Abstract
The sinopulmonary tract is the major site of infection in patients with primary antibody deficiency syndromes, and structural lung damage arising from repeated sepsis is a major determinant of morbidity and mortality. Patients with common variable immunodeficiency may, in addition, develop inflammatory lung disease, often associated with multi-system granulomatous disease. This review discusses the presentation and management of lung disease in patients with primary antibody deficiency.
Keywords: agammaglobulinaemia, common variable immunodeficiency, interstitial, lung disorders, pneumonia, ronchiectasis
Introduction
The primary antibody deficiency syndromes (PADS) are a diverse collection of disorders characterized by defective antibody responses to pathogens, recurrent pyogenic infections and, in some cases, a predisposition to immune dysregulation, including interstitial lung disease (ILD). The respiratory tract is the major target for infections and their sequelae in PADS [1], and the strongest predictor of mortality in PADS is the presence of chronic lung disease at diagnosis, while early diagnosis and timely intervention predicts good outcome [2]. This review discusses the presentation, diagnosis and management of PAD-associated lung disease.
Primary antibody deficiency syndromes
Primary antibody deficiency syndromes has been discussed in both the adult and paediatric settings earlier in this series [3,4], and will be introduced only briefly here. We will not consider conditions with a large cell-mediated immunodeficiency component, although some of the management principles are transferable. The best-characterized PADS is X-linked agammaglobulinaemia (XLA), which results from mutations in the btk gene; a similar phenotype is evident in the much rarer autosomal recessive defects of early B cell development. The hyper-immunoglobulin (Ig)M syndromes result from defects in B cell class switch recombination, leading to low levels of IgG with normal or raised IgM. Mutations affecting the expression of CD40 ligand in X-linked HIGM lead to a combined immunodeficiency, while autosomal recessive deficiencies of the enzymes activation induced cytidine deaminase and uracil DNA glycosylase are predominantly humoral immunodeficiencies. However, common variable immunodeficiency (CVID) is the most common primary immunodeficiency syndrome requiring Ig replacement in adults. The European Society for Immunodeficiencies has defined CVID as reduced (below 2 standard deviations of the mean) levels of IgG with reduced IgA and/or IgM, together with failure to mount a significant antibody response to vaccination, in the absence of a known cause. However, as CVID is idiopathic and clinically heterogeneous, consensus on definition has been difficult to achieve. The prevalence has been estimated at between 1:10 000 and 1:50 000 in Europe and North America, with both genders affected equally [5]. CVID may present at any age, but the peak incidence seems to occur in the first and the third decades of life [1]. Familial clustering of antibody deficiencies of varying degrees of severity, including selective IgA deficiency, may be observed in up to 20% of patients [6]. A CVID phenotype has been observed in association with defects in the following four genes: TACI (transmembrane activator and calcium modulator and cyclophilin ligand interactor), ICOS (inducible co-stimulator), CD19 and BAFFR (B cell activating factoring receptor) [7], but more than 90% of CVID patients do not have mutations in these genes and are currently uncharacterized.
Patients with less severe or ‘partial’ antibody deficiencies present a clinical challenge. The spectrum includes: selective IgA deficiency (serum IgA < 0·1 g/l with normal IgG and IgM), IgG subclass deficiency (normal IgG with deficiency of IgG1, 2 or 3) and selective antibody deficiency (normal IgG with failure to respond to vaccination, including those with isolated deficient responses to polysaccharide antigens, such as Streptococcus pneumoniae). These milder defects may occur in combination, probably reflecting the spectrum and evolution of CVID [8].
Primary antibody deficiency syndromes and respiratory infection
Acute respiratory infection in PADS patients
Acute respiratory infection in PADS patients is suggested by new-onset cough with production of sputum, which may be accompanied by constitutional disturbance. In numerous studies, respiratory sepsis has been the most frequent mode of presentation prior to diagnosis and most common intercurrent infection during follow-up [1,9–13]. A ‘zero tolerance’ approach to infections in PADS patients aims to prevent progression to bronchiectasis. Wherever possible, sputum samples should be collected prior to the treatment of infections, but results should not generally delay empirical therapy according to local protocols, which should target the common pathogens implicated in PAD-associated respiratory sepsis: Haemophilus influenzae, S. pneumoniae and Moraxella catarrhalis[1,2,9,12,14–16]. Although formal evidence is lacking, prolonged courses of anti-microbials are generally required (e.g. 10–14 days for lower respiratory tract infection) to prevent relapse. It is useful to establish a sputum library for patients to determine the patterns of infection in each individual.
Mycobacterial infections and opportunistic respiratory infection with Pneumocystis jiroveci and cytomegalovirus (CMV) are very rare in humoral immunodeficiency, but may complicate PADS with a significant component of cell-mediated immunodeficiency (Text box 1).
Text box 1.
Management summary
Early diagnosis with appropriate Ig replacement is the key intervention to improve the outcome of PADS patients
Patients should be under the care of a clinical immunologist, with input from a respiratory physician where appropriate
Baseline imaging is useful to define the nature and extent of established chronic lung disease
Respiratory health should be monitored closely by clinical response, lung function and (in productive patients) sputum sampling
Acute infections should be treated promptly and for extended periods
Patients with breakthrough infections despite adequate Ig replacement may target a higher trough IgG level and/or receive antibiotic prophylaxis, although evidence is lacking
Bronchiectatic patients may benefit from treatment with a regular macrolide, and inhaled corticosteroids may reduce sputum production. Bronchopulmonary hygiene measures are recommended, and pulmonary rehabilitation may be useful in selected patients
Systemic corticosteroids are indicated in ILD/pulmonary granulomatous disease where lung function is impaired.
Bronchiectasis and chronic infection
Bronchiectasis, defined as irreversible dilatation of large- and medium-sized bronchi, is one of the most feared complications of the repeated pyogenic respiratory infections affecting PADS patients. Estimates of the prevalence of bronchiectasis have varied from 17 to 76%, reflecting heterogeneous case-mix and diagnostic criteria [9–11,14,15,17–21]. In a recent cohort, one-third of patients were affected at baseline and a further 12·2% developed bronchiectasis despite apparently appropriate Ig replacement [22]. The presence of bronchiectasis at diagnosis predicts poor outcome, while early diagnosis and aggressive management predicts good outcome [2]. A recent study reported a median diagnostic delay of approximately 2 years for PADS, undoubtedly contributing to morbidity [13].
Bronchiectasis is characterized by chronic productive cough, wheeze, dyspnoea and infective exacerbations with worsening symptoms, although many patients are asymptomatic. In cystic fibrosis (CF) patients, an ordered progression of pathogens are seen to infect the lungs [23]. In early disease, organisms such as H. influenzae and S. pneumoniae cause intermittent exacerbations. As lung damage progresses chronic infection is established, and the lungs may become colonized with Staph. aureus. Pseudomonas aureginosa is associated with advanced lung disease, appearing initially in the sputum intermittently before becoming persistent. Chronic colonization of CF patients with Pseudomonas is associated with worsening lung function and poor prognosis [24]. It seems reasonable to assume that the situation in PADS is similar, although Pseudomonas infection is less common in PADS-associated bronchiectasis. Aspergillosis and infection with non-tuberculous mycobacteria is rare is PADS, but may be a complication in any patient with structural lung disease. Novel mycoplasma have been demonstrated in the sputum of PADS patients with structural lung damage [25] but the organism appears to have low pathogenicity, as affected patients have been stable for many years despite chronic colonization (A. D. Webster, personal communication, 2007).
Detection and monitoring of bronchiectasis in PADS
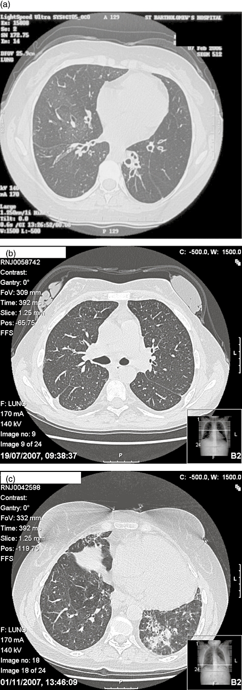
High-resolution computed tomography thorax (HRCT) is extremely sensitive and specific for the diagnosis and monitoring of bronchiectasis (Fig. 1a). Consensus on the indications for HRCT in PADS has not been achieved, and practice varies widely (Text box 2). Most physicians image the lungs routinely at baseline to assess the extent of chronic lung disease (including ILD, discussed later), but thereafter some prefer to scan only on the basis of clinical features while others scan at regular intervals, aiming to detect those with progressive damage. Various scoring systems have been devised to grade the severity of lung damage [26], attracting much interest as a surrogate marker for disease progression in CF trials; their value in the routine management of individual patients is undetermined. Compared with HRCT, the measurement of pulmonary function (PFTs) is relatively insensitive for the detection of early bronchiectasis, but is useful for monitoring the progression of chronic lung disease, providing guidance on the need for inhaled steroids and bronchodilators and assessing gas exchange which, if impaired, may suggest the possibility of ILD. Monitoring is recommended to detect complications, prompt further investigations and to alert the physician to the need for intensified or additional treatments.
Fig. 1.

(a)High-resolution computerized tomography (CT) scan of the chest of 33-year-old female common variable immunodeficiency (CVID) patient, showing bilateral bronchiectasis. (b)High-resolution CT scan of chest of 30-year-old female, with multi-organ granulomatous CVID, showing hilar lymphadenpoathy. (c)High-resolution CT scan of chest of 60-year-old female, with CVID and minimal respiratory symptoms. She had a restrictive defect on lung function monitoring. CT revealed hilar and subcarinal lymphadenopathy (not shown), left-sided volume loss, ground glass opacification and reticular shadowing suggestive of fibrosis.
Text box 2.
Important unresolved issues
Small patient numbers make high-quality clinical trials problematic in PADS, particularly when considering rare complications such as granulomatous disease. Some important questions include:
How should treatment be best intensified in PADS patients with recurrent infections and/or progressive bronchiectasis despite apparently appropriate Ig replacement? Two clear possibilities include increasing the Ig dose to target a higher trough level and/or chronic suppressive anti-microbial therapy
Should patients be monitored for progression of chronic lung disease by serial imaging in the absence of specific clinical indications such as recurrent infection or deteriorating PFTs?
What is the optimum management of ILD and granulomatous disease in CVID?
Regular sputum culture is integral to the management of patients with bronchiectasis and chronic productive cough, providing information about acute infections, bacterial colonization and anti-microbial resistance. Robust systems are required to ensure that samples are collected and the results reviewed (Text box 1).
Prevention of respiratory infections in PADS
Immunoglobulin replacement therapy
Although placebo-controlled trials of Ig replacement for PADS are lacking, the accumulated evidence in severe antibody deficiency is compelling [27]. Patient series show improved survival rates coinciding with the introduction of intramuscular (low dose) Ig and further improvement with the advent of intravenous (standard/high dose) Ig replacement. Ig replacement reduces acute and chronic infections and their sequelae in agammaglobulinaemia [28–30], CVID [31–35] and hyper-IgM syndromes [36–38]. Because many patients included in these series have pre-existing irreversible lung damage, it is likely that prompt diagnosis and optimum replacement would produce additional improvements [1,15].
The decision to start antibody replacement is straightforward in agammaglobulinaemic patients and those fulfilling the criteria for CVID. However, Ig therapy may still be helpful in selected patients with partial antibody deficiencies such as IgG subclass deficiency or specific antibody deficiency [39,40]. For example, the infection frequency of patients with Wiskott–Aldrich syndrome (who generally fail to mount an antibody response to carbohydrate antigens) is reduced when treated with replacement Ig, even when total IgG levels are normal [41,42]. However, partial antibody deficiencies are relatively common, and the selection of appropriate candidates for scarce Ig resources is problematic, requiring clear documentation of symptoms, vaccine responses and end-organ damage as well as microbiological confirmation of infections. Ig replacement is less likely to be useful in partial subclass deficiencies or IgA deficiency without associated defects. In doubtful cases where antibiotic prophylaxis has failed, a trial of Ig for a period of at least 6 months may be considered, with some advocating a double- or single-blind methodology [27,43]. When given on a trial basis, Ig is ideally discontinued outside the winter months, with assessment of vaccine responses and clinical end-points 3–6 months later.
Immunoglobulin is administered intravenously every 2–4 weeks or subcutaneously every 1–2 weeks, with a usual starting dose of 0·4–0·6 g/kg/month [44]. However, the complex and variable pharmacokinetics of Ig necessitate individualized dosing based on IgG levels, which reach a steady state after about six infusions [45]. Trough IgG levels are monitored routinely two to four times per year. Trough IgG levels are unhelpful in partial antibody deficiency and dosing is guided by clinical response [27,46]. The optimum trough level for patients with agamma/hypogammglobulinaemia is unknown. Original recommendations were for trough IgG levels above 5 g/l, which appeared to be effective at preventing infections in early trials. There is some evidence that higher levels (> 8 g/l) provide better protection from infection (particularly enterovirus) in XLA and may improve pulmonary outcome in CVID [30,35,47,48].
There is no evidence to guide the management of patients with frequent infections and/or progressive bronchiectasis despite Ig replacement. It is common practice to target a higher trough IgG level, with or without the addition of regular antibiotics. Serial sputum testing and antibiotic sensitivity of cultured organisms is helpful in guiding the choice of prophylactic antibiotic. There should be a clear plan of alternative antibiotics for breakthrough infections (Text box 2).
Currently licensed Ig products appear similar with respect to efficacy and have good viral safety [43]. While administration by the intravenous and subcutaneous routes appears to be similarly efficacious [49], the intramuscular route is clearly inferior and has been abandoned [50]. Home therapy programmes are well established and have been shown to be safe, cost-effective and popular with patients [51,52] (Text box 1).
Anti-microbial prophylaxis (patients without bronchiectasis)
Despite a lack of published data anti-microbial prophylaxis is prescribed widely in PADS, particularly for patients with partial antibody deficiency (where the indications for Ig replacement are less clear) and in Ig-treated patients with breakthrough infections. In the authors’ practice, infections that are frequent (more than 3 per year) or very severe/disruptive trigger consideration of prophylaxis, with the choice of drug guided by previous microbiology results and patient factors. There is no good evidence that antibiotic rotation is helpful. The use of aerosolized antibiotics is best supported in the setting of bronchiectasis, discussed in the next section.
Treatment of bronchiectasis in PADS patients
The management of bronchiectasis in PADS is informed by the CF and non-CF bronchiectasis experience, as (with the exception of Ig replacement) there is little published data specifically relating to PADS.
Anti-microbial therapy in PADS-associated bronchiectasis
An infective exacerbation is suggested by increased sputum volume and/or purulence, accompanied by haemoptysis, dyspnoea, wheeze and constitutional disturbance. The diagnosis may be supported by sputum microbiology and, if appropriate, radiology. Chest X-ray should be considered if the patient is febrile, has pleuritic pain, signs of consolidation, effusion or collapse, or if symptoms persist despite therapy. CT is generally needed only if X-ray changes are inconclusive, or if symptoms fail to resolve. Empirical anti-microbials should consider previous microbiology results and target the common encapsulated bacteria that may also infect the lungs of non-bronchiectatic PADS patients. Although formal evidence is lacking, prolonged treatment courses (e.g. 10–14 days) are required to prevent relapse.
Those with recurrent infections despite adequate Ig replacement may benefit from regular suppressive therapy on a long-term basis. Macrolide antibiotics have anti-inflammatory as well as anti-microbial properties, with azithromycin attracting particular interest [53]. When administered for 3 days each week, azithromycin-treated CF patients (including many colonized with Pseudomonas) suffered fewer exacerbations and had reduced antibiotic requirements, although lung function was not modified in this trial [54]. Smaller trials involving non-CF bronchiectasis patients treated with various macrolide antibiotics suggest a reduction in exacerbation frequency and improved lung function [53,55–58]. Macrolide antibiotics are therefore recommended for bronchiectatic PADS patients with breakthrough infections and/or declining lung function despite appropriate Ig replacement.
Aggressive management of Pseudomonas in CF units has contributed to improved prognosis. Although less common in PADS patients, it is likely that Pseudomonas infection in this setting behaves in a similar fashion. Regular sputum sampling with eradication of de novo Pseudomonas in CF patients using an oral quinolone and nebulized colomycin or gentamicin has a fairly high success rate, prevents emergence of resistant strains and preserves lung function [59]. A similar strategy may be useful in bronchiectatic PADS patients. Those failing or unsuitable for this regime may proceed to intravenous treatment.
In patients who are colonized chronically with Pseudomonas, the use of aerosolized colomycin [60] and tobramycin [61,62] confers clinical benefits, including reduced exacerbation frequency and improved lung function. There is some evidence supporting the use of aerosolized antibiotics in individuals not colonized with pseudomonas: in a small study, a short course of nebulized gentamicin reduced sputum production and improved exercise capacity over placebo in stable bronchiectatic patients [63].
Other treatment options for bronchiectasis
Bronchopulmonary hygiene, a form of physical therapy that aims to remove secretions from the airways, is considered to be an important aspect of the management of bronchiectasis, although formal evidence of efficacy is minimal [64]. In addition, a formal pulmonary rehabilitation programme improved exercise tolerance in a single controlled study of bronchiectatic patients [65].
A single study suggests that the inhaled corticosteroid fluticasone reduces sputum production in non-CF bronchiectasis [66], with Pseudomonas-infected individuals deriving most benefit, but there is no evidence that lung function is improved or exacerbation frequency reduced. Further studies are required to guide the use of short- and long-acting inhaled B2 agonists in bronchiectasis [67,68]. Leukotriene receptor antagonists [69], non-steroidal anti-inflammatory drugs [69] and mucolytics [70] are not well supported by current evidence. There is some evidence that recombinant human DNase (Dornase) may be harmful [71]. Surgical management of bronchiectasis may occasionally be helpful in those with highly localized disease [72], but lung damage in PADS patients tends to be generalized (Text box 1).
Non-infectious respiratory complications of PADS
Interstitial lung disease
Interstitial lung disease is reported mainly in CVID and IgG subclass deficiency, and appears to be very rare in XLA. A variety of histological variants are reported: granulomatous disease, lymphocytic interstitial pneumonitis, lymphoid hyperplasia and follicular bronchiolitis. As these patterns may co-exist on the same biopsy sample [73–75] they may represent variants of the same disease.
Common variable immunodeficiency-associated granulomatous disease is the best-described entity, with a prevalence between 8% and 22% [1,73,74]. Affected patients frequently have multi-system granulomatous disease (particularly liver, gut, lymph nodes and spleen) and suffer increased morbidity and a worse prognosis [73]. Although the granulomatous inflammation has similarities with sarcoidosis, there are also distinct differences: histologically the granulomas of CVID consist of loose clusters of histiocytes and multi-nucleated giant cells [73] contrasting with the better-defined granulomas of sarcoidosis; splenic involvement and thrombocytopenia, either in isolation or with other cytopaenias [75,76], are observed more frequently; finally, hypogammaglobulinaemia is the cardinal feature of CVID, rather than the hypergammaglobulinaemia observed in sarcoidosis. Measurement of serum angiotensin-1 converting enzyme levels cannot discriminate reliably between the two entities or the presence or absence of granulomatous disease in CVID [74,75]. The diagnosis of CVID should always be considered in patients with ILD, hypogammaglobulinaemia and recurrent infections.
The aetiopathogenesis of granulomatous disease is unclear. The observation of qualitative and quantitative T cell defects in these patients together with an increased frequency of autoimmune disease [76] is suggestive of T cell dysfunction, with consequent dysregulation of cytokines such as interleukin-6 and tumour necrosis factor (TNF)-α[77,78], and aberrant T–B lymphocyte interaction driving an inflammatory process. The possibility that the T cell dysregulation is driven virally remains intriguing. Viruses such as human herpevirus 8 in the lung [79] and CMV in the gut [80,81] have been implicated, but clarification is required in further studies.
The diagnosis and monitoring of ILD in PADS
The predominant symptoms of ILD in CVID patients are dyspnoea and reduced exercise tolerance. HRCT is the modality of choice for the diagnosis and monitoring of ILD [10,82]. A variety of findings have been described, including mediastinal lymphadenopathy, multiple ill-defined parenchymal nodules, usually with bronchocentric distribution, ground glass opacities and interseptal lines [20,83–85] (Fig. 1b and c).
A restrictive ventilatory defect is found most commonly, although mixed patterns have also been described, particularly in smokers [86]. Using HRCT as the gold standard, the presence of normal pulmonary function tests does not exclude the diagnosis and is not a reliable marker for disease progression [17,73]; however, lung function is invaluable in evaluating treatment requirements. Histological confirmation is best achieved by open lung biopsy or video-assisted thorascopic surgery, as the sensitivity of transbronchial biopsy is poor.
Management of ILD
The optimum management of CVID-associated ILD is not known, and this complication remains a major clinical challenge. Where inflammation is predominantly pulmonary, the requirement for treatment should be guided by clinical symptoms and lung function tests as the significance of ILD in the absence of altered PFTs is unclear; multi-system granulomatous disease may require treatment even where the lungs are relatively spared.
Immunoglobulin replacement appears to have no effect on ILD [10]. Granulomatous lung disease is generally steroid-responsive, but high doses may be required and disease may recur on tailing. There are few data to guide the use of steroid-sparing agents. A single case report describes the successful use of cyclosporin in a patient with lymphocytic interstitial pneumonitis [87], but the side-effect profile of this drug renders it unattractive. The authors have some experience with azathioprine and mycophenolate mofetil. Methotrexate is supported by some evidence in the sarcoidosis setting [88]. Research suggests that TNF-α is a key cytokine in the formation of granulomas [89,90]. Case reports of granulomatous disease responsive to the anti-TNF-α agents Infliximab [91,92] and (for cutaneous disease) Etanercept [93] are encouraging; however, in a recent clinical trial of Infliximab in sarcoidosis, the improvements in lung function over placebo were of doubtful clinical significance [94]– whether this can be extrapolated to the CVID setting is unclear (Text box 2).
Lymphoma
The incidence of lymphoma is increased in CVID [95,96]. The radiographic appearances of lung lymphoma can be indistinguishable from ILD [73]. Although the latter is much more common than the former, increased awareness is mandatory. In this setting only a lung biopsy will be able to provide a definitive diagnosis.
Further management points
The early involvement of a respiratory specialist is recommended where indicated. CVID patients with intractable lung disease may be candidates for lung transplantation [97–100].
A proposed classification of CVID uses flow cytometric analysis of peripheral blood to define B cell subpopulations, particularly memory and switched memory B cells [101–103]. The system may be of some relevance to respiratory risk stratification, as CVID patients with reduced levels of IgM+ memory B cells [104] and/or switched memory B cells [105] may be more at risk of respiratory infection and its sequelae. Among patients with partial antibody deficiencies B cell phenotyping may help to define those with more severe disease [106], while granulomatous disease has been associated with low numbers of switched memory B cells [102]. The EUROClass collaboration reported a larger number of patients and proposed a unified classification scheme [107]. However, there is considerable overlap in phenotype across the groups and those with monogenic defects do not appear to segregate.
Regular lung imaging lacks an evidence base in PADS but is utilized increasingly. Serial scans from a young age imply considerable radiation exposure, of particular concern in female patients and CVID patients, whose risk of neoplasia is increased over background. Consideration should be given to reduced radiation dose protocols, which may provide adequate information.
References
- 1.Cunningham-Rundles C, Bodian C. Common variable immunodeficiency: clinical and immunological features of 248 patients. Clin Immunol. 1999;92:34–48. doi: 10.1006/clim.1999.4725. [DOI] [PubMed] [Google Scholar]
- 2.Sweinberg SK, Wodell RA, Grodofsky MP, Greene JM, Conley ME. Retrospective analysis of the incidence of pulmonary disease in hypogammaglobulinemia. J Allergy Clin Immunol. 1991;88:96–104. doi: 10.1016/0091-6749(91)90306-9. [DOI] [PubMed] [Google Scholar]
- 3.Wood P, Stanworth S, Burton J, et al. Recognition, clinical diagnosis and management of patients with primary antibody deficiencies: a systematic review. Clin Exp Immunol. 2007;149:410–23. doi: 10.1111/j.1365-2249.2007.03432.x. [DOI] [PMC free article] [PubMed] [Google Scholar]
- 4.Slatter MA, Gennery AR. Clinical immunology review series: an approach to the patient with recurrent infections in childhood. Clin Exp Immunol. 2008;152:389–96. doi: 10.1111/j.1365-2249.2008.03641.x. [DOI] [PMC free article] [PubMed] [Google Scholar]
- 5.International Union of Immunological Societies. Primary immunodeficiency diseases. Report of an IUIS Scientific Committee. Clin Exp Immunol. 1999;118(Suppl 1):1–28. doi: 10.1046/j.1365-2249.1999.00109.x. [DOI] [PMC free article] [PubMed] [Google Scholar]
- 6.Hammarstrom L, Vorechovsky I, Webster D. Selective IgA deficiency (SIgAD) and common variable immunodeficiency (CVID) Clin Exp Immunol. 2000;120:225–31. doi: 10.1046/j.1365-2249.2000.01131.x. [DOI] [PMC free article] [PubMed] [Google Scholar]
- 7.Bacchelli C, Buckridge S, Thrasher AJ, Gaspar HB. Translational mini-review series on immunodeficiency: molecular defects in common variable immunodeficiency. Clin Exp Immunol. 2007;149:401–9. doi: 10.1111/j.1365-2249.2007.03461.x. [DOI] [PMC free article] [PubMed] [Google Scholar]
- 8.Espanol T, Catala M, Hernandez M, Caragol I, Bertran JM. Development of common variable immunodeficiency in IgA-deficient patients. Clin Immunol Immunopathol. 1996;80:333–5. doi: 10.1006/clin.1996.0132. [DOI] [PubMed] [Google Scholar]
- 9.Hermans PE, Diaz-Buxo JA, Stobo JD. Idiopathic late-onset immunoglobulin deficiency. Clinical observations in 50 patients. Am J Med. 1976;61:221–37. doi: 10.1016/0002-9343(76)90173-x. [DOI] [PubMed] [Google Scholar]
- 10.Kainulainen L, Varpula M, Liippo K, et al. Pulmonary abnormalities in patients with primary hypogammaglobulinemia. J Allergy Clin Immunol. 1999;104:1031–6. doi: 10.1016/s0091-6749(99)70085-0. [DOI] [PubMed] [Google Scholar]
- 11.Hausser CF, Virelizier JL, Buriot DF, Griscelli C. Common variable hypogammaglobulinemia in children. Clinical and immunologic observations in 30 patients. Am J Dis Child. 1983;137:833–7. doi: 10.1001/archpedi.1983.02140350011004. [DOI] [PubMed] [Google Scholar]
- 12.Pettit SJ, Bourne H, Spickett GP. Survey of infection in patients receiving antibody replacement treatment for immune deficiency. J Clin Pathol. 2002;55:577–80. doi: 10.1136/jcp.55.8.577. [DOI] [PMC free article] [PubMed] [Google Scholar]
- 13.Seymour B, Miles J, Haeney M. Primary antibody deficiency and diagnostic delay. J Clin Pathol. 2005;58:546–7. doi: 10.1136/jcp.2004.016204. [DOI] [PMC free article] [PubMed] [Google Scholar]
- 14.Thickett KM, Kumararatne DS, Banerjee AK, Dudley R, Stableforth DE. Common variable immune deficiency: respiratory manifestations, pulmonary function and high-resolution CT scan findings. Q J Med. 2002;95:655–62. doi: 10.1093/qjmed/95.10.655. [DOI] [PubMed] [Google Scholar]
- 15.Hermaszewski RA, Webster AD. Primary hypogammaglobulinaemia: a survey of clinical manifestations and complications. Q J Med. 1993;86:31–42. [PubMed] [Google Scholar]
- 16.Plebani A, Soresina A, Rondelli R, et al. Clinical, immunological and molecular analysis in a large cohort of patients with X-linked agammaglobulinemia: an Italian multicenter study. Clin Immunol. 2002;104:221–30. doi: 10.1006/clim.2002.5241. [DOI] [PubMed] [Google Scholar]
- 17.Watts WJ, Watts MB, Dai W, Cassidy JT, Grum CM, Weg JG. Respiratory dysfunction in patients with common variable hypogammaglobulinemia. Am Rev Respir Dis. 1986;134:699–703. doi: 10.1164/arrd.1986.134.4.699. [DOI] [PubMed] [Google Scholar]
- 18.Martinez Garcia MA, de Rojas MD, Manzur N, et al. Respiratory disorders in common variable immunodeficiency. Respir Med. 2001;95:191–5. doi: 10.1053/rmed.2000.1020. [DOI] [PubMed] [Google Scholar]
- 19.Dukes RJ, Rosenow EC, III, Hermans PE. Pulmonary manifestations of hypogammaglobulinaemia. Thorax. 1978;33:603–7. doi: 10.1136/thx.33.5.603. [DOI] [PMC free article] [PubMed] [Google Scholar]
- 20.Obregon RG, Lynch DA, Kaske T, Newell JD, Jr, Kirkpatrick CH. Radiologic findings of adult primary immunodeficiency disorders. Contribution of CT. Chest. 1994;106:490–5. doi: 10.1378/chest.106.2.490. [DOI] [PubMed] [Google Scholar]
- 21.Feydy AF, Sibilia JF, De Kerviler E, et al. Chest high resolution CT in adults with primary humoral immunodeficiency. Br J Radiol. 1996;69:1108–16. doi: 10.1259/0007-1285-69-828-1108. [DOI] [PubMed] [Google Scholar]
- 22.Quinti I, Soresina A, Spadaro G, et al. Long-term follow-up and outcome of a large cohort of patients with common variable immunodeficiency. J Clin Immunol. 2007;27:308–16. doi: 10.1007/s10875-007-9075-1. [DOI] [PubMed] [Google Scholar]
- 23.Hodson M, Geddes D, Bush A. Microbiology of cystic fibrosis. 3rd edition. Abingdon: Hodder Education; 2007. Cystic fibrosis. [Google Scholar]
- 24.Henry RL, Mellis CM, Petrovic L. Mucoid Pseudomonas aeruginosa is a marker of poor survival in cystic fibrosis. Pediatr Pulmonol. 1992;12:158–61. doi: 10.1002/ppul.1950120306. [DOI] [PubMed] [Google Scholar]
- 25.Webster D, Windsor H, Ling C. Chronic bronchitis in immunocompromised patients: association with a novel Mycoplasma species. Eur J Clin Microbiol Infect Dis. 2003;22:530–4. doi: 10.1007/s10096-003-0980-9. [DOI] [PubMed] [Google Scholar]
- 26.de Jong PA, Nakano Y, Lequin MH, et al. Progressive damage on high resolution computed tomography despite stable lung function in cystic fibrosis. Eur Respir J. 2004;23:93–7. doi: 10.1183/09031936.03.00006603. [DOI] [PubMed] [Google Scholar]
- 27.Orange JS, Hossny EM, Weiler CR, et al. Use of intravenous immunoglobulin in human disease: a review of evidence by members of the Primary Immunodeficiency Committee of the American Academy of Allergy, Asthma and Immunology. J Allergy Clin Immunol. 2006;117:S525–S553. doi: 10.1016/j.jaci.2006.01.015. [DOI] [PubMed] [Google Scholar]
- 28.Ammann AJ, Ashman RF, Buckley RH, et al. Use of intravenous gamma-globulin in antibody immunodeficiency: results of a multicenter controlled trial. Clin Immunol Immunopathol. 1982;22:60–7. doi: 10.1016/0090-1229(82)90022-8. [DOI] [PubMed] [Google Scholar]
- 29.Lederman HM, Winkelstein JA. X-linked agammaglobulinemia: an analysis of 96 patients. Medicine (Balt) 1985;64:145–56. [PubMed] [Google Scholar]
- 30.Quartier P, Debre M, De Blic J, et al. Early and prolonged intravenous immunoglobulin replacement therapy in childhood agammaglobulinemia: a retrospective survey of 31 patients. J Pediatr. 1999;134:589–96. doi: 10.1016/s0022-3476(99)70246-5. [DOI] [PubMed] [Google Scholar]
- 31.Cunningham-Rundles C, Siegal FP, Smithwick EM, et al. Efficacy of intravenous immunoglobulin in primary humoral immunodeficiency disease. Ann Intern Med. 1984;101:435–9. doi: 10.7326/0003-4819-101-4-435. [DOI] [PubMed] [Google Scholar]
- 32.Nolte MT, Pirofsky B, Gerritz GA, Golding B. Intravenous immunoglobulin therapy for antibody deficiency. Clin Exp Immunol. 1979;36:237–43. [PMC free article] [PubMed] [Google Scholar]
- 33.Roifman CM, Lederman HM, Lavi SF, Stein LD, Levison H, Gelfand EW. Benefit of intravenous IgG replacement in hypogammaglobulinemic patients with chronic sinopulmonary disease. Am J Med. 1985;79:171–4. doi: 10.1016/0002-9343(85)90006-3. [DOI] [PubMed] [Google Scholar]
- 34.Busse PJ, Razvi S, Cunningham-Rundles C. Efficacy of intravenous immunoglobulin in the prevention of pneumonia in patients with common variable immunodeficiency. J Allergy Clin Immunol. 2002;109:1001–4. doi: 10.1067/mai.2002.124999. [DOI] [PubMed] [Google Scholar]
- 35.de Gracia J, Vendrell M, Alvarez A, et al. Immunoglobulin therapy to control lung damage in patients with common variable immunodeficiency. Int Immunopharmacol. 2004;4:745–53. doi: 10.1016/j.intimp.2004.02.011. [DOI] [PubMed] [Google Scholar]
- 36.Winkelstein JA, Marino MC, Ochs H, et al. The X-linked hyper-IgM syndrome: clinical and immunologic features of 79 patients. Medicine (Balt) 2003;82:373–84. doi: 10.1097/01.md.0000100046.06009.b0. [DOI] [PubMed] [Google Scholar]
- 37.Quartier P, Bustamante J, Sanal O, et al. Clinical, immunologic and genetic analysis of 29 patients with autosomal recessive hyper-IgM syndrome due to activation-induced cytidine deaminase deficiency. Clin Immunol. 2004;110:22–9. doi: 10.1016/j.clim.2003.10.007. [DOI] [PubMed] [Google Scholar]
- 38.Levy J, Espanol-Boren T, Thomas C, et al. Clinical spectrum of X-linked hyper-IgM syndrome. J Pediatr. 1997;131:47–54. doi: 10.1016/s0022-3476(97)70123-9. [DOI] [PubMed] [Google Scholar]
- 39.Bernatowska-Matuszkiewicz E, Pac M, Skopcynska H, Pum M, Eibl MM. Clinical efficacy of intravenous immunoglobulin in patients with severe inflammatory chest disease and IgG3 subclass deficiency. Clin Exp Immunol. 1991;85:193–7. doi: 10.1111/j.1365-2249.1991.tb05703.x. [DOI] [PMC free article] [PubMed] [Google Scholar]
- 40.Silk HJ, Ambrosino D, Geha RS. Effect of intravenous gammaglobulin therapy in IgG2 deficient and IgG2 sufficient children with recurrent infections and poor response to immunization with Hemophilus influenzae type b capsular polysaccharide antigen. Ann Allergy. 1990;64:21–5. [PubMed] [Google Scholar]
- 41.Litzman J, Jones A, Hann I, Chapel H, Strobel S, Morgan G. Intravenous immunoglobulin, splenectomy, and antibiotic prophylaxis in Wiskott–Aldrich syndrome. Arch Dis Child. 1996;75:436–9. doi: 10.1136/adc.75.5.436. [DOI] [PMC free article] [PubMed] [Google Scholar]
- 42.Conley ME, Saragoussi D, Notarangelo L, Etzioni A, Casanova JL. An international study examining therapeutic options used in treatment of Wiskott–Aldrich syndrome. Clin Immunol. 2003;109:272–7. doi: 10.1016/j.clim.2003.08.005. [DOI] [PubMed] [Google Scholar]
- 43.Bonilla FA, Bernstein IL, Khan D, et al. Practice parameter for the diagnosis and management of primary immunodeficiency. Ann Allergy Asthma Immunol. 2005;94:S1–63. doi: 10.1016/s1081-1206(10)61142-8. [DOI] [PubMed] [Google Scholar]
- 44.Gustafson R, Gardulf A, Hansen S, et al. Rapid subcutaneous immunoglobulin administration every second week results in high and stable serum immunoglobulin G levels in patients with primary antibody deficiencies. Clin Exp Immunol. 2008;152:274–9. doi: 10.1111/j.1365-2249.2008.03620.x. [DOI] [PMC free article] [PubMed] [Google Scholar]
- 45.Koleba T, Ensom MH. Pharmacokinetics of intravenous immunoglobulin: a systematic review. Pharmacotherapy. 2006;26:813–27. doi: 10.1592/phco.26.6.813. [DOI] [PubMed] [Google Scholar]
- 46.Chapel HM. Consensus on diagnosis and management of primary antibody deficiencies. Consensus Panel for the Diagnosis and Management of Primary Antibody Deficiencies. BMJ. 1994;308:581–5. doi: 10.1136/bmj.308.6928.581. [DOI] [PMC free article] [PubMed] [Google Scholar]
- 47.Eijkhout HW, van Der Meer JW, Kallenberg CG, et al. The effect of two different dosages of intravenous immunoglobulin on the incidence of recurrent infections in patients with primary hypogammaglobulinemia. A randomized, double-blind, multicenter crossover trial. Ann Intern Med. 2001;135:165–74. doi: 10.7326/0003-4819-135-3-200108070-00008. [DOI] [PubMed] [Google Scholar]
- 48.Roifman CM, Schroeder H, Berger M, et al. Comparison of the efficacy of IGIV-C, 10% (caprylate/chromatography) and IGIV-SD, 10% as replacement therapy in primary immune deficiency.A randomized double-blind trial. Int Immunopharmacol. 2003;3:1325–33. doi: 10.1016/s1567-5769(03)00134-6. [DOI] [PubMed] [Google Scholar]
- 49.Chapel HM, Spickett GP, Ericson D, Engl W, Eibl MM, Bjorkander J. The comparison of the efficacy and safety of intravenous versus subcutaneous immunoglobulin replacement therapy. J Clin Immunol. 2000;20:94–100. doi: 10.1023/a:1006678312925. [DOI] [PubMed] [Google Scholar]
- 50.Galli E, Barbieri C, Cantani A, Solano A, Longhi MA, Businco L. Treatment with gammaglobulin preparation for intravenous use in children with humoral immunodeficiency: clinical and immunologic follow-up. Ann Allergy. 1990;64:147–50. [PubMed] [Google Scholar]
- 51.Brennan VM, Salome-Bentley NJ, Chapel HM. Prospective audit of adverse reactions occurring in 459 primary antibody-deficient patients receiving intravenous immunoglobulin. Clin Exp Immunol. 2003;133:247–51. doi: 10.1046/j.1365-2249.2003.02199.x. [DOI] [PMC free article] [PubMed] [Google Scholar]
- 52.Hogy B, Keinecke HO, Borte M. Pharmacoeconomic evaluation of immunoglobulin treatment in patients with antibody deficiencies from the perspective of the German statutory health insurance. Eur J Health Econ. 2005;6:24–9. doi: 10.1007/s10198-004-0250-5. [DOI] [PubMed] [Google Scholar]
- 53.Yalcin E, Kiper N, Ozcelik U, et al. Effects of claritromycin on inflammatory parameters and clinical conditions in children with bronchiectasis. J Clin Pharm Ther. 2006;31:49–55. doi: 10.1111/j.1365-2710.2006.00708.x. [DOI] [PubMed] [Google Scholar]
- 54.Clement A, Tamalet A, Leroux E, Ravilly S, Fauroux B, Jais JP. Long term effects of azithromycin in patients with cystic fibrosis: a double blind, placebo controlled trial. Thorax. 2006;61:895–902. doi: 10.1136/thx.2005.057950. [DOI] [PMC free article] [PubMed] [Google Scholar]
- 55.Koh YY, Lee MH, Sun YH, Sung KW, Chae JH. Effect of roxithromycin on airway responsiveness in children with bronchiectasis: a double-blind, placebo-controlled study. Eur Respir J. 1997;10:994–9. doi: 10.1183/09031936.97.10050994. [DOI] [PubMed] [Google Scholar]
- 56.Tsang KW, Ho PI, Chan KN, et al. A pilot study of low-dose erythromycin in bronchiectasis. Eur Respir J. 1999;13:361–4. doi: 10.1183/09031936.99.13236199. [DOI] [PubMed] [Google Scholar]
- 57.Davies G, Wilson R. Prophylactic antibiotic treatment of bronchiectasis with azithromycin. Thorax. 2004;59:540–1. [PMC free article] [PubMed] [Google Scholar]
- 58.Cymbala AA, Edmonds LC, Bauer MA, et al. The disease-modifying effects of twice-weekly oral azithromycin in patients with bronchiectasis. Treat Respir Med. 2005;4:117–22. doi: 10.2165/00151829-200504020-00005. [DOI] [PubMed] [Google Scholar]
- 59.Taccetti G, Campana S, Festini F, Mascherini M, Doring G. Early eradication therapy against Pseudomonas aeruginosa in cystic fibrosis patients. Eur Respir J. 2005;26:458–61. doi: 10.1183/09031936.05.00009605. [DOI] [PubMed] [Google Scholar]
- 60.Jensen T, Pedersen SS, Garne S, Heilmann C, Hoiby N, Koch C. Colistin inhalation therapy in cystic fibrosis patients with chronic Pseudomonas aeruginosa lung infection. J Antimicrob Chemother. 1987;19:831–8. doi: 10.1093/jac/19.6.831. [DOI] [PubMed] [Google Scholar]
- 61.Moss RB. Long-term benefits of inhaled tobramycin in adolescent patients with cystic fibrosis. Chest. 2002;121:55–63. doi: 10.1378/chest.121.1.55. [DOI] [PubMed] [Google Scholar]
- 62.Chuchalin A, Csiszer E, Gyurkovics K, et al. A formulation of aerosolized tobramycin (Bramitob) in the treatment of patients with cystic fibrosis and Pseudomonas aeruginosa infection: a double-blind, placebo-controlled, multicenter study. Paediatr Drugs. 2007;9(Suppl 1):21–31. doi: 10.2165/00148581-200709001-00004. [DOI] [PubMed] [Google Scholar]
- 63.Lin HC, Cheng HF, Wang CH, Liu CY, Yu CT, Kuo HP. Inhaled gentamicin reduces airway neutrophil activity and mucus secretion in bronchiectasis. Am J Respir Crit Care Med. 1997;155:2024–9. doi: 10.1164/ajrccm.155.6.9196111. [DOI] [PubMed] [Google Scholar]
- 64.Bradley J, Moran F, Greenstone M. Physical training for bronchiectasis. Cochrane Database Syst Rev. 2002;3:CD002166. doi: 10.1002/14651858.CD002166. [DOI] [PMC free article] [PubMed] [Google Scholar]
- 65.Newall C, Stockley RA, Hill SL. Exercise training and inspiratory muscle training in patients with bronchiectasis. Thorax. 2005;60:943–8. doi: 10.1136/thx.2004.028928. [DOI] [PMC free article] [PubMed] [Google Scholar]
- 66.Tsang KWF, Tan KC, Ho PL, et al. Inhaled fluticasone in bronchiectasis: a 12 month study. Thorax. 2005;60:239–43. doi: 10.1136/thx.2002.003236. [DOI] [PMC free article] [PubMed] [Google Scholar]
- 67.Franco F, Sheikh A, Greenstone M. Short acting beta-2 agonists for bronchiectasis. Cochrane Database Syst Rev. 2003;3:CD003572. doi: 10.1002/14651858.CD003572. [DOI] [PubMed] [Google Scholar]
- 68.Sheikh A, Nolan D, Greenstone M. Long-acting beta-2-agonists for bronchiectasis. Cochrane Database Syst Rev. 2001;4:CD002155. doi: 10.1002/14651858.CD002155. [DOI] [PMC free article] [PubMed] [Google Scholar]
- 69.Corless JA, Warburton CJ. Leukotriene receptor antagonists for non-cystic fibrosis bronchiectasis. Cochrane Database Syst Rev. 2000;4:CD002174. doi: 10.1002/14651858.CD002174. [DOI] [PMC free article] [PubMed] [Google Scholar]
- 70.Crockett AJ, Cranston JM, Latimer KM, Alpers JH. Mucolytics for bronchiectasis. Cochrane Database Syst Rev. 2000;1:CD001289. doi: 10.1002/14651858.CD001289. [DOI] [PubMed] [Google Scholar]
- 71.O'Donnell AE, Barker AF, Ilowite JS, Fick RB. Treatment of idiopathic bronchiectasis with aerosolized recombinant human DNase I. rhDNase Study Group. Chest. 1998;113:1329–34. doi: 10.1378/chest.113.5.1329. [DOI] [PubMed] [Google Scholar]
- 72.Corless JA, Warburton CJ. Surgery vs non-surgical treatment for bronchiectasis. Cochrane Database Syst Rev. 2000;4:CD002180. doi: 10.1002/14651858.CD002180. [DOI] [PMC free article] [PubMed] [Google Scholar]
- 73.Bates CA, Ellison MC, Lynch DA, Cool CD, Brown KK, Routes JM. Granulomatous-lymphocytic lung disease shortens survival in common variable immunodeficiency. J Allergy Clin Immunol. 2004;114:415–21. doi: 10.1016/j.jaci.2004.05.057. [DOI] [PubMed] [Google Scholar]
- 74.Morimoto Y, Routes JM. Granulomatous disease in common variable immunodeficiency. Curr Allergy Asthma Rep. 2005;5:370–5. doi: 10.1007/s11882-005-0008-x. [DOI] [PubMed] [Google Scholar]
- 75.Fasano MB, Sullivan KE, Sarpong SB, et al. Sarcoidosis and common variable immunodeficiency. Report of 8 cases and review of the literature. Medicine (Balt) 1996;75:251–61. doi: 10.1097/00005792-199609000-00002. [DOI] [PubMed] [Google Scholar]
- 76.Mechanic LJ, Dikman S, Cunningham-Rundles C. Granulomatous disease in common variable immunodeficiency. Ann Intern Med. 1997;127:613–17. doi: 10.7326/0003-4819-127-8_part_1-199710150-00005. [DOI] [PubMed] [Google Scholar]
- 77.Mullighan CG, Fanning GC, Chapel HM, Welsh KI. TNF and lymphotoxin-alpha polymorphisms associated with common variable immunodeficiency: role in the pathogenesis of granulomatous disease. J Immunol. 1997;159:6236–41. [PubMed] [Google Scholar]
- 78.Mullighan CG, Marshall SE, Bunce M, Welsh KI. Variation in immunoregulatory genes determines the clinical phenotype of common variable immunodeficiency. Genes Immun. 1999;1:137–48. doi: 10.1038/sj.gene.6363653. [DOI] [PubMed] [Google Scholar]
- 79.Wheat WH, Cool CD, Morimoto Y, et al. Possible role of human herpesvirus 8 in the lymphoproliferative disorders in common variable immunodeficiency. J Exp Med. 2005;202:479–84. doi: 10.1084/jem.20050381. [DOI] [PMC free article] [PubMed] [Google Scholar]
- 80.Chua I, Standish R, Lear S, et al. Anti-tumour necrosis factor-alpha therapy for severe enteropathy in patients with common variable immunodeficiency (CVID) Clin Exp Immunol. 2007;150:306–11. doi: 10.1111/j.1365-2249.2007.03481.x. [DOI] [PMC free article] [PubMed] [Google Scholar]
- 81.Raeiszadeh M, Kopycinski J, Paston SJ, et al. The T cell response to persistent herpes virus infections in common variable immunodeficiency. Clin Exp Immunol. 2006;146:234–42. doi: 10.1111/j.1365-2249.2006.03209.x. [DOI] [PMC free article] [PubMed] [Google Scholar]
- 82.Manson D, Reid B, Dalal I, Roifman CM. Clinical utility of high-resolution pulmonary computed tomography in children with antibody deficiency disorders. Pediatr Radiol. 1997;27:794–8. doi: 10.1007/s002470050235. [DOI] [PubMed] [Google Scholar]
- 83.Walsh G, Flower CD, Nasser S, Ewan PW. Granulomatous interstitial pneumonitis in association with primary hypogammaglobulinemia: computed tomography appearances. J Thorac Imaging. 1999;14:207–9. doi: 10.1097/00005382-199907000-00008. [DOI] [PubMed] [Google Scholar]
- 84.Popa V, Colby TV, Reich SB. Pulmonary interstitial disease in Ig deficiency. Chest. 2002;122:1594–603. doi: 10.1378/chest.122.5.1594. [DOI] [PubMed] [Google Scholar]
- 85.Park JE, Beal I, Dilworth JP, Tormey V, Haddock J. The HRCT appearances of granulomatous pulmonary disease in common variable immune deficiency. Eur J Radiol. 2005;54:359–64. doi: 10.1016/j.ejrad.2004.09.005. [DOI] [PubMed] [Google Scholar]
- 86.Popa V. Airway obstruction in adults with recurrent respiratory infections and IgG deficiency. Chest. 1994;105:1066–72. doi: 10.1378/chest.105.4.1066. [DOI] [PubMed] [Google Scholar]
- 87.Davies CW, Juniper MC, Gray W, Gleeson FV, Chapel HM, Davies RJ. Lymphoid interstitial pneumonitis associated with common variable hypogammaglobulinaemia treated with cyclosporin A. Thorax. 2000;55:88–90. doi: 10.1136/thorax.55.1.88. [DOI] [PMC free article] [PubMed] [Google Scholar]
- 88.Paramothayan S, Lasserson TJ, Walters EH. Immunosuppressive and cytotoxic therapy for pulmonary sarcoidosis. Cochrane Database Syst Rev. 2006;3:CD003536. doi: 10.1002/14651858.CD003536.pub2. [DOI] [PMC free article] [PubMed] [Google Scholar]
- 89.Prior C, Knight RA, Herold M, Ott G, Spiteri MA. Pulmonary sarcoidosis: patterns of cytokine release in vitro. Eur Respir J. 1996;9:47–53. doi: 10.1183/09031936.96.09010047. [DOI] [PubMed] [Google Scholar]
- 90.Roach DR, Bean AG, Demangel C, France MP, Briscoe H, Britton WJ. TNF regulates chemokine induction essential for cell recruitment, granuloma formation and clearance of mycobacterial infection. J Immunol. 2002;168:4620–7. doi: 10.4049/jimmunol.168.9.4620. [DOI] [PubMed] [Google Scholar]
- 91.Hatab AZ, Ballas ZK. Caseating granulomatous disease in common variable immunodeficiency treated with infliximab. J Allergy Clin Immunol. 2005;116:1161–2. doi: 10.1016/j.jaci.2005.08.041. [DOI] [PubMed] [Google Scholar]
- 92.Thatayatikom A, Thatayatikom S, White AJ. Infliximab treatment for severe granulomatous disease in common variable immunodeficiency: a case report and review of the literature. Ann Allergy Asthma Immunol. 2005;95:293–300. doi: 10.1016/S1081-1206(10)61228-8. [DOI] [PubMed] [Google Scholar]
- 93.Lin JH, Liebhaber M, Roberts RL, Dyer Z, Stiehm ER, Stiehm ER. Etanercept treatment of cutaneous granulomas in common variable immunodeficiency. J Allergy Clin Immunol. 2006;117:878–82. doi: 10.1016/j.jaci.2006.01.034. [DOI] [PubMed] [Google Scholar]
- 94.Baughman RP, Drent M, Kavuru M, et al. Infliximab therapy in patients with chronic sarcoidosis and pulmonary involvement. Am J Respir Crit Care Med. 2006;174:795–802. doi: 10.1164/rccm.200603-402OC. [DOI] [PubMed] [Google Scholar]
- 95.Kinlen LJ, Webster AD, Bird AG, et al. Prospective study of cancer in patients with hypogammaglobulinaemia. Lancet. 1985;1:263–6. doi: 10.1016/s0140-6736(85)91037-2. [DOI] [PubMed] [Google Scholar]
- 96.Cunningham-Rundles C, Siegal FP, Lieberman P. Incidence of cancer in 98 patients with common varied immunodeficiency. J Clin Immunol. 1987;7:294–9. doi: 10.1007/BF00915550. [DOI] [PubMed] [Google Scholar]
- 97.Yeatman M, McNeil K, Smith JA, et al. Lung transplantation in patients with systemic diseases: an eleven-year experience at Papworth Hospital. J Heart Lung Transplant. 1996;15:144–9. [PubMed] [Google Scholar]
- 98.Hill AT, Thompson RA, Wallwork J, Stableforth DE. Heart lung transplantation in a patient with end stage lung disease due to common variable immunodeficiency. Thorax. 1998;53:622–3. doi: 10.1136/thx.53.7.622. [DOI] [PMC free article] [PubMed] [Google Scholar]
- 99.Morales P, Hernandez D, Vicente R, et al. Lung transplantation in patients with x-linked agammaglobulinemia. Transplant Proc. 2003;35:1942–3. doi: 10.1016/s0041-1345(03)00713-9. [DOI] [PubMed] [Google Scholar]
- 100.Burton CM, Milman N, Andersen CB, Marquart H, Iversen M. Common variable immune deficiency and lung transplantation. Scand J Infect Dis. 2007;39:362–7. doi: 10.1080/00365540600978955. [DOI] [PubMed] [Google Scholar]
- 101.Warnatz K, Denz A, Drager R, et al. Severe deficiency of switched memory B cells (CD27(+)IgM(-)IgD(-)) in subgroups of patients with common variable immunodeficiency: a new approach to classify a heterogeneous disease. Blood. 2002;99:1544–51. doi: 10.1182/blood.v99.5.1544. [DOI] [PubMed] [Google Scholar]
- 102.Piqueras B, Lavenu-Bombled C, Galicier L, et al. Common variable immunodeficiency patient classification based on impaired B cell memory differentiation correlates with clinical aspects. J Clin Immunol. 2003;23:385–400. doi: 10.1023/a:1025373601374. [DOI] [PubMed] [Google Scholar]
- 103.Ferry BL, Jones J, Bateman EA, et al. Measurement of peripheral B cell subpopulations in common variable immunodeficiency (CVID) using a whole blood method. Clin Exp Immunol. 2005;140:532–9. doi: 10.1111/j.1365-2249.2005.02793.x. [DOI] [PMC free article] [PubMed] [Google Scholar]
- 104.Carsetti R, Rosado MM, Donnanno S, et al. The loss of IgM memory B cells correlates with clinical disease in common variable immunodeficiency. J Allergy Clin Immunol. 2005;115:412–17. doi: 10.1016/j.jaci.2004.10.048. [DOI] [PubMed] [Google Scholar]
- 105.Detkova D, de GJ, Lopes-da-Silva S, et al. Common variable immunodeficiency: association between memory B cells and lung diseases. Chest. 2007;131:1883–9. doi: 10.1378/chest.06-2994. [DOI] [PubMed] [Google Scholar]
- 106.Alachkar H, Taubenheim N, Haeney MR, Durandy A, Arkwright PD. Memory switched B cell percentage and not serum immunoglobulin concentration is associated with clinical complications in children and adults with specific antibody deficiency and common variable immunodeficiency. Clin Immunol. 2006;120:310–18. doi: 10.1016/j.clim.2006.05.003. [DOI] [PubMed] [Google Scholar]
- 107.Wehr C, Kivioja T, Schmitt C, et al. The EUROclass trial: defining subgroups in common variable immunodeficiency. Blood. 2008;111:77–85. doi: 10.1182/blood-2007-06-091744. [DOI] [PubMed] [Google Scholar]
