over-expressing BEAS-2B cells pre-treated with various TRPV1 antagonists become sensitized to the prototypical TRPV1 agonist, nonivamide, via a mechanism that involves translocation of existing receptor from the endoplasmic reticulum to the plasma membrane. As such, typical cellular responses to agonist treatment, as measured by calcium flux, inflammatory cytokine gene induction, and cytotoxicity were exacerbated. These data were in contrast to the results obtained when TRPV1 antagonists were co-administered with nonivamide; conditions which inhibited TRPV1-mediated effects. The antagonists LJO-328, SC0030, and capsazepine increased the cytotoxicity of nonivamide by ~20-fold and agonist-induced calcium flux by ~6-fold. Inflammatory-cytokine gene induction by nonivamide was also increased significantly by pre-treatment with the antagonists. The enhanced responses were inhibited by the co-administration of antagonists with nonivamide, confirming that increases in sensitivity were attributable to increased TRPV1-associated activity. Sensitization was attenuated by brefeldin A (a golgi transport inhibitor), but not cycloheximide (a protein synthesis inhibitor), or actinomycin D (a transcription inhibitor). Sensitized cells exhibited increased calcium flux from extracellular calcium sources, while unsensitized cells exhibited calcium flux originating primarily from intracellular stores. These results demonstrate the presence of a novel mechanism for regulating the sub-cellular distribution of TRPV1 and subsequent control of cellular sensitivity to TRPV1 agonists.
Keywords: capsaicin, TRPV1, calcium, translocation, cytotoxicity, inflammation
The lung epithelium is the initial barrier that xenobiotics encounter upon inhalation and is a frequent target for toxicants (Burgel and Nadel, 2004). Damage to the respiratory epithelium compromises respiratory function by increasing the susceptibility of individuals to subsequent lung injury and infections, and ultimately contributes to hypersensitivity disorders such as asthma and COPD (Kasper and Haroske, 1996; Kuwano et al., 2001; Selman et al., 2001; Witschi, 1991). Activation of TRPV1 (the capsaicin receptor, VR1) in lung epithelial cells by certain types of airborne particulate pollutants and prototypical agonists initiates inflammatory responses and promotes cell death (Agopyan et al., 2003a,b, 2004; Oortgiesen et al., 2000; Reilly et al., 2003; Veronesi et al., 1999b).
TRPV1 is a cation-selective channel that has been shown to be expressed by lung epithelial cells. It is a member of the Transient Receptor Potential (TRP) family of ion channels (Clapham, 2003) that detect and respond to many types of stimuli. There are five major subfamilies: TRPC (canonical), TRPV (vanilloid), TRPM (melastatin), TRPA (AnktM1), TRPP (polycystins), and TRPML (mucolipins). TRPV1, the founding member of the TRPV subfamily, is activated by low pH, noxious temperature, xenobiotics such as capsaicin and resiniferatoxin (RTX) (Caterina et al., 1997), as well as by the endogenous agonists anandamide (Szallasi and Di Marzo, 2000), N-arachidonoyl-dopamine (NADA) (Huang et al., 2002), N-oleoyldopamine (OLDA) (Chu et al., 2003), and 12-(S)-hydroperoxyeicosatetraenoic acid (12-(S)-HPETE) (Hwang et al., 2000).
TRPV1 function is regulated by a variety of mechanisms, including desensitization by accumulation of excess intracellular calcium and subsequent calcium-dependent dephosphorylation (Dray et al., 1990; Marsh et al., 1987; Williams and Zieglgansberger, 1982; Wood et al., 1988), binding of calmodulin (Rosenbaum et al., 2004) and phosphatydylinositol-4,5,-bisphosphate (PiP2) (Chuang et al., 2001), direct phosphorylation by protein kinase A (PKA) (Di Marzo et al., 2002; Puntambekar et al., 2004) or protein kinase C (PKC) (Bhave et al., 2003; Premkumar and Ahern, 2000), and phosphorylation by CAM kinase II (Jung et al., 2004).
Recently, the spatial-temporal regulation of TRP channels has been shown to be a control mechanism for TRP channel function. Regulated cell-surface expression of TRPV2 by insulin-like growth factor first indicated that changes in cellular location could impact TRP channel function (Kanzaki et al., 1999). TRPV2 has also been shown to be translocated to the cell surface of neurons by treating with neuropeptide head activator (Boels et al., 2001) and by forskolin in mast cells (Barnhill et al., 2004). In Drosophila photoreceptor cells, light induced the shuttling of TRPL receptors between the rhabdomeral photoreceptor membrane and an intracellular compartment controlling channel function (Bahner et al., 2002). The sub-cellular distribution and function of TRPM1 has also been shown to be regulated by translocation mechanisms (Xu et al., 2001). There have also been a number of studies that demonstrate the translocation of TRPC channels, including work which established that TRPC1 was translocated to the cell surface upon treatment with thrombin in endothelial cells (Mehta et al., 2003). Similarly, epidermal growth factor promoted the translocation and insertion of TRPC5 into the plasma membrane (Bezzerides et al., 2004), while the translocation of TRPC6 was initiated by muscarinic receptor activation or thapsigargin-induced endoplasmic reticulum (ER) calcium depletion (Cayouette et al., 2004). A Caenorhabditis elegans TRPC homologue, TRP-3, was suggested to translocate to spermatide cell surfaces in response to a store-operated calcium entry (SOCE) signal (Xu and Sternberg, 2003). In other studies, simply internalizing the channels through cytoskeletal disruption revealed a loss of function for TRP-3 (Lockwich et al., 2001) and several other TRPC channels (1, 2, and 4) (Itagaki et al., 2004), demonstrating further the functional importance of the cellular location of TRP channels.
Additional studies have demonstrated the presence of multiple pools of TRPV1 in cells, including plasma membrane- and ER-associated populations (Karai et al., 2004; Olah et al., 2001). TRPV1 has been shown to increase at the cell surface, with no increase in mRNA, as a result of inflammation in dorsal root ganglion neurons (Ji et al., 2002), a process that appears to be controlled by protein kinase C, snapin, and synaptotagmin IX (Morenilla-Palao et al., 2004). It is not known whether similar control mechanisms exist in lung epithelial cells or whether this phenomenon affects prototypical responses to agonists.
In the present study we show that prolonged treatment of cells with TRPV1 antagonists induced translocation of TRPV1 to the cell surface, significantly increasing typical responses to receptor agonists. Characterization of this unique mechanism provides new information on TRPV1 function and regulation in human lung epithelial cells and highlights the potential for side effects due to prolonged use of TRPV1 antagonists as therapeutic agents.
MATERIALS AND METHODS
Chemicals
Nonivamide (99%), capsazepine (CPZ), sulfinpyrazone, and ionomycin were purchased from Sigma Chemical Corporation (St. Louis, MO). Thapsigargin was purchased from Alexis Biochemicals (San Diego, CA). Fluo-4 (AM) was purchased from Molecular Probes (Eugene, OR). SC0030 (N-(4-tert-butylbenzyl)-N′-[3-fluoro-4-(methylsulfonylamino) benzyl]thiourea) (Wang et al., 2002) and LJO-328 (N-(4-tert-butylbenzyl)-N′-(1-[3-fluoro-4-(methylsulfonylamino)phenyl]ethyl)thiourea) were generously provided by Dr. Jeewoo Lee (Seoul National University, Seoul, Korea).
Cell culture
BEAS-2B human bronchial epithelial cells (CRL-9609) were purchased from ATCC (Rockville, MD). TRPV1-overexpressing cells were generated by transfecting BEAS-2B cells with human TRPV1 cDNA cloned into the pcDNA 3.1D-V5/His6 mammalian expression vector (InVitrogen, Carlsbad, CA) and selecting for stably transformed cells, as previously described (Reilly et al., 2003). BEAS-2B and TRPV1-overexpressing BEAS-2B cells were cultured in LHC-9 media (BioSource, Camarillo, CA). Normal human bronchial epithelial (NHBE) cells, a primary cell line, were purchased from Cambrex (Walkersville, MD) and cultured in BEGM media. Culture flasks for BEAS-2B and TRPV1-overexpressing BEAS-2B cells were coated with LHC basal media fortified with collagen (30 μg/ml), fibronectin (10 μg/ml), and bovine serum albumin (10 μg/ml). Cells were maintained between 30–90% confluency and were passaged every 2–4 days by trypsinization.
Cytotoxicity assays
Cells were sub-cultured into coated multi-well cell culture plates and allowed to reach ~95% confluence within 24–48 h. The cells were treated for 24 h with the various agonists and antagonists prepared in the appropriate culture media. Cell viability was assessed using the Dojindo Cell Counting Kit-8 (Dojindo Laboratories, Gaithersburg, MD), according to the supplier recommendations. Briefly, WST-8, a tetrazolium salt, is reduced by cellular NAD+- and NADP+-dependent dehydrogenases to an orange formazan product that is soluble in tissue culture medium. The amount of formazan produced (λmax = 450 nm) is directly proportional to the number of living cells. Data are expressed as the percentage of viable cells relative to untreated control cells, calculated using the absorbance ratio. All experiments were performed in triplicate.
Fluorometric calcium assays
Cells were sub-cultured into coated 96-well culture plates and grown to ~95% confluence within 24–48 h. Prior to analysis, the cells were loaded with membrane-permeable fluorogenic calcium indicator, Fluo-4 (AM) (2.5 μM), for 90 min at room temperature (~22°C) in LHC-9 media containing 200 μM sulfinpyrazone. Cells were washed with media and incubated at room temperature for an additional 20 min to permit methyl ester hydrolysis and activation of Fluo-4 (AM) within the cells. Changes in cellular fluorescence in response to agonist and antagonist treatments were assessed microscopically (10X objective) on cell populations (~500 cells/field) using a Nikon Diaphot inverted microscope equipped with a fluorescence filter set designed to visualize green fluorescent protein. Fluoromicrographs were captured at high resolution using a SPOT Insight QE digital camera interfaced with the SPOT data system software (Diagnostic Instruments, Inc., Sterling Heights, MI). Images were collected immediately prior to the addition of the various substances and 30 s after treatment. All agonist and antagonist solutions were prepared in culture media and were added to the cells in 50 μl volumes at room temperature. Image quantitation was achieved using the NIH Image J software package. Briefly, the brightness of the images was normalized, the background fluorescence subtracted, and the mean fluorescence intensity of the images determined. Data was normalized to maximize fluorescence values obtained by treating cells with ionomycin (15 μM).
RT-PCR analysis of cytokine gene expression
Cells were sub-cultured into coated 25 cm2 cell culture flasks and grown to a density of ~80–90% followed by the procedure to enhance TRPV1 responses by antagonists. Cells were washed with PBS and then treated with nonivamide for 4 h at 37°C. Total RNA was extracted from the cell pellets using the RNeasy mini RNA isolation kit (Qiagen, Valencia, CA) and 5 μg of total RNA was transcribed into cDNA using Poly T and Superscript II (Invitrogen, Carlsbad, CA). IL-6, IL-8, and β-actin cDNA was selectively amplified by PCR from 2.5 μl of the cDNA synthesis reaction using the following primers: IL-6 sense 5′-CTTCTCCACAAGCGCCTTC-3′ and antisense 5′-GGCAAGTCTCCTCATTGAATC-3′ (325 nt), IL-8 sense 5′-TGGCTCTCTTGGCAGCCTTC-3′ and antisense 5′-CAGGAATCTTGTATTGCATCTG-3′ (410 nt), and β-actin sense 5′-GACAACGGCTCCGGCATGTGCA-3′ and antisense 5′-TGAGGATGCCTCTCTTGCTCTG-3′ (183 nt). The PCR program consisted of an initial 2 min incubation at 94°C and 28 cycles of 94°C (30 s), 55°C (30 s), and 72°C (30 s). A final extension period of 10 min at 72°C was also included. PCR products were resolved on a 1% SB agarose gel and images were collected using a Bio-Rad Gel-Doc imaging system. Product quantification was achieved by determining the band intensities for each PCR product relative to β-actin, the internal PCR control, using the Gel Doc density analysis tools.
Cellular sensitization and inhibition assays
Characteristic TRPV1-mediated calcium responses were established using nonivamide as the agonist. Enhanced calcium responses were initiated by treating cells up to 24 h with antagonists prior to loading with Fluo-4 (AM). Brefeldin A, actinomycin D, and cycloheximide were co-incubated with antagonists at various concentrations to identify cellular processes that controlled cell sensitization. Inhibition of normal and enhanced responses to nonivamide was achieved by addition of TRPV1 antagonists 30 s prior to the addition of nonivamide. For enhanced cytotoxicity, cells were treated with the antagonist up to 24 h, washed once with sterile phosphate-buffered saline (PBS), and treated with nonivamide for an additional 24 h. Brefeldin A, actinomycin D, and cycloheximide were co-incubated with the antagonists during the pre-treatment period to assess mechanisms that controlled sensitization. Inhibition of enhanced cytotoxicity was achieved by co-treating cells with nonivamide and LJO-328 (5 μM) for 24 h.
Intracellular/extracellular calcium flux determination
Depletion of ER calcium was accomplished by treating cells with thapsigargin (1.5 μM) for ~ 5 min or until the baseline fluorescence intensity returned to basal levels. This was followed by addition of nonivamide to observe the influx of calcium from extracellular sources. Inhibition of calcium flux due to cell surface TRPV1 was accomplished using a solution of the calcium chelator, EGTA (100 μM) and the calcium channel blocker, ruthenium red (10 μM), both of which are plasma membrane impermeable. This was followed by treatment with nonivamide to observe calcium flux originating from the ER. Differences in fluorescence responses observed between the treatments were used to assess the relative contribution of ER-bound and cell surface TRPV1 in total calcium flux initiated by nonivamide.
Statistical analysis of data
EC50 and LD50 values were obtained by non-linear regression analysis (Prism 4, GraphPad Software, Inc., San Diego, CA) using the sigmoidal dose-response (variable slope) equation. Statistical testing utilized ANOVA and Dunnett’s multiple comparison post-test to determine significance. The unpaired t-test was also used where appropriate.
RESULTS
Calcium flux, induced by the prototypical TRPV1 agonist, nonivamide, was significantly increased following a 24 h pre-treatment with the antagonists LJO-328, SC0030, and capsazepine in a dose-dependent manner (Figs. 1a and 1b). Increases in sensitivity were observed at 0.5 h and were maximized at 6 h (data not shown). EC50 values for the enhancement of calcium flux by LJO-328, SC0030, and capsazepine were 0.07 μM ± 0.01, 0.095 μM ± 0.004, and 1.8 μM ± 0.4, respectively (Fig. 1a). Pre-treatment with concentrations of LJO-328, SC0030, and capsazepine that produced maximum increases in sensitivity (from Fig. 1a) amplified calcium flux by ~70% and shifted the EC50 value for nonivamide-induced calcium flux from 3 μM ± 1 to 0.44 μM ± 0.09, 0.5 μM ± 0.2, and 0.44 μM ± 0.04, respectively (Fig. 1b).
FIG. 1.
Pre-treatment (24 h) of TRPV1-overexpressing BEAS-2B cells with TRPV1 antagonists enhanced TRPV1-mediated calcium flux (a and b) and cytotoxicity (c and d) induced by nonivamide. (a) Dose-related increases in nonivamide-induced (2.5 μM) calcium flux by 24 h antagonist pre-treatment: LJO-328 (triangles), SC0030 (inverted triangles), and capsazepine (diamonds). (b) Calcium flux initiated by nonivamide (squares) and following 24 h pre-treatment with 1 μM LJO-328 (triangles), 0.2 μM SC0030 (inverted triangles), and 3 μM capsazepine (diamonds) for 24 h. Calcium flux curves for the sensitized cells were significantly different than nonivamide only (ANOVA, p < 0.01, n = 4). The data are presented as an increase in fluorescence relative to fluorescence values observed using ionomycin (15 μM). (c) Dose-response cytotoxicity curves (24 h) for LJO-328 (open triangles), SC0030 (open inverted triangles), and capsazepine (open diamonds) (all dashed lines) and with subsequent nonivamide (0.75 μM) treatment with LJO-328 [triangles], SC0030 [inverted triangles], and capsazepine [diamonds]. (d) Dose-response cytotoxicity curves for nonivamide alone (squares) and following a 24 h pre-treatment with 1 μM LJO-328 (triangles), 0.2 μM SC0030 (inverted triangles), and 3 μM capsazepine (diamonds). Cytotoxicity curves for sensitized cells were significantly different than nonivamide only (ANOVA, p < 0.01, n = 3). The error bars are expressed as the standard deviation.
TRPV1-overexpressing BEAS-2B cells pre-treated with TRPV1 antagonists for 24 h also exhibited greater cytotoxicity when treated with nonivamide (Figs. 1c and 1d). All three antagonists (i.e., LJO-328, SC0030, and capsazepine) enhanced TRPV1-mediated cell death. Sensitization was observed at 0.5 h, reached a maximum at 2 h, and persisted for greater than 72 h (data not shown). The approximate EC50 values for exacerbation of nonivamide toxicity by LJO-328, SC0030, and capsazepine were 0.30 μM ± 0.08, 0.37 μM ± 0.05, and 1.25 μM ± 0.09, respectively (Fig. 1c). Pre-treatment with concentrations of LJO-328, SC0030, and CPZ that produced maximum increases in sensitivity (from Fig. 1c) decreased the LD50 of nonivamide from 0.89 μM ± 0.03 to 0.045 ± 0.004 μM, 0.053 ± 0.003 μM, and 0.041 ± 0.004 μM, respectively (Fig. 1d).
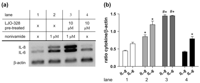
Previous studies showed that treatment of cells with nonivamide, or other TRPV1 agonists, increased the expression of IL-6 and IL-8 mRNA and cytokine secretion via a process that was dependent upon influx of extracellular calcium via TRPV1 (Oortgiesen et al., 2000; Reilly et al., 2003, 2005; Veronesi et al., 1999b). Pre-treatment of cells with LJO-328 for 24 h markedly increased the degree of IL-6 and IL-8 gene induction produced by nonivamide treatment, relative to cells that were not pre-treated with the antagonist (Figs. 2a and 2b). Quantitation of the magnitude of this response demonstrated significant ~1.2 (IL-6) and ~1.7-fold (IL-8) increases, relative to responses induced by nonivamide alone (Fig. 2b).
FIG. 2.

Pre-treatment (24 h) of TRPV1-overexpressing BEAS-2B cells with TRPV1 antagonists enhanced TRPV1-mediated IL-6 and IL-8 gene induction. (a) TRPV1-overexpressing BEAS-2B cells were pre-incubated with 10 μM LJO-328 for 24 h, washed with media, treated with 1 μM nonivamide for an additional 4 h, and the abundance of IL-6 and IL-8 mRNA assessed by RT-PCR: Untreated control (lane 1), nonivamide only (lane 2), LJO-328 pre-treatment and nonivamide (lane 3) and LJO-328 only control (lane 4). (b) Normalized (β-actin) PCR product intensities. Each set of bars corresponds to the gel lane designated below the graph. (#) Band intensities for sensitized cells were saturated following exposure level adjustments made to allow for visualization of lower intensity bands (basal control). Values are significantly different from IL-6 and IL-8 controls, respectively (p < 0.05 (*), t-test, n = 3). The error bars are expressed as the standard deviation.
Previous work has also shown that LJO-328 is a potent competitive inhibitor of calcium flux and cell death initiated by nonivamide when co-administered to cells (Reilly et al., 2005). Addition of LJO-328 to cells during treatment with nonivamide prevented both basal and enhanced cell death (Fig. 3a) and calcium flux (Fig. 3b) in response to nonivamide treatment. Similarly, both normal and antagonist-induced increases in calcium flux were blocked by SC0030 and CPZ (Fig. 3b), consistent with inhibition of TRPV1.
FIG. 3.

Co-incubation of TRPV1 antagonists with nonivamide inhibited antagonist-induced sensitization of cytotoxicity (a) and calcium flux (b) induced by 24 h pre-treatment with antagonist. (a) TRPV1-overexpressing BEAS-2B cells were pre-incubated with media (normal) or 1 μM LJO-328 (sensitized) for 24 h, washed with PBS, and treated with 1 μM nonivamide in the presence or absence of 5 μM LJO-328 for an additional 24 h. Values are significantly different from control (p < 0.01 (**) and p < 0.05 (*), respectively, t-test, n = 3). The error bars are expressed as the standard deviation. (b) TRPV1-overexpressing BEAS-2B cells were pre-incubated with media (normal) or 3 μM CPZ (sensitized) for 24 h, washed, and loaded with the calcium indicator Flou-4 (AM). Calcium flux was induced with 2.5 μM nonivamide and blocked by antagonist addition 30 s prior to the addition of nonivamide. Data are represented as the increase in mean fluorescence intensity relative to ionomycin (15 μM). Values are significantly different from the normal and enhanced response control (p < 0.05 (#,*, respectively), t-test, n = 4). The error bars are expressed as the standard deviation.
The increases in cytotoxicity and calcium flux due to antagonist pre-treatment could occur from an elevation in TRPV1 expression, changes in cellular distribution, post-translational modifications, or combinations of the three. Increased sensitivity was not attenuated by cycloheximide or actinomycin D (Figs. 4a and 4b). RT-PCR analysis of TRPV1 expression levels demonstrated no change in mRNA concentrations following 24 h antagonist pre-treatment (data not shown). Co-treatment with brefeldin A, a Golgi transport inhibitor, significantly reduced the ability of the antagonists to sensitize cells (Figs. 4a and 4b) suggesting that sensitization was related to protein export to the cell surface. Accordingly, calcium flux in un-sensitized cells was only slightly attenuated by ruthenium red/EGTA (~5%), yet was completely inhibited by prior depletion of intracellular ER calcium stores with thapsigargin (Fig. 5). Conversely, sensitized cells exhibited calcium flux that was only partially attenuated by ruthenium red/EGTA (~20%) or thapsigargin (~20%). Only when ruthenium red/EGTA was used in conjunction with thapsigargin, conditions which would prevent calcium flux originating from both intracellular stores and the media, was a near complete block (~66%) of calcium flux observed (Fig. 5). Collectively, these data suggested that translocation of TRPV1 from the ER to the cell surface was responsible for sensitization of the cells.
FIG. 4.

Brefeldin A, but not cycloheximide or actinomycin D, inhibited sensitization of cytotoxicity (a) and calcium flux (b) by TRPV1 antagonist pre-treatment. (a) TRPV1-overexpressing BEAS-2B cells were pre-incubated with or without (±) 1 μM LJO-328 and with or without (±) brefeldin A, cycloheximide, or actinomycin D for 24 h, washed with PBS, and treated with 0.5 μM nonivamide for an additional 24 h to assess TRPV1-mediated cytotoxicity. Values are significantly different from brefeldin A-free control (p < 0.05 (*), t-test, n = 3). The error bars are expressed as the standard deviation. (b) TRPV1-overexpressing BEAS-2B cells were pre-incubated with media (normal) or 1 μM LJO-328 (sensitized) and brefeldin A, cycloheximide, or actinomycin D for 24 h, washed with PBS, and loaded with the calcium indicator Flou-4 (AM) in order to assess TRPV1-mediated calcium flux. Calcium flux was induced with 2.5 μM nonivamide. Images were collected before and 30 s after the addition of agonist. Data represent changes in fluorescence intensity relative to ionomycin (15 μM). Values are significantly different from normal flux control (p < 0.05 (#), t-test, n = 4). The error bars are expressed as the standard deviation.
FIG. 5.

Cells sensitized by LJO-328 pre-treatment demonstrated intracellular and extracellular calcium flux, while unsensitized cells showed primarily intracellular calcium flux. TRPV1-overexpressing BEAS-2B cells were pre-incubated with media (normal) or 1 μM LJO-328 (sensitized) for 24 h, washed with PBS, and loaded with the calcium indicator Flou-4 (AM) in order to assess TRPV1-mediated calcium flux. Calcium flux was induced with 20 μM (normal) or 2 μM (sensitized) nonivamide. Thapsigargin (1.5 μM) was used to deplete ER calcium stores before addition of nonivamide. An EGTA (100 μM) and ruthenium red (10 μM) solution was used to inhibit calcium flux originating from extracellular sources. Images were collected before and 30 s after the addition of agonist. Data represent changes in fluorescence intensity relative to ionomycin (15 μM). Values are significantly different from normal and enhanced flux (p < 0.05 (*,#, respectively), t-test, n = 4). The error bars are expressed as the standard deviation.
NHBE and BEAS-2B cells, primary and immortalized cell lines from which the TRPV1-overexpressing cells were derived, were also assessed for antagonist-induced sensitization. Pre-treatment with LJO-328 (30 and 50 μM in BEAS-2B and NHBE cells) for 24 h increased the cytotoxicity of nonivamide by ~50% in BEAS-2B cells (Fig. 6a) and ~68% in NHBE cells, with some cytotoxicity to BEAS-2B (16%) and NHBE cells (28%) due to LJO-328 itself (Fig. 6b). Similarly, inflammatory cytokine gene induction by nonivamide treatment was markedly increased in BEAS-2B cells 24 h pre-treatment with LJO-328 (Figs. 6c and 6d).
FIG. 6.

BEAS 2B and NHBE cells also demonstrated enhanced sensitivity following 24 h TRPV1 antagonist pretreatment. BEAS-2B (a) and NHBE cells (b) were pre-incubated with increasing concentrations of LJO-328 for 24 h, washed, and treated with 100 μM or 125 μM nonivamide, respectively, for an additional 24 h. All cell treatments were performed in the appropriate cell culture media. Cytotoxicity values are significantly different from the control, where cells did not receive LJO-328 pre-treatment (p < 0.01 (**) and p < 0.05 (*) ANOVA with Dunnett’s t-test, n = 3). The error bars represent the standard deviation. (c) BEAS-2B cells were pre-incubated with 20 μM LJO-328 for 4 h, washed, treated with 100 μM nonivamide for an additional 4 h, and the abundance of IL-6 and IL-8 mRNA assessed by RT-PCR: Untreated control (lane 1), nonivamide only (lane 2), LJO-328 and nonivamide (lane 3) and LJO-328 only control (lane 4). (d) Normalized (β-actin) PCR product intensities. Each set of bars corresponds to the gel lane designated below the graph. Values are significantly different from IL-6 and IL-8 controls, respectively, (p < 0.05 (*), t-test, n = 3). The error bars are expressed as the standard deviation.
DISCUSSION
The lung epithelium is a frontline barrier to inhaled xenobiotics and pathogens. This important cell layer is often subject to damage, possibly causing airway inflammation, pulmonary edema, various systemic responses, and respiratory dysfunction (Barnes, 2002; Cohn et al., 2004; Morrison and Bidani, 2002). It has been shown that several xenobiotics selectively damage the lung epithelium by interacting with specific receptors on the cellular surface. One such receptor is TRPV1 which has been shown to produce inflammatory responses and cell death when activated by certain types of particulate materials (Agopyan et al., 2003a,b, 2004; Oortgiesen et al., 2000; Veronesi et al., 1999a) or the prototypical TRPV1 agonist, capsaicin (Reilly et al., 2003). Therefore, the identification and characterization of specific factors that modulate the sensitivity of these cells to specific toxicants, either via inhibition of responses or by sensitizing cells, is an important task. Here we demonstrate that TRPV1 antagonists enhanced typical responses to nonivamide in lung epithelial cells via a novel mechanism that correlated to an increase in cell-surface receptor function.
Cytotoxicity, inflammatory cytokine gene induction, and calcium flux induced by the TRPV1 agonist, nonivamide, were used to evaluate the effects of low-dose, long-term pre-treatment of TRPV1 antagonists on basal TRPV1 functions. Previously, we demonstrated that the antagonists LJO-328 and SC0030 attenuated the cytotoxicity of TRPV1 agonists when co-administered (Reilly et al., 2005). Similarly, LJO-328, SC0030, and the prototypical TRPV1 antagonist, capsazepine, inhibited TRPV1-mediated calcium flux and calcium-dependent cytokine gene induction and secretion (Reilly et al., 2003, 2005). In this study, we found that TRPV1 antagonists were able to enhance the sensitivity of these cells to subsequent agonist exposures when applied for extended periods of time prior to agonist treatment. LJO-328 was the most potent sensitizing agent, followed by SC0030 and CPZ. Co-treatment of cells with these antagonists and nonivamide attenuated both basal and enhanced responsiveness to agonist treatment, indicating that modulation of TRPV1 was responsible for the changes in sensitivity observed with antagonist pre-treatment. Increased cellular sensitivity was observed within 0.5 h of antagonist treatment and was maximized at ~2–6 h, depending upon the endpoint used. Elevated sensitivity remained for >72 h (data not shown). Overlapping kinetics for the enhancement of cytotoxicity and calcium flux suggested that these two TRPV1-mediated processes were augmented through the same mechanism.
A potential explanation for the observed increases in sensitivity produced by antagonist pre-treatment was that the TRPV1 antagonists promoted increases in TRPV1 expression by inhibiting basal TRPV1 functions in the cells. Previous studies that characterized the TRPV1-overexpressing cell line demonstrated that increased levels of receptor expression selectively promoted cytotoxicity and inflammatory cytokine responses similar to the enhanced responses observed in this study (Reilly et al., 2003). However, we found that neither cycloheximide (a protein synthesis inhibitor), nor actinomycin D (and transcription inhibitor), prevented sensitization by the antagonists. Analysis of TRPV1 mRNA abundance by RT-PCR following 24 h antagonist treatments supported this conclusion (data not shown).
Brefeldin A, a Golgi transport inhibitor, drastically reduced cellular sensitization produced by antagonists pre-treatment. These data suggested that translocation of TRPV1 from the intracellular locations (ER) to the plasma membrane caused sensitization. Quantification of calcium flux originating from intracellular stores and extracellular sources provided compelling evidence that the abundance of TRPV1 at the cell surface was increased by antagonist pre-treatment. These data confirmed the existence of two distinct populations of TRPV1 which can be dynamically regulated by long-term inhibition of basal TRPV1-mediated processes. How translocation initiation signals are processed in cells remains unclear, but modifications to extracellular calcium content (± calcium, EDTA) alone had no effect on sensitivity (data not shown).
It is significant to note that the BEAS-2B cells, as well as a primary lung epithelial cell line, NHBE, (neither of which artificially over-express TRPV1) also responded to TRPV1 antagonist pre-treatment in a similar manner, albeit the degree of sensitization observed was much lower. We presume that the subtle changes in cell sensitivity produced by antagonists pre-treatment in these cells was the result of lower basal expression levels of TRPV1 (compared to the TRPV1-overexpressing cells) and thus, less protein was available to redistribute between the ER and cell surface over the duration of the assay. The fact that a maximum effect was attainable in all cell types, including the over-expressing line, suggests that the rate and degree of sensitization was ultimately dependent upon the level of TRPV1 expression, the duration of the agonist treatment, and the rate of translocation relative to protein recycling and degradation.
These intriguing results highlight potential negative effects that may be encountered with therapeutic use of TRPV1 antagonists to treat various malaise including chronic pain, bladder dysfunction, or lung inflammatory diseases. Similarly, substances such as DHEA and aminoglycoside antibiotics, which have also been shown to inhibit TRPV1 (Chen et al., 2004; Raisinghani and Premkumar, 2005), may also promote sensitization, although this possibility was not investigated. A more detailed investigation of the precise biochemical mechanisms and cellular pathways that govern TRPV1 translocation will ultimately provide additional understanding of how this receptor is regulated to control threshold responses to endogenous and foreign agonists. Such knowledge may ultimately provide insights into individual variability to toxicant susceptibility and uncover potential unanticipated drug interactions. Collectively, these data add to our current understanding of how TRPV1 influences respiratory cell toxicities by providing novel insights into biological factors that control TRPV1-mediated processes in respiratory epithelial cells.
Acknowledgments
We thank Dr. Jeewoo Lee of Seoul National University for providing the LJO-328 and SC0030 compounds. We also acknowledge Dr. Micheal Caterina of Johns Hopkins University for helpful suggestions and Dr. Alan R. Light and Ron W. Hughen of the University of Utah for assistance with the calcium flux assays. This work was supported by a grant from the National Heart, Lung, and Blood institute (HL069813). Conflict of interest: none declared.
References
- Agopyan N, Bhatti T, Yu S, Simon SA. Vanilloid receptor activation by 2- and 10-microm particles induces responses leading to apoptosis in human airway epithelial cells. Toxicol Appl Pharmacol. 2003a;192:21–35. doi: 10.1016/s0041-008x(03)00259-x. [DOI] [PubMed] [Google Scholar]
- Agopyan N, Head J, Yu S, Simon SA. TRPV1 receptors mediate particulate matter-induced apoptosis. Am J Physiol Lung Cell Mol Physiol. 2004;286:L563–L572. doi: 10.1152/ajplung.00299.2003. [DOI] [PubMed] [Google Scholar]
- Agopyan N, Li L, Yu S, Simon SA. Negatively charged 2-and 10-microm particles activate vanilloid receptors, increase cAMP, and induce cytokine release. Toxicol Appl Pharmacol. 2003b;186:63–76. doi: 10.1016/s0041-008x(02)00013-3. [DOI] [PubMed] [Google Scholar]
- Bahner M, Frechter S, Da Silva N, Minke B, Paulsen R, Huber A. Light-regulated subcellular translocation of Drosophila TRPL channels induces long-term adaptation and modifies the light-induced current. Neuron. 2002;34:83–93. doi: 10.1016/s0896-6273(02)00630-x. [DOI] [PubMed] [Google Scholar]
- Barnes PJ. New treatments for COPD. Nat Rev Drug Discov. 2002;1:437–446. doi: 10.1038/nrd820. [DOI] [PubMed] [Google Scholar]
- Barnhill JC, Stokes AJ, Koblan-Huberson M, Shimoda LM, Muraguchi A, Adra CN, Turner H. RGA protein associates with a TRPV ion channel during biosynthesis and trafficking. J Cell Biochem. 2004;91:808–820. doi: 10.1002/jcb.10775. [DOI] [PubMed] [Google Scholar]
- Bezzerides VJ, Ramsey IS, Kotecha S, Greka A, Clapham DE. Rapid vesicular translocation and insertion of TRP channels. Nat Cell Biol. 2004;6:709–720. doi: 10.1038/ncb1150. [DOI] [PubMed] [Google Scholar]
- Bhave G, Hu HJ, Glauner KS, Zhu W, Wang H, Brasier DJ, Oxford GS, Gereau RW. Protein kinase C phosphorylation sensitizes but does not activate the capsaicin receptor transient receptor potential vanilloid 1 (TRPV1) Proc Natl Acad Sci USA. 2003;100:12480–12485. doi: 10.1073/pnas.2032100100. [DOI] [PMC free article] [PubMed] [Google Scholar]
- Boels K, Glassmeier G, Herrmann D, Riedel IB, Hampe W, Kojima I, Schwarz JR, Schaller HC. The neuropeptide head activator induces activation and translocation of the growth-factor-regulated Ca(2+)-permeable channel GRC. J Cell Sci. 2001;114:3599–3606. doi: 10.1242/jcs.114.20.3599. [DOI] [PubMed] [Google Scholar]
- Burgel PR, Nadel JA. Roles of epidermal growth factor receptor activation in epithelial cell repair and mucin production in airway epithelium. Thorax. 2004;59:992–996. doi: 10.1136/thx.2003.018879. [DOI] [PMC free article] [PubMed] [Google Scholar]
- Caterina MJ, Schumacher MA, Tominaga M, Rosen TA, Levine JD, Julius D. The capsaicin receptor: A heat-activated ion channel in the pain pathway. Nature. 1997;389:816–824. doi: 10.1038/39807. [DOI] [PubMed] [Google Scholar]
- Cayouette S, Lussier MP, Mathieu EL, Bousquet SM, Boulay G. Exocytotic insertion of TRPC6 channel into the plasma membrane upon Gq protein-coupled receptor activation. J Biol Chem. 2004;279:7241–7246. doi: 10.1074/jbc.M312042200. [DOI] [PubMed] [Google Scholar]
- Chen SC, Chang TJ, Wu FS. Competitive inhibition of the capsaicin receptor-mediated current by dehydroepiandrosterone in rat dorsal root ganglion neurons. J Pharmacol Exp Ther. 2004;311:529–536. doi: 10.1124/jpet.104.069096. [DOI] [PubMed] [Google Scholar]
- Chu CJ, Huang SM, De Petrocellis L, Bisogno T, Ewing SA, Miller JD, Zipkin RE, Daddario N, Appendino G, Di Marzo V, et al. N-oleoyldopamine, a novel endogenous capsaicin-like lipid that produces hyperalgesia. J Biol Chem. 2003;278:13633–13639. doi: 10.1074/jbc.M211231200. [DOI] [PubMed] [Google Scholar]
- Chuang HH, Prescott ED, Kong H, Shields S, Jordt SE, Basbaum AI, Chao MV, Julius D. Bradykinin and nerve growth factor release the capsaicin receptor from PtdIns(4,5)P2-mediated inhibition. Nature. 2001;411:957–962. doi: 10.1038/35082088. [DOI] [PubMed] [Google Scholar]
- Clapham DE. TRP channels as cellular sensors. Nature. 2003;426:517–524. doi: 10.1038/nature02196. [DOI] [PubMed] [Google Scholar]
- Cohn L, Elias JA, Chupp GL. Asthma: Mechanisms of disease persistence and progression. Annu Rev Immunol. 2004;22:789–815. doi: 10.1146/annurev.immunol.22.012703.104716. [DOI] [PubMed] [Google Scholar]
- Di Marzo V, Blumberg PM, Szallasi A. Endovanilloid signaling in pain. Curr Opin Neurobiol. 2002;12:372–379. doi: 10.1016/s0959-4388(02)00340-9. [DOI] [PubMed] [Google Scholar]
- Dray A, Bettaney J, Forster P. Actions of capsaicin on peripheral nociceptors of the neonatal rat spinal cord-tail in vitro: Dependence of extracellular ions and independence of second messengers. Br J Pharmacol. 1990;101:727–733. doi: 10.1111/j.1476-5381.1990.tb14148.x. [DOI] [PMC free article] [PubMed] [Google Scholar]
- Huang SM, Bisogno T, Trevisani M, Al-Hayani A, De Petrocellis L, Fezza F, Tognetto M, Petros TJ, Krey JF, Chu CJ, et al. An endogenous capsaicin-like substance with high potency at recombinant and native vanilloid VR1 receptors. Proc Natl Acad Sci USA. 2002;99:8400–8405. doi: 10.1073/pnas.122196999. [DOI] [PMC free article] [PubMed] [Google Scholar]
- Hwang SW, Cho H, Kwak J, Lee SY, Kang CJ, Jung J, Cho S, Min KH, Suh YG, Kim D, Oh U. Direct activation of capsaicin receptors by products of lipoxygenases: Endogenous capsaicin-like substances. Proc Natl Acad Sci USA. 2000;97:6155–6160. doi: 10.1073/pnas.97.11.6155. [DOI] [PMC free article] [PubMed] [Google Scholar]
- Itagaki K, Kannan KB, Singh BB, Hauser CJ. Cytoskeletal reorganization internalizes multiple transient receptor potential channels and blocks calcium entry into human neutrophils. J Immunol. 2004;172:601–607. doi: 10.4049/jimmunol.172.1.601. [DOI] [PubMed] [Google Scholar]
- Ji RR, Samad TA, Jin SX, Schmoll R, Woolf CJ. p38 MAPK activation by NGF in primary sensory neurons after inflammation increases TRPV1 levels and maintains heat hyperalgesia. Neuron. 2002;36:57–68. doi: 10.1016/s0896-6273(02)00908-x. [DOI] [PubMed] [Google Scholar]
- Jung J, Shin JS, Lee SY, Hwang SW, Koo J, Cho H, Oh U. Phosphorylation of vanilloid receptor 1 by Ca2+/calmodulin-dependent kinase II regulates its vanilloid binding. J Biol Chem. 2004;279:7048–7054. doi: 10.1074/jbc.M311448200. [DOI] [PubMed] [Google Scholar]
- Kanzaki M, Zhang YQ, Mashima H, Li L, Shibata H, Kojima I. Translocation of a calcium-permeable cation channel induced by insulin-like growth factor-I. Nat Cell Biol. 1999;1:165–170. doi: 10.1038/11086. [DOI] [PubMed] [Google Scholar]
- Karai LJ, Russell JT, Iadarola MJ, Olah Z. Vanilloid receptor 1 regulates multiple calcium compartments and contributes to Ca2+-induced Ca2+ release in sensory neurons. J Biol Chem. 2004;279:16377–16387. doi: 10.1074/jbc.M310891200. [DOI] [PubMed] [Google Scholar]
- Kasper M, Haroske G. Alterations in the alveolar epithelium after injury leading to pulmonary fibrosis. Histol Histopathol. 1996;11:463–483. [PubMed] [Google Scholar]
- Kuwano K, Hagimoto N, Hara N. Molecular mechanisms of pulmonary fibrosis and current treatment. Curr Mol Med. 2001;1:551–573. doi: 10.2174/1566524013363401. [DOI] [PubMed] [Google Scholar]
- Lockwich T, Singh BB, Liu X, Ambudkar IS. Stabilization of cortical actin induces internalization of transient receptor potential 3 (Trp3)-associated caveolar Ca2+ signaling complex and loss of Ca2+ influx without disruption of Trp3-inositol trisphosphate receptor association. J Biol Chem. 2001;276:42401–42408. doi: 10.1074/jbc.M106956200. [DOI] [PubMed] [Google Scholar]
- Marsh SJ, Stansfeld CE, Brown DA, Davey R, McCarthy D. The mechanism of action of capsaicin on sensory C-type neurons and their axons in vitro. Neuroscience. 1987;23:275–289. doi: 10.1016/0306-4522(87)90289-2. [DOI] [PubMed] [Google Scholar]
- Mehta D, Ahmmed GU, Paria BC, Holinstat M, Voyno-Yasenetskaya T, Tiruppathi C, Minshall RD, Malik AB. RhoA interaction with inositol 1,4,5-trisphosphate receptor and transient receptor potential channel-1 regulates Ca2+ entry. Role in signaling increased endothelial permeability. J Biol Chem. 2003;278:33492–33500. doi: 10.1074/jbc.M302401200. [DOI] [PubMed] [Google Scholar]
- Morenilla-Palao C, Planells-Cases R, Garcia-Sanz N, Ferrer-Montiel A. Regulated exocytosis contributes to protein kinase C potentiation of vanilloid receptor activity. J Biol Chem. 2004;279:25665–25672. doi: 10.1074/jbc.M311515200. [DOI] [PubMed] [Google Scholar]
- Morrison RJ, Bidani A. Acute respiratory distress syndrome epidemiology and pathophysiology. Chest Surg Clin N Am. 2002;12:301–323. doi: 10.1016/s1052-3359(02)00004-2. [DOI] [PubMed] [Google Scholar]
- Olah Z, Szabo T, Karai L, Hough C, Fields RD, Caudle RM, Blumberg PM, Iadarola MJ. Ligand-induced dynamic membrane changes and cell deletion conferred by vanilloid receptor 1. J Biol Chem. 2001;276:11021–11030. doi: 10.1074/jbc.M008392200. [DOI] [PubMed] [Google Scholar]
- Oortgiesen M, Veronesi B, Eichenbaum G, Kiser PF, Simon SA. Residual oil fly ash and charged polymers activate epithelial cells and nociceptive sensory neurons. Am J Physiol Lung Cell Mol Physiol. 2000;278:L683–L695. doi: 10.1152/ajplung.2000.278.4.L683. [DOI] [PubMed] [Google Scholar]
- Premkumar LS, Ahern GP. Induction of vanilloid receptor channel activity by protein kinase C. Nature. 2000;408:985–990. doi: 10.1038/35050121. [DOI] [PubMed] [Google Scholar]
- Puntambekar P, Van Buren J, Raisinghani M, Premkumar LS, Ramkumar V. Direct interaction of adenosine with the TRPV1 channel protein. J Neurosci. 2004;24:3663–3671. doi: 10.1523/JNEUROSCI.4773-03.2004. [DOI] [PMC free article] [PubMed] [Google Scholar]
- Raisinghani M, Premkumar LS. Block of native and cloned vanilloid receptor 1 (TRPV1) by aminoglycoside antibiotics. Pain. 2005;113:123–133. doi: 10.1016/j.pain.2004.09.042. [DOI] [PubMed] [Google Scholar]
- Reilly CA, Johansen ME, Lanza DL, Lee J, Lim JO, Yost GS. Calcium-dependent and independent mechanisms of capsaicin receptor (TRPVI)-mediated cytokine production and cell death in human bronchial epithelial cells. J Biochem Mol Toxicol. 2005;19:266–275. doi: 10.1002/jbt.20084. [DOI] [PMC free article] [PubMed] [Google Scholar]
- Reilly CA, Taylor JL, Lanza DL, Carr BA, Crouch DJ, Yost GS. Capsaicinoids cause inflammation and epithelial cell death through activation of vanilloid receptors. Toxicol Sci. 2003;73:170–181. doi: 10.1093/toxsci/kfg044. [DOI] [PMC free article] [PubMed] [Google Scholar]
- Rosenbaum T, Gordon-Shaag A, Munari M, Gordon SE. Ca2+/calmodulin modulates TRPV1 activation by capsaicin. J Gen Physiol. 2004;123:53–62. doi: 10.1085/jgp.200308906. [DOI] [PMC free article] [PubMed] [Google Scholar]
- Selman M, King TE, Pardo A. Idiopathic pulmonary fibrosis: Prevailing and evolving hypotheses about its pathogenesis and implications for therapy. Ann Intern Med. 2001;134:136–151. doi: 10.7326/0003-4819-134-2-200101160-00015. [DOI] [PubMed] [Google Scholar]
- Szallasi A, Di Marzo V. New perspectives on enigmatic vanilloid receptors. Trends Neurosci. 2000;23:491–497. doi: 10.1016/s0166-2236(00)01630-1. [DOI] [PubMed] [Google Scholar]
- Veronesi B, Carter JD, Devlin RB, Simon SA, Oortgiesen M. Neuropeptides and capsaicin stimulate the release of inflammatory cytokines in a human bronchial epithelial cell line. Neuropeptides. 1999a;33:447–456. doi: 10.1054/npep.1999.0761. [DOI] [PubMed] [Google Scholar]
- Veronesi B, Oortgiesen M, Carter JD, Devlin RB. Particulate matter initiates inflammatory cytokine release by activation of capsaicin and acid receptors in a human bronchial epithelial cell line. Toxicol Appl Pharmacol. 1999b;154:106–115. doi: 10.1006/taap.1998.8567. [DOI] [PubMed] [Google Scholar]
- Wang Y, Szabo T, Welter JD, Toth A, Tran R, Lee J, Kang SU, Suh YG, Blumberg PM. High affinity antagonists of the vanilloid receptor. Mol Pharmacol. 2002;62:947–956. doi: 10.1124/mol.62.4.947. [DOI] [PubMed] [Google Scholar]
- Williams JT, Zieglgansberger W. The acute effects of capsaicin on rat primary afferents and spinal neurons. Brain Res. 1982;253:125–131. doi: 10.1016/0006-8993(82)90679-5. [DOI] [PubMed] [Google Scholar]
- Witschi H. Role of the epithelium in lung repair. Chest. 1991;99:22S–25S. doi: 10.1378/chest.99.3_supplement.22s. [DOI] [PubMed] [Google Scholar]
- Wood JN, Winter J, James IF, Rang HP, Yeats J, Bevan S. Capsaicin-induced ion fluxes in dorsal root ganglion cells in culture. J Neurosci. 1988;8:3208–3220. doi: 10.1523/JNEUROSCI.08-09-03208.1988. [DOI] [PMC free article] [PubMed] [Google Scholar]
- Xu XZ, Moebius F, Gill DL, Montell C. Regulation of melastatin, a TRP-related protein, through interaction with a cytoplasmic isoform. Proc Natl Acad Sci USA. 2001;98:10692–10697. doi: 10.1073/pnas.191360198. [DOI] [PMC free article] [PubMed] [Google Scholar]
- Xu XZ, Sternberg PW. A C. elegans sperm TRP protein required for sperm-egg interactions during fertilization. Cell. 2003;114:285–297. doi: 10.1016/s0092-8674(03)00565-8. [DOI] [PubMed] [Google Scholar]

