Abstract
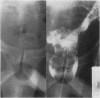
The complications and results of rectal anastomoses carried out with the end-to-end anastomosis (EEA) stapling instrument on 50 patients by 5 consultant surgeons are recorded. There was a clinical leakage rate of 6% and a radiological leakage rate of 20% assessed by water-soluble contrast enema. The technique has advantages compared with hand-suture by allowing low anastomoses and preservation of sphincters and is accompanied by an acceptably low leakage rate. Despite the cost of disposable cartridges these advantages make the technique economical because of the avoidance of colostomies and reduction in hospital stay.
Full text
PDF



Images in this article
Selected References
These references are in PubMed. This may not be the complete list of references from this article.
- Goligher J. C. Bradshaw lecture, 1978. Recent trends in the practice of sphincter-saving excision for rectal cancer. Ann R Coll Surg Engl. 1979 May;61(3):169–176. [PMC free article] [PubMed] [Google Scholar]
- Heald R. J. A new approach to rectal cancer. Br J Hosp Med. 1979 Sep;22(3):277–281. [PubMed] [Google Scholar]


