Abstract
The essential role of urokinase-type plasminogen activator (uPA) in tumor invasion and metastasis stresses the necessity of a fine-tuned cellular control over its expression. It has been shown that changes in uPA directly correlate with changes in cell invasiveness. We examined the role of Rel-related proteins in uPA synthesis by human ovarian cancer cells by inhibiting their expression using the antisense (AS) oligodeoxynucleotide (ODN) technology. Exposure of OV-MZ-6 cells to 10 microM phosphorothioate (PS)-derivatized AS-ODN directed to Rel A led to a maximal 50% decrease of uPA antigen in cell lysates and a 70% reduction in cell cultures supernatants accompanied by a significant transient decline in uPA mRNA levels. Antisense-PS-ODN directed to NF-kappa B1 (p50) or c-rel had no effect on uPA protein expression. AS-PS-ODN directed to Rel A also affected the proteolytic capacity of OV-MZ-6 cells reflected by an approximately 70% decrease in the fibrinolytic capacity of the cells within 24 h compared to untreated controls. AS-PS-ODN directed to I kappa B alpha expression increased uPA in cell culture supernatants up to 50%. uPA receptor (uPAR) production and synthesis of plasminogen activator inhibitor type-1 (PAI-1) were not altered by either AS-PS-ODN applied. Western blot and gel retardation analyses revealed constitutive expression of Rel-related proteins in nuclear protein extracts of OV-MZ-6 cells. Thus these proteins seem to be implicated in uPA regulation and may thereby contribute to tumor spread and metastasis.
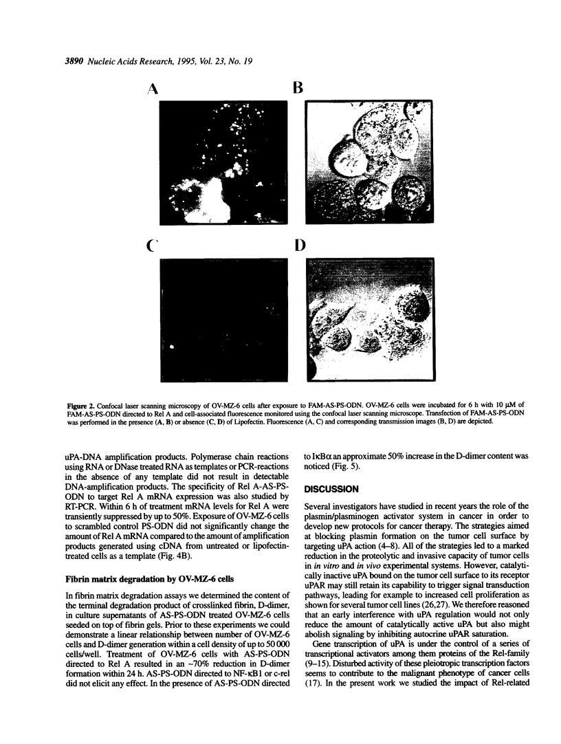
Full text
PDF






Images in this article
Selected References
These references are in PubMed. This may not be the complete list of references from this article.
- Beauparlant P., Kwan I., Bitar R., Chou P., Koromilas A. E., Sonenberg N., Hiscott J. Disruption of I kappa B alpha regulation by antisense RNA expression leads to malignant transformation. Oncogene. 1994 Nov;9(11):3189–3197. [PubMed] [Google Scholar]
- Blasi F. Urokinase and urokinase receptor: a paracrine/autocrine system regulating cell migration and invasiveness. Bioessays. 1993 Feb;15(2):105–111. doi: 10.1002/bies.950150206. [DOI] [PubMed] [Google Scholar]
- Burgess T. L., Fisher E. F., Ross S. L., Bready J. V., Qian Y. X., Bayewitch L. A., Cohen A. M., Herrera C. J., Hu S. S., Kramer T. B. The antiproliferative activity of c-myb and c-myc antisense oligonucleotides in smooth muscle cells is caused by a nonantisense mechanism. Proc Natl Acad Sci U S A. 1995 Apr 25;92(9):4051–4055. doi: 10.1073/pnas.92.9.4051. [DOI] [PMC free article] [PubMed] [Google Scholar]
- Cannio R., Rennie P. S., Blasi F. A cell-type specific and enhancer-dependent silencer in the regulation of the expression of the human urokinase plasminogen activator gene. Nucleic Acids Res. 1991 May 11;19(9):2303–2308. doi: 10.1093/nar/19.9.2303. [DOI] [PMC free article] [PubMed] [Google Scholar]
- Chomczynski P., Sacchi N. Single-step method of RNA isolation by acid guanidinium thiocyanate-phenol-chloroform extraction. Anal Biochem. 1987 Apr;162(1):156–159. doi: 10.1006/abio.1987.9999. [DOI] [PubMed] [Google Scholar]
- Crowley C. W., Cohen R. L., Lucas B. K., Liu G., Shuman M. A., Levinson A. D. Prevention of metastasis by inhibition of the urokinase receptor. Proc Natl Acad Sci U S A. 1993 Jun 1;90(11):5021–5025. doi: 10.1073/pnas.90.11.5021. [DOI] [PMC free article] [PubMed] [Google Scholar]
- Cubellis M. V., Wun T. C., Blasi F. Receptor-mediated internalization and degradation of urokinase is caused by its specific inhibitor PAI-1. EMBO J. 1990 Apr;9(4):1079–1085. doi: 10.1002/j.1460-2075.1990.tb08213.x. [DOI] [PMC free article] [PubMed] [Google Scholar]
- Dash P., Lotan I., Knapp M., Kandel E. R., Goelet P. Selective elimination of mRNAs in vivo: complementary oligodeoxynucleotides promote RNA degradation by an RNase H-like activity. Proc Natl Acad Sci U S A. 1987 Nov;84(22):7896–7900. doi: 10.1073/pnas.84.22.7896. [DOI] [PMC free article] [PubMed] [Google Scholar]
- Eckstein F. Nucleoside phosphorothioates. Annu Rev Biochem. 1985;54:367–402. doi: 10.1146/annurev.bi.54.070185.002055. [DOI] [PubMed] [Google Scholar]
- Ginsburg D., Zeheb R., Yang A. Y., Rafferty U. M., Andreasen P. A., Nielsen L., Dano K., Lebo R. V., Gelehrter T. D. cDNA cloning of human plasminogen activator-inhibitor from endothelial cells. J Clin Invest. 1986 Dec;78(6):1673–1680. doi: 10.1172/JCI112761. [DOI] [PMC free article] [PubMed] [Google Scholar]
- Grilli M., Chiu J. J., Lenardo M. J. NF-kappa B and Rel: participants in a multiform transcriptional regulatory system. Int Rev Cytol. 1993;143:1–62. doi: 10.1016/s0074-7696(08)61873-2. [DOI] [PubMed] [Google Scholar]
- Hansen S. K., Nerlov C., Zabel U., Verde P., Johnsen M., Baeuerle P. A., Blasi F. A novel complex between the p65 subunit of NF-kappa B and c-Rel binds to a DNA element involved in the phorbol ester induction of the human urokinase gene. EMBO J. 1992 Jan;11(1):205–213. doi: 10.1002/j.1460-2075.1992.tb05043.x. [DOI] [PMC free article] [PubMed] [Google Scholar]
- Higgins K. A., Perez J. R., Coleman T. A., Dorshkind K., McComas W. A., Sarmiento U. M., Rosen C. A., Narayanan R. Antisense inhibition of the p65 subunit of NF-kappa B blocks tumorigenicity and causes tumor regression. Proc Natl Acad Sci U S A. 1993 Nov 1;90(21):9901–9905. doi: 10.1073/pnas.90.21.9901. [DOI] [PMC free article] [PubMed] [Google Scholar]
- Kamano H., Tanaka T., Yamaji Y., Ikeda K., Hata Y., Shiotani T., Ishida T., Takahara J., Irino S. E. coli gpt gene expression effects on K562 human leukemia cell proliferation and erythroid differentiation altered by mycophenolic acid. Biochem Int. 1992 Mar;26(3):537–543. [PubMed] [Google Scholar]
- Kirchheimer J. C., Christ G., Binder B. R. Growth stimulation of human epidermal cells by urokinase is restricted to the intact active enzyme. Eur J Biochem. 1989 Apr 15;181(1):103–107. doi: 10.1111/j.1432-1033.1989.tb14699.x. [DOI] [PubMed] [Google Scholar]
- Kirchheimer J. C., Wojta J., Christ G., Binder B. R. Proliferation of a human epidermal tumor cell line stimulated by urokinase. FASEB J. 1987 Aug;1(2):125–128. doi: 10.1096/fasebj.1.2.3038646. [DOI] [PubMed] [Google Scholar]
- Kitajima I., Shinohara T., Bilakovics J., Brown D. A., Xu X., Nerenberg M. Ablation of transplanted HTLV-I Tax-transformed tumors in mice by antisense inhibition of NF-kappa B. Science. 1992 Dec 11;258(5089):1792–1795. doi: 10.1126/science.1299224. [DOI] [PubMed] [Google Scholar]
- Matsukura M., Shinozuka K., Zon G., Mitsuya H., Reitz M., Cohen J. S., Broder S. Phosphorothioate analogs of oligodeoxynucleotides: inhibitors of replication and cytopathic effects of human immunodeficiency virus. Proc Natl Acad Sci U S A. 1987 Nov;84(21):7706–7710. doi: 10.1073/pnas.84.21.7706. [DOI] [PMC free article] [PubMed] [Google Scholar]
- Menoud P. A., Matthies R., Hofsteenge J., Nagamine Y. Purification and cDNA cloning of a transcription factor which functionally cooperates within a cAMP regulatory unit in the porcine uPA gene. Nucleic Acids Res. 1993 Apr 25;21(8):1845–1852. doi: 10.1093/nar/21.8.1845. [DOI] [PMC free article] [PubMed] [Google Scholar]
- Möbus V., Gerharz C. D., Press U., Moll R., Beck T., Mellin W., Pollow K., Knapstein P. G., Kreienberg R. Morphological, immunohistochemical and biochemical characterization of 6 newly established human ovarian carcinoma cell lines. Int J Cancer. 1992 Aug 19;52(1):76–84. doi: 10.1002/ijc.2910520115. [DOI] [PubMed] [Google Scholar]
- Narayanan R., Lawlor K. G., Schaapveld R. Q., Cho K. R., Vogelstein B., Bui-Vinh Tran P., Osborne M. P., Telang N. T. Antisense RNA to the putative tumor-suppressor gene DCC transforms Rat-1 fibroblasts. Oncogene. 1992 Mar;7(3):553–561. [PubMed] [Google Scholar]
- Neish A. S., Williams A. J., Palmer H. J., Whitley M. Z., Collins T. Functional analysis of the human vascular cell adhesion molecule 1 promoter. J Exp Med. 1992 Dec 1;176(6):1583–1593. doi: 10.1084/jem.176.6.1583. [DOI] [PMC free article] [PubMed] [Google Scholar]
- Nerlov C., Rørth P., Blasi F., Johnsen M. Essential AP-1 and PEA3 binding elements in the human urokinase enhancer display cell type-specific activity. Oncogene. 1991 Sep;6(9):1583–1592. [PubMed] [Google Scholar]
- Novak U., Cocks B. G., Hamilton J. A. A labile repressor acts through the NFkB-like binding sites of the human urokinase gene. Nucleic Acids Res. 1991 Jun 25;19(12):3389–3393. doi: 10.1093/nar/19.12.3389. [DOI] [PMC free article] [PubMed] [Google Scholar]
- Ossowski L., Reich E. Antibodies to plasminogen activator inhibit human tumor metastasis. Cell. 1983 Dec;35(3 Pt 2):611–619. doi: 10.1016/0092-8674(83)90093-4. [DOI] [PubMed] [Google Scholar]
- Quattrone A., Fibbi G., Anichini E., Pucci M., Zamperini A., Capaccioli S., Del Rosso M. Reversion of the invasive phenotype of transformed human fibroblasts by anti-messenger oligonucleotide inhibition of urokinase receptor gene expression. Cancer Res. 1995 Jan 1;55(1):90–95. [PubMed] [Google Scholar]
- Rathbone M. P., Middlemiss P. J., Gysbers J. W., DeForge S., Costello P., Del Maestro R. F. Purine nucleosides and nucleotides stimulate proliferation of a wide range of cell types. In Vitro Cell Dev Biol. 1992 Jul-Aug;28A(7-8):529–536. doi: 10.1007/BF02634137. [DOI] [PubMed] [Google Scholar]
- Riccio A., Grimaldi G., Verde P., Sebastio G., Boast S., Blasi F. The human urokinase-plasminogen activator gene and its promoter. Nucleic Acids Res. 1985 Apr 25;13(8):2759–2771. doi: 10.1093/nar/13.8.2759. [DOI] [PMC free article] [PubMed] [Google Scholar]
- Ruben S. M., Dillon P. J., Schreck R., Henkel T., Chen C. H., Maher M., Baeuerle P. A., Rosen C. A. Isolation of a rel-related human cDNA that potentially encodes the 65-kD subunit of NF-kappa B. Science. 1991 Mar 22;251(5000):1490–1493. doi: 10.1126/science.2006423. [DOI] [PubMed] [Google Scholar]
- Rørth P., Nerlov C., Blasi F., Johnsen M. Transcription factor PEA3 participates in the induction of urokinase plasminogen activator transcription in murine keratinocytes stimulated with epidermal growth factor or phorbol-ester. Nucleic Acids Res. 1990 Sep 11;18(17):5009–5017. doi: 10.1093/nar/18.17.5009. [DOI] [PMC free article] [PubMed] [Google Scholar]
- Schlechte W., Murano G., Boyd D. Examination of the role of the urokinase receptor in human colon cancer mediated laminin degradation. Cancer Res. 1989 Nov 1;49(21):6064–6069. [PubMed] [Google Scholar]
- Sokoloski J. A., Sartorelli A. C., Rosen C. A., Narayanan R. Antisense oligonucleotides to the p65 subunit of NF-kappa B block CD11b expression and alter adhesion properties of differentiated HL-60 granulocytes. Blood. 1993 Jul 15;82(2):625–632. [PubMed] [Google Scholar]
- Stein C. A., Cheng Y. C. Antisense oligonucleotides as therapeutic agents--is the bullet really magical? Science. 1993 Aug 20;261(5124):1004–1012. doi: 10.1126/science.8351515. [DOI] [PubMed] [Google Scholar]
- Wagner R. W. Gene inhibition using antisense oligodeoxynucleotides. Nature. 1994 Nov 24;372(6504):333–335. doi: 10.1038/372333a0. [DOI] [PubMed] [Google Scholar]
- Wilhelm O., Schmitt M., Höhl S., Senekowitsch R., Graeff H. Antisense inhibition of urokinase reduces spread of human ovarian cancer in mice. Clin Exp Metastasis. 1995 Jul;13(4):296–302. doi: 10.1007/BF00133485. [DOI] [PubMed] [Google Scholar]
- Wilhelm O., Weidle U., Höhl S., Rettenberger P., Schmitt M., Graeff H. Recombinant soluble urokinase receptor as a scavenger for urokinase-type plasminogen activator (uPA). Inhibition of proliferation and invasion of human ovarian cancer cells. FEBS Lett. 1994 Jan 10;337(2):131–134. doi: 10.1016/0014-5793(94)80259-9. [DOI] [PubMed] [Google Scholar]


