Abstract
Objective
To hypothesize that detailed examination of early cerebellar volumes over time would distinguish differences in cerebellar growth associated with intraventricular hemorrhage (IVH) and white matter injury (WMI) in preterm infants.
Study design
Preterm newborns at the University of California San Francisco (n=57) and the University of British Columbia (n=115) were studied using serial MRI scans near birth and again at near term-equivalent age. Interactive semi-automated tools were used to determine volumes of the cerebellar hemispheres.
Results
Adjusting for supratentorial brain injury, cerebellar hemorrhage, and study site, cerebellar volume increased 1.7cm3/week postmenstrual age (95% CI 1.6–1.7, P<0.001). More severe supratentorial IVH was associated with slower growth of cerebellar volumes (P<0.001). Volumes by 40 weeks were 1.4 cm3 lower in premature infants with grade 1–2 IVH and 5.4 cm3 lower with grade 3–4 IVH. The same magnitude of decrease was found between ipsilateral and contralateral IVH. No association was found with severity of WMI (P=0.3).
Conclusions
Early effects of decreased cerebellar volume associated with supratentorial IVH in either hemisphere may be a result of concurrent cerebellar injury or direct effects of subarachnoid blood on cerebellar development.
Keywords: preterm, neuroimaging, cerebellum, intraventricular hemorrhage
In 2005, 12.7% of all newborns were born prematurely in the US.[1] Premature birth is a significant risk factor for adverse motor, coordination, cognitive, and behavioural outcomes in survivors. Abnormal outcome is associated with increasing severity of white matter injury (WMI), intraventricular hemorrhage (IVH), and ventriculomegaly.[2]
The cerebellum helps to regulate motor tone, coordination, and cognitive function. Therefore, adverse outcomes from prematurity may also result from cerebellar dysfunction. Cerebellar development occurs from 4 weeks post-conception to 2 years postnatally, allowing for a large window for possible insults. The period of premature birth, from 24 to 37 weeks gestational age, is a period of dramatic growth and maturation for the cerebellum.[3, 4] Isolated cerebellar hemorrhage in the preterm period was associated with disability in motor, language, and cognitive domains.[5]
Cerebellar injury during prematurity may be direct (including direct cerebellar infarct or hemorrhage) or indirect, reflecting abnormal growth.[6] Decreased cerebellar volumes described in follow-up of individuals born preterm.[7, 8] Volumetric neuroimaging techniques at term-equivalent age or later have correlated decreased cerebellar volume with supratentorial WMI and IVH. Preterm neonates without supratentorial injury do not show reduced cerebellar volume.[9] Conversely, unilateral periventricular hemorrhagic infarction is associated with contralateral cerebellar volume loss, suggesting trophic interactions as a mechanism for the volumetric effects.[10] Diffusion tensor imaging studies during the preterm period show microstructural changes in the cerebellum associated with supratentorial IVH but not WMI, suggesting differential effects of supratentorial hemorrhage and hypoxia-ischemia on the cerebellum.[11]
Further study into the differential effects of supratentorial IVH and WMI will help to elucidate the different mechanisms of injury of the cerebellum in prematurity. The objective of this study is to characterize the growth and development of the cerebellum from the early postnatal period to term-equivalent age in a large cohort of premature newborns using advanced magnetic resonance brain imaging techniques in order to determine the relationship of this growth with supratentorial brain injury. It is hypothesized that, in the early preterm period, decreased cerebellar growth is more strongly associated with supratentorial IVH than with WMI.
Methods
A cohort of preterm neonates born between June 2006 and February 2009 admitted to the intensive care nurseries at the University of California San Francisco (UCSF, n=53) or the University of British Columbia (UBC, n=115) was studied. These patients were recruited under comparable ongoing research protocols at both institutions.[12, 13] Parents of prematurely born neonates (<33 weeks gestational age) were approached for enrolment in a prospective cohort study evaluating the detection of brain injury by MRI. Exclusion criteria were (1) clinical evidence of a congenital malformation or syndrome, (2) congenital TORCH infection, and (3) newborns too clinically unstable for transport to the MRI scanner. Parental consent was obtained following a protocol approved by both institutional human research committees. Custom MR-compatible incubators with specialized neonatal head coils were used to provide a quiet, well-monitored environment for the neonate, minimizing patient movement and improving the signal-to-noise ratio.[14] Subjects were imaged as soon after birth as clinically stable and again near term-equivalent age.
Brain imaging techniques
MRI scans were acquired using a 1.5-T scanner (General Electric Sigma; GE Medical Systems, Milwaukee, WI or Siemens Avanto; Siemens Medical Solutions USA Inc, Malvern, PA) and a specialized, high-sensitivity, neonatal head coil built into the MRI-compatible incubator (General Electric; GE Medical Systems, Milwaukee, WI or Lammers Medical Technologies; LMT Lammers Medical Technology, Luebeck, Germany). MRI scans at UCSF included axial spin-echo T2-weighted images (repetition time (TR), 3000ms; echo time (TE), 60,120ms; FOV, 240mm; gap, 2 mm) and sagittal volumetric 3-dimensional (3D) spoiled gradient echo T1-weighted images (TR, 36ms; TE, min; FOV, 180mm; slice thickness, 1.0mm; no gap). Scans at UBC included axial fast spin echo T2-weighted images (TR, 4610ms; TE, 107ms; FOV, 160mm; slice thickness, 4mm; gap, 0.2mm) and 3D coronal volumetric T1-weighted images (TR, 36ms; TE, 9.2ms; FOV, 200mm; slice thickness, 1mm; no gap). Volumetric data were reformatted for visualization in coronal, sagittal, and axial planes.
Cranial ultrasounds were performed as clinically indicated. Routine ultrasounds were obtained at 7 days of life and again at 4 weeks of life, or earlier if clinically indicated. Supratentorial injury, including IVH and WMI, was determined by a single pediatric neuroradiologist at each study site (AJB, KJP) blinded to patient history. All MRI sequences and head ultrasounds were evaluated for IVH using the grading system of Papile et al.[15] IVH was categorized as mild if there was subependymal germinal matrix hemorrhages or extension of hemorrhage into the ventricles without ventricular dilatation (grade 1 & 2). IVH was categorized as severe if associated with lateral ventricular dilatation or intraparenchymal hemorrhage (grade 3 & 4). MRI sequences were evaluated for WMI in each cerebral hemisphere using a clinically predictive scoring system previously shown to be associated with diffusion tensor imaging changes and spectroscopy on MRI[12, 13] as well as neurodevelopmental outcomes at 12–18 months of age as assessed by the Mental Development Index of the Bayley Scales of Infant Development II and a verified neuromotor outcome.[2] WMI was categorized as mild if there were ≤3 areas of T1 abnormality measuring ≤ 2mm. WMI was categorized as severe if there were > 3 areas of T1 abnormality or areas > 2mm. Cerebellar hemorrhage was defined as any visible blood of any age in the cerebellum on ultrasound or MRI. High inter- and intra-rater reliability of the use of these MRI scoring systems was previously reported, demonstrating reliability in classification by this scoring sytem [2, 13].
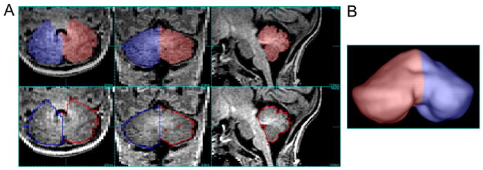
High-resolution T1-weighted SPGR sequences were used to perform 3D tracings of the cerebellar hemispheres using interactive semi-automated tools developed at UCSF (http://rview.colin-studholme.net). Tracings were performed by a single pediatric neurologist blinded to patient history (EWYT). Volumes were obtained by manual delineation of the cerebellum at each level using landmarks visualized in 3-dimensions (Figure 1). Cerebral spinal fluid spaces allowed delineation of the cerebellum from the surrounding structures. Each hemisphere was traced separately, divided midline at the vermis. This technique had excellent reproducibility when tested by performing 10 tracings in a blinded manner from five different scans, with an intraclass correlation coefficient of 0.99.
Figure 1.
Volumetric tracings of left and right cerebellar hemispheres superimposed on 3D T1-weighted SPGR MR images. A. Left (red) and right (blue) cerebellar hemispheres are shown in axial, coronal, and mid-sagittal planes on this MRI scan performed at 38 weeks postmenstrual age. B. Resultant 3D rendered image.
Statistical analysis
Statistical analysis was performed using Stata 10 (Stata Corporation, College Station, Texas). To investigate the association between supratentorial brain injury and cerebellar volume, a mixed random effects model with a random intercept for each child was used, permitting a multilevel correlation structure to account for the fact that serial MRI scans were performed on each subject.[16] The outcome variable was bilateral cerebellar volume, and the predictor variables were IVH and WMI. Adjustment was made for postmenstrual age at time of MRI, the presence of cerebellar hemorrhage, and study site. This model was used to determine the growth of the cerebellum over time, adjusting for supratentorial brain injury, and to determine the effect of supratentorial brain injury on cerebellar growth. Histograms of the residuals for each model conformed to a normal distribution.
To investigate whether the association between supratentorial brain injury and cerebellar volume was ipsilateral or contralateral, a mixed random effects model with a random intercept for each child and cerebellar hemisphere was used, accounting for hierarchy in the dataset, where each subject had two MRI scans and each MRI scan imaged two hemispheres. The outcome variable was ipsilateral cerebellar hemispheric volume, and the predictor variables were contralateral and ipsilateral supratentorial brain injury. Adjustment was made for postmenstrual age at time of MRI, the presence of ipsilateral intracerebellar blood, and study site.
Results
At the two study centers, 398 MRI scans were performed on a total of 172 preterm subjects (Table I). Particular differences between the two centers include older age at second scan and lower incidences of severe IVH, mild WMI, and cerebellar hemorrhage at the UBC site.
Table 1.
Subject demographics at the two study sites – University of California San Francisco (UCSF) and University of British Columbia (UBC). Intraventricular hemorrhage (IVH) and white matter injury (WMI) are categorized as described in text. Means are compared using the t-test and proportions are compared using the Fisher exact test.
| Site | UCSF | UBC | P-value |
|---|---|---|---|
| Subjects | 57 | 115 | |
| MRI scans | 92 | 206 | |
| Male sex | 27/57 (47%) | 55/115 (48%) | 0.9 |
| Gestational age at birth (weeks, mean ± SD) | 28.1 ± 2.2 | 27.8 ± 2.1 | 0.5 |
| Postmenstrual age at MRI (weeks, mean ± SD) | |||
| First scan | 31.7 ± 1.6 | 32.3 ± 3.3 | 0.3 |
| Second scan | 35.7 ± 2.2 | 40.5 ± 2.9 | <0.001 |
| Scans with IVH | |||
| Mild IVH | 27/92 (29%) | 51/206 (25%) | 0.5 |
| Severe IVH | 17/92 (18%) | 10/206 (5%) | <0.001 |
| Scans with WMI | |||
| Mild WMI | 16/92 (17%) | 16/206 (8%) | 0.02 |
| Severe WMI | 11/92 (12%) | 39/206 (18%) | 0.2 |
| Scans with cerebellar hemorrhage | 13/92 (14%) | 8/206 (4%) | 0.002 |
Effect of gestational age
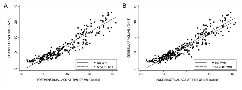
Mixed random effects models were used to adjust for the presence of supratentorial brain injury or cerebellar hemorrhage. Adjusting for the presence of supratentorial IVH or WMI, cerebellar hemorrhage, and study site, bilateral cerebellar volume increased at a rate of 1.68cm3 per week over the range of ages studied (95% CI 1.62 to 1.74cm3, P<0.001, Figure 2). In this regression model, there was no association between cerebellar volume and study site (P=0.95).
Figure 2.
Cerebellar volume as a function of postmenstrual age at time of MRI. A. Subjects with and without severe IVH. B. Subjects with and without severe WMI.
Effect of supratentorial brain injury
Adjusting for postmenstrual age at time of MRI and cerebellar hemorrhage, there was a significant association between cerebellar volume and the severity of IVH (test for trend P=0.0002), but no significant trend for severity of WMI (P=0.3). Considering that the parenchymal involvement of grade 4 IVH might complicate the classification of WMI, excluding subjects with grade 4 IVH did not change the findings of no significant association between cerebellar volume and severity of WMI (P=0.3). Significant interaction exists between the gestational age at the time of MRI and the severity of IVH (P=0.01 for mild IVH, P<0.001 for severe IVH). When comparing those with severe IVH and those without IVH, cerebellar volumes were the same at a postmenstrual age of 29.7 weeks (95% CI 26.2 to 33.2 weeks). At 40 weeks postmenstrual age, compared with those with no IVH, cerebellar volume is 1.4cm3 lower in those with mild IVH (95% CI −2.4 to −0.2cm3, P=0.01) and 5.4cm3 lower in those with severe IVH (95% CI −7.3 to −3.4cm3, P<0.001, Figure 2). If subjects with cerebellar hemorrhage are excluded from the analysis, with the remaining 277 scans, the association with severity of IVH remains strong (P=0.002), with cerebellar volume 1.3cm3 lower in those with mild IVH (95% CI −2.4 to −0.2cm3, P=0.02) and 5.3cm3 lower in those with severe IVH (95% CI −7.5 to −3.0cm3, P<0.001).
When studying cerebellar hemispheric volumes using a mixed random effects model, there is a significant test for trend for the association between cerebellar hemispheric volume and the severity of both ipsilateral (P=0.0001) and contralateral (P=0.001) IVH. At 40 weeks postmenstrual age, decreased cerebellar hemispheric volume is significantly associated with both ipsilateral and contralateral IVH, with no difference in the cerebellar volume changes between ipsilateral and contralateral IVH (Table II).
Table 2.
Decrease in cerebellar volume is associated with both contralateral and ipsilateral IVH. Coefficients represent the decrease in cerebellar hemispheric volume associated with IVH in cm3 by 40 weeks postmenstrual age.
| Coefficient | 95% CI | P-value | |
|---|---|---|---|
| Contralateral mild IVH | −0.76 | −1.14 to −0.37 | <0.001 |
| Contralateral severe IVH | −1.35 | −2.02 to −0.68 | <0.001 |
| Ipsilateral mild IVH | −0.76 | −1.15 to −0.38 | <0.001 |
| Ipsilateral severe IVH | −1.96 | −2.62 to −1.29 | <0.001 |
Considering that 10 scans were associated with bilateral severe IVH, subgroup analysis was performed excluding these scans to investigate the effect of unilateral severe IVH. Repeating the regression analysis on the remaining 288 scans, the test for trend was still significant for the association between cerebellar hemispheric volume and the severity of both ipsilateral (P=0.0002) and contralateral (P=0.001) IVH, with no difference in the cerebellar volume changes between ipsilateral and contralateral IVH.
Discussion
Cerebellar volume as measured by MRI increased at a constant rate from birth to term-equivalent age. However, in premature newborns with IVH, cerebellar growth was impaired. No association was found with WMI, suggesting novel mechanisms including the effects of blood products in the CSF and meningeal effects on cerebellar parenchymal development. Cerebellar volume increased at a constant rate after adjusting for brain injury, including IVH, WMI, and cerebellar hemorrhage. Of note, these results should only be used for prediction of cerebellar volumes during the preterm period, as this linear relationship may not continue later in development. These normative data are comparable with those previously reported at term equivalent age.[4] In addition, these results compare favorably to those reported for fetuses at the same gestational ages determined by ultrasound and MRI, suggesting that cerebellar growth in preterm newborns without significant supratentorial injury is similar to growth in utero.[17, 18]
Severity of IVH was inversely associated with cerebellar volumes, but WMI was not associated with any adverse effect on growth. These findings contrast with previous studies, which found decreased cerebellar volumes associated with both severe IVH and WMI.[9, 10, 19] In contrast with previous reports where MRIs were analyzed at term-equivalent age or later in life, this study analyzed serial MRIs during the preterm period. The results in this study also are in concordance with a previous study of cerebellar diffusion tensor imaging in preterm neonates, where changes in mean diffusivity and fractional anisotropy were associated with IVH but not WMI during the early preterm period.[11] Taken together, these results suggest differential mechanisms for effects on brain microstructural maturation and cerebellar growth patterns associated with IVH and WMI.
This study highlights that cerebellar volume changes can be appreciated much earlier than previously reported for term equivalent brains. One explanation for these early changes may be that of concurrent injury to the cerebellum during the onset of IVH in the preterm period. Another explanation may invoke the toxicity of blood breakdown products such as heme or iron in the cerebrospinal fluid (CSF) as a result of supratentorial hemorrhage. Prior case series have associated superficial siderosis after subarachnoid hemorrhage with cerebellar atrophy or malformation.[20–22] In rodent models, the neurotoxicity of blood products, including heme and free iron, wasreported after intraparenchymal or subarachnoid hemorrhage.[23–25] The absence of visible blood products in the basilar and pericerebellar cisterns on MRI in our study likely results from the size of the bleeds and the length of the interval between the hemorrhage and the time of imaging.
Because the germinal matrices of the cerebellum lie in the external granular layer (in close proximity to the subarachnoid space) and in the walls of the fourth ventricle, blood deposition in either location may affect generation of new cells and thereby slow the growth of the cerebellum or result in neuronal cell death. The external granular layer continues to be an active germinal zone through the first postnatal year.[26] Blood in the posterior fossa cisterns could affect cerebellar growth either by direct effects on these germinal matrices or on the surrounding mesenchyme.
The surrounding mesenchyme contributes to the development of the cerebellum. Early studies in newborn hamsters showed that destruction of the meningeal cells resulted in disruption of lamination of the cerebellar cortex and decreased cerebellar volumes, supporting the influence of the leptomeninges on cerebellar growth.[27] A knock-out of the Foxc1 gene, expressed only in the surrounding mesenchyme and not within the cerebellum, results in hypoplastic malformations in the cerebellum and anomalies of the surrounding cisterns in mice.[28] Cerebellar hemisphere volume reduction was equally associated with both ipsilateral and contralateral supratentorial IVH. This supports the possibility that blood in the CSF after IVH may be mediating the signals that result in decreased cerebellar volumes during the preterm period. Because CSF mixes in the third and fourth ventricles, exposing both cerebellar hemispheres to equivalent amounts of blood from each cerebral ventricle, it follows that both cerebellar hemispheres would come in contact with any blood in the CSF.
Because previous studies reported contralateral associations between severe IVH and decreased cerebellar volumes, we investigated whether or not subjects with bilateral severe IVH skewed the data. By performing a subgroup analysis excluding patients with bilateral severe IVH, associations were still not found to be contralateral. Excluding patients with bilateral severe IVH, cerebellar hemispheric volumes continued to be significantly associated with the severity of both ipsilateral and contralateral IVH.
Decreased contralateral cerebellar hemispheric volume was found to be associated with severe supratentorial parenchymal brain injury, resulting in contralateral associations that suggest diaschisis as a mechanism of volume loss.[10] In the current study examining cerebellar growth, bilateral impaired cerebellar growth was found in both mild and severe IVH, with more severe impairment seen with increasing severity of IVH. This supports three different mechanisms for impaired cerebellar growth with IVH – diaschisis after significant supratentorial parenchymal brain injury, bilateral cerebellar injury as a result of concurrent injury, or circulating blood products in the CSF. In addition, the finding of cerebellar involvement even in the face of mild IVH without significant supratentorial parenchymal involvement lends support to the hypothesis that blood products in the CSF impair cerebellar growth.
In contrast to IVH, WMI was not found to be associated with cerebellar volume changes in the early preterm period. As the postulated mechanisms of reduced cerebellar growth after IVH include both the effect of blood products in the CSF and diaschisis from supratentorial parenchymal brain injury, it is necessary to postulate a reason for the lack of association of cerebellar volume loss with WMI. One possible reason is milder WMI in our cohort compared with those previously reported[19]. Our scoring system is based upon detection of small, focal areas of mild T1 hyperintensity in the cerebral white matter on early postnatal MRI studies. These lesions are more difficult to detect on term-equivalent studies. Other studies at term have thus based the diagnosis of WMI on signal abnormalities as well as cerebral volume loss, which likely represent more severe injury. Thus, the milder degree of WMI in this cohort may explain the different findings regarding WMI and cerebellar growth compared with previous reports. This difference, however, has allowed better appreciation of the effects of IVH upon cerebellar growth.
Although our results highlight associations with IVH, further MRI studies on healthy term babies will help to determine if preterm birth itself affects cerebellar growth. In addition, long-term neurodevelopmental follow-up of these subjects is underway, which will help decide the clinical implications of impaired cerebellar growth.
By comparing the effects of IVH and WMI, this study demonstrates novel associations between supratentorial IVH without parenchymal injury and decreased cerebellar volumes. These novel mechanisms for impairment of cerebellar growth associated with supratentorial brain injury, including the effects of blood products in the CSF on the developing cerebellum and meninges that may secondarily affect cerebellar parenchymal development, highlight previously unknown risk factors and potential targets for future therapies.
Acknowledgments
Supported by NIH R01 NS346432, NIH/NCRR UCSF-CTSI (grant UL1 RR024131), and CIHR CHI 151135. E.T. is a Cerebral Palsy International Research Foundation Ethel & Jack Hausman Clinical Research Scholar. S.M. is a Canadian Institutes for Health Research Clinician Scientist and Michael Smith Foundation for Health Research Scholar.
Abbreviations
- IVH
intraventricular hemorrhage
- WMI
white matter injury
Footnotes
The authors declare no conflicts of interest.
Reprints: None requested
Publisher's Disclaimer: This is a PDF file of an unedited manuscript that has been accepted for publication. As a service to our customers we are providing this early version of the manuscript. The manuscript will undergo copyediting, typesetting, and review of the resulting proof before it is published in its final citable form. Please note that during the production process errors may be discovered which could affect the content, and all legal disclaimers that apply to the journal pertain.
References
- 1.Martin JA, Hamilton BE, Sutton PD, Ventura SJ, Maenacker F, Kirmeyer S, et al. Births: Final Data for 2005. National Vital Statistics Reports. 2007;56:1–104. [PubMed] [Google Scholar]
- 2.Miller SP, Ferriero DM, Leonard C, Piecuch R, Glidden DV, Partridge JC, et al. Early brain injury in premature newborns detected with magnetic resonance imaging is associated with adverse early neurodevelopmental outcome. Journal of Pediatrics. 2005;147:609–16. doi: 10.1016/j.jpeds.2005.06.033. [DOI] [PubMed] [Google Scholar]
- 3.Dobbing J, Sands J. Quantitative growth and development of human brain. Arch Dis Child. 1973;48:757–67. doi: 10.1136/adc.48.10.757. [DOI] [PMC free article] [PubMed] [Google Scholar]
- 4.Limperopoulos C, Soul JS, Gauvreau K, Huppi PS, Warfield SK, Bassan H, et al. Late gestation cerebellar growth is rapid and impeded by premature birth. Pediatrics. 2005;115:688–95. doi: 10.1542/peds.2004-1169. [DOI] [PubMed] [Google Scholar]
- 5.Limperopoulos C, Bassan H, Gauvreau K, Robertson RL, Jr, Sullivan NR, Benson CB, et al. Does cerebellar injury in premature infants contribute to the high prevalence of long-term cognitive, learning, and behavioral disability in survivors? Pediatrics. 2007;120:584–93. doi: 10.1542/peds.2007-1041. [DOI] [PubMed] [Google Scholar]
- 6.Volpe JJ. Cerebellum of the premature infant: rapidly developing, vulnerable, clinically important. J Child Neurol. 2009;24:1085–104. doi: 10.1177/0883073809338067. [DOI] [PMC free article] [PubMed] [Google Scholar]
- 7.Mercuri H, He J, Curati WL, Dubowitz LM, Cowan FM, Bydder GM. Cerebellar infarction and atrophy in infants and children with a history of premature birth. Pediatr Radiol. 1997;27:139–43. doi: 10.1007/s002470050085. [DOI] [PubMed] [Google Scholar]
- 8.Messerschmidt A, Brugger PC, Boltshauser E, Zoder G, Sterniste W, Birnbacher R, et al. Disruption of cerebellar development: potential complication of extreme prematurity. AJNR Am J Neuroradiol. 2005;26:1659–67. [PMC free article] [PubMed] [Google Scholar]
- 9.Srinivasan L, Allsop J, Counsell SJ, Boardman JP, Edwards AD, Rutherford M. Smaller cerebellar volumes in very preterm infants at term-equivalent age are associated with the presence of supratentorial lesions. AJNR Am J Neuroradiol. 2006;27:573–9. [PMC free article] [PubMed] [Google Scholar]
- 10.Limperopoulos C, Soul JS, Haidar H, Huppi PS, Bassan H, Warfield SK, et al. Impaired trophic interactions between the cerebellum and the cerebrum among preterm infants. Pediatrics. 2005;116:844–50. doi: 10.1542/peds.2004-2282. [DOI] [PubMed] [Google Scholar]
- 11.Tam EWY, Ferriero DM, Xu D, Berman JI, Vigneron DB, Barkovich AJ, et al. Cerebellar development in the preterm neonate: effect of supratentorial brain injury. Pediatric Research. 2009;66:102–6. doi: 10.1203/PDR.0b013e3181a1fb3d. [DOI] [PMC free article] [PubMed] [Google Scholar]
- 12.Miller SP, Vigneron DB, Henry RG, Bohland MA, Ceppi-Cozzio C, Hoffman C, et al. Serial quantitative diffusion tensor MRI of the premature brain: development in newborns with and without injury. J Magn Reson Imaging. 2002;16:621–32. doi: 10.1002/jmri.10205. [DOI] [PubMed] [Google Scholar]
- 13.Chau V, Poskitt KJ, McFadden DE, Bowen-Roberts T, Synnes A, Brant R, et al. Effect of chorioamnionitis on brain development and injury in premature newborns. Ann Neurol. 2009;66:155–64. doi: 10.1002/ana.21713. [DOI] [PubMed] [Google Scholar]
- 14.Partridge SC, Mukherjee P, Berman JI, Henry RG, Miller SP, Lu Y, et al. Tractography-based quantitation of diffusion tensor imaging parameters in white matter tracts of preterm newborns. J Magn Reson Imaging. 2005;22:467–74. doi: 10.1002/jmri.20410. [DOI] [PubMed] [Google Scholar]
- 15.Papile LA, Burstein J, Burstein R, Koffler H. Incidence and evolution of subependymal and intraventricular hemorhage: a study of infants with birth weights less than 1,500 gm. J Pediatr. 1978;92:529–34. doi: 10.1016/s0022-3476(78)80282-0. [DOI] [PubMed] [Google Scholar]
- 16.Laird NM, Ware JH. Random-Effects Models for Longitudinal Data. Biometrics. 1982;38:963–74. [PubMed] [Google Scholar]
- 17.Chang CH, Chang FM, Yu CH, Ko HC, Chen HY. Assessment of fetal cerebellar volume using three-dimensional ultrasound. Ultrasound Med Biol. 2000;26:981–8. doi: 10.1016/s0301-5629(00)00225-8. [DOI] [PubMed] [Google Scholar]
- 18.Hatab MR, Kamourieh SW, Twickler DM. MR volume of the fetal cerebellum in relation to growth. J Magn Reson Imaging. 2008;27:840–5. doi: 10.1002/jmri.21290. [DOI] [PubMed] [Google Scholar]
- 19.Shah DK, Anderson PJ, Carlin JB, Pavlovic M, Howard K, Thompson DK, et al. Reduction in cerebellar volumes in preterm infants: relationship to white matter injury and neurodevelopment at two years of age. Pediatric Research. 2006;60:97–102. doi: 10.1203/01.pdr.0000220324.27597.f0. [DOI] [PubMed] [Google Scholar]
- 20.Janss AJ, Galetta SL, Freese A, Raps EC, Curtis MT, Grossman RI, et al. Superficial siderosis of the central nervous system: magnetic resonance imaging and pathological correlation. Case report. J Neurosurg. 1993;79:756–60. doi: 10.3171/jns.1993.79.5.0756. [DOI] [PubMed] [Google Scholar]
- 21.Bracchi M, Savoiardo M, Triulzi F, Daniele D, Grisoli M, Bradac GB, et al. Superficial siderosis of the CNS: MR diagnosis and clinical findings. AJNR Am J Neuroradiol. 1993;14:227–36. [PMC free article] [PubMed] [Google Scholar]
- 22.Castro Conde JR, Martinez ED, Rodriguez RC, Rodriguez De Hoyos AL. CNS siderosis and dandy-walker variant after neonatal alloimmune thrombocytopenia. Pediatr Neurol. 2005;32:346–9. doi: 10.1016/j.pediatrneurol.2004.11.008. [DOI] [PubMed] [Google Scholar]
- 23.Yan J, Chen C, Hu Q, Yang X, Lei J, Yang L, et al. The role of p53 in brain edema after 24 h of experimental subarachnoid hemorrhage in a rat model. Exp Neurol. 2008 doi: 10.1016/j.expneurol.2008.07.006. [DOI] [PubMed] [Google Scholar]
- 24.Nakamura T, Keep RF, Hua Y, Schallert T, Hoff JT, Xi G. Deferoxamine-induced attenuation of brain edema and neurological deficits in a rat model of intracerebral hemorrhage. J Neurosurg. 2004;100:672–8. doi: 10.3171/jns.2004.100.4.0672. [DOI] [PubMed] [Google Scholar]
- 25.Grojean S, Koziel V, Vert P, Daval JL. Bilirubin induces apoptosis via activation of NMDA receptors in developing rat brain neurons. Exp Neurol. 2000;166:334–41. doi: 10.1006/exnr.2000.7518. [DOI] [PubMed] [Google Scholar]
- 26.Barkovich AJ, Millen KJ, Dobyns WB. A developmental and genetic classification for midbrain-hindbrain malformations. Brain. 2009;132:3199–230. doi: 10.1093/brain/awp247. [DOI] [PMC free article] [PubMed] [Google Scholar]
- 27.von Knebel Doeberitz C, Sievers J, Sadler M, Pehlemann FW, Berry M, Halliwell P. Destruction of meningeal cells over the newborn hamster cerebellum with 6-hydroxydopamine prevents foliation and lamination in the rostral cerebellum. Neuroscience. 1986;17:409–26. doi: 10.1016/0306-4522(86)90256-3. [DOI] [PubMed] [Google Scholar]
- 28.Aldinger KA, Lehmann OJ, Hudgins L, Chizhikov VV, Bassuk AG, Ades LC, et al. FOXC1 is required for normal cerebellar development and is a major contributor to chromosome 6p25.3 Dandy-Walker malformation. Nat Genet. 2009;41:1037–42. doi: 10.1038/ng.422. [DOI] [PMC free article] [PubMed] [Google Scholar]


