Abstract
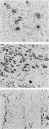
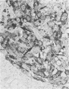
Granulomatous lesions of bovine paratuberculosis contained ferritin, lactoferrin, and a small amount of transferrin, as demonstrated by the immunohistochemical method. Macrophages in the normal bovine ileum did not contain lactoferrin and transferrin; however, ferritin was found in individual macrophages of Peyer's patches. These results may help elucidate the relationship between intracellular growth of Mycobacterium paratuberculosis and the presence of iron-binding proteins in the granulomas.
Full text
PDF




Images in this article
Selected References
These references are in PubMed. This may not be the complete list of references from this article.
- Barclay R., Ratledge C. Iron-binding compounds of Mycobacterium avium, M. intracellulare, M. scrofulaceum, and mycobactin-dependent M. paratuberculosis and M. avium. J Bacteriol. 1983 Mar;153(3):1138–1146. doi: 10.1128/jb.153.3.1138-1146.1983. [DOI] [PMC free article] [PubMed] [Google Scholar]
- Bendixen P. H., Bloch B., Jorgensen J. B. Lack of intracellular degradation of Mycobacterium paratuberculosis by bovine macrophages infected in vitro and in vivo: light microscopic and electron microscopic observations. Am J Vet Res. 1981 Jan;42(1):109–113. [PubMed] [Google Scholar]
- Buergelt C. D., Hall C., McEntee K., Duncan J. R. Pathological evaluation of paratuberculosis in naturally infected cattle. Vet Pathol. 1978 Mar;15(2):196–207. doi: 10.1177/030098587801500206. [DOI] [PubMed] [Google Scholar]
- Bullen J. J., Rogers H. J., Griffiths E. Role of iron in bacterial infection. Curr Top Microbiol Immunol. 1978;80:1–35. doi: 10.1007/978-3-642-66956-9_1. [DOI] [PubMed] [Google Scholar]
- Chiodini R. J., Van Kruiningen H. J., Merkal R. S. Ruminant paratuberculosis (Johne's disease): the current status and future prospects. Cornell Vet. 1984 Jul;74(3):218–262. [PubMed] [Google Scholar]
- Furugouri K., Miyata Y., Shijimaya K. Ferritin in blood serum of dairy cows. J Dairy Sci. 1982 Aug;65(8):1529–1534. doi: 10.3168/jds.S0022-0302(82)82377-1. [DOI] [PubMed] [Google Scholar]
- Kochan I. The role of iron in bacterial infections, with special consideration of host-tubercle bacillus interaction. Curr Top Microbiol Immunol. 1973;60:1–30. doi: 10.1007/978-3-642-65502-9_1. [DOI] [PubMed] [Google Scholar]
- Macham L. P., Ratledge C., Nocton J. C. Extracellular iron acquisition by mycobacteria: role of the exochelins and evidence against the participation of mycobactin. Infect Immun. 1975 Dec;12(6):1242–1251. doi: 10.1128/iai.12.6.1242-1251.1975. [DOI] [PMC free article] [PubMed] [Google Scholar]
- Masson P. L., Heremans J. F., Schonne E. Lactoferrin, an iron-binding protein in neutrophilic leukocytes. J Exp Med. 1969 Sep 1;130(3):643–658. doi: 10.1084/jem.130.3.643. [DOI] [PMC free article] [PubMed] [Google Scholar]
- Obara Y., Komatsu M. Relationship between N-acetyl-beta-D-glucosaminidase activity and cell count, lactose, chloride, or lactoferrin in cow milk. J Dairy Sci. 1984 May;67(5):1043–1046. doi: 10.3168/jds.S0022-0302(84)81404-6. [DOI] [PubMed] [Google Scholar]
- Snow G. A. Mycobactins: iron-chelating growth factors from mycobacteria. Bacteriol Rev. 1970 Jun;34(2):99–125. doi: 10.1128/br.34.2.99-125.1970. [DOI] [PMC free article] [PubMed] [Google Scholar]
- Sternberger L. A., Hardy P. H., Jr, Cuculis J. J., Meyer H. G. The unlabeled antibody enzyme method of immunohistochemistry: preparation and properties of soluble antigen-antibody complex (horseradish peroxidase-antihorseradish peroxidase) and its use in identification of spirochetes. J Histochem Cytochem. 1970 May;18(5):315–333. doi: 10.1177/18.5.315. [DOI] [PubMed] [Google Scholar]
- Van Snick J. L., Masson P. L., Heremans J. F. The involvement of lactoferrin in the hyposideremia of acute inflammation. J Exp Med. 1974 Oct 1;140(4):1068–1084. doi: 10.1084/jem.140.4.1068. [DOI] [PMC free article] [PubMed] [Google Scholar]
- Van Snick J. L., Masson P. L. The binding of human lactoferrin to mouse peritoneal cells. J Exp Med. 1976 Dec 1;144(6):1568–1580. doi: 10.1084/jem.144.6.1568. [DOI] [PMC free article] [PubMed] [Google Scholar]
- WHEELER W. C., HANKS J. H. UTILIZATION OF EXTERNAL GROWTH FACTORS BY INTRACELLULAR MICROBES: MYCOBACTERIUM PARATUBERCULOSIS AND WOOD PIGEON MYCOBACTERIA. J Bacteriol. 1965 Mar;89:889–896. doi: 10.1128/jb.89.3.889-896.1965. [DOI] [PMC free article] [PubMed] [Google Scholar]
- van Snick J. L., Markowetz B., Masson P. L. The ingestion and digestion of human lactoferrin by mouse peritoneal macrophages and the transfer of its iron into ferritin. J Exp Med. 1977 Sep 1;146(3):817–827. doi: 10.1084/jem.146.3.817. [DOI] [PMC free article] [PubMed] [Google Scholar]







