Abstract
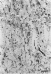
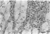
The bacterial genus Helicobacter contains a number of species which colonize the gastric mucosa of mammals. Natural and/or experimental gastric pathology has been correlated with colonization in humans and a wide variety of animal species. Historical reports in the literature suggest that a high percentage of cats are colonized by large, spiral, gastric helicobacter-like organisms (GHLOs). One of these bacteria (Helicobacter felis) has been isolated on artificial media and has experimentally caused gastritis in gnotobiotic dogs. This study surveyed the prevalence of helicobacter colonization in random-source cats by using the urease assay. Histologic examination was performed to determine the degree of associated pathology present. GHLOs associated with chronic gastritis were present in 70% of the juvenile and 97% of the adult cats studied. Although further study is needed to determine specifically what role GHLOs play in feline gastrointestinal disease, these results indicate that helicobacter colonization should be considered in the pathogenesis of feline gastroenteropathy. Furthermore, the high prevalence of feline infection is interesting because cats have recently been implicated as a potential reservoir for human infection by helicobacter-like organisms.
Full text
PDF






Images in this article
Selected References
These references are in PubMed. This may not be the complete list of references from this article.
- Baskerville A., Newell D. G. Naturally occurring chronic gastritis and C pylori infection in the rhesus monkey: a potential model for gastritis in man. Gut. 1988 Apr;29(4):465–472. doi: 10.1136/gut.29.4.465. [DOI] [PMC free article] [PubMed] [Google Scholar]
- Bleavins M. R., Aulerich R. J. Feed consumption and food passage time in mink (Mustela vison) and European ferrets (Mustela putorius furo). Lab Anim Sci. 1981 Jun;31(3):268–269. [PubMed] [Google Scholar]
- Bronsdon M. A., Schoenknecht F. D. Campylobacter pylori isolated from the stomach of the monkey, Macaca nemestrina. J Clin Microbiol. 1988 Sep;26(9):1725–1728. doi: 10.1128/jcm.26.9.1725-1728.1988. [DOI] [PMC free article] [PubMed] [Google Scholar]
- Cave D. R., Vargas M. Effect of a Campylobacter pylori protein on acid secretion by parietal cells. Lancet. 1989 Jul 22;2(8656):187–189. doi: 10.1016/s0140-6736(89)90372-3. [DOI] [PubMed] [Google Scholar]
- Curtsinger D. K., Carpenter J. L., Turner J. L. Gastritis caused by Aonchotheca putorii in a domestic cat. J Am Vet Med Assoc. 1993 Oct 15;203(8):1153–1154. [PubMed] [Google Scholar]
- Dennis J. S., Kruger J. M., Mullaney T. P. Lymphocytic/plasmacytic gastroenteritis in cats: 14 cases (1985-1990). J Am Vet Med Assoc. 1992 Jun 1;200(11):1712–1718. [PubMed] [Google Scholar]
- Dick-Hegedus E., Lee A. Use of a mouse model to examine anti-Helicobacter pylori agents. Scand J Gastroenterol. 1991 Sep;26(9):909–915. doi: 10.3109/00365529108996241. [DOI] [PubMed] [Google Scholar]
- Dick E., Lee A., Watson G., O'Rourke J. Use of the mouse for the isolation and investigation of stomach-associated, spiral-helical shaped bacteria from man and other animals. J Med Microbiol. 1989 May;29(1):55–62. doi: 10.1099/00222615-29-1-55. [DOI] [PubMed] [Google Scholar]
- Dubois A., Tarnawski A., Newell D. G., Fiala N., Dabros W., Stachura J., Krivan H., Heman-Ackah L. M. Gastric injury and invasion of parietal cells by spiral bacteria in rhesus monkeys. Are gastritis and hyperchlorhydria infectious diseases? Gastroenterology. 1991 Apr;100(4):884–891. doi: 10.1016/0016-5085(91)90260-r. [DOI] [PubMed] [Google Scholar]
- Dye K. R., Marshall B. J., Frierson H. F., Jr, Guerrant R. L., McCallum R. W. Ultrastructure of another spiral organism associated with human gastritis. Dig Dis Sci. 1989 Nov;34(11):1787–1791. doi: 10.1007/BF01540059. [DOI] [PubMed] [Google Scholar]
- Eaton K. A., Dewhirst F. E., Radin M. J., Fox J. G., Paster B. J., Krakowka S., Morgan D. R. Helicobacter acinonyx sp. nov., isolated from cheetahs with gastritis. Int J Syst Bacteriol. 1993 Jan;43(1):99–106. doi: 10.1099/00207713-43-1-99. [DOI] [PubMed] [Google Scholar]
- Eaton K. A., Radin M. J., Kramer L., Wack R., Sherding R., Krakowka S., Fox J. G., Morgan D. R. Epizootic gastritis associated with gastric spiral bacilli in cheetahs (Acinonyx jubatus). Vet Pathol. 1993 Jan;30(1):55–63. doi: 10.1177/030098589303000107. [DOI] [PubMed] [Google Scholar]
- Feinstein R. E., Olsson E. Chronic gastroenterocolitis in nine cats. J Vet Diagn Invest. 1992 Jul;4(3):293–298. doi: 10.1177/104063879200400311. [DOI] [PubMed] [Google Scholar]
- Fox J. G., Blanco M. C., Yan L., Shames B., Polidoro D., Dewhirst F. E., Paster B. J. Role of gastric pH in isolation of Helicobacter mustelae from the feces of ferrets. Gastroenterology. 1993 Jan;104(1):86–92. doi: 10.1016/0016-5085(93)90839-5. [DOI] [PubMed] [Google Scholar]
- Fox J. G., Correa P., Taylor N. S., Lee A., Otto G., Murphy J. C., Rose R. Helicobacter mustelae-associated gastritis in ferrets. An animal model of Helicobacter pylori gastritis in humans. Gastroenterology. 1990 Aug;99(2):352–361. doi: 10.1016/0016-5085(90)91016-y. [DOI] [PubMed] [Google Scholar]
- Fox J. G., Correa P., Taylor N. S., Zavala D., Fontham E., Janney F., Rodriguez E., Hunter F., Diavolitsis S. Campylobacter pylori-associated gastritis and immune response in a population at increased risk of gastric carcinoma. Am J Gastroenterol. 1989 Jul;84(7):775–781. [PubMed] [Google Scholar]
- Fox J. G., Lee A., Otto G., Taylor N. S., Murphy J. C. Helicobacter felis gastritis in gnotobiotic rats: an animal model of Helicobacter pylori gastritis. Infect Immun. 1991 Mar;59(3):785–791. doi: 10.1128/iai.59.3.785-791.1991. [DOI] [PMC free article] [PubMed] [Google Scholar]
- Fox J. G., Otto G., Murphy J. C., Taylor N. S., Lee A. Gastric colonization of the ferret with Helicobacter species: natural and experimental infections. Rev Infect Dis. 1991 Jul-Aug;13 (Suppl 8):S671–S680. doi: 10.1093/clinids/13.supplement_8.s671. [DOI] [PubMed] [Google Scholar]
- Fox J. G., Otto G., Taylor N. S., Rosenblad W., Murphy J. C. Helicobacter mustelae-induced gastritis and elevated gastric pH in the ferret (Mustela putorius furo). Infect Immun. 1991 Jun;59(6):1875–1880. doi: 10.1128/iai.59.6.1875-1880.1991. [DOI] [PMC free article] [PubMed] [Google Scholar]
- Fox J. G., Paster B. J., Dewhirst F. E., Taylor N. S., Yan L. L., Macuch P. J., Chmura L. M. Helicobacter mustelae isolation from feces of ferrets: evidence to support fecal-oral transmission of a gastric Helicobacter. Infect Immun. 1992 Feb;60(2):606–611. doi: 10.1128/iai.60.2.606-611.1992. [DOI] [PMC free article] [PubMed] [Google Scholar]
- Frommer D. J., Carrick J., Lee A., Hazell S. L. Acute presentation of Campylobacter pylori gastritis. Am J Gastroenterol. 1988 Oct;83(10):1168–1171. [PubMed] [Google Scholar]
- Glupczynski Y., Burette A. Drug therapy for Helicobacter pylori infection: problems and pitfalls. Am J Gastroenterol. 1990 Dec;85(12):1545–1551. [PubMed] [Google Scholar]
- Gottfried M. R., Washington K., Harrell L. J. Helicobacter pylori-like microorganisms and chronic active gastritis in ferrets. Am J Gastroenterol. 1990 Jul;85(7):813–818. [PubMed] [Google Scholar]
- Graham D. Y. Campylobacter pylori and peptic ulcer disease. Gastroenterology. 1989 Feb;96(2 Pt 2 Suppl):615–625. doi: 10.1016/s0016-5085(89)80057-5. [DOI] [PubMed] [Google Scholar]
- Hargis A. M., Prieur D. J., Blanchard J. L. Prevalence, lesions, and differential diagnosis of Ollulanus tricuspis infection in cats. Vet Pathol. 1983 Jan;20(1):71–79. doi: 10.1177/030098588302000108. [DOI] [PubMed] [Google Scholar]
- Hazell S. L., Borody T. J., Gal A., Lee A. Campylobacter pyloridis gastritis I: Detection of urease as a marker of bacterial colonization and gastritis. Am J Gastroenterol. 1987 Apr;82(4):292–296. [PubMed] [Google Scholar]
- Heilmann K. L., Borchard F. Gastritis due to spiral shaped bacteria other than Helicobacter pylori: clinical, histological, and ultrastructural findings. Gut. 1991 Feb;32(2):137–140. doi: 10.1136/gut.32.2.137. [DOI] [PMC free article] [PubMed] [Google Scholar]
- Henry G. A., Long P. H., Burns J. L., Charbonneau D. L. Gastric spirillosis in beagles. Am J Vet Res. 1987 May;48(5):831–836. [PubMed] [Google Scholar]
- Langenberg W., Rauws E. A., Oudbier J. H., Tytgat G. N. Patient-to-patient transmission of Campylobacter pylori infection by fiberoptic gastroduodenoscopy and biopsy. J Infect Dis. 1990 Mar;161(3):507–511. doi: 10.1093/infdis/161.3.507. [DOI] [PubMed] [Google Scholar]
- Lee A., Dent J., Hazell S., McNulty C. Origin of spiral organisms in human gastric antrum. Lancet. 1988 Feb 6;1(8580):300–301. doi: 10.1016/s0140-6736(88)90382-0. [DOI] [PubMed] [Google Scholar]
- Lee A., Fox J. G., Otto G., Dick E. H., Krakowka S. Transmission of Helicobacter spp. A challenge to the dogma of faecal-oral spread. Epidemiol Infect. 1991 Aug;107(1):99–109. doi: 10.1017/s095026880004872x. [DOI] [PMC free article] [PubMed] [Google Scholar]
- Lee A., Fox J. G., Otto G., Murphy J. A small animal model of human Helicobacter pylori active chronic gastritis. Gastroenterology. 1990 Nov;99(5):1315–1323. doi: 10.1016/0016-5085(90)91156-z. [DOI] [PubMed] [Google Scholar]
- Lee A., Hazell S. L., O'Rourke J., Kouprach S. Isolation of a spiral-shaped bacterium from the cat stomach. Infect Immun. 1988 Nov;56(11):2843–2850. doi: 10.1128/iai.56.11.2843-2850.1988. [DOI] [PMC free article] [PubMed] [Google Scholar]
- Lee A., Krakowka S., Fox J. G., Otto G., Eaton K. A., Murphy J. C. Role of Helicobacter felis in chronic canine gastritis. Vet Pathol. 1992 Nov;29(6):487–494. doi: 10.1177/030098589202900601. [DOI] [PubMed] [Google Scholar]
- McGovern T. W., Talley N. J., Kephart G. M., Carpenter H. A., Gleich G. J. Eosinophil infiltration and degranulation in Helicobacter pylori-associated chronic gastritis. Dig Dis Sci. 1991 Apr;36(4):435–440. doi: 10.1007/BF01298871. [DOI] [PubMed] [Google Scholar]
- McNulty C. A., Dent J. C., Curry A., Uff J. S., Ford G. A., Gear M. W., Wilkinson S. P. New spiral bacterium in gastric mucosa. J Clin Pathol. 1989 Jun;42(6):585–591. doi: 10.1136/jcp.42.6.585. [DOI] [PMC free article] [PubMed] [Google Scholar]
- Mendes E. N., Queiroz D. M., Rocha G. A., Nogueira A. M., Carvalho A. C., Lage A. P., Barbosa A. J. Histopathological study of porcine gastric mucosa with and without a spiral bacterium ("Gastrospirillum suis"). J Med Microbiol. 1991 Dec;35(6):345–348. doi: 10.1099/00222615-35-6-345. [DOI] [PubMed] [Google Scholar]
- Newell D. G., Hudson M. J., Baskerville A. Naturally occurring gastritis associated with Campylobacter pylori infection in the rhesus monkey. Lancet. 1987 Dec 5;2(8571):1338–1338. doi: 10.1016/s0140-6736(87)91236-0. [DOI] [PubMed] [Google Scholar]
- Otto G., Fox J. G., Wu P. Y., Taylor N. S. Eradication of Helicobacter mustelae from the ferret stomach: an animal model of Helicobacter (Campylobacter) pylori chemotherapy. Antimicrob Agents Chemother. 1990 Jun;34(6):1232–1236. doi: 10.1128/aac.34.6.1232. [DOI] [PMC free article] [PubMed] [Google Scholar]
- Paster B. J., Lee A., Fox J. G., Dewhirst F. E., Tordoff L. A., Fraser G. J., O'Rourke J. L., Taylor N. S., Ferrero R. Phylogeny of Helicobacter felis sp. nov., Helicobacter mustelae, and related bacteria. Int J Syst Bacteriol. 1991 Jan;41(1):31–38. doi: 10.1099/00207713-41-1-31. [DOI] [PubMed] [Google Scholar]
- Radin M. J., Eaton K. A., Krakowka S., Morgan D. R., Lee A., Otto G., Fox J. Helicobacter pylori gastric infection in gnotobiotic beagle dogs. Infect Immun. 1990 Aug;58(8):2606–2612. doi: 10.1128/iai.58.8.2606-2612.1990. [DOI] [PMC free article] [PubMed] [Google Scholar]
- Rocha G. A., Queiroz D. M., Mendes E. N., Barbosa A. J., Lima Júnior G. F., Oliveira C. A. Helicobacter pylori acute gastritis: histological, endoscopical, clinical, and therapeutic features. Am J Gastroenterol. 1991 Nov;86(11):1592–1595. [PubMed] [Google Scholar]
- Solnick J. V., O'Rourke J., Lee A., Paster B. J., Dewhirst F. E., Tompkins L. S. An uncultured gastric spiral organism is a newly identified Helicobacter in humans. J Infect Dis. 1993 Aug;168(2):379–385. doi: 10.1093/infdis/168.2.379. [DOI] [PubMed] [Google Scholar]
- Taylor D. N., Blaser M. J. The epidemiology of Helicobacter pylori infection. Epidemiol Rev. 1991;13:42–59. doi: 10.1093/oxfordjournals.epirev.a036078. [DOI] [PubMed] [Google Scholar]
- Thomas J. E., Gibson G. R., Darboe M. K., Dale A., Weaver L. T. Isolation of Helicobacter pylori from human faeces. Lancet. 1992 Nov 14;340(8829):1194–1195. doi: 10.1016/0140-6736(92)92894-l. [DOI] [PubMed] [Google Scholar]
- Vargas M., Lee A., Fox J. G., Cave D. R. Inhibition of acid secretion from parietal cells by non-human-infecting Helicobacter species: a factor in colonization of gastric mucosa? Infect Immun. 1991 Oct;59(10):3694–3699. doi: 10.1128/iai.59.10.3694-3699.1991. [DOI] [PMC free article] [PubMed] [Google Scholar]
- WEBER A. F., HASA O., SAUTTER J. H. Some observations concerning the presence of spirilla in the fundic glands of dogs and cats. Am J Vet Res. 1958 Jul;19(72):677–680. [PubMed] [Google Scholar]
- Wegmann W., Aschwanden M., Schaub N., Aenishänslin W., Gyr K. Gastrospirillum-hominis-assoziierte Gastritis--eine Zoonose? Schweiz Med Wochenschr. 1991 Feb 23;121(8):245–254. [PubMed] [Google Scholar]




