Abstract
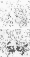
By using an autoradiographic technique, one can follow, during ripening of a cheese, the distribution, size, and metabolic activity of microcolonies. Fragments of cheese were labeled with [3H]leucine, fixed, and mounted in epoxy resin. After exposure and development, sections were examined by optical microscopy. In Camembert cheese, bacterial microcolonies synthesized protein rapidly during the beginning of the ripening process. At the end of the ripening process, active bacterial clusters were scarcer and of two types: (i) large microcolonies with reduced labeling, and (ii) microcolonies having the same size as those observed at the beginning of the ripening process, but with slight or no labeling.
Full text
PDF



Images in this article
Selected References
These references are in PubMed. This may not be the complete list of references from this article.
- Brooker B. E. Cytochemical observations on the extracellular carbohydrate produced by Streptococcus cremoris. J Dairy Res. 1976 Jun;43(2):283–290. doi: 10.1017/s0022029900015843. [DOI] [PubMed] [Google Scholar]
- CARO L. G., FORRO F., Jr Localization of macromolecules in Escherichia coli. II. RNA and its site of synthesis. J Biophys Biochem Cytol. 1961 Mar;9:555–565. doi: 10.1083/jcb.9.3.555. [DOI] [PMC free article] [PubMed] [Google Scholar]
- Mafart P., Bourgeois C., Duteurtre B., Moll M. Use of [14C]lysine to detect microbial contamination in liquid foods. Appl Environ Microbiol. 1978 Jun;35(6):1211–1212. doi: 10.1128/aem.35.6.1211-1212.1978. [DOI] [PMC free article] [PubMed] [Google Scholar]
- Newman H. N., Wilson C. M. Thymidine and thymine uptake in human dental plaque: an autoradiographic study. Caries Res. 1975;9(6):405–417. doi: 10.1159/000260170. [DOI] [PubMed] [Google Scholar]
- Previte J. J., Rowley D. B., Wells R. Improvements in a non-proprietary radiometric medium to allow the detection of some Pseudomonas species and Alcaligenes faecalis. Appl Microbiol. 1975 Aug;30(2):339–340. doi: 10.1128/am.30.2.339-340.1975. [DOI] [PMC free article] [PubMed] [Google Scholar]
- Reyrolle J., Letellier F. Autoradiographic study of the localization and evolution of growth zones in bacterial colonies. J Gen Microbiol. 1979 Apr;111(2):399–406. doi: 10.1099/00221287-111-2-399. [DOI] [PubMed] [Google Scholar]






