In this series, a clinician extemporaneously discusses the diagnostic approach (regular text) to sequentially presented clinical information (bold). Additional commentary on the diagnostic reasoning process (italic) is interspersed throughout the discussion.
A 59-year-old man presented to the emergency department with palpitations, weakness, and faintness.
Palpitations are typically benign unless there is evidence of decreased cardiac output or decreased cerebral perfusion, e.g., syncope or presyncope. Because of the associated presyncope, a cardiac etiology becomes much more likely and requires a thorough search for arrhythmia or occult cardiomyopathy.
In the preceding week he had experienced several episodes of palpitations without associated symptoms. Weakness and faintness developed that morning. He had no chest discomfort or loss of consciousness. He denied fever or chills. He had been seen regularly by his personal physician for routine health maintenance. Systolic hypertension had been diagnosed 18 months earlier. Treatment with verapamil (240 mg per day) was initiated 13 months ago. Olmesartan (40 mg per day) was added 9 months ago. Hydrochlorthiazide (12.5 mg per day) was added 1 month prior to presentation.
His relatively recent diagnosis of hypertension requiring multiple agents raises the specter of secondary hypertension, most commonly caused by chronic kidney disease or renovascular disease. His palpitations could reflect catecholamine excess, which brings up the (unlikely) possibility of a pheochromocytoma. This condition is characterized by paroxysms of sweating, palpitations, headaches, and occasionally orthostatic hypotension in addition to the characteristic hypertension. Hyperthyroidism can also present with elevated blood pressure and palpitations. Basic laboratory studies to measure renal function and assess for metabolic disturbances, such as hypokalemia or hypocalcemia, are warranted.
Clinicians must define a clinical problem before they can solve it—by constructing a problem representation.1The discussant has begun to frame the problem as ‘a 59-year-old man with presyncope and subacute onset of palpitations in the setting of chronic severe systolic hypertension.’ He develops an early list of plausible hypotheses, the differential diagnosis, which will be explored with additional information gathering.
For several years he had been treated for gastrointestinal reflux symptoms with a protein pump inhibitor and citalopram for anxiety. A radical prostatectomy was performed 7 years ago for localized prostate cancer with no subsequent evidence of metastatic disease.
He worked as a lumber sales broker. He had last used alcohol 16 years earlier, had stopped smoking 6 years earlier, and denied illicit drug use. He took pride in eating healthy, organic, and natural foods. He consumed nearly a quart of yogurt each day, and drank numerous cups of herbal tea each day.
His prostate cancer was treated with a curative resection, so is unlikely to be contributing to his current illness. Remote alcohol use would be an unusual cause of cardiomyopathy. His anxiety could reflect hyperthyroidism or catecholamine excess. I assume that the herbal tea does not contain caffeine. Although caffeine can mildly raise systemic blood pressure, it does not cause hypertension requiring multiple agents.
In the emergency department he appeared comfortable. The pulse was 60 beats per minute, and the rhythm was regularly irregular. The blood pressure was 160/74 mmHg, and there was no change with standing. The temperature was 37° C. There was no thyromegaly or lymphadenopathy. The lungs were clear. The PMI was non-displaced, and there were no murmurs, rubs, or gallops. The abdomen was soft and nontender. There was no peripheral edema. Neurological examination was normal. The 12-lead electrocardiogram showed sinus rhythm with frequent premature ventricular complexes or ventricular bigeminy and a rate of 78 beats per minute. The QRS complex was of normal duration, and the T wave amplitude was slightly diminished (Fig. 1).
Figure 1.
Electrocardiogram showing ventricular bigeminy.
There is no suggestion of the volume depletion that sometimes accompanies pheochromocytoma. Hyperthyroidism is less likely without tachycardia, except in the apathetic variant seen in older patients. There are no physical signs of congestive heart failure, making a cardiomyopathy less likely. The ventricular bigeminy is not specific for cardiac disease, but warrants a search for electrolyte disturbances and admission to the hospital for telemetry monitoring.
The discussant uses the physical exam findings to begin to sort among the diagnostic hypotheses. In this case, the physical exam helps reorder diagnostic possibilities, but does not provide enough specificity to make the diagnosis with a high degree of certainty.
The hemoglobin was 13.4 g per deciliter, the white blood count 9,500 per cubic millimeter, and the platelet count 255,000 per cubic millimeter. The serum sodium was 143 milliequivalents per liter, potassium 2.2 milliequivalents per liter, chloride 92 milliequivalents per liter, and bicarbonate 44 milliequivalents per liter. The blood urea nitrogen level was 14 mg per deciliter and the creatinine 0.93 mg per deciliter. The serum calcium was 9 mg per deciliter and glucose 136 mg per deciliter. The total protein was 6.8 g per deciliter with an albumin of 4.4 g per deciliter. The serum aspartate aminotransferase level, alanine aminotransferase level, alkaline phosphatase, and bilirubin were all normal. Cardiac enzymes and thyrotropin-stimulating hormone level were normal. A urinalysis showed a specific gravity of 1.005, pH of 8, and trace proteinuria. A chest radiograph revealed no abnormalities.
The patient was admitted to the hospital with continuous telemetry monitoring. Hydrochlorothiazide was discontinued; verapamil and olmesartan were continued at previous dosages. Potassium chloride was administered intravenously and by mouth, but after 12 h the serum potassium level was 2.1 milliequivalents per liter. In the ensuing 8 h, he was given an additional 120 milliequivalents of potassium chloride by mouth, and the serum potassium level increased to 2.8 milliequivalents per liter. He remained asymptomatic, and telemetry now showed sinus rhythm without extrasytolic beats.
The patient has metabolic alkalosis and profound hypokalemia. The degree of hypokalemia is greater than would be expected with hydrochlorothiazide. The ventricular ectopy has resolved after potassium supplementation, which suggests that the culprit was indeed hypokalemia and diminishes the yield of further cardiac testing. Difficult to control hypertension in the setting of profound hypokalemia suggests an unusual etiology such as renal artery stenosis, pheochromocytoma, primary aldosteronism, or Cushing’s syndrome (although the patient has no physical stigmata of that disorder). After correcting his potassium, I would measure 24-h urine cortisol and catecholamines and plasma renin and aldosterone levels.
The discussant has transformed the nonspecific issues of palpitations, weakness, and faintness into a highly focused problem to be solved: severe hypertension, hypokalemia, and metabolic alkalosis. This concise synthesis activates knowledge of a narrow subset of diseases (the differential diagnosis) among which the clinician must look for the answer.
The patient’s previous medical records were reviewed, and it was noted that a 1.5-cm left adrenal mass was detected by computerized tomography (CT) 4 years prior to admission.
Although the size is relatively small, the adrenal mass cannot be ignored in the setting of secondary hypertension, and makes the possibility of an adrenal tumor—such as pheochromocytoma or aldosteronoma—more likely. In general, biochemical testing should be performed prior to imaging, although in this case repeat CT scanning to see if this mass has increased in size would be reasonable.
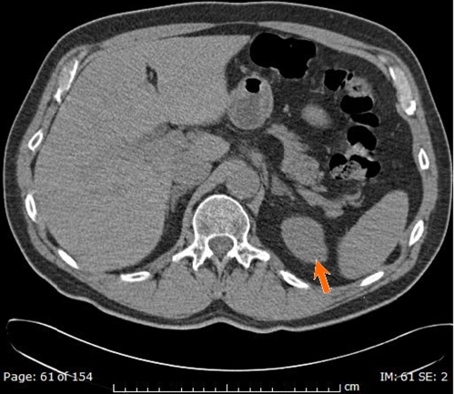
A repeat CT showed no change in the adrenal mass (Fig. 2).
Figure 2.
CT scan showing a left adrenal mass (arrow) measuring 1.5 cm.
The stable size over 4 years makes an adrenal malignancy unlikely. The biochemical evaluation remains most important in deciding how aggressively to evaluate an adrenal mass, particularly if it measures less than 4 cm.
Additional potassium chloride was given by mouth. Twelve hours later, the serum potassium was 2.7 milliequivalents per liter. The blood pressure was now 153/80 mmHg, and the heart rate 54. A random urinary sodium was 13 milliequivalents per liter and random urinary potassium 73 milliequivalents per liter. Urine metanephrines and serum aldosterone and renin activity were sent prior to the initiation of spironolactone 50 mg daily. The oral potassium chloride was increased to 60 milliequivalents four times a day.
Urine electrolytes confirm avid sodium retention and profound potassium wasting, suggesting increased mineralocorticoid activity. Renovascular hypertension (via decreased renal afferent arteriolar perfusion) and pheochromocytoma (via sympathetic nerve activation) both increase plasma renin and activate the angiotensin-aldosterone axis. Cortisol and aldosterone excess suppresses renin production through negative feedback.
The discussant is comparing and contrasting illness scripts (mental representations of different diseases in his memory) using pathophysiology as a guide to sort among the scripts. (Table 1).
Table 1.
Illness Scripts Triggered by the Problem Representation: 59-Year-Old Man with Severe Hypertension and Profound Hypokalemia
| Renovascular hypertension | Diuretic therapy | Primary hyperaldosteronism (Conn’s syndrome) | Cortisol excess (Cushing’s syndrome) | |
|---|---|---|---|---|
| Plasma renin | High | High | Low | Low |
| Plasma aldosterone | High | High | High | Low |
| Aldo/renin >30 | ||||
| Urine studies | Na low, normal | Na low, normal | Na low, normal | Na low, normal |
| K high | K high | K high | K high | |
| High free cortisol | ||||
| Imaging studies | >50% stenosis in 1 or more renal arteries | CT may show adrenal mass (adenoma) | ||
| Time frame | Persistent | Transient | Persistent | Persistent |
On the fourth hospital day, he remained asymptomatic with a blood pressure of 150/84 and heart rate 52. The serum potassium was 2.6 milliequivalents per liter and the bicarbonate 37 milliequivalents per liter. Spironolactone was increased to 200 mg daily, and verapamil was changed to amlodipine because of persistent bradycardia. He was continued on oral potassium chloride.
He was discharged after 7 days with a serum potassium of 3.9 milliequivalents per liter and bicarbonate of 27 milliequivalents per liter. Three days after discharge the potassium level was 5.8 milliequivalents per liter, which prompted discontinuation of oral potassium and spironolactone. Ten days after admission he was seen in the clinic, and his blood pressure was 120/80 mmHg on olmesartan and amlodipine. The serum potassium level was 4.6 milliequivalents per liter.
The fact that his hypertension, previously refractory to multiple medications, seems to be improving makes me consider a transient cause perhaps due to a drug or other exogenous substance that has been withheld during the hospitalization. A careful review of all medications, prescribed or over-the-counter, and any complementary and alternative therapies is warranted. While the blood pressure in pheochromocytoma can normalize when catecholamine levels fall, this now seems to be a much less likely possibility.
The clinician focuses on the transient nature of the patient’s hypertension, which allows reordering of the illness scripts with greatest prioritization given to self-limited or paroxysmal processes. Although only one script (diuretic use) has this feature, he reasons by analogy to consider other exogenous substances.
Plasma renin activity was less than 0.1 nanograms per milliliter per hour. The serum aldosterone level was less than 1.6 nanograms per deciliter. Urine metanephrines were within normal range.
Conn’s syndrome or primary aldosteronism is associated with a plasma aldosterone-to-renin ratio of greater than 30, so that diagnosis is unlikely. Low renin and aldosterone levels are associated with cortisol excess, so I would still like to see the 24-h urinary free cortisol measurement. Renal artery stenosis or renovascular hypertension would be unlikely with low renin activity. He has had an impressive resolution of symptoms and improved blood pressure control, which makes me loathe to pursue invasive testing. Instead I would go back to the patient and ask him about whether or not he is ingesting any other substances that might be able to cause hypertension, such as amphetamines.
During his hospitalization, the patient was asked about consuming substances known to cause hypertension, including licorice, which he repeatedly denied. However, after discharge he brought in a variety of herbal teas, each containing licorice root as a major ingredient. He had increased consumption of these teas to 10 to 20 cups per day for the past several months to help manage his anxiety. He was instructed to markedly reduce his intake of these teas.
He was seen in the clinic 30 days after discharge and felt very well. The blood pressure was 104/64 mmHg and the serum potassium 5.1 milliequivalents per liter. His blood pressure was now well controlled on olmesartan 10 mg and amlodipine 2.5 mg per day.
The dramatic improvement strongly implicates licorice toxicity as the underlying cause.
DISCUSSION
This case illustrates the importance of developing and refining the problem representation.1–3 The discussant systematically transforms the nonspecific issues of palpitations, weakness, and faintness in a 59-year-old man into a highly focused problem: severe hypertension due to excess mineralocorticoid activity of a transient nature. The diagnostic process evolves as more data become available and involves knowing which aspects of the case require explanation (e.g., severe hypokalemia) and which ones do not (e.g., history of anxiety).
Comparing and contrasting the competing plausible disease states4 (Table 1) and finding the closest match to the problem representation determined the final answer. In this case, distinguishing among the various competing diagnoses relied more heavily on laboratory data (urine electrolytes, plasma renin activity) than history and physical examination findings. This approach ultimately prompted a detailed revisiting of historical information to discover the final answer.
The marker of diagnostic skill in such a case lies not in suspecting licorice—in fact, the discussant did not—but in being able to recognize the critical features that did not seem to fit with the working differential diagnosis, prompting iterative revision of the problem representation. Equipped with this highly synthesized problem statement, the clinician then knows where to look—in his memory, to his consultants, or a search of electronic resources—for the potential solution.
CLINICAL TEACHING POINTS
The combination of refractory hypertension and hypokalemia is most often explained by hyperaldosteronism, renovascular disease and diuretic therapy for severe primary hypertension. Licorice ingestion (glycyrrhizic acid toxicity) is a rare cause that results in an acquired mineralocorticoid excess state and consequently low plasma renin and aldosterone levels.
The initial diagnostic evaluation of patients with hypertension and unexplained hypokalemia or drug-resistant hypertension should include a plasma aldosterone to renin ratio.5
Use of licorice root in candies and other confections is uncommon in the US, but licorice root is still available in a variety of products including herbal teas. These sources should be considered in patients with unexplained hypertension and hypokalemia.
Glycyrrhizic acid, a sweet tasting compound found in licorice root, is hydrolyzed in the intestine to glycyrrhetic acid, which inhibits the enzyme responsible for peripheral conversion of cortisol to cortisone (11 beta-hydroxysteroid dehydrogenase), leading to increased cortisol levels. Cortisol binds with the same affinity as aldosterone to the mineralocorticoid receptor, resulting in an acquired mineralocorticoid excess state.6
Acknowledgments
Conflict of Interest Statement Dr. Henderson is supported by a Residency Training in Primary Care grant from the Department of Health and Human Services (HRSA D58HP05139).
Footnotes
An erratum to this article can be found at http://dx.doi.org/10.1007/s11606-010-1339-4
References
- 1.Chang RW, Bordage G, Connell KJ. The importance of early problem representation during case presentations. Acad Med. 1998;73(Suppl):S109–S111. doi: 10.1097/00001888-199810000-00062. [DOI] [PubMed] [Google Scholar]
- 2.Bordage G, Lemieux M. Semantic structures and diagnostic thinking of experts and novices. Acad Med. 1991;66(Suppl):S70–S72. doi: 10.1097/00001888-199109000-00045. [DOI] [PubMed] [Google Scholar]
- 3.Bowen JL. Educational strategies to promote clinical diagnostic reasoning. N Engl J Med. 2006;355(21):2217–2225. doi: 10.1056/NEJMra054782. [DOI] [PubMed] [Google Scholar]
- 4.Schmidt HG, Rikers RM. How expertise develops in medicine: knowledge encapsulation and illness script formation. Med Educ. 2007;41(12):1133. doi: 10.1111/j.1365-2923.2007.02915.x. [DOI] [PubMed] [Google Scholar]
- 5.Funder JW, Carey RM, Fardella C, et al. Case detection, diagnosis, and treatment of patients with primary aldosteronism: an Endocrine Society Clinical Practice Guideline. J Clin Endocrinol Metab. 2008;93(9):3266. doi: 10.1210/jc.2008-0104. [DOI] [PubMed] [Google Scholar]
- 6.Størmer FC, Reistad R, Alexander J. Glycyrrhizic acid in liquorice–evaluation of health hazard. Food Chem Toxicol. 1993;31(4):303–312. doi: 10.1016/0278-6915(93)90080-I. [DOI] [PubMed] [Google Scholar]


