Abstract
Excitement surrounding the attractive physical and chemical characteristics of single walled carbon nanotubes (SWCNTs) has been tempered by concerns regarding their potential health risks. Here we consider the lung toxicity of nanoscale dispersed SWCNTs (mean diameter ~ 1 nm). Because dispersion of the SWCNTs increases their aspect ratio relative to as-produced aggregates, we directly test the prevailing hypothesis that lung toxicity associated with SWCNTs compared with other carbon structures is attributable to the large aspect ratio of the individual particles. Thirty days after their intratracheal administration to mice, the granuloma-like structures with mild fibrosis in the large airways observed in mice treated with aggregated SWCNTs were absent in mice treated with nanoscale dispersed SWCNTs. Examination of lung sections from mice treated with nanoscale dispersed SWCNTs revealed uptake of the SWCNTs by macrophages and gradual clearance over time. We conclude that the toxicity of SWCNTs in vivo is attributable to aggregation of the nanomaterial rather than the large aspect ratio of the individual nanotubes. Biocompatible nanoscale dispersion provides a scalable method to generate purified preparations of SWCNTs with minimal toxicity, thus allowing them to be used safely in commercial and biomedical applications.
Single walled carbon nanotubes (SWCNT) exhibit unique physical, chemical and electrical properties that have made them an attractive material for use in industry, medical diagnostics and drug delivery 1; however, enthusiasm for their use has been tempered by relevant concerns regarding their toxicity. The high ratio of the length to the diameter (aspect ratio) of SWCNTs and multi-walled carbon nanotubes (MWCNTs) has led some investigators to compare these particles with asbestos fibers 2-4, which are also characterized by a large aspect ratio but with a much larger mean diameter (20-250 nm) 5. Furthering the analogy with asbestos fibers, it has been found that decreasing the length of MWCNTs resulted in reduced toxicity 6-8. These studies hypothesized that the failure of resident macrophages to clear and eliminate carbon nanotubes results in activation of pro-inflammatory pathways in these cells that induce lung fibrosis and increase the susceptibility to pulmonary malignancies 3, 4, 6-9.
While individual carbon nanotubes do possess high aspect ratios, van der Waals interactions between nanotubes in air or in aqueous solutions cause them to form large aggregates, which can be more than one hundred microns in diameter 10 and it is the administration of these aggregates that has been associated with lung toxicity in rodents 11-14. While accidental industrial exposure to these large aggregates is certainly relevant15, effective dispersal of SWCNTs at the nanoscale is required for them to exhibit many of their desirable physical properties 12, 14, 16. Indeed, investigators who have suggested that carbon nanotubes be used in biomedical applications have used several methods to achieve improved dispersion 17. With this motivation, we sought to test the hypothesis that the observed toxicity associated with exposure to SWCNTs is induced by large nanotube aggregates rather than the large aspect ratio of the individual nanotubes. To do this, we exposed alveolar epithelial cells and mice to aggregated SWCNTs or highly dispersed solutions of SWCNTs having a mean diameter of ~1 nm using a biocompatible block copolymer, Pluronic F 108NF (Pluronic). Despite the substantially increased aspect ratio of the individually dispersed SWCNTs compared with the aggregated SWCNTs, we observed that the individually dispersed SWCNTs exhibited no toxicity in vivo and appeared to be cleared from the lung over time. These results suggest that comparisons of SWCNTs with asbestos fibers based on the similarities between their aspect ratios may not be justified. We suggest that highly dispersed SWCNTs in a biocompatible block copolymer can be safely handled to take advantage of their unique physiochemical processes for industrial and biomedical applications.
Stable nanoscale dispersions of as-produced HiPco SWCNTs (Unidym, Inc.) were produced by ultrasonication of nanotube powder in 1 wt% aqueous solution of Pluronic F 108NF (BASF Corporation) 18-20 followed by ultracentrifugation, which eliminated large SWCNT bundles and dense impurity species. Optical absorbance, photoluminescence, and microscopy measurements were used to determine the dispersion quality of the SWCNT/Pluronic solutions. The SWCNT optical absorbance prior to ultracentrifugation was marked by a broad background signal that varied inversely with wavelength, characteristic of carbonaceous materials (Figure 1A). The significant degree of bundling in this dispersion, led to weak and broad SWCNT-related absorbance peaks. In contrast, the absorbance of well-dispersed SWCNTs following ultracentrifugation revealed strong absorbance peaks arising from metallic and semiconducting SWCNT species. These SWCNT-related peaks were significantly sharper than those prior to centrifugation as a result of the increased proportion of individual SWCNTs in the solution 21. Photoluminescence measurements conducted on the well-dispersed SWCNT solutions also showed clear photoluminescence peaks arising from different semiconducting SWCNT chiralities (Figure 1B). These measurements provide further evidence for individual dispersion of SWCNTs in the Pluronic solution as the fluorescence of semiconducting SWCNTs is known to be quenched by metallic SWCNTs when they are in bundled form 21. Using inductively coupled plasma atomic emission spectroscopy (ICP-AES), we determined that the raw and well-dispersed HiPco SWCNTs had iron impurity levels of 20.6 and 8.5 wt%, respectively. Using different methods, other investigators have achieved lower levels of metal contamination without a change in the observable toxicity 14, 22, thus the reduction in iron impurity levels between the raw and well-dispersed samples is unlikely to influence their relative toxicity.
Figure 1. Characteristics of the nanoscale dispersed SWCNTs.
(A) Optical absorbance spectra of SWCNTs prior to ultracentrifugation (dashed curve) and following ultracentrifugation (solid curve). (B) Contour plot of photoluminescence as a function of excitation and emission wavelengths for HiPco SWCNTs dispersed in Pluronic. (C) Representative atomic force microscope image of SWCNTs dispersed in Pluronic after deposition onto a SiO2 substrate. (D) Length distribution histogram of the SWCNTs.
To assess nanotube dispersion and length, the SWCNTs in Pluronic were deposited onto SiO2 substrates 23. Atomic force microscopy of such samples revealed high aspect ratio features with heights of ~1-2 nm, which correspond to the expected height of individual and small bundles of SWCNTs (Figure 1C). In addition, the length of the nanotubes was found to vary between ~100 to 2000 nm with a mode length of ~500 nm (Figure 1D). The SWCNTs dispersed in Pluronic formed a homogenous black mixture that was markedly different from SWCNTs dispersed in saline (Supporting Information Figure S1A versus S1B). Similar dispersion was not observed when particulate matter air pollution less than 2.5 μm in diameter (PM2.5) or crocidolite asbestos were dispersed in Pluronic (Figure S1C-F).
These results suggest that centrifugal processing might provide a scalable method to generate nanoscale dispersed, purified preparations of SWCNTs. Modification of this procedure using multiple block copolymers can also be used to sort the SWCNTs based on their diameter and electrical properties as we have previously described 24.
The in vitro toxicity of SWCNTs is minimal when compared with particles associated with known adverse health effects
Strong epidemiologic data link exposure to particulate matter air pollution less than 2.5 μm in diameter (PM2.5) (mean diameter 30 nm) and asbestos fibers (20 to several hundred nm in diameter and 3 μm in length) with adverse health outcomes 25-28. The toxicity of both PM2.5 and asbestos are thought to be mediated through the generation of reactive oxygen species (ROS), primarily in the mitochondrial electron transport chain 26, 29, 30. ROS generated in response to the particles are thought to induce the activation of antioxidant defenses, cause the release of pro-inflammatory and pro-fibrotic cytokines from inflammatory and epithelial cells, and activate the intrinsic apoptotic pathway 26. To determine whether the administration of aggregated or nanoscale dispersed SWCNTs to alveolar epithelial cells (AECs) results in the generation of ROS and cell death, we exposed a human alveolar epithelial cell line (A549) stably expressing an oxidant sensitive GFP probe localized to the mitochondria (mito-Ro-GFP) to equal doses (by weight) of either PM2.5 collected from the ambient air in Washington, DC, crocidolite asbestos or SWCNTs 29, 31. All of the particles were dispersed in either PBS or in Pluronic (1%) (Figure S1). The administration of PM2.5 or asbestos fibers dispersed in either PBS or Pluronic led to significant oxidation of the probe (Figure 2A) and cell death (Figure 2B), while no oxidation of the probe or cell death was observed in response to either well-dispersed SWCNTs in Pluronic or aggregated SWCNTs in PBS (Figure 2A,B and Figure S2).
Figure 2. SWCNTs fail to generate mitochondrial ROS or induce cell death in alveolar epithelial cells and induce little inflammation in the lungs of mice.
Mitochondrial ROS generation was measured four hours after exposure to particles in A549 cells that stably express an oxidant sensitive GFP probe localized to the mitochondrial matrix. (A) Comparison of SWCNTs, particulate matter (PM) and asbestos (dose for each group 50 μg/cm2) in PBS (white bars) or Pluronic (black bars). (B) Cell death was measured 24 hours after exposure to particles in the same cells using an ELISA that detects fragmented DNA. Treatments are the same as in (A). Mice were treated with no particles (control) or 40μg of SWCNTs, PM2.5, or crocidolite asbestos dispersed in PBS (white bars) or Pluronic (black bars) (50μL total volume). After 24 hours, bronchoalveolar lavage (BAL) fluid and plasma were obtained and (C) BAL fluid protein level, (D) BAL fluid cell count and (E) plasma thrombin-antithrombin complex levels were measured.. n=8 for each group. *p<0.05. Error bars indicate standard error of the mean.
Lung inflammation induced by SWCNTs is minimal compared to that induced by PM2.5 or asbestos fibers
The inflammatory response in the lung induced by PM and asbestos has been linked to some of their adverse health effects 32, 33. We therefore compared the severity of lung inflammation in mice treated with asbestos fibers or PM2.5 with that is associated with the administration of aggregated or nanoscale dispersed SWCNTs. We administered relatively high (40 μg) doses of SWCNTs or the equivalent dose (by weight) of Washington, DC PM2.5 or crocidolite asbestos fibers (each dispersed in PBS or in Pluronic) into the tracheas of C57Bl/6 mice. The high dose (40 μg) was chosen to match or exceed those previously reported to cause pulmonary fibrosis in mice12. This dose (~1600 μg/kg) would be equivalent to a dose of approximately 112 g in a human. After 24 hours, PM2.5- and asbestos-treated mice demonstrated increased protein (Figure 2C) and cell count (Figure 2D) in bronchoalveolar lavage fluid and influx of neutrophils into the alveolar space. In contrast, there was no detectable increase in any of these measures in mice treated with either preparation of SWCNTs. Unlike PM2.5 exposed mice, animals treated with SWCNTs did not have a change in the level of plasma thrombin-antithrombin complexes 24 hours after their intratracheal administration (Figure 2E) 32. While we cannot exclude possible toxicity with higher dose or prolonged exposures, these results suggest that acute lung inflammation in response to either aggregated or nanoscale dispersed preparations of SWCNTs is modest and occurs via a different mechanism than that induced by exposure to PM2.5 or asbestos.
The large aspect ratio of SWCNTs is not sufficient to induce lung fibrosis
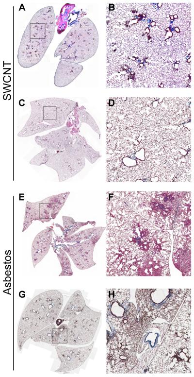
Previous reports have shown that aggregates of SWCNTs administered intratracheally to mice or rats result in peribronchial and peribronchiolar fibrosis that is evident 21 to 30 days after the exposure and persists for at least 90 days 12, 14, 22. We measured lung fibrosis in mice 30 days after treatment with equivalent doses (by weight) of aggregated SWCNTs dispersed in PBS, nanoscale dispersed SWCNTs in Pluronic and crocidolite asbestos dispersed in either PBS or Pluronic. Compared with vehicle or PM2.5 treated mice (Figure S2) we observed dose-dependent fibrosis near the medium- and small-sized airways in mice treated with asbestos fibers dispersed in either PBS or Pluronic (Figure 3E-H). Treatment of mice with aggregated SWCNTs in PBS caused areas of chronic inflammation in mid-to-large size bronchi that were similar to those observed by other groups of investigators (Figure 3A-B) 12. In contrast, we found no evidence of inflammation or fibrosis in mice treated with SWCNT dispersed in Pluronic (Figure 3C-D). Higher power examination of hematoxylin and eosin stained lung sections from mice treated with SWCNTs dispersed in PBS demonstrated areas of chronic inflammation with granuloma formation surrounding aggregates of SWCNTs in the medium sized airways (Figure 4B). Trichrome stained lung sections demonstrated small areas of fibrosis in these areas of chronic inflammation that were more easily visible after multispectral analysis (Figure 4E). The fibrosis observed in response to aggregated SWCNTs was modest when compared with that observed after exposure to asbestos (Figure 4D). Careful examination of lung sections obtained from mice treated with nanoscale dispersed SWCNTs failed to show areas of granulomatous inflammation (Figure 4C, Hematoxylin and Eosin stained sections are found in Figure S2). Total lung collagen was measured in lung homogenates obtained from mice treated with SWCNTs aggregated in PBS, nanoscale dispersed SWCNTs, asbestos fibers in PBS or Pluronic or vehicle alone using a picosirius red assay. While the administration of aggregates of SWCNTs and asbestos led to mild increases in lung collagen, these differences did not reach statistical significance (Figure S3).
Figure 3. Aggregated SWCNTs but not nanoscale dispersed SWCNTs induce peribronchial fibrosis 30 days after their administration.
Composite photomicrograph of Trichrome stained lung sections imaged at 50x using Neurolucida software. Panels to the right represent a higher power image of the square inset (~200x). The mice were treated with 40 μg in 50 μL of aggregated SWCNTs in PBS (A,B), nanoscale dispersed SWCNTs in Pluronic (C,D), crocidolite asbestos in PBS (E,F) or crocidolite asbestos in Pluronic (G,H). Representative images from ≥ 4 mice per treatment group are shown.
Figure 4. Granulomatous inflammation and mild fibrosis is observed around the medium sized airways 30 days after treatment with aggregated, but not nanoscale dispersed, SWCNTs.
Mice were treated intratracheally as shown and 30 days later multispectral images were obtained from lung sections (200X). The identified spectra were pseudocolored (brown nuclei, pink background, blue Trichrome stain) and merged to facilitate identification of the Trichrome stain (collagen). (A) PBS, (B,E) aggregated SWCNTs in PBS, (C) nanoscale dispersed SWCNTs in Pluronic, (D) crocidolite asbestos fibers in Pluronic (40 μg/mouse in 50 μL vehicle). Representative images from ≥ 4 mice per treatment group are shown. N ≥ 4 for each condition.
Nanoscale dispersed SWCNTs are taken up by alveolar macrophages and cleared from the lung over time
Twenty-four hours after exposure, aggregated SWCNTs in PBS were not visible in the inflated lungs after harvest, however, nanoscale dispersed SWCNTs appeared as a gray/black discoloration in an alveolar pattern (Figure 5A and B). To improve visualization of the SWCNTs, we clarified the lung tissue by treating it with salicylic acid and ethanol. SWCNTs aggregates were lodged in the medium sized airways, while nanoscale dispersed SWCNTs could be seen in a more diffuse pattern (Figure 5C and 5D). Hematoxylin and eosin stained lung sections from mice treated with aggregated SWCNTs revealed aggregates of SWCNTs localized to the mid-size airways (Figure 5E, G). In contrast, no abnormalities other than macrophages with a gray colored cytoplasm, were visible in hematoxylin and eosin stained sections from mouse lungs treated with nanoscale dispersed SWCNTs (Figure 5F,H and Figure S5).
Figure 5. Aggregated SWCNTs lodge in the medium sized airways while nanoscale dispersed SWCNTs are dispersed throughout the lung.
Aggregated SWCNTs in PBS (Left column) or nanoscale dispersed SWCNTs in Pluronic (Right column) were instilled into the lungs of mice and 24 hours later the lungs were harvested. (A,B) Photographs of lungs inflated to 15 cm H2O with 4% PFA immediately after harvest. (C,D) Photographs of lungs after tissue clarification in salicylic acid and ethanol showing the distribution of the SWCNTs. (E,F) Photomicrograph of lung sections imaged at 50X, the arrows indicate aggregates of SWCNTs in the medium sized airways of mice treated with aggregated SWCNTs. (G) High power (400X) photomicrograph of aggregated SWCNTs in a medium sized airway (arrow). (H) Numerous macrophages with a gray black cytoplasm were observed in the airways and lung parenchyma (arrow) of animals treated with nanoscale dispersed SWCNTs. See Figure S5 for composite images of whole sections.
Normal-appearing macrophages with a slightly eosinophilic cytoplasm were found in the lungs of mice treated with Pluronic (Figure S6). Macrophages with a gray/black discoloration were observed in the lungs of mice treated with either nanoscale dispersed SWCNTs (Figure 6A) or SWCNTs aggregated in PBS (Figure S6). As these results suggested that the SWCNTs might be taken up by macrophages, we used electron microscopy to examine the lungs of mice treated 24 hours earlier with Pluronic or nanoscale dispersed SWCNTs in Pluronic. Structures consistent with SWCNTs were observed in alveolar macrophages from mice treated with nanoscale dispersed SWCNT (Figure 6). These results are consistent with a previous study in which SWCNTs injected intravenously into rats were taken up by macrophages, primarily in the liver 34.
Figure 6. Nanoscale dispersed SWCNTs are taken up by lung macrophages.

(A) High power photomicrograph (600X) of a mouse treated with nanoscale dispersed SWCNTs in Pluronic. (B-D) Serial high power transmission electron micrographs of an alveolar macrophage from the same lung, (B), 2900X (scale bar 2 μm) (C), 23,000X (scale bar 200 nm) (D) and 120,000X (scale bar 50 nm). Arrows indicate macrophages in the alveolar space, boxes indicate areas of progressive magnification.
We took advantage of the ability to visualize nanoscale dispersed SWCNTs in cut lung sections to examine the fate of the SWCNTs over time. When compared with Pluronic treated lungs (Figure 7A), cut paraffin embedded fixed lung tissue from mice treated with SWCNTs exhibited a homogenous gray discoloration 24 hours after their administration (Figure 7B). Consistent with their uptake and clearance by alveolar macrophages and mucociliary clearance, the nanoscale dispersed SWCNTs appeared to be almost completely cleared from the peripheral lung tissue at day 90 (Figure 7C,D). Except for continued gray/black discoloration of the macrophages, the SWCNTs were not visible by light microscopy 90 days (Figure S7) after their administration suggesting that they did not undergo aggregation in vivo. While not conclusive, these results suggest that dispersed nanotubes can be taken up and cleared by alveolar macrophages either through mucociliary clearance or other mechanisms. These results are consistent with those of Semmler-Behnke et al who found that Ir192 nanoparticles (mean diameter 18 nm) administered to rats by inhalation were retained in the lung and cleared slowly (6 months) by macrophages and mucociliary clearance 35.
Figure 7. Nanoscale dispersed SWCNTs disappear from the lung over time.
Mice were treated with Pluronic alone or nanoscale dispersed SWCNTs in Pluronic. Paraffin blocks containing fixed embedded lungs that were removed (A,B) 24 hours, (C) 30 days and (D) 90 days after the instillation .
We conclude that the aggregation of SWCNTs rather than their large aspect ratio accounts for their observed pulmonary toxicity, which undermines comparisons between SWCNTs and asbestos. We found that highly dispersed SWCNTs show no acute toxicity in vitro or in vivo. While aggregated SWCNTs induced granulomatous lung inflammation and fibrosis, this toxicity was not observed after the administration of nanoscale dispersed SWCNTs in a biocompatible block copolymer, which is stably adsorbed on the nanotube surface. We speculate that frustrated phagoctytosis of the SWCNT aggregates results in macrophage activation and granulomatous inflammation8. As the most attractive physiochemical properties of SWCNTs are present when they are well dispersed, centrifugal processing with biocompatible block copolymers provides a scalable method to generate dispersed and purified SWCNTs with reduced toxicity. This preparation method allows SWCNTs to be safely stored, handled, and transported for use in commercial or biomedical applications.
Supplementary Material
ACKNOWLEDGEMENTS
This work was supported by National Institute of Health ES015024, ES013995, HL071643, HL067835, the Northwestern University Clinical and Translational Sciences Institute (NUCATS) Center for Translational Innovation (CTI) Pilot Award (UL1 RR025741 from the National Center for Research Resources (NCCR), a component of the National Institutes of Health (NIH) and NIH Roadmap for Medical Research), the American Lung Association, the National Science Foundation, the U.S.-Israel Binational Science Foundation and the Natural Sciences and Engineering Research Council of Canada Postgraduate Scholarship Program. We acknowledge the Keck Biophysics Facility, the Institute for Bionanotechnology in Medicine and the Cell Imaging Facility (supported by NCI CCSG P30 CA060553 awarded to the Robert H Lurie Comprehensive Cancer Center) at Northwestern University. The authors also thank Dr. Andrew Ghio (U.S. EPA) for providing Crocidolite asbestos particles.
Footnotes
SUPPORTING INFORMATION
The supporting information contains detailed methods, images of dispersed and as produced SWCNTs, the results of experiments measuring oxidant generation and cell death in response to aggregated and nanoscale dispersed SWCNTs in alveolar epithelial cells, hematoxylin and eosin stained lung sections of mice treated with aggregated or nanoscale dispersed SWCNTs or asbestos 30 days earlier, total lung collagen 30 days after treatment with aggregated or nanoscale dispersed SWCNTs, images of lung macrophages 24 hours after treatment with SWCNTs, EM images from mice treated with Pluronic alone and images of lung sections from mice 90 days after the administration of nanoscale dispersed SWCNTs. This material is available free of charge via the Internet at http://pubs.acs.org.
References
- 1.Hersam MC. Nat Nanotechnol. 2008;3(7):387–94. doi: 10.1038/nnano.2008.135. [DOI] [PubMed] [Google Scholar]
- 2.Jaurand M-C, Renier A, Daubriac J. Particle and Fibre Toxicology. 2009;6(1):16. doi: 10.1186/1743-8977-6-16. [DOI] [PMC free article] [PubMed] [Google Scholar]
- 3.Poland C, Duffin R, Kinloch I, Maynard A, Wallace W, Seaton A, Stone V, Brown S, Macnee W, Donaldson K. Nat Nanotechnol. 2008;3:423–428. doi: 10.1038/nnano.2008.111. [DOI] [PubMed] [Google Scholar]
- 4.Ryman-Rasmussen JP, Cesta MF, Brody AR, Shipley-Phillips JK, Everitt JI, Tewksbury EW, Moss OR, Wong BA, Dodd DE, Andersen ME, Bonner JC. Nat Nano. 2009;4(11):747–751. doi: 10.1038/nnano.2009.305. [DOI] [PMC free article] [PubMed] [Google Scholar]
- 5.Miserocchi G, Sancini G, Mantegazza F, Chiappino G. Environ Health. 2008;7:4. doi: 10.1186/1476-069X-7-4. [DOI] [PMC free article] [PubMed] [Google Scholar]
- 6.Davis J, Addison J, Boltob R, Donaldson K, Jones A, Smith T. Br J Exp Pathol. 1986;67(3):415–430. [PMC free article] [PubMed] [Google Scholar]
- 7.Stanton M, Layard M, Tegeris A, Miller E, May M, Morgan E, Smith A. J Natl Cancer Inst. 1981;67:965–975. [PubMed] [Google Scholar]
- 8.Kostarelos K. Nat Biotech. 2008;26(7):774–776. doi: 10.1038/nbt0708-774. [DOI] [PubMed] [Google Scholar]
- 9.Mangum J, Turpin E, Antao-Menezes A, Cesta M, Bermudez E, Bonner J. Particle and Fibre Toxicology. 2006;3(1):15. doi: 10.1186/1743-8977-3-15. [DOI] [PMC free article] [PubMed] [Google Scholar]
- 10.Nativ-Roth E, Shvartzman-Cohen R, Bounioux C, Florent M, Zhang D, Szleifer I, Yerushalmi-Rozen R. Macromolecules. 2007;40(10):3676–3685. [Google Scholar]
- 11.Lam C, James J, McCluskey R, Hunter R. Toxicol Sci. 2004;77(1):126–134. doi: 10.1093/toxsci/kfg243. [DOI] [PubMed] [Google Scholar]
- 12.Shvedova A, Kisin E, Mercer R, Murray A, Johnson V, Potapovich A, Tyurina Y, Gorelik O, Arepalli S, Schwegler-Berry D. Am J Physiol Lung Cell Mol Physiol. 2005;289(5):L698–708. doi: 10.1152/ajplung.00084.2005. [DOI] [PubMed] [Google Scholar]
- 13.Shvedova A, Kisin E, Murray A, Johnson V, Gorelik O, Arepalli S, Hubbs A, Mercer R, Keohavong P, Sussman N, Jin J, Yin J, Stone S, Chen B, Deye G, Maynard A, Castranova V, Baron P, Kagan V. Am J Physiol Lung Cell Mol Physiol. 2008;295:L552–565. doi: 10.1152/ajplung.90287.2008. [DOI] [PMC free article] [PubMed] [Google Scholar]
- 14.Warheit DB, Laurence BR, Reed KL, Roach DH, Reynolds GAM, Webb TR. Toxicol. Sci. 2004;77(1):117–125. doi: 10.1093/toxsci/kfg228. [DOI] [PubMed] [Google Scholar]
- 15.Song Y, Li X, Du X. Eur Respir J. 2009;34(3):559–567. doi: 10.1183/09031936.00178308. [DOI] [PubMed] [Google Scholar]
- 16.Mercer RR, Scabilloni J, Wang L, Kisin E, Murray AR, Schwegler-Berry D, Shvedova AA, Castranova V. Am J Physiol Lung Cell Mol Physiol. 2008;294(1):L87–97. doi: 10.1152/ajplung.00186.2007. [DOI] [PubMed] [Google Scholar]
- 17.Liu Z, Tabakman S, Welsher K, Dai H. Nano Res. 2009;2(2):85–120. doi: 10.1007/s12274-009-9009-8. [DOI] [PMC free article] [PubMed] [Google Scholar]
- 18.Nap R, Szleifer I. Langmuir. 2005;21(26):12072–5. doi: 10.1021/la051601c. [DOI] [PubMed] [Google Scholar]
- 19.Shvartzman-Cohen R, Nativ-Roth E, Baskaran E, Levi-Kalisman Y, Szleifer I, Yerushalmi-Rozen R. J. Am. Chem. Soc. 2004;126(45):14850–14857. doi: 10.1021/ja046377c. [DOI] [PubMed] [Google Scholar]
- 20.Szleifer I, Yerushalmi-Rozen R. Polymer. 2005;46(19):7803–7818. [Google Scholar]
- 21.O’Connell MJ, Bachilo SM, Huffman CB, Moore VC, Strano MS, Haroz EH, Rialon KL, Boul PJ, Noon WH, Kittrell C, Ma J, Hauge RH, Weisman RB, Smalley RE. Science. 2002;297(5581):593–596. doi: 10.1126/science.1072631. [DOI] [PubMed] [Google Scholar]
- 22.Lam C-W, James JT, McCluskey R, Hunter RL. Toxicol. Sci. 2004;77(1):126–134. doi: 10.1093/toxsci/kfg243. [DOI] [PubMed] [Google Scholar]
- 23.Green AA, Hersam MC. Nat Nanotechnol. 2009;4(1):64–70. doi: 10.1038/nnano.2008.364. [DOI] [PubMed] [Google Scholar]
- 24.Arnold MS, Green AA, Hulvat JF, Stupp SI, Hersam MC. Nat Nano. 2006;1(1):60–65. doi: 10.1038/nnano.2006.52. [DOI] [PubMed] [Google Scholar]
- 25.Brook RD, Franklin B, Cascio W, Hong Y, Howard G, Lipsett M, Luepker R, Mittleman M, Samet J, Smith SC, Jr., Tager I. Circulation. 2004;109(21):2655–71. doi: 10.1161/01.CIR.0000128587.30041.C8. [DOI] [PubMed] [Google Scholar]
- 26.Nel A. Science. 2005;308(5723):804–6. doi: 10.1126/science.1108752. [DOI] [PubMed] [Google Scholar]
- 27.Pope CA, III, Ezzati M, Dockery DW. N Engl J Med. 2009;360(4):376–386. doi: 10.1056/NEJMsa0805646. [DOI] [PMC free article] [PubMed] [Google Scholar]
- 28.Cugell DW, Kamp DW. Chest. 2004;125(3):1103–17. doi: 10.1378/chest.125.3.1103. [DOI] [PubMed] [Google Scholar]
- 29.Soberanes S, Urich D, Baker CM, Burgess Z, Chiarella SE, Bell EL, Ghio AJ, De Vizcaya-Ruiz A, Liu J, Ridge KM, Kamp DW, Chandel NS, Schumacker PT, Mutlu GM, Budinger GR. J Biol Chem. 2009;284(4):2176–86. doi: 10.1074/jbc.M808844200. [DOI] [PMC free article] [PubMed] [Google Scholar]
- 30.Mutlu GM, Snyder C, Bellmeyer A, Wang H, Hawkins K, Soberanes S, Welch LC, Ghio AJ, Chandel NS, Kamp D, Sznajder JI, Budinger GR. Am J Respir Cell Mol Biol. 2006;34(6):670–6. doi: 10.1165/rcmb.2005-0329OC. [DOI] [PMC free article] [PubMed] [Google Scholar]
- 31.Dooley CT, Dore TM, Hanson GT, Jackson WC, Remington SJ, Tsien RY. J Biol Chem. 2004;279(21):22284–93. doi: 10.1074/jbc.M312847200. [DOI] [PubMed] [Google Scholar]
- 32.Mutlu GM, Green D, Bellmeyer A, Baker CM, Burgess Z, Rajamannan N, Christman JW, Foiles N, Kamp DW, Ghio AJ, Chandel NS, Dean DA, Sznajder JI, Budinger GRS. J. Clin. Invest. 2007;117(10):2952–2961. doi: 10.1172/JCI30639. [DOI] [PMC free article] [PubMed] [Google Scholar]
- 33.Tan R, Fattman C, Watkins S, Oury T. J Appl Physiol. 2004;97:2006–2013. doi: 10.1152/japplphysiol.00480.2004. [DOI] [PubMed] [Google Scholar]
- 34.Cherukuri P, Gannon C, Leeuw T, Schmidt H, Smalley R, Curley S, Weisman R. Proc Natl Acad Sci USA. 2006;103:18882–18886. doi: 10.1073/pnas.0609265103. [DOI] [PMC free article] [PubMed] [Google Scholar]
- 35.Semmler-Behnke M, Takenaka S, Fertsch S, Wenk A, Seitz J, Mayer P, Oberdorster G, Kreyling WG, Semmler-Behnke M, Takenaka S, Fertsch S, Wenk A, Seitz J, Mayer P, Oberdorster G, Kreyling WG. Environmental Health Perspectives. 2007;115(5):728–33. doi: 10.1289/ehp.9685. [DOI] [PMC free article] [PubMed] [Google Scholar]
Associated Data
This section collects any data citations, data availability statements, or supplementary materials included in this article.






