Abstract
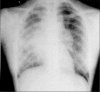
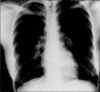
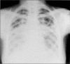
Sarcoidosis is a systemic granulomatous disease of undetermined etiology in which the immune system is overstimulated. Management of the patient with sarcoidosis entails continuity of patient care far beyond disease, even into remission. Care is comprehensive, including all involved organ systems, coordination of specialty consultations and services, and diagnostic tests. Therapeutic decisions are the responsibility of the primary care practitioner. Prognosis of sarcoidosis is not uniformly good. Patients can die. Subacute sarcoidosis patients usually do not require pharmacologic therapy. Chronic sarcoidosis may require long-term treatment for years to indefinitely. Corticosteroids are still the drugs of choice and other therapy is now available. Health organizations and private nonprofit support groups are available for patient education and assistance. Close support must still come from the family unit. Sarcoidosis may occur in family members in different cohorts at all ages in life and in any racial or ethnic group. This article is the first in a two-part series on management of the patient with sarcoidosis in the 21 st century by the primary are provider. Applications of principles of family medicine are emphasized. Part 1 considers continuity, comprehensiveness, and coordination of care. Part 2 will complete coordination of care, and consider community, prevention, and family aspects of this disease.
Full text
PDF









Images in this article
Selected References
These references are in PubMed. This may not be the complete list of references from this article.
- COWDELL R. H. Sarcoidosis: with special reference to diagnosis and prognosis. Q J Med. 1954 Jan;23(89):29–55. [PubMed] [Google Scholar]
- Colp C. Sarcoidosis: course and treatment. Med Clin North Am. 1977 Nov;61(6):1267–1278. doi: 10.1016/s0025-7125(16)31261-5. [DOI] [PubMed] [Google Scholar]
- Donnelly S., Ward K., FitzGerald M. X. Analysis of patients lost to follow up at a sarcoid clinic. Sarcoidosis. 1991 Mar;8(1):45–50. [PubMed] [Google Scholar]
- Fauci A. S. Alternate-day corticosteroid therapy. Am J Med. 1978 May;64(5):729–731. doi: 10.1016/0002-9343(78)90510-7. [DOI] [PubMed] [Google Scholar]
- Feagan B. G., Rochon J., Fedorak R. N., Irvine E. J., Wild G., Sutherland L., Steinhart A. H., Greenberg G. R., Gillies R., Hopkins M. Methotrexate for the treatment of Crohn's disease. The North American Crohn's Study Group Investigators. N Engl J Med. 1995 Feb 2;332(5):292–297. doi: 10.1056/NEJM199502023320503. [DOI] [PubMed] [Google Scholar]
- GILG I. Kliniske undersøgelser over Boeck's sarcoid (sarcoidose); behandling og forløb. Ugeskr Laeger. 1956 Jan 12;118(2):46–contd. [PubMed] [Google Scholar]
- HAROUTUNIAN L. M., FISHER A. M., SMITH E. W. TUBERCULOSIS AND SARCOIDOSIS. Bull Johns Hopkins Hosp. 1964 Jul;115:1–28. [PubMed] [Google Scholar]
- Israel H. L., Fouts D. W., Beggs R. A. A controlled trial of prednisone treatment of sarcoidosis. Am Rev Respir Dis. 1973 Apr;107(4):609–614. doi: 10.1164/arrd.1973.107.4.609. [DOI] [PubMed] [Google Scholar]
- Israel H. L. The treatment of sarcoidosis. Postgrad Med J. 1970 Aug;46(538):537–540. doi: 10.1136/pgmj.46.538.537. [DOI] [PMC free article] [PubMed] [Google Scholar]
- JAMES D. G., THOMSON A. D. The course of sarcoidosis and its modification by treatment. Lancet. 1959 May 23;1(7082):1057–1061. doi: 10.1016/s0140-6736(59)90648-8. [DOI] [PubMed] [Google Scholar]
- James D. G., Carstairs L. S., Trowell J., Sharma O. P. Treatment of sarcoidosis. Report of a controlled therapeutic trial. Lancet. 1967 Sep 9;2(7515):526–528. doi: 10.1016/s0140-6736(67)90493-x. [DOI] [PubMed] [Google Scholar]
- Johnson B. A., Duncan S. R., Ohori N. P., Paradis I. L., Yousem S. A., Grgurich W. F., Dauber J. H., Griffith B. P. Recurrence of sarcoidosis in pulmonary allograft recipients. Am Rev Respir Dis. 1993 Nov;148(5):1373–1377. doi: 10.1164/ajrccm/148.5.1373. [DOI] [PubMed] [Google Scholar]
- LOFGREN S., STAVENOW S. Course and prognosis of sarcoidosis: Stockholm. Am Rev Respir Dis. 1961 Nov;84(5):71–73. doi: 10.1164/arrd.1961.84.5P2.71. [DOI] [PubMed] [Google Scholar]
- Lam C. R. The surgical aspects of sarcoidosis. With particular reference to some apparent cures following surgical procedures. Arch Surg. 1968 Sep;97(3):459–468. doi: 10.1001/archsurg.1968.01340030119011. [DOI] [PubMed] [Google Scholar]
- Lieberman J. Elevation of serum angiotensin-converting-enzyme (ACE) level in sarcoidosis. Am J Med. 1975 Sep;59(3):365–372. doi: 10.1016/0002-9343(75)90395-2. [DOI] [PubMed] [Google Scholar]
- MORSE S. I., COHN Z. A., HIRSCH J. G., SCHAEDER R. W. The treatment of sarcoidosis with chloroquine. Am J Med. 1961 May;30:779–784. doi: 10.1016/0002-9343(61)90213-3. [DOI] [PubMed] [Google Scholar]
- Pinkston P., Bitterman P. B., Crystal R. G. Spontaneous release of interleukin-2 by lung T lymphocytes in active pulmonary sarcoidosis. N Engl J Med. 1983 Apr 7;308(14):793–800. doi: 10.1056/NEJM198304073081401. [DOI] [PubMed] [Google Scholar]
- Selroos O. B. Use of budesonide in the treatment of pulmonary sarcoidosis. Ann N Y Acad Sci. 1986;465:713–721. doi: 10.1111/j.1749-6632.1986.tb18550.x. [DOI] [PubMed] [Google Scholar]
- Sharma O. P., Colp C., Williams M. H., Jr Course of pulmonary sarcoidosis with and without corticosteriod therapy as determined by pulmonary function studies. Am J Med. 1966 Oct;41(4):541–551. doi: 10.1016/0002-9343(66)90216-6. [DOI] [PubMed] [Google Scholar]
- Sharma O. P. Splenic rupture in sarcoidosis. Report of an unusual case. Am Rev Respir Dis. 1967 Jul;96(1):101–102. doi: 10.1164/arrd.1967.96.1.101. [DOI] [PubMed] [Google Scholar]
- Sheagren J. N., Simon H. B., Rich R. R. Therapy of sarcoidosis initiated with alternate-day prednisone. J Natl Med Assoc. 1973 Sep;65(5):391–398. [PMC free article] [PubMed] [Google Scholar]
- Siltzbach L. E. Sarcoidosis: clinical features and management. Med Clin North Am. 1967 Mar;51(2):483–502. doi: 10.1016/s0025-7125(16)33069-3. [DOI] [PubMed] [Google Scholar]
- Stewart A. L., Hays R. D., Ware J. E., Jr The MOS short-form general health survey. Reliability and validity in a patient population. Med Care. 1988 Jul;26(7):724–735. doi: 10.1097/00005650-198807000-00007. [DOI] [PubMed] [Google Scholar]
- Stone D. J., Schwartz A. A long-term study of sarcoid and its modification by steroid therapy. Lung function and other factors in prognosis. Am J Med. 1966 Oct;41(4):528–540. doi: 10.1016/0002-9343(66)90215-4. [DOI] [PubMed] [Google Scholar]
- Trujillo N. P., Halstead L. S., Ticktin H. E. Chronic ulcerative colitis, xanthomatous biliary cirrhosis and sarcoidosis. Report of a case. Med Ann Dist Columbia. 1967 Mar;36(3):170–174. [PubMed] [Google Scholar]
- Weinberger S. E., Kelman J. A., Elson N. A., Young R. C., Jr, Reynolds H. Y., Fulmer J. D., Crystal R. G. Bronchoalveolar lavage in interstitial lung disease. Ann Intern Med. 1978 Oct;89(4):459–466. doi: 10.7326/0003-4819-89-4-459. [DOI] [PubMed] [Google Scholar]
- Weinblatt M. E. Methotrexate for chronic diseases in adults. N Engl J Med. 1995 Feb 2;332(5):330–331. doi: 10.1056/NEJM199502023320512. [DOI] [PubMed] [Google Scholar]
- Young R. C., Jr, Rachal R. E., Cowan C. L., Jr When should sarcoidosis be treated? J Natl Med Assoc. 1986 Sep;78(9):811–821. [PMC free article] [PubMed] [Google Scholar]
- Young R. C., Jr, Titus-Dillon P. Y., Schneider M. L., Shelton T. G., Hackney R. L., Jr, Harden K. A. Sarcoidosis in Washington, D. C. Clinical observations in 105 black patients. Arch Intern Med. 1970 Jan;125(1):102–105. doi: 10.1001/archinte.125.1.102. [DOI] [PubMed] [Google Scholar]
- Young R. L., Harkleroad L. E., Lordon R. E., Weg J. G. Pulmonary sarcoidosis: a prospective evaluation of glucocorticoid therapy. Ann Intern Med. 1970 Aug;73(2):207–212. doi: 10.7326/0003-4819-73-2-207. [DOI] [PubMed] [Google Scholar]







