Abstract
The purpose of this study was to assess the effect of inoculum dose on the pathogenesis of Black Creek Canal virus (BCCV) infection in the hispid cotton rat (Sigmodon hispidus), the principal host of BCCV. No sign of illness was observed in any of the 52 juvenile hispid cotton rats inoculated with 3.1, 1.1, −0.9, or −2.9 log10 median infectious dosesVeroE6 (ID50-VeroE6) of BCCV and euthanized on day 9, 18, 27, or 54 postinoculation (PI). Analysis of virus assay and serological data indicated that inoculum dose could significantly affect the pathogenesis of BCCV infection in juvenile hispid cotton rats. For example, the six animals inoculated with 3.1 or 1.1 log10 ID50-VeroE6 and euthanized on day 54 PI were virus positive and antibody positive, whereas the six animals inoculated with −0.9 or −2.9 log10 ID50-VeroE6 and euthanized on day 54 PI were virus positive but antibody negative. Microscopic examination of tissues from the animals inoculated with 3.1 or 1.1 log10 ID50-VeroE6 revealed diffuse, subacute pneumonitis in the lungs of all the animals euthanized on day 18 PI or thereafter, and indicated that the severity of pneumonitis was dependent upon inoculum dose as well as duration of infection (i.e., amount of time elapsed since inoculation).
Key Words: Black Creek Canal virus, Hantavirus, hispid cotton rat, Sigmodon hispidus
Introduction
Hantavirus pulmonary syndrome is a potentially fatal zoonosis (Koster and Levy 2006) caused by Black Creek Canal virus (BCCV), New York virus (NYV), Sin Nombre virus (SNV), and certain other members of the family Bunyaviridae, genus Hantavirus (Nichol et al. 2005), that are native to the New World. Specific rodents are the principal hosts of the hantaviruses for which natural host relationships have been well characterized. For example, the hispid cotton rat (Sigmodon hispidus) in southern Florida is the principal host of BCCV (Rollin et al. 1995, Glass et al. 1998), the deer mouse (Peromyscus maniculatus) in Canada and the western United States is the principal host of SNV (Childs et al. 1994, Drebot et al. 2001), and the white-footed mouse (Peromyscus leucopus) in the eastern United States is the principal host of NYV (Hjelle et al. 1995). It is generally accepted that humans usually become infected with hantaviruses by inhalation of droplets of saliva, respiratory secretions, or urine from infected rodents or inhalation of particles of dust contaminated with secretions or excretions from infected rodents.
Chronic infections in rodents are critical to long-term maintenance of hantaviruses in nature. In a previously published study (Hutchinson et al. 1998), hispid cotton rats inoculated subcutaneously with 3.0 log10 median cell culture infectious dosesVeroE6 (ID50-VeroE6, infectivity measured in monolayers of Vero E6 cells) at 5 weeks of age developed an IgG response to BCCV by day 14 postinoculation (PI) and were viruric through day 70 PI. The first objective of this study was to assess the effect of inoculum dose on the kinetics of infection and virus shedding in BCCV-infected hispid cotton rats.
The results of several previous laboratory studies (Lee et al. 1981, Yanagihara et al. 1985, Hutchinson et al. 1998, Botten et al. 2000) suggested that hantaviruses in their respective principal hosts are apathogenic; however, NYV and SNV have been associated with pulmonary edema and hepatitis in naturally infected white-footed mice (P. leucopus) and deer mice (P. maniculatus), respectively (Lyubsky et al. 1996, Netski et al. 1999). The second objective of this study was to investigate the pathogenicity of BCCV in the hispid cotton rat (S. hispidus) from southern Florida, where BCCV is enzootic (Glass et al. 1998).
Materials and Methods
Study design
Fifty-two hispid cotton rats from 12 litters were inoculated at the age of 21 days with 3.1, 1.1, −0.9, or −2.9 log10 ID50-VeroE6 of BCCV and euthanized on day 9, 18, 27, or 54 PI. Each treatment (inoculum dose–time point) group comprised three or four animals, and littermates were assigned to different treatment groups. Altogether, 13 animals were inoculated with 3.1 log10 ID50-VeroE6, 14 animals were inoculated with 1.1 log10 ID50-VeroE6, 13 animals were inoculated with −0.9 log10 ID50-VeroE6, 12 animals were inoculated with −2.9 log10 ID50-VeroE6, 13 animals were euthanized on day 9 PI, 13 animals were euthanized on day 18 PI, 14 animals were euthanized on day 27 PI, and 12 animals were euthanized on day 54 PI (Table 1).
Table 1.
Results of Tests for Hantavirus and Antibody (IgG) to Black Creek Canal Virus in 52 Hispid Cotton Rats Inoculated with Black Creek Canal Virus, by Inoculum Dose
| |
|
|
|
Hantavirus isolated from |
|
|
|||||||
|---|---|---|---|---|---|---|---|---|---|---|---|---|---|
| Dosea | Day PI | M:Fb | Virusc | Blood | Brain | Lung | Spleen | Kidney | Liver | OP swab | Urine | Antibodyc | Antibody titersd |
| 3.1 | 9 | 1:2 | 3/3 | 3/3 | 3/3 | 3/3 | 3/3 | 3/3 | 3/3 | 2/3 | 1/3 | 2/3 | 25– >25,600 |
| 3.1 | 18 | 1:2 | 3/3 | 3/3 | 3/3 | 3/3 | 3/3 | 3/3 | 0/3 | 3/3 | 2/3 | 3/3 | 1600– >25,600 |
| 3.1 | 27 | 2:2 | 4/4 | 0/4 | 3/4 | 3/4 | 4/4 | 4/4 | 1/4 | 2/4 | 1/4 | 2/4 | 1600–6400 |
| 3.1 | 54 | 1:2 | 3/3 | 1/3 | 2/3 | 2/3 | 2/3 | 2/3 | 0/3 | 0/3 | 1/3 | 3/3 | 6400 |
| 1.1 | 9 | 1:2 | 3/3 | 1/3 | 1/3 | 3/3 | 2/3 | 2/3 | 3/3 | 1/3 | 1/3 | 0/3 | — |
| 1.1 | 18 | 2:2 | 4/4 | 2/4 | 3/4 | 4/4 | 4/4 | 3/4 | 1/4 | 3/4 | 2/4 | 3/4 | 100–6400 |
| 1.1 | 27 | 1:3 | 4/4 | 2/4 | 3/4 | 4/4 | 3/4 | 4/4 | 2/4 | 0/4 | 2/4 | 4/4 | 400–6400 |
| 1.1 | 54 | 2:1 | 3/3 | 1/3 | 0/3 | 2/3 | 2/3 | 0/3 | 0/3 | 0/3 | 0/3 | 3/3 | 1600–6400 |
| −0.9 | 9 | 2:2 | 1/4 | 0/4 | 1/4 | 0/4 | 0/4 | 0/4 | 0/4 | 0/4 | 0/4 | 1/4 | 25 |
| −0.9 | 18 | 1:2 | 1/3 | 0/3 | 0/3 | 1/3 | 1/3 | 0/3 | 0/3 | 0/3 | 0/3 | 0/3 | — |
| −0.9 | 27 | 2:1 | 3/3 | 2/3 | 1/3 | 1/3 | 2/3 | 1/3 | 0/3 | 0/3 | 0/3 | 0/3 | — |
| −0.9 | 54 | 1:2 | 3/3 | 1/3 | 0/3 | 2/3 | 2/3 | 1/3 | 0/3 | 0/2 | 0/3 | 0/3 | — |
| −2.9 | 9 | 1:2 | 2/3 | 0/3 | 1/3 | 1/3 | 1/3 | 1/3 | 0/3 | 0/3 | 0/3 | 0/3 | — |
| −2.9 | 18 | 2:1 | 1/3 | 1/3 | 0/3 | 0/3 | 0/3 | 1/3 | 0/3 | 0/3 | 0/3 | 1/3 | 25 |
| −2.9 | 27 | 2:1 | 1/3 | 0/3 | 0/3 | 1/3 | 0/3 | 0/3 | 0/3 | 0/3 | 0/3 | 0/3 | — |
| −2.9 | 54 | 1:2 | 3/3 | 0/3 | 0/3 | 1/3 | 2/3 | 0/3 | 0/3 | 0/2 | 0/3 | 0/3 | — |
| Total | 23:29 | 42/52 | 17/52 | 21/52 | 31/52 | 31/52 | 25/52 | 10/52 | 11/50 | 10/52 | 22/52 | ||
Log10 median infectious doses (ID50-VeroE6).
Number of male:number of female.
Number of positive/number of tested.
Range of antibody titers in the antibody-positive animals.
OP, oropharyngeal; PI, postinoculation.
Safety
All work with the experimentally infected cotton rats was done inside a biosafety level 4 facility located on the Roybal Campus of the Centers for Disease Control and Prevention in Atlanta, GA.
Virus
The inocula were prepared from a single stock of BCCV strain 9408076 (passage history: Vero E6 + 4). This strain was originally isolated from a hispid cotton rat captured in 1994 in Dade County, FL (Rollin et al. 1995). The titer of the stock virus was 5.8 log10 ID50-VeroE6/1.0 mL.
The high-dose inocula (3.1 log10 ID50-VeroE6 in 0.2 mL) were prepared in cold, sterile 0.01 M phosphate-buffered saline (PBS; pH 7.40) as 1% v/v dilutions of the stock virus. The other inocula (i.e., 1.1, −0.9, and −2.9 log10 ID50-VeroE6 in 0.2 mL) were prepared in PBS from serial 10-fold dilutions of the high-dose inocula.
Animals
The experimental animals were third- or fourth-generation, laboratory-reared descendants of hispid cotton rats captured in July 1997 in Dade County, FL. The breeding colony was established and maintained by M.L. Milazzo in an animal facility at the University of Texas Medical Branch. Tests on samples of blood, spleen, and other tissues from the wild-caught predecessors of the experimental animals were negative for evidence of BCCV infection and Tamiami virus infection (Calisher et al. 1970). Further, indirect fluorescent antibody tests (IFAT) on blood samples collected from the experimental animals immediately before inoculation with BCCV were negative for IgG to BCCV and IgG to Tamiami virus.
Inoculation, husbandry, and sampling of animals
Each animal was anesthetized with vaporized Metofane® (Pittman-Moore, Mundelein, IL), a blood sample was collected from a retro-orbital venous plexus by gentle puncture with a sterile microhematocrit tube, and then the entire inoculum (0.2 mL) was injected subcutaneously at a single site over the scapular region, using a 25-gauge × 5/8″ needle on a tuberculin syringe. The inoculated animals were housed individually in microisolators in a Maxi-Mizer Caging System (Thoren Caging Systems, Hazelton, PA) and observed at least once daily for signs of illness. Strict barrier care was practiced throughout the study to prevent virus transmission between animals.
The virus-inoculated animals and four sham-inoculated (control) animals were euthanized by exposure to a lethal dose of vaporized Metofane (Pittman-Moore). An oropharyngeal (OP) swab and samples of cardiac blood, urine, brain, lung, spleen, kidney, and liver were collected from each animal at death. The secretions on the OP swab were stored in 0.3 mL of PBS–fetal bovine serum (FBS) in a 1.5 mL cryovial. Urine was collected by cystocentesis and stored in 0.3 mL of PBS-FBS in a 1.5 mL cryovial. The volume of urine ranged from 0.00 to 0.15 mL; if empty, the bladder lumen was rinsed with 0.3 mL of PBS-FBS. The samples from the OP swabs and samples of cardiac blood, urine, and solid tissues were stored at −70°C, samples of serum from cardiac blood were stored at −20°C, and the carcasses of the virus- and sham-inoculated cotton rats were fixed by immersion in 10 volumes of 10% w/v neutral-buffered formalin for 72 h and then stored in 10 volumes of 70% v/v ethanol.
Virus assay
The titers of the high-dose inocula (i.e., the 1% v/v suspensions of the stock virus) were measured in monolayers of Vero E6 cells in 24-well plastic plates, each well 1.78-cm2. Serial 10-fold dilutions of each high-dose inoculum were prepared in PBS, each dilution was tested in quadruplicate (i.e., four monolayers), and the inoculated monolayers were maintained under a fluid overlay at 37°C in a humidified atmosphere of 5% CO2 in air. Cell spots were prepared from the monolayers on day 11 PI, rendered noninfectious by irradiation (5 × 106 rads, Co60 source), fixed in cold acetone, and then tested for cell-associated hantavirus antigen, using an IFAT. The primary and secondary antibodies in the IFAT were a hyperimmune mouse ascitic fluid raised against a recombinant SNV nucleocapsid protein antigen (CDC-SPB #703110, P.E. Rollin) and a fluorescein isothiocyanate–conjugated goat antibody raised against mouse (Mus musculus) IgG (Cappel Labs, West Chester, PA), respectively. The titer of each high-dose inoculum was calculated by using a method described previously (Reed and Muench 1938).
Virus isolation was attempted on the samples from the OP swabs, 10% v/v suspensions of blood in PBS–FBS, urine in PBS–FBS, and crude 10% w/v homogenates of solid tissues in sterile PBS as described previously (Fulhorst et al. 2002). Briefly, 0.25 mL of a sample was adsorbed onto a confluent monolayer of Vero E6 cells grown in a 12.5-cm2 plastic cell culture flask, the inoculated monolayer was maintained under 5.0 mL of a fluid maintenance medium at 37°C in a humidified atmosphere of 5% CO2 in air, half of the overlay was replaced with fresh maintenance medium on day 6 PI, approximately 50% of the Vero E6 cells in the monolayer were blind-passaged in 5.0 mL of growth medium in a sterile 12.5-cm2 plastic culture flask on day 13 PI, the growth medium on the new monolayer was replaced with 5.0 mL of fresh maintenance medium on day 19 PI, and cell spots prepared from the original monolayer on day 13 PI and cell spots prepared from the second (i.e., blind-passaged) monolayer on day 26 PI were tested for hantavirus antigen, using the IFAT described above. Only samples that were antigen positive on day 26 PI were treated as culture positive in the analyses that included virus assay data.
Genetic characterization of viruses
Samples of kidney from two virus-positive animals (both infected by inoculation with 3.1 log10 ID50-VeroE6, one each euthanized on day 9 and 18 PI) were tested for BCCV RNA to provide an assurance that the hantavirus isolated from the experimentally infected animals was from the stock virus. Total RNA was isolated from 30 to 40 mg of each kidney, using TRIzol® Reagent (Life Technologies, Grand Island, NY). Reverse transcription (RT) and polymerase chain reaction (PCR) amplification of a 261-nt fragment of the BCCV small genomic segment was attempted on 10% of each sample of total RNA, using the Access RT-PCR Assay (Promega, Madison, WI) in conjunction with oligonucleotides 5′-ACAGCAGCTAGTGGCAGCTAGAC-3′ and 5′-AGCACATTGCCATACCTAAGTGAG-3′. The negative controls for the RT-PCR assay were RNAse-free water and RNA isolated from a kidney of an uninfected hispid cotton rat. The PCR products of the expected size were purified from gel slices, and both strands of each gel-purified PCR product were sequenced directly, using the dye termination cycle sequencing technique (Applied Biosystems, Foster City, CA) in conjunction with the oligonucleotides that were used in the RT-PCR assay.
Antibody assay
Serum samples from the cotton rats were rendered noninfectious by gamma irradiation (5 × 106 rads, Co60 source) and then tested for antibody to BCCV, using an IFAT. Serial fourfold dilutions (from 1:25 through 1:25,600) of each sample were tested against acetone-fixed cell spots that contained BCCV-infected Vero E6 cells mixed 1:1 with uninfected Vero E6 cells. Antibody (IgG) bound to antigen was revealed by using a fluorescein isothiocyanate–conjugated goat antibody raised against white-footed mouse (P. leucopus) IgG (Kirkegaard and Perry Laboratories, Gaithersburg, MD). The antibody titer of a positive sample was the reciprocal of the highest dilution that produced a specific pattern of fluorescence in the cytoplasm of approximately 50% of the cells in duplicate cell spots.
Histopathology
Formalin-fixed samples of brain, heart, lung, thymus, spleen, liver, kidney, and salivary gland from 12 animals inoculated with 3.1 log10 ID50-VeroE6, lung from 12 animals inoculated with 1.1 log10 ID50-VeroE6, and brain, heart, lung, thymus, spleen, liver, kidney, and salivary gland from two sham-inoculated (uninfected) hispid cotton rats were embedded in paraffin, sectioned at 4 μm, deparaffinized, rehydrated though graded alcohol incubations, stained with hematoxylin and eosin, and then examined by light microscopy at low (× 100), medium (× 200), and high (× 400) powers. The prevalence of mononuclear leukocytes (PML) in each of 10 randomly selected medium-power fields (× 200) in each tissue section was scored: 1 (>1% but <25%), 2 (>25% but <50%), and 3 (≥50%). The median score for the 10 randomly selected high-power fields was used for analysis.
Immunohistochemistry assay for hantavirus antigen
Thin (4 μm) sections of formalin-fixed brain, heart, lung, thymus, spleen, liver, kidney, and salivary gland from 12 animals inoculated with 3.1 log10 ID50-VeroE6 were tested for hantavirus antigen, using an immunohistochemistry (IHC) assay. The tissue sections were deparaffinized and rehydrated through graded alcohol incubations and then treated with DAKO® Target Retrieval Solution (Dako, Carpinteria, CA) and incubated at 90°C for 20 min to effect antigen retrieval. The primary antibody was a 1:800 v:v dilution of an anti-BCCV immune rabbit serum (CDC-SPB #SPR464, P.E. Rollin). (The working dilution of the immune rabbit serum was determined beforehand in a series of titration experiments.) Nonspecific binding of rabbit IgG was minimized by treating the tissue sections with goat serum for 20 min before application of the primary antibody. The secondary antibody was a biotinylated goat anti-rabbit IgG (Vector Laboratories, Burlingame, CA). Goat IgG bound to tissue-associated rabbit IgG was detected by using the LSAB2a Streptavidin-Biotin System (Dako). Endogenous peroxidase activity was minimized by pretreatment of the tissue sections with 3% hydrogen peroxide, binding of endogenous avidin and biotin was blocked by using the DAKO Blocking Kit (Dako) according to the manufacturer's instructions, and the chromogen and counterstain were diaminobenzidine and hematoxylin, respectively. All steps in the staining process were done at room temperature in an Autostainer Universal Staining System (Dako). The negative controls included tissue sections from BCCV-infected cotton rats stained with normal (nonimmune) rabbit serum and tissue sections from sham-inoculated (uninfected) cotton rats stained with the anti-BCCV immune rabbit serum. The prevalence of antigen-positive cells in each of 10 randomly selected medium-power (× 200) fields in each tissue section was scored: 1 (≥1% but <25%), 2 (≥25% but <50%), and 3 (≥50%). The median score for the 10 randomly selected high-power fields was used for analysis.
Results
The median titer of the high-dose inocula (i.e., 1% v/v suspensions of the stock virus) was 3.1 log10 ID50-VeroE6 (range: 3.1–3.5 log10 ID50-VeroE6). Thus, each animal was inoculated with approximately 3.1, 1.1, −0.9, or −2.9 log10 ID50-VeroE6 in a volume of 0.2 mL.
No sign of illness was observed in any of the 52 virus-inoculated animals or 4 sham-inoculated animals. Further, the brains, viscera, thoracic cavities, and abdominal cavities of the virus-inoculated animals and sham-inoculated animals were macroscopically unremarkable at necropsy.
A total of 416 specimens from 52 animals inoculated with BCCV were assayed for hantavirus, using monolayer cultures of Vero E6 cells. Hantavirus antigen was found in cell spots from 122 (29.3%) of 416 cultures harvested on day 13 PI and 156 (37.7%) of 414 cultures harvested on day 26 PI. Only one specimen (an OP swab from an animal inoculated with 3.1 log10 ID50-VeroE6 and euthanized on day 18 PI) was antigen positive on day 13 PI and antigen negative on day 26 PI. The assays on OP swabs from two animals were discarded because the cultures were heavily contaminated with fungus. Overall, the results of the IFAT from the cell spots prepared on day 26 PI increased the number of culture-positive animals by 6: 1 inoculated with 1.1 log10 ID50-VeroE6, 2 inoculated with −0.9 log10 ID50-VeroE6, and 3 inoculated with −2.9 log10 ID50-VeroE6.
Hantavirus was isolated from all of the animals inoculated with 3.1 or 1.1 log10 ID50-VeroE6, 8 (61.5%) of the 13 animals inoculated with −0.9 log10 ID50-VeroE6, and 7 (58.3%) of the 12 animals inoculated with −2.9 log10 ID50-VeroE6 (Table 1). The culture-positive samples from the 27 animals inoculated with 3.1 or 1.1 log10 ID50-VeroE6 included blood (n = 13), brain (n = 18), lung (n = 24), kidney (n = 21), spleen (n = 23), liver (n = 10), OP swabs (n = 11), and urine (n = 10). The culture-positive samples from the 15 culture-positive animals inoculated with −0.9 or −2.9 log10 ID50-VeroE6 included blood (n = 4), brain (n = 3), lung (n = 7), spleen (n = 8), and kidney (n = 4). A majority (64.7%) of the 17 culture-positive blood samples, all of the culture-positive OP swabs, and 9 (90.0%) of the 10 culture-positive urine samples were from animals inoculated with 3.1 or 1.1 log10 ID50-VeroE6 and euthanized on day 9, 18, or 27 PI. The sequences of the PCR products generated from the kidneys of the animals inoculated with 3.1 log10 ID50-VeroE6 were identical to the homologous sequence of the stock virus.
Antibody (IgG) to BCCV was found in 10 (76.9%) of the 13 animals inoculated with 3.1 log10 ID50-VeroE6, 10 (71.4%) of the 14 animals inoculated with 1.1 log10 ID50-VeroE6, 1 (7.7%) of the 13 animals inoculated with −0.9 log10 ID50-VeroE6, and 1 (8.3%) of the 12 animals inoculated with −2.9 log10 ID50-VeroE6 (Table 1). Eight (61.5%) of the 13 animals inoculated with 3.1 or 1.1 log10 ID50-VeroE6 and euthanized on day 9 or 18 PI, 2 (40.0%) of the five culture-positive animals inoculated with −0.9 or −2.9 log10 ID50-VeroE6 and euthanized on day 9 or 18 PI, and none of the six culture-positive animals inoculated with −0.9 or −2.9 log10 ID50-VeroE6 and euthanized on day 54 PI were antibody positive to BCCV. The endpoint antibody titers in the antibody-positive animals inoculated with 3.1 or 1.1 log10 ID50-VeroE6 ranged from 25 to >25,600, and the endpoint antibody titers in the antibody-positive animals inoculated with −0.9 or −2.9 log10 ID50-VeroE6 were 25.
By inoculum dose, the prevalence of infected (antibody and/or culture positive) animals ranged from 100% in the 13 animals inoculated with 3.1 log10 ID50-VeroE6 and 100% in the 14 animals inoculated with 1.1 log10 ID50-VeroE6 to 58.3% in the 12 animals inoculated with −2.9 log10 ID50-VeroE6. Accordingly, the titer of the stock virus in the animals in this study was greater than 8.7 log10 ID50-Shis/1.0 mL (S. hispidus [Shis]).
The most striking histological abnormalities in the animals inoculated with 3.1 log10 ID50-VeroE6 were found in the lungs of the animals euthanized on day 18 (i.e., Shis-3.1-18a, Shis-3.1-18b, and Shis-3.1-18c) and lungs of the animals euthanized on day 27 PI (i.e., Shis-3.1-27a, Shis-3.1-27b, and Shis-3.1-27d) (Table 2). Tissues from the fourth animal inoculated with 3.1 log10 ID50-VeroE6 and euthanized on day 27 PI (i.e., Shis-3.1-27c) were not examined microscopically. Diffuse pneumonitis (PML score = 2), focal interstitial edema, and focal alveolar edema were found in Shis-3.1-18a (Fig. 1B and 1C), Shis-3.1-18b, and Shis-3.1-18c. Diffuse pneumonitis (PML score = 2) without pulmonary edema was found in Shis-3.1-27a (Fig. 1D), Shis-3.1-27b, and Shis-3.1-27d. Microscopic examination of the lungs of the other animals inoculated with 3.1 log10 ID50-VeroE6 revealed diffuse pneumonitis (PML score = 1) without edema in one of the three animals euthanized on day 9 PI (Shis-3.1-9b) and diffuse pneumonitis (PML score = 1) in all three animals euthanized on day 54 PI (Shis-3.1-54a, Shis-3.1-54b, and Shis-3.1-54c). The cellular infiltrates in the lungs of Shis-3.1-18a, Shis-3.1-18b, and Shis-3.1-18c included peribronchial, perivascular, and interstitial aggregates of mononuclear cells with the appearance of small lymphocytes, large (reactive) lymphocytes, and activated macrophages. The cellular infiltrates in the lungs of the other affected animals were similar in appearance to the cellular infiltrates in the lungs of the animals euthanized on day 18 PI but restricted to peribronchial and perivascular aggregates. The cellular infiltrates in some of the animals also included small numbers of plasma cells and an occasional polymorphonuclear cell. The lungs of Shis-3.1-9a and Shis-3.1-9c (both inoculated with 3.1 log10 ID50-VeroE6 and euthanized on day 9 PI) and the lungs of the sham-inoculated animals were microscopically unremarkable.
Table 2.
Inflammation in Tissues of Hispid Cotton Rats Inoculated with 3.1 log10 Median Infectious DosesVeroE6 of Black Creek Canal Virus, by Day Postinoculation
| |
Day PIb |
|
|||
|---|---|---|---|---|---|
| Tissuea | 9 | 18 | 27 | 54 | Total |
| Brain | 0/2 | 0/3 | 2/3 (1) | 0/2 | 2/10 |
| Lung | 0/3 | 3/3 (2) | 3/3 (2) | 3/3 (1) | 9/12 |
| Liver | 1/3 (1) | 0/3 | 2/3 (1) | 1/3 (1) | 4/12 |
| Kidney | 0/3 | 0/3 | 1/3 (1) | 1/3 (1) | 2/12 |
| Salivary gland | 0/3 | 0/3 | 2/3 (1) | 1/3 (1) | 3/12 |
The hearts, thymuses, and spleens of the animals were histologically unremarkable. Focal interstitial and alveolar edema as well as diffuse, subacute pneumonitis were found in the lungs of the three animals euthanized on day 18 PI.
Number of animals with inflammation/number of animals examined. The number in parentheses is the median score for the prevalence of mononuclear cells in 10 medium-power (× 200) fields in each tissue section in which inflammation was observed: 1 (≥1% but <25%) and 2 (≥25% but <50%).
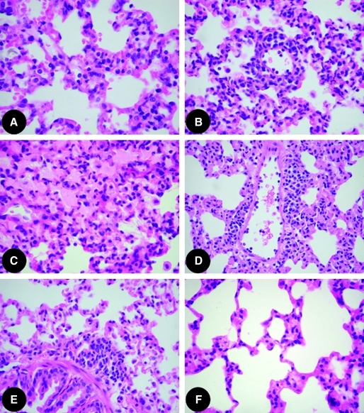
FIG. 1.
High-power (400 ×) images of lung tissue from four hispid cotton rats infected with Black Creek Canal virus and an uninfected hispid cotton rat. The infected animals, that is, cotton rats 3.1-9b, 3.1-18a, 3.1-27a, and 3.1-54b, were inoculated subcutaneously with 3.1 log10 median infectious doses (ID50-VeroE6) of virus and killed on day 9, 18, 27, or 54 postinoculation, respectively. (A) 3.1-9b, focal interstitial pneumonitis. (B, C) 3.1-18a, moderate interstitial pneumonitis with (B) perivascular cuffing of inflammatory cells and (C) focal alveolar edema. (D) 3.1-27a, marked perivascular and interstitial inflammation. (E) 3.1-54b, focal (peribronchiolar) inflammation. (F) The uninfected (sham-inoculated) hispid cotton rat. The tissues were sectioned at 4 μm and then stained with hematoxylin and eosin.
Other notable microscopic abnormalities in the animals inoculated with 3.1 log10 ID50-VeroE6 included portal triaditis (PML score = 1) in Shis-3.1-9b, Shis-3.1-27a, Shis-3.1-27d, and Shis-3.1-54c (Table 2). The cellular infiltrates in the livers of these four animals consisted of focal aggregates of mononuclear cells with the appearance of small and large lymphocytes. The livers of the other animals inoculated with 3.1 log10 ID50-VeroE6 and the sham-inoculated animals were microscopically unremarkable.
Microscopic examination of representative sections of lung from the 12 animals inoculated with 1.1 log10 ID50-VeroE6 revealed diffuse pneumonitis (PML score = 1) in the 3 animals euthanized on day 18 PI and diffuse pneumonitis (PML score = 1) in the 6 animals euthanized on day 27 or 54 PI (Table 3). The cellular infiltrates in the lungs of the affected animals included peribronchial and perivascular aggregates of mononuclear cells with the appearance of small lymphocytes, large (reactive) lymphocytes, and activated macrophages. The lungs of the three animals inoculated with 1.1 log10 ID50-VeroE6 and euthanized on day 9 PI were histologically unremarkable.
Table 3.
Prevalence of Pneumonitis in Hispid Cotton Rats Inoculated with Black Creek Canal Virus, by Inoculum Dose and Day Postinoculation
| |
Day PIb |
|
|||
|---|---|---|---|---|---|
| Dosea | 9 | 18 | 27 | 54 | Total |
| 3.1 | 1/3 | 3/3 (2) | 3/3 (2) | 3/3 (1) | 10/12 |
| 1.1 | 0/3 | 3/3 (1) | 3/3 (1) | 3/3 (1) | 9/12 |
3.1 log10 or 1.1 log10 median infectious dosesVeroE6 (ID50-VeroE6, infectivity measured in Vero E6 cells).
Number of animals with diffuse, subacute pneumonitis/total number of animals examined. The number in parentheses is the median score for the prevalence of mononuclear leukocytes in each of 10 randomly selected medium-power fields (× 200): 1 (≥1% but <25%) and 2 (≥25% but <50%). Focal interstitial and alveolar edema were found in the three animals inoculated with 3.1 log10 ID50-VeroE6 and euthanized on day 18 PI, none of the seven other animals inoculated with 3.1 log10 ID50-VeroE6, and none of the animals inoculated with 1.1 log10 ID50-VeroE6.
Hantavirus antigen was found in samples of lung and other solid tissues from 11 of 12 animals inoculated with 3.1 log10 ID50-VeroE6 (Table 4). Antigen was found in endothelial cells in large vessels in lung, alveolar wall capillaries, interstitial capillaries in heart, brain, and salivary gland, and glomerular capillaries in kidney. Antigen was also found in endothelial cells lining hepatic sinusoids, macrophages and plasma cells in spleen and thymus, and occasional glial cells in brain. The most extensive staining of antigen (IHC assay score = 3) was in the samples of lung from the three animals euthanized on day 9 PI. The most intensive staining of antigen was in endothelial cells in alveolar wall capillaries in these three animals (i.e., Shis-3.1-9a, Shis-3.1-9b, and Shis-3.1-9c).
Table 4.
Prevalence of Hantavirus Antigen-Positive Cells in Tissues of Cotton Rats Inoculated with 3.1 log10 id50-VeroE6 of Black Creek Canal Virus, by Day Postinoculation
| |
Day PIb |
|
|||
|---|---|---|---|---|---|
| Tissuea | 9 | 18 | 27 | 54 | Total |
| Lung | 3/3 (3) | 3/3 (1) | 2/3 (1) | 0/3 | 8/12 |
| Thymus | 1/3 (1) | 2/3 (1) | 2/3 (1) | 1/3 (1) | 6/12 |
| Heart | 2/3 (1, 2) | 3/3 (1) | 2/3 (1) | 0/2 | 7/11 |
| Brain | 2/2 (1) | 3/3 (1) | 2/3 (1) | 1/2 (1) | 8/10 |
| Salivary gland | 2/3 (1) | 0/3 | 2/3 (1) | 0/3 | 4/12 |
| Liver | 1/3 (2) | 2/3 (1) | 2/3 (1) | 0/3 | 5/12 |
| Kidney | 2/3 (2) | 1/3 (1) | 2/3 (1) | 0/3 | 5/12 |
| Spleen | 2/3 (1) | 3/3 (1) | 1/3 (1) | 0/3 | 6/12 |
| Total | 3/3 | 3/3 | 3/3 | 2/3 | 11/12 |
Hantavirus antigen was not found in the samples of pancreas, adrenal gland, ovary, or gastrointestinal tract tissues from the 12 animals inoculated with 3.1 log10 ID50-VeroE6 of Black Creek Canal virus.
Number of hantavirus antigen positive/number of examined. The numbers in parentheses are the median scores for the prevalence of antigen-positive cells in 10 medium-power (× 200) fields in each antigen-positive tissue section: 1 (≥1% but <25%), 2 (≥25% but <50%), and 3 (≥50%).
Discussion
Horizontal transmission appears to be the dominant mode of intraspecific hantavirus transmission in naturally infected rodent populations (Meyer and Schmaljohn 2000). A hispid cotton rat's first encounter with conspecifics other than its mother and littermates likely occurs soon after it is weaned. This assumption was the basis for using 21-day-old (recently weaned) animals in this study. We note that hispid cotton rats can be weaned at 15 days of age with no apparent effect on growth rate (Meyer and Meyer 1944, Keys 1958) and that the hispid cotton rats in this study were weaned at 17 days of age.
The results from the animals inoculated with 3.1 log10 ID50-VeroE6 of BCCV in this study are highly similar to the results of a previously published study in which 5-week-old hispid cotton rats were inoculated subcutaneously with 3.0 log10 ID50-VeroE6 of BCCV (Hutchinson et al. 1998) and laboratory studies on the pathogenesis of other hantaviruses in their respective principal hosts (Lee et al. 1981, Yanagihara et al. 1985, Botten et al. 2000, Fulhorst et al. 2002). The similarities include transient viremia, disseminated infection, early and oftentimes vigorous antibody (IgG) response to BCCV, chronic viruria, and absence of clinically apparent disease.
Collectively, the results of this study indicate that inoculum dose can significantly affect the pathogenesis of BCCV infection in juvenile hispid cotton rats. For example, the six animals inoculated with 3.1 or 1.1 log10 ID50-VeroE6 and euthanized on day 54 PI were culture positive and antibody positive, whereas the six animals inoculated with −0.9 or −2.9 log10 ID50-VeroE6 and euthanized on day 54 PI were culture positive but antibody negative.
The absence of a measurable antibody (IgG) response to BCCV in the animals inoculated with −0.9 or −2.9 log10 ID50-VeroE6 and euthanized on day 54 PI suggests that the levels of virus (antigen) in these animals were too low to stimulate a humoral antibody (IgG) response during the 54-day study period. Perhaps these animals would have developed measurable levels of IgG to BCCV at some point after day 54 PI.
The majority of published studies on the ecology of hantaviruses have utilized antibody (IgG) data to estimate the incidence and/or prevalence of infections in rodent populations. The results of this study indicate that inoculum dose can affect the length of the period between exposure and seroconversion in hispid cotton rats and suggest that inoculum dose can affect the proportion of infected hispid cotton rats that develop a measurable IgG response to BCCV. As such, the incidence of seroconversions may significantly underestimate the incidence of infections in a rodent population, especially when the first-capture and follow-up blood samples are separated by short periods (i.e., a few months). Further, seroprevalence may significantly underestimate the prevalence of infected animals in a rodent population.
The results of this study indicate that Vero E6 cells grown in monolayers are not particularly susceptible to BCCV infection when compared to juvenile hispid cotton rats. (Recall that the titers of the stock virus in Vero E6 cells and juvenile hispid cotton rats in this study were 5.8 log10 ID50-VeroE6/1.0 mL and 8.7 log10 ID50-Shis/1.0 mL, respectively). Hypothetically, some of the culture-negative specimens in this study were virus positive, but the titers of BCCV in these specimens were simply too low to detect by cultivation in monolayers of Vero E6 cells. An appropriate test of this hypothesis would entail exposure of juvenile hispid cotton rats to culture-negative specimens from BCCV-infected hispid cotton rats.
The majority of the culture-positive OP swabs and culture-positive urine samples were from animals inoculated with 3.1 or 1.1 log10 ID50-VeroE6 and euthanized on day 9 or 18 PI, suggesting that the amount of virus shed in secretions and excretions is related to duration of infection. The failure to isolate virus from the OP swabs and urine samples from the animals inoculated with −0.9 or −2.9 log10 ID50-VeroE6 could be interpreted as evidence that the amount of virus shed in secretions and excretions is related to inoculum dose as well as duration of infection. Alternatively, the failure to isolate virus from the OP swabs and urine samples from the animals inoculated with −0.9 or −2.9 log10 ID50-VeroE6 could signify that virus shedding in these animals was very short-lived or never occurred during the 54-day study period.
As stated previously, chronic infections in rodents appear to be critical to long-term maintenance of hantaviruses in nature. The isolation of hantavirus from all 12 virus-inoculated animals euthanized on day 54 PI indicates that BCCV infections in juvenile hispid cotton rats can be chronic, regardless of inoculum dose. Whether age of rodent at onset of infection, route of exposure, and/or physiological status and other host factors can significantly affect the duration of infection, duration of virus shedding, or magnitude of virus shedding in BCCV-infected hispid cotton rats has not been investigated.
The results of the IHC assays for hantavirus antigen in tissues from the animals inoculated with 3.1 log10 ID50-VeroE6 indicate that BCCV infections in juvenile hispid cotton rats can be widely disseminated. The isolation of hantavirus from samples of brain, lung, spleen, and kidney from other animals in this study suggests that BCCV infections in juvenile hispid cotton rats infected by exposure to low doses of virus (i.e., ≤1.1 log10 ID50-VeroE6) can be systemic too.
The results of this study indicate that BCCV in experimentally infected hispid cotton rats can cause diffuse pneumonitis and that the severity of the pulmonary pathology is dependent upon of duration of infection as well as inoculum dose. Note that the severity of the pneumonitis in the animals inoculated with 3.1 log10 ID50-VeroE6 peaked between days 9 and 54 PI and that the pulmonary pathology in the animals inoculated with 3.1 log10 ID50-VeroE6 and euthanized on day 18 or 27 PI was more severe than the pneumonitis in the animals inoculated with 1.1 log10 ID50-VeroE6 and euthanized on day 9, 18, 27, or 54 PI. Further work is needed to determine whether BCCV in naturally infected hispid cotton rats is pathogenic, and, if so, whether BCCV has a negative effect on the fitness of infected hispid cotton rats compared to uninfected counterparts (Kallio et al. 2007).
A previously published study (Lundkvist et al. 1997) demonstrated that adaptation of a rodent-associated hantavirus (i.e., Puumala virus) to growth in Vero E6 cells can reduce the infectivity of the virus in its principal host. Hypothetically, 3.1 log10 ID50-VeroE6 and even lower doses of wild-type BCCV from naturally infected hispid cotton rats are more pathogenic than 3.1 log10 ID50-VeroE6 of BCCV adapted to growth in Vero E6 cells.
The results of previously published laboratory studies suggested that SNV and other New World hantaviruses are apathogenic in their respective principal hosts; however, these studies either did not entail microscopic examination of tissues from the experimentally infected rodents (Hutchinson et al. 1998, Fulhorst et al. 2002) or were restricted to very low inoculum doses (Botten et al. 2000, 2003). Hypothetically, these hantaviruses are pathogenic in their respective principal hosts and infection can negatively affect the fitness of naturally infected rodents.
Acknowledgments
Gary Reynolds (Centers for Disease Control and Prevention, Atlanta, GA) assisted with the husbandry of the experimentally infected animals. National Institutes of Health Grants AI-39800 and AI-67947 provided financial support for this research. Salary support for Adrian Billings was from the Jeanne B. Kempner Fellowship fund (University of Texas Medical Branch, Galveston) as well as National Institutes of Health Grant AI-39800.
Disclosure Statement
No competing financial interests exist.
References
- Botten J. Mirowsky K. Kusewitt D. Bharadwaj M, et al. Experimental infection model for Sin Nombre hantavirus in the deer mouse (Peromyscus maniculatus) Proc Natl Acad Sci USA. 2000;97:10578–10583. doi: 10.1073/pnas.180197197. [DOI] [PMC free article] [PubMed] [Google Scholar]
- Botten J. Mirowsky K. Kusewitt D. Ye C, et al. Persistent Sin Nombre virus infection in the deer mouse (Peromyscus maniculatus) model: sites of replication and strand-specific expression. J Virol. 2003;77:1540–1550. doi: 10.1128/JVI.77.2.1540-1550.2002. [DOI] [PMC free article] [PubMed] [Google Scholar]
- Calisher CH. Tzianabos T. Lord RD. Coleman PH. Tamiami virus: a new member of the Tacaribe group. Am J Trop Med Hyg. 1970;19:520–526. doi: 10.4269/ajtmh.1970.19.520. [DOI] [PubMed] [Google Scholar]
- Childs JE. Ksiazek TG. Spiropoulou CF. Krebs JW, et al. Serologic and genetic identification of Peromyscus maniculatus as the primary rodent reservoir for a new hantavirus in the southwestern United States. J Infect Dis. 1994;169:1271–1280. doi: 10.1093/infdis/169.6.1271. [DOI] [PubMed] [Google Scholar]
- Drebot MA. Gavrilovskaya I. Mackow ER. Chen Z, et al. Genetic and serotypic characterization of Sin Nombre-like viruses in Canadian Peromyscus maniculatus mice. Virus Res. 2001;75:75–86. doi: 10.1016/s0168-1702(01)00227-1. [DOI] [PubMed] [Google Scholar]
- Fulhorst CF. Milazzo ML. Duno G. Salas RA. Experimental infection of the Sigmodon alstoni cotton rat with Caño Delgadito virus, a South American hantavirus. Am J Trop Med Hyg. 2002;67:107–111. doi: 10.4269/ajtmh.2002.67.107. [DOI] [PubMed] [Google Scholar]
- Glass GE. Livingstone W. Mills JN. Hlady WG, et al. Black Creek Canal virus infection in Sigmodon hispidus in southern Florida. Am J Trop Med Hyg. 1998;59:699–703. doi: 10.4269/ajtmh.1998.59.699. [DOI] [PubMed] [Google Scholar]
- Hjelle B. Lee SW. Song W. Torrez-Martinez N, et al. Molecular linkage of hantavirus pulmonary syndrome to the white-footed mouse, Peromyscus leucopus: genetic characterization of the M genome of New York virus. J Virol. 1995;69:8137–8141. doi: 10.1128/jvi.69.12.8137-8141.1995. [DOI] [PMC free article] [PubMed] [Google Scholar]
- Hutchinson KL. Rollin PE. Peters CJ. Pathogenesis of a North American hantavirus, Black Creek Canal virus, in experimentally infected Sigmodon hispidus. Am J Trop Med Hyg. 1998;59:58–65. doi: 10.4269/ajtmh.1998.59.58. [DOI] [PubMed] [Google Scholar]
- Kallio ER. Voutilainen L. Vapalahti O. Vaheri A, et al. Endemic hantavirus infection impairs the winter survival of is rodent host. Ecology. 2007;88:1911–1916. doi: 10.1890/06-1620.1. [DOI] [PubMed] [Google Scholar]
- Keys CE. The rate of development of Sigmodon hispidus as compared with some other rodents. Trans Ky Acad Sci. 1958;19:25–27. [Google Scholar]
- Koster FT. Levy H. Hantavirus cardiopulmonary syndrome: a new twist to an established pathogen. In: Fong IW, editor; Alibek K, editor. New and Evolving Infections of the 21st Century. New York: Springer-Verlag New York, Inc.; 2006. pp. 151–170. [Google Scholar]
- Lee HW. Lee PW. Baek LJ. Song CK, et al. Intraspecific transmission of Hantaan virus, etiologic agent of Korean hemorrhagic fever, in the rodent Apodemus agrarius. Am J Trop Med Hyg. 1981;30:1106–1112. doi: 10.4269/ajtmh.1981.30.1106. [DOI] [PubMed] [Google Scholar]
- Lundkvist Å. Cheng Y. Sjolander KB. Niklasson B, et al. Cell culture adaptation of Puumala hantavirus changes the infectivity for its natural reservoir, Clethrionomys glareolus, and leads to accumulation of mutants with altered genomic RNA S segment. J Virol. 1997;71:9515–9523. doi: 10.1128/jvi.71.12.9515-9523.1997. [DOI] [PMC free article] [PubMed] [Google Scholar]
- Lyubsky S. Gavrilovskaya I. Luft B. Mackow E. Histopathology of Peromyscus leucopus naturally infected with pathogenic NY-1 hantaviruses: pathologic markers of HPS viral infection in mice. Lab Invest. 1996;74:627–633. [PubMed] [Google Scholar]
- Meyer BJ. Meyer RK. Growth and reproduction of the cotton rat, Sigmodon hispidus hispidus, under laboratory conditions. J Mamm. 1944;25:107–109. [Google Scholar]
- Meyer BJ. Schmaljohn CS. Persistent hantavirus infections: characteristics and mechanisms. Trends Microbiol. 2000;8:61–67. doi: 10.1016/s0966-842x(99)01658-3. [DOI] [PubMed] [Google Scholar]
- Netski D. Thran BH. St Jeor SC. Sin Nombre virus pathogenesis in Peromyscus maniculatus. J Virol. 1999;73:585–591. doi: 10.1128/jvi.73.1.585-591.1999. [DOI] [PMC free article] [PubMed] [Google Scholar]
- Nichol ST. Beaty BJ. Elliott RM. Goldbach R, et al. Family Bunyaviridae. In: Fauquet CM, editor; Mayo MA, editor; Maniloff J, editor; Desselberger U, et al., editors. Virus Taxonomy: 8th Report of the International Committee on Taxonomy of Viruses. San Diego, CA: Elsevier Academic Press; 2005. pp. 695–716. [Google Scholar]
- Reed LJ. Muench H. A simple method of estimating fifty percent endpoints. Am J Hyg. 1938;27:493–497. [Google Scholar]
- Rollin PE. Ksiazek TG. Elliott LH. Ravkov EV, et al. Isolation of Black Creek Canal virus, a new hantavirus from Sigmodon hispidus in Florida. J Med Virol. 1995;46:35–39. doi: 10.1002/jmv.1890460108. [DOI] [PubMed] [Google Scholar]
- Yanagihara R. Amyx HL. Gajdusek DC. Experimental infection with Puumala virus, the etiologic agent of nephropathia epidemica, in bank voles (Clethrionomys glareolus) J Virol. 1985;55:34–38. doi: 10.1128/jvi.55.1.34-38.1985. [DOI] [PMC free article] [PubMed] [Google Scholar]

