Abstract
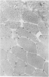
Rhabdomyolysis is a rare but potentially fatal complication of hyperosmolar states. We report a case of severe hyperosmolar non-ketotic diabetic coma causing rhabdomyolysis in a young man. Despite very high levels of creatine kinase there was no detectable myoglobinuria. Creatine kinase estimation should be a standard investigation in all patients presenting with a hyperosmolar state.
Full text
PDF


Images in this article
Selected References
These references are in PubMed. This may not be the complete list of references from this article.
- Gabow P. A., Kaehny W. D., Kelleher S. P. The spectrum of rhabdomyolysis. Medicine (Baltimore) 1982 May;61(3):141–152. doi: 10.1097/00005792-198205000-00002. [DOI] [PubMed] [Google Scholar]
- Grossman R. A., Hamilton R. W., Morse B. M., Penn A. S., Goldberg M. Nontraumatic rhabdomyolysis and acute renal failure. N Engl J Med. 1974 Oct 17;291(16):807–811. doi: 10.1056/NEJM197410172911601. [DOI] [PubMed] [Google Scholar]
- Leung C. B., Li P. K., Lui S. F., Lai K. N. Acute renal failure (ARF) caused by rhabdomyolysis due to diabetic hyperosmolar nonketotic coma: a case report and literature review. Ren Fail. 1992;14(1):81–85. doi: 10.3109/08860229209039121. [DOI] [PubMed] [Google Scholar]
- RAINEY R. L., ESTES P. W., NEELY C. L., AMICK L. D. Myoglobinuria following diabetic acidosis with electromyographic evaluation. Arch Intern Med. 1963 May;111:564–571. doi: 10.1001/archinte.1963.03620290030006. [DOI] [PubMed] [Google Scholar]
- Singhal P. C., Abramovici M., Venkatesan J. Rhabdomyolysis in the hyperosmolal state. Am J Med. 1990 Jan;88(1):9–12. doi: 10.1016/0002-9343(90)90120-3. [DOI] [PubMed] [Google Scholar]
- Ulvila J. M., Nessan V. J. Hypernatremia with myoglobinuria. Am J Med Sci. 1973 Jan;265(1):79–81. doi: 10.1097/00000441-197301000-00009. [DOI] [PubMed] [Google Scholar]

