Abstract
Emerging evidence has suggested a critical role for activator protein (AP)-1 in regulating various cellular functions. The goal of this study was to investigate the effects of H. pylori and mitogen-activated protein kinases (MAPKs) on AP-1 subcomponents expression and AP-1 DNA binding activity in gastric epithelial cells. We found that H. pylori infection resulted in a time- and dose-dependent increase in the expression of the proteins c-Jun, JunB, JunD, Fra-1, and c-Fos, which make up the major AP-1 DNA binding proteins in AGS and MKN45 cells, while the expression levels of Fra-2 and FosB remained unchanged. H. pylori infection and MAPK inhibition altered AP-1 subcomponent protein expression and AP-1 DNA-binding activity, but did not change the overall subcomponent composition. Different clinical isolates of H. pylori showed various abilities to induce AP-1 DNA binding. Mutation of cagA, cagPAI, or vacA, and the nonphosphorylateable CagA mutant (cagAEPISA) showed less H. pylori-induced AP-1 DNA binding activity, while mutation of the H. pylori flagella had no effect. ERK, p38, and JNK each selectively regulated AP-1 subcomponent expression and DNA binding activity. These results provide more insight into how H. pylori and MAPK modulate AP-1 subcomponents in gastric epithelial cells to alter the expression of downstream target genes and affect cellular functions.
Keywords: Helicobacter pylori (H. pylori), mitogen-activated protein kinases (MAPKs), c-Jun, JunB, JunD, Fra-1, c-Fos, activator protein-1, gastric epithelial cells
Introduction
Activator protein (AP)-1 transcription factors are important in regulating inflammation, cell cycle, cell proliferation, and cell transformation. AP-1 is a dimeric complex that contains members of the Jun (c-Jun, JunB, JunD), Fos (c-Fos, Fra-1, Fra-2, FosB), activating transcription factor (ATF), and musculoaponeurotic fibrosarcoma (MAF) protein families (Eferl & Wagner, 2003). AP-1 acts downstream of evolutionarily conserved signaling pathways, such as mitogen-activated protein kinases (MAPK), TGF-β and Wnt, and has been implicated in a large variety of biological processes (Jochum, et al., 2001; Mechta-Grigoriou, et al., 2001). Its activity is modulated by interactions with other transcriptional regulators and is regulated by upstream kinases that link AP-1 to various signal transduction pathways. AP-1 mediates extracellular signals by altering the expression of specific target genes that contain AP-1 binding sites in their promoter or enhancer regions (Shaulian & Karin, 2002). Jun and Fos are the major mammalian components of AP-1 proteins. c-Fos can only heterodimerize with members of the Jun family, while Jun family proteins can form both homo- and heterodimers with Fos proteins to form transcriptionally active complexes (Jochum, et al., 2001; Mechta-Grigoriou, et al., 2001).
Chronic infection of the human stomach by Helicobacter pylori, a Gram-negative bacterium, is a major cause of chronic gastritis, peptic ulcers, and gastric malignancies, including gastric non-cardia adenocarcinoma and mucosal-associated lymphoid tissue (MALT) lymphoma (Peek & Crabtree, 2006). H. pylori infection activates multiple cellular signaling pathways including AP-1, MAPK, and NF-κB. Activation of these pathways contributes to increased inflammatory cytokine expression, an increased rate of apoptosis, an increased proliferation rate, and altered cell cycle in gastric epithelial cells (Ernst, et al., 2006).
Previous studies have shown that H. pylori induces the expression of c-Jun and c-Fos in gastric epithelial cells (Naumann, et al., 1999; Meyer-ter-Vehn, et al., 2000), and their binding to interleukin (IL)-6, IL-8, matrix metalloproteinase (MMP)-1, cyclin D1, and cyclooxygenase-2 (COX-2) promoters thereby participating in the regulation of these genes (Yamaoka, et al., 2004; Lu, et al., 2005; Chang, et al., 2006; Wu, et al., 2006). c-Jun, c-Fos, and ATF-2 were found to bind to the COX-2 promoter via Toll-like receptor 2/9 in a MAPK-dependent manner and have been implicated in COX-2 mediated cancer cell invasion and angiogenesis (Chang, et al., 2005). H. pylori cag pathogenicity island (PAI) positive strains or vacA toxigenic strains induced higher AP-1 DNA binding activity when compared with mutant strains that lack these constituents (Naumann, et al., 1999; Meyer-ter-Vehn, et al., 2000). The MAPK pathway has been demonstrated to be responsible for H. pylori-induced AP-1 activation, which subsequently contributes to H. pylori-induced IL-6, IL-8, MMP-1, cyclin D1, and COX-2 mRNA or protein expression (Yamaoka, et al., 2004; Lu, et al., 2005; Chang, et al., 2006; Wu, et al., 2006).
However, these prior studies did not investigate the detailed AP-1 subcomponent composition or their effects in gastric epithelial cells. Similarly unclear is how signaling events including H. pylori-induced ERK1/2, p38, and JNK activation affects AP-1 subcomponent expression and DNA binding activities. Studies in these areas should help to define the impact of H. pylori infection on the AP-1 signaling and the subsequent effect in gastric epithelial cells, including the control of inflammation, cell cycle, cellular proliferation, apoptosis, and oncogenic transformation processes. We therefore initiated investigations to identify the AP-1 subcomponents that are expressed in response to H. pylori infection and to elucidate the role of MAPKs in AP-1 signaling in gastric epithelial cells.
Materials and Methods
Cell lines, cell culture, and reagents
AGS and MKN45 gastric epithelial cell lines were purchased from American Type Culture Collection (ATCC, Manassas, VA) and the JCRB Cell Bank (Osaka, Japan), respectively. Tissue culture reagents were purchased from GIBCO (Invitrogen, Carlsbad, CA). Cells were grown in Ham’s F-12 (AGS) or RPMI 1640 (MKN45) medium supplemented with 10% fetal bovine serum (FBS) without antibiotics at 37°C in a humidified 10% CO2 incubator. Cell viability was assessed by trypan blue exclusion assay.
Rabbit polyclonal anti-c-Jun (sc-16312), JunB (sc-73), JunD (sc-74), c-Fos (sc-52), Fra-1 (sc-605), Fra-2 (sc-604), and FosB (sc-48) antibodies were purchased from Santa Cruz Biotechnology (Santa Cruz, CA). The mouse anti-β-actin antibody was purchased from Sigma Chemical Company (St. Louis, MO). Specific MAPK inhibitors including MEK1/2 inhibitor PD98059, p38 inhibitor SB202190, and JNK inhibitor SP600125 were purchased from Calbiochem (La Jolla, CA). Stock solutions were prepared in dimethyl sulfoxide (DMSO) solution at 100 mM. Cells were treated with the above inhibitors 30 minutes before H. pylori infection. Controls without inhibitors were treated with medium alone and an equal concentration of DMSO.
H. pylori strains and infection
H. pylori strains used in the current study include 26695 and its isogenic cag-PAI mutant (entire cag pathogenecity island deletion) strain 8-1 (kindly provided by Dr. Douglas Berg, Washington University School of Medicine) (Akopyants, et al., 1998), wild-type H. pylori strain 60190 and its vacA mutant strain, 60190-v1, which contains a kanamycin cassette insertion (Cover, et al., 1994), or flagella mutant strain 60190 FlaA/delta, as well as 8 clinical cag+ strains (7.13, B128, J243, J198, J178, J166, J104, and J54) (Franco, et al., 2005), strain G27-MA and isogenic strains with mutations in cagA, vacA, cagPAI, cagA-vacA, and the nonphosphorylateable CagA mutant cagAEPISA and vacA-cagAEPISA (kindly provided by Dr. D. Scott Merrell, Uniformed Services University of the Health Sciences) (El-Etr, et al., 2004). All bacteria were grown for 2 days on sheep blood agar plates (Remel Inc., Lenexa, KS), in 10% CO2 at 37°C, and then harvested with a sterile cotton swab and resuspended in phosphate buffered-saline (PBS) solution. The bacteria were pelleted at 1,400×for 10 minutes and resuspended in 5 ml of culture medium and added to the cell culture media at different bacteria to cell ratios (multiplicity of infection, MOI), as indicated. Infections lasted from 0.5 to 24 hours in 10% CO2 at 37°C. Under these conditions, H. pylori remained alive and motile (with the exception of the flagella mutant, which, as expected, was nonmotile). We also noted that the wild-type 26695 strain induced a hummingbird phenotype (Selbach, et al., 2002), while its cag-PAI mutant did not induce this change.
Western blot analysis of AP-1 subcomponent protein expression
AGS cells (5×105) or MKN45 cells (1×106) per well in 6-well culture plates were infected with bacteria at designated doses for designated times, washed three times with PBS, and lysed with cell lysis buffer (62.5 mM Tris-HCl (pH 6.8), 2% SDS, 10% glycerol, 50 mM dithiothreitol, 0.1% bromophenol blue). Prior to loading, samples were boiled at 100°C for 3 minutes, cooled down on ice, and then separated on 12% SDS-polyacrylamide gels (PAGE). Proteins were subsequently transferred from gels onto nitrocellulose membranes (Bio-Rad). Membranes were blocked for 1 hour at room temperature in Tris-buffered saline pH 7.4 plus 0.025% Tween-20 (TBS-T) with 5% nonfat dry milk. AP-1 subcomponent antibodies were diluted in a range from 1:250 to 1:1000 in TBS-T with 5% nonfat dry milk solution. Membranes were then incubated with antibodies at 4°C overnight and washed three times with TBS-T. The secondary antibodies, horseradish peroxidase (HRP)-conjugated goat anti-rabbit or HRP-conjugated rabbit anti-mouse antibodies, were used at a 1:1000 dilution in TBS-T with 5% nonfat dry milk and incubated at room temperature for 3 hours. Bands were detected with an enhanced chemiluminescence detection kit (Perkin Elmer Life Sciences, Boston, MA). In some experiments, the original membrane was stripped with stripping buffer (50 mM Tris-HCl (pH 6.7), 2% SDS, and 200 mM β-mercaptoethanol) at 60°C for 30 minutes, followed by three washes with TBS-T and blocked for 1 hour with TBS-T in 5% nonfat dry milk solution and re-probed with β-actin antibodies to assess protein loading.
H. pylori strains induced AP-1 DNA binding in gastric cells
Electrophoretic mobility shift assay (EMSA) were performed, as described previously (Olekhnovich & Kadner, 2002). In brief, AGS cells (5×105) or MKN45 cells (1×106) per well in 6-well culture plates were cultured with antibiotic-free Ham’s F-12 or RPMI-1640 medium, respectively, without FBS and infected with H. pylori strains at various MOIs for six hours. Nuclear extracts of uninfected and infected cells were prepared using hypotonic/hypertonic lysis buffer, as previously described (Ding, et al., 2004). Nuclear proteins were normalized based on the protein assay (Bio-Rad, Hercules, CA). AP-1 double-stranded DNA (5′-CGCTTGATGAGTCAGCCGGAA-3′) was purchased from Promega (Madison, WI). The AP-1 fragment was 5′ end labeled by incubation with T4 polynucleotide kinase (New England Biolabs, Ipswich, MA) and [32P]ATP (3,000 Ci/mmol; ICN Biomedicals Inc., Irvine, CA). One μlabeled DNA fragments was incubated with 2 μg of nuclear protein and 2 μl binding buffer (40 mM Tris-HCl pH 8.0, 50 mM KCl, 10 mM MgCl2, 10 mM dithiothreitol, 5% glycerol, and 2 ng of poly d[I-C]/μl) in total of 10 μl volume at 37°C for 15 minutes. To confirm the specificity of the AP-1 probe, 25-fold excess cold probe was added to the reaction buffer in one sample. Samples were then resolved by electrophoresis on a 1.5-mm-thick, 6% nondenaturing polyacrylamide gel at 20 mA for 45 minutes at room temperature. The positions of the radioactive DNA fragments in the gels were detected using a PhosphorImager (Molecular Dynamics, Sunnyvale, CA).
Results
H. pylori-induced AP-1 protein expression in AGS and MKN45
In order to define the AP-1 subcomponent composition in gastric epithelial cells, we monitored AP-1 proteins from whole cell extracts by Western blot and looked at basal and bacteria-stimulated AP-1 expression (Fig. 1). AGS cells were infected with wild-type H. pylori 26695, its cag-PAI mutant derivative 8-1, or heat-killed H. pylori 26695 at an MOI of 150:1. These initial experiments were done in the presence of 10% FBS. The results showed that live H. pylori increased c-Jun, JunB, JunD, c-Fos, and Fra-1 protein levels, while the Fra-2 and FosB levels remained unchanged; heat-killed H. pylori induced AP-1 subcomponents changes similar to the uninfected controls. H. pylori strain 26695 induced higher levels of c-Fos protein than the cag-PAI mutant strain, but the c-Jun, JunB, Fra-1, and JunD protein expression levels were similar between these two strains. Adding fresh medium with 10% serum increased c-Jun, JunB, c-Fos, and Fra-1 expression levels in the first 4 hours, but this increase waned by 8 hours (Fig. 1A). In a dose response study, we further confirmed the increased c-Jun, JunB, c-Fos, and Fra-1 protein expression in both AGS and MKN45 cells upon H. pylori infection with an MOI of 12:1 to 300:1 in serum-free media (Fig. 1B). In some instances, an MOI of 100:1 and 150:1 induced maximal response of protein expression levels. These results indicate that, in addition to previously reported increases in the levels of c-Jun and c-Fos (Naumann, et al., 1999; Meyer-ter-Vehn, et al., 2000), those of Fra-1, JunB, and JunD were also increased in gastric epithelial cells in response to H. pylori.
Fig. 1.


Expression of AP-1 subcomponent proteins in gastric epithelial cells. AGS cells (5×) were treated with medium alone, wild-type H. pylori 26695, an isogenic cag-PAI deletion strain (8-1), or heat-killed 26695 in antibiotic-free Ham’s F-12 medium plus 10% FBS at an MOI of 150:1 (A). H. pylori was added at an MOI of 12:1 to 300:1 to AGS (5×105) or MKN45 cells (1×106) in antibiotic-free Hams F-12 or RPMI-1640 medium, respectively, without serum for 6 hours (B). The cells were washed and lysed and proteins were separated on a 12% SDS polyacrylamide gel and transferred to a nitrocellulose membrane. Rabbit polyclonal antibodies for human c-Jun, JunB, JunD, c-Fos, Fra-1, Fra-2, and FosB were used for immunoblotting. The original membrane was then stripped and re-probed with anti-β-actin antibodies to monitor protein loading. Blots are representative of three separate experiments with similar results. Data are mean values from three densitometry scans, adjusted with β-actin, and expressed as fold changes over the appropriate control. Arrows indicate the specific AP-1 subcomponent.
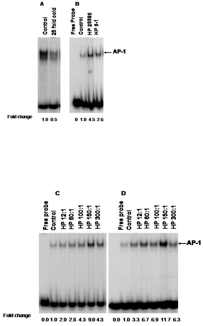
AP-1 DNA binding activity in AGS or MKN45 cells induced by different H. pylori strains
In order to evaluate the potential strain specific effects on H. pylori-induced AP-1 DNA binding activity, we monitored the effects of different doses and strains of H. pylori on AP-1 DNA binding (Fig. 2). The results showed that addition of unlabeled cold probe effectively reduced AP-1 DNA binding (Fig. 2A) and that both H. pylori wild type and cag-PAI mutant strains increased AP-1 DNA binding activity in AGS cells, with the wild type strain inducing higher AP-1 DNA binding activity compare to the uninfected control and cag-PAI mutant strain 8-1 (Fig. 2B). H. pylori 26695 dose-dependently increased AP-1 DNA binding in both AGS (Fig. 2C) and MKN45 (Fig. 2D) cells with the maximal effects at an MOI of 150:1. As previously noted (Naumann, et al., 1999; Meyer-ter-Vehn, et al., 2000), both the wild-type and vacA mutant strains showed increased AP-1 DNA binding compared to the uninfected control, but the effects of the wild-type strain were greater than that of the vacA mutant (Fig. 2E). Both H. pylori 60190 and its isogenic flagella mutant increased AP-1 DNA binding when compared with uninfected controls, but at similar levels (Fig. 2F). We also found that 8 different H. pylori clinical cag+ isolates induced different levels of DNA binding activity (Fig. 2F). In addition, compared to the wild-type strain, isogenic mutants of G27-MA: cagA, vacA, cagPAI, cagA-vacA, and nonphosphorylateable CagA mutant cagAEPISA, and vacA-cagAEPISA showed reduced AP-1 DNA binding activity in both AGS and MKN45 cells (Fig. 2G and 2H). These results indicate that different bacterial strains vary in their ability to induce AP-1 DNA binding activity. In particular, H. pylori vacA and cagPAI are important, as mutation in either of these factors resulted in reduced AP-1 DNA binding.
Fig. 2.


H. pylori- induced AP-1 DNA-binding activity in gastric epithelial cells by EMSA. AGS cells (5×105) were treated with medium alone (A) or with wild-type H. pylori (HP) 26695 and its cag-PAI mutant strain (HP 8-1) at an MOI of 150:1 (B) in antibiotic-free Ham’s F-12 medium without FBS for 1 hour. AGS cells (5×105) (C) and MKN45 cells (1×106) (D) were treated with wild-type H. pylori 26695 (HP) in antibiotic-free RPMI-1640 medium without FBS for 6 hours. MOIs are as indicated. AGS cells were treated with H. pylori strain 60190 and its isogenic vacA mutant 60190-v1 (E), strain 60190 and its isogenic flagella mutant (FlaA/KO), as well as 8 cag+ clinical isolates (F) at an MOI of 150:1 for 6 hours. AGS cells (5×105) (G) and MKN45 cells (1×106) (H) were treated with H. pylori G27-MA (G27) and its isogenic mutant strains in antibiotic-free medium without FBS for 6 hours at the MOIs of 150:1. Control cells were treated with medium alone. EMSA was performed as described in Materials and Methods. Photos are representative of two to four separate experiments with similar results, data are mean values from densitometry scans, and expressed as fold changes over the appropriate control. “←” define AP-1.
Subcomponent composition of AP-1 complex in AGS or MKN45 cells and its regulation by H. pylori
Noting that AP-1 subcomponents protein levels and the AP-1 DNA binding activity were increased as detected by either Western blot or EMSA, we next investigated the AP-1 subcomponent composition and the regulation of AP-1 subcomponent expression in gastric epithelial cells in response to H. pylori infection using a supershift assay. Both AGS (Fig. 3A) and MKN45 (Fig. 3B) cells were infected with H. pylori 26695 at an 150:1 MOI for 6 hours and nuclear proteins were extracted for gel shift experiments. As expected, in both cell lines, we noted that c-Jun, JunB, JunD, c-Fos, Fra-1, Fra-2, and FosB were present in the AP-1 complex and c-Jun, JunB, JunD, c-Fos, and Fra-1 formed the major DNA binding complex. The results suggest that stimulation with bacteria enhanced generalized AP-1 activity through the change of AP-1 protein levels, but not by an alteration of the overall subcomponent composition.
Fig. 3.

H. pylori-induced AP-1 subcomponent DNA binding activity in gastric epithelial cells by supershift assay. AGS (5×105) (A), MKN45 cell (1×106) (B) were treated in the presence or absence of wild-type H. pylori strain 26695 at an MOI of 150:1 in antibiotic-free medium without FBS for 6 hours, while control cells were treated with medium alone. Nuclear proteins were extracted by a hypotonic/hypertonic buffer and assayed for protein concentration, incubated with antibodies for human c-Jun, JunB, JunD, c-Fos, Fra-1, Fra-2, and FosB for 30 minutes and then with 32P-labeled AP-1 probe for 15 minutes. The complex was subsequently separated on 6% non-denaturing polyacrylamide gel. The positions of radioactive DNA fragments in the gels were detected using a PhosphorImager. Photos are representative of three separate experiments with similar results. “SS”, super shift assay; “←” define AP-1.
Effects of MAPK on AP-1 DNA binding in AGS or MKN45 cells
Based on previously published results demonstrating that MAPKs mediate AP-1 expression (Shaulian & Karin, 2002; Eferl & Wagner, 2003), we investigated the effects of MAPK inhibition on AP-1 subcomponent expression and DNA binding activity in gastric epithelial cells. The results (Fig. 4A) indicated that in the absence of bacteria, ERK inhibition with the MEK1/2 inhibitor reduced basal AP-1 DNA binding activity, while p38 and JNK inhibition increased AP-1 DNA binding activity. In the presence of H. pylori infection, we also noticed that the MEK1/2 inhibitor reduced basal AP-1 DNA binding activity, and that p38 and JNK inhibition increased AP-1 DNA binding activity. In order to check if the MAPK inhibitors could change the AP-1 component composition, we determined the effects of MAPK inhibition using a supershift assays in AGS cells (Fig. 4B). The results suggest that all four major AP-1 components namely, c-Jun, JunB, c-Fos, and Fra-1, are still present in both control and MAPK inhibitor-treated groups following MAPK inhibition (data for JunD, Fra-2, and FosB are not shown). These results suggest that MAPKs also regulate AP-1 subcomponent DNA binding through the change of AP-1 DNA-binding level, and not by altering the overall subcomponent composition.
Fig. 4.


Effects of different MAPK inhibitors on AP-1 DNA binding activity in AGS cells. AGS cells (5×105) were pre-incubated with MEK1/2 inhibitor PD 98059 (PD), p38 inhibitor SB202190 (SB), and JNK inhibitor SP600125 (SP) at 10 μM dose for 30 minutes and then treated in the presence or absence of wild-type H. pylori 26695 (HP) at an MOI of 150:1 in antibiotic-free Ham’s F-12 medium without FBS for 6 hours. EMSA assay (A), or supershift assay (B) were performed as described in Materials and Methods. Photos are representative of two to three separate experiments with similar results, data are mean values from densitometry scans, and expressed as fold changes over the appropriate control. “SS”, super shift assay; “←” define AP-1
Effects of H. pylori and MAPK on AP-1 subcomponent protein expression in AGS cells
To determine if the change in AP-1 expression and DNA binding activity could be due to lack of protein expression in gastric epithelial cells regulated by H. pylori and MAPK, we studied c-Jun, JunB, c-Fos, and Fra-1 expression in gastric epithelial cells pre-treated with MAPK inhibitors (Fig. 5). The results indicated that ERK inhibition dose-dependently reduced the basal and bacteria-increased c-Fos, Fra-1, and JunB protein expression levels, while p38 inhibition increased c-Fos and Fra-1 expression, and JNK inhibition increased c-Fos and JunB protein expression. All three inhibitors affected the basal c-Jun expression at higher doses. In the presence of H. pylori infection, we noticed a similar effect of MAPK inhibitors for c-Fos and Fra-1 expression; in this case, ERK inhibition showed decreased, while JNK inhibition showed increased, JunB expression. These results suggest that MAPK pathways regulate the level of AP-1 subcomponents within gastric epithelial cells and that the effects of H. pylori-induced AP-1 activation are at least partially mediated through these pathways.
Fig. 5.

Effects of H. pylori and MAPK inhibition on AP-1 proteins expression in AGS cells. AGS cell (5×105) were treated in the presence or absence of wild-type H. pylori 26695 at an MOI of 150:1, and with different doses of MAPK inhibitors (PD98059 (PD) for ERK, SB202190 (SB) for p38, and SP600190 (SP) for JNK) in antibiotic-free Ham’s F-12 medium without FBS for 6 hours. Control cells were treated with medium alone. The cells were and resolved on a 12% SDS-PAGE, and incubated with polyclonal antibodies for human c-Jun, JunB, c-Fos, Fra-1 proteins on nitrocellulose membrane. The original membrane was stripped and re-probed with β-actin antibody to monitor protein loading. Blots are representative of two to three separate experiments with similar results. Data are mean values from densitometry scans, adjusted with β-actin, and expressed as fold changes over the appropriate control.
Discussion
AP-1 transcription factors are central in regulating inflammation, cell cycle, cellular proliferation, and cellular transformation processes (Shaulian & Karin, 2002; Eferl & Wagner, 2003). However, the precise composition of the AP-1 complex and the downstream target genes in gastric epithelial cells remain to be defined. Increased c-Jun, JunB, and c-Fos mRNA expression has been observed in gastric epithelial cell upon H. pylori infection, as detected by microarray analyses (Mueller, et al., 2003; Mueller, et al., 2004; Ding, et al., 2005). Prior to this current work, a detailed analysis of the AP-1 subcomponent protein expression and DNA binding activity in gastric epithelial cells was lacking. Our results indicate that, in addition to previously reported c-Jun and c-Fos (Naumann, et al., 1999; Meyer-ter-Vehn, et al., 2000), JunB, JunD, Fra-1, Fra2, and FosB are also present in the AP-1 complex in gastric epithelial cells.
Previous work of others showed that the mutation of the cag-PAI genes including cagA, cagI (Naumann, et al., 1999), and cagE, cagG, cagH, cagL, cagM attenuated H. pylori-induced AP-1 DNA binding activity, while the cagF and cagN did not have this effect (Meyer-ter-Vehn, et al., 2000). In the current study, we note similar effects by using cag-PAI and vacA mutants. Additionally, we noted that changing the CagA-specific phosphorylation site EPIYA to EPISA (El-Etr, et al., 2004) attenuated the CagA-induced AP-1 binding activity, suggesting phosphorylation at this specific site might be responsible for the CagA induced AP-1 DNA binding activities. We also noted that different cag+ strains vary in their ability to induce AP-1 DNA-binding.
c-Jun and c-Fos mRNA and protein expression was found to be increased and formed the AP-1 DNA binding complex that mediated IL-6, IL-8, MMP-1, cyclin D1, and COX2 expression during H. pylori infection in gastric epithelial cells (Naumann, et al., 1999; Meyer-ter-Vehn, et al., 2000; Yamaoka, et al., 2004; Lu, et al., 2005; Chang, et al., 2006; Wu, et al., 2006). However, the only paper that examined the AP-1 subcomponent composition did not detect subcomponents other than c-Jun and c-Fos using AP-1 supershift assay (Meyer-ter-Vehn, et al., 2000). In this report, Meyer-ter-Vehn et al. looked at the AP -1 binding activities only one hour post H. pylori infection, and did not monitor the cells for a longer period of time. In the present study, we investigated the AP-1 subcomponent protein expression during a 24 hours time course and the AP-1 DNA binding activity at 6 hours post-H. pylori infection. We noted additional AP-1 subcomponents and that the composition of AP-1 DNA binding complex was different from the previous observations.
Increasing evidence has suggested the important roles of different AP-1 proteins and/or AP-1 dimer formation in various cell systems and their effect in controlling diverse cellular functions (Mechta-Grigoriou, et al., 2001; Bakiri, et al., 2002; Ameyar-Zazoua, et al., 2005). c-Jun has cell cycle promoting functions by repressing p53 and activating the cyclin D1 promoter (Schreiber, et al., 1999). JunB acts as an antagonist of c-Jun through inhibiting cyclin D1 and transcriptional control of p16 expression (Bakiri, et al., 2000; Passegue & Wagner, 2000). Altered expression of JunB causes aberrant AP-1 activity, which is associated with rheumatoid arthritis, psoriasis (Zenz, et al., 2005), and myeloproliferative disease (Passegue, et al., 2004). Fra-1 has been shown to be an activator of bone matrix formation (Eferl, et al., 2004), and regulates downstream genes that are involved in tumor invasion, angiogenesis, and cell proliferation; high level of Fra-1 expression is associated with a more malignant phenotype in breast cancer (Belguise, et al., 2005).
The function of individual AP-1 subcomponents during H. pylori infection remains to be studied. c-Jun is one of the highly expressed genes in an H. pylori-induced mouse MALT lymphoma model as disease progressed from the mild to the moderate stage (Mueller, et al., 2003). By using a laser-microdissection array study in an in vivo murine H. pylori infection model, both JunB and c-Fos mRNA levels were increased earlier in the time course and remained highly expressed throughout the whole 28 days experimental period, suggesting their involvement in the regulation of acute or chronic mucosal inflammation and possibly proliferation processes (Mueller, et al., 2004). Further studies are required to look at the role of diverse AP-1 dimers in gastric epithelial cells during H. pylori infection.
The MAPK pathway has been shown to mediate the AP-1 activation during H. pylori infection in gastric epithelial cells and we showed previously that both H. pylori and inhibition of MAPKs alter the expression of cell cycle proteins and modify the cell cycle (Ding, et al., 2007). H. pylori infection and MAPK inhibition affected the MAPKs activity within 2 hours, and the cell cycle proteins including p21, p27, and cyclin D1 changed at 14 hours, and significant alterations of the cell cycle occurred at 24 hours (Ding, et al., 2007). Here we show that this sequential change correlated with the changes in the levels of AP-1 proteins and altered DNA binding activity at 6 hours. These results are consistent with a model of H. pylori infection leading to MAPK activation followed by AP-1 binding, modulating gene and protein expression, resulting in altered cellular functions in gastric epithelial cells.
We also demonstrated a MAPK “cross-talk” in AGS cells (Ding, et al., 2007), in which p38 and JNK inhibitors increased ERK activation, the p38 inhibitor increased JNK, and MEK-1/2 inhibitor decreased JNK activation only during H. pylori infection. Interestingly, these effects also mirror the patterns of AP-1 protein expression and DNA binding activities in the current study (Fig. 5). We observed that ERK inhibition reduced c-Fos, Fra-1, and JunB protein levels, the result of which appears to be decreased AP-1 DNA binding. The effects of p38 and JNK inhibitors increasing the AP-1 DNA binding are in line with their roles in regulating AP-1 subcomponent protein expression. Inhibition of p38 increased c-Fos and Fra-1 protein levels in both basal and H. pylori-stimulated AGS cells. Inhibition of JNK increased c-Fos and JunB protein levels, and dose-dependently reduced H. pylori-induced c-Jun expression. These results further define how H. pylori infection and inhibition of MAPK pathway resulted in changes in the levels of AP-1 subcomponent expression, which may participate in the regulation of gastric epithelial cell functions.
While the mechanism by which the JNK inhibitor inhibited c-Jun but increased JunB protein levels is not known, it has been reported that JunB can functionally substitute for c-Jun, and restore the expression of genes regulated by Jun/Fos (Passegue, et al., 2002). Therefore it is possible that this compensatory increase is due to reduced c-Jun level. In addition, although multiple AP-1 subcomponents were detected in the current study, we do not rule out the possibility of specific AP-1 subcomponents involved in chromatin trafficking. For example, it has been reported c-Fos and Fra-1 bind to chromatin at different times and their expression level regulate IL-8 and cyclin D1 gene expression and therefore control diverse cellular functions (Burch, et al., 2004; Hoffmann, et al., 2005). Further studies using chromatin immunoprecipitation assays may provide more detailed information on the role of AP-1 subcomponent composition in regulating specific gene promoters in gastric epithelial cells.
In summary, our results demonstrate increased AP-1 subcomponents protein expression levels during H. pylori infection. c-Jun, JunB, JunD, c-Fos, and Fra-1 make up the major AP-1 DNA-binding complex in AGS and MKN45 cells in vitro. Both H. pylori and MAPK alter the AP-1 subcomponents protein levels and the AP-1 DNA binding activity, but did not change the overall subcomponent composition. Different strains of H. pylori showed various abilities in inducing AP-1 DNA binding and the sequential changes in AP-1 protein and DNA binding activity are correlated with the cell cycle protein expression and cell cycle alteration. These results implicate AP-1 in controlling the expression of downstream genes that affects cellular functions.
Acknowledgments
This work was supported by NIH grants R01-AI51291 (JBG), DK53623 (TLC), DK58587 (RMP), CA77955 (RMP), and DK73902 (RMP), and was funded by the Department of Veterans Affairs (TLC) and an American Cancer Society Research Scholar Award (MFS).
References
- Akopyants NS, Clifton SW, Kersulyte D, et al. Analyses of the cag pathogenicity island of Helicobacter pylori. Mol Microbiol. 1998;28:37–53. doi: 10.1046/j.1365-2958.1998.00770.x. [DOI] [PubMed] [Google Scholar]
- Ameyar-Zazoua M, Wisniewska MB, Bakiri L, Wagner EF, Yaniv M, Weitzman JB. AP-1 dimers regulate transcription of the p14/p19ARF tumor suppressor gene. Oncogene. 2005;24:2298–2306. doi: 10.1038/sj.onc.1208424. [DOI] [PubMed] [Google Scholar]
- Bakiri L, Lallemand D, Bossy-Wetzel E, Yaniv M. Cell cycle-dependent variations in c-Jun and JunB phosphorylation: a role in the control of cyclin D1 expression. Embo J. 2000;19:2056–2068. doi: 10.1093/emboj/19.9.2056. [DOI] [PMC free article] [PubMed] [Google Scholar]
- Bakiri L, Matsuo K, Wisniewska M, Wagner EF, Yaniv M. Promoter specificity and biological activity of tethered AP-1 dimers. Mol Cell Biol. 2002;22:4952–4964. doi: 10.1128/MCB.22.13.4952-4964.2002. [DOI] [PMC free article] [PubMed] [Google Scholar]
- Belguise K, Kersual N, Galtier F, Chalbos D. FRA-1 expression level regulates proliferation and invasiveness of breast cancer cells. Oncogene. 2005;24:1434–1444. doi: 10.1038/sj.onc.1208312. [DOI] [PubMed] [Google Scholar]
- Burch PM, Yuan Z, Loonen A, Heintz NH. An extracellular signal-regulated kinase 1- and 2-dependent program of chromatin trafficking of c-Fos and Fra-1 is required for cyclin D1 expression during cell cycle reentry. Mol Cell Biol. 2004;24:4696–4709. doi: 10.1128/MCB.24.11.4696-4709.2004. [DOI] [PMC free article] [PubMed] [Google Scholar]
- Chang YJ, Wu MS, Lin JT, Chen CC. Helicobacter pylori-induced invasion and angiogenesis of gastric cells is mediated by cyclooxygenase-2 induction through TLR2/TLR9 and promoter regulation. J Immunol. 2005;175:8242–8252. doi: 10.4049/jimmunol.175.12.8242. [DOI] [PubMed] [Google Scholar]
- Chang YJ, Wu MS, Lin JT, Pestell RG, Blaser MJ, Chen CC. Mechanisms for Helicobacter pylori CagA-induced cyclin D1 expression that affect cell cycle. Cell Microbiol. 2006;8:1740–1752. doi: 10.1111/j.1462-5822.2006.00743.x. [DOI] [PubMed] [Google Scholar]
- Cover TL, Tummuru MK, Cao P, Thompson SA, Blaser MJ. Divergence of genetic sequences for the vacuolating cytotoxin among Helicobacter pylori strains. J Biol Chem. 1994;269:10566–10573. [PubMed] [Google Scholar]
- Ding SZ, Smith MF, Jr, Goldberg JB. Helicobacter pylori and mitogen-activated protein kinases regulate the cell cycle, proliferation and apoptosis in gastric epithelial cells. J Gastroenterol & Hepatol. 2007 doi: 10.1111/j.1440-1746.2007.04912.x. [DOI] [PubMed] [Google Scholar]
- Ding SZ, Torok AM, Smith MF, Jr, Goldberg JB. Toll-like receptor 2-mediated gene expression in epithelial cells during Helicobacter pylori infection. Helicobacter. 2005;10:193–204. doi: 10.1111/j.1523-5378.2005.00311.x. [DOI] [PubMed] [Google Scholar]
- Ding SZ, O’Hara AM, Denning TL, et al. Helicobacter pylori and H2O2 increase AP endonuclease-1/redox factor-1 expression in human gastric epithelial cells. Gastroenterology. 2004;127:845–858. doi: 10.1053/j.gastro.2004.06.017. [DOI] [PubMed] [Google Scholar]
- Eferl R, Wagner EF. AP-1: a double-edged sword in tumorigenesis. Nat Rev Cancer. 2003;3:859–868. doi: 10.1038/nrc1209. [DOI] [PubMed] [Google Scholar]
- Eferl R, Hoebertz A, Schilling AF, et al. The Fos-related antigen Fra-1 is an activator of bone matrix formation. Embo J. 2004;23:2789–2799. doi: 10.1038/sj.emboj.7600282. [DOI] [PMC free article] [PubMed] [Google Scholar]
- El-Etr SH, Mueller A, Tompkins LS, Falkow S, Merrell DS. Phosphorylation-independent effects of CagA during interaction between Helicobacter pylori and T84 polarized monolayers. J Infect Dis. 2004;190:1516–1523. doi: 10.1086/424526. [DOI] [PubMed] [Google Scholar]
- Ernst PB, Peura DA, Crowe SE. The translation of Helicobacter pylori basic research to patient care. Gastroenterology. 2006;130:188–206. doi: 10.1053/j.gastro.2005.06.032. quiz 212-183. [DOI] [PubMed] [Google Scholar]
- Franco AT, Israel DA, Washington MK, et al. Activation of beta-catenin by carcinogenic Helicobacter pylori. Proc Natl Acad Sci U S A. 2005;102:10646–10651. doi: 10.1073/pnas.0504927102. [DOI] [PMC free article] [PubMed] [Google Scholar]
- Hoffmann E, Thiefes A, Buhrow D, Dittrich-Breiholz O, Schneider H, Resch K, Kracht M. MEK1-dependent delayed expression of Fos-related antigen-1 counteracts c-Fos and p65 NF-kappaB-mediated interleukin-8 transcription in response to cytokines or growth factors. J Biol Chem. 2005;280:9706–9718. doi: 10.1074/jbc.M407071200. [DOI] [PubMed] [Google Scholar]
- Jochum W, Passegue E, Wagner EF. AP-1 in mouse development and tumorigenesis. Oncogene. 2001;20:2401–2412. doi: 10.1038/sj.onc.1204389. [DOI] [PubMed] [Google Scholar]
- Lu H, Wu JY, Kudo T, Ohno T, Graham DY, Yamaoka Y. Regulation of interleukin-6 promoter activation in gastric epithelial cells infected with Helicobacter pylori. Mol Biol Cell. 2005;16:4954–4966. doi: 10.1091/mbc.E05-05-0426. [DOI] [PMC free article] [PubMed] [Google Scholar]
- Mechta-Grigoriou F, Gerald D, Yaniv M. The mammalian Jun proteins: redundancy and specificity. Oncogene. 2001;20:2378–2389. doi: 10.1038/sj.onc.1204381. [DOI] [PubMed] [Google Scholar]
- Meyer-ter-Vehn T, Covacci A, Kist M, Pahl HL. Helicobacter pylori activates mitogen-activated protein kinase cascades and induces expression of the proto-oncogenes c-fos and c-jun. J Biol Chem. 2000;275:16064–16072. doi: 10.1074/jbc.M000959200. [DOI] [PubMed] [Google Scholar]
- Mueller A, Merrell DS, Grimm J, Falkow S. Profiling of microdissected gastric epithelial cells reveals a cell type-specific response to Helicobacter pylori infection. Gastroenterology. 2004;127:1446–1462. doi: 10.1053/j.gastro.2004.08.054. [DOI] [PubMed] [Google Scholar]
- Mueller A, O’Rourke J, Grimm J, Guillemin K, Dixon MF, Lee A, Falkow S. Distinct gene expression profiles characterize the histopathological stages of disease in Helicobacter-induced mucosa-associated lymphoid tissue lymphoma. Proc Natl Acad Sci U S A. 2003;100:1292–1297. doi: 10.1073/pnas.242741699. [DOI] [PMC free article] [PubMed] [Google Scholar]
- Naumann M, Wessler S, Bartsch C, Wieland B, Covacci A, Haas R, Meyer TF. Activation of activator protein 1 and stress response kinases in epithelial cells colonized by Helicobacter pylori encoding the cag pathogenicity island. J Biol Chem. 1999;274:31655–31662. doi: 10.1074/jbc.274.44.31655. [DOI] [PubMed] [Google Scholar]
- Olekhnovich IN, Kadner RJ. DNA-binding activities of the HilC and HilD virulence regulatory proteins of Salmonella enterica serovar Typhimurium. J Bacteriol. 2002;184:4148–4160. doi: 10.1128/JB.184.15.4148-4160.2002. [DOI] [PMC free article] [PubMed] [Google Scholar]
- Passegue E, Wagner EF. JunB suppresses cell proliferation by transcriptional activation of p16(INK4a) expression. Embo J. 2000;19:2969–2979. doi: 10.1093/emboj/19.12.2969. [DOI] [PMC free article] [PubMed] [Google Scholar]
- Passegue E, Wagner EF, Weissman IL. JunB deficiency leads to a myeloproliferative disorder arising from hematopoietic stem cells. Cell. 2004;119:431–443. doi: 10.1016/j.cell.2004.10.010. [DOI] [PubMed] [Google Scholar]
- Passegue E, Jochum W, Behrens A, Ricci R, Wagner EF. JunB can substitute for Jun in mouse development and cell proliferation. Nat Genet. 2002;30:158–166. doi: 10.1038/ng790. [DOI] [PubMed] [Google Scholar]
- Peek RM, Jr, Crabtree JE. Helicobacter infection and gastric neoplasia. J Pathol. 2006;208:233–248. doi: 10.1002/path.1868. [DOI] [PubMed] [Google Scholar]
- Schreiber M, Kolbus A, Piu F, et al. Control of cell cycle progression by c-Jun is p53 dependent. Genes Dev. 1999;13:607–619. doi: 10.1101/gad.13.5.607. [DOI] [PMC free article] [PubMed] [Google Scholar]
- Selbach M, Moese S, Meyer TF, Backert S. Functional analysis of the Helicobacter pylori cag pathogenicity island reveals both VirD4-CagA-dependent and VirD4-CagA-independent mechanisms. Infect Immun. 2002;70:665–671. doi: 10.1128/iai.70.2.665-671.2002. [DOI] [PMC free article] [PubMed] [Google Scholar]
- Shaulian E, Karin M. AP-1 as a regulator of cell life and death. Nat Cell Biol. 2002;4:E131–136. doi: 10.1038/ncb0502-e131. [DOI] [PubMed] [Google Scholar]
- Wu JY, Lu H, Sun Y, Graham DY, Cheung HS, Yamaoka Y. Balance between polyoma enhancing activator 3 and activator protein 1 regulates Helicobacter pylori-stimulated matrix metalloproteinase 1 expression. Cancer Res. 2006;66:5111–5120. doi: 10.1158/0008-5472.CAN-06-0383. [DOI] [PMC free article] [PubMed] [Google Scholar]
- Yamaoka Y, Kudo T, Lu H, Casola A, Brasier AR, Graham DY. Role of interferon-stimulated responsive element-like element in interleukin-8 promoter in Helicobacter pylori infection. Gastroenterology. 2004;126:1030–1043. doi: 10.1053/j.gastro.2003.12.048. [DOI] [PubMed] [Google Scholar]
- Zenz R, Eferl R, Kenner L, et al. Psoriasis-like skin disease and arthritis caused by inducible epidermal deletion of Jun proteins. Nature. 2005;437:369–375. doi: 10.1038/nature03963. [DOI] [PubMed] [Google Scholar]
