Abstract
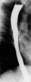
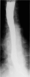
Diffuse intramural pseudodiverticulosis of the esophagus is a rare cause of dysphagia. A 19-year-old patient with a long history of recurrent episodes of food impaction was diagnosed with diffuse intramural pseudodiverticulosis. The clue to diagnosis is a critical and thorough review of the barium swallow. Treatment is aimed toward dilatation of strictures and treatment of inflammation.
Full text
PDF



Images in this article
Selected References
These references are in PubMed. This may not be the complete list of references from this article.
- Beauchamp J. M., Nice C. M., Belanger M. A., Neitzschman H. R. Esophageal intramural pseudodiverticulosis. Radiology. 1974 Nov;113(2):273–276. doi: 10.1148/113.2.273. [DOI] [PubMed] [Google Scholar]
- Boyd R. M., Bogoch A., Greig J. H., Trites A. E. Esophageal intramural pseudodiverticulosis. Radiology. 1974 Nov;113(2):267–270. doi: 10.1148/113.2.267. [DOI] [PubMed] [Google Scholar]
- Castillo S., Aburashed A., Kimmelman J., Alexander L. C. Diffuse intramural esophageal pseudodiverticulosis. New cases and review. Gastroenterology. 1977 Mar;72(3):541–545. [PubMed] [Google Scholar]
- Graham D. Y., Goyal R. K., Sparkman J., Cagan M. E., Pogonowska M. J. Diffuse intramural esophageal diverticulosis. Gastroenterology. 1975 Apr;68(4 Pt 1):781–785. [PubMed] [Google Scholar]
- Lax J. D., Haroutiounian G., Attia A. An unusual case of dysphagia: esophageal intramural pseudodiverticulosis. Am J Gastroenterol. 1986 Oct;81(10):1002–1004. [PubMed] [Google Scholar]
- Lupovitch A., Tippins R. Esophageal intramural pseudodiverticulosis: a disease of adnexal glands. Radiology. 1974 Nov;113(2):271–272. doi: 10.1148/113.2.271. [DOI] [PubMed] [Google Scholar]
- Montgomery R. D., Mendl K., Stephenson S. F. Intramural diverticulosis of the oesophagus. Thorax. 1975 Jun;30(3):278–284. doi: 10.1136/thx.30.3.278. [DOI] [PMC free article] [PubMed] [Google Scholar]
- Murney R. G., Jr, Linne J. H., Curtis J. High-amplitude peristaltic contractions in a patient with esophageal intramural pseudodiverticulosis. Dig Dis Sci. 1983 Sep;28(9):843–847. doi: 10.1007/BF01296908. [DOI] [PubMed] [Google Scholar]
- Pearlberg J. L., Sandler M. A., Madrazo B. L. Computed tomographic features of esophageal intramural pseudodiverticulosis. Radiology. 1983 Apr;147(1):189–190. doi: 10.1148/radiology.147.1.6402805. [DOI] [PubMed] [Google Scholar]
- Wightman A. J., Wright E. A. Intramural oesophageal diverticulosis: a correlation of radiological and pathological findings. Br J Radiol. 1974 Aug;47(560):496–498. doi: 10.1259/0007-1285-47-560-496. [DOI] [PubMed] [Google Scholar]


