Abstract
Immunoglobulins from animals of the Camelidae family boast unique forms that do not incorporate light chains. Antigen binding in these unconventional heavy-chain homodimers is mediated through a single variable domain. When expressed recombinantly these variable domains are termed single domain antibodies (sdAb), and are among the smallest naturally IgG derived antigen binding units. SdAb possess good solubility, thermostability, and can refold after heat and chemical denaturation making them promising alternative recogntion elements. We have constucted a library of phage-displayed sdAb from a llama immunized with a cocktail of botulinum neurotoxin (BoNT) complex toxoids and panned the library for binders for BoNT A complex toxoid. Six unique binders were isolated, and found to specifically bind BoNT A complex in toxoid and untoxoided forms and when used in optimal combinations in buffer and milk could detect 100 pg/mL untoxoided complex. All sdAb retained their ability to specifically bind target after heating to 85°C for an hour, in contrast to conventional polyclonal sera. All of the sdAb were highly specific for subtype A1 rather than A2 and demonstrated binding to the 33 kDa hemagglutinin, potentially to a somewhat overlapping linear epitope. The unique properties of these sdAb may provide advantages for many diagnostic applications where long term storage and in line monitoring require very rugged yet highly specific recognition elements.
Introduction
Since antibodies bind a wide range of antigens with high specificity and high affinity, they comprise the recognition elements for many rapid diagnostic assays. IgGs are 150 kDa molecules made up of 2 heavy chains and 2 light chains; the antigen binding sites are formed by combinations of amino acids in both the variable light (VL) and heavy (VH) domains. Advances in recombinant DNA technologies have made possible the in vitro production of these variable regions in various configurations (for review see 1). Advantages of recombinant antibody fragments include their smaller size (e.g. scFv comprising VH linked to VL is ∼27 kDa) and inexpensive production in bacteria. However, these fragments, typically have poor solubility and/or stability unless genetically engineered 2-4, which limits the robustness of diagnostic assays.
Remarkably, the members of the Camelidae family (i.e., camels and llamas) have IgG subclasses that consist of only two heavy chains5. The variable domains from these heavy chain only antibodies have been cloned 6 and are called single domain antibodies (sdAb). Since sdAb lack a variable light chain, their antigen binding surface has, at most, three as opposed to six complementarity determining regions (CDRs) and select surface amino acids are altered to compensate for the lack of a partner light chain 7. SdAb are small (∼16 kDa), highly stable, and able to properly refold after denaturation 8,9, making them a valuable source of alternative recombinant binding ligands 10-13.
Botulinum neurotoxins (BoNTs) are the most potent biological toxins discovered so far. They are 150 kDa proteins consisting of two subunits: a 100 kDa heavy chain and a 50 kDa light chain linked together via a single disulfide bond. BoNTs are secreted by bacteria of the genus Clostridium as a complex containing both the toxin proteins as well as several non-toxic components that both help to protect the neurotoxin as well as assist in its absorption into the body (for review see 14). There are seven unique serotypes of BoNT, (A, B, C, D, E, F and G) categorized on the basis of serological non-cross reactivity of neutralizing antisera. Botulinum intoxication, usually from the consumption of contaminated food, constitutes a medical emergency which requires prompt provision of antitoxin and intensive care. All seven BoNT serotypes represent potential biothreat agents 15 and are the only toxins placed in Category A of the CDC risk group, owing to their high potency. It is important for a diagnostic assay to precisely define which serotype is present in a sample such that the appropriate anti-dote can be prepared. Consequently, there is an urgent need to produce rugged yet concise in-process assays for BoNT to monitor food supplies 16. In this study, our objective was to generate sdAbs capable of recognizing BoNT complex serotype A, assess their specificity, sensitivity and robustness to determine if they could form the basis of such assays. Furthermore, we also began to explore the molecular basis of their specificity characteristics to help formulate a route to generate sdAb to other subtypes of a particular BoNT serotype.
Materials and Methods
Reagents
BoNT toxoids, toxins, complex toxins and BoNT toxins coupled to Luminex beads were purchased through Metabiologics (Madison, WI). BoNT complex toxoids and rabbit anti-BoNT A were purchased from the US Department of Defense Critical Reagents Program. The llama blood was provided by the Naval Medical Research Center (Silver Spring, MD); the llama had been immunized with a mixture of botulinum complex toxoids A, B, E, and F for a period of 3 years followed by immunization with a mixture of complex toxoids A through E for a period of 2 years 17, 18. PhycoLink® Streptavidin-R-Phycoerythrin PJ31S (SA-PE) was purchased from Prozyme (San Leandro, CA). Phosphate buffered saline (PBS), Tween 20, and bovine serum albumin (BSA) were obtained from Sigma-Aldrich (St. Louis, MO). Ricin was from Vector (Burlingame, CA). The Anti-M13 antibody was purchased from GE Healthcare (Piscataway, NJ).
Biosafety
Experiments with solution phase BoNT toxins and BoNT toxin complexes were performed at the Southwest Foundation for Biomedical Research as part of the Centers for Disease Control Select Agent Program following all applicable federal guidelines and local biohazard and safety committee approval.
Biotinylation of Antibodies
Antibodies were biotinylated (Bt-) using NHS-LC-Biotin (Pierce) dissolved in dimethyl sulfoxide (1.4 g/L). The antibodies were reacted with a 10:1 molar excess of the NHS-LC-Biotin buffered by the addition of a half-volume of 100 mM sodium borate + 100 mM sodium chloride (pH 9.1). After 1 hour at room temperature, the biotinylated antibodies were purified on a Bio-gel P10 column (BioRad, Hercules, CA).
SdAb Library construction
White blood cells were isolated from 40 mL of llama blood and total RNA extracted using a Total RNA kit (Ambion, Austin, TX). RNA was used in an oligo-dT primed reverse transcription reaction kit (RETROscript, Ambion, Austin, TX) and PCR amplification of the heavy domain antibodies was performed using flanking primers as described previously 11 with resulting sdAb genes being cloned into phage display vector pecan21.
Panning
Selection was carried out as described previously 11 using BoNT A complex toxoid as target. After 3 rounds of panning, we performed a polyclonal phage enzyme linked immunosorbant assay (ELISA) to monitor the success of the selection and then used monoclonal phage ELISA to identify individual positive clones. Clones initially identified as positive for BoNT A complex toxoid binding by ELISA were further characterized by Luminex as described previously 18(Figure 1). Clones identified as positive by both ELISA and Luminex were then sequenced to identify unique sdAb genes.
Figure 1.
Phage Luminex of the 12 clones selected for sequencing from the monoclonal phage ELISA and 2 clones (A1 and g11) classified as non-binding from the phage ELISA. The phage were examined for binding to a variety of toxin, toxoid, and complex toxoid coupled beads. Shown here is the binding to beads coated with BSA, BoNT A toxin (Atx), BoNT B toxin (Btx), BoNT A complex toxoid (Actd), BoNT B complex toxoid (Bctd), BoNT E complex toxoid (Ectd), BoNT A toxoid (Atd), and BoNT B toxoid (Bt). Phage B1, E1, E2, H1, H4, A4 and A1 are from round 2 selection. Phage g10, H10, H11, H8, E7, C9, g11 are from round 3. MFI – median fluorescence intensity. The deviation was less than 5% of the median value reported.
SdAb protein production
Unique sdAb clones were subcloned from the phage display sdAb-fusion vector to a soluble sdAb expression vector. Constructs were transformed into E. coli Tuner plus pRARE (Novagen, Madison, WI). The sdAb proteins were isolated from the periplasmic compartment of 500mL scale shake flask cultures by osmotic shocking, IMAC and gel filtration on a Superdex G75 column (GE-Healthcare). Proteins were quantified using micro-BCA assay (Pierce, Rockford, IL) and kept at 4 °C prior to analysis. SdAb proteins fused to E. coli hyperactive alkaline phosphatase for use in western blotting, were made as described previously and purified by IMAC and gel filtration on a Superdex G200 column 13.
Preparation of Luminex reagents and assay protocols
Luminex (Austin, TX) or BioRad (Hercules, CA) carboxylated microspheres were crosslinked to a variety of proteins using the two-step carbodiimide coupling protocol provided by the manufacturer. The signal for Luminex/Bioplex experiments is reported as the median fluorescence intensity of at least 100 separate microspheres or the mean of duplicate experiments counting median fluorescent intensities of 100 separate microspheres.
For direct binding assays to determine relative Kd, Bt- sdAb were serially diluted in a 96-well microtiter plate, 60 μl/well. To each well a mixture of BoNT complex toxoid coated microspheres was added, 5 μl/well; they were allowed to incubate for at least 30 minutes. Then SA-PE (5 μl/well) was added (10 mg/L) and incubated an additional 30 minutes prior to measuring using the Luminex 100 flow analyzer.
For the thermal stability testing, 30 μL of the sdAb at 10 mg/L or IgGs at 100 mg/L were heated for various times at 85°C in a thermal cycler (Tetrad 2, MJ Research). After cooling to room temperature each sdAb or IgG sample was tested at 1 or 10 mg/L respectively for direct binding to toxin-coated microspheres as described for the monoclonal testing.
For the sandwich immunoassays, selected antibody-coated microspheres were incubated, in wells of a 1.2 μm multiscreen filter plate (Millipore, Billerica, MA) with different amounts/types of antigens for 30 minutes at room temperature. Antigens were removed by filtration, and selected biotinylated anti-BoNT antibodies added at 10 mg/L. After 30 minutes of incubation the antibody was removed by filtration and SA-PE (2.5 mg/L) was added and incubated at room temperature in the dark for 30 minutes. Binding was then evaluated using Luminex based instruments Luminex 100 (Luminex, Austin, TX) or Bioplex (BioRad, Hercules, CA).
For the competition analysis, a 10 fold molar excess of unbiotinylated competitor was added to the Bt-sdAb, before addition to toxin complex captured on the various sdAb coated beads to formulate an inhibition sandwich assay.
Western blotting
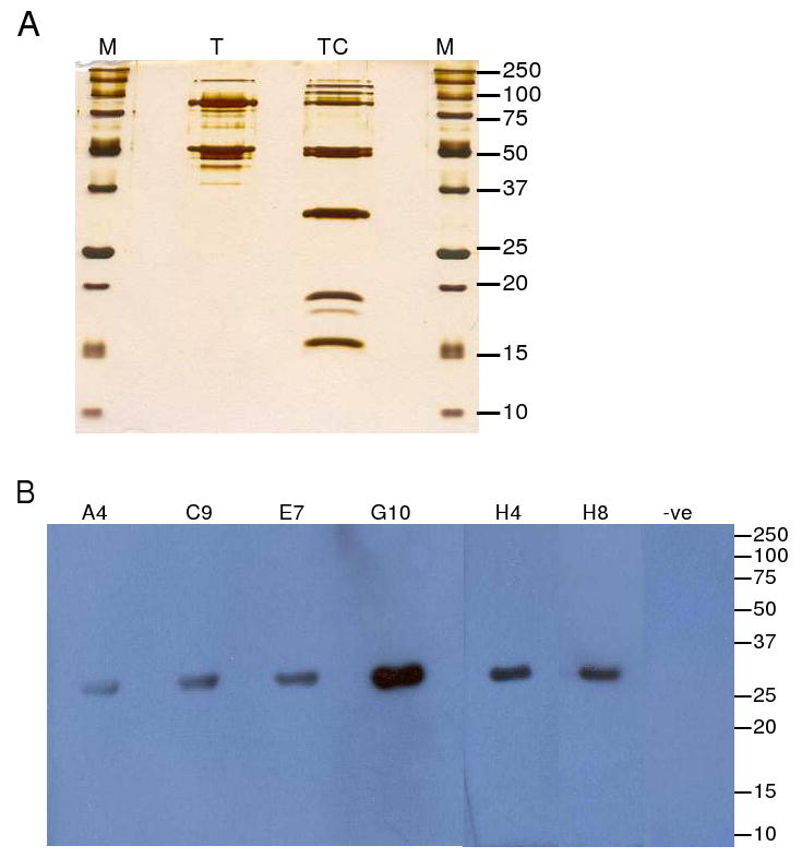
First, 1 μg of BoNT A toxin and BoNT A complex were each boiled and reduced in Laemmli sample buffer and electrophoresed on a 14% SDS-PAGE gel and silver stained to ensure the full complement of proteins was resolved and captured (Figure 7a). Secondly, 100ng of complex or control antigen were similarly resolved, and proteins transferred to Immobilon P. Strips of membranes were blocked with Tris buffered saline (TBS) containing 2% non fat dried milk, and probed with 100 nM of the sdAb-AP fusion proteins. Membranes were washed extensively with TBS containing 0.1 % Tween-20, signals developed with SuperSignal West PICO substrate (Pierce, Rockland, IL) and captured on X-ray film (Fuji, Valhalla, NY) as described previously 13 (Figure 7b). Molecular weight standards were Precision Plus Unstained for the silver stain and Precision Plus Kaleidoscope for the western blot (BioRad, Hercules, CA).
Figure 7.

Epitope mapping the sdAb clones. Panel A shows silver stained proteins of molecular weight markers (M), serotype A toxin (T) and toxin complex (TC) to confirm that all known components of the complex are resolved. Molecular weights in kDa are indicated on the right. Panel B shows toxin complex western blotted and probed with each of the sdAb clones or no sdAb (-ve) as fusions to hyperactive alkaline phosphatase, all appearing to bind a 33 kDa species. (Molecular weights in kDa shown on the right, were estimated from the coloured Kaleidoscope markers transferred to the blot).
Results and Discussion
Selection of BoNT A complex toxoid binders
We constructed a library of approximately 5 × 108 individual sdAb coding sequences displayed on gene 3 of M13 derived from a llama immunized with BoNT complex toxoids. Evaluation of serum and purified polyclonal antibodies derived from this animal showed strong response towards the BoNT A complex toxoid 17. Based on these results we elected to pan the library for binders towards BoNT A complex toxoid. After the third round, polyclonal phage ELISA indicated specific BoNT A complex binders had been enriched; 48 clones from each of round 2 and 3 were chosen at random to prepare crude phage to examine by monoclonal phage ELISA on BoNT A complex toxoid, BoNT B complex toxoid, and BSA. We found that more than half of the clones selected from both the second and third round had a ratio of specific to non-specific binding of over 3 (data not shown). Six representatives from each of the second and third rounds, with ratios of specific to non-specific binding of at least 5 were chosen to examine further by phage xMAP 18 and to be sent for DNA sequencing. Phage xMAP showed that each of the selected clones appeared specific for BoNT A complex toxoid, with minimal cross-reactivity towards other bead immobilized BoNT toxins, toxoids, complex toxoids or irrelevant proteins (Figure 1).
DNA sequencing revealed our clones fell into 6 sequences families (Figure 2). The G10 clone shares the CDRs of the H4 family but has about a dozen differences in the framework regions. Two families have the hinge of the IgG3b subclass and the rest are of the IgG2b 19.
Figure 2.

Predicted amino acid sequence alignment of the 6 unique clones prepared using the multalin program 53. E7, H8, G10 were each isolated once, C9 twice (with E1), A4 three times (with B1 and E2), and H4 was isolated 4 times (with H1, H10, and H11).
Direct binding of selected sdAb
The Luminex 100 was used to evaluate specificity and affinity of soluble sdAb proteins to toxins and toxin complexes covalently immobilized to beads, which affords a facile means to handle non-toxoided yet non-toxic derivatives of the BoNTs. All six sdAb were found to be specific for BoNT A complex toxoid at sdAb concentrations up to at least 1 μg/ml (∼63nM) as shown in Figure 3A. The sdAb bound to only the target antigen BoNT A complex toxoid and not to any of the microsphere-coupled toxins, toxoids, or other complex toxoids. Direct binding titration curves of Bt-sdAb are shown in Figure 3B and 3C. All sdAb appear specific and bind well to BoNT A complex toxoid target. Relative affinities for these sdAb to BoNT A complex toxoid, calculated from the equilibrium Luminex direct binding curves shown in Figure 3 ranged from ∼ 1nM to ∼15 nM.
Figure 3.
Specificity and ranking of anti-BoNT A complex sdAb clones on bead immobilized targets. Panel A shows the specificity of each clone for beads coated with a variety of BoNT toxins, toxoids, and complex toxoids at 1 μg/ml (∼63 nM) sdAb. Shown here is the binding to beads coated with BSA, BoNT A toxin (A tx), BoNT A toxoid (A td), BoNT A complex toxoid (Ac td), BoNT B toxoid (B td), BoNT B complex toxoid (Bctd), BoNT C toxoid (C td), BoNT D toxoid (D td), BoNT E toxoid (E td), BoNT E complex toxoid (Ec td), BoNT F toxoid (F td), and BoNT G toxoid (G td). Panels B and C show binding curves of the sdAb at a series of concentrations from to ∼8 pM to ∼63 nM (∼13 pg/ml to 1 μg/ml) binding to BoNT A complex toxoid coated beads with sdAb concentration shown on a log and linear scale respectively. The use of the log scale shows the direct binding at low sdAb concentrations while the linear scale shows that the binding signal is approaching saturation for all of the clones, a prerequisite for Kd determinations. The standard deviation was less than 5% of the median value reported.
Establishing a detection assay for BoNT A complex toxin
Since toxoids are highly crosslinked polyvalent molecules with high avidity 20 it is necessary to evaluate binding to untoxoided molecules in solution to confirm specificities and establish limits of detection. Bioplex (a Luminex based instrument of BioRad, Hercules CA) was used to evaluate the cross reactivity of all possible combinations of sdAb as captors and tracers to a fixed high concentration of each BoNT complex serotype (Figure 4 set 1 .). All sdAb as captors are capable of recognizing BoNT A complex with all sdAb as tracers, including cognate sdAb. Since a single sdAb clone is capable of creating a functional sandwich assay, it indicates that either BoNT A complex exists as at least a dimer and/or there are multiple copies of the antigenic target(s) per A toxin monomer 21 as also seen in serotypes C 22 and D 22 -24. The specificity of almost all combinations for serotype A was good, except for when H4 was the tracer (using all but A4, C9 and E7 captors) and G10 was tracer with H8 as captor. These combinations all showed a minor degree of cross reactivity with serotype B, suggesting a partial shared epitope between serotypes A and B. Although, toxin serotypes are by definition classified on the non-cross reactivity of neutralizing antisera, non-neutralizing sera can occasionally demonstrate cross reactivity between serotypes 25, 26. Furthermore, antigenic cross reactivity has also been shown among components that make up the toxin complexes 27, 28 and may be responsible for A-B cross reactivity of a rabbit serum 29. Alignment of predicted HA33 amino acid sequences from two A, two B and one A/B strain (and D and C strains)30 do indeed reveal several striking regions of homology potentially responsible for antigenic cross-reactivity.
Figure 4.
Specificity and ranking of sdAb on solution phase toxin complexes. Combinations of bead immobilized captor sdAb and biotinylated tracer sdAb were used to establish sandwich assays on the Bioplex. Set 1 shows specificity of the combinations with each of the seven BoNT complexes at 0.1 μg per well Panel A, A4 sdAb captor; panel B, C9 captor; panel C, E7 sdAb captor; panel D, g10 sdAb captor; panel E, H4 sdAb captor; panel F, H8 sdAb captor. x axis represents each antigen with Ac being BoNT A complex, Bc, B complex and so forth. Set 2 shows ranking of the combinations with BoNT A complex: Panel A, A4 sdAb captor; panel B, C9 captor; panel C, E7 sdAb captor; panel D, g10 sdAb captor; panel E, H4 sdAb captor; panel F, H8 sdAb captor. Assay volumes were 100 μL such that set 1 reflects 1 μg/mL concentrations and set 2 reflects titrations from 1 μg/mL to 100 pg/mL. Plots represent the mean of two wells with error bars representing the maximum and minimum signals with each experiment being performed once.
An initial titration of BoNT A complex was performed on all combinations of captors and beads to determine the most sensitive pairs of sdAbs (figure 4 set 2). In most instances C9 proved to be the best tracer followed by A4, whereas E7 proved to be the best captor. Differences were observed between the activities of the clones in this assay of solution phase toxin complex as opposed to bead bound toxoid (cf. figure 3b), indicating the need to evaluate clones in a format matching the required final assay ie. an antigen capture or sandwich assay on untoxoided material. Such evaluation takes in to account factors other than just affinity such as performance as both an immobilized captor (which relies on good orientation of the paratope to the target epitope) and a sandwich tracer (which relies upon recognition of the epitope when the target is homogenously captured by another sdAb rather than randomly immobilised).
To establish a lower limit of detection, four sdAb captor – tracer pairs were selected based on evaluation of limits of detection (data not shown) and their minimal observed cross-reactivity. The chosen combinations were individually used to detect dilutions of A complex made in buffer (figure 5A) or 2% reduced fat milk i.e. milk containing 2% fat (figure 5B.). In this assay a 50 μL sample bearing 10 pg within a 100 μL assay volume yielded fluorescent signal intensities between 10 and 100 fold over background depending on the pair of sdAbs employed with reasonable parity between buffer and milk. With their capacity to detect 100 different antigens in a single well, Luminex based assays are becoming increasingly popular in healthcare laboratory settings31 and autonomous environmental surveillance32. That our anti-A complex sdAbs can be used in this format to detect amounts of toxin equivalent to a mouse lethal dose in a matter of minutes as opposed to days bodes well for the widespread development of rapid yet sensitive tests.
Figure 5.
Lower limits of detection of solution phase BoNT A complex using the most specific and sensitive combinations of sdAb derived from the results of figure 4. Panel A represents experiment performed with toxin complex diluted in PBS and panel B represents dilution in 2% reduced fat milk (i.e. milk containing 2% fat). Assay volumes for both panels were 100 μL such that the titrations range from 5 pg/mL to 10 ng/mL. Plots represent the mean of two wells with error bars representing the maximum and minimum signals with each experiment being performed once.
Thermal stability of soluble sdAb
Each of the sdAb was evaluated for its thermal stability by heating to 85 °C for periods of time, cooling the samples and determining binding to toxoid coated beads. Exposure to high temperatures has been used to try and predict the long-term stability of food products 33, 34 and more modest temperatures have been employed to predict long term stability of immunoassays previously 35, 36. All these sdAb are more thermal stable than both conventional anti-BoNT llama polyclonal antibody as well as rabbit anti-BoNT A polyclonal antibody (Figure 6A). Conventional anti-BoNT antibodies derived from llama (IgG1 fraction) and rabbit all lost the majority of their binding ability after heating for 5 minutes. As seen previously 11, while some sdAb retain near 100% of their binding ability during the period we monitored, others slowly loose it over time. However all retained activity and specificity after an hour at elevated temperature (Figure 6B). While many conventional antibody based assays are under investigation for the sensitive detection of BoNT, they will lack the inherent ruggedness offered by our sdAb.
Figure 6.
Thermal stability of soluble sdAb protein preparations. The sdAb and conventional antibodies were heated to 85 °C for various periods of time, cooled, and assayed at concentrations of 1 μg/ml and 10 μg/ml respectively. Panel A shows the percent binding versus unheated reagent at a series of time points. Panel B shows the binding of the sdAb with beads coated with BSA, ricin, BoNT A complex toxoid (Actd), BoNT B complex toxoid (Bctd), and BoNT E complex toxoid (Ectd) after being heated to 85 °C for an hour. The standard deviation was less than 5% of the median value reported.
Subtype specificity
Biological toxins can come in isoforms or variants that share key modes of action yet can differ in amino acid sequence as a result of evolution which can impact antibody recognition. To date, there are four known subtypes of serotype A (A1, A2, A3 and A4) 37 and likely many more to be discovered. Neutralizing human monoclonal antibodies raised against toxin A1 have already been shown to be weakly cross-reactive with toxin A2 38 and required in vitro evolution to effectively bind both subtypes 39. With a view to establishing a comprehensive portfolio of BoNT specific antibodies, it would also be useful to concisely distinguish the subtypes. To this end we assessed the specificity of our sdAb for A2 (table 1) and found they were exclusively reactive with A1. While resolving A1 and A2 subtypes in 24 h with mass-spectrometry based methods has been accomplished, the method required relatively high amounts of target (2 μg) 43 in contrast to the system described herein.
Table 1.
Determining if the sdAb clones are able to detect other subtypes of BoNT A complex, 10ng of either A1 (used throughout this work) or A2 were applied to the combinations of captors and tracers on the Bioplex. The mean of duplicate median fluorescent intensities is for each read is presented with the percentage cross reactivity of A2 over A1 since at low signals approaching background (e.g. G10 captor with H8 tracer) the % cross-reactivity can give misleading highs.
| Captor (subtype) | A4 | C9 | E7 | G10 | H4 | H8 |
|---|---|---|---|---|---|---|
| A4 (A1) | 408 | 1941 | 1156 | 566 | 238 | 76 |
| A4 (A2) | 10 | 11 | 11 | 10 | 11 | 12 |
| A4% (2:1) | 2.5 | 0.6 | 0.95 | 1.8 | 4.6 | 16 |
| C9 (A1) | 1528 | 2827 | 1563 | 1128 | 1048 | 191 |
| C9 (A2) | 2 | 3 | 3 | 2 | 3 | 2 |
| C9% (2:1) | 0.13 | 0.12 | 0.19 | 0.18 | 0.29 | 0.10 |
| E7 (A1) | 3164 | 6666 | 4142 | 2865 | 2264 | 527 |
| E7 (A2) | 4 | 2 | 2 | 2 | 3 | 3 |
| E7% (2:1) | 0.13 | 0.03 | 0.05 | 0.07 | 0.13 | 0.57 |
| G10 (A1) | 27 | 65 | 22 | 16 | 16 | 5 |
| G10 (A2) | 3 | 4 | 3 | 3 | 3 | 3 |
| %G10(2:1) | 11 | 6.2 | 14 | 19 | 19 | 60 |
| H4 (A1) | 1688 | 1094 | 676 | 1158 | 1255 | 150 |
| H4 (A2) | 4 | 2 | 3 | 3 | 4 | 2 |
| %H4 (2:1) | 0.24 | 0.18 | 0.44 | 0.25 | 0.32 | 1.3 |
| H8 (A1) | 27 | 80 | 28 | 14 | 17 | 5 |
| H8 (A2) | 3 | 2 | 4 | 2 | 3 | 3 |
| %H8 (2:1) | 11 | 2.5 | 14 | 14 | 18 | 60 |
Subunit specificity
All of the clones appeared to preferentially react with toxin as a complex rather than just toxin alone (Figures 1A, and 3A), suggesting that they bind the neurotoxin accessory proteins (NAPs). NAPs shield the toxin cargo from the destructive effects of proteases and pH during ingestion 44, 45, can increase endopeptidase activity of the toxins 46 and have also been shown to improve toxin uptake 45 though is not an absolute requirement for oral toxicity 47. To define which component or components of the complex was or were bound we resolved the proteins by gel electrophoresis (Figure 7A) to confirm all of the known targets were present 21 for subsequent western blotting and probing. Figure 7B shows all sdAb appear to bind the 33 kDa hemagglutinin (HA) which has been shown previously to be the most highly immunogenic component of BoNT A complex 48 and may well make an excellent antigen to generate sdAb specific for other BoNT serotypes possessing this component.
To date, very little is known about the comparative antigenicity of the non-toxin proteins that make up the BoNT complexes. Indeed, HA33 from a single A1 strain was cloned, expressed and purified only relatively recently 40. However, recent genomic studies of Clostridia 41, 42 have indicated that while A1 and A4-B encode HA33 with 97.3% similarity at the amino acid level, A2, and A3 possess non-homologous Orfx genes explaining our sdAbs lack of recognition of the A2 subtype.
Epitope specificity
Detection of boiled, reduced and western blotted target indicates our sdAbs likely bind linear epitopes. To determine if all sdAb targeted one or more epitopes we performed competitive inhibition on the Bioplex (Table 2). While the data is likely complicated by differences in affinity and the fact that the assay is being applied to a dimer/multimeric species rather than a monovalent target, all of the sdAbs appear to target a region of overlapping epitopes. Since 4 of our 5 sdAb have unique CDRs it is still likely that they will bind different amino acid sequences which helps ensure the panel as a whole is less susceptible to loss of binding the desired BoNT target due to antigenic mutation.
Table 2.
Results of sdAb competition assay. The biotinylated tracer sdAb was combined with a tenfold molar excess of unbiotinylated inhibitor sdAb. The mean average of duplicate mean fluorescent intensities for each reading relative to no inhibitor was used to calculate the percentage inhibition.
| Percent inhibition | |||||||
|---|---|---|---|---|---|---|---|
| Tracer | |||||||
| A4 | C9 | E7 | G10 | H4 | H8 | ||
| inhibitor | A4 | 98 | 18 | -86 | 0 | 88 | 79 |
| C9 | 50 | 98 | 99 | 86 | 95 | 99 | |
| E7 | 38 | 52 | 84 | 60 | 78 | 95 | |
| G10 | 45 | 36 | -15 | 94 | 92 | 90 | |
| H4 | 70 | 27 | -12 | 85 | 99 | 86 | |
| H8 | 12 | 15 | 65 | 52 | 62 | 91 | |
| BSA | 4 | 4 | -9 | -4 | 0 | -1 | |
Conclusion
We have developed a panel of llama sdAb specific for BoNT A complex via a phage display library derived from a llama immunized for variety of BoNT complex toxoids. These sdAb were shown to bind a major component of the toxin complex (HA33) and functioned as both capture and tracer elements in sandwich immunoassays, and could distinguish subtype A1 from A2. Based upon extrapolation from non-human primate studies, the oral toxicity of BoNT is estimated to be 1 μg/kg 49, hundredfold less for inhalation toxicity (10 pg/kg)50 and a thousand fold less for injected toxicity(1 pg/kg) 49, 51. Optimal combinations could rapidly detect these biothreat relevant levels of at least A1 complex (ie. several pg) in both buffer and milk, the latter being known to be a vulnerable target for deliberate contamination16. The sdAb demonstrated superior heat stability when compared with conventional immunoglobulins, making these powerful materials for in process monitoring and field applications where refrigeration is often lacking. We are currently improving the diagnostic versatility of these remarkable little antibodies by working towards a panel of sdAb capable of individually binding all seven serotypes of toxin in both uncomplexed and complexed forms, since all are potent biothreats 52. Since existing assays are geared towards the more common serotypes and subtypes we aim to harness the high specificity of sdAbs to fill this vital biosecurity gap.
Acknowledgments
We thank Jill Czarnecki, Naval Medical Research Center, MD for providing the llama blood. BV was supported by a grant from the National Science Foundation for students attending a historically black college or university, minority institution, or tribal college or university. This work was supported by JSTO-CBD/DTRA Contract # HDTRA 1-07-C-0018, JSTO-CBD/DTRA Project # 8.10033_07_NRL_B and NIH C06 RR12087.
References
- 1.Holliger P, Hudson PJ. Nat Biotechnol. 2005;23:1126–1136. doi: 10.1038/nbt1142. [DOI] [PubMed] [Google Scholar]
- 2.Jung S, Honegger A, Pluckthun A. J Mol Biol. 1999;294:163–180. doi: 10.1006/jmbi.1999.3196. [DOI] [PubMed] [Google Scholar]
- 3.Brockmann EC, Cooper M, Stromsten N, Vehniainen M, Saviranta P. J Immunol Methods. 2005;296:159–170. doi: 10.1016/j.jim.2004.11.008. [DOI] [PubMed] [Google Scholar]
- 4.Demarest SJ, Chen G, Kimmel BE, Gustafson D, Wu J, Salbato J, Poland J, Elia M, Tan X, Wong K, Short J, Hansen G. Protein Eng Des Sel. 2006;19:325–336. doi: 10.1093/protein/gzl016. [DOI] [PubMed] [Google Scholar]
- 5.Hamers-Casterman C, Atarhouch T, Muyldermans S, Robinson G, Hamers C, Songa EB, Bendahman N, Hamers R. Nature. 1993;363:446–448. doi: 10.1038/363446a0. [DOI] [PubMed] [Google Scholar]
- 6.Arbabi Ghahroudi M, Desmyter A, Wyns L, Hamers R, Muyldermans S. FEBS Lett. 1997;414:521–526. doi: 10.1016/s0014-5793(97)01062-4. [DOI] [PubMed] [Google Scholar]
- 7.Muyldermans S, Atarhouch T, Saldanha J, Barbosa JA, Hamers R. Protein Eng. 1994;7:1129–1135. doi: 10.1093/protein/7.9.1129. [DOI] [PubMed] [Google Scholar]
- 8.Perez JM, Renisio JG, Prompers JJ, van Platerink CJ, Cambillau C, Darbon H, Frenken LG. Biochemistry. 2001;40:74–83. doi: 10.1021/bi0009082. [DOI] [PubMed] [Google Scholar]
- 9.Dumoulin M, Conrath K, Van Meirhaeghe A, Meersman F, Heremans K, Frenken LG, Muyldermans S, Wyns L, Matagne A. Protein Sci. 2002;11:500–515. doi: 10.1110/ps.34602. [DOI] [PMC free article] [PubMed] [Google Scholar]
- 10.Ladenson RC, Crimmins DL, Landt Y, Ladenson JH. Anal Chem. 2006;78:4501–4508. doi: 10.1021/ac058044j. [DOI] [PubMed] [Google Scholar]
- 11.Goldman ER, Anderson GP, Liu JL, Delehanty JB, Sherwood LJ, Osborn LE, Cummins LB, Hayhurst A. Anal Chem. 2006;78:8245–8255. doi: 10.1021/ac0610053. [DOI] [PMC free article] [PubMed] [Google Scholar]
- 12.Saerens D, Frederix F, Reekmans G, Conrath K, Jans K, Brys L, Huang L, Bosmans E, Maes G, Borghs G, Muyldermans S. Anal Chem. 2005;77:7547–7555. doi: 10.1021/ac051092j. [DOI] [PubMed] [Google Scholar]
- 13.Sherwood LJ, Osborn LE, Carrion R, Jr, Patterson JL, Hayhurst A. J Infect Dis. 2007;196 2:S213–219. doi: 10.1086/520586. [DOI] [PubMed] [Google Scholar]
- 14.Singh BR. Neurotox Res. 2006;9:73–92. doi: 10.1007/BF03033925. [DOI] [PubMed] [Google Scholar]
- 15.Arnon SS, Schechter R, Inglesby TV, Henderson DA, Bartlett JG, Ascher MS, Eitzen E, Fine AD, Hauer J, Layton M, Lillibridge S, Osterholm MT, O'Toole T, Parker G, Perl TM, Russell PK, Swerdlow DL, Tonat K. Jama. 2001;285:1059–1070. doi: 10.1001/jama.285.8.1059. [DOI] [PubMed] [Google Scholar]
- 16.Wein LM, Liu Y. Proc Natl Acad Sci U S A. 2005;102:9984–9989. doi: 10.1073/pnas.0408526102. [DOI] [PMC free article] [PubMed] [Google Scholar]
- 17.Anderson GP, Ortiz-Vera YA, Hayhurst A, Czarnecki J, Dabbs J, Vo BH, Goldman ER. The Botulinum Journal. 2008;1:100–115. [Google Scholar]
- 18.Anderson GP, Matney R, Liu JL, Hayhurst A, Goldman ER. Biotechniques. 2007;43:806–811. doi: 10.2144/000112600. [DOI] [PubMed] [Google Scholar]
- 19.van der Linden R, de Geus B, Stok W, Bos W, van Wassenaar D, Verrips T, Frenken L. J Immunol Methods. 2000;240:185–195. doi: 10.1016/s0022-1759(00)00188-5. [DOI] [PubMed] [Google Scholar]
- 20.Singh BR, DasGupta BR. Toxicon. 1989;27:403–410. doi: 10.1016/0041-0101(89)90202-x. [DOI] [PubMed] [Google Scholar]
- 21.Sharma SK, Ramzan MA, Singh BR. Toxicon. 2003;41:321–331. doi: 10.1016/s0041-0101(02)00309-4. [DOI] [PubMed] [Google Scholar]
- 22.Mutoh S, Suzuki T, Hasegawa K, Nakazawa Y, Kouguchi H, Sagane Y, Niwa K, Watanabe T, Ohyama T. Microbiology. 2005;151:3847–3858. doi: 10.1099/mic.0.28323-0. [DOI] [PubMed] [Google Scholar]
- 23.Hasegawa K, Watanabe T, Suzuki T, Yamano A, Oikawa T, Sato Y, Kouguchi H, Yoneyama T, Niwa K, Ikeda T, Ohyama T. J Biol Chem. 2007;282:24777–24783. doi: 10.1074/jbc.M703446200. [DOI] [PubMed] [Google Scholar]
- 24.Mutoh S, Kouguchi H, Sagane Y, Suzuki T, Hasegawa K, Watanabe T, Ohyama T. Biochemistry. 2003;42:10991–10997. doi: 10.1021/bi034996c. [DOI] [PubMed] [Google Scholar]
- 25.Oguma K, Syuto B, Iida H, Kubo S. Infect Immun. 1980;30:656–660. doi: 10.1128/iai.30.3.656-660.1980. [DOI] [PMC free article] [PubMed] [Google Scholar]
- 26.Tsuzuki K, Yokosawa N, Syuto B, Ohishi I, Fujii N, Kimura K, Oguma K. Infect Immun. 1988;56:898–902. doi: 10.1128/iai.56.4.898-902.1988. [DOI] [PMC free article] [PubMed] [Google Scholar]
- 27.Sakaguchi G. Pharmacol Ther. 1982;19:165–194. doi: 10.1016/0163-7258(82)90061-4. [DOI] [PubMed] [Google Scholar]
- 28.Singh BR, Foley J, Lafontaine C. J Protein Chem. 1995;14:7–18. doi: 10.1007/BF01902839. [DOI] [PubMed] [Google Scholar]
- 29.Dezfulian M, Bartlett JG. J Clin Microbiol. 1984;19:645–648. doi: 10.1128/jcm.19.5.645-648.1984. [DOI] [PMC free article] [PubMed] [Google Scholar]
- 30.Arndt JW, Gu J, Jaroszewski L, Schwarzenbacher R, Hanson MA, Lebeda FJ, Stevens RC. J Mol Biol. 2005;346:1083–1093. doi: 10.1016/j.jmb.2004.12.039. [DOI] [PubMed] [Google Scholar]
- 31.Earley MC, Vogt RF, Jr, Shapiro HM, Mandy FF, Kellar KL, Bellisario R, Pass KA, Marti GE, Stewart CC, Hannon WH. Cytometry. 2002;50:239–242. doi: 10.1002/cyto.10140. [DOI] [PubMed] [Google Scholar]
- 32.Hindson BJ, McBride MT, Makarewicz AJ, Henderer BD, Setlur US, Smith SM, Gutierrez DM, Metz TR, Nasarabadi SL, Venkateswaran KS, Farrow SW, Colston BW, Jr, Dzenitis JM. Anal Chem. 2005;77:284–289. doi: 10.1021/ac0489014. [DOI] [PubMed] [Google Scholar]
- 33.Aparicio R, Roda L, Albi MA, Gutierrez F. J Agric Food Chem. 1999;47:4150–4155. doi: 10.1021/jf9812230. [DOI] [PubMed] [Google Scholar]
- 34.de la Presa-Owens S, Lopez-Sabater MC, Rivero-Urgell M. J Agric Food Chem. 1995;43:2879–2882. [Google Scholar]
- 35.Chanteau S, Rahalison L, Ralafiarisoa L, Foulon J, Ratsitorahina M, Ratsifasoamanana L, Carniel E, Nato F. Lancet. 2003;361:211–216. doi: 10.1016/S0140-6736(03)12270-2. [DOI] [PubMed] [Google Scholar]
- 36.Sithole F, Dohoo I, Markham F, Sanchez J, Stryhn H, Keefe G. Vet Parasitol. 2005;133:329–337. doi: 10.1016/j.vetpar.2005.06.001. [DOI] [PubMed] [Google Scholar]
- 37.Arndt JW, Jacobson MJ, Abola EE, Forsyth CM, Tepp WH, Marks JD, Johnson EA, Stevens RC. J Mol Biol. 2006;362:733–742. doi: 10.1016/j.jmb.2006.07.040. [DOI] [PubMed] [Google Scholar]
- 38.Smith TJ, Lou J, Geren IN, Forsyth CM, Tsai R, Laporte SL, Tepp WH, Bradshaw M, Johnson EA, Smith LA, Marks JD. Infect Immun. 2005;73:5450–5457. doi: 10.1128/IAI.73.9.5450-5457.2005. [DOI] [PMC free article] [PubMed] [Google Scholar]
- 39.Garcia-Rodriguez C, Levy R, Arndt JW, Forsyth CM, Razai A, Lou J, Geren I, Stevens RC, Marks JD. Nat Biotechnol. 2007;25:107–116. doi: 10.1038/nbt1269. [DOI] [PubMed] [Google Scholar]
- 40.Zhou Y, Paturi S, Lindo P, Shoesmith SM, Singh BR. Protein J. 2007;26:29–37. doi: 10.1007/s10930-006-9041-4. [DOI] [PubMed] [Google Scholar]
- 41.Smith TJ, Hill KK, Foley BT, Detter JC, Munk AC, Bruce DC, Doggett NA, Smith LA, Marks JD, Xie G, Brettin TS. PLoS ONE. 2007;2:e1271. doi: 10.1371/journal.pone.0001271. [DOI] [PMC free article] [PubMed] [Google Scholar]
- 42.Jacobson MJ, Lin G, Raphael B, Andreadis J, Johnson EA. Appl Environ Microbiol. 2008;74:2778–2786. doi: 10.1128/AEM.02828-07. [DOI] [PMC free article] [PubMed] [Google Scholar]
- 43.Kalb SR, Goodnough MC, Malizio CJ, Pirkle JL, Barr JR. Anal Chem. 2005;77:6140–6146. doi: 10.1021/ac0511748. [DOI] [PubMed] [Google Scholar]
- 44.Sharma SK, Singh BR. J Nat Toxins. 1998;7:239–253. [PubMed] [Google Scholar]
- 45.Niwa K, Koyama K, Inoue S, Suzuki T, Hasegawa K, Watanabe T, Ikeda T, Ohyama T. FEMS Immunol Med Microbiol. 2007;49:346–352. doi: 10.1111/j.1574-695X.2006.00205.x. [DOI] [PubMed] [Google Scholar]
- 46.Sharma SK, Singh BR. Biochemistry. 2004;43:4791–4798. doi: 10.1021/bi0355544. [DOI] [PubMed] [Google Scholar]
- 47.Maksymowych AB, Reinhard M, Malizio CJ, Goodnough MC, Johnson EA, Simpson LL. Infect Immun. 1999;67:4708–4712. doi: 10.1128/iai.67.9.4708-4712.1999. [DOI] [PMC free article] [PubMed] [Google Scholar]
- 48.Sharma SK, Singh BR. J Nat Toxins. 2000;9:357–362. [PubMed] [Google Scholar]
- 49.Herrero BA, Ecklung AE, Streett CS, Ford DF, King JK. Exp Mol Pathol. 1967;6:84–95. doi: 10.1016/0014-4800(67)90007-x. [DOI] [PubMed] [Google Scholar]
- 50.Franz DR, Pitt LM, Clayton MA, Hanes MA, Rose KJ. In: Botulinum and Tetanus Neurotoxins: Neurotransmission and Biomedical Aspects. DasGupta BR, editor. Plenum Press; New York: 1993. pp. 473–476. [Google Scholar]
- 51.Scott AB, Suzuki D. Mov Disord. 1988;3:333–335. doi: 10.1002/mds.870030409. [DOI] [PubMed] [Google Scholar]
- 52.Middlebrook JL, Franz DR. In: Medical Aspects of Chemical and Biological Warfare (Textbook of Military Medicine, Part I) Sidell FR, Takafuji ET, Franz DR, editors. Borden Institute; Washington, DC: 1997. pp. 643–654. [Google Scholar]
- Corpet F. Nucleic Acids Res. 1988;16:10881–10890. doi: 10.1093/nar/16.22.10881. [DOI] [PMC free article] [PubMed] [Google Scholar]






