Abstract
A review of 23 consecutive patients with tumors of the nasopharynx and maxillary sinus seen over a two-year period was carried out. The purpose was to assess the value of computerized tomography (CT) in the definition of tumor extension to contiguous structures and its effect on treatment selection and management.
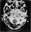
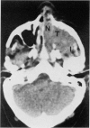
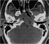
CT was found to be very useful in detailing bone and soft-tissue invasion. In 11 of 15 patients with nasopharyngeal cancer and in the eight patients with maxillary sinus tumors, the selection of treatment and the techniques of irradiation were influenced by the CT findings.
There is a high degree of accuracy in the evaluation to the nasopharynx and maxillary sinus by CT. This improvement in pretreatment assessment of the tumors enables adequate treatment to be offered. Since most of the failures of treatment are a result of local recurrence, improvement in local control is likely to result in improved survival.
Full text
PDF





Images in this article
Selected References
These references are in PubMed. This may not be the complete list of references from this article.
- Adam E. J., Berry R. J., Clitherow S., Bedford A. Evaluation of the role of computed tomography in radiotherapy treatment planning. Clin Radiol. 1984 Mar;35(2):147–150. doi: 10.1016/s0009-9260(84)80021-5. [DOI] [PubMed] [Google Scholar]
- BUNTING J. S. THE ANATOMICAL INFLUENCE IN MEGAVOLTAGE RADIOTHERAPY OF CARCINOMA OF THE MAXILLARY ANTRUM. Br J Radiol. 1965 Apr;38:255–260. doi: 10.1259/0007-1285-38-448-255. [DOI] [PubMed] [Google Scholar]
- Badcock P. C. Using the CT-scanner to explore and circumnavigate current inadequacies in radiotherapy planning. Clin Radiol. 1982 Jan;33(1):91–94. doi: 10.1016/s0009-9260(82)80367-x. [DOI] [PubMed] [Google Scholar]
- Bataini J. P., Ennuyer A. Advanced carcinoma of the maxillary antrum treated by cobalt teletherapy and electron beam irradiation. Br J Radiol. 1971 Aug;44(524):590–598. doi: 10.1259/0007-1285-44-524-590. [DOI] [PubMed] [Google Scholar]
- Bertelsen K., Andersen A. P., Elbrond O., Lund C. Malignant tumours of the nasopharynx. Acta Radiol Ther Phys Biol. 1975 Apr;14(2):177–186. doi: 10.3109/02841867509132659. [DOI] [PubMed] [Google Scholar]
- Cellai E., Chiavacci A., Olmi P., Carcangiu M. L. Carcinoma of the nasopharynx: results of radiation therapy. Acta Radiol Oncol. 1982;21(2):87–95. doi: 10.3109/02841868209133989. [DOI] [PubMed] [Google Scholar]
- Eddleston B., Johnson R. J. A comparison of conventional radiographic imaging and computed tomography in malignant disease of the paranasal sinuses and the post-nasal space. Clin Radiol. 1983 Mar;34(2):161–172. doi: 10.1016/s0009-9260(83)80301-8. [DOI] [PubMed] [Google Scholar]
- FLETCHER G. H., MILLION R. R. MALIGNANT TUMORS OF THE NASOPHARYNX. Am J Roentgenol Radium Ther Nucl Med. 1965 Jan;93:44–55. [PubMed] [Google Scholar]
- Forbes W. S., Fawcitt R. A., Isherwood I., Webb R., Farrington T. Computed tomography in the diagnosis of diseases of the paranasal sinuses. Clin Radiol. 1978 Sep;29(5):501–511. doi: 10.1016/s0009-9260(78)80037-3. [DOI] [PubMed] [Google Scholar]
- Jeans W. D., Gilani S., Bullimore J. The effects of CT scanning on staging of tumours of the paranasal sinuses. Clin Radiol. 1982 Mar;33(2):173–179. doi: 10.1016/s0009-9260(82)80054-8. [DOI] [PubMed] [Google Scholar]
- Kondo M., Horiuchi M., Inuyama Y., Dokiya T., Tsutsui T., Iwata Y., Endo M., Hashimoto T., Kunieda E., Hashimoto S. Value of computed tomography for radiation therapy of tumors of the nasal cavity and paranasal sinuses. Acta Radiol Oncol. 1983;22(1):3–7. doi: 10.3109/02841868309134331. [DOI] [PubMed] [Google Scholar]
- LARSSON L. G., MARTENSSON G. Carcinoma of the paranasal sinuses and the nasal cavities; a clinical study of 379 cases treated at Radiumhemmet and the Otolaryngologic Department of Karolinska Sjukhuset, 1940-1950. Acta radiol. 1954 Aug;42(2):149–172. [PubMed] [Google Scholar]
- Lund V. J., Howard D. J., Lloyd G. A. CT evaluation of paranasal sinus tumours for cranio-facial resection. Br J Radiol. 1983 Jul;56(667):439–446. doi: 10.1259/0007-1285-56-667-439. [DOI] [PubMed] [Google Scholar]
- Parsons C., Hodson N. Computed tomography of paranasal sinus tumors. Radiology. 1979 Sep;132(3):641–645. doi: 10.1148/132.3.641. [DOI] [PubMed] [Google Scholar]
- Perez C. A., Ackerman L. V., Mill W. B., Ogura J. H., Powers W. E. Cancer of the nasopharynx. Factors influencing prognosis. Cancer. 1969 Jul;24(1):1–17. doi: 10.1002/1097-0142(196907)24:1<1::aid-cncr2820240102>3.0.co;2-h. [DOI] [PubMed] [Google Scholar]