Abstract
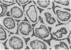
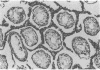
Possible protective effects of analogs of luteinizing hormone-releasing hormone (LH-RH) against testicular damage caused by various cytotoxic agents were investigated in rats. The agonist [D-Trp6]LH-RH (in which Gly-6 is replaced by D-tryptophan) and the antagonist N-Ac-[D-Phe(pCl)1,2,D-Trp3,D-Arg6,D-Ala10]LH-RH were administered for 12 weeks: [D-Trp6]LH-RH was given once a month in the form of long-acting microcapsules liberating 25 micrograms of agonist per day, and the antagonist was injected s.c. at a dose of 1000 micrograms per kg of body weight per day for the first 3 weeks and, thereafter, at a dose of 500 micrograms per kg of body weight per day. After a recovery period of 3 months, most seminiferous tubules in the antagonist-treated group showed a normal morphology, while patches of tubules in the agonist-treated group continued to show some suppression of spermatogenesis. Administration of busulfan, cisplatin, or cyclophosphamide produced only a reversible testicular injury, and pretreatment with LH-RH analogs seemed to temporarily enhance the tubular damage. Administration of procarbazine (200 mg per kg of body weight per week for 6 weeks) resulted in decreased testicular weights and increased serum LH levels 1 and 3 months after the discontinuation of treatment. The histology showed severe diffuse damage to seminiferous tubules. The germinal cells completely disappeared and the Sertoli cells were markedly degenerated. This damage was not restored even after a recovery period of 5 months. Some animals were pretreated for 6 weeks with the agonist or antagonist and then received procarbazine for 6 weeks while administration of analogs was continued. In these animals, the decrease in testicular weights and increase in serum LH levels after procarbazine were less marked than in the group not pretreated with the analogs. Three and 5 months after cessation of treatment, a large number of tubules showed a complete restoration of structural morphology in 30-45% of the animals that received procarbazine and the LH-RH agonist or antagonist. These results indicate that pretreatment with LH-RH analogs may protect testes against damage caused by some cytotoxic agents.
Full text
PDF




Images in this article
Selected References
These references are in PubMed. This may not be the complete list of references from this article.
- Ataya K. M., McKanna J. A., Weintraub A. M., Clark M. R., LeMaire W. J. A luteinizing hormone-releasing hormone agonist for the prevention of chemotherapy-induced ovarian follicular loss in rats. Cancer Res. 1985 Aug;45(8):3651–3656. [PubMed] [Google Scholar]
- Bergquist C., Nillius S. J., Bergh T., Skarin G., Wide L. Inhibitory effects on gonadotrophin secretion and gonadal function in men during chronic treatment with a potent stimulatory luteinizing hormone-releasing hormone analogue. Acta Endocrinol (Copenh) 1979 Aug;91(4):601–608. doi: 10.1530/acta.0.0910601. [DOI] [PubMed] [Google Scholar]
- Bhasin S., Swerdloff R. S. Mechanisms of gonadotropin-releasing hormone agonist action in the human male. Endocr Rev. 1986 Feb;7(1):106–114. doi: 10.1210/edrv-7-1-106. [DOI] [PubMed] [Google Scholar]
- Damewood M. D., Grochow L. B. Prospects for fertility after chemotherapy or radiation for neoplastic disease. Fertil Steril. 1986 Apr;45(4):443–459. doi: 10.1016/s0015-0282(16)49268-x. [DOI] [PubMed] [Google Scholar]
- Debeljuk L., Schally A. V. Antifertility effects of a potent LH-RH antagonist in male and female rats. Int J Fertil. 1986 Sep-Oct;31(4):284–292. [PubMed] [Google Scholar]
- Delic J. I., Bush C., Peckham M. J. Protection from procarbazine-induced damage of spermatogenesis in the rat by androgen. Cancer Res. 1986 Apr;46(4 Pt 2):1909–1914. [PubMed] [Google Scholar]
- Glode L. M., Robinson J., Gould S. F. Protection from cyclophosphamide-induced testicular damage with an analogue of gonadotropin-releasing hormone. Lancet. 1981 May 23;1(8230):1132–1134. doi: 10.1016/s0140-6736(81)92301-1. [DOI] [PubMed] [Google Scholar]
- Gould S. F., Powell D., Nett T., Glode L. M. A rat model for chemotherapy-induced male infertility. Arch Androl. 1983 Oct;11(2):141–150. doi: 10.3109/01485018308987473. [DOI] [PubMed] [Google Scholar]
- Heber D., Swerdloff R. S. Gonadotropin-releasing hormone analog and testosterone synergistically inhibit spermatogenesis. Endocrinology. 1981 May;108(5):2019–2021. doi: 10.1210/endo-108-5-2019. [DOI] [PubMed] [Google Scholar]
- Karten M. J., Rivier J. E. Gonadotropin-releasing hormone analog design. Structure-function studies toward the development of agonists and antagonists: rationale and perspective. Endocr Rev. 1986 Feb;7(1):44–66. doi: 10.1210/edrv-7-1-44. [DOI] [PubMed] [Google Scholar]
- Lewis R. W., Dowling K. J., Schally A. V. D-Tryptophan-6 analog of luteinizing hormone-releasing hormone as a protective agent against testicular damage caused by cyclophosphamide in baboons. Proc Natl Acad Sci U S A. 1985 May;82(9):2975–2979. doi: 10.1073/pnas.82.9.2975. [DOI] [PMC free article] [PubMed] [Google Scholar]
- Linde R., Doelle G. C., Alexander N., Kirchner F., Vale W., Rivier J., Rabin D. Reversible inhibition of testicular steroidogenesis and spermatogenesis by a potent gonadotropin-releasing hormone agonist in normal men: an approach toward the development of a male contraceptive. N Engl J Med. 1981 Sep 17;305(12):663–667. doi: 10.1056/NEJM198109173051203. [DOI] [PubMed] [Google Scholar]
- Nseyo U. O., Huben R. P., Klioze S. S., Pontes J. E. Protection of germinal epithelium with luteinizing hormone-releasing hormone analogue. J Urol. 1985 Jul;134(1):187–190. doi: 10.1016/s0022-5347(17)47054-6. [DOI] [PubMed] [Google Scholar]
- Redding T. W., Schally A. V., Tice T. R., Meyers W. E. Long-acting delivery systems for peptides: inhibition of rat prostate tumors by controlled release of [D-Trp6]luteinizing hormone-releasing hormone from injectable microcapsules. Proc Natl Acad Sci U S A. 1984 Sep;81(18):5845–5848. doi: 10.1073/pnas.81.18.5845. [DOI] [PMC free article] [PubMed] [Google Scholar]
- Rivier C., Rivier J., Vale W. Chronic effects of [D-Trp6,Pro9-NEt]luteinizing hormone-releasing factor on reproductive processes in the male rat. Endocrinology. 1979 Nov;105(5):1191–1201. doi: 10.1210/endo-105-5-1191. [DOI] [PubMed] [Google Scholar]
- Rivier C., Rivier J., Vale W. Effect of a potent GnRH antagonist and testosterone propionate on mating behavior and fertility in the male rat. Endocrinology. 1981 May;108(5):1998–2001. doi: 10.1210/endo-108-5-1998. [DOI] [PubMed] [Google Scholar]
- Schally A. V., Comaru-Schally A. M., Redding T. W. Antitumor effects of analogs of hypothalamic hormones in endocrine-dependent cancers. Proc Soc Exp Biol Med. 1984 Mar;175(3):259–281. doi: 10.3181/00379727-175-41797. [DOI] [PubMed] [Google Scholar]
- Schally A. V., Paz-Bouza J. I., Schlosser J. V., Karashima T., Debeljuk L., Gandle B., Sampson M. Protective effects of analogs of luteinizing hormone-releasing hormone against x-radiation-induced testicular damage in rats. Proc Natl Acad Sci U S A. 1987 Feb;84(3):851–855. doi: 10.1073/pnas.84.3.851. [DOI] [PMC free article] [PubMed] [Google Scholar]
- Schilsky R. L., Lewis B. J., Sherins R. J., Young R. C. Gonadal dysfunction in patients receiving chemotherapy for cancer. Ann Intern Med. 1980 Jul;93(1):109–114. doi: 10.7326/0003-4819-93-1-109. [DOI] [PubMed] [Google Scholar]
- Swerdloff R. S., Heber D. Superactive gonadotropin-releasing hormone agonists. Annu Rev Med. 1983;34:491–500. doi: 10.1146/annurev.me.34.020183.002423. [DOI] [PubMed] [Google Scholar]
- Vickery B. H. Comparison of the potential for therapeutic utilities with gonadotropin-releasing hormone agonists and antagonists. Endocr Rev. 1986 Feb;7(1):115–124. doi: 10.1210/edrv-7-1-115. [DOI] [PubMed] [Google Scholar]
- Vickery B. H., McRae G. I., Bergstrom K., Briones W., Worden A., Seidenberg R. Inability of continuous long-term administration of D-Nal(2)6-LHRH to abolish fertility in male rats. J Androl. 1983 Jul-Aug;4(4):283–291. [PubMed] [Google Scholar]
- Waxman J. H., Ahmed R., Smith D., Wrigley P. F., Gregory W., Shalet S., Crowther D., Rees L. H., Besser G. M., Malpas J. S. Failure to preserve fertility in patients with Hodgkin's disease. Cancer Chemother Pharmacol. 1987;19(2):159–162. doi: 10.1007/BF00254570. [DOI] [PubMed] [Google Scholar]
- Waxman J. Cancer, chemotherapy, and fertility. Br Med J (Clin Res Ed) 1985 Apr 13;290(6475):1096–1097. doi: 10.1136/bmj.290.6475.1096. [DOI] [PMC free article] [PubMed] [Google Scholar]
- Weinbauer G. F., Surmann F. J., Akhtar F. B., Shah G. V., Vickery B. H., Nieschlag E. Reversible inhibition of testicular function by a gonadotropin hormone-releasing hormone antagonist in monkeys (Macaca fascicularis). Fertil Steril. 1984 Dec;42(6):906–914. doi: 10.1016/s0015-0282(16)48264-6. [DOI] [PubMed] [Google Scholar]
- da Cunha M. F., Meistrich M. L., Nader S. Absence of testicular protection by a gonadotropin-releasing hormone analogue against cyclophosphamide-induced testicular cytotoxicity in the mouse. Cancer Res. 1987 Feb 15;47(4):1093–1097. [PubMed] [Google Scholar]






