Abstract
The CXC chemokine receptor 4 (CXCR4) contributes to the metastasis of human breast cancer cells. The CXCR4 COOH-terminal domain (CTD) seems to play a major role in regulating receptor desensitization and down-regulation. We expressed either wild-type CXCR4 (CXCR4-WT) or CTD-truncated CXCR4 (CXCR4-ΔCTD) in MCF-7 human mammary carcinoma cells to determine whether the CTD is involved in CXCR4-modulated proliferation of mammary carcinoma cells. CXCR4-WT-transduced MCF-7 cells (MCF-7/CXCR4-WT cells) do not differ from vector-transduced MCF-7 control cells in morphology or growth rate. However, CXCR4-ΔCTD-transduced MCF-7 cells (MCF-7/CXCR4-ΔCTD cells) exhibit a higher growth rate and altered morphology, potentially indicating an epithelial-to-mesenchymal transition. Furthermore, extracellular signal-regulated kinase (ERK) activation and cell motility are increased in these cells. Ligand induces receptor association with β-arrestin for both CXCR4-WT and CXCR4-ΔCTD in these MCF-7 cells. Overexpressed CXCR4-WT localizes predominantly to the cell surface in unstimulated cells, whereas a significant portion of overexpressed CXCR4-ΔCTD resides intracellularly in recycling endosomes. Analysis with human oligomicroarray, Western blot, and immunohistochemistry showed that E-cadherin and Zonula occludens are down-regulated in MCF-7/CXCR4-ΔCTD cells. The array analysis also indicates that mesenchymal marker proteins and certain growth factor receptors are up-regulated in MCF-7/CXCR4-ΔCTD cells. These observations suggest that (a) the overexpression of CXCR4-ΔCTD leads to a gain-of-function of CXCR4-mediated signaling and (b) the CTD of CXCR4-WT may perform a feedback repressor function in this signaling pathway. These data will contribute to our understanding of how CXCR4-ΔCTD may promote progression of breast tumors to metastatic lesions.
Introduction
Chemokines and their receptors are important in directing cell movement and gene expression (1, 2). Chemokines are divided into (CXC), (CC), (C), and (CXXXC) subclasses according to the configuration of the first two cysteine residues on their NH2 termini (3). The CXC ligand 12 (CXCL12) or stromal cell–derived factor-1 (SDF-1) was isolated from bone marrow stromal cells and characterized as a pre-B-cell growth-stimulating factor (4). The receptor for CXCL12 is CXC chemokine receptor 4 (CXCR4), which is essential for B-cell lymphopoiesis (4), gastrointestinal tract vascularization (5), neuronal and germ cell migration (6), and invasion of host cells by the HIV (7–9). CXCR4 knockout mice display multiple lethal defects, including abnormalities in B-cell lymphopoiesis and bone marrow myelopoiesis, in addition to altered cerebellar neuronal migration (5, 10). Moreover, CXCR4 is widely overexpressed in different types of malignant cancers, including lymphoma, carcinoma, and sarcoma (1, 11). Therefore, normal CXCR4 expression is necessary for embryonic development and normal cell proliferation, but its unregulated expression correlates with tumor progression.
CXCR4, like all other chemokine receptors, is a seven-membrane-spanning G-protein coupled receptor (GPCR). The activation of GPCRs leads to the activation of heterotrimeric G proteins, which dissociate from the receptors and initiate second messenger signaling (12, 13). GPCRs also interact with many other proteins most commonly through consensus domains located on their intracellular COOH-terminal domains (CTD; ref. 14). β-Arrestin binds to the CTD of many GPCRs, including CXCR4, regulating the function of the receptor (15). Generally, the GPCR/β-arrestin complex is stabilized when serine and possibly threonine residues in the CTD become phosphorylated, an event that is associated with receptor desensitization for G-protein-mediated signaling. However, formation of the GPCR/β-arrestin complex leads to the propagation of new signals via activation of mitogen-activated protein kinases (MAPK), such as c-Jun NH2-terminal kinase 3 (JNK3), extracellular-signal-regulated kinase 1/2 (ERK1/2), and p38 MAPK (16–18). The binding of GPCR/β-arrestin complexes to interacting proteins, such as clathrin and adapter protein-2 (AP-2), enhances the internalization and trafficking of GPCRs (16, 17). Truncation of the CTD of CXCR4 occurs in heterozygous individuals with WHIM syndrome (warts, hypogammaglobulinemia, infections, and myelokathexis; ref. 19). Thus, the CTD of CXCR4 plays an important role in intracellular signaling, although the detailed mechanism is not clear.
In metastatic breast carcinoma, overexpressed CXCR4 enables tumor cells to invade the extracellular matrix and enter the circulatory system (20). Therefore, the CXCL12-CXCR4 chemotactic pathway is a potential therapeutic target in breast cancer (21, 22). To understand the mechanisms involved in CTD-mediated regulation of CXCR4 in human breast cancer cells, MCF-7 cells were transduced with either wild-type CXCR4 (CXCR4-WT) or CTD-truncated CXCR4 (CXCR4-ΔCTD) cDNA. CXCR4-ΔCTD interacted with β-arrestin at the plasma membrane, accumulated in the perinuclear compartment on internalization, and MCF-7 cells expressing this truncated receptor exhibited a drastic reduction in E-cadherin and Zonula occludens (ZO)-1 expression. Using a human 30,000 oligoarray analysis, we observed that mesenchymal marker-related genes are up-regulated in CXCR4-ΔCTD-transduced MCF-7 cells (MCF-7/CXCR4-ΔCTD cells). Through these data, we have shown conclusively that MCF-7/CXCR4-ΔCTD breast carcinoma cells exhibited enhanced motility and proliferation accompanied by altered receptor trafficking and changes in gene expression.
Materials and Methods
Cell culture and reagents
MCF-7 cells and human embryonic kidney (HEK) 293T cells (purchased from the American Type Culture Collection, Manassas, VA) were maintained in DMEM supplemented with 10% heat-inactivated FCS and 2 mmol/L L-glutamine. Cells were incubated at 37°C in humidified air with 5% CO2. All tissue culture reagents were from Life Technologies, Inc. (Rockville, MD).
Plasmid constructs and protein expression
The cDNA construct HA-CXCR4-WT-pcDNA 3.0 (ref. 15; Dr. Gang Pei, Shanghai University, Shanghai, China) was used as the template for PCR. Using these constructs, the full-length CXCR4 cDNA and the CXCR4/ΔCTD cDNA without the HA-tag sequence were amplified with the same forward primer 5′-ATTCCGGA-ATTCATGGAGGGGATCAGTATATAC-3′ and two different reverse primers 5′-AATCCGCTCGAGTTAGCTGGAGTGAAAAC-3′ and 5′-AATCCGCTCGAG-TTAAGTGCGTGCTGGGCAG-3′, respectively. The PCR products (1,071 and 967 bp) were digested with the restriction enzymes EcoRI/XhoI, purified by agarose gel electrophoresis, and ligated into the retroviral expression vector pBMN-internal ribosomal entry sequence (IRES)-enhanced green fluorescent protein (EGFP) provided by Dr. Gary Nolan (Stanford University, Stanford, CA). The DNA constructs were verified by dideoxy sequencing.
To package pseudoretroviruses, HEK 293T cells (5 × 106/100-mm dish) were transfected with 5 μg of (a) pBMN-CXCR4-WT-IRES-EGFP, (b) pBMN-CXCR4-ΔCTD-IRES-EGFP, or (c) control plasmid pBMN-IRES-EGFP using FUGENE 6 (Roche Molecular Biochemicals, Indianapolis, IN). They were cotransfected with 3 μg pHCMV-G (VSV-G) and 3 μg pSV-Ψ-env−MLV (pSV-pol/gag) provided by Dr. Jane Burns (University of California, San Diego, CA). Virus-containing medium was collected at 48 hours post-transfection, purified by a 0.45-μm filter (Pall Corp., East Hills, NY), and used to infect MCF-7 cells (105/60-mm dish) for 2 hours. After five passages, cells stably expressing EGFP were sorted by flow cytometry and expanded.
Immunoblot analysis
Cell lysis, protein isolation, SDS-PAGE, and immunoblotting have been described previously (23). Immunoreactive proteins were visualized by scanning the emitted IR spectrum from Alexa dye–conjugated secondary antibodies (Molecular Probes, Carlsbad, CA) using the Odyssey System (LI-COR Biotechnology, Lincoln, NE). The antibodies (200 ng/mL) used were αE-cadherin (610181, BD Biosciences, Palo Alto, CA), αZO-1 (610966, BD Biosciences), αERK2 (sc-1647, Santa Cruz Biotechnology, Santa Cruz, CA), and α-phosphorylated ERK1/2 (V-8031, Promega, Madison, WI). Some cells were treated with 50 μmol/L MAPK kinase kinase (MEKK) inhibitor PD98059 (Calbiochem, Darmstadt, Germany) for 3 hours or with 100 ng/mL CXCL12 (human SDF-1α, PeproTech, Rocky Hill, NJ) before cell lysis.
3-(4,5-Dimethylthiazol-2-yl)-2,5-diphenyltetrazolium bromide cell proliferation assay
Cells were cultured in complete growth medium for 5 days with replenishment every 2 days. 3-(4,5-Dimethylthiazol-2-yl)-2,5-diphenyltetrazolium bromide (MTT) was added as the substrate for mitochondrial dehydrogenase in triplicate wells and incubated for 4 hours. The enzymatic activity was monitored according to the standard protocol. The normalized absorbance values were plotted as the fold increase.
Cell motility/chemotaxis assay
MCF-7 cells expressing CXCR4-WT, CXCR4-ΔCTD, or empty expression vector controls were allowed to reach confluence on glass coverslips in six-well plates containing complete growth medium and scratched with pipette tips to make wounds. The wound closure was observed microscopically 18 hours postwounding.
Chemotaxis and chemokinesis were measured using a 96-well chamber and a polycarbonate membrane filter (Neuroprobe, Gaithersburg, MD) as described previously (24).
ELISA
Cells were cultured to 80% confluency in 12-well plates, washed, and incubated for 18 hours in complete growth medium. The medium was collected and subjected to CXCL12 ELISA (Quantikine, R&D Systems, Minneapolis, MN). The ELISA values were normalized by cell number in units of pg/105 cells.
Confocal/immunofluorescent microscopy
Cells were immunostained as described previously (23) unless otherwise specified in the figure legends. The primary antibodies used were αE-cadherin (610181), αZO-1 (610966), αCXCR4 (clone 12G5, MAB170, R&D Systems), αCXCR4 (clone 44708, MAB171, R&D Systems), anti-β-arrestin2 (sc-6387, Santa Cruz Biotechnology), and αRab11a (a gift from Dr. James Goldenring, Vanderbilt University Medical School, Nashville, TN). These proteins were visualized with appropriate fluorophore-conjugated secondary antibodies. Fluorescent images were captured on a Zeiss Axiophot upright microscope and a LSM-510 Meta laser scanning microscope (Carl Zeiss MicroImaging, Inc., Thornwood, NY).
Fluorescence-activated cell sorting analysis
Cells were washed with cold PBS and incubated with Cell Dissociation Buffer (Life Technologies) until cells lifted. Cells were labeled with an αCXCR4 antibody (12G5, MAB170) for 1 hour and then incubated with phycoerythrin (PE)–conjugated α-mouse IgG (Jackson ImmunoResearch, Westgrove, PA). To monitor background staining for the primary and secondary antibodies, cells were incubated with normal mouse IgG (sc-2025, Santa Cruz Biotechnology) followed by PE-conjugated α-mouse IgG. Cells were washed and a total of 20,000 stained cells were analyzed using a FACSCalibur flow cytometer (Becton Dickinson, Mansfield, MA).
cDNA array analysis
Total RNA was isolated with TRIzol reagent (Life Technologies), electrophoresed to measure RNA integrity, treated with RNase-free DNase, and reverse transcribed into cDNAs. cDNA from CXCR4-WT-transduced MCF-7 cells (MCF-7/CXCR4-WT cells) was labeled with Cy5 and that of MCF-7/CXCR4-ΔCTD cells were labeled with Cy3 according to the protocols listed at http://www.vmsr.net. Labeled cDNAs were hybridized to human 30,000 oligomicroarrays, and the data analysis was done in the Vanderbilt Microarray Laboratory. Alternatively, the same RNA was also reverse transcribed into cDNA with digoxigenin labeling and the cDNA was individually hybridized to the ABI platform human microarray (32,878 probes; Applied Biosystems, Inc., Foster City, CA).
Reverse transcription-PCR
DNase-treated RNA (1 μg) was denatured and then reverse transcribed. The synthesized cDNA (1 μL) was amplified by PCR using (a) a primer set for glyceraldehyde-3-phosphate dehydrogenase (GAPDH), (b) a primer set for 5′-terminal sequence of CXCR4, and (c) a primer set for 3′-terminal sequence of CXCR4.
Results
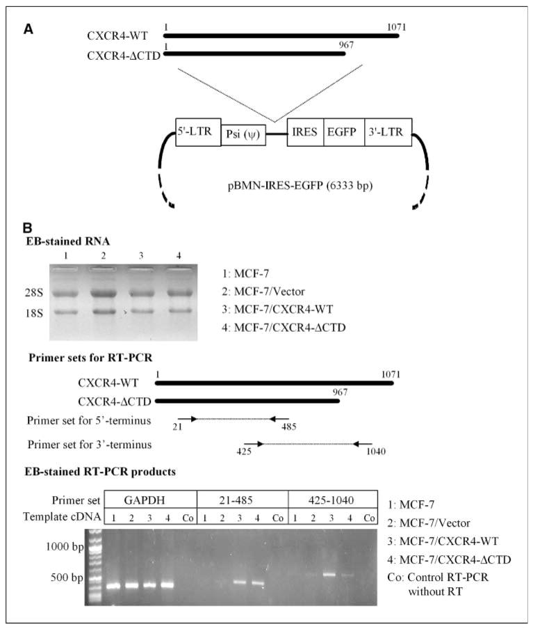
CXCR4-WT and CXCR4-ΔCTD were overexpressed in MCF-7 cells using retroviral vectors
To develop cDNA constructs to examine the functional significance of the CTD of CXCR4 in breast carcinoma cells, we amplified (a) CXCR4-WT cDNA (1,071 bp) encoding CXCR4 amino acids 1 to 353 and (b) CXCR4-ΔCTD cDNA (967 bp) encoding amino acids 1 to 318. These cDNAs were subcloned into a retroviral vector, pBMN-IRES-EGFP, and transduced into MCF-7 breast carcinoma cells (Fig. 1A). To confirm the mRNA expression levels of these transduced genes, RNA was isolated (Fig. 1B, top) and reverse transcribed into cDNA. The cDNA was amplified by PCR with (a) a primer set for GAPDH, (b) a primer set for the 5′-terminus of CXCR4 (21–485 nt), and (c) a primer set for the 3′-terminus of CXCR4 (425–1,040 nt; Fig. 1B, middle). The 413-bp GAPDH PCR products show equal intensity (lanes 1–4), indicating that the same amount of RNA was used (Fig. 1B, bottom). The 465-bp PCR product (5′-terminus) was amplified on the cDNA template derived from both MCF-7/CXCR4-WT and MCF-7/CXCR4-ΔCTD cells and the 616-bp DNA fragment (3′-terminus) was from MCF-7/CXCR4-WT cells, indicating that the transcripts of either CXCR4-WT or CXCR4-ΔCTD were overexpressed, respectively (Fig. 1B, bottom). The fact that this latter CXCR4 primer set amplified very small amounts of cDNA derived from MCF-7, MCF-7/Vector, and MCF-7/CXCR4-ΔCTD cells indicates a low level of endogenous CXCR4 mRNA in these cells (Fig. 1B, bottom). Control samples that had not undergone reverse transcription did not yield PCR products (Co in Fig. 1B, bottom).
Figure 1.
Overexpression of CXCR4-WT and CXCR4-ΔCTD in MCF-7 cells. A, map of the recombinant retroviral vector, pBMN-IRES-EGFP. PCR products encoding CXCR4-WT (1,071 bp) and CXCR4-ΔCTD (967 bp) were subcloned into the vector. LTR, long terminal repeat; Psi (ψ), consensus sequence for viral packaging. B, top, ethidium bromide–stained RNA after agarose gel electrophoresis. Total RNA was isolated from (1) MCF-7 cells, (2) vector-transduced MCF-7 cells (MCF-7/Vector), (3) MCF-7/CXCR4-WT cells, and (4) MCF-7/CXCR4-ΔCTD cells. 28S and 18S, rRNA; EB, ethidium bromide. Middle, PCR primer sets designed to amplify CXCR4 cDNA. A primer set for the 5′-terminus of CXCR4 was used to amplify a 465-bp CXCR4 cDNA fragment (21–485 nt), and a primer set for the 3′-terminus was used to amplify a 616-bp CXCR4 cDNA fragment (425–1,040 nt). Bottom, ethidium bromide–stained reverse transcription-PCR products. DNase-treated RNA (1 μg) was denatured at 70°C for 5 minutes and then reverse transcribed in 25 μL of a reaction mixture containing 1 μmol/L oligo(dT)16 primer, 5 units avian myeloblastosis virus (AMV) reverse transcriptase (AMV-RT) with AMV-RT buffer (Promega), and 0.2 mmol/L deoxynucleotide triphosphate. The synthesized cDNA (1 μL) was amplified by PCR using a primer set for GAPDH (5′-TCATTGACCTCAACTACATGG-3′ and 5′-GAGTCCTTCCACGATACCAAA-3′, PCR product: 413 bp, 110–522 nt in open reading frame from NM_002046), a primer set for the 5′-terminal sequence of CXCR4′ (5′-CACTTCAGATAACTACACCG-3′ and 5′-ATCCAGACGCCAACATAGAC-3′, PCR product: 465 bp, 21–485 nt in open reading frame from NM_003467), and a primer set for 3′-terminal sequence of CXCR4 (5′-CAACAGTCAGAGGCCAAGG-3′ and 5′-GAAGACTCAGACTCAGTGG-3′, PCR product: 616 bp, 425–1,040 nt). PCR reactions were done thrice. Representative gel.
MCF-7/CXCR4-ΔCTD cells lost cell-to-cell contact
The morphology of MCF-7/CXCR4-ΔCTD cells changed from epithelial-to-mesenchymal (EMT)–like cells over the course of 5 to 10 passages after sorting for GFP-positive cells. However, MCF-7/Vector and MCF-7/CXCR4-WT cells retained the same epithelial morphology as the MCF-7 parental cells. Indeed, GFP emission images show that the morphologies of MCF-7/Vector and MCF-7/CXCR4-WT cells are epithelial. MCF-7/CXCR4-ΔCTD cells, however, exhibited loss of cell-to-cell contact, and the elongated ruffled edges of the cell membrane indicated lamellipodia formation. To analyze the formation of cell-to-cell contact, cells were stained with an antibody against the tight junction protein ZO-1. The presence of ZO-1 was clearly observed in MCF-7/Vector and MCF-7/CXCR4-WT cells but not in MCF-7/CXCR4-ΔCTD cells (Fig. 2A). We also analyzed the expression of E-cadherin, an adherent molecule of epithelial cell junctions. E-cadherin was clearly present in MCF-7/Vector and MCF-7/CXCR4-WT cells but absent in MCF-7/CXCR4-ΔCTD cells (Fig. 2B ). The down-regulation of E-cadherin and ZO-1 in MCF-7/CXCR4-ΔCTD was verified by immunoblot analysis (Fig. 2C). These results indicate that the morphologic changes in MCF-7/CXCR4-ΔCTD cells are consistent with the down-regulation of cell junction-associated molecules, such as ZO-1 and E-cadherin. To confirm that MCF-7/CXCR4-ΔCTD cells are indeed derived from MCF-7 cells, we analyzed single nucleotide polymorphisms (SNP) at the Vanderbilt Human Genetics Core Laboratory. The SNP-PCR with eight different probes showed that the genetic backgrounds of MCF-7/CXCR4-WT and MCF-7/CXCR4-ΔCTD cells were identical but significantly different from that of HEK 293T cells, which is used for retroviral packaging (data not shown).
Figure 2.
MCF-7/CXCR4-ΔCTD lost cell-to-cell contact. A, down-regulation of the ZO-1 in MCF-7/CXCR4-ΔCTD cells. MCF-7/Vector, MCF-7/CXCR4-WT, and MCF-7/CXCR4-ΔCTD cells were plated on glass coverslips and were fixed, permeabilized, and stained with an αZO-1 antibody followed by Alexa 594–conjugated mouse IgG, a secondary antibody. Representative Z-sectioned images (0.1 μm thick) from multiple individual experiments. B, down-regulation of E-cadherin in MCF-7/CXCR4-ΔCTD cells. MCF-7/Vector, MCF-7/CXCR4-WT, and MCF-7/CXCR4-ΔCTD cells were plated on glass coverslips and processed as stated above. Cells were stained with an αE-cadherin (E-cad) antibody followed by Alexa 594–conjugated α-mouse IgG. Representative Z-sectioned images (0.1 μm thick) from multiple individual experiments. C, protein lysates from MCF-7/Vector, MCF-7/CXCR4-WT, and MCF-7/CXCR4-ΔCTD cells were separated by SDS-PAGE and transferred to a nitrocellulose membrane. The membrane was cut at around the 60-kDa marker into two pieces containing either high or low molecular weight proteins. The proteins on the membranes were subjected to immunoblot analysis with either an αE-cadherin or an αZO-1 antibody followed by an Alexa 680–conjugated α-mouse IgG for the high molecular weight proteins or an α-actin antibody followed by an Alexa 680–conjugated α-goat antibody for the low molecular weight proteins. Immunoreactive bands were visualized by scanning the emitted IR images using the Odyssey System.
CXCR4-ΔCTD exhibited increased intracellular localization
To elucidate the events associated with the morphologic change of MCF-7/CXCR4-ΔCTD cells, we compared the localization of over-expressed CXCR4-WT and CXCR4-ΔCTD. Immunostaining with αCXCR4 antibody (clone 12G5, MAB170) showed that in MCF-7/CXCR4-WT cells the receptor was localized extensively along the cell surface (Fig. 3A). However, in >80% of MCF-7/CXCR4-ΔCTD cells, the receptor was localized strongly in the intracellular regions compared with the cell surface (Fig. 3A).
Figure 3.
Subcellular distribution and trafficking of CXCR4-WT and CXCR4-DCTD. A, CXCR4-ΔCTD exhibited increased intracellular localization. MCF-7/Vector, MCF-7/CXCR4-WT, and MCF-7/CXCR4-ΔCTD cells were grown on glass coverslips in complete growth medium, fixed, permeabilized, and stained with an αCXCR4 antibody (clone 12G5, MAB170) followed by an Alexa 594–conjugated α-mouse IgG. Fluorescent images were captured with 0.1 μm Z-stack using a Zeiss Axiophot upright microscope. The expression of CXCR4 on cell surface was analyzed by FACS analysis using antibodies as indicated. B, truncated CXCR4 interacts and colocalizes with endogenous β-arrestin (β-arr). Cells were serum starved overnight and stimulated with/without 500 ng/mL CXCL12 for 5 minutes at 37°C. The cells were fixed with 4% paraformaldehyde and permeabilized with 0.2% Triton X-100. CXCR4 was probed with mouse monoclonal antibody (clone 12G5, MAB170) and β-arrestin2 with goat polyclonal anti-β-arrestin2 antibody (cross-reacts to a lesser extent to β-arrestin1, sc-6387). The receptor was visualized with Cy3 donkey anti-mouse antibody (715-165-150, Jackson ImmunoResearch) and β-arrestin2 was visualized through sequential binding of rabbit anti-goat antibody (BA-5000, Vector Laboratories, Burlingame, CA) and Cy5-donkey anti-rabbit antibody (711-175-152, Jackson ImmunoResearch). White arrows, vesicles where CXCR4 receptor and β-arrestin2 colocalize in transduced MCF-7 cells.
C, altered trafficking and distribution profile of CXCR4-ΔCTD. Cells were serum starved overnight and stimulated with vehicle [0.1% bovine serum albumin (BSA)/PBS; Untreated] or 500 ng/mL CXCL12 for 30 or 60 minutes. Immunofluorescence staining using αCXCR4 (clone 44708, MAB171) and αRab11a was done, and confocal images were taken with a slice thickness of 0.48 μm. Overlay images are pseudocolored. Red, CXCR4; green, Rab11a.
This differential distribution of CXCR4 by epifluorescence images was consistent with the CXCR4 cell surface labeling through fluorescence-activated cell sorting analysis. The control labeling with normal IgG did not show any shift in fluorescent intensities among MCF-7/Vector, MCF-7/CXCR4-WT, or MCF-7/CXCR4-ΔCTD cells (Fig. 3A, bottom). The αCXCR4 antibody (clone 12G5) bound to MCF-7/CXCR4-WT cells, increasing the mean emission level of PE. However, the emission level of PE was similar in MCF-7/CXCR4-ΔCTD and MCF-7/CXCR4/Vector cells (Fig. 3A, bottom).
To explore whether β-arrestins regulate CXCR4 trafficking, MCF-7/Vector, MCF-7/CXCR4-WT, and MCF-7/CXCR4-ΔCTD cells were stimulated with CXCL12 and the localization pattern of CXCR4 and endogenous β-arrestin was investigated using confocal microscopy. In unstimulated MCF-7/Vector cells, the staining of CXCR4 was very low, and the endogenous β-arrestin was distributed mainly in the cytoplasm and to a lesser extent at the plasma membrane (Fig. 3B, top row). Due to the very faint staining of CXCR4 in MCF-7/Vector cells, ligand activated colocalization of β-arrestin with CXCR4 is not determined. In the unstimulated MCF-7/CXCR4-WT cells, WT receptor localizes in the plasma membrane, but there is no distinct colocalization pattern of the receptor with the β-arrestin. CXCL12-activated CXCR4-WT receptor traffics to intracellular compartments close to the plasma membrane, and this pattern indicated the colocalization with the β-arrestin in several discrete vesicles (Fig. 3B). In unstimulated MCF-7/CXCR4-ΔCTD cells, the truncated receptor was distributed mainly in the perinuclear compartments (diffuse staining pattern) and at the membrane ruffles. The β-arrestin was also mainly at the perinuclear area and at the leading edge and colocalized with the truncated receptor at these leading edges (Fig. 3B). On CXCL12 activation, the truncated receptor localized to vesicles just below the plasma membrane and in the perinuclear area. The immunostaining pattern indicated that the truncated receptor colocalized with β-arrestin in these vesicles (Fig. 3B).
Another αCXCR4 antibody (clone 44708, MAB171), which seems to recognize the receptor conformation in the endosomal compartments, was used to examine the endosomal trafficking of CXCR4 in MCF-7 cells. This CXCR4 antibody did exhibit some staining of vector control cells, whereas clone 12G5 (MAB170) did not. In the absence of CXCL12, CXCR4-WT is localized on the plasma membrane, whereas CXCR4-ΔCTD largely colocalized with Rab11a, a marker for recycling endosomes (Fig. 3C). After 30 minutes of ligand stimulation, CXCR4-WT receptors were completely internalized into distinct cytoplasmic vesicles, and after 60 minutes of ligand stimulation, the receptors colocalize with the Rab11a recycling compartment (Fig. 3C). In contrast to WT receptors, after 30 minutes of ligand treatment, CXCR4-ΔCTD was completely internalized and colocalized with the Rab11a recycling compartment with concomitant disappearance of the receptors at the membrane ruffles. After 60 minutes of ligand stimulation, the CXCR4-ΔCTD returned to the membrane ruffles, resembling the unstimulated state. These images showed that (a) CXCR4-WT was predominantly expressed on the plasma membrane but CXCR4-ΔCTD was predominantly internalized and (b) both receptors at the plasma membrane internalized with the CXCL12 stimulation and sorted to the recycling compartment in a different manner. These differences could result from either (a) a shorter resident time on the membrane of CXCR4-ΔCTD, (b) a higher rate of internalization of CXCR4-ΔCTD, or (c) the recycling inhibition of most CXCR4-ΔCTD.
MCF-7/CXCR4-ΔCTD cells exhibited increased cell motility
MCF-7/CXCR4-ΔCTD cells frequently exhibited lamellipodia formation compared with MCF-7/CXCR4-WT cells or vector-transduced control cells. To determine the difference in cell motility, an in vitro wound closure assay was done. Wounds in the MCF-7/Vector and MCF-7/CXCR4-WT cell monolayers had not closed 18 hours after wounding (Fig. 4A, b and d), whereas wounds in the MCF-7/CXCR4-ΔCTD cell monolayers had closed at this time (Fig. 4A, f). To determine whether the enhanced motility in MCF-7/CXCR4-ΔCTD cells is related to the higher CXCL12 levels, we analyzed the endogenous secretion of CXCL12 by ELISA. The secreted CXCL12 levels were not significantly different among MCF-7/Vector, MCF-7/CXCR4-WT, and MCF-7/CXCR4-ΔCTD cells. CXCL12 was <100 pg/105 cells cultured in complete growth medium (Fig. 4B) and undetectable when cells were cultured in serum-free medium (data not shown).
Figure 4.
MCF-7/CXCR4-ΔCTD cells exhibited increased cell motility. A, wound closure cell motility assay. MCF-7/Vector, MCF-7/CXCR4-WT, and MCF-7/CXCR4-ΔCTD cells were allowed to reach confluence in complete growth medium on glass coverslips in six-well plates and then scratched with a pipette tip to make wounds (a, c, and e). The closure of the wounds was monitored by microscopy after 18 hours (b, d, and f). Representative data from two individual experiments. B, quantitation of CXCL12 secreted into the medium. The endogenous secretions of CXCL12 (pg/105 cells) from MCF-7/Vector, MCF-7/CXCR4-WT, and MCF-7/CXCR4-ΔCTD cells in complete growth medium for 18 hours were measured by the ELISA analysis. The ELISA value in serum-free medium was not detected (data not shown). Representative data from two individual experiments. C, chemokinesis assay. Chemokinesis was measured using a 96-well chamber and 10 μm pore polycarbonate membrane filter. The filter membrane was soaked in a assay buffer solution (DMEM with 1 mg/mL BSA) containing 1 mg/mL collagen IV for 2 hours. MCF-7/Vector, MCF-7/CXCR4-WT, and MCF-7/CXCR4-ΔCTD cells were lifted with the Cell Dissociation Buffer, and 105 cells in 200 μL chemotaxis buffer were plated in the top chamber. Cells were incubated in the assay buffer with 50 ng/mL CXCL12 in both upper and lower chambers. After 4.5-hour incubation, cells migrated to the underside of the filters and were fixed with Diff-Quik (DADE Behring, Inc., Miami, FL). They were then stained with 1% crystal violet and counted by bright-field microscopy at ×200 magnification in five random fields. Representative data from one of three experiments. D, chemotaxis assay. The chemotaxis assay was done as the same condition/preparation as the chemokinesis assay as stated above, except that 0 to 250 ng/mL CXCL12 was added only in the lower chamber. Representative data from one of three experiments.
To further evaluate the enhanced motility of CXCR4-ΔCTD cells, chemokinesis and chemotaxis assays (concentration range, 0–250 ng/mL CXCL12) were done. MCF-7/CXCR4-ΔCTD exhibited 7- to 8-fold higher motility, compared with MCF-7/CXCR4-WT or vector-transduced control cells, independent of the presence of CXCL12 (Fig. 4C). MCF-7/CXCR4-WT cells chemotaxed in response to CXCL12, presenting the typical normal distribution (Fig. 4D), whereas the MCF-7/CXCR4-ΔCTD cells exhibited a high motility even without CXCL12 and were largely irresponsive to a CXCL12 gradient (Fig. 4D).
MCF-7/CXCR4-ΔCTD cells exhibited increased cell proliferation and ERK activation
The proliferation rate of MCF-7/CXCR4-ΔCTD cells seemed to be faster than that of MCF-7/Vector or MCF-7/CXCR4-WT cells during the maintenance of these cultures. Therefore, growth of these cells was monitored by MTT assay over a 5-day period. MCF-7/Vector and MCF-7/CXCR4-WT cells had comparable growth rates in the MTT assay, but MCF-7/CXCR4-ΔCTD cells exhibited a higher growth rate (Fig. 5A). The estimated doubling time for MCF-7/Vector and MCF-7/CXCR4-WT cells was 50 hours, whereas that for the MCF-7/CXCR4-ΔCTD cells was 35 hours. The proliferation rate of MCF-7/CXCR4-ΔCTD cells, as determined by counting the number of cells, was also higher than that of MCF-7/Vector or MCF-7/CXCR4-WT cells (data not shown).
Figure 5.
MCF-7/CXCR4-ΔCTD cells exhibited increased cell proliferation. A, MTT assay for MCF-7/Vector, MCF-7/CXCR4-WT, and MCF-7/CXCR4-ΔCTD cells. Cells were plated in 24-well plates (2 × 104 per well) and incubated with MTT for 4 hours every 5 days. The product, formazan crystal, was dissolved in isopropanol containing 0.4 N hydrochloric acid, and the absorption at 570 nm was measured by a spectrophotometer. Each measure of absorbance was normalized by subtracting the nonspecific absorbance at 590 nm. SEs were derived using data from triplicate wells. The normalized absorbance value at day 0 was set as 1, and the following normalized measurements were represented as the fold increase. During cell culture, the culture medium was changed every 2 days. Representative data from three individual experiments. B and C, constitutive ERK2 activation in CXCR4-ΔCTD cells. Cells were treated with 50 μmol/L MEKK inhibitor PD98059 for 3 hours or 100 ng/mL CXCL12 (human SDF-1α) before cell lysis. The antibodies (200 ng/mL) used were αERK2 (sc-1647) and α-phosphorylated ERK1/2 (V-8031). Immunoreactive protein bands were visualized by scanning the emitted IR images of Alexa 680– and Alexa 800–conjugated secondary antibodies using the Odyssey System.
Because a strong correlation between cell proliferation and ERK activation has been reported in breast cancer, we examined ERK activation with/without 50 μmol/L MAPK kinase inhibitor PD98059 in the CXCR4-expressing MCF-7 cells. Results showed that the level of phosphorylated ERK is increased constitutively in MCF-7/CXCR4-ΔCTD cells compared with MCF-7/Vector and MCF-7/CXCR4-WT cells (Fig. 5C). The addition of CXCL12 induced ERK activation in MCF-7/CXCR4-WT but not in MCF-7/Vector cells (Fig. 5C).
Microarray analysis of gene expression revealed that genes associated with mesenchymal cells are up-regulated and genes associated with epithelial cells are down-regulated in MCF-7/CXCR4-ΔCTD cells
To understand the possible reasons for the loss of cell-to-cell contact in MCF-7/CXCR4-ΔCTD cells, we analyzed the differentially expressed genes in these cultures using a human 30,000 microarray. Total RNA was electrophoresed to measure RNA integrity (Fig. 6A). Human oligoarray data were selected according to two criteria: (a) differential expression is represented as a Cy5/Cy3 intensity ratio greater than 3 and (b) the function of the differentially expressed genes had already been characterized. In the Supplementary Data I comparing the gene expression in MCF-7/CXCR4-WT cells with that in MCF-7/Vector cells, 967 up-regulated genes and 991 down-regulated genes are listed. In the Supplementary Data II comparing the gene expression in MCF-7/CXCR4-WT cells with that in MCF-7/CXCR4-ΔCTD cells, 2,062 up-regulated and 2,415 down-regulated genes are listed. Among these differentially expressed genes, the up-regulation of CXCR4 was confirmed in MCF-7/CXCR4-WT and MCF-7/CXCR4-ΔCTD cells (Fig. 6B). The down-regulation of E-cadherin, ZO-3, and ZO-1 was confirmed in MCF-7/CXCR4-ΔCTD cells (Fig. 5B), supporting the Western and immunocytochemistry data presented in Figs. 2 and 3. The differentially expressed genes possibly related to cell proliferation and EMT were explored in this array analysis, and the relationship between these genes was graphed (Fig. 6B). In MCF-7/CXCR4-ΔCTD cells, the cell polarity protein gene PAR-6 is down-regulated, but mesenchymal markers, including vimentin (VIM), fibronectin-1 (FN1), and SNAIL homologue-2 (SNAIL-2), are up-regulated. In MCF-7/CXCR4-ΔCTD cells, growth factor receptors, including epidermal growth factor receptor (EGFR), fibroblast growth factor receptor-1 (FGFR1), and transforming growth factor-β receptors I and II (TGFBR1 and TGFBR2), are also up-regulated. We repeated the array analysis with the same human 30,000 gene array (Vanderbilt Microarray Core Laboratory) and a different human microarray system, ABI platform (32,878 probes), and similar profiles of differentially expressed genes were obtained (data not shown).
Figure 6.
Differential gene expression revealed that mesenchymal-related genes are up-regulated and epithelial-related genes are down-regulated in MCF-7/CXCR4-ΔCTD cells. A, RNA integrity index. Total RNA was isolated from MCF-7/Vector, MCF-7/CXCR4-WT, and MCF-7/ΔCTD cells and treated with DNase. The electrophoresis of RNA in the Eukaryote Total RNA Nano-DE114000902 resulted in a 99 percentile RNA integrity index value. B, list of differentially expressed genes identified by microarray analysis. MCF-7/CXCR4-WT-derived total RNA was reverse transcribed into cDNA with Cy5 labeling. MCF-7/Vector-derived RNA and MCF-7/CXCR4-ΔCDT-derived RNA were reverse transcribed into cDNA with Cy3 labeling. The labeled cDNA was hybridized to a human 30,000 oligoarray and the fluorescent ratio, Cy5/Cy3, was analyzed with GeneSpring software. The array data in Supplementary Data are represented as the fold change in gene expression comparing the gene expression in MCF-7/CXCR4-WT cells with that in MCF-7/Vector cells and comparing the gene expression in MCF-7/CXCR4-WT cells with that in MCF-7/CXCR4-ΔCTD cells. The genes possibly related to cell proliferation and EMT in this array analysis are listed in the table and the relationship between these genes is graphed (Fig. 5B). WT, MCF-7/CXCR4-WT cells; ΔCTD, MCF-7/CXCR4-ΔCTD cells; Vector, MCF-7/Vector cells; ↔, not a significant differential expression ratio (<3-fold) of Cy5/Cy3. In Supplementary Data I and II, all up-regulated or down-regulated genes with >3-fold differences in expression are listed.
Discussion
In polarized epithelia, tight junctions and adherent junctions maintain cell-to-cell contacts between neighboring cells. Tight junctions contain transmembrane proteins connected to the cyto-skeleton via a protein network, including ZO. In epithelial adherent junctions, the transmembrane protein E-cadherin is connected to actin through several submembrane proteins, including β-catenin. Studies described in this report show that MCF-7/CXCR4-ΔCTD cells exhibited an EMT-like morphologic change that was accompanied by the down-regulation of E-cadherin and ZO-1 (Fig. 2). This down-regulation of E-cadherin and ZO1 is highly significant because any dissociation or down-regulation of protein complexes in tight junctions and adherent junctions will lead to an increase in cell motility and can have a significant effect on tumor progression (25). Indeed, CXCR4-ΔCTD-expressing MCF-7 cells exhibited enhanced motility but loss of directed motility responses. Prior studies have linked the CTD of chemokine receptors to altered trafficking and biological response to chemokine.
In the absence of CXCL12, overexpressed CXCR4-WT was largely present on the cell surface, whereas overexpressed CXCR4-ΔCTD was primarily localized intracellularly and also associated with the plasma membrane ruffled edges (Fig. 3B and C). Many GPCRs are known to undergo endocytosis after binding to their ligands (26). Specific steps in this pathway generally include (a) phosphorylation of serine residues on the GPCR-CTD; (b) binding of arrestin to the phosphorylated CTD, which recruits clathrin and the clathrin-associated AP-2; and (c) invagination and scission of the clathrin-coated vesicle by dynamin molecules (27, 28). However, some mutant GPCRs that cannot be phosphorylated on their CTD domains internalize without the arrestin binding, suggesting that either arrestin is capable of binding other receptor domains or β-arrestin is not necessary for GPCR internalization (29, 30). It is also known that CXCR4 spontaneously oligomerizes without the stimulation of CXCL12 (31). Indeed, a constitutive internalization of CXCR4 in the absence of CXCL12 has been reported in various cell lines of (a) epithelial and neutrophil cells (32, 33), (b) T and B cells (34), (c) cutaneous Langerhans cells (35), and (d) human hematopoietic progenitor cells (36). Interestingly, in rat leukemia cells, transduced CXCR4-ΔCTD is also internalized in response to stimulation by CXCL12 (37). These previous studies suggest that (a) CXCR4 internalization occurs as both ligand-dependent and ligand-independent processes and (b) the CTD of CXCR4 may aid but is not required for receptor endocytosis. Internalized GPCRs can undergo one of two fates: degradation or recycling back to the plasma membrane. In arrestin-deficient cells, GPCRs are trapped in the perinuclear recycling compartments and are not recycled to the plasma membrane, indicating that GPCR can internalize in the absence of arrestin but cannot be recycled to the cell surface (38).
In CXCL12-stimulated MCF-7/CXCR4-WT cells, the WT receptor was internalized in a β-arrestin-dependent manner (Fig. 3B) and seemed to be sorted to vesicles just below the membrane, possibly early endosomes. However, a subset of the receptor population in discrete cytoplasmic vesicles did not colocalize with β-arrestin. This may be due to internalization of WT receptors through alternative routes, such as lipid raft or caveolin-mediated pathways (39).
In unstimulated MCF-7/CXCR4-ΔCTD cells, the rate of internalization of the truncated receptors may exceed the rate of recycling leading to net predominant perinuclear localization, which may reflect the predominant perinuclear localization in these cells. In contrast, in the CXCL12-stimulated MCF-7/CXCR4-ΔCTD cells, the truncated receptor colocalized with the β-arrestin in several discrete vesicles in the endosomes near the plasma membrane and in the perinuclear compartment. These truncated CXCR4 proteins were bound to β-arrestin as shown in Fig. 3B. This result is not surprising because β-arrestin has been shown to bind not only to the CTD of CXCR4 but also to the third loop of the intracellular domain (40). In the case of truncated CXCR4, the absence of the CTD may continuously expose the third cytoplasmic loop and that may partially explain ligand-independent internalization. This explanation of the association of the CXCR4-ΔCTD with β-arrestin is consistent with the observation that for the GPCR rhodopsin the COOH-terminal tail folds back and covers the third cytoplasmic loop in the inactive state and then moves away to expose the loop when the receptor is activated.
Immunostaining showed that in the absence of ligand the majority of the overexpressed truncated receptor colocalized in the perinuclear recycling compartment (Fig. 3C). These data suggest that in MCF-7/CXCR4-ΔCTD cells the CXCR4-ΔCTD may undergo ligand-independent internalization and recycling. It is also important to note that the CTD domain of CXCR4, like that of other GPCRs, contains a degradation motif, SSLKILSKGK, in which three lysine residues can be ubiquitinated. This ligand-induced ubiquitination leads to lysosomal sorting and degradation of CXCR4 (41). CXCR4-ΔCTD may also be resistant to ubiquitin-mediated degradation due to the lack of the degradation motif contained in the CTD. This resistance to ubiquitin-mediated degradation may result in enhanced localization of CXCR4-ΔCTD in the recycling compartment.
MCF-7/CXCR4-ΔCTD cells also exhibited constitutive activation of ERK (Fig. 5). ERK is activated by both intact GPCR and CTD-truncated GPCR in different activation patterns: CTD-dependent ERK activation is sensitive to ligand, but CTD-independent ERK activation is less sensitive to ligand (42). The CTD-binding protein β-arrestin is known to desensitize G-protein-mediated signaling and activate ERKs (43). The endocytosed GPCR/arrestin complex can recruit several signaling molecules, including Src family tyrosine kinases, which activate ERK and JNK MAPK cascades (43, 44). Interestingly, microarray analysis revealed an increased expression of β-arrestin1 in MCF-7/CXCR4-ΔCTD cells compared with CXCR4-WT cells.
Microarray data also showed that MCF-7/CXCR4-WT cells exhibited down-regulation of (a) mesenchymal markers, such as VIM, integrin α6, and FN1, and (b) tumor markers, such as plasminogen activator and EGFR (Fig. 5B). The array data consistently indicated that in MCF-7/CXCR4-WT cells overexpressed CXCR4 silences downstream effectors of tumorigenic progression. Overexpressed wild-type receptors may retain normal functions, including the ability for negative feedback and self-repression. WNT-1-inducible signaling protein-3 plays a role as a tumor suppressor in inflammatory breast cancer (45) and is significantly down-regulated in MCF-7/CXCR4-ΔCTD, which may turn on WNT signaling. The expression level of β-catenin in the WNT signaling pathway was unchanged among MCF-7/Vector, MCF-7/CXCR4-WT, and MCF-7/CXCR4-ΔCTD cells in our micro-array analysis. However, activated WNT signaling may increase β-catenin phosphorylation and hence disrupt binding to E-cadherin. The reduced E-cadherin expression in MCF-7/CXCR4-ΔCTD cells may reinforce the nuclear localization of β-catenin. This relationship between the down-regulation of E-cadherin and the cellular localization of β-catenin in MCF-7/CXCR4-ΔCTD cells must be further investigated. The array data also suggest that growth factor receptor-mediated signaling pathways involving FGFR1, EGFR, TGFBRI, and TGFBRII are activated in MCF-7/CXCR4-ΔCTD cells. Although the expression level of human epidermal growth factor receptor 2 (HER-2 or ErbB2) did not change significantly, ErbB2-interacting protein (the activator of ErbB2 signaling) was up-regulated and the transducer of ErbB2 type 1 (the inhibitor of ErbB2 signaling) was down-regulated in the microarray analysis. This indicates that ErbB2 signaling may also be activated in MCF-7/CXCR4-ΔCTD cells. The SNAIL protein was also up-regulated in MCF-7/CXCR4-ΔCTD cells. SLUG/SNAIL proteins are transcription repressors for the E-cadherin promoter and are up-regulated by FGFR, TGFBR, EGFR, and HER-2 receptors (46). We also noticed a significant down-regulation of PAR-6, an apical-basal polarity regulatory protein in tight junctions in MCF-7/CXCR4-ΔCTD cells (Fig. 5B), which may lead to disruption of tight junction formation.
We showed that the presence of CXCR4-ΔCTD may be related to the constitutive activation of ERK in breast cells. This may propagate growth factor receptor-mediated signaling leading to the down-regulation of E-cadherin and ZO-1. This is not an unexpected finding because other mutated GPCRs have been shown to be constitutively active and promote tumorigenesis (47). The CTD truncation of CXCR4 is known to have a significant influence on intracellular signaling in vivo. In contrast to our study, lymphocytes from patients with the WHIM syndrome exhibit enhanced chemotaxis in response to CXCL12 (19, 48). CXCR4/CXCL12-mediated chemotaxis is essential for B-cell lymphopoiesis (4) and for the invasion of immune host cells by the HIV (7–9). Moreover, CXCR4 is widely overexpressed in different types of malignant cancers, including lymphoma, carcinoma, and sarcoma (1, 11). We showed here that the CXCR4-ΔCTD exhibits an altered trafficking pattern in association with enhanced proliferation and motility of breast epithelial carcinoma cells, which was accompanied by the down-regulation of E-cadherin and ZO-1. These data clearly link chemokine receptor trafficking to biological functional responses to chemokines and reinforce prior observations that the virus-encoding GPCR is constitutively active in a ligand-independent manner and that these receptors promote tumorigenicity (49).
Supplementary Material
Acknowledgments
Grant support: National Cancer Institute grant CA34590 and Department of Veterans Affairs.
We thank Vanderbilt Microarray Laboratory, Vanderbilt Cell Imaging Shared Resource, Veterans Affairs Flow Cytometry Resource, Dr. James Goldenring for the Rab11a antibody, Snjezana Milatovic for immunostaining, and Linda Horton and Kevin Vo for laboratory assistance.
Footnotes
Note: Supplementary data for this article are available at Cancer Research Online (http://cancerres.aacrjournals.org/).
References
- 1.Balkwill F. The significance of cancer cell expression of the chemokine receptor CXCR4. Semin Cancer Biol. 2004;14:171–9. doi: 10.1016/j.semcancer.2003.10.003. [DOI] [PubMed] [Google Scholar]
- 2.Richmond A. NF-κB, chemokine gene transcription and tumour growth. Nat Rev Immunol. 2002;2:664–74. doi: 10.1038/nri887. [DOI] [PMC free article] [PubMed] [Google Scholar]
- 3.Premack BA, Schall TJ. Chemokine receptors: gate-ways to inflammation and infection. Nat Med. 1996;2:1174–8. doi: 10.1038/nm1196-1174. [DOI] [PubMed] [Google Scholar]
- 4.Nagasawa T, Nakajima T, Tachibana K, et al. Molecular cloning and characterization of a murine pre-B-cell growth-stimulating factor/stromal cell-derived factor 1 receptor, a murine homolog of the human immunodeficiency virus 1 entry coreceptor fusin. Proc Natl Acad Sci U S A. 1996;93:14726–9. doi: 10.1073/pnas.93.25.14726. [DOI] [PMC free article] [PubMed] [Google Scholar]
- 5.Tachibana K, Hirota S, Iizasa H, et al. The chemokine receptor CXCR4 is essential for vascularization of the gastrointestinal tract. Nature. 1998;393:591–4. doi: 10.1038/31261. [DOI] [PubMed] [Google Scholar]
- 6.Knaut H, Werz C, Geisler R, Nusslein-Volhard C. A zebrafish homologue of the chemokine receptor Cxcr4 is a germ-cell guidance receptor. Nature. 2003;421:279–82. doi: 10.1038/nature01338. [DOI] [PubMed] [Google Scholar]
- 7.Bleul CC, Wu L, Hoxie JA, Springer TA, Mackay CR. The HIV coreceptors CXCR4 and CCR5 are differentially expressed and regulated on human T lymphocytes. Proc Natl Acad Sci U S A. 1997;94:1925–30. doi: 10.1073/pnas.94.5.1925. [DOI] [PMC free article] [PubMed] [Google Scholar]
- 8.Oberlin E, Amara A, Bachelerie F, et al. The CXC chemokine SDF-1 is the ligand for LESTR/fusin and prevents infection by T-cell-line-adapted HIV-1. Nature. 1996;382:833–5. doi: 10.1038/382833a0. [DOI] [PubMed] [Google Scholar]
- 9.Scarlatti G, Tresoldi E, Bjorndal A, et al. In vivo evolution of HIV-1 co-receptor usage and sensitivity to chemokine-mediated suppression. Nat Med. 1997;3:1259–65. doi: 10.1038/nm1197-1259. [DOI] [PubMed] [Google Scholar]
- 10.Zou YR, Kottmann AH, Kuroda M, Taniuchi I, Littman DR. Function of the chemokine receptor CXCR4 in haematopoiesis and in cerebellar development. Nature. 1998;393:595–9. doi: 10.1038/31269. [DOI] [PubMed] [Google Scholar]
- 11.Darash-Yahana M, Pikarsky E, Abramovitch R, et al. Role of high expression levels of CXCR4 in tumor growth, vascularization, and metastasis. FASEB J. 2004;18:1240–2. doi: 10.1096/fj.03-0935fje. [DOI] [PubMed] [Google Scholar]
- 12.Ganju RK, Brubaker SA, Meyer J, et al. The α-chemokine, stromal cell-derived factor-1α, binds to the transmembrane G-protein-coupled CXCR-4 receptor and activates multiple signal transduction pathways. J Biol Chem. 1998;273:23169–75. doi: 10.1074/jbc.273.36.23169. [DOI] [PubMed] [Google Scholar]
- 13.Hamm HE. The many faces of G protein signaling. J Biol Chem. 1998;273:669–72. doi: 10.1074/jbc.273.2.669. [DOI] [PubMed] [Google Scholar]
- 14.Bockaert J, Fagni L, Dumuis A, Marin P. GPCR interacting proteins (GIP) Pharmacol Ther. 2004;103:203–21. doi: 10.1016/j.pharmthera.2004.06.004. [DOI] [PubMed] [Google Scholar]
- 15.Sun Y, Cheng Z, Ma L, Pei G. β-Arrestin2 is critically involved in CXCR4-mediated chemotaxis, and this is mediated by its enhancement of p38 MAPK activation. J Biol Chem. 2002;277:49212–9. doi: 10.1074/jbc.M207294200. [DOI] [PubMed] [Google Scholar]
- 16.McDonald PH, Lefkowitz RJ. β-Arrestins: new roles in regulating heptahelical receptors’ functions. Cell Signal. 2001;13:683–9. doi: 10.1016/s0898-6568(01)00203-0. [DOI] [PubMed] [Google Scholar]
- 17.Shenoy SK, Lefkowitz RJ. Trafficking patterns of β-arrestin and G protein-coupled receptors determined by the kinetics of β-arrestin deubiquitination. J Biol Chem. 2003;278:14498–506. doi: 10.1074/jbc.M209626200. [DOI] [PubMed] [Google Scholar]
- 18.Tilton B, Ho L, Oberlin E, et al. Signal transduction by CXC chemokine receptor 4. Stromal cell-derived factor 1 stimulates prolonged protein kinase B and extracellular signal-regulated kinase 2 activation in T lymphocytes. J Exp Med. 2000;192:313–24. doi: 10.1084/jem.192.3.313. [DOI] [PMC free article] [PubMed] [Google Scholar]
- 19.Diaz GA. CXCR4 mutations in WHIM syndrome: a misguided immune system? Immunol Rev. 2005;203:235–43. doi: 10.1111/j.0105-2896.2005.00226.x. [DOI] [PubMed] [Google Scholar]
- 20.Muller A, Homey B, Soto H, et al. Involvement of chemokine receptors in breast cancer metastasis. Nature. 2001;410:50–6. doi: 10.1038/35065016. [DOI] [PubMed] [Google Scholar]
- 21.Epstein RJ. The CXCL12-CXCR4 chemotactic pathway as a target of adjuvant breast cancer therapies. Nat Rev Cancer. 2004;4:901–9. doi: 10.1038/nrc1473. [DOI] [PubMed] [Google Scholar]
- 22.Hall JM, Korach KS. Stromal cell-derived factor 1, a novel target of estrogen receptor action, mediates the mitogenic effects of estradiol in ovarian and breast cancer cells. Mol Endocrinol. 2003;17:792–803. doi: 10.1210/me.2002-0438. [DOI] [PubMed] [Google Scholar]
- 23.Ueda Y, Wang S, Dumont N, et al. Overexpression of HER2 (erbB2) in human breast epithelial cells unmasks transforming growth factor β-induced cell motility. J Biol Chem. 2004;279:24505–13. doi: 10.1074/jbc.M400081200. [DOI] [PubMed] [Google Scholar]
- 24.Sai J, Fan GH, Wang D, Richmond A. The C-terminal domain LLKIL motif of CXCR2 is required for ligand-mediated polarization of early signals during chemotaxis. J Cell Sci. 2004;117:5489–96. doi: 10.1242/jcs.01398. [DOI] [PMC free article] [PubMed] [Google Scholar]
- 25.Liu H, Radisky DC, Wang F, Bissell MJ. Polarity and proliferation are controlled by distinct signaling pathways downstream of PI3-kinase in breast epithelial tumor cells. J Cell Biol. 2004;164:603–12. doi: 10.1083/jcb.200306090. [DOI] [PMC free article] [PubMed] [Google Scholar]
- 26.Krupnick JG, Benovic JL. The role of receptor kinases and arrestins in G protein-coupled receptor regulation. Annu Rev Pharmacol Toxicol. 1998;38:289–319. doi: 10.1146/annurev.pharmtox.38.1.289. [DOI] [PubMed] [Google Scholar]
- 27.Goodman OB, Jr, Krupnick JG, Santini F, et al. β-Arrestin acts as a clathrin adaptor in endocytosis of the β2-adrenergic receptor. Nature. 1996;383:447–50. doi: 10.1038/383447a0. [DOI] [PubMed] [Google Scholar]
- 28.Merrifield CJ, Perrais D, Zenisek D. Coupling between clathrin-coated-pit invagination, cortactin recruitment, and membrane scission observed in live cells. Cell. 2005;121:593–606. doi: 10.1016/j.cell.2005.03.015. [DOI] [PubMed] [Google Scholar]
- 29.Bennett TA, Foutz TD, Gurevich VV, Sklar LA, Prossnitz ER. Partial phosphorylation of the N-formyl peptide receptor inhibits G protein association independent of arrestin binding. J Biol Chem. 2001;276:49195–203. doi: 10.1074/jbc.M106414200. [DOI] [PubMed] [Google Scholar]
- 30.Malecz N, Bambino T, Bencsik M, Nissenson RA. Identification of phosphorylation sites in the G protein-coupled receptor for parathyroid hormone. Receptor phosphorylation is not required for agonist-induced internalization. Mol Endocrinol. 1998;12:1846–56. doi: 10.1210/mend.12.12.0203. [DOI] [PubMed] [Google Scholar]
- 31.Babcock GJ, Farzan M, Sodroski J. Ligand-independent dimerization of CXCR4, a principal HIV-1 coreceptor. J Biol Chem. 2003;278:3378–85. doi: 10.1074/jbc.M210140200. [DOI] [PubMed] [Google Scholar]
- 32.Tarasova NI, Stauber RH, Michejda CJ. Spontaneous and ligand-induced trafficking of CXC-chemokine receptor 4. J Biol Chem. 1998;273:15883–6. doi: 10.1074/jbc.273.26.15883. [DOI] [PubMed] [Google Scholar]
- 33.Leterrier C, Bonnard D, Carrel D, Rossier J, Lenkei Z. Constitutive endocytic cycle of the CB1 cannabinoid receptor. J Biol Chem. 2004;279:36013–21. doi: 10.1074/jbc.M403990200. [DOI] [PubMed] [Google Scholar]
- 34.Forster R, Kremmer E, Schubel A, et al. Intracellular and surface expression of the HIV-1 coreceptor CXCR4/fusin on various leukocyte subsets: rapid internalization and recycling upon activation. J Immunol. 1998;160:1522–31. [PubMed] [Google Scholar]
- 35.Zaitseva M, Blauvelt A, Lee S, et al. Expression and function of CCR5 and CXCR4 on human Langerhans cells and macrophages: implications for HIV primary infection. Nat Med. 1997;3:1369–75. doi: 10.1038/nm1297-1369. [DOI] [PubMed] [Google Scholar]
- 36.Zhang Y, Foudi A, Geay JF, et al. Intracellular localization and constitutive endocytosis of CXCR4 in human CD34+ hematopoietic progenitor cells. Stem Cells. 2004;22:1015–29. doi: 10.1634/stemcells.22-6-1015. [DOI] [PubMed] [Google Scholar]
- 37.Haribabu B, Richardson RM, Fisher I, et al. Regulation of human chemokine receptors CXCR4. Role of phosphorylation in desensitization and internalization. J Biol Chem. 1997;272:28726–31. doi: 10.1074/jbc.272.45.28726. [DOI] [PubMed] [Google Scholar]
- 38.Vines CM, Revankar CM, Maestas DC, et al. N-formyl peptide receptors internalize but do not recycle in the absence of arrestins. J Biol Chem. 2003;278:41581–4. doi: 10.1074/jbc.C300291200. [DOI] [PubMed] [Google Scholar]
- 39.Estall JL, Yusta B, Drucker DJ. Lipid raft-dependent glucagon-like peptide-2 receptor trafficking occurs independently of agonist-induced desensitization. Mol Biol Cell. 2004;15:3673–87. doi: 10.1091/mbc.E03-11-0825. [DOI] [PMC free article] [PubMed] [Google Scholar]
- 40.Cheng ZJ, Zhao J, Sun Y, et al. β-Arrestin differentially regulates the chemokine receptor CXCR4-mediated signaling and receptor internalization, and this implicates multiple interaction sites between β-arrestin and CXCR4. J Biol Chem. 2000;275:2479–85. doi: 10.1074/jbc.275.4.2479. [DOI] [PubMed] [Google Scholar]
- 41.Marchese A, Benovic JL. Agonist-promoted ubiquitination of the G protein-coupled receptor CXCR4 mediates lysosomal sorting. J Biol Chem. 2001;276:45509–12. doi: 10.1074/jbc.C100527200. [DOI] [PubMed] [Google Scholar]
- 42.Chen PW, Kroog GS. Alterations in receptor expression or agonist concentration change the pathways gastrin-releasing peptide receptor uses to regulate extracellular signal-regulated kinase. Mol Pharmacol. 2004;66:1625–34. doi: 10.1124/mol.104.001206. [DOI] [PubMed] [Google Scholar]
- 43.Luttrell LM, Lefkowitz RJ. The role of β-arrestins in the termination and transduction of G-protein-coupled receptor signals. J Cell Sci. 2002;115:455–65. doi: 10.1242/jcs.115.3.455. [DOI] [PubMed] [Google Scholar]
- 44.Buchanan FG, Gorden DL, Matta P, et al. Role of β-arrestin 1 in the metastatic progression of colorectal cancer. Proc Natl Acad Sci U S A. 2006;103:1492–7. doi: 10.1073/pnas.0510562103. [DOI] [PMC free article] [PubMed] [Google Scholar]
- 45.Kleer CG, Zhang Y, Pan Q, Merajver SD. WISP3 (CCN6) is a secreted tumor-suppressor protein that modulates IGF signaling in inflammatory breast cancer. Neoplasia. 2004;6:179–85. doi: 10.1593/neo.03316. [DOI] [PMC free article] [PubMed] [Google Scholar]
- 46.Cano A, Perez-Moreno MA, Rodrigo I, et al. The transcription factor snail controls epithelial-mesenchymal transitions by repressing E-cadherin expression. Nat Cell Biol. 2000;2:76–83. doi: 10.1038/35000025. [DOI] [PubMed] [Google Scholar]
- 47.Burger M, Burger JA, Hoch RC, et al. Point mutation causing constitutive signaling of CXCR2 leads to transforming activity similar to Kaposi’s sarcoma herpesvirus-G protein-coupled receptor. J Immunol. 1999;163:2017–22. [PubMed] [Google Scholar]
- 48.Balabanian K, Lagane B, Pablos JL, et al. WHIM syndromes with different genetic anomalies are accounted for by impaired CXCR4 desensitization to CXCL12. Blood. 2005;105:2449–57. doi: 10.1182/blood-2004-06-2289. [DOI] [PubMed] [Google Scholar]
- 49.Vischer HF, Leurs R, Smit MJ. HCMV-encoded G-protein-coupled receptors as constitutively active modulators of cellular signaling networks. Trends Pharmacol Sci. 2006;27:56–63. doi: 10.1016/j.tips.2005.11.006. [DOI] [PubMed] [Google Scholar]
Associated Data
This section collects any data citations, data availability statements, or supplementary materials included in this article.







