Abstract
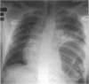
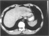
A retrospective case note analysis was performed on all patients treated for traumatic diaphragmatic rupture (TDR) at a major teaching hospital between January 1990 and August 1998. Patients were identified from the prospectively maintained UK Trauma and Research Network Database. Of the 480 cases of torso trauma admitted during the study period, 16 (3.3%) had TDR. Blunt trauma accounted for 13 (81%) of the injuries. A radiological pre-operative diagnosis was made in 10 (62.5%) patients. Seven of these were made on initial chest radiography, two on ultrasound scan and one on computed tomography. All patients underwent a midline laparotomy and TDR was subsequently diagnosed at operation in 6 patients. The left hemidiaphragm was ruptured in 14 (87.5%) patients and there was visceral herniation in 8 (50%). Twelve patients with blunt trauma had associated abdominal and extra-abdominal injuries, but only one of the three patients with penetrating trauma had other injuries. The median Injury Severity Score (range) was 21 (9-50). The median time (range) spent on the intensive care unit was 2 days (0-35 days). Pulmonary complications occurred in 7 (44%) patients. Two (12.5%) patients died from associated head injuries. TDR results from blunt and penetrating torso trauma, is uncommon, rarely occurs in isolation and is associated with a high morbidity and mortality. A high index of suspicion makes early diagnosis more likely as initial physical and radiological signs may be lacking.
Full text
PDF



Images in this article
Selected References
These references are in PubMed. This may not be the complete list of references from this article.
- Baker S. P., O'Neill B., Haddon W., Jr, Long W. B. The injury severity score: a method for describing patients with multiple injuries and evaluating emergency care. J Trauma. 1974 Mar;14(3):187–196. [PubMed] [Google Scholar]
- Guth A. A., Pachter H. L., Kim U. Pitfalls in the diagnosis of blunt diaphragmatic injury. Am J Surg. 1995 Jul;170(1):5–9. doi: 10.1016/s0002-9610(99)80242-6. [DOI] [PubMed] [Google Scholar]
- Haddad R., Wolf Y., Alagem D., Cohn M., Skornick Y., Kluger Y. Anchoring the diaphragm after blunt trauma. Injury. 1999 Jan;30(1):57–58. doi: 10.1016/s0020-1383(98)00151-x. [DOI] [PubMed] [Google Scholar]
- Kearney P. A., Rouhana S. W., Burney R. E. Blunt rupture of the diaphragm: mechanism, diagnosis, and treatment. Ann Emerg Med. 1989 Dec;18(12):1326–1330. doi: 10.1016/s0196-0644(89)80270-7. [DOI] [PubMed] [Google Scholar]
- Martin I., O'Rourke N., Gotley D., Smithers M. Laparoscopy in the management of diaphragmatic rupture due to blunt trauma. Aust N Z J Surg. 1998 Aug;68(8):584–586. doi: 10.1111/j.1445-2197.1998.tb02105.x. [DOI] [PubMed] [Google Scholar]
- Murray J. G., Caoili E., Gruden J. F., Evans S. J., Halvorsen R. A., Jr, Mackersie R. C. Acute rupture of the diaphragm due to blunt trauma: diagnostic sensitivity and specificity of CT. AJR Am J Roentgenol. 1996 May;166(5):1035–1039. doi: 10.2214/ajr.166.5.8615237. [DOI] [PubMed] [Google Scholar]
- Shah R., Sabanathan S., Mearns A. J., Choudhury A. K. Traumatic rupture of diaphragm. Ann Thorac Surg. 1995 Nov;60(5):1444–1449. doi: 10.1016/0003-4975(95)00629-Y. [DOI] [PubMed] [Google Scholar]
- Shapiro M. J., Heiberg E., Durham R. M., Luchtefeld W., Mazuski J. E. The unreliability of CT scans and initial chest radiographs in evaluating blunt trauma induced diaphragmatic rupture. Clin Radiol. 1996 Jan;51(1):27–30. doi: 10.1016/s0009-9260(96)80214-5. [DOI] [PubMed] [Google Scholar]




