Abstract
In the 1970s, high failure rates of cemented acetabular components, especially in young patients, in the middle- and long-term prompted a search for alternatives. The Mecring was one of the most popular first generation uncemented, threaded cups widely used in the 1980s for arthroplasty of the hip. First generation threaded cups commonly had smooth surface treatment and showed unacceptably high failure rates in the mid-term. In a consecutive series of 209 patients, 221 threaded uncemented acetabular cups with smooth surface treatment (Mecring) had been implanted in combination with one type of uncemented stem. Patients were followed up clinically and radiographically. The mean time of follow-up was 17 (range 15–20) years. In 91 (41%) hips the acetabular component had been revised or was awaiting revision: two hips for infection and 84 (38%) for aseptic loosening. Five hips were awaiting revision. The survival rate for all revisions including hips awaiting revision was 49% (95% CI: 41–57%) at 17 years. These results support the view that smooth, threaded acetabular components do not provide satisfactory long-term fixation and should be abandoned. Patients with these components must be closely monitored as the failure rate remains high in the long-term.
Introduction
In the late 1970s various designs of threaded uncemented cups were introduced, mainly in continental Europe. The Mecring (Mecron, Berlin, Germany), a titanium threaded ring (Fig. 1) with a smooth surface, was introduced into the European and North American markets in the early 1980s. Uncemented acetabular components were designed to overcome the problems of aseptic loosening, one of the major problems in cemented total hip arthroplasty, especially in young patients, despite improved techniques for the application of cement. Threaded components have been advocated because of their high primary stability through interference of the threads with acetabular bone, which is a prerequisite factor for bone ongrowth and long-term fixation [11, 16, 18]. Threaded designs lead to rigid primary fixation, but long-term secondary fixation is less liable to occur, as surface treatment of first generation threaded hip cups was commonly smooth. Adequate surface finish by porous coating, hydroxyapatite coating or grit blasting is known to facilitate osseous ongrowth or ingrowth [22] and seems to have a major effect on the incidence of radiographic loosening and survival in the longer term [9].
Fig. 1.

Smooth threaded Mecring acetabular cup (Mecron, Berlin, Germany)
For smooth threaded acetabular components, inferior results with a high rate of catastrophic failures have been reported in the short and medium term [4–6, 12, 29]. Only a few long-term results of threaded cups with a great variability in survival have been reported in the literature [8, 14, 17, 19, 31].
It is important to follow up these patients regularly in the long-term, as a high rate of painless migration has been described [1, 4]. The aim of our study was to determine the long-term (>15 years) outcome in this group treated with smooth threaded Mecring cups. Therefore, we evaluated the clinical and radiographic outcome of a consecutive multi-surgeon series of 209 consecutive patients.
Material and methods
Implants
This study investigated one type of uncemented, threaded, screw-in component with smooth surface treatment (Mecring A, Mecron, Berlin, Germany). This component has a central opening which enables visualisation of the contact between implant and bone. The acetabuar component comprised a matte finished hemispherical threaded Titanium alloy shell (Ti6Al14V) (Fig. 1) with a polyethylene (PE) liner. The outer surface has six screw threads. After hemispherical reaming, the metal shell is screwed into the acetabulum and the posterior opening is closed by the PE liner. In all cases, 32-mm ceramic heads (Biolox, Ceramtec, Plochingen, Germany) were used. The acetabular component was implanted in combination with a straight collarless double-tapered titanium stem. This rectangular stem is wedge-shaped and is tapered in the anteroposterior and sagittal planes. Its proximal surface contains anterior and posterior ribs, or flutes. Secondary osseointegration is achieved by osseous ongrowth onto the grit-blasted implant surface. The implant is made of Ti6-Al7-Nb alloy (Protasul 64) with a micro-porous surface treatment (Ra=4.4 μm) according to ISO 5832-11 (CLS Spotorno stem; Zimmer, Warsaw, Indiana).
Patients
This study comprised a consecutive series of 209 patients with 221 hips implanted between January 1985 and December 1989. Patient demographics and diagnoses are given in Table 1. The operative technique and postoperative protocol has been described before [4].
Table 1.
Diagnoses and demographics of patients in the study
| Parameter | Value |
|---|---|
| Demographics, years (range) | |
| Age | 57 (21–79) |
| BMI | 27 (23–31) |
| Follow-up | 17 (15–20) |
| Distribution, n (%) | |
| Hips | 221 |
| Male | 107 (48) |
| Female | 114 (52) |
| Left | 110 (50) |
| Right | 111 (50) |
| Diagnoses, n (%) | |
| OA | 102 (52) |
| DDH | 53 (26) |
| AVN | 19 (10) |
| Posttraumatic | 15 (8) |
| RA | 4 (2) |
| Others | 4 (2) |
BMI body mass index, OA osteoarthritis, DDH developmental dysplasia of the hip, AVN avascular necrosis, RA rheumatoid arthritis
Evaluation protocol
At follow-up, a standardised questionnaire, including the items of the Harris Hip score, was given to each patient [15]. Clinical assessment included limp, range of motion and pain. Patients assessed their pain on a visual analogue scale (0–10) at the time of follow-up. The radiographs were examined independently by two experienced orthopaedic surgeons for cup migration, radiolucent lines, osteolysis and acetabular loosening.
Acetabular loosening was defined as continuous migration >5 mm or tilting of >5° compared with baseline radiographs or bone resorption (>5 mm). The threshold loosening of the acetabular component was chosen to be 5 mm because of inaccuracy of simple measurements on plain radiographs. Radiolucent lines were determined according to DeLee and Charnley [10]. Osteolysis was defined as regional progressive bone changes on serial radiographs.
Statistics
Kaplan-Meier survival analyses were calculated using revision for aseptic loosening and revision of the cup for any cause, including patients awaiting revision as endpoint to plot the cumulative survival rate [23].
Results
Sample
During the follow-up period, 41 patients with 43 hips died, and three patients (3 hips) were lost. Follow-up data were obtained for 84 hips. Radiological data were obtained for 68 hips. Clinical data but no radiographs were obtained for 16 hips (Fig. 2). The 15–20-year follow-up rate was 79% for the entire patient group and 98% of patients were still alive at the time of follow-up.
Fig. 2.
Distribution of hips with Mecring cup at a minimum of 15 years of follow-up
Deceased patients
Before the most recent follow-up, 41 patients with 43 hips had died (Fig. 2). The mean age of these patients at the time of the operation was 63 years (range 46–79 years), and the mean duration of follow-up was ten years (range 0–17 years).
Revisions
In 127 hips (57%), the acetabular prosthesis had not been revised. In 91 hips (41%), the cup had been revised or was awaiting revision. Two hips were revised for a deep infection. A total of 84 acetabular implants (38%) were revised for aseptic loosening. No polyethylene inserts were exchanged. Five hips were awaiting revision (Fig. 2).
Radiographic evaluation
Acetabular component Of the 68 unrevised hips available for radiographic follow-up, five cups (7%) had migrated. Radiolucent lines (>2 mm) were found in 32 hips (47%) in zones 1–3 according to Charnley and DeLee.
Femoral component Radiographic loosening with a continuous radiolucent line was found in one stem without clinical symptoms. Distal cortical hypertrophy or femoral osteolysis was not observed in any case. Stress shielding (2–4 degrees) with atrophy of the proximal femoral region was not detected [1–3].
Clinical evaluation
The mean Harris Hip scores [15], mean Merle d’Aubigné scores [20] and pain levels on a visual analogue scale were assessed. Charnley class [7] was determined to demonstrate potential effects of bilateral hip disease or comorbidity on the Harris Hip score (Table 2). Most patients with acetabular migration had only mild or moderate pain. The Harris hip score was highly dependent on the Charnley class (Table 2). No significant difference in the clinical scores was found in stable cups, cups with radiolucency and revised cups. In clinical follow-up, no leg length discrepancies were found in 69% of patients (n=44). In 20% of cases, a leg length difference of 0.5–1.5 cm was found (n=13), in 5% a difference of 1.5–2.5 cm (n=3), and in 6% a difference of >2.5 cm was measured (n=4); in most cases this was a result of gross loosening of the cup.
Table 2.
Clinical results at follow-up including Harris Hip score (HHS), Merle d'Aubigne score and pain on visual analogue scale (VAS)
| Harris Hip score | Mean (range) | |
|---|---|---|
| All hips | 81 (17–100) | |
| Stable cup | 79 (17–100) | |
| Revised cup | 81 (28–100) | |
| Charnley | HHS (mean) | Merle (mean) |
|---|---|---|
| A | 93 | 4 |
| B | 78 | 3 |
| C | 77 | 3 |
| Harris Hip Score | n (%) | |
|---|---|---|
| very good (91–100) | 46 (41%) | |
| good (81–90) | 22 (22%) | |
| satisfactory (71–80) | 20 (18%) | |
| moderate (50–70) | 12 (12%) | |
| poor (0–49) | 7 (7%) | |
| Pain (VAS) | n (%) | |
|---|---|---|
| No pain (VAS 0) | 97 (72%) | |
| Slight pain (VAS 1–3) | 17 (13%) | |
| Mild pain (VAS 4–6) | 15 (11%) | |
| Moderate pain (VAS 7–9) | 4 (3%) | |
| Severe pain (VAS 10) | 2 (1%) | |
Survivorship analysis
In Kaplan-Meier analyses, failures occurred steadily for up to seven years, when a marked increase in failure rate was noted (Fig. 3). The survival rate for all revisions including hips awaiting revision was 49% (95% CI: 41–57%) at 17 years. Survival with acetabular revision for aseptic loosening as an endpoint was 51% (95% CI: 42–59%) at 17 years. The Kaplan-Meier analysis of the stem showed a low annual failure rate and a survival rate of 88% for femoral components at 17 years (95% CI: 81–92%) without revision (for any reason). Survival with femoral revision for aseptic loosening as an endpoint was 94% (95% CI: 88–97%) after 17 years. The survival rate for the stem remained unchanged until year 20 as no more revisions occurred in this period [1, 2].
Fig. 3.
Kaplan-Meier survivorship curve for all revisions including hips awaiting revision as the endpoint. The 17-year survival rate was 49% (95% CI: 41–57%)
Discussion
The disappointing results achieved with the Mecring cup led to the nearly complete disappearance of threaded cups from the North American market. There are only a few reports of long-term results with threaded cups in primary total hip arthroplasty [8, 13, 19, 32] and, to our knowledge, there are no published long-term results for smooth hemispherical threaded cups. Because these implants were widely used in the 1980s, there are still many patients with this acetabular component in situ today. Therefore our aim was to investigate the long-term outcome of the smooth threaded Mecring cup.
In the past, two main factors for long-term survival of uncemented implants have been identified: (1) primary stability with stable bone-implant interlock and minimal micro-motion and (2) secondary osseointegration for long-term stability. An adequate surface finish, most commonly by porous coating, hydroxyapatite coating or grit blasted titanium, is considered important for bone ongrowth or ingrowth [22].
In our study only threaded acetabular components with a smooth surface treatment were used. The survival was considerably lower compared to contemporary designs with rough surface treatment. Just recently, long-term studies of uncemented grit-blasted threaded components have been published, proving long-term survival equal to the rates of hemispherical press-fit cups [13, 24, 26–28, 30, 32, 33]. The most likely cause of the high failure rates was an insufficient biological fixation due to the smooth surface treatment and a lack of osseointegration [9, 25]. We discontinued the use of smooth threaded components in 1993.
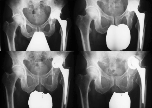
Surprisingly, aseptic loosening and migration did not lead to pain and impairment in many cases, even when massive bone loss was already evident. This scenario is particularly worrisome and, therefore, with this type of acetabular component, regular radiographic follow-up seems advisable to detect painless migration before severe bone loss can occur, necessitating more demanding revision surgery (Fig. 4).
Fig. 4.
Pelvic anteroposterior radiographs show fixation failure of a Mecring cup with continuous migration and massive bone loss. The patient noticed leg length discrepancy and only slight pain before revision surgery was performed
Our results show that in the seventh postoperative year revision rates rise, and consecutive annual radiographic follow-up is vital to prevent bone loss due to osteolysis and migration [21]. We conclude that smooth-threaded sockets do not provide satisfactory long-term outcome and should be abandoned. The rate of aseptic loosening and progressive bone loss remains alarmingly high even 15–20 years after the initial surgery.
References
- 1.Aldinger PR, Jung AW, Breusch SJ, Ewerbeck V, Parsch D (2009) Survival of the cementless Spotorno® stem in the second decade. Clin Orthop Relat Res. doi:10.1007/s11999-009-0906-7 [DOI] [PMC free article] [PubMed]
- 2.Aldinger PR, Jung AW, Pritsch M, Breusch S, Thomsen M, Ewerbeck V, Parsch D. Uncemented grit-blasted straight tapered titanium stems in patients younger than fifty-five years of age. Fifteen to twenty-year results. J Bone Joint Surg Am. 2009;91:1432–1439. doi: 10.2106/JBJS.H.00297. [DOI] [PubMed] [Google Scholar]
- 3.Aldinger PR, Sabo D, Pritsch M, Thomsen M, Mau H, Ewerbeck V, Breusch SJ. Pattern of periprosthetic bone remodeling around stable uncemented tapered hip stems: a prospective 84-month follow-up study and a median 156-month cross-sectional study with DXA. Calcif Tissue Int. 2003;73:115–121. doi: 10.1007/s00223-002-2036-z. [DOI] [PubMed] [Google Scholar]
- 4.Aldinger PR, Thomsen M, Lukoschek M, Mau H, Ewerbeck V, Breusch SJ. Long-term fate of uncemented, threaded acetabular components with smooth surface treatment: minimum 10-year follow-up of two different designs. Arch Orthop Trauma Surg. 2004;124:469–475. doi: 10.1007/s00402-004-0709-y. [DOI] [PubMed] [Google Scholar]
- 5.Bruijn JD, Seelen JL, Feenstra RM, Hansen BE, Bernoski FP. Failure of the Mecring screw-ring acetabular component in total hip arthroplasty. A three to seven-year follow-up study. J Bone Joint Surg Am. 1995;77:760–766. doi: 10.2106/00004623-199505000-00012. [DOI] [PubMed] [Google Scholar]
- 6.Capello WN, Colyer RA, Kernek CB, Carnahan JV, Hess JJ. Failure of the Mecron screw-in ring. J Bone Joint Surg Br. 1993;75:835–836. doi: 10.1302/0301-620X.75B5.8376454. [DOI] [PubMed] [Google Scholar]
- 7.Charnley J. Low friction arthroplasty of the hip: theory and practice. New York: Springer; 1979. [Google Scholar]
- 8.Delaunay C, Kapandji AI. Survival analysis of cementless grit-blasted titanium total hip arthroplasties. J Bone Joint Surg Br. 2001;83:408–413. doi: 10.1302/0301-620X.83B3.11164. [DOI] [PubMed] [Google Scholar]
- 9.Delaunay CP, Kapandji AI (1997) Acetabular screw rings and surface treatment. Clin Orthop Relat Res:130–141 [DOI] [PubMed]
- 10.DeLee JG, Charnley J (1976) Radiological demarcation of cemented sockets in total hip replacement. Clin Orthop Relat Res 121:20–32 [PubMed]
- 11.Effenberger H, Witzel U, Lintner F, Rieger W. Stress analysis of threaded cups. Int Orthop. 2001;25:228–235. doi: 10.1007/s002640100252. [DOI] [PMC free article] [PubMed] [Google Scholar]
- 12.Fox GM, McBeath AA, Heiner JP. Hip replacement with a threaded acetabular cup. A follow-up study. J Bone Joint Surg Am. 1994;76:195–201. doi: 10.2106/00004623-199402000-00005. [DOI] [PubMed] [Google Scholar]
- 13.Grubl A, Chiari C, Giurea A, Gruber M, Kaider A, Marker M, Zehetgruber H, Gottsauner-Wolf F. Cementless total hip arthroplasty with the rectangular titanium Zweymuller stem. A concise follow-up, at a minimum of fifteen years, of a previous report. J Bone Joint Surg Am. 2006;88:2210–2215. doi: 10.2106/JBJS.E.00810. [DOI] [PubMed] [Google Scholar]
- 14.Grubl A, Chiari C, Gruber M, Kaider A, Gottsauner-Wolf F (2002) Cementless total hip arthroplasty with a tapered, rectangular titanium stem and a threaded cup: a minimum ten-year follow-up. J Bone Joint Surg Am 84-A:425–431 [DOI] [PubMed]
- 15.Harris WH. Traumatic arthritis of the hip after dislocation and acetabular fractures: treatment by mold arthroplasty. An end-result study using a new method of result evaluation. J Bone Joint Surg Am. 1969;51:737–755. [PubMed] [Google Scholar]
- 16.Huiskes R. Finite element analysis of acetabular reconstruction. Noncemented threaded cups. Acta Orthop Scand. 1987;58:620–625. doi: 10.3109/17453678709146499. [DOI] [PubMed] [Google Scholar]
- 17.Inoue S, Kubo T, Maeda T, Hirakawa K, Koshino T, Wu Y, Ueshima K, Ogura T, Hirasawa Y. Minimum ten-year follow-up clinical and radiographic results of Mark I and Mark II Lord type femoral component in total hip arthroplasty. J Orthop Sci. 2001;6:327–332. doi: 10.1007/s007760100027. [DOI] [PubMed] [Google Scholar]
- 18.Kody MH, Kabo JM, Markolf KL, Dorey FJ, Amstutz HC (1990) Strength of initial mechanical fixation of screw ring acetabular components. Clin Orthop Relat Res 257:146–153 [PubMed]
- 19.Kubo T, Inoue S, Maeda T, Arai Y, Hirakawa K, Wu Y, Suehara H, Ogura T, Hirasawa Y. Cementless Lord total hip arthroplasty: cup loosening common after minimum 10-year follow-up of 103 hips. Acta Orthop Scand. 2001;72:585–590. doi: 10.1080/000164701317268996. [DOI] [PubMed] [Google Scholar]
- 20.Merle d'Aubigne R, Postel M. Functional results of hip arthroplasty with acrylic prosthesis. J Bone Joint Surg Am. 1954;35:451–475. [PubMed] [Google Scholar]
- 21.Morscher E, Schmassmann A. Failures of total hip arthroplasty and probable incidence of revision surgery in the future. Calculations according to a mathematical model based on a ten years' experience in total hip arthroplasty. . Arch Orthop Trauma Surg. 1983;101:137–143. doi: 10.1007/BF00433274. [DOI] [PubMed] [Google Scholar]
- 22.Morscher EW (1992) Current status of acetabular fixation in primary total hip arthroplasty. Clin Orthop Relat Res 274:172–193 [PubMed]
- 23.Murray DW, Carr AJ, Bulstrode C. Survival analysis of joint replacements. J Bone Joint Surg Br. 1993;75:697–704. doi: 10.1302/0301-620X.75B5.8376423. [DOI] [PubMed] [Google Scholar]
- 24.Pospischill M, Knahr K. Cementless total hip arthroplasty using a threaded cup and a rectangular tapered stem. Follow-up for ten to 17 years. J Bone Joint Surg Br. 2005;87:1210–1215. doi: 10.1302/0301-620X.87B9.16107. [DOI] [PubMed] [Google Scholar]
- 25.Pupparo F, Engh CA (1991) Comparison of porous-threaded and smooth-threaded acetabular components of identical design. Two- to four-year results. Clin Orthop Relat Res 271:201–206 [PubMed]
- 26.Reigstad O, Siewers P, Rokkum M, Espehaug B. Excellent long-term survival of an uncemented press-fit stem and screw cup in young patients: follow-up of 75 hips for 15–18 years. Acta Orthop. 2008;79:194–202. doi: 10.1080/17453670710014978. [DOI] [PubMed] [Google Scholar]
- 27.Reikeras O, Gunderson RB. Long-term results of HA coated threaded versus HA coated hemispheric press fit cups: 287 hips followed for 11 to 16 years. Arch Orthop Trauma Surg. 2006;126:503–508. doi: 10.1007/s00402-006-0176-8. [DOI] [PubMed] [Google Scholar]
- 28.Schuh A, Schraml A, Hohenberger G. Long-term results of the Wagner conical screw cup. Int Orthop. 2009;33:659–664. doi: 10.1007/s00264-008-0569-0. [DOI] [PMC free article] [PubMed] [Google Scholar]
- 29.Simank HG, Brocai DR, Reiser D, Thomsen M, Sabo D, Lukoschek M. Middle-term results of threaded acetabular cups. High failure rates five years after surgery. J Bone Joint Surg Br. 1997;79:366–370. doi: 10.1302/0301-620x.79b3.7273. [DOI] [PubMed] [Google Scholar]
- 30.Vervest TM, Anderson PG, Hout F, Wapstra FH, Louwerse RT, Koetsier JW. Ten to twelve-year results with the Zweymuller cementless total hip prosthesis. J Arthroplasty. 2005;20:362–368. doi: 10.1016/j.arth.2004.11.017. [DOI] [PubMed] [Google Scholar]
- 31.Xenakis TA, Gelalis J, Koukoubis TA, Zaharis KC, Soucacos PN (2001) Cementless hip arthroplasty in the treatment of patients with femoral head necrosis. Clin Orthop Relat Res 386:93–99 [DOI] [PubMed]
- 32.Zwartele R, Peters A, Brouwers J, Olsthoorn P, Brand R, Doets C. Long-term results of cementless primary total hip arthroplasty with a threaded cup and a tapered, rectangular titanium stem in rheumatoid arthritis and osteoarthritis. Int Orthop. 2008;32:581–587. doi: 10.1007/s00264-007-0383-0. [DOI] [PMC free article] [PubMed] [Google Scholar]
- 33.Zweymuller KA, Schwarzinger UM, Steindl MS. Radiolucent lines and osteolysis along tapered straight cementless titanium hip stems: a comparison of 6-year and 10-year follow-up results in 95 patients. Acta Orthop. 2006;77:871–876. doi: 10.1080/17453670610013150. [DOI] [PubMed] [Google Scholar]



