Abstract
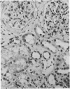
A case of acute renal failure is reported in a patient with severe lithium intoxication. Renal biopsy showed damage in the proximal tubules with less marked changes in the glomeruli and interlobular arteries.
Lithium was withdrawn, and after treatment with peritoneal dialysis the patient regained normal renal function.
The accumulation of lithium is known to lead to acute renal failure in the rat and the dog, and this report provides further evidence that it may do so in man.
Full text
PDF


Images in this article
Selected References
These references are in PubMed. This may not be the complete list of references from this article.
- Amdisen A., Skjoldborg H. Haemodialysis for lithium poisoning. Lancet. 1969 Jul 26;2(7613):213–213. doi: 10.1016/s0140-6736(69)91447-0. [DOI] [PubMed] [Google Scholar]
- GLESINGER B. Evaluation of lithium in treatment of psychotic excitement. Med J Aust. 1954 Feb 20;41(1 8):277–283. doi: 10.5694/j.1326-5377.1954.tb85334.x. [DOI] [PubMed] [Google Scholar]
- Hawkins J. B., Dorken P. R. Lithium. Lancet. 1969 Apr 19;1(7599):839–840. [PubMed] [Google Scholar]
- RADOMSKI J. L., FUYAT H. N., NELSON A. A., SMITH P. K. The toxic effects, excretion and distribution of lithium chloride. J Pharmacol Exp Ther. 1950 Dec;100(41):429–444. [PubMed] [Google Scholar]
- ROBERTS E. L. A case of chronic mania treated with lithium citrate and terminating fatally. Med J Aust. 1950 Aug 12;2(7):261–262. doi: 10.5694/j.1326-5377.1950.tb81010.x. [DOI] [PubMed] [Google Scholar]
- Schou M., Amdisen A., Trap-Jensen J. Lithium poisoning. Am J Psychiatry. 1968 Oct;125(4):520–527. doi: 10.1176/ajp.125.4.520. [DOI] [PubMed] [Google Scholar]
- Thomsen K., Schou M. Renal lithium excretion in man. Am J Physiol. 1968 Oct;215(4):823–827. doi: 10.1152/ajplegacy.1968.215.4.823. [DOI] [PubMed] [Google Scholar]
- Wilson J. H., Donker A. J., van der Hem G. K., Wientjes J. Peritoneal dialysis for lithium poisoning. Br Med J. 1971 Jun 26;2(5764):749–750. doi: 10.1136/bmj.2.5764.749. [DOI] [PMC free article] [PubMed] [Google Scholar]

