An official website of the United States government
Here's how you know
Official websites use .gov
A
.gov website belongs to an official
government organization in the United States.
Secure .gov websites use HTTPS
A lock (
) or https:// means you've safely
connected to the .gov website. Share sensitive
information only on official, secure websites.
As a library, NLM provides access to scientific literature. Inclusion in an NLM database does not imply endorsement of, or agreement with,
the contents by NLM or the National Institutes of Health.
Learn more:
PMC Disclaimer
|
PMC Copyright Notice
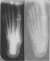
Read in part before the John A. Andrew Clinical Society, Tuskegee Institute, Alabama, April 1946.
This Article has been released for publication by the Division of Public Relations of the War Department. I am indebted to Sgts. Romey Keyes, Calvin Cleveland, and Irie Leonard for their x-ray technical assistance.