Abstract
Background & Aims
Heparin-binding epidermal growth factor-like growth factor (HB-EGF) is produced as a type I single pass transmembrane protein that can be cleaved to release a diffusible peptide. HB-EGF, often over-expressed in damaged or diseased epithelium, is normally expressed in pancreatic islets but its function is not understood.
Methods
To understand the function of each isoform of HB-EGF, we made transgenes expressing either a constitutively transmembrane or a constitutively secreted protein.
Results
The transmembrane isoform was not an inert precursor protein, but a functional molecule, down-regulating the glucose-sensing apparatus of pancreatic islets. Conversely, the secreted form of HB-EGF improved islet function, but had severe fibrotic and neoplastic effects on surrounding tissues. Each isoform had a more severe phenotype than that of full-length HB-EGF, even though the full-length protein was efficiently cleaved, thus producing both isoforms, suggesting that a level of regulation was lost by separating the isoforms.
Conclusions
This work demonstrates that islet function depends on the ratio of cleaved to uncleaved HB-EGF and that the transmembrane intermediate, while deleterious to islet function, is necessary to restrict action of soluble HB-EGF away from surrounding tissue.
INTRODUCTION
The pancreas is a complex organ with two distinct functions. The exocrine pancreas, composed of acini and ducts, produces and transports digestive enzymes to the gut. Embedded within the exocrine compartment is the endocrine pancreas, composed of the islets of Langerhans, which secrete hormones including insulin into the bloodstream to maintain glucose homeostasis. The close juxtaposition of the endocrine and exocrine pancreas suggests that secreted molecules must either act on both tissues or there must be a mechanism to restrict activity to one tissue or the other. For example, islets produce high levels of at least two ligands for the epidermal growth factor receptor (EGFR), heparin-binding epidermal growth factor-like growth factor (HB-EGF) and betacellulin.1, 2 Inhibiting their signaling in islets via expression of a dominant negative EGFR transgene led to endocrine dysfunction,3 suggesting that EGFR signaling is beneficial to islet function. However, an elevated level of EGFR signaling in the exocrine pancreas is associated with fibrosis, loss of acinar mass, and ductal hyperplasia.4, 5 Thus, the high level of expression of EGFR ligands in islets could be deleterious to the surrounding exocrine pancreas. Due to the juxtaposition of these two tissues, mechanisms must exist to segregate the effects of EGFR ligands, maintaining their effects in the endocrine pancreas while preventing their effects on the exocrine pancreas.
Like other family members, HB-EGF is synthesized as a transmembrane protein (proHB-EGF) that can be cleaved by metalloproteinases to release a soluble, diffusible ligand. Whether or not the transmembrane intermediate has some function beyond that of an inactive precursor has recently come under scrutiny. In a variety of cultured cell lines, proHB-EGF remains at the membrane, uncleaved, until distinct signaling events activate a metalloproteinase that cleaves proHB-EGF, releasing the secreted, soluble molecule (sHB-EGF).6, 7 These signaling events convert a seemingly inactive proHB-EGF into a secreted activator of EGFR signaling. However, mounting evidence indicates that proHB-EGF is itself an active signaling molecule. A variety of experiments have shown that proHB-EGF is capable of activating EGFR when cells are closely juxtaposed.8, 9 proHB-EGF also forms complexes with integrins,10 although the consequences of these interactions are not understood.
Because a variety of Matrix Metalloproteinases (MMPs) and A Disintegrin And Metalloproteinases (ADAMs) have been implicated in cleavage of HB-EGF, it would be difficult to block cleavage by loss of individual metalloproteinases. Rather, the role of cleavage has been studied by removing the site of metalloproteinase cleavage within the HB-EGF molecule.11–13 Deletion of 5 amino acids at the juxtamembrane site abolished HB-EGF cleavage whereas truncation of the coding region at the same site efficiently produced a secreted HB-EGF molecule.11 These two forms of HB-EGF affected cell function in MDCK cells in very different ways. The uncleavable, transmembrane mutant, tmHB-EGF, promoted cell-cell and cell-matrix adhesion and inhibited migration and tubule formation. The constitutively secreted form, sHB-EGF, on the other hand, decreased cell-cell and cell-matrix interactions, promoted migration and enhanced tubule formation.11
Whether proHB-EGF is an active regulatory molecule in vivo has not been clear. Yamazaki and colleagues replaced the endogenous alleles encoding HB-EGF with mutated Hbegf cDNAs that encoded proteins that could not be cleaved or that produced only a soluble form.13 The secreted form was sufficient to rescue the heart defects that were observed with Hbegf null alleles. However, constitutive release of sHB-EGF in these mice led to severe hyperplasia in both skin and heart, supporting data that cleavage of HB-EGF must be tightly regulated. Expression of only uncleavable, transmembrane HB-EGF did not rescue the heart defects of the Hbegf null mouse, but increased average survival time, suggesting that there may be other, unknown functions of the transmembrane isoform.
Null mutation of the hbegf gene did not result in a pancreatic phenotype, but its coexpression with another family member, betacellulin,2 may have obscured a required but redundant function. Taking an alternative approach to studying gene function, we overexpressed HB-EGF in pancreatic islets using a transgene. 14 This islet-specific over-expression resulted in intra-islet fibrosis and intra-islet hyperplastic ducts. In addition, approximately 10% of mice developed diabetes. The transgene examined in that study produced the full-length form of HB-EGF, a transmembrane protein that could be cleaved to release a secreted molecule. In the current report, we have utilized this system to examine the relative functions of the different isoforms of HB-EGF. We have established transgenic mouse lines that express either a constitutively secreted sHB-EGF or an uncleavable tmHB-EGF molecule in pancreatic islets. We demonstrate that the transmembrane isoform of a ligand in the EGF family is not simply an inactive precursor, but is a functional regulatory protein. Furthermore, we demonstrate that the transmembrane intermediate, proHB-EGF, confines the activity of its cleaved, soluble product to the expressing tissue, segregating the effects of this potent growth factor away from surrounding tissues.
RESULTS
Expression of HB-EGF transgenes
We designed transgenes to overexpress HB-EGF within cells that normally express endogenous HB-EGF, the pancreatic islets of Langerhans. We used the Pdx1 promoter, which is active within the insulin-producing β cells,15 to drive expression of cDNAs that contained deletion mutations of the rat HB-EGF cDNA (Figure 1). One deletion, here referred to as tmHB-EGF, produces an uncleavable, constitutively transmembrane protein via deletion of 15 basepairs, or 5 amino acids, at the site of juxtamembrane cleavage. Without this sequence, there is no detectable release of soluble HB-EGF protein or activity.11 The other deletion, termed sHB-EGF, is a truncation at the juxtamembrane region, such that no transmembrane form of HB-EGF is produced and HB-EGF is constitutively secreted.11
Figure 1. HB-EGF transgenes.

cDNAs encoding the rat HB-EGF coding sequence were cloned downstream of Pdx1 regulatory elements and the hsp68 minimal promoter. Pdx1-proHB-EGF was reported previously and contains the entire HB-EGF coding region fused to the FLAG reporter. Pdx1-sHB-EGF is truncated at the extracellular juxtamembrane domain such that all protein delivered to the cell surface is secreted. Pdx1-tmHB-EGF contains an internal deletion of 15 bp at the site of juxtamembrane cleavage, rendering it uncleavable and therefore constitutively transmembrane. FLAG, flag epitope tag; JM, juxtamembrane region; mature, region encoding soluble HB-EGF; arrow, transcription initiation site.
At least 3 different transgenic lines were established from each transgene construct. In all lines examined, expression of the transgenes was limited to β cells in the adult pancreas (Figure 2, Supplemental Figure S1 and data not shown). Another mouse line presented here expressed the tmHB-EGF transgene mosaically in a subset of β cells (Supplemental Figure S1H, L). Expression of endogenous HB-EGF in each line was readily detectable using an antibody to the mature region in the N-terminus (Figure 2A). More intense staining was observed in both sHB-EGF and tmHB-EGF lines (Figure 2B, C). However, an antibody raised to the intracellular region in the C-terminus was not able to detect endogenous HB-EGF or overexpressed sHB-EGF (Figure 2D, E) but readily detected constitutively transmembrane tmHB-EGF (Figure 2F and Supplemental Figure S1).
Figure 2. Pdx1-HB-EGF transgenes elevate total HB-EGF levels specifically in islets of the adult pancreas.
A–C. Islets immunostained with an antibody to the mature region of HB-EGF (brown). D–F. Islets immunostained with an antibody to the intracellular domain of HB-EGF. A, D. non-transgenic islets; B, E. Pdx1-sHB-EGF islets; C, F. Pdx1-tmHB-EGF islets. Dotted lines, islet outlines.
Transgene expression elevated total HB-EGF mRNA 3–8 fold above the endogenous level (Supplemental Figure S2). Expression of sHB-EGF increased total HB-EGF expression only 3–4 fold and tmHB-EGF elevated total expression 5–8 fold, while a transgenic line carrying the proHB-EGF transgene14 was expressed approximately 4.5-fold higher than the endogenous level. The lower level of sHB-EGF expression may reflect selection against high expressing lines. For this transgene, we obtained 16 founders carrying the sHB-EGF transgene but only 3 of these expressed the transgene and survived long enough to breed.
Pancreatic development in the presence of HB-EGF overexpression
Because the Pdx1 promoter also drives expression in early, undifferentiated pancreatic cells, we examined transgene expression during development. Expression from both transgenes was observed as early as embryonic day (E) 12.5 (Supplemental Figure S3A) but became downregulated in non-β cells starting around E14.5 (data not shown). At the time of birth, pancreatic epithelium in all transgenic lines was similar to that of non-transgenic littermates with the exception that islets from tmHB-EGF mice often remained adjacent to the ductal epithelium from which they arose (Supplemental Figure S3B, C). Additionally, as islets formed, they were impaired in their ability to arrange the normal murine architecture with β cells in the core and other hormone-producing cells around the periphery (Supplemental Figure S5).
Expression of the secreted form of HB-EGF had little effect on pancreatic epithelium prior to birth but resulted in an increase in pancreas-associated mesenchyme (Figure S3D) and a failure of mesenchymal tissue to form correct boundaries near the pancreas. Specifically, the spleen failed to segregate from pancreatic mesenchyme, resulting in fusion of the spleen to the pancreas (Supplemental Figure S3E), and a small region of mesenchyme between the pancreas and the duodenum failed to differentiate into smooth muscle (Supplemental Figure S3F).
Secreted HB-EGF and transmembrane HB-EGF have opposing functions in glucose homeostasis
We next examined the consequences of HB-EGF overexpression on adult pancreas. All transgenic mice had normal fasting levels of blood glucose at all ages examined (Figure 3). However, an increase of transmembrane HB-EGF in β cells impaired the ability of mice to clear glucose from the blood following a glucose challenge. By 2 months of age, tmHB-EGF mice began to display significant glucose intolerance, unable to reduce blood glucose back to fasted levels within 2 hours (Figure 3A, B). By 6 months of age, the glucose intolerance became much more severe (Figure 3C). This effect on islet function was apparent only in male mice (Figure 3C) as commonly observed in mouse models, probably due to the protective effects of estrogen.16 Conversely, elevation of the amount of secreted HB-EGF conferred a slight improvement in islet function. When presented with a glucose challenge, sHB-EGF mice were reproducibly able to reduce blood glucose levels faster than their non-transgenic control littermates (Figure 3D).
Figure 3. The transmembrane isoform of HB-EGF impairs islet function.

A. tmHB-EGF mice exhibited glucose tolerance comparable to wildtype at 1 month of age. B. By 2 months of age, tmHB-EGF males had a delayed rate of blood glucose clearance. C. By 6 months of age, tmHB-EGF males were severely glucose intolerant, while females maintained normal blood glucose homeostasis. D. Overexpression of sHB-EGF slightly improved the ability of islets to clear glucose from the bloodstream. E. tmHB-EGF males had normal plasma insulin levels after fasting, but did not elevate plasma insulin as much as non-transgenic control mice after glucose injection. F. Pancreata from tmHB-EGF mice contained normal levels of insulin. Numbers in parentheses indicate sample sizes.
To determine whether the glucose intolerance caused by tmHB-EGF overexpression lay in impaired glucose-stimulated insulin secretion, we examined plasma insulin levels at fasting and 30 minutes after glucose injection. We found that tmHB-EGF mice contained a normal amount of insulin in the bloodstream during fasting, but were impaired in their ability to elevate plasma insulin in response to a glucose challenge (Figure 3E). However, this was not due to a decrease in insulin production within β cells. tmHB-EGF mice had similar levels of total pancreatic insulin to non-transgenic control mice (Figure 3F). Thus, the transmembrane form of HB-EGF impaired regulated secretion of insulin rather than insulin production.
To understand the mechanism underlying this impairment by tmHB-EGF expression, we examined known regulators of insulin secretion. Glut2 is a glucose transport protein responsible for bringing glucose into β cells where it can initiate the glycolytic pathway and induce insulin secretion. Overexpression of tmHB-EGF induced a profound decrease in Glut2 protein by immunohistochemistry (Figure 4). Islets isolated from wildtype and transgenic mice showed no change in the amount of Glut2 mRNA present in islets (Supplemental Figure S4A), but western analysis revealed that Glut2 protein was decreased 80% in tmHB-EGF mice as compared to wildtype littermates (p=0.02; Supplemental Figure S4B). Two observations suggest that this decrease was not secondary to elevated blood glucose. First, Glut2 levels were low prior to onset of glucose intolerance (data not shown). Second, in a transgenic line that exhibited mosaic expression of tmHB-EGF, β cells that expressed the transgene had decreased Glut2 while cells in the same islets that did not express the transgene maintained normal levels of Glut2 (Figure 4C–F). Thus, tmHB-EGF decreased Glut2 protein in a cell autonomous manner, independently of blood glucose levels.
Figure 4. Overexpression of uncleavable HB-EGF decreases Glut2 levels.
Glut2 was detected at the membrane of β cells in control mice (A) but was largely undetectable in tmHB-EGF mice (B). Analysis of mosaic mice demonstrated that Glut2 down-regulation was cell autonomous (C–F). Only β cells expressing the tmHB-EGF transgene (red) downregulated Glut2 (green) while surrounding β cells that did not express the transgene had normal levels of Glut2. C., control islet immunostained for insulin (blue) and Glut2 (green); D. Glut2 only from panel C. E. Pdx1-tmHB-EGF islet immunostained for HB-EGF (red), insulin (blue), and Glut2 (green); F. Glut2 staining alone from panel E. Dotted lines indicate areas of cells that express the tmHB-EGF transgene.
Because the transgenes used in this study increased the overall level of HB-EGF as well as altering the ratio of secreted to transmembrane HB-EGF, we determined whether blocking cleavage of endogenous HB-EGF would also downregulate Glut2. Islets were isolated from non-transgenic mice and cultured in the presence of vehicle or varying concentrations of broad-spectrum metalloproteinase inhibitors BB94 or GM6001 (Figure 5 and data not shown). Blocking cleavage of HB-EGF with these inhibitors led to downregulation of Glut2 demonstrating that the effects of the tmHB-EGF transgene likely resulted from β cells maintaining uncleaved HB-EGF on their cell surfaces rather than from elevating the overall level of HB-EGF protein.
Figure 5. Inhibition of cleavage by metalloproteinases decreases Glut2 levels.
Islets were isolated from non-transgenic control mice and cultured in vehicle (A) or in 30 μM BB94 (B) for 3 days, then stained for Glut2 (green staining at cell membranes). Nuclei were visualized by DAPI staining (blue). Images were captured under identical microscopy conditions.
Secreted HB-EGF promotes neoplasia
While overexpression of sHB-EGF gave a mild improvement to islet function, its production by islets adversely affected the surrounding exocrine parenchyma. While pancreatic epithelium was morphologically normal at birth, by 1–2 months of age, sHB-EGF mice contained focal regions comprised of abnormal ductal lesions surrounded by fibrosis (Figure 6A). By 6 months of age, all sHB-EGF mice had severe loss of acinar mass replaced by extensive fibrosis (Supplemental Figure S6) and epithelial lesions (Figure 6B), particularly in the head and tail of the pancreas. Some of the lesions had the appearance of hyperplastic ducts found in chronic pancreatitis patients as well as occasionally in normal pancreas of older patients (Figure 6C). However, many other types of ductal, mixed acinar-ductal, and acinar lesions were also seen. Multiple types of hyperplastic and dysplastic lesions in a single mouse were not rare, occurring in each sHB-EGF mouse examined. Some of the lesions were large, dilated ductal cysts with cuboidal epithelium (Figure 6D) characteristic of serous cystadenoma lesions seen in humans. Many papillary lesions were observed with highly branched mucinous ducts occurring within a ductal cyst (Figure 6E, F), consistent with the appearance of intraductal papillary mucinous neoplasms (IPMNs) in humans. All lesions had a higher proliferative index than did normal ductal epithelium (Supplemental Table S1). The number of cells positive for phospho-histone H3, a marker of M phase of the cell cycle, ranged from 0.4% to 1.0% of cells within each of the different lesions. No phospho-histone H3 staining was observed in normal ducts. No cleaved caspase 3 was found in these lesions indicating that apoptosis was minimal (data not shown). Lesions remained benign through one year of age although loss of polarity and altered nuclear-cytoplasmic ratio were frequently observed (Supplemental Figure S7). Most cystadenomas appeared to rupture in older mice (Supplemental Figure S8). These ruptured cysts were always associated with extensive inflammation. By one year of age, almost no cystadenomas were found. Perhaps as a result of this damage, extensive steatosis occurred, with fat replacing one-third to two thirds of each pancreas by one year of age.
Figure 6. Fibrosis and epithelial hyperplasia and dysplasia occur in sHB-EGF mice.
Low power magnification (A, B) shows focal regions of fibrosis, loss of acinar mass, and ductal hyperplasia (below line) and surrounding normal parenchyma (above line) at 2 months of age (A) which became more extensive by 6 months of age (B). A variety of lesions occurred in sHB-EGF mice, including ductal metaplasia (C), large cystic lesions (D), and intra-ductal papillary lesions (E, F). Asterisks, examples of fibrotic regions; arrows, examples of ductal lesions; c, cysts; N, normal parenchyma.
Some lesions were exclusively ductal as determined by expression of keratin 19 but not amylase (Figure S9A and data not shown), but many were mixed ductal-acinar (Supplemental Figure S9B), containing cells of each type. A small number of lesions were mainly acinar, staining for amylase but not keratin 19 (Supplemental Figure S9C). Many lesions had characteristics of acinar-ductal metaplasia, a process in which acinar cells transdifferentiate into ductal epithelium. However, we did not observe any reliable co-staining of ductal and acinar markers in the same cell (Supplemental Figure S10). We have found previously that EGFR ligands can cause acinar cells in culture to transdifferentiate into ductal cells within three days.17 If a similar, rapid event occurred in vivo, it would be nearly impossible to identify cells undergoing this process. Therefore, without lineage tracing, we cannot know whether these hyperplastic ducts arose from acinar transdifferentiation or via transformation of normal pancreatic ducts.
tmHB-EGF did not affect exocrine parenchyma, consistent with an inability to diffuse from the expressing islet β cells. However, by 5 months of age, all mice had intra-islet fibrosis and some mice had abnormal mucinous hyperplastic ducts within islets (Figure 7). These intra-islet lesions were exclusively ductal in nature, expressing ductal cytokeratins but not acinar-specific amylase (data not shown). While their morphology was consistent with acinar-ductal metaplasia, we did not observe any dilation of acinar structures or any intra-islet acinar cells. The lumena of many intra-islet ductal lesions could be traced through multiple tissue sections to normal pancreatic ducts (data not shown), suggesting that they arose from normal ducts or as outgrowths from normal ducts rather than from acinar cell transdifferentiation.
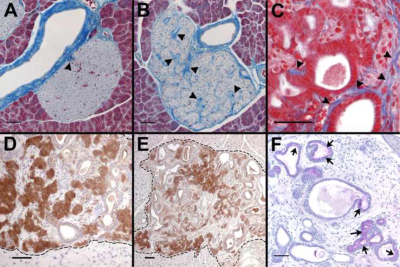
Figure 7. tmHB-EGF mice have fibrosis and ductal hyperplasia confined to islets.
A–C. Masson trichrome staining depicts collagen (blue; arrowheads) that normally surrounds ducts but has little to no presence in wildtype islets (A). tmHB-EGF mice exhibited extensive intra-islet collagen deposition indicative of fibrosis (B, C). C–F. Mucinous, hyperplastic ducts arose in some islets of tmHB-EGF mice. Insulin staining (brown) demonstrates that ducts were within islet boundaries (dashed lines in D, E) and PAS staining (pink; arrows) indicates that these were mucinous, not normal, ducts (F).
ProHB-EGF is rapidly cleaved in pancreatic islets
The phenotype that resulted from expression of full length, or proHB-EGF,14 was milder than that of either sHB-EGF or tmHB-EGF despite comparable levels of over-expression. To determine whether the proHB-EGF transgene product was cleaved, we compared the ratio of N-terminal to C-terminal peptides in proHB-EGF to the ratio in tmHB-EGF transgenic islets by double immunofluorescence since the transgenes were expressed at levels too low to detect by western blotting. Under the conditions employed, the N-terminus and C-terminus of tmHB-EGF exhibited similar fluorescent intensities (Figure 8A, B). However, under identical conditions, the N-terminus of proHB-EGF fluoresced well above background (Figure 8C) while fluorescence from the C-terminus was barely detectable (Figure 8D). This result suggests that proHB-EGF is largely cleaved in islets rather than remaining as a transmembrane protein and that the C-terminus is rapidly degraded. However, since proHB-EGF overexpression rarely affected the exocrine pancreas14 and sHB-EGF overexpression always affected the exocrine pancreas, the transmembrane intermediate proHB-EGF must prevent its cleaved product from reaching the surrounding tissue.
Figure 8. A large proportion of proHB-EGF is constitutively cleaved in pancreatic islets.
Islets from tmHB-EGF (A,B) and proHB-EGF (C,D) overexpressing mice were immunostained with antibodies specific for the extracellular domain (A,C) or the intracellular Flag domain (B,D). Under conditions where both domains of tmHB-EGF were similar in intensity for each antibody, proHB-EGF showed much less staining for the intracellular domain than the extracellular domain, indicating that proHB-EGF was largely cleaved and the intracellular domain was degraded.
DISCUSSION
Islets tightly regulate release of HB-EGF
The high level of endogenous HB-EGF and betacellulin2 in pancreatic islets presents a conundrum for tissue homeostasis. While islets appear to require a high level of EGFR signaling for normal function,3 surrounding pancreatic tissues are adversely affected by EGFR ligands, with fibrosis, loss of acinar mass and appearance of hyperplastic ducts arising when a ligand reaches the exocrine pancreas. The close apposition of endocrine and exocrine tissues that are differentially affected by EGFR signaling requires mechanism(s) that allow for high expression of HB-EGF in islets but prevent its release into surrounding tissue. The work presented here indicates that the transmembrane and/or intracellular regions of proHB-EGF provide the signals necessary to prevent much of the effects of sHB-EGF on the surrounding exocrine pancreas, even when proHB-EGF is overexpressed 4.5-fold in islets. This is demonstrated most clearly by the difference in phenotypes between the full-length and soluble isoforms of HB-EGF. Over-expression of full-length proHB-EGF in islets rarely affected exocrine homeostasis14 even though it was efficiently cleaved (Figure 8), while over-expression of sHB-EGF in islets greatly altered exocrine pancreas in all mice. These data suggest that endogenous sHB-EGF in islets is segregated from the exocrine pancreas through efficient uptake by islet cells, and this uptake is directed by its transmembrane precursor. Protein domains present in the intracellular and/or transmembrane regions may target proHB-EGF to a membrane location that assures efficient uptake by islet cells as soon as cleavage occurs, perhaps by targeting proHB-EGF within close proximity of its receptor(s).
Transmembrane and secreted HB-EGF isoforms have both distinct and overlapping functions in the pancreas
We have found that the transmembrane and the secreted forms of HB-EGF regulate islet function in opposing ways. tmHB-EGF over-expression impaired islet function while sHB-EGF overexpression provided improved glucose homeostasis. Because production of endogenous sHB-EGF requires the production of its transmembrane intermediate, normal islet function must balance the inhibitory effects of proHB-EGF with the enhancing effects of sHB-EGF. One mechanism to maintain this balance is regulation of cleavage. We have found that both the endogenous and the overexpressed full length proHB-EGF proteins are efficiently and constitutively cleaved, thus leaving little proHB-EGF on islet membranes where it can inhibit islet function.
When we overexpressed full length proHB-EGF, 90% of mice maintained normoglycemia,14 suggesting that it is not overexpression that affects islet function, but rather the ratio of the transmembrane to soluble isoforms. These data also suggest that the metalloproteinases cleaving proHB-EGF are not limiting, allowing islets to maintain a ratio of soluble to transmembrane forms that is conducive to normal homeostasis.
While the different HB-EGF isoforms had different effects on islet function, both were able to induce fibrosis and ductal hyperplasia suggesting that overexpression, rather than isoform specificity, induced these phenotypes. tmHB-EGF induced these phenotypes locally, only within the islets expressing the transgene, while the effects of sHB-EGF were observed throughout the entire organ. However, it cannot be ruled out that Pdx1-tmHB-EGF releases a small amount of soluble ligand even though the site of normal cleavage is deleted.
Pancreatic fibrosis arises from the activation of pancreatic stellate cells, PSCs, a normally quiescent cell type, that differentiates into myofibroblasts and produces extensive extracellular matrix components when activated by growth factors such as TGFβ and PDGF.18 No EGFR ligands have been reported to activate quiescent PSCs. We previously reported that recombinant sHB-EGF added to the medium of cultured PSCs had no discernible effect but culturing them with transgenic islets expressing full-length proHB-EGF induced morphological changes consistent with activation into contractile myofibroblasts.17 More recently, we have found that recombinant sHB-EGF can act as a chemoattractant and mitogen for activated PSCs (S.A.B., K.C.R, and A.L.M., manuscript in preparation). HB-EGF may act on PSCs in conjunction with other signaling molecules perhaps by acting downstream of PSC activation. It is also possible that the extensive fibrosis observed in sHB-EGF mice may stem from the developmental expansion of pancreatic mesenchyme. While this mesenchyme does not exhibit characteristics of fibrosis until 1–2 months of age, its abnormal development may have provided the other signals necessary for sHB-EGF to induce fibrosis.
sHB-EGF was able to induce a wide variety of hyperplastic and dysplastic ductal, acinar, and mixed ductal-acinar lesions while tmHB-EGF induced only intra-islet ductal hyperplasia. The difference in types of lesions formed by these different isoforms may be due to differences in cells of origin for the lesions. Islets expressing tmHB-EGF remained closely associated with ductal epithelium. Thus, these closely associated ducts may have received juxtacrine signals from tmHB-EGF-expressing islet cells. Because sHB-EGF could diffuse into the exocrine pancreas, it could affect acini as well as ducts and this may have resulted in the different types of lesions observed. We have shown previously that acinar cells can transdifferentiate, or change their cellular identity, to become duct-like cells.17 It may be these acinar-derived ductal cells gave rise to many of the lesions seen in sHB-EGF mice, while the intra-islet lesions of tmHB-EGF mice arose from non-acinar cells such as normal ducts.
The variety of benign lesions forming in each mouse suggests that sHB-EGF plays a general, and therefore perhaps early, role in exocrine disease, providing permissive signals for tumorigenesis but not instructive signals directing the type of tumor that arises. Many of the lesions were morphologically similar to lesions seen in human disease, including acinar-ductal metaplasias seen in chronic pancreatitis, serous cystadenoma (SCA), and IPMN. A small number of lesions had the appearance of early stage Pancreatic Intraepithelial Neoplasms (PanINs) but did not progress as actual PanIN lesions would. The ability of sHB-EGF to induce a variety of lesions suggests that other factors influence the type of lesion formed. In the absence of these other signals, stochastic choices may influence the neoplastic pathway that is triggered by elevated sHB-EGF expression.
The lesions that arose in the sHB-EGF mice were much more extensive and varied than those arising from overexpression of the full-length, pro-, isoforms of either TGFα19 or amphiregulin20 in the exocrine pancreas or of EGF in the endocrine pancreas.21 While TGFα is not normally expressed in the pancreas, its transgenic expression in the exocrine pancreas led to early fibrosis, but acinar-ductal metaplasia was not observed until 3–6 months of age.5 Without genetically-engineered loss of tumor suppressor genes or activation of the Kras oncogene, these lesions rarely progressed in severity.19 Amphiregulin, when over-expressed in the exocrine pancreas, induced only small focal lesions rather than wide-spread fibrosis and ductal hyperplasia.20 The severity of the lesions arising from overexpression of sHB-EGF may be due to nonredundant functions among the different EGFR ligands, to differences in the level of overexpression, or to the unregulated release that results when signals are lost from the intracellular domain of the full-length pro-isoform. While we artificially abrogated these signals via truncation of the coding region, these signals may also be circumvented during cancer progression as cells lose their polarity and proteins are trafficked incorrectly to the plasma membrane.
Transgenic expression of EGF, also not normally expressed in the pancreas, had very different effects from those of any of our HB-EGF transgenes.21 Despite its expression in islets via the highly active insulin promoter, EGF had no apparent effect on islet function but did increase islet cell proliferation21 unlike any of our HB-EGF transgenes (data not shown). This difference in phenotype most clearly identifies functional differences between at least two EGF family members, EGF and HB-EGF.
The lesions observed in Pdx1-sHB-EGF mice were similar to lesions observed following activation of the Kras oncogene in combination with TGFα overexpression,22 or following overexpression of activated Kras alone via the acinar-specific Elastase promoter.23 A wide variety of lesions were also seen in these mice, and the lesions were morphologically similar to those in Pdx1-sHbegf mice. While Kras signaling is normally downstream of EGFR activation, its activity is tightly regulated unless it has acquired activating mutations. Our data suggest that sHB-EGF may be a stronger inducer of Kras activity than other EGFR ligands examined.
Islets require tight regulation of both expression level and cleavage of HB-EGF
While deleterious to the exocrine pancreas, cleavage of HB-EGF appears to be required for normal islet function. Since the pancreas contained a normal amount of insulin and basal insulin secretion was normal, tmHB-EGF appears to affect the response to glucose stimulation. This may be due, at least in part, to a reduction in Glut2. Even without overexpression, pharmacological inhibition of endogenous proHB-EGF cleavage in isolated islets resulted in downregulation of Glut2. Glut2 was downregulated post-transcriptionally but the mechanism is not known. Since both tmHB-EGF and Glut2 are membrane-associated proteins, it is interesting to speculate that Glut2 may be destabilized at the membrane leading to its downregulation. Null mutation of the Glut2 gene resulted in early lethality with severe hyperglycemia and hypoinsulinemia,24 a much more severe phenotype than we have seen from tmHB-EGF overexpression, However, restoration of Glut2 expression at 10% its normal level resulted in a less severe phenotype, with islet impairment similar to what we observed in tmHB-EGF mice.25
We found that elevation of secreted HB-EGF slightly improved islet function, increasing the rate at which an elevation in blood glucose can be returned to fasting levels. While this may be advantageous to islet function, the pancreas must balance the positive effect of secreted HB-EGF on islet function with the harmful effect it has on the surrounding tissues. Our data indicate that this balance is achieved by regulation of ligand uptake that is mediated through the proHB-EGF precursor rather than by regulation of the level of expression.
MATERIALS AND METHODS
Transgenes
Transgenes were constructed as previously described14 with Hbegf cDNAs driven by the Pdx1 4.3 kb promoter. sHB-EGF consisted of the cDNA truncated after the codon for amino acid 148 in the juxtamembrane domain. The uncleavable transmembrane form had an interior deletion of 15 nucleotides, or 5 amino acids, from the juxtamembrane cleavage site.11
Other, standard methods are presented in Supplementary Data.
Supplementary Material
Acknowledgments
This work was supported by NIH grants CA98322 (ALM), CA84239 (RJC and ALM), CA95103 (RJC), CA46413 (RJC) and DK58404 (MKW) and with the support of the Vanderbilt ES/Transgenic Core, Vanderbilt Hormone Assay Core, and the Vanderbilt Cell Imaging Shared Resource.
We would like to thank Maureen Gannon, Marcela Brissova, Aramandla Radhika, and Greg Poffenberger for helpful discussions and Stacey Huppert for critical reading of the manuscript.
Footnotes
The authors have no financial conflicts to disclose. No conflicts of interest exist.
Contributions of authors: KCR, SAB, AHB, data acquisition and analysis; MKW, pathology analysis and interpretation; ABS, RCH, PAH, study concept and design and provided unpublished materials and information; RJC, interpretation of data and critical revision of manuscript; ALM, data acquisition, analysis and interpretation, manuscript preparation, and project supervision.
Publisher's Disclaimer: This is a PDF file of an unedited manuscript that has been accepted for publication. As a service to our customers we are providing this early version of the manuscript. The manuscript will undergo copyediting, typesetting, and review of the resulting proof before it is published in its final citable form. Please note that during the production process errors may be discovered which could affect the content, and all legal disclaimers that apply to the journal pertain.
References
- 1.Kaneto H, Miyagawa J, Kajimoto Y, et al. Expression of heparin-binding epidermal growth factor-like growth factor during pancreas development. A potential role of PDX-1 in transcriptional activation. J Biol Chem. 1997;272:29137–43. doi: 10.1074/jbc.272.46.29137. [DOI] [PubMed] [Google Scholar]
- 2.Miyagawa J, Hanafusa O, Sasada R, et al. Immunohistochemical localization of betacellulin, a new member of the EGF family, in normal human pancreas and islet tumor cells. Endocr J. 1999;46:755–64. doi: 10.1507/endocrj.46.755. [DOI] [PubMed] [Google Scholar]
- 3.Miettinen PJ, Ustinov J, Ormio P, et al. Downregulation of EGF receptor signaling in pancreatic islets causes diabetes due to impaired postnatal beta-cell growth. Diabetes. 2006;55:3299–308. doi: 10.2337/db06-0413. [DOI] [PubMed] [Google Scholar]
- 4.Bockman DE, Merlino G. Cytological changes in the pancreas of transgenic mice overexpressing transforming growth factor alpha. Gastroenterology. 1992;103:1883–92. doi: 10.1016/0016-5085(92)91448-d. [DOI] [PubMed] [Google Scholar]
- 5.Sandgren EP, Luetteke NC, Palmiter RD, et al. Overexpression of TGF alpha in transgenic mice: induction of epithelial hyperplasia, pancreatic metaplasia, and carcinoma of the breast. Cell. 1990;61:1121–35. doi: 10.1016/0092-8674(90)90075-p. [DOI] [PubMed] [Google Scholar]
- 6.Prenzel N, Zwick E, Daub H, et al. EGF receptor transactivation by G-protein-coupled receptors requires metalloproteinase cleavage of proHB-EGF. Nature. 1999;402:884–8. doi: 10.1038/47260. [DOI] [PubMed] [Google Scholar]
- 7.Uchiyama-Tanaka Y, Matsubara H, Mori Y, et al. Involvement of HB-EGF and EGF receptor transactivation in TGF-beta-mediated fibronectin expression in mesangial cells. Kidney Int. 2002;62:799–808. doi: 10.1046/j.1523-1755.2002.00537.x. [DOI] [PubMed] [Google Scholar]
- 8.Higashiyama S, Iwamoto R, Goishi K, et al. The membrane protein CD9/DRAP 27 potentiates the juxtacrine growth factor activity of the membrane-anchored heparin-binding EGF-like growth factor. J Cell Biol. 1995;128:929–38. doi: 10.1083/jcb.128.5.929. [DOI] [PMC free article] [PubMed] [Google Scholar]
- 9.Iwamoto R, Handa K, Mekada E. Contact-dependent growth inhibition and apoptosis of epidermal growth factor (EGF) receptor-expressing cells by the membrane-anchored form of heparin-binding EGF-like growth factor. J Biol Chem. 1999;274:25906–12. doi: 10.1074/jbc.274.36.25906. [DOI] [PubMed] [Google Scholar]
- 10.Nakamura K, Iwamoto R, Mekada E. Membrane-anchored heparin-binding EGF-like growth factor (HB-EGF) and diphtheria toxin receptor-associated protein (DRAP27)/CD9 form a complex with integrin alpha 3 beta 1 at cell-cell contact sites. J Cell Biol. 1995;129:1691–705. doi: 10.1083/jcb.129.6.1691. [DOI] [PMC free article] [PubMed] [Google Scholar]
- 11.Singh AB, Tsukada T, Zent R, et al. Membrane-associated HB-EGF modulates HGF-induced cellular responses in MDCK cells. J Cell Sci. 2004;117:1365–79. doi: 10.1242/jcs.01037. [DOI] [PubMed] [Google Scholar]
- 12.Wang F, Sloss C, Zhang X, et al. Membrane-bound heparin-binding epidermal growth factor like growth factor regulates E-cadherin expression in pancreatic carcinoma cells. Cancer Res. 2007;67:8486–93. doi: 10.1158/0008-5472.CAN-07-0498. [DOI] [PubMed] [Google Scholar]
- 13.Yamazaki S, Iwamoto R, Saeki K, et al. Mice with defects in HB-EGF ectodomain shedding show severe developmental abnormalities. J Cell Biol. 2003;163:469–75. doi: 10.1083/jcb.200307035. [DOI] [PMC free article] [PubMed] [Google Scholar]
- 14.Means AL, Ray KC, Singh AB, et al. Overexpression of heparin-binding EGF-like growth factor in mouse pancreas results in fibrosis and epithelial metaplasia. Gastroenterology. 2003;124:1020–36. doi: 10.1053/gast.2003.50150. [DOI] [PubMed] [Google Scholar]
- 15.Gannon M, Gamer LW, Wright CV. Regulatory Regions Driving Developmental and Tissue-Specific Expression of the Essential Pancreatic Gene pdx1. Dev Biol. 2001;238:185–201. doi: 10.1006/dbio.2001.0359. [DOI] [PubMed] [Google Scholar]
- 16.Louet JF, LeMay C, Mauvais-Jarvis F. Antidiabetic actions of estrogen: insight from human and genetic mouse models. Curr Atheroscler Rep. 2004;6:180–5. doi: 10.1007/s11883-004-0030-9. [DOI] [PubMed] [Google Scholar]
- 17.Means AL, Meszoely IM, Suzuki K, et al. Pancreatic epithelial plasticity mediated by acinar cell transdifferentiation and generation of nestin-positive intermediates. Development. 2005;132:3767–76. doi: 10.1242/dev.01925. [DOI] [PubMed] [Google Scholar]
- 18.Jaster R. Molecular regulation of pancreatic stellate cell function. Mol Cancer. 2004;3:26. doi: 10.1186/1476-4598-3-26. [DOI] [PMC free article] [PubMed] [Google Scholar]
- 19.Wagner M, Luhrs H, Kloppel G, et al. Malignant transformation of duct-like cells originating from acini in transforming growth factor transgenic mice. Gastroenterology. 1998;115:1254–62. doi: 10.1016/s0016-5085(98)70098-8. [DOI] [PubMed] [Google Scholar]
- 20.Wagner M, Weber CK, Bressau F, et al. Transgenic overexpression of amphiregulin induces a mitogenic response selectively in pancreatic duct cells. Gastroenterology. 2002;122:1898–912. doi: 10.1053/gast.2002.33594. [DOI] [PubMed] [Google Scholar]
- 21.Krakowski ML, Kritzik MR, Jones EM, et al. Transgenic expression of epidermal growth factor and keratinocyte growth factor in beta-cells results in substantial morphological changes. J Endocrinol. 1999;162:167–75. doi: 10.1677/joe.0.1620167. [DOI] [PubMed] [Google Scholar]
- 22.Siveke JT, Einwachter H, Sipos B, et al. Concomitant pancreatic activation of Kras(G12D) and Tgfa results in cystic papillary neoplasms reminiscent of human IPMN. Cancer Cell. 2007;12:266–79. doi: 10.1016/j.ccr.2007.08.002. [DOI] [PubMed] [Google Scholar]
- 23.Grippo PJ, Nowlin PS, Demeure MJ, et al. Preinvasive pancreatic neoplasia of ductal phenotype induced by acinar cell targeting of mutant Kras in transgenic mice. Cancer Res. 2003;63:2016–9. [PubMed] [Google Scholar]
- 24.Guillam MT, Hummler E, Schaerer E, et al. Early diabetes and abnormal postnatal pancreatic islet development in mice lacking Glut-2. Nat Genet. 1997;17:327–30. doi: 10.1038/ng1197-327. [DOI] [PubMed] [Google Scholar]
- 25.Thorens B, Guillam MT, Beermann F, et al. Transgenic reexpression of GLUT1 or GLUT2 in pancreatic beta cells rescues GLUT2-null mice from early death and restores normal glucose-stimulated insulin secretion. J Biol Chem. 2000;275:23751–8. doi: 10.1074/jbc.M002908200. [DOI] [PubMed] [Google Scholar]
Associated Data
This section collects any data citations, data availability statements, or supplementary materials included in this article.






