Abstract
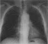
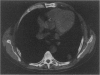
The rhodococcus is a mycobacterium-like organism which is normally a pathogen in foals. It usually spreads by direct contact or by aerosol from horse faeces and causes pyogranulomatous pulmonary infections. Occasionally, it acts opportunistically to infect immuno-compromised human hosts, most commonly those with the acquired immune deficiency syndrome (AIDS). Here we report a pulmonary infection by Rhodococcus equi in a renal transplant recipient who was successfully treated. The literature on this infection in transplant recipients is also reviewed with respect to manifestations and treatment.
Full text
PDF

Images in this article
Selected References
These references are in PubMed. This may not be the complete list of references from this article.
- Muñoz P., Burillo A., Palomo J., Rodríguez-Créixems M., Bouza E. Rhodococcus equi infection in transplant recipients: case report and review of the literature. Transplantation. 1998 Feb 15;65(3):449–453. doi: 10.1097/00007890-199802150-00031. [DOI] [PubMed] [Google Scholar]
- Scott M. A., Graham B. S., Verrall R., Dixon R., Schaffner W., Tham K. T. Rhodococcus equi--an increasingly recognized opportunistic pathogen. Report of 12 cases and review of 65 cases in the literature. Am J Clin Pathol. 1995 May;103(5):649–655. doi: 10.1093/ajcp/103.5.649. [DOI] [PubMed] [Google Scholar]
- Verville T. D., Huycke M. M., Greenfield R. A., Fine D. P., Kuhls T. L., Slater L. N. Rhodococcus equi infections of humans. 12 cases and a review of the literature. Medicine (Baltimore) 1994 May;73(3):119–132. doi: 10.1097/00005792-199405000-00001. [DOI] [PubMed] [Google Scholar]


