Abstract
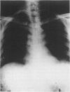
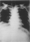
Elevation of the left dome of the diaphragm occurred in 43% of cases with left lobe amoebic liver abscesses. It was rarely seen in patients with an abscess in the right hepatic lobe. Elevation of the right dome of the diaphragm, which occurred in 36% of cases, is also compatible with a diagnosis of left lobe abscess. This radiological sign was present in 75% of cases with right lobe abscesses. Pleuro-pulmonary changes in the left chest, when associated with an elevation of the left dome of the diaphragm, favours the diagnosis of an amoebic abscess of the left lobe of the liver. Radiological changes in barium studies are usually confined to patients with large hepatic abscesses. In clinical practice the information obtained from simple radiology can provide adequate diagnostic confirmation of the presence of a left lobe liver abscess.
Full text
PDF




Images in this article
Selected References
These references are in PubMed. This may not be the complete list of references from this article.
- LAMONT N. M., POOLER N. R. Hepatic amoebiasis: a study of 250 cases. Q J Med. 1958 Jul;27(107):389–412. [PubMed] [Google Scholar]
- PAUL M. New concepts on amoebic abscess of the liver. Br J Surg. 1960 Mar;47:502–514. doi: 10.1002/bjs.18004720510. [DOI] [PubMed] [Google Scholar]
- Ramachandran S., Jayawardena D. L., Perumal J. R. Radiological changes in hepatic amoebiasis. Postgrad Med J. 1971 Sep;47(551):615–621. doi: 10.1136/pgmj.47.551.615. [DOI] [PMC free article] [PubMed] [Google Scholar]
- Ramachandran S., Sivalingam S., Perumal J. R. Concepts in hepatic amoebiasis. J Trop Med Hyg. 1973 Feb;76(2):39–42. [PubMed] [Google Scholar]








