Abstract
Purpose
Histotripsy is a non-invasive ultrasound technology which induces microbubble formation (cavitation) within tissues producing mechanical tissue fractionation. During initial in-vivo feasibility canine studies of prostate ablation, minimal hematuria was observed. In the current study, we sought to further explore this phenomenon by performing extensive prostate histotripsy treatments in anticoagulated canines.
Materials and Methods
Histotripsy was performed on 9 canine subjects pre-treated with 6 mg of oral warfarin for 3 to 5 days using an extracorporeal 750 kHz therapeutic ultrasound transducer delivering acoustic pulses to the prostatic urethra and periurethral parenchyma. After 7–28 days, the subjects were euthanized, transrectal prostate ultrasound was performed and the prostate was harvested. Serum hemoglobin and International Normalization Ratio (INR) were measured immediately prior to histotripsy treatment and at euthanasia.
Results
Mean treatment INR was 4.6 (median 2.4, range 1.2 to 11.3). There was no clinically significant change in hemoglobin concentration at euthanasia compared to baseline. At harvest, histologic sections of the prostate revealed a large cavity corresponding to the planned treatment volume incorporating the prostatic urethra and parenchyma in all subjects. Urine was clear within 2 days of treatment and no blood clots were seen.
Conclusions
Despite therapeutic and supratherapeutic anticoagulation, histotripsy resulted in minimal bleeding despite significant fractionation and tissue debulking of the prostate. These results have prompted further studies to understand the mechanism of non-thermal hemostasis underlying histotripsy.
Keywords: BPH, histotripsy, anticoagulation, hematuria, prostate
INTRODUCTION
Transurethral resection of the prostate (TURP) has long been considered the gold standard therapy for benign prostatic hyperplasia (BPH). Holmium laser enucleation (HoLEP) and photovaporization of the prostate (PVP) are newer laser technologies capable of producing equivalent outcomes to TURP, often with decreased morbidity.1,2 However, these laser technologies are equally invasive as TURP and in the case of HoLEP, technically challenging to master. Less invasive technologies (microwave and transurethral needle ablation (TUNA)) have unfortunately not approached the efficacy of TURP. This likely stems from the fact that tissue is thermally coagulated and not actually removed. The principle of parenchymal debulking to improve urinary flow remains central to any successful treatment strategy for BPH. As the life expectancy of the general population continues to rise, the number of patients requiring definitive surgical therapy for BPH will also increase. Many of these patients have substantial comorbid conditions including need for anticoagulation.
Histotripsy is a non-invasive focused ultrasound technology where energy is delivered extracorporeally to a target volume within the body.3 Unlike HIFU where thermal coagulative necrosis is induced, histotripsy treatment consists of high amplitude, very short (4 microsecond long) pulses that induce mechanical cavitation with negligible thermal contribution.4 The cavitational process can be conceptualized as: formation, oscillation, and violent collapse of microbubbles (in the span of less than 1 millisecond)5 that results in precise mechanical fractionation of tissues at the cellular and subcellular level.3,6,7 Mechanical translation of the cavitation focus through a targeted volume allows non-invasive sculpting of the prostate. Previous studies have shown histotripsy to be safe and effective at debulking the prostate.8,9 Interestingly, during these studies minimal hematuria and no clinically significant blood loss were noted. In the current study, we sought to further explore and validate this observation by performing extensive prostate histotripsy ablation in an anticoagulated canine model.
MATERIALS AND METHODS
Subjects
Following approval from the University of Michigan Committee on Use and Care of Laboratory Animals, 9 mongrel canine subjects weighing 20–30 kg were treated with 6mg of oral warfarin daily for 3–5 days preceding planned histotripsy treatment to achieve an anticoagulated state.10 The subjects were monitored daily for clinical signs of excessive bleeding such as gingival petechiae, listlessness, bloody stool, or unstable gait.
On the day of treatment, subjects were intubated and anesthetized (acepromazine 0.1mg/kg, sodium thiopental 4.5 mg/kg, and isoflurane 1–2%). All animals were given Penicillin G Benzathine (40,000 IU/kg; Vedco, St. Joseph, MO) before treatment. A 12 French urinary catheter was inserted transurethrally into the urinary bladder and the balloon inflated with 10cc of sterile water.
Blood samples (3–5 ml) were drawn immediately prior to treatment, on post-operative days 1 and 2, and at the time of euthanasia. Blood was sent for laboratory analysis which included hemoglobin and prothrombin time (PT). International normalization ratio (INR) was calculated using the formula: INR = (PTsubject/PTmean normal)ISI. Mean normal PT was defined as the average of all baseline PT values (obtained at the time of euthanasia). ISI is the international sensitivity index and is specific to an individual laboratory’s assay. The ISI for the University of Michigan Clinical Laboratory is 0.93.
Following histotripsy treatment all subjects were recovered from anesthesia and monitored for treatment related adverse events. Immediately following treatment, the urinary catheter was irrigated until clear and left to dependent drainage for 24 hours at which time a voiding trial was performed. Six subjects were scheduled to be euthanized at 7 days and two at 28 days. Following euthanasia, the prostate, bladder, and adjacent rectum were surgically removed en bloc. The prostate, bladder and rectal tissues were inspected grossly for injury. Harvested prostates were fixed in formalin for 1 week, cut into 5 mm thick slabs, dehydrated in 50% ethanol, paraffin embedded, cut using a microtome in 5 micron sections at 1 mm increments, mounted and stained with hematoxylin and eosin.
Experimental Setup and Procedure
Transrectal ultrasound imaging was performed using a Logiq 6 ultrasound scanner (GE Healthcare, Waukesha, WI) with a model ERB probe positioned manually and fixed in a custom holder. The prostate volume was estimated using an ellipsoid approximation by measuring the length, height, and width of the prostate on ultrasound images before treatment.
The therapeutic system consisted of an 16-element piezoceramic composite array (750 kHz, 11×14 cm diameter oval shape, focal length 10 cm; Imasonic, Voray sur l’Ognon, France) on a three axis computer controlled positioning system (Matlab, Math Works, Natick, MA). Histotripsy pulses consisted of 3 cycle bursts at 750 kHz with a pulse repetition frequency of 500 Hz. Details of the specific targeting procedure have been described previously.11
Individual planned treatment volumes varied based on the size of the prostate gland in each subject. Our objective was to aggressively fractionate the left lobe of the prostate, including the prostatic urethra. Targeting the right lobe of the prostate in the canine subjects was hindered by the position of the laterally retracted penis partially blocking the acoustic aperture. A predefined treatment dose (number of pulses delivered to a volume of tissue) was not used; rather treatment was monitored in real time through visualization of a cavitation cloud within tissue and determined to be sufficient when a clear hypoechoic area in the targeted volume was seen.
Histologic Analysis
Histologic evidence of tissue hemorrhage was graded as mild, moderate or severe. Mild tissue hemorrhage represents a focal, contained collection of red blood cells without infiltration into untreated tissue. Moderate tissue hemorrhage represents infiltration of red blood cells into less than 50% of adjacent untreated tissues. Severe tissue hemorrhage represents infiltration of blood into greater than 50% of untreated tissue. Peri-prostatic hematoma formation, if present, was noted on gross examination at the time of harvest.
RESULTS
A total of 9 canine subjects underwent prostate histotripsy and were recovered from anesthesia. The mean prostate volume was 31.4 cm3 (median 26.8, range 16.7–65.0). Treatment was monitored in real time with transrectal ultrasound visualization of the cavitation bubble cloud (treatment focus). During and after treatment a visible hypoechoic cavity was seen within the targeted volume in all subjects.
Histologically, all subjects exhibited tissue fractionation and complete cellular destruction within the targeted volume of the prostate. Prostates harvested at delayed time points (Subjects 5 and 7) had no evidence of tissue hemorrhage or residual necrotic debris within the lumen of the treatment cavity (Figure 1A). Margins of the treated volume were smooth without underlying scarring or damage to adjacent untargeted tissue and re-urothelialized consistent with complete healing (Figure 1B). All other subjects harvested 7–9 days after treatment exhibited mild parenchymal hemorrhage, with the exception of one who demonstrated moderate hemorrhage (Subject 9, figure 2A). In four of these subjects, (4, 6, 8, and 9 - generally those with higher INR levels) there was evidence of nonviable residual necrotic debris and fibrin clot within the lumen of the treatment cavity (Figure 2B).
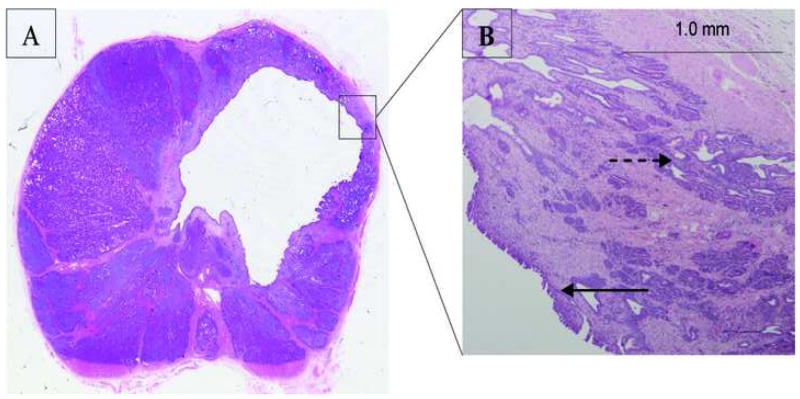
FIGURE 1.
Prostate histology from a subject with therapeutic INR 28 days following prostate histotripsy (A). In this example, (Subject 5, treatment INR = 2.4) there is complete absence of any residual tissue or necrotic debris within the treatment cavity and there is no evidence of tissue hemorrhage. At 4x magnification (B) the luminal surface has intact urothelium (solid arrow) and glandular structures adjacent to the treatment cavity are intact and undamaged (dashed arrow).
Figure 2.
Moderate parenchymal hemorrhage is seen within this prostate harvested 8 days after histotripsy treatment from subject 9. Anticoagulation was supratherapuetic (INR = 11.3) at the time of histotripsy. Erythrocytes can be seen infiltrating beyond treatment zone (solid arrow) into prostate parenchyma (A). At 20x magnification (B), the treatment cavity is seen filled with scattered erythrocytes (solid arrow) and fibrin debris (dashed arrow).
Laboratory values for all subjects on the day of treatment, post-operative day (POD) 1, and at the time of harvest are shown in Table 1. Mean hemoglobin concentration (normal canine range 10.0 to 19.0) on the day of treatment (baseline) was 12.9 g/dl (median 13.4, range 9.8 to 14.7 g/dl). The mean INR of the subjects at the time of treatment was 4.6 (median 2.4, range 1.2 to 11.3). On POD 1, mean hemoglobin concentration had changed +0.3 g/dl. At the time of harvest (7 to 28 days following treatment) mean hemoglobin concentration was unchanged compared to baseline (12.9 g/dl; median 12.7, range 10.9–14.2 g/dl). The largest individual decrease in hemoglobin was 2.5 g/dl (Subject 8), although this subject remained within the normal reference range. The subjects were divided into three separate groups based on INR on the day of treatment. Two subjects had sub-therapeutic anticoagulation (Group 1, defined as INR < 2), two subjects had INR values within the typical therapeutic range (Group 2, defined as INR 2 to 3.5), and four subjects were supratherapeutic (Group 3, defined as INR > 3.5). The mean change in hemoglobin from baseline to the day of harvest in group 1 was +1.3 g/dl, compared to −0.1 g/dl in Group 2 and −0.6 g/dl in group 3.
Table 1.
Summary of laboratory values
| Subject # | Survival Time (days) | Pre-Treatment |
POD #1 |
Harvest |
|||||
|---|---|---|---|---|---|---|---|---|---|
| INR | Hgb | INR | Hgb | Δ Hgb | INR | Hgb | Δ Hgb | ||
| Group 1 | |||||||||
| 1 | 7 | 1.2 | 10.9 | 1 | 11.2 | 0.3 | 1 | 10.9 | 0 |
| 2 | 7 | 1.2 | 9.8 | 1 | 9.2 | −0.6 | 1 | 12.4 | 2.6 |
| Group 2 | |||||||||
| 3 | 7 | 2.0 | 13.6 | 2.3 | 13.8 | 0.2 | 1 | 14.1 | 0.5 |
| 4 | 9 | 2.4 | 13.4 | 4.8 | 11.3 | −2.1 | 1 | 12.5 | −0.9 |
| 5 | 28 | 2.4 | 14.2 | 1.3 | 15.7 | 1.5 | 1 | 14.2 | 0 |
| Group 3 | |||||||||
| 6 | 7 | 5 | 12.7 | 1.1 | 16.2 | 3.5 | 1 | 13 | 0.3 |
| 7 | 19 | 7.2 | 13.7 | 5.9 | 13.9 | 0.2 | 1 | 13.9 | 0.2 |
| 8 | 8 | 8.9 | 14.7 | 13.7 | 14.5 | −0.2 | 1 | 12.2 | −2.5 |
| 9 | 8 | 11.3 | 13.4 | 13.7 | 12.8 | −0.6 | 1 | 12.9 | −0.5 |
In all subjects there was initially subjective moderate hematuria without clots following treatment which progressed to light pink/clear at the conclusion of irrigation with up to 500 ml saline. One subject (Subject 8) had traumatic self removal of the urinary catheter within 2 hours of the procedure resulting in symptomatic urinary retention requiring catheter replacement. This subject was able to void spontaneously on POD 3 following catheter removal and had no further episodes of retention. In all other subjects, there was mild persistent hematuria without blood clots that did not impede their able to void spontaneously following catheter removal one day following treatment. None of the subjects exhibited urinary incontinence or signs of urinary sphincter dysfunction. The urine was clear in all of these subjects within two days following removal of the urinary catheter.
Four of 9 subjects (2, 4, 6, and 8) had perforation of the prostatic capsule noted histologically. In subject 2 this resulted in formation of a large pelvic urinoma. Superficial rectal erosions were noted incidentally at harvest in five subjects (2, 6, 7, 8, and 9). In one animal (Subject 4) a recto-prostatic fistula occurred with perirectal abscess and symptomatic peritonitis. One animal required early euthanasia due to severe gastroenteritis and dehydration unrelated to treatment (Subject 6).
COMMENT
This study was undertaken to further evaluate the extent of hematuria/hemorrhage during and after histotripsy treatment of the prostate. Based on observations in previous studies that histotripsy resulted in surprisingly little bleeding, the study was designed to maximize the possibility of significant bleeding from histotripsy in two ways. First, all subjects were administered high doses of warfarin in an effort to produce therapeutic (3 subjects) or supratherapeutic (4 subjects) anticoagulation, in several cases far in excess of what is considered safe in clinical practice. Second, the prostate was aggressively targeted: the entire left lobe of the prostate including prostatic urethra and as much parenchyma as could be reached on the right side given the constraints of the abdominal location of the os penis blocking the ultrasound beam. Despite these measures to maximize the chance of bleeding, no clinically significant blood loss was encountered in any of the subjects. The underlying reasons for this are unclear. One possible theory is that cavitation induces a mechanical sealing of vessels providing hemostasis, however further research is needed to more fully elucidate the mechanism for this hemostasis. Nonetheless the results are encouraging.
While it has previously been established that immediate debulking of tissue occurs with histotripsy treatment8, at short time points (approximately one week following treatment) some residual debris was present within the treatment cavity, especially in those subjects who achieved supratherapeutic INR levels. On histologic examination, this material appeared to consist of erythrocytes, fibrin, and necrotic debris from the treated tissue. However, at delayed time points of 3 weeks or greater, this debris is absent leaving a well demarcated treatment cavity. While it is likely that treatment of the urethra assists in resolution of this debris by allowing it to be voided spontaneously, further work is currently underway to describe the temporal resolution of the debris and to characterize it at a subcellular level.
The risk of significant bleeding with TURP has decreased with technologic improvements yielding current transfusion rates between 0.4 – 7.1%.12 Further decrease in transfusion rate (0.7%) has been reported with laser techniques such as HoLEP and PVP.13 However, aging of the population needing surgical treatment for BPH presents additional complexity with increased comorbidity and a greater fraction of patients requiring treatment with chronic anticoagulant regimens.
In the case of TURP, the risk of clinically significant bleeding in patients taking anticoagulants concurrently is high. Chakravarti et al managed a small cohort of patients by performing TURP after cessation of warfarin for three days and instituted heparin therapy for 2 days preoperatively.14 While this strategy resulted in only one blood transfusion, nearly one-third of the patients were readmitted to the hospital for persistent bleeding. Parr et al performed TURP in twelve patients without holding warfarin.15 They reported a 25% transfusion rate and half requiring fresh frozen plasma. While these reports suggest that it is possible to perform TURP in anticoagulated patients, the risk of requiring blood products makes this approach suboptimal. Furthermore, one is often forced to either fully reverse anticoagulation placing the patient at risk of thrombotic events, or admit the patient to the hospital for several days peri-operatively in order to bridge their anticoagulation with heparin infusion.
A study by Elzayat in 2006 reported on HoLEP in 83 anticoagulated patients.16 Most temporarily discontinued oral anticoagulation or were switched to low molecular weight heparin for HoLEP. Transfusion was required in one patient intraoperatively and seven postoperatively.
Ruszat et al performed photoselective vaporization of the prostate (PVP) in 116 men on ongoing oral anticoagulant therapy, including 36 (31%) who were taking warfarin concurrently.17 In their series, there were no major complications and none of the patients required blood transfusion. Despite this favorable safety profile, 17.2% of the patients on concurrent anticoagulants (including 60% of patients with an INR > 2) required continuous bladder irrigation postoperatively.
Based on the current study in nine canines, histotripsy treatment of the prostate did not cause significant blood loss or clot retention. Despite these encouraging results in the canine model, generalization to human subjects is uncertain. There are structural differences in the anatomy of the gland with the canine prostate being bilobed without zonal structures whereas the human prostate is subdivided into several different zones with the transition zone being most relevant to BPH. However, the vascular anatomy of the prostate is very similar between the two species. In both humans and canines, arterial branches from the internal pudendal artery perforate the capsule to supply the stroma and glandular tissues with the venous drainage in close proximity.18 This is directly within the treatment zone placing the vasculature at risk during histotripsy increasing the risk of bleeding, although there was minimal blood loss seen. Additionally, we delivered histotripsy treatment via a trans-abdominal approach due to the anatomic location of the prostate in the canine. However, in the human the prostate is located deep within the pelvis which will likely require a trans-perineal or trans-rectal approach.
The reason for the high complication rate in this study is multifactorial. Rectal erosions were likely a result of trauma and pressure necrosis from the small surface area of the transrectal imaging probe applied against the prostate to help immobilize it during treatment. In previous studies using a larger transrectal ultrasound transducer and subsequent studies that utilize a broad, smooth sheath to support the prostate, no rectal injuries have occurred.
Full thickness damage occurred in one case and resulted in communication between the rectum and prostate treatment cavity (Subject 4). This was the result of aggressive treatment and mistargeting with cavitation bubble cloud activity seen in and adjacent to the rectum. In the cases with capsular perforations, most were only noted histologically with one leading to urinoma and peritonitis. In general, the canine prostatic capsule is significantly thinner and less robust than the human prostate capsule.19,20 Additionally, the aggressive treatment strategy of a large volume of the prostate and likely inadvertent treatment of the prostate capsule and adjacent tissues may also have contributed to the capsular perforations In each of these cases, cavitation bubble activity was seen both within and outside the prostate spanning the capsule in certain locations. These complications can be easily reduced and eliminated with less aggressive treatment planning and more precise automated treatment protocols.
CONCLUSIONS
In this study we further evaluated and validated the observation that minimal bleeding occurs following histotripsy ablation of the prostate. To maximize the potential for bleeding, the canine subjects were anticoagulated and aggressive histotripsy treatments targeting large volumes of the prostate were performed. Despite these measures, prostate histotripsy resulted in minimal bleeding and hematuria with extensive tissue fractionation and removal. Based on these findings histotripsy warrants further development and evaluation.
Acknowledgments
Funding: This research was funded in part by grants from the Wallace H. Coulter Foundation and NIH 1K08DK081656-01.
Footnotes
Disclosure: William W. Roberts is entitled to royalties from and is an equity holder in Histosonics, LLC, a private firm which has licensed intellectual property that is referenced in this manuscript.
Publisher's Disclaimer: This is a PDF file of an unedited manuscript that has been accepted for publication. As a service to our customers we are providing this early version of the manuscript. The manuscript will undergo copyediting, typesetting, and review of the resulting proof before it is published in its final citable form. Please note that during the production process errors may be discovered which could affect the content, and all legal disclaimers that apply to the journal pertain.
References
- 1.Ruszat R, Seitz M, Wyler SF, Abe C, Rieken M, Reich O, et al. Greenlight laser vaporization of the prostate: single-center experience and long-term results after 500 procedures. Eur Urol. 2008;54:893–901. doi: 10.1016/j.eururo.2008.04.053. [DOI] [PubMed] [Google Scholar]
- 2.Tan A, Liao C, Mo Z, Cao Y. Meta-analysis of holmium laser enucleation versus transurethral resection of the prostate for symptomatic obstruction. Br J Surg. 2007;94:1201–8. doi: 10.1002/bjs.5916. [DOI] [PubMed] [Google Scholar]
- 3.Roberts WW, Hall TL, Ives K, Wolf JS, Jr, Fowlkes JB, Cain CA. Pulsed cavitational ultrasound: a noninvasive technology for controlled tissue ablation (histotripsy) in the rabbit kidney. J Urol. 2006;175:734–8. doi: 10.1016/S0022-5347(05)00141-2. [DOI] [PubMed] [Google Scholar]
- 4.Kieran K, Hall TL, Parsons JE, Wolf JS, Jr, Fowlkes JB, Cain CA, Roberts WW. Refining histotripsy: defining the parameter space for the creation of nonthermal lesions with high intensity, pulsed focused ultrasound of the in vitro kidney. J Urol. 2007;178:672–6. doi: 10.1016/j.juro.2007.03.093. [DOI] [PubMed] [Google Scholar]
- 5.Xu Z, Raghavan M, Hall TL, Chang CW, Mycek MA, Fowlkes JB, Cain CA. High speed imaging of bubble clouds generated in pulsed ultrasound cavitational therapy--histotripsy. IEEE Trans Ultrason Ferroelectr Freq Control. 2007;54:2091–101. doi: 10.1109/TUFFC.2007.504. [DOI] [PMC free article] [PubMed] [Google Scholar]
- 6.Xu Z, Fowlkes JB, Rothman ED, Levin AM, Cain CA. Controlled ultrasound tissue erosion: the role of dynamic interaction between insonation and microbubble activity. J Acoust Soc Am. 2005;117:424–35. doi: 10.1121/1.1828551. [DOI] [PMC free article] [PubMed] [Google Scholar]
- 7.Tran BC, Seo J, Hall TL, Fowlkes JB, Cain CA. Microbubble-enhanced cavitation for noninvasive ultrasound surgery. IEEE Trans Ultrason Ferroelectr Freq Control. 2003;50:1296–304. doi: 10.1109/tuffc.2003.1244746. [DOI] [PubMed] [Google Scholar]
- 8.Lake AM, Hall TL, Kieran K, Fowlkes JB, Cain CA, Roberts WW. Histotripsy: minimally invasive technology for prostatic tissue ablation in an in vivo canine model. Urology. 2008;72:682–6. doi: 10.1016/j.urology.2008.01.037. [DOI] [PMC free article] [PubMed] [Google Scholar]
- 9.Roberts WW, Hall TL, Hempel CR, Cain CA. Prostate Histotripsy for BPH: Initial Canine Results. Proceedings of SPIE, Photonic Therapeutics and Diagnostics; 2009. p. 1N1-8. [Google Scholar]
- 10.Monnet E, Morgan MR. Effect of three loading doses of warfarin on the international normalized ratio for dogs. Am J Vet Res. 2000;61:48–50. doi: 10.2460/ajvr.2000.61.48. [DOI] [PubMed] [Google Scholar]
- 11.Hall TL, Hempel CR, Wojno K, Xu Z, Cain CA, Roberts WW. Histotripsy of the prostate: dose effects in a chronic canine model. Urology. 2009 Jul 21; doi: 10.1016/j.urology.2009.03.049. [Epub ahead of print] [DOI] [PMC free article] [PubMed] [Google Scholar]
- 12.Rassweiler J, Teber D, Kuntz R, Hofmann R. Complications of transurethral resection of the prostate (TURP) – incidence, management, and prevention. Eur Urol. 2006;50:969–80. doi: 10.1016/j.eururo.2005.12.042. [DOI] [PubMed] [Google Scholar]
- 13.Lourenco T, Pickard R, Vale L, Grant A, Fraser C, MacLennan G, et al. Alternative approaches to the endoscopic ablation for benign enlargement of the prostate: systematic review of randomized controlled trials. BMJ Oct 9. 2008;337:a1662. doi: 10.1136/bmj.39575.517674.BE. [DOI] [PMC free article] [PubMed] [Google Scholar]
- 14.Chakravarti A, MacDermott S. Transurethral resection of the prostate in the anticoagulated patient. Br J Urol. 1998;81:520–2. doi: 10.1046/j.1464-410x.1998.00609.x. [DOI] [PubMed] [Google Scholar]
- 15.Parr NJ, Loh CS, Desmond AD. Transurethral resection of the prostate and bladder tumour without withdrawal of warfarin therapy. Br J Urol. 1989;64:623–5. doi: 10.1111/j.1464-410x.1989.tb05322.x. [DOI] [PubMed] [Google Scholar]
- 16.Elzayat E, Habib E, Elhilali M. Holmium laser enucleationof the prostate in patients on anticoagulant therapy or with bleeding disorders. J Urol. 2006;175:1428–32. doi: 10.1016/S0022-5347(05)00645-2. [DOI] [PubMed] [Google Scholar]
- 17.Ruszat R, Wyler S, Forster T, Reich O, Stief CG, Gasser TC, Sulser T, Bachmann A. Safety and effectiveness of photoselective vaporization of the prostate (PVP) in patients on ongoing oral anticoagulation. Eur Urol. 51:1031–8. doi: 10.1016/j.eururo.2006.08.006. discussion 1038–41, 2007. [DOI] [PubMed] [Google Scholar]
- 18.Evans HE. Miller’s Anatomy of the Dog. 3. Philadelphia: WB Saunders; 1993. pp. 514–6. [Google Scholar]
- 19.McConnell JD. The pathophysiology of benign prostatic hyperplasia. J Androl. 1991;12:356–63. [PubMed] [Google Scholar]
- 20.Mahapokai W, Van Sluijs FJ, Schalken JA. Models for studying benign prostatic hyperplasia. Prostate Cancer Prostatic Dis. 2000;3:28–33. doi: 10.1038/sj.pcan.4500391. [DOI] [PubMed] [Google Scholar]


