Abstract

Spinal epidural hematoma (SEH) represents the most frequent entity of acute or chronic spinal bleeding. Based upon pathogenesis, SEH can be classified as idiopathic, spontaneous, and secondary. The idiopathic forms are considered not to be attributed to any specific risk factors. Spontaneous SEH, accounting for 0.3–0.9% of all spinal epidural space occupying lesions, instead is associated with risk factors (such as substantial soft trauma or coagulation abnormalities). The chronic form, as our literature review revealed, is the rarest and its most frequent location is the lumbar spine. The pathophysiology of spontaneous and idiopathic SEH is still under debate: There are only a few reports in literature of chronically evolving SEH with progressively increasing pain and neurological impairment. Magnetic resonance imaging may be inconclusive for differential diagnosis. Here, we present two cases of lumbar chronic SEH with slow, progressive, and persistent lumbar radicular impairment. The first patient reported a minor trauma with slight back contusion and thus was classified as spontaneous SEH. In the second case not even a minor trauma was involved, so we considered it to be idiopathic SEH. In both cases preoperative blood and coagulation tests were normal and we did not find any other or co-factors in the patients’ clinical histories. MR imaging showed uncertain spinal canal obstructing lesions at L3 and L4 level in both cases. Surgical treatment allowed a correct diagnosis and resulted in full clinical and neuroradiological recovery after 1 year follow-up. Our aim is to discuss pathogenesis, clinical and radiological features, differential diagnosis and treatment options, on the background of relevant literature review.
Keywords: Spontaneous, Idiopathic, Chronic, Hematoma, Epidural, Spinal
Presentation of cases
Case 1
A 65-year-old woman was admitted to our hospital for low back pain which had started 3 months earlier. Pain was characterized by a progressively increasing intensity, irradiating into right glutaeus, calf, and foot. This referred pain was associated with paresthesia (numbness and tingling), located distally in the right foot. The patient reported in her history a hospital admission for alcohol intoxication, colon resection, and colorectal anastomosis for adenocarcinoma. No primary or secondary coagulopathies were identified and the patient had never undergone any invasive spinal procedures. She associated the lumbago onset with an accidental fall with a slight back contusion which had occurred in her bathroom, a couple of days prior to admission.
Physical examinations revealed a low-grade weakness for right thigh flexion. The patient’s sensory functions were unimpaired in all modalities evaluated. Right patellar tendon reflex answer was diminished; Babinsky’s sign was bilaterally absent and no bladder or bowel disorders were reported.
All blood and coagulation tests (platelet counts, prothrombin time, and partial thromboplastin time) showed normal values at this time.
A lumbo-sacral (L1–S1) CT scan showed an inhomogeneous hypodense formation at the level of right L3–L4 neuroforamen. The patient underwent MRI which revealed a bilobar mass between L3 and L4, suggesting a lumbar Schwannoma extending to the right ipsilateral foramen (Figs. 1, 2).
Fig. 1.
Case 1, axial L3–L4 preoperative T1 MRI sequence
Fig. 2.
Case 1, sagittal preoperative T1 MRI sequence
Case 2
An 85-year-old man developed low back pain 2 months before hospital admission. The back pain had progressively increased, thus irradiating into the left glutaeus muscle, thigh and knee. Lumbago was combined with paresthesia (numbness and tingling), located proximally, down to his left knee. The patient reported a previous hospital admission for an unspecified rheumatological disease. No primary or secondary coagulopathies were identified and the patient had never undergone any spinal invasive procedures before. The patient did not recall accidental falls, back contusions, or any other traumatic events.
Physical examination exhibited a mild decrease of muscle mass in the antero-medial thigh lodge and weakness of voluntary left leg extension. The tactile-epicritic sensitivity was unimpaired alongside the left L3 dermatome. The response of right patellar tendon reflex was decreased; Babinsky’s sign was bilaterally absent and no impairment in bladder or bowel control was reported.
All the preoperative blood and coagulation tests (platelet counts, prothrombin time, and partial thromboplastin time) were normal.
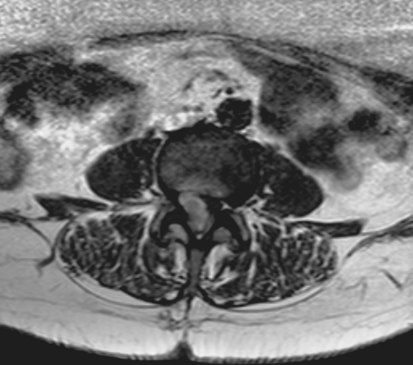
A lumbo-sacral MRI showed a well encapsulated paramedian multilobar mass under the L3 body, along the left L3 root (Figs. 3, 4).
Fig. 3.
Case 2, axial L3 preoperative T2 MRI sequence
Fig. 4.

Case 2, sagittal preoperative T2 MRI sequence
Historical review of the condition, epidemiology, diagnosis, pathology, and differential diagnosis
Spinal epidural hematomas (SEH) are uncommon clinical and neuroradiological findings, accounting only for 0.3–0.9% of all lesions, occupying spinal canal space.
SEH can be classified into idiopathic, spontaneous, and secondary. The most important causes of secondary SEHs are: coagulopathies, anticoagulants [2, 15, 18, 37], vascular malformations [5, 24], neoplasms, trauma with or without fractures [21], medical procedures such as epidural catheterization or lumbar spinal surgery [34, 36]. Co-risk factors have also been described: minor trauma, chiropractic manipulation [33], Paget’s disease, ankylosing spondylitis, rheumatoid arthritis, and cervical spondylitis [13, 19, 39]. An SEH associated with unrecognized aortic coarctation has also been described; in that case, the ensuing increased pressure in the collateral circulation was blamed as the cause for the epidural bleeding [40]. Nevertheless, for up to one-third of the SEHs, no clear etiology can be found and if associated with co-factors such as minor trauma, these are termed “spontaneous” spinal epidural hematomas (SSEH). Finally, SEHs are defined “idiopathic” when not any associated causal condition can be identified [29].
SEHs can be acute or chronic. Chronic SHE is defined as spinal compression for months or years with mild symptoms and slight pain. Compared to acute SEHs, chronic forms are more rarely described in literature and are generally located in the lumbar spine [21]. As far as we know, only 18 cases (including our two cases) of chronic lumbar SEH have been described until now (Table 1). The chronic SEHs are, moreover, characterized by a slower and progressive raising of neurological focal symptoms and/or neurogenic claudication or cauda equina syndrome [21, 26, 27]. Only one case with acute paraparesis has been described so far [35].
Table 1.
We resumed all the cases published in literature of chronic (more than 1 month of symptoms) epidural lumbar spinal hematoma, spontaneous or idiopathic
| Author | Year | No. of CSEH S/I | Age/gender | Level | Imaging | Symptoms | Co-risk factors | Surgery | Outcome |
|---|---|---|---|---|---|---|---|---|---|
| Historical review of chronic epidural hematoma of lumbar spine | |||||||||
| Harris [16] | 1969 | 1 | 66/M | L5–S1 | Unknown | Radicular | Unknown | Unknown | Good |
| Boyd [3] | 1972 | 1 | 66/M | L4–S1 | Myelogram | Radicular | No | Hemilaminectomy L4–L5 | Good |
| 1 | 75/F | L3–L4 | Myelogram | Radicular | No | Laminectomy L3–L4 | Good | ||
| Devadiga [7] | 1973 | 1 | 65/F | L4–S1 | Myelogram | Radicular | Yes | Hemilaminectomy L5 | Good |
| Levitan [20] | 1983 | 1 | 58/F | L3–L4 | CT | Radicular | No | Yes but unknown | n.r. |
| 1 | 90/F | L3 | CT | Rad/lumb stenosis | No | Yes but unknown | n.r. | ||
| Nehls [27] | 1984 | 1 | 74/M | L3–L4 | Myelo + CT | Lumbar stenosis | Yes | Unknown | Good |
| De Almeida [6] | 1989 | 1 | 88/M | L3–L4 | Unknown | Radicular | n.r. | Unknown | Good |
| Nagakami [26] | 1992 | 1 | 58/F | L4 | Unknown | Lumbar stenosis | n.r. | Unknown | Good |
| Lunardi [21] | 1995 | 1 | 45/M | L2–L3 | MR | Rad/lumb stenosis | No | Unknown | Good |
| Kotilainen [17] | 1997 | 1 | 13/M | L4–L5 | MR | Radicular | No | Hemilaminectomy L4–L5 | Good |
| Riffaud [30] | 1999 | 1 | 70/F | L4–L5 | CT/MRI | Radicular | No | Delayed surgery: laminectomy L4 | Good |
| Vazquez-Barquero [38] | 2000 | 1 | 75/F | L2–L3 | MRI | Radicular bilateral | No | Laminectomy L2–L3 | Good |
| Nuti [28] | 2003 | 1 | 84/F | L4–L5 | Myelogram | Lumbar stenosis | No | Yes | Good |
| 1 | 62/M | L1–L4 | MR | Paraparesis | Yes | No | Good | ||
| Belinchon [4] | 2005 | 1 | 53/M | L3–L3 | MR | Radicular bilateral | No | Laminectomy L2–L4 | Good |
n.r. not reported, CSEH S/I chronic spinal epidural hematoma spontaneous/idiopathic
A slowly progredient occurrence of symptoms in lumbar chronic SEHs is probably due to the wider spinal canal and the higher tolerance of the lumbar neurological structures of the space occupying effect of an organizing hematoma [3, 30]. The rarer chronic SEHs of the cervical spine described in literature have a shorter progression of neurological symptoms in comparison with the lumbar ones [14]. Finally, in approximately 65% of SEHs, more than one vertebra is involved, and in 50% of cases, three or more.
Pathophysiologically, the bleeding source of chronic SHE could be located in the internal anterior and posterior vertebral plexus (Batson’s plexus), formed by two anterior and posterior veins extending along the entire epidural space. This plexus has extensive connection via venous rami with the external plexus through each vertebral body and the posterior vertebral elements [11, 12, 21]. Considering these anatomical prerequisites, some of the previously analyzed factors in association with any circumstance able to transiently raise the venous pressure (e.g., Valsalva maneuver) can lead to bleeding and organizing hematoma. Moreover, these epidural venous plexus represent a cavo-caval shunt and, therefore, are highly sensitive to an abdominal pressure increase, as well as the intrathoracic, intraspinal, and intracranial pressure. The pressure in the epidural veins is lower than in the vena cava; the absence of valves in the epidural plexus and in the vertebral body allows blood flow in both cranial and caudal direction. The epidural venous plexus can be considered as the balancing system of the pressure/volume ratio in relation to intracranial, intrathoracic, intra-abdominal blood pressure, and volume changes. Hypothetically, a rupture of a weakened epidural vein could occur with a sudden and massive blood flow reversal from the larger caval system into the smaller vertebral veins.
Chronic SEH may also be caused by bleeding of smaller vessels inside the ligamentum flavum which could explain the almost exclusive dorsal or dorso-lateral location of this type of hematoma [36]; the yellow ligament is largely composed of elastic tissue containing numerous small blood vessels which can be torn during forced hyperflexion. The arterial bleeding source, however, has been considered the main origin of the rarer acute forms of SEHs in the lumbar spinal tract.
As for clinical symptoms, SEH can mimic disc herniation, canal stenosis [21, 27] or tumor signs and they are characterized by severe axial back pain with or without acute or delayed neurological deficits [12, 27, 31]. The pain onset, often related to minor strain or Valsalva-like maneuvers, can be acute or slowly progressive, especially in the rare case of chronic epidural hematoma. Signs of myelopathy, Brown-Séquard syndrome or bowel, and bladder function impairment are described in the cervico-dorsal location of SEHs [1, 14, 32]; radicular symptoms are more typically reported in the lumbar SHEs and the severity of neurological impairment is also quite variable [21, 27]. Yet, several cases of cervical chronic SEHs presenting with radicular symptoms have been reported in the literature [23].
The CT scan imaging in chronic SEH is less useful for differential diagnosis since a small ventrally located chronic hematoma can easily be confused with a large herniated disc. MRI represents the diagnostic gold standard for SEH [8, 25, 30]; the T1 and T2 intensity patterns are both equally helpful in discrimination against almost all other vertebral space occupying lesions. Acute epidural hematomas typically appear hypointense in T2-weighted and isointense in T1-weighted images lesions. When the hematoma becomes chronic, the neuroradiological findings change and SEHs typically become hyperintense in both T1- and T2-weighted images. Finally, MRI is useful in identifying other lesions, which are responsible for spinal bleeding (e.g., tumors and MAVs). Angiography is not used in routine diagnostics unless the appearance of a tortuous vessel on MRI raises the suspicion of a vascular malformation.
Differential diagnosis of chronic SEH should also include other benign lumbar epidural masses, such as synovial or ligamentum flavum cysts, both of which are prone to intralesional hemorrhage, and epidural cavernous angiomas. Graziani et al. [9] consider that the frequency of spinal epidural cavernous angiomas is probably underestimated; the inability to reveal an angioma through pathological examination not necessarily means that such lesions cannot be the source of bleeding; the failure to visualize these malformations could be related to their very small size or to thrombosis after the initial episode of hemorrhage. The very variable neurological symptoms and signs may accompany an initial pain or can develop several hours or days after the pain onset.
Rationale for treatment and evidence-based literature
Compared to acute SEHs, in which surgical decompression must be aimed rapidly (<36 h) [9, 18, 21], in the rarer chronic SHEs, time before decompressive procedures does not seem to be critical for the recovery of neurological function and, finally, a good clinical outcome. In our two cases surgery was delayed, but both patients, in spite of progression of the neurological impairment prior to surgery, had an excellent clinical recovery. Finally, it has been shown that these lesions could not be treated via percutaneous technique because no liquified or fluid components were present. Therefore, extended interlaminar fenestration of laminectomy is the recommended approach. However, successful outcome with conservative treatment is also possible (as listed in Table 1).
Procedures
Case 1
The patient promptly underwent L3–L4 laminectomy. During the epidural space exploration we found a bluish colored mass, surrounded by a pseudocapsular layer, strictly adherent to and bulging into the dura mater. After capsular incision, we partially removed a clotted blood mass by aspiration, identifying both L3 and L4 emerging roots. Through blunt dissection we partially exposed the dural structures moving laterally to the L3–L4 right neuroforamen until we obtained a complete L4 root decompression. The postoperative course exhibited a prompt resolution of the irradiating gluteus, calf, and foot pain with persistence of a low-grade lumbar back pain. The following MRI imaging control showed a complete evacuation of the hematoma (Figs. 3, 4).
Case 2
We performed a L3 hemilaminectomy. During peridural space exploration we found a bluish colored encapsulated mass, slightly adherent to and bulging toward the dura mater. After capsular incision, we completely removed a clotted blood mass through aspiration, thus identifying the L3 root. Via blunt dissection, we exposed the dural structures toward the L3–L4 right neuroforamen until we obtained a complete root decompression.
Outcome, imaging, and follow-up
Case 1
A prompt resolution of the gluteus, calf, and foot pain occurred in the early postoperative period. A slight lumbar back pain persisted for 3 months after surgery (VAS 2). The 3 months MRI imaging control revealed the complete evacuation of the hematoma (Figs. 5, 6). After a 6-month clinical follow-up, the patient reported a complete resolution of symptoms. Neurological examinations proved complete recovery at 1-year clinical follow-up.
Fig. 5.

Case 1, sagittal postoperative T2 MRI sequence
Fig. 6.

Case 1, sagittal postoperative STIR MRI sequence
Case 2
In the early postoperative period we observed the rapid resolution of the irradiating pain and the persistence of a low-grade lumbago (VAS 3). The 3-month MRI control showed the complete evacuation of the hematoma (Figs. 7, 8). At 1-year follow-up, the patient reported a complete clinical recovery.
Fig. 7.

Case 2, sagittal postoperative T2 MRI sequence
Fig. 8.
Case 2, axial L3 postoperative T2 MRI sequence
References
- 1.Adamson DC, Bulsara K, Bronec PR. Spontaneous cervical epidural hematoma: case report and literature review. Surg Neurol. 2004;62(2):156–159. doi: 10.1016/j.surneu.2003.10.040. [DOI] [PubMed] [Google Scholar]
- 2.Bamford CR. Spinal epidural hematoma due to heparin. Arch Neurol. 1978;35(10):693–694. doi: 10.1001/archneur.1978.00500340069016. [DOI] [PubMed] [Google Scholar]
- 3.Boyd HR, Pear BL. Chronic spontaneous spinal epidural hematoma: report of two cases. J Neurosurg. 1972;36(2):239–242. doi: 10.3171/jns.1972.36.2.0239. [DOI] [PubMed] [Google Scholar]
- 4.Belinchón JM, Campos J, Merino J, Gallego JM, Barcia YC. Chronic spontaneous lumbar epidural hematoma [Article in Spanish. Neurocirugia (Astur) 2005;16(6):533–536. [PubMed] [Google Scholar]
- 5.D’Angelo V, Bizzozero L, Talamonti G, Ferrara M, Colombo N. Value of magnetic resonance imaging in spontaneous extradural spinal hematoma due to vascular malformation: case report. Surg Neurol. 1990;34(5):343–344. doi: 10.1016/0090-3019(90)90012-E. [DOI] [PubMed] [Google Scholar]
- 6.Almeida GM, Bianco E, Shibata MK. Encapsulated spinal epidural hematoma in an octogenarian. Surg Neurol. 1989;32(5):394–395. doi: 10.1016/0090-3019(89)90146-8. [DOI] [PubMed] [Google Scholar]
- 7.Devadiga KV, Gass HH. Chronic lumbar extradural haematoma simulating disc syndrome. J Neurol Neurosurg Psychiatry. 1973;36(2):255–259. doi: 10.1136/jnnp.36.2.255. [DOI] [PMC free article] [PubMed] [Google Scholar]
- 8.Felber S, Langmaier J, Judmaier W, Dessl A, Ortler M, Birbamer G, Piepgras U. Magnetic resonance tomography in epidural and subdural spinal hematoma. Radiologe. 1994;34(11):656–661. [PubMed] [Google Scholar]
- 9.Graziani N, Buillot P, Figarella-Branger D, Dufour H, Peragut JC, Grisoli F. Cavernous angiomas and arterio-venous malformations of the epidural space: report of 11 cases. Neurosurgery. 1994;35:858–864. doi: 10.1097/00006123-199411000-00009. [DOI] [PubMed] [Google Scholar]
- 10.Groen RJ, Alphen HA. Operative treatment of spontaneous spinal epidural hematomas: a study of the factors determining postoperative outcome. Neurosurgery. 1996;39(3):494–508. doi: 10.1097/00006123-199609000-00012. [DOI] [PubMed] [Google Scholar]
- 11.Groen RJ, Groenewegen HJ, Alphen HA, Hoogland PV. Morphology of the human internal vertebral venous plexus: a cadaver study after intravenous Araldite CY 221 injection. Anat Rec. 1997;249(2):285–294. doi: 10.1002/(SICI)1097-0185(199710)249:2<285::AID-AR16>3.0.CO;2-K. [DOI] [PubMed] [Google Scholar]
- 12.Gundry CR, Heithoff KB. Epidural hematoma of the lumbar spine: 18 surgically confirmed cases. Radiology. 1993;187(2):427–431. doi: 10.1148/radiology.187.2.8475285. [DOI] [PubMed] [Google Scholar]
- 13.Gustafsson H, Rutberg H, Bengtsson M. Spinal haematoma following epidural analgesia. Report of a patient with ankylosing spondylitis and a bleeding diathesis. Anaesthesia. 1988;43(3):220–222. [PubMed] [Google Scholar]
- 14.Hancock JB, Field EM, Gadam R. Spinal epidural hematoma progressing to Brown-Sequard syndrome: report of a case. J Emerg Med. 1997;15(3):309–312. doi: 10.1016/S0736-4679(97)00010-3. [DOI] [PubMed] [Google Scholar]
- 15.Harik SI, Raichle ME, Reis DJ. Spontaneously remitting spinal epidural hematoma in a patient on anticoagulants. N Engl J Med. 1971;284(24):1355–1357. doi: 10.1056/NEJM197106172842405. [DOI] [PubMed] [Google Scholar]
- 16.Harris ME. Spontaneous epidural spinal hemorrhage. Am J Roentgenol Radium Ther Nucl Med. 1969;105(2):383–385. doi: 10.2214/ajr.105.2.383. [DOI] [PubMed] [Google Scholar]
- 17.Kotilainen EM, Pajulo O. Spontaneous epidural hematoma as a cause of sciatic pain in a schoolboy. Pediatr Neurol. 1997;17(4):350–352. doi: 10.1016/S0887-8994(97)00095-7. [DOI] [PubMed] [Google Scholar]
- 18.Lederle FA, Cundy KV, Farinha P, McCormick DP. Spinal epidural hematoma associated with warfarin therapy. Am J Med. 1996;100(2):237–238. doi: 10.1016/S0002-9343(97)89465-X. [DOI] [PubMed] [Google Scholar]
- 19.Lee KS, McWhorter JM, Angelo JN. Spinal epidural hematoma associated with Paget’s disease. Surg Neurol. 1988;30(2):131–134. doi: 10.1016/0090-3019(88)90098-5. [DOI] [PubMed] [Google Scholar]
- 20.Levitan LH, Wiens CW. Chronic lumbar extradural hematoma: CT findings. Radiology. 1983;148(3):707–708. doi: 10.1148/radiology.148.3.6878690. [DOI] [PubMed] [Google Scholar]
- 21.Lunardi P, Mastronardi L, Lo Bianco F, Schettini G, Puzzilli F. Chronic spontaneous spinal epidural hematoma simulating a lumbar stenosis. Eur Spine J. 1995;4(1):64–66. doi: 10.1007/BF00298422. [DOI] [PubMed] [Google Scholar]
- 22.Matsumura A, Namikawa T, Hashimoto R, Okamoto T, Yanagida I, Hoshi M, Noguchi K, Takami M. Clinical management for spontaneous spinal epidural hematoma: diagnosis and treatment. Spine J. 2008;8(3):534–537. doi: 10.1016/j.spinee.2007.01.009. [DOI] [PubMed] [Google Scholar]
- 23.Morio Y, Kuranobu K, Yamamoto K. Chronic spontaneous cervical epidural hematoma: report of a case presenting with only radicular symptoms. Spine. 1993;18(3):405–407. [PubMed] [Google Scholar]
- 24.Muhonen MG, Piper JG, Moore SA, Menezes AH. Cervical epidural hematoma secondary to an extradural vascular malformation in an infant: case report. Neurosurgery. 1995;36(3):585–587. doi: 10.1097/00006123-199503000-00019. [DOI] [PubMed] [Google Scholar]
- 25.Muthukumar N. Chronic spontaneous spinal epidural hematoma—a rare cause of cervical myelopathy. Eur Spine J. 2003;12(1):100–103. doi: 10.1007/s00586-002-0404-z. [DOI] [PubMed] [Google Scholar]
- 26.Nakagami W, Yokota S, Ohishi Y, Ueda H, Takahashi Y, Sakuma M, Ohshima T, Kurita K. Chronic spontaneous lumbar spinal epidural hematoma. Spine. 1992;17(12):1509–1511. doi: 10.1097/00007632-199212000-00012. [DOI] [PubMed] [Google Scholar]
- 27.Nehls DG, Shetter AG, Hodak JA, Waggener JD. Chronic spinal epidural hematoma presenting as lumbar stenosis: clinical, myelographic, and computed tomographic features. A case report. Neurosurgery. 1984;14(2):230–233. doi: 10.1097/00006123-198402000-00021. [DOI] [PubMed] [Google Scholar]
- 28.Nuti C, Fotso MJ, Duthel R, Hatem O, Dumas B, Brunon J. Non traumatic spinal epidural hematomas: report of twenty cases. Review of the literature and outcome aspects [Article in French] Neurochirurgie. 2003;49(6):563–570. [PubMed] [Google Scholar]
- 29.Pan G, Kulkarni M, MacDougall DJ, Miner ME. Traumatic epidural hematoma of the cervical spine: diagnosis with magnetic resonance imaging case report. J Neurosurg. 1988;68(5):798–801. doi: 10.3171/jns.1988.68.5.0798. [DOI] [PubMed] [Google Scholar]
- 30.Riffaud L, Morandi X, Chabert E, Brassier G. Spontaneous chronic spinal epidural hematoma of the lumbar spine. J Neuroradiol. 1999;26(1):64–67. [PubMed] [Google Scholar]
- 31.Rothfus WE, Chedid MK, Deeb ZL, Abla AA, Maroon JC, Sherman RL. MR imaging in the diagnosis of spontaneous spinal epidural hematomas. J Comput Assist Tomogr. 1987;11(5):851–854. doi: 10.1097/00004728-198709000-00020. [DOI] [PubMed] [Google Scholar]
- 32.Shen CC, Wang YC, Yang DY, Wang FH, Shen BB. Brown-Séquard syndrome associated with Horner’s syndrome in cervical epidural hematoma. Spine. 1995;20(2):244–247. doi: 10.1097/00007632-199501150-00023. [DOI] [PubMed] [Google Scholar]
- 33.Solheim O, Jorgensen JV, Nygaard OP. Lumbar epidural hematoma after chiropractic manipulation for lower-back pain: case report. Neurosurgery. 2007;61(1):E170–E171. doi: 10.1227/01.neu.0000279740.61048.e2. [DOI] [PubMed] [Google Scholar]
- 34.Spanier DE, Stambough JL. Delayed postoperative epidural hematoma formation after heparinization in lumbar spinal surgery. J Spinal Disord. 2000;13(1):46–49. doi: 10.1097/00002517-200002000-00010. [DOI] [PubMed] [Google Scholar]
- 35.Stendel R, Danne M, Schulte T, Stoltenburg-Didinger G, Brock M. Chronic lumbar epidural haematoma presenting with acute paraparesis. Acta Neurochir (Wien) 2003;145(11):1015–1018. doi: 10.1007/s00701-003-0135-x. [DOI] [PubMed] [Google Scholar]
- 36.Sweasy TA, Coester HC, Rawal H, Blaivas M, Mc Gillicuddy JE. Ligamentum flavum haematoma: report of two cases. J Neurosurg. 1992;20:1506–1509. doi: 10.3171/jns.1992.76.3.0534. [DOI] [PubMed] [Google Scholar]
- 37.Schaeybroeck P, Calenbergh F, Werf F, Demaerel P, Goffin J, Plets C. Spontaneous spinal epidural hematoma associated with thrombolysis and anticoagulation therapy: report of three cases. Clin Clin Neurol Neurosurg. 1998;100(4):283–287. doi: 10.1016/S0303-8467(98)00044-4. [DOI] [PubMed] [Google Scholar]
- 38.Vázquez-Barquero A, Abascal F, García-Valtuille R, Pinto JI, Figols FJ, Cerezal L. Chronic nontraumatic spinal epidural hematoma of the lumbar spine: MRI diagnosis. Eur Radiol. 2000;10(10):1602–1605. doi: 10.1007/s003300000357. [DOI] [PubMed] [Google Scholar]
- 39.Wu CT, Lee ST. Spinal epidural hematoma and ankylosing spondylitis: case report and review of the literature. J Trauma. 1998;44(3):558–561. doi: 10.1097/00005373-199803000-00029. [DOI] [PubMed] [Google Scholar]
- 40.Zizka J, Eliás P, Michl A, Harrer J, Cesák T, Herman A. Extensive spinal epidural hematoma: a rare complication of aortic coarctation. Eur Radiol. 2001;11(7):1254–1258. doi: 10.1007/s003300000732. [DOI] [PubMed] [Google Scholar]




