Full text
PDF







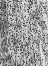
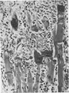
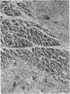
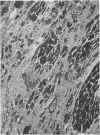
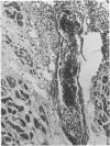
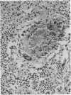
Images in this article
Selected References
These references are in PubMed. This may not be the complete list of references from this article.
- Abelmann W. H. Myocarditis. N Engl J Med. 1966 Oct 13;275(15):832–contd. doi: 10.1056/NEJM196610132751509. [DOI] [PubMed] [Google Scholar]
- Abelmann W. H. Virus and the heart. Circulation. 1971 Nov;44(5):950–956. doi: 10.1161/01.cir.44.5.950. [DOI] [PubMed] [Google Scholar]
- Alexander C. S. The concept of alcoholic myocardiopathy. Med Clin North Am. 1968 Sep;52(5):1183–1191. [PubMed] [Google Scholar]
- BRIGDEN W. CARDIAC AMYLOIDOSIS. Prog Cardiovasc Dis. 1964 Sep;7:142–150. doi: 10.1016/s0033-0620(64)80016-5. [DOI] [PubMed] [Google Scholar]
- BUERGER L., BRAUNSTEIN H. Senile cardiac amyloidosis. Am J Med. 1960 Mar;28:357–367. doi: 10.1016/0002-9343(60)90167-4. [DOI] [PubMed] [Google Scholar]
- Barborik M., Dusek J. Cardiomyopathy accompaning industrial cobalt exposure. Br Heart J. 1972 Jan;34(1):113–116. doi: 10.1136/hrt.34.1.113. [DOI] [PMC free article] [PubMed] [Google Scholar]
- Bashour F. A., McConnell T., Skinner W., Hanson M. Myocardial sarcoidosis. Dis Chest. 1968 Apr;53(4):413–420. doi: 10.1378/chest.53.4.413. [DOI] [PubMed] [Google Scholar]
- Buja L. M., Khoi N. B., Roberts W. C. Clinically significant cardiac amyloidosis. Clinicopathologic findings in 15 patients. Am J Cardiol. 1970 Oct;26(4):394–405. doi: 10.1016/0002-9149(70)90736-8. [DOI] [PubMed] [Google Scholar]
- Buja L. M., Roberts W. C. Iron in the heart. Etiology and clinical significance. Am J Med. 1971 Aug;51(2):209–221. doi: 10.1016/0002-9343(71)90240-3. [DOI] [PubMed] [Google Scholar]
- EHLERS K. H., HAGSTROM J. W., LUKAS D. S., REDO S. F., ENGLE M. A. Glycogen-storage disease of the myocardium with obstruction to left ventricular outflow. Circulation. 1962 Jan;25:96–109. doi: 10.1161/01.cir.25.1.96. [DOI] [PubMed] [Google Scholar]
- Emanuel R. A classification for the cardiomyopathies. Am J Cardiol. 1970 Oct;26(4):438–439. doi: 10.1016/0002-9149(70)90745-9. [DOI] [PubMed] [Google Scholar]
- Fajardo L. F., Stewart J. R., Cohn K. E. Morphology of radiation-induced heart disease. Arch Pathol. 1968 Nov;86(5):512–519. [PubMed] [Google Scholar]
- GAFNI J., SOHAR E., HELLER H. THE INHERITED AMYLOIDOSES: THEIR CLINICAL AND THEORETICAL SIGNIFICANCE. Lancet. 1964 Jan 11;1(7324):71–74. doi: 10.1016/s0140-6736(64)91391-1. [DOI] [PubMed] [Google Scholar]
- GILROY J., CAHALAN J. L., BERMAN R., NEWMAN M. Cardiac and pulmonary complications in Duchenne's progressive muscular dystrophy. Circulation. 1963 Apr;27(4 Pt 1):484–493. doi: 10.1161/01.cir.27.4.484. [DOI] [PubMed] [Google Scholar]
- Hewer R. The heart in Friedreich's ataxia. Br Heart J. 1969 Jan;31(1):5–14. doi: 10.1136/hrt.31.1.5. [DOI] [PMC free article] [PubMed] [Google Scholar]
- Hudson R. E. The cardiomyopathies: order from chaos. Am J Cardiol. 1970 Jan;25(1):70–77. doi: 10.1016/0002-9149(70)90817-9. [DOI] [PubMed] [Google Scholar]
- James T. N. Pathology of small coronary arteries. Am J Cardiol. 1967 Nov;20(5):679–691. doi: 10.1016/0002-9149(67)90012-4. [DOI] [PubMed] [Google Scholar]
- KOTEN J. W., VAN GASTEL, MEES E. J., HOLLEMAN L. W., SCHUILING R. D. TWO CASES OF PRIMARY OXALOSIS. J Clin Pathol. 1965 Mar;18:223–229. doi: 10.1136/jcp.18.2.223. [DOI] [PMC free article] [PubMed] [Google Scholar]
- ORAM S., STOKES W. The heart in scleroderma. Br Heart J. 1961 May;23:243–259. doi: 10.1136/hrt.23.3.243. [DOI] [PMC free article] [PubMed] [Google Scholar]
- PORTER G. H. Sarcoid heart disease. N Engl J Med. 1960 Dec 29;263:1350–1357. doi: 10.1056/NEJM196012292632608. [DOI] [PubMed] [Google Scholar]
- Perloff J. K. Cardiomyopathy associated with heredofamilial neuromyopathic diseases. Mod Concepts Cardiovasc Dis. 1971 May;40(5):23–26. [PubMed] [Google Scholar]
- Perloff J. K. The cardiomyopathies--current perspectives. Circulation. 1971 Nov;44(5):942–949. doi: 10.1161/01.cir.44.5.942. [DOI] [PubMed] [Google Scholar]
- Pomerance A. The pathology of senile cardiac amyloidosis. J Pathol Bacteriol. 1966 Apr;91(2):357–367. doi: 10.1002/path.1700910209. [DOI] [PubMed] [Google Scholar]
- Pyun K. S., Kim Y. H., Katzenstein R. E., Kikkawa Y. Giant cell myocarditis. Light and electron microscopic study. Arch Pathol. 1970 Aug;90(2):181–188. [PubMed] [Google Scholar]
- SYMMERS W. S. Primary amyloidosis: a review. J Clin Pathol. 1956 Aug;9(3):187–211. doi: 10.1136/jcp.9.3.187. [DOI] [PMC free article] [PubMed] [Google Scholar]
- WHITEHEAD R. ISOLATED MYOCARDITIS. Br Heart J. 1965 Mar;27:220–230. doi: 10.1136/hrt.27.2.220. [DOI] [PMC free article] [PubMed] [Google Scholar]












