Abstract
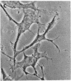
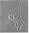
We show that Cloudman melanoma cells undergo rapid arborization in response to [Nle4,D-Phe7]alpha-melanocyte-stimulating hormone, a potent analogue of alpha-melanocyte stimulating hormone (alpha-MSH). The arbors were established by extension of processes and resembled dendrites. We used this system to study the regulation of cell shape. alpha-MSH is known to induce increases in cAMP levels, and agents such as forskolin and isobutylmethylxanthine that led to increased cAMP also caused arborization. However, equally dramatic arbors were formed after incubation with the protein kinase C inhibitor H-7 [1-(5-isoquinolinesulfonyl)-alpha-methyl-piperazine]. Phorbol diesters that activate protein kinase C led to cell rounding and antagonized alpha-MSH. The actions of protein kinase C cannot be rationalized in terms of indirect effects on cAMP: neither H-7 nor phorbol diesters alone altered cAMP levels, nor did they affect the increase in cAMP induced by MSH. We show also that MSH produced longer-term effects that cannot be mimicked by cAMP. Specifically, even in the continued presence of alpha-MSH, arborization was followed by morphological reversal to the unstimulated flattened configuration within 2 hr. (This did not occur with other agents that increase cAMP or with H-7.) Most importantly, whereas MSH-induced arborization occurred in the presence of cycloheximide, actinomycin D, or in enucleated cells, the reversal of arborization did not. Thus, MSH induced a program of rapid shape change that was dependent on new protein synthesis and gene transcription.
Full text
PDF




Images in this article
Selected References
These references are in PubMed. This may not be the complete list of references from this article.
- Berlin R. D., Oliver J. M. Analogous ultrastructure and surface properties during capping and phagocytosis in leukocytes. J Cell Biol. 1978 Jun;77(3):789–804. doi: 10.1083/jcb.77.3.789. [DOI] [PMC free article] [PubMed] [Google Scholar]
- Black M. M., Aletta J. M., Greene L. A. Regulation of microtubule composition and stability during nerve growth factor-promoted neurite outgrowth. J Cell Biol. 1986 Aug;103(2):545–557. doi: 10.1083/jcb.103.2.545. [DOI] [PMC free article] [PubMed] [Google Scholar]
- Burstein D. E., Greene L. A. Evidence for RNA synthesis-dependent and -independent pathways in stimulation of neurite outgrowth by nerve growth factor. Proc Natl Acad Sci U S A. 1978 Dec;75(12):6059–6063. doi: 10.1073/pnas.75.12.6059. [DOI] [PMC free article] [PubMed] [Google Scholar]
- Caron J. M., Jones A. L., Rall L. B., Kirschner M. W. Autoregulation of tubulin synthesis in enucleated cells. Nature. 1985 Oct 17;317(6038):648–651. doi: 10.1038/317648a0. [DOI] [PubMed] [Google Scholar]
- Cremins J., Wagner J. A., Halegoua S. Nerve growth factor action is mediated by cyclic AMP- and Ca+2/phospholipid-dependent protein kinases. J Cell Biol. 1986 Sep;103(3):887–893. doi: 10.1083/jcb.103.3.887. [DOI] [PMC free article] [PubMed] [Google Scholar]
- Darfler F. J., Mahan L. C., Koachman A. M., Insel P. A. Stimulation of forskolin of intact S49 lymphoma cells involves the nucleotide regulatory protein of adenylate cyclase. J Biol Chem. 1982 Oct 25;257(20):11901–11907. [PubMed] [Google Scholar]
- DiPasquale A., McGuire J. MSH stimulates adenylate cyclase and tyrosinase in cultivated melanoma cells in the presence of cytochalasin B. Exp Cell Res. 1976 Oct 15;102(2):264–268. doi: 10.1016/0014-4827(76)90041-0. [DOI] [PubMed] [Google Scholar]
- Drubin D. G., Feinstein S. C., Shooter E. M., Kirschner M. W. Nerve growth factor-induced neurite outgrowth in PC12 cells involves the coordinate induction of microtubule assembly and assembly-promoting factors. J Cell Biol. 1985 Nov;101(5 Pt 1):1799–1807. doi: 10.1083/jcb.101.5.1799. [DOI] [PMC free article] [PubMed] [Google Scholar]
- Fey E. G., Penman S. Tumor promoters induce a specific morphological signature in the nuclear matrix-intermediate filament scaffold of Madin-Darby canine kidney (MDCK) cell colonies. Proc Natl Acad Sci U S A. 1984 Jul;81(14):4409–4413. doi: 10.1073/pnas.81.14.4409. [DOI] [PMC free article] [PubMed] [Google Scholar]
- Greene L. A., Tischler A. S. Establishment of a noradrenergic clonal line of rat adrenal pheochromocytoma cells which respond to nerve growth factor. Proc Natl Acad Sci U S A. 1976 Jul;73(7):2424–2428. doi: 10.1073/pnas.73.7.2424. [DOI] [PMC free article] [PubMed] [Google Scholar]
- Gunning P. W., Landreth G. E., Bothwell M. A., Shooter E. M. Differential and synergistic actions of nerve growth factor and cyclic AMP in PC12 cells. J Cell Biol. 1981 May;89(2):240–245. doi: 10.1083/jcb.89.2.240. [DOI] [PMC free article] [PubMed] [Google Scholar]
- Hidaka H., Inagaki M., Kawamoto S., Sasaki Y. Isoquinolinesulfonamides, novel and potent inhibitors of cyclic nucleotide dependent protein kinase and protein kinase C. Biochemistry. 1984 Oct 9;23(21):5036–5041. doi: 10.1021/bi00316a032. [DOI] [PubMed] [Google Scholar]
- Inagaki M., Kawamoto S., Hidaka H. Serotonin secretion from human platelets may be modified by Ca2+-activated, phospholipid-dependent myosin phosphorylation. J Biol Chem. 1984 Dec 10;259(23):14321–14323. [PubMed] [Google Scholar]
- Jacobs J. R., Stevens J. K. Changes in the organization of the neuritic cytoskeleton during nerve growth factor-activated differentiation of PC12 cells: a serial electron microscopic study of the development and control of neurite shape. J Cell Biol. 1986 Sep;103(3):895–906. doi: 10.1083/jcb.103.3.895. [DOI] [PMC free article] [PubMed] [Google Scholar]
- Johnson G. S., Pastan I. N 6 ,O 2 '-dibutyryl adenosine 3',5'-monophosphate induces pigment production in melanoma cells. Nat New Biol. 1972 Jun 28;237(78):267–268. doi: 10.1038/newbio237267a0. [DOI] [PubMed] [Google Scholar]
- Latt S. A., Stetten G. Spectral studies on 33258 Hoechst and related bisbenzimidazole dyes useful for fluorescent detection of deoxyribonucleic acid synthesis. J Histochem Cytochem. 1976 Jan;24(1):24–33. doi: 10.1177/24.1.943439. [DOI] [PubMed] [Google Scholar]
- Leach K. L., James M. L., Blumberg P. M. Characterization of a specific phorbol ester aporeceptor in mouse brain cytosol. Proc Natl Acad Sci U S A. 1983 Jul;80(14):4208–4212. doi: 10.1073/pnas.80.14.4208. [DOI] [PMC free article] [PubMed] [Google Scholar]
- Luckenbill-Edds L., Van Horn C., Greene L. A. Fine structure of initial outgrowth of processes induced in a pheochromocytoma cell line (PC12) by nerve growth factor. J Neurocytol. 1979 Aug;8(4):493–511. doi: 10.1007/BF01214805. [DOI] [PubMed] [Google Scholar]
- May W. S., Lapetina E. G., Cuatrecasas P. Intracellular activation of protein kinase C and regulation of the surface transferrin receptor by diacylglycerol is a spontaneously reversible process that is associated with rapid formation of phosphatidic acid. Proc Natl Acad Sci U S A. 1986 Mar;83(5):1281–1284. doi: 10.1073/pnas.83.5.1281. [DOI] [PMC free article] [PubMed] [Google Scholar]
- Melmed R. N., Karanian P. J., Berlin R. D. Control of cell volume in the J774 macrophage by microtubule disassembly and cyclic AMP. J Cell Biol. 1981 Sep;90(3):761–768. doi: 10.1083/jcb.90.3.761. [DOI] [PMC free article] [PubMed] [Google Scholar]
- Montague W., Cook J. R. The role of adenosine 3':5'-cyclic monophosphate in the regulation of insulin release by isolated rat islets of Langerhans. Biochem J. 1971 Mar;122(1):115–120. doi: 10.1042/bj1220115. [DOI] [PMC free article] [PubMed] [Google Scholar]
- Niedel J. E., Kuhn L. J., Vandenbark G. R. Phorbol diester receptor copurifies with protein kinase C. Proc Natl Acad Sci U S A. 1983 Jan;80(1):36–40. doi: 10.1073/pnas.80.1.36. [DOI] [PMC free article] [PubMed] [Google Scholar]
- Osborn M., Weber K. Cytoplasmic microtubules in tissue culture cells appear to grow from an organizing structure towards the plasma membrane. Proc Natl Acad Sci U S A. 1976 Mar;73(3):867–871. doi: 10.1073/pnas.73.3.867. [DOI] [PMC free article] [PubMed] [Google Scholar]
- Pawelek J., Sansone M., Koch N., Christie G., Halaban R., Hendee J., Lerner A. B., Varga J. M. Melanoma cells resistant to inhibition of growth by melanocyte stimulating hormone. Proc Natl Acad Sci U S A. 1975 Mar;72(3):951–955. doi: 10.1073/pnas.72.3.951. [DOI] [PMC free article] [PubMed] [Google Scholar]
- Pittenger M. F., Cleveland D. W. Retention of autoregulatory control of tubulin synthesis in cytoplasts: demonstration of a cytoplasmic mechanism that regulates the level of tubulin expression. J Cell Biol. 1985 Nov;101(5 Pt 1):1941–1952. doi: 10.1083/jcb.101.5.1941. [DOI] [PMC free article] [PubMed] [Google Scholar]
- Porter K. R., Puck T. T., Hsie A. W., Kelley D. An electron microscopy study of the effects on dibutyryl cyclic AMP on Chinese hamster ovary cells. Cell. 1974 Jul;2(3):145–162. doi: 10.1016/0092-8674(74)90089-0. [DOI] [PubMed] [Google Scholar]
- Ran W., Dean M., Levine R. A., Henkle C., Campisi J. Induction of c-fos and c-myc mRNA by epidermal growth factor or calcium ionophore is cAMP dependent. Proc Natl Acad Sci U S A. 1986 Nov;83(21):8216–8220. doi: 10.1073/pnas.83.21.8216. [DOI] [PMC free article] [PubMed] [Google Scholar]
- Rifkin D. B., Crowe R. M., Pollack R. Tumor promoters induce changes in the chick embryo fibroblast cytoskeleton. Cell. 1979 Oct;18(2):361–368. doi: 10.1016/0092-8674(79)90055-2. [DOI] [PubMed] [Google Scholar]
- Sando J. J., Young M. C. Identification of high-affinity phorbol ester receptor in cytosol of EL4 thymoma cells: requirement for calcium, magnesium, and phospholipids. Proc Natl Acad Sci U S A. 1983 May;80(9):2642–2646. doi: 10.1073/pnas.80.9.2642. [DOI] [PMC free article] [PubMed] [Google Scholar]
- Sawyer T. K., Sanfilippo P. J., Hruby V. J., Engel M. H., Heward C. B., Burnett J. B., Hadley M. E. 4-Norleucine, 7-D-phenylalanine-alpha-melanocyte-stimulating hormone: a highly potent alpha-melanotropin with ultralong biological activity. Proc Natl Acad Sci U S A. 1980 Oct;77(10):5754–5758. doi: 10.1073/pnas.77.10.5754. [DOI] [PMC free article] [PubMed] [Google Scholar]
- Schliwa M., Nakamura T., Porter K. R., Euteneuer U. A tumor promoter induces rapid and coordinated reorganization of actin and vinculin in cultured cells. J Cell Biol. 1984 Sep;99(3):1045–1059. doi: 10.1083/jcb.99.3.1045. [DOI] [PMC free article] [PubMed] [Google Scholar]
- Spruill W. A., White M. G., Steiner A. L., Tres L. L., Kierszenbaum A. L. Temporal sequence of cell shape changes in cultured rat sertoli cells after experimental elevation of intracellular cAMP. Exp Cell Res. 1981 Jan;131(1):131–148. doi: 10.1016/0014-4827(81)90414-6. [DOI] [PubMed] [Google Scholar]
- Westermark B., Portor K. R. Hormonally induced changes in the cytoskeleton of human thyroid cells in culture. J Cell Biol. 1982 Jul;94(1):42–50. doi: 10.1083/jcb.94.1.42. [DOI] [PMC free article] [PubMed] [Google Scholar]













