Abstract
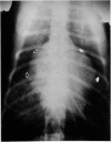
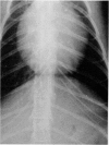
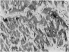
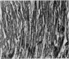
Feline and canine cardiomyopathies (primary myocardial diseases) were reviewed and divided into three groups based on the clinical, hemodynamic, angiocardiographic, and pathologic findings: (1) feline and canine hypertrophic cardiomyopathy, (2) feline and canine congestive (dilated) cardiomyopathy, and (3) feline restrictive cardiomyopathy. All three groups consisted predominantly of mature adult male cats and dogs. Cardiomyopathy in the hamster and turkey was also reviewed. The most common presenting signs were dyspnea and/or thromboembolism in the cat, systolic murmurs with gallop rhythms on auscultation, cardiomegaly with (groups 1 and 3) or without (group 2) pulmonary edema, abnormal electrocardiograms, elevated left ventricular end-diastolic pressures, and angiocardiographic evidence of mitral regurgitation with left ventricular concentric hypertrophy (group 1), left ventricular dilatation (group 2), or midventricular stenosis (group 3). Some cats in groups 1 and 3 also had evidence of left ventricular outflow obstruction. The principal pathologic findings in all of the cats and dogs were left atrial dilation, hypertrophy, increased septal:left ventricular free wall thickness ratio with disorganization of cardiac muscle cells (group 1); dilatation of the four chambers with degeneration of cardiac muscle cells (group 2); and extensive endocardial fibrosis and adhesion of the left ventricle (group 3). Aortic thromboembolism was commonly observed in the cats of all three groups. These clinical and pathologic findings indicate that cardiomyopathy in the cat or dog is similar to the three forms of cardiomyopathy in humans (hypertrophic, congestive, and restrictive).
Full text
PDF




















Images in this article
Selected References
These references are in PubMed. This may not be the complete list of references from this article.
- BRAUNWALD E., LAMBREW C. T., ROCKOFF S. D., ROSS J., Jr, MORROW A. G. IDIOPATHIC HYPERTROPHIC SUBAORTIC STENOSIS. I. A DESCRIPTION OF THE DISEASE BASED UPON AN ANALYSIS OF 64 PATIENTS. Circulation. 1964 Nov;30:SUPPL 4–119. doi: 10.1161/01.cir.29.5s4.iv-3. [DOI] [PubMed] [Google Scholar]
- Bajusz E. Hereditary cardiomyopathy: a new disease model. Am Heart J. 1969 May;77(5):686–696. doi: 10.1016/0002-8703(69)90556-0. [DOI] [PubMed] [Google Scholar]
- Bajusz E., Homburger F., Baker J. R., Bogdonoff P. Dissociation of factors influencing myocardial degeneration and generalized cardiocirculatory failure. Ann N Y Acad Sci. 1969 Jan 31;156(1):396–420. doi: 10.1111/j.1749-6632.1969.tb16742.x. [DOI] [PubMed] [Google Scholar]
- Bajusz E. Interrelationships between reparative processes in myocardium and the development of congestive heart failure. Rev Can Biol. 1968 Mar;27(1):45–60. [PubMed] [Google Scholar]
- Einzig S., Jankus E. F., Moller J. H. Round heart disease in turkeys: a hemodynamic study. Am J Vet Res. 1972 Mar;33(3):557–561. [PubMed] [Google Scholar]
- Ferrans V. J., Morrow A. G., Roberts W. C. Myocardial ultrastructure in idiopathic hypertrophic subaortic stenosis. A study of operatively excised left ventricular outflow tract muscle in 14 patients. Circulation. 1972 Apr;45(4):769–792. doi: 10.1161/01.cir.45.4.769. [DOI] [PubMed] [Google Scholar]
- Fowler N. O. Diagnosis of the myocardial diseases. Cardiovasc Clin. 1972;4(1):77–94. [PubMed] [Google Scholar]
- Goodwin J. F., Oakley C. M. The cardiomyopathies. Br Heart J. 1972 Jun;34(6):545–552. doi: 10.1136/hrt.34.6.545. [DOI] [PMC free article] [PubMed] [Google Scholar]
- Henry W. L., Clark C. E., Epstein S. E. Asymmetric septal hypertrophy. Echocardiographic identification of the pathognomonic anatomic abnormality of IHSS. Circulation. 1973 Feb;47(2):225–233. doi: 10.1161/01.cir.47.2.225. [DOI] [PubMed] [Google Scholar]
- Liu S. K. Acquired cardiac lesions leading to congestive heart failure in the cat. Am J Vet Res. 1970 Nov;31(11):2071–2088. [PubMed] [Google Scholar]
- Liu S. K., Maron B. J., Tilley L. P. Hypertrophic cardiomyopathy in the dog. Am J Pathol. 1979 Mar;94(3):497–508. [PMC free article] [PubMed] [Google Scholar]
- Liu S. K. Pathology of feline heart diseases. Vet Clin North Am. 1977 May;7(2):323–339. doi: 10.1016/s0091-0279(77)50033-0. [DOI] [PubMed] [Google Scholar]
- Liu S. K., Tashjian R. J., Patnaik A. K. Congestive heart failure in the cat. J Am Vet Med Assoc. 1970 May 1;156(9):1319–1330. [PubMed] [Google Scholar]
- Liu S. K., Tilley L. P., Lord P. F. Feline cardiomyopathy. Recent Adv Stud Cardiac Struct Metab. 1975;10:627–640. [PubMed] [Google Scholar]
- Lord P. F., Wood A., Tilley L. P., Liu S. K. Radiographic and hemodynamic evaluation of cardiomyopathy and thromboembolism in the cat. J Am Vet Med Assoc. 1974 Jan 15;164(2):154–165. [PubMed] [Google Scholar]
- Magwood S. E., Bray D. F. Disease Condition of Turkey Poults Characterized by Enlarged and Rounded Hearts. Can J Comp Med Vet Sci. 1962 Nov;26(11):268–272. [PMC free article] [PubMed] [Google Scholar]
- Maron B. J., Ferrans V. J., Henry W. L., Clark C. E., Redwood D. R., Roberts W. C., Morrow A. G., Epstein S. E. Differences in distribution of myocardial abnormalities in patients with obstructive and nonobstructive asymmetric septal hypertrophy (ASH). Light and electron microscopic findings. Circulation. 1974 Sep;50(3):436–446. doi: 10.1161/01.cir.50.3.436. [DOI] [PubMed] [Google Scholar]
- Noren G. R., Staley N. A., Jankus E. F., Stevenson J. E. Myocarditis in round heart disease of turkeys. A light and electron microscopic study. Virchows Arch A Pathol Pathol Anat. 1971;352(4):285–295. doi: 10.1007/BF00542713. [DOI] [PubMed] [Google Scholar]
- Oakley C. M. Clinical recognition of the cardiomyopathies. Circ Res. 1974 Aug;35(2):suppl II–II:167. [PubMed] [Google Scholar]
- Olsen E. G. Cardiomyopathies. Cardiovasc Clin. 1972;4(2):239–261. [PubMed] [Google Scholar]
- Olsen E. G. Pathological recognition of cardiomyopathy. Postgrad Med J. 1975 May;51(595):277–281. doi: 10.1136/pgmj.51.595.277. [DOI] [PMC free article] [PubMed] [Google Scholar]
- Olsen E. G. The pathology of cardiomyopathies. A critical analysis. Am Heart J. 1979 Sep;98(3):385–392. doi: 10.1016/0002-8703(79)90052-8. [DOI] [PubMed] [Google Scholar]
- Roberts W. C., Ferrans V. J. Pathologic anatomy of the cardiomyopathies. Idiopathic dilated and hypertrophic types, infiltrative types, and endomyocardial disease with and without eosinophilia. Hum Pathol. 1975 May;6(3):287–342. [PubMed] [Google Scholar]
- Roberts W. C., Ferrans V. J. Pathological aspects of certain cardiomyopathies. Circ Res. 1974 Aug;35(2):suppl II–II:144. [PubMed] [Google Scholar]
- TEARE D. Asymmetrical hypertrophy of the heart in young adults. Br Heart J. 1958 Jan;20(1):1–8. doi: 10.1136/hrt.20.1.1. [DOI] [PMC free article] [PubMed] [Google Scholar]
- Tilley L. P., Liu S. K. Cardiomyopathy in the dog. Recent Adv Stud Cardiac Struct Metab. 1975;10:641–653. [PubMed] [Google Scholar]
- Tilley L. P., Liu S. K., Gilbertson S. R., Wagner B. M., Lord P. F. Primary myocardial disease in the cat. A model for human cardiomyopathy. Am J Pathol. 1977 Mar;86(3):493–522. [PMC free article] [PubMed] [Google Scholar]


















