Abstract
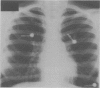
We describe a patient with anorexia nervosa who developed a spontaneous pneumomediastinum. Five other patients have been reported with this association, suggesting that tissue changes in anorexia nervosa may predispose to this condition.
Full text
PDF


Images in this article
Selected References
These references are in PubMed. This may not be the complete list of references from this article.
- Al-Mufty N. S., Bevan D. H. A case of subcutaneous emphysema, pneumomediastinum and pneumoretroperitoneum associated with functional anorexia. Br J Clin Pract. 1977 Oct;31(10):160–161. [PubMed] [Google Scholar]
- Altmeyer R. B., Morgan E. J. Spontaneous pneumomediastinum as a complication of anorexia nervosa. W V Med J. 1981 Aug;77(8):189–190. [PubMed] [Google Scholar]
- Brandfass R. T., Martinez D. M. Mediastinal and subcutaneous emphysema in labor. South Med J. 1976 Dec;69(12):1554–1555. doi: 10.1097/00007611-197612000-00011. [DOI] [PubMed] [Google Scholar]
- Brooks A. P., Martyn C. Pneumomediastinum in anorexia nervosa. Br Med J. 1979 Jan 13;1(6156):124–124. doi: 10.1136/bmj.1.6156.125. [DOI] [PMC free article] [PubMed] [Google Scholar]
- Donley A. J., Kemple T. J. Spontaneous pneumomediastinum complicating anorexia nervosa. Br Med J. 1978 Dec 9;2(6152):1604–1605. doi: 10.1136/bmj.2.6152.1604-a. [DOI] [PMC free article] [PubMed] [Google Scholar]
- Girard D. E., Carlson V., Natelson E. A., Fred H. L. Pneumomediastinum in diabetic ketoacidosis: comments on mechanism, incidence, and management. Chest. 1971 Nov;60(5):455–459. doi: 10.1378/chest.60.5.455. [DOI] [PubMed] [Google Scholar]
- Gottdiener J. S., Gross H. A., Henry W. L., Borer J. S., Ebert M. H. Effects of self-induced starvation on cardiac size and function in anorexia nervosa. Circulation. 1978 Sep;58(3 Pt 1):425–433. doi: 10.1161/01.cir.58.3.425. [DOI] [PubMed] [Google Scholar]
- Kirsh M. M., Orvald T. O. Mediastinal and subcutaneous emphysema complicating acute bronchial asthma. Chest. 1970 Jun;57(6):580–581. doi: 10.1378/chest.57.6.580. [DOI] [PubMed] [Google Scholar]
- Miller W. E., Spiekerman R. E., Hepper N. G. Pneumomediastinum resulting from performing Valsalva maneuvers during marihuana smoking. Chest. 1972 Aug;62(2):233–234. doi: 10.1378/chest.62.2.233. [DOI] [PubMed] [Google Scholar]
- Morgan E. J., Henderson D. A. Pneumomediastinum as a complication of athletic competition. Thorax. 1981 Feb;36(2):155–156. doi: 10.1136/thx.36.2.155. [DOI] [PMC free article] [PubMed] [Google Scholar]
- Sahebjami H., Vassallo C. L., Wirman J. A. Lung mechanics and ultrastructure in prolonged starvation. Am Rev Respir Dis. 1978 Jan;117(1):77–83. doi: 10.1164/arrd.1978.117.1.77. [DOI] [PubMed] [Google Scholar]
- Schulman A., Fataar S., Van der Spuy J. W., Morton P. C., Crosier J. H. Air in unusual places: some causes and ramifications of pneumomediastinum. Clin Radiol. 1982 May 3;33(3):301–306. doi: 10.1016/s0009-9260(82)80271-7. [DOI] [PubMed] [Google Scholar]
- Zegel H. G., Miller W. T. Subcutaneous emphysema in a young man. JAMA. 1979 Mar 23;241(12):1273–1274. [PubMed] [Google Scholar]


