Abstract
Histone acetyltransferases (HATs) are important to gene activation, altering chromatin structures to facilitate association of transcription proteins with gene promoters. The functions of individual HATs in mammalian developmental are not well defined. Our previous studies demonstrated that Gcn5, a prototypical HAT, is required for mesodermal maintenance in early embryos. Homozygous Gcn5 null embryos die soon after gastrulation, preventing determination of Gcn5 functions later during development. We report here the creation of a Gcn5flox(neo) allele, which is only partially functional and gives rise to a hypomorphic phenotype. Mice homozygous for this allele had an increased risk of cranial neural tube closure defects (NTDs) and exencephaly. These defects were found at an even greater penetrance in Gcn5flox(neo)/Δ embryos. These results indicate that normal levels of Gcn5 expression are critical for neural tube closure in mice and predict that mutations in this HAT may be associated with increased risk of NTDs in humans.
Keywords: histone, acetyltransferase, exencephaly, chromatin, embryo
INTRODUCTION
Regulation of gene transcription in eukaryotes involves multiple modes of chromatin remodeling, including covalent post-translational modifications of histones, alterations in nucleosome positions, and incorporation of histone variants. One of the most prevalent histone modifications is lysine acetylation, which affects chromatin folding as well as interactions of regulatory factors with chromatin. Altered histone acetylation states result from increased or decreased action of opposing histone acetyltransferase (HAT) and histone deacetylase (HDAC) enzymes. In general, higher levels of histone acetylation are associated with active chromatin whereas histone hypoacetylation is associated with repressed or silenced transcription (Fischle et al., 2001; Roth et al., 2001; Freiman and Tjian, 2003).
Given its functions in gene regulation, histone acetylation likely plays an essential role in directing dynamically changing transcription programs during mammalian development. The phenotypes of mouse mutants deficient for particular HATs or HDACs confirm the importance of these enzymes during embryogenesis. For example, class I HDACs limit tissue differentiation (Tou et al., 2004) and class II HDACs are central modulators of cell proliferation and growth (Zhang et al., 2002; Chang et al., 2004; Vega et al., 2004). Disruption of genes encoding the p300, CBP, or Gcn5 HATs causes embryos to die at mid-gestation (Yao et al., 1998; Xu et al., 2000). Heart development is abnormal in p300 or CBP null embryos, and cell proliferation is defective (Yao et al., 1998). Both p300 and CBP deficient embryos exhibit exencephaly (Yao et al., 1998; Oike et al., 1999). However, reduced dosage of CBP, but not p300, limits hematopoiesis (Kung et al., 2000). These HATs, then, have both shared and unique functions.
Gcn5 deficient mice are malformed by E8.5 and die by E11.0, whereas mice lacking the highly related PCAF HAT are viable with no obvious abnormalities (Xu et al., 2000; Yamauchi et al., 2000). Gcn5 PCAF double mutants die much earlier than Gcn5 single mutants (Xu et al., 2000), indicating that PCAF shares some redundant functions with Gcn5 early during embryogenesis. Interestingly, Gcn5 and PCAF proteins each interact physically with p300 and CBP (Xu et al., 1998). Although mice heterozygous for either a Gcn5 or a p300 null allele are viable, Gcn5 p300 double heterozygotes exhibit reduced viability, confirming these HATs share some essential functions (Phan et al., 2005).
Chromatin modifiers may be particularly important during the process of neurulation. Over expression of ATRX, which encodes a member of the SWI/SNF family of ATP-dependent chromatin remodelers, causes variable neural tube defects (NTDs) in mice (Picketts et al., 1996; Berube et al., 2002). Mice harboring mutations in other Swi/Snf type complexes, including Brg1 (Bultman et al., 2000),. Srg3, and CECR2 (Banting et al., 2005), also exhibit NTDs, indicating that multiple ATP-dependent chromatin remodeling complexes are involved in neural development. Specific HATs and their binding proteins are also essential for this process. Cited2, which interacts with p300 and CBP, is required for the neural tube closure at the forebrain-midbrain boundary (Bamforth et al., 2001; Barbera et al., 2002). Cited2 mutants, like p300 and p300/CBP double mutants, exhibit NTDs (Greene and Copp, 2005).
Our previous work indicated that Gcn5 is required for early embryogenesis and that it shares functions with p300 during development (Xu et al., 2000; Phan et al., 2005). We have also shown that mouse embryos homozygous for point mutations in Gcn5 that eliminate its acetyltransferase activity exhibit defects in cranial neural tube closure and die by E16.0 (Bu et al., 2007). Here we demonstrate that mice bearing a hypomorphic Gcn5 mutation survive to term with increased incidence of neural tube closure defects and exencephaly. Thus, we have created an allelic series of Gcn5 mutations that indicate both proper expression and activity of Gcn5 is required for normal anterior neural tube closure in the mouse.
RESULTS
Generation of mice bearing Gcn5flox(neo), Gcn5flox or Gcn5Δex3-18 alleles
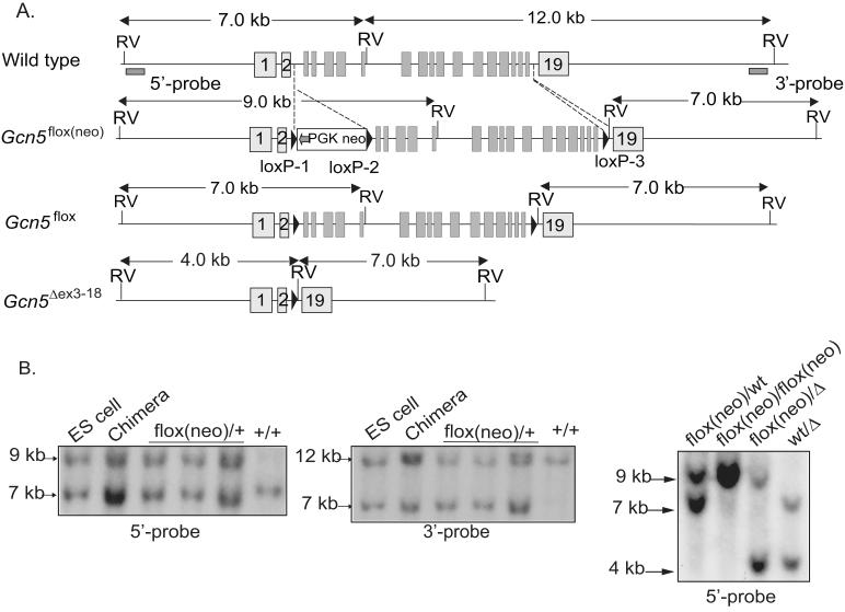
To investigate the functions of Gcn5 at later times during development, we generated a Gcn5 conditional null allele. The Gcn5 protein contains at least two important domains, a catalytic acetyltransferase (AT) domain and a bromodomain. The sequences that encode the AT domain are located in exons 10 to 13, and the sequences encoding the bromodomain are located in the C-terminal region of Gcn5. In our conditional null allele, we inserted site-specific loxP recombination signals in the second and last introns of the Gcn5 gene (Fig. 1A) (Xu et al., 2000; Lin et al., 2007). This allele is very similar to one we reported previously (Lin et al, 2007) except for placement of the 3′ most loxP site upstream of exon 19. Successful targeting of this Gcn5flox(neo) vector into the Gcn5 locus in ES cells was confirmed by Southern blot (Fig. 1B). At least two ES cell clones were used to generate chimeric mice bearing this allele, which were then bred with wild-type mice to generate heterozygous progeny, also confirmed by Southern blot (Fig. 1B). Mice generated from both ES cell clones had identical phenotypes.
Fig 1.
Generation of mice bearing mutant Gcn5 alleles.
(A) Diagrams depicting structures of the wild-type Gcn5 locus, the Gcn5flox(neo) allele, the conditional Gcn5flox allele, and the null Gcn5Δex3-18 allele. The locations of loxP site-specific recombination sites and neomycin resistance cassette (neo) are indicated; EV, EcoRV restriction site. (B). Left and center panels show representative Southern blots to identify correctly targeted ES cell clones, chimeric mice, and mice heterozygous for the Gcn5flox(neo) allele. The right hand panel shows a representative blot to identify mice homozygous for the Gcn5flox(neo) allele or mice that bear copy of this allele together with our original deletion allele. The locations of 5′ and 3′ probes and expected sizes for EcoRV digestion products are indicated in part (A).
A neomycin selectable marker cassette flanked by loxP sites was also inserted into intron 2 of Gcn5 to facilitate ES cell screening (Fig. 1A). Cre-mediated recombination events that removed this cassette but not exons 3-18 generated an allele, Gcn5flox (Suppl. Fig. 1), which behaved as a wild-type allele (Table 1 and data not shown). Gcn5flox/flox homozygous mice were observed at expected Mendelian frequencies and were healthy and fertile without any obvious abnormal phenotypes. Mice bearing this allele together with our original Gcn5 deletion allele, Gcn5Δ, which removes all Gcn5 coding sequences as well as some downstream sequences (Xu et al., 2000), were observed at close to expected ratios (Table 2) and were viable and healthy, further demonstrating that the Gcn5flox allele is functional.
Table 1.
Progeny of Gcn5flox/+ intercrosses.
| Gcn5 genotype | Number (3 wks) | Observed | Expected |
|---|---|---|---|
| +/+ | 30 | 24% | 25% |
| flox/+ | 64 | 51% | 50% |
| flox/flox | 31 | 25% | 25% |
| Total | 125 | 100% | 100% |
Table 2.
Progeny crosses of between Gcn5flox/+ and Gcn5+/Δ
| Gcn5 genotype | Number (3 wks) | Observed | Expected |
|---|---|---|---|
| +/+ | 12 | 30% | 25% |
| flox/+ | 8 | 21% | 25% |
| +/Δ | 9 | 23% | 25% |
| flox/Δ | 10 | 26% | 25% |
| Total | 39 | 100% | 100% |
Further Cre-mediated recombination removes exons 3 through 18 in Gcn5, thereby deleting both the AT domain and 23 amino acids of the bromodomain. In frame splicing of the remaining amino sequence encoded by the first two exons with the last exon should produce a 213 amino acid fusion protein. We predicted that this fusion protein would be nonfunctional and therefore, that the Gcn5Δex3-18 allele would recapitulate the phenotype of our original Gcn5Δ allele. Indeed, no viable Gcn5Δex3-18/Δex3-18 pups were observed among 80 progeny generated from an intercross of Gcn5+/Δex3-18 heterozygotes (Table 3) (Suppl. Fig. 1). Further analysis revealed that Gcn5Δex3-18/Δex3-18 embryos were present at Mendelian ratios at E8.5, but these embryos died by E10.5 with a phenotype similar to that of embryos homozygous for the Gcn5Δ allele (data not shown) (Xu et al., 2000), confirming that Gcn5Δex3-18 is a null allele.
Table 3.
Progeny of Gcn5+/Δ3-18 intercrosses.
| Gcn5 genotype | Number (3 wks) | Observed | Expected |
|---|---|---|---|
| +/+ | 27 | 34% | 25% |
| Δ3-18/+ | 53 | 66% | 50% |
| Δ3-18/Δ3-18 | 0 | 0% | 25% |
| Total | 80 | 100% | 100% |
Gcn5flox(neo) is a hypomorphic allele
Although heterozygous Gcn5flox(neo)/+ mice appeared normal, fertile, and healthy, intercrosses of these mice produced few Gcn5flox(neo)/flox(neo) offspring. At the time of weaning (3 weeks of age), Gcn5flox(neo)/flox(neo) represented only 2% of the progeny from these crosses, much lower than the expected Mendelian frequency of 25% (Table 4, p<0.05; Fig. 1B). These data indicate that Gcn5flox(neo) allele does not confer a wild-type level of Gcn5 expression or activity, leading to early death. To further probe the functionality of this allele, we crossed the Gcn5flox(neo)/+ mice with mice heterozygous for our original Gcn5 deletion allele (Gcn5+/Δ). Even fewer Gcn5flox(neo)/Δ progeny (less than 1%) were observed three weeks after birth, a frequency again much lower than the expected Mendelian frequency (25%; Table 5, p<0.05; Fig. 1B). The reduced frequency of the Gcn5flox(neo)/Δ pups relative to the Gcn5flox(neo)/flox(neo) pups (p<0.05) suggested the Gcn5flox(neo)/Δ mice have an even more severe phenotype, leading to embryonic or perinatal death, as further characterized below.
Table 4.
Progeny of Gcn5flox(neo)/+ intercrosses.
| Gcn5 genotype | Number (3wks) | Observed | Expected |
|---|---|---|---|
| +/+ | 112 | 32% | 25% |
| flox(neo)/+ | 231 | 66% | 50% |
| flox(neo)/flox(neo) | 8 | 2% | 25% |
| Total | 351 | 100% | 100% |
Table 5.
Progeny of crosses between Gcn5flox(neo)/+ and Gcn5+/Δ
| Gcn5 genotype | Number (3wks) | Observed | Expected |
|---|---|---|---|
| +/+ | 146 | 33% | 25% |
| flox(neo)/+ | 146 | 33% | 25% |
| +/Δ | 145 | 33% | 25% |
| flox(neo)/Δ | 1 | <1% | 25% |
| Total | 438 | 100% | 100% |
Importantly, all abnormal phenotypes of Gcn5flox(neo)/flox(neo) and Gcn5flox(neo)/Δ mice were rescued by deletion of the neomycin cassette, as demonstrated by the survival and normal phenotypes of Gcn5flox/flox and Gcn5flox/Δ mice (Tables 1 and 2 and data not shown). These findings suggest that the neomycin cassette interferes with Gcn5 transcription or the stability of the Gcn5 transcript, leading to a lowered dosage of Gcn5 expression in Gcn5flox(neo)/flox(neo) mice and an even lower dosage in the Gcn5flox(neo)/Δ mice. Northern analyses of total embryo RNA (Suppl. Fig. 2) and real-time, reverse-transcriptase PCR analyses of mouse embryo fibroblasts (MEFS) (Fig. 2A) indicated that Gcn5 RNA levels were lowered to 20-30% of wild-type levels in the Gcn5flox(neo)/Δ mice and to 30-40% of wild type in the Gcn5flox(neo)/flox(neo) mice. Immunoblots indicate that a wild type-sized Gcn5 protein is expressed from the mutant allele, but that Gcn5 protein levels are lowered to ~10% of wild type in Gcn5flox(neo)/Δ mice (Fig. 2B). Whole mount in situ analyses also indicated lowered expression of Gcn5 RNA throughout Gcn5flox(neo)/Δ embryos at E9.5-10.5 (Fig. 2C). Global levels of H3 acetylation were decreased to 60% of wild type levels in both Gcn5flox(neo)/flox(neo) and Gcn5flox(neo)/Δ MEFs (Suppl Fig. 3), consistent with decreased expression of Gcn5. Altogether, these experiments suggest that a threshold level of Gcn5 expression is required for normal development and that the Gcn5flox(neo) allele is hypomorphic.
Fig. 2.
Decreased Gcn5 expression from the Gcn5flox(neo)/flox(neo) and Gcn5flox(neo)/Δ alleles. (A) RNA was prepared from MEFs with the indicated genotypes and Gcn5 expression levels were determined by real time, reverse transcriptase PCR as indicated in Materials and Methods. Shown are averages of four independent MEF cell lines, each measured in triplicate. (B) Representative immunoblots to measure Gcn5 protein levels in MEFs with in the indicated genotypes. Numbers indicate the relative ratios of Gcn5 to actin, after nomalization of the ratio in the wild type sample to 1.0. C) Whole mount in situ analyses to examine Gcn5 expression levels and patterns in Gcn5flox(neo)/Δ embryos relative to wild type embryos at the indicated time points. One embryo was probed with a sense-strand probe as a negative control.
Developmental abnormalities in Gcn5 hypomorphic mutant embryos and mice
Additional analyses revealed that the majority of Gcn5flox(neo)/flox(neo) and Gcn5flox(neo)/Δ (and Gcn5flox(neo)/Δex3-18; data not shown) embryos were alive at E18.5 (Fig. 3A), but these mice only survived a few minutes after removal from their mother and appeared to have trouble breathing. Histological analyses of paraffin sections of E18.5 Gcn5flox(neo)/Δ embryos did not reveal any obvious abnormalities of the major organs, including the lungs, liver, kidney and heart (data not shown).
Fig. 3.
Gcn5flox(neo)/Δ and Gcn5flox(neo)/flox(neo) are smaller than their littermates.
(A) Representative E18.5 litter containing Gcn5flox(neo)/Δ pups (top 3 embryos) and wild-type or heterozygous littermates (bottom 4 embryos). (B) and (C) Comparison of Gcn5flox(neo)/flox(neo) pups (middle pup in (B) and white pup in (C)) to wild-type or heterozygous littermates at P2 and P12 (as indicated). (D) Average weights of Gcn5+/+ (n=10), Gcn5flox(neo)/+ (n=14), Gcn5Δ/+ (n=12) and Gcn5flox(neo)/Δ (n=16) embryos at E18.5. The decrease in average weight of Gcn5flox(neo)/Δ embryos relative to the other genotypes is statistically significant (p<0.05). (E) Comparison of growth of Gcn5flox(neo)/+ and Gcn5flox(neo)/flox(neo) mice. The weight of three mice of each genotype was averaged at each time point. The weight of the Gcn5flox(neo)/flox(neo) mice is significantly lower (p<0.05) than the Gcn5flox(neo)/+ at every time examined. Although only data from female mice are shown here, male Gcn5flox(neo)/flox(neo) mice exhibited a similar difference in weight relative to their male heterozygous littermates.
Both Gcn5flox(neo)/Δ and Gcn5flox(neo)/flox(neo) embryos were slightly smaller than their wild-type littermates as early as E10.5 (Fig. 4 and data not shown). This reduced size persisted throughout development. At E18.5, all viable Gcn5flox(neo)/Δ embryos were 20% reduced in body weight relative to their littermates (Fig. 3A, D; p<.001).
Fig.4.
Exencephaly in Gcn5 hypomorphic mutants.
(A-H) Lateral views of embryos at the indicated stages. (A,C,E,G) wild type embryos. (B, D, D’, F) Gcn5flox(neo)/Δ embryos. (H Gcn5flox(neo)/flox(neo) embryo. Exposed cranial neural tissue is evident in the Gcn5 mutants by E10.5 giving rise to exencephaly at later stages. In some Gcn5flox(neo)/Δ mutants, the cranial neural tube is partially closed at early stages (D’) but reopens later. (I-L) H&E stained frontal or saggital sections of the cranial regions of Gcn5flox(neo)/+ or Gcn5flox(neo)/Δ embryos, as indicated. NG, neural groove; FB, forebrain; MB, midbrain. Note that the dorsal side of the neural fold in the Gcn5flox(neo)/Δ mutant in (L) is somewhat elevated. Scale bar, 0.5mm.
Only two Gcn5flox(neo)/Δ pups survived beyond two days after birth, and only one of these survived beyond the time of weaning. This mutant mouse was much smaller than his littermates and exhibited a hunched posture with droopy eyelids (data not shown). In contrast, 20 Gcn5flox(neo)/flox(neo) progeny survived to term and lived for more than 2 days after birth. These mice were also smaller than their wild type and heterozygous littermates (Fig. 3B, C). Many of these mice (12 of 20; 60%) died 10 to 21 days after birth, but the remainder (8 of 20) survived beyond weaning and exhibited lower body weight (60% of wild type, p<0.05) throughout their adult life (Fig. 3E).
Some Gcn5flox(neo)/flox(neo and Gcn5flox(neo)/Δ neonates were found dead and lacked brain tissue. Several of the E18.5 mutant mice exhibited acrania and exencephaly (Fig. 4 E-H and data not shown) without degeneration of exposed brain tissue. The lack of brain tissue in neonates, then, may reflect maternal cannibalism. Gcn5flox(neo)/flox(neo) and Gcn5flox(neo)/Δ embryos with exencephaly also exhibited protruding tongues. The cause of this defect has not been determined.
Neural tube closure is defective in Gcn5flox(neo)/Δ embryos
Exencephaly arises from anterior neural tube closure defects, and 40-50% of Gcn5flox(neo)/Δ embryos exhibited such defects from E9.5-E18.5 (Table 6; Fig. 4A-F). Neural tube closure defects were also observed in Gcn5flox(neo)/flox(neo) embryos at E18.5 (Fig. 4H), but at a lower penetrance (4 of 26 mutant embryos; 15%). In addition, embryos carrying one Gcn5flox(neo) allele and one Gcn5Δex3-18allele (data not shown) exhibited exencephaly with a penetrance (38%) similar to that in Gcn5flox(neo)/Δ embryos at E18.5.
Table 6.
A fraction of Gcn5flox(neo)/Δ embryos exhibit NTDs
| Number of offspring of each Gcn5 genotype1 | ||||||
|---|---|---|---|---|---|---|
| Age | +/+ | flox(neo)/+ | +/Δ | flox (neo)/Δ | Total number |
|
| total | NTD (%) | |||||
| E9.5 | 69 | 76 | 71 | 72 | 28 (39%) | 288 |
| E10.5 | 532 | 50 | 53 | 50 | 21 (42%) | 206 |
| E11.5 | 15 | 163 | 13 | 12 | 6 (50%) | 56 |
| E12.5 | 5 | 5 | 6 | 4 | 2 (50%) | 20 |
| E13.5 | 10 | 11 | 9 | 8 | 4 (50%) | 38 |
| E15.5 | 10 | 12 | 10 | 10 | 5 (50%) | 42 |
| E18.5 | 20 | 21 | 22 | 26 | 11 (42%) | 89 |
| E18.5 (129SvEv) | 14 | 13 | 16 | 12 | 12 (100%)* | 55 |
| E18.5 (BL6) | 16 | 14 | 15 | 16 | 3 (19%)* | 61 |
Progeny of crosses between Gcn5+/Δ and Gcn5flox(neo)/+ mice observed at the indicated time points. Observed numbers are close the to expected occurrence of 25% for each of the resulting genotypes.
One of these 53 embryos (1.9%) exhibited a neural tube defect (NTD).
One of these 16 embryos (6.3%) exhibited a neural tube defect (NTD).
p=0.000015, Fisher’s exact test
In humans (Copp et al., 1990; Copp et al., 2003) and some mouse mutants (Sah et al., 1995) neural tube defects (NTDs) are more prevalent in females than in males. To determine whether the incomplete penetrance of the neural tube phenotype in Gcn5flox(neo)/Δ embryos was related to sex, we determined the sex of 25 E9.5-E18.5 Gcn5flox(neo)/Δ embryos with NTDs. These analyses revealed that 13 male and 12 female Gcn5flox(neo)/Δ embryos exhibited defective neural tube closure, indicating no significant sex bias in the development of this abnormal phenotype.
The incomplete penetrance of the neural tube phenotype might also reflect the presence of genetic modifiers that either enhance or suppress the effects of the Gcn5 mutations. The Gcn5flox(neo)/flox(neo) and Gcn5flox(neo)/Δ mutant mice were first created in a mixed C57BL6-129Sv genetic background, and most experiments in this paper use these mice unless otherwise noted. We backcrossed Gcn5flox(neo)/+ mice with wild type inbred 129SvEv mice for four generations, and then crossed those progeny with 10th generation Gcn5+/Δ mice in a 129SvEv background. The penetrance of neural tube closure defects increased in Gcn5flox(neo)/Δ embryos to 100% (12/12 embryos at E18.5) in the more pure 129Sv genetic background (Table 6). In contrast, backcross of Gcn5flox(neo)/+ mice to C57BL6 (BL6) for four generations prior to crosses with 4th generation Gcn5+/Δ C57BL6 mice decreased the frequency of neural tube closure defects in Gcn5flox(neo)/Δ embryos to 19% (3/16 embryos at E18.5; Table 6). These data indicate either that a suppressor of these defects is present in C57BL6 mice or that an enhancer of this phenotype is present in the 129Sv mice, as has been observed for several other mouse mutants exhibiting NTDs (Zhao et al., 1996; Colmenares et al., 2002).
Importantly, no NTDs were observed in Gcn5flox/flox or Gcn5flox/Δ mice (data not shown), indicating these defects result from insertion of the neomycin marker cassette into intron 2 of Gcn5. The increased penetrance of exencephaly in Gcn5flox(neo)/Δ mutants relative to Gcn5flox(neo)/flox(neo) mutants suggests that a threshold level of Gcn5 expression is required for normal neural tube closure.
Defective elevation and bending of neural folds in Gcn5 mutant embryos
To further establish the origin of neural tube closure defects in Gcn5flox(neo)/Δ mutants, we examined these mutants at earlier developmental time points, when this process initiates. At E8.5, neural tube closure normally begins at three sites: the hindbrain/cervical boundary (site1), the midbrain/forebrain boundary (site 2) and the extreme rostral end of the neural tube (site 3) (Copp et al., 2003). Gcn5flox(neo)/Δ mutants could not be distinguished from heterozygous and wild type littermates by morphological (data not shown) or histological analyses at E8.5 (Fig. 4 I, J). At E9.5, the neural tube of wild type and Gcn5flox(neo)/+ embryos completed closure (Fig. 4C, K), but the neural tube remained open in some Gcn5flox(neo)/Δ mutants (Fig. 4D, L). The neural folds were somewhat elevated in the affected mutant embryos at this time point, but the lateral edges of the folds did not bend medially, precluding fusion (Fig. 4L). The severity of neural tube closure defects varied among Gcn5flox(neo)/Δ mutants at these early time points. In some of the affected Gcn5flox(neo)/Δ mutants (20%), only the hindbrain region remained open at E9.5-E13.5 while the rest of the cranial neural tube was fused (Fig. 4D’). However, at E15.5 and later times, the neural tube was open from the rostral limit of the neural tube to the cervical/hindbrain boundary in all affected mutant embryos. These data indicate that any rostral fusion that occurred at earlier times was reversed between E13.5-E15.5. By E18.5, neural tube closure was complete in 80% of Gcn5flox(neo)/flox(neo) mutant embryos and in 58% of Gcn5flox(neo)/Δ embryos (Table 6).
Neural patterning in Gcn5 flox(neo)/Δ mutants
To determine which step in cranial neurulation might be affected in our Gcn5 mutants, we evaluated the patterning of the neural ectoderm and head mesenchyme from E8.5 to E9.5 by comparison of expression of key marker genes in Gcn5+/+ and Gcn5flox(neo)/Δ embryos. We began by assessing whether anterior-posterior patterning was affected in the mutants by monitoring expression of Otx2, En-1, Wnt1, and Fgf8. Otx2 is normally expressed in the midbrain and hindbrain, where it regulates the identity and fate of the neural domain in the ventral midbrain (Simeone et al., 1992; Boncinelli et al., 1993; Acampora et al., 2005). This expression pattern was unchanged in E9.5 Gcn5flox(neo)/Δ mutants (Fig. 5, top panels). En-1expression marks an organizer region located at the midbrain-hindbrain boundary (Danielian and McMahon, 1996). Normal expression of En-1 at E9.5 indicates this boundary was intact in abnormal Gcn5flox(neo)/Δ embryos (Fig. 5). Wnt1 was also expressed normally in this region in Gcn5flox(neo)/Δ embryos, further confirming this point. Normal expression of Fgf8 (Lee et al., 1997) was also detected in the mutant embryos at E10.5 in the anterior neural ridge and the ventral forebrain (Fig. 5). Altogether, these data indicate that the anterior-posterior organization of the cranial neural region occurs normally in the Gcn5flox(neo)/Δ embryos. These data also demonstrate that decreased expression of Gcn5 does not affect expression of Otx2, En-1, Wnt1, or Fgf8.
Fig.5.
Normal anterior-posterior organization of cranial region in Gcn5flox(neo)/Δ embryos
Shown are lateral views of whole mount in situ hybridizations to monitor expression of the indicated genes in wild type and mutant embryos at the indicated time points. No obvious differences in the temporal or spatial expression of Otx2, En-1, Wnt1, or Fgf8 were observed in wild type and Gcn5flox(neo)/Δ embryos. The arrow indicates the midbrain/hindbrain boundary marked by En-1 expression.
The sonic hedgehog pathway (Shh) plays an important role in dorsal-ventral patterning of the cranial neural tube (Echelard et al., 1993). Shh is expressed in the floor plate and the underlying notochord, and this secreted signaling molecule is required for induction of ventral neural cell types (Wilson and Maden, 2005). We therefore examined expression of Shh and two important downstream components of the Shh pathway, Patched-1 (Ptc1) and Gli1 (Zohn et al., 2005), in Gcn5flox(neo)/Δ embryos. Shh was expressed comparably in the most ventral part of the anterior neural tube, including the floor plate and adjacent regions, of both wild type and mutant embryos from E8.5 to E10.5, although the shape of the Shh expressing region was distorted in the mutant embryos after E9.5 due to the open and everted neural tube (Fig. 6A). Ptc1 expression was observed in the midbrain region of both wild type and Gcn5flox(neo)/Δ embryos at E9.5 and E10.5 (Fig. 6B). At E9.5, Ptc1 expression appeared to be extended caudally in the mutant embryos. However, this altered expression was transient as extended Ptc1 expression was only observed in a fraction of the Gcn5flox(neo)/Δ embryos at E10.5. Moreover, normal expression of Gli1 was observed at the anterior end and ventral side of the midbrain, outside of the central Shh-expressing area, in both wild type and mutant embryos at E10.5 (Fig 6B). Overall, these data indicate that Shh expression and signaling occurs normally in the Gcn5 mutant embryos.
Fig. 6.
Shh expression and signaling in Gcn5flox(neo)/Δ embryos.
Whole mount in situ analysis of Shh (A), Ptc1 and Gli1 (B) expression in somite-stage (s) matched embryos at the indicated developmental time points. Although Shh expression appears stronger in the side view of the Gcn5flox(neo)/Δ embryo, this is due to the lack of overlying tissue in the mutant that is present in the wild type littermate. This tissue has been removed for better comparison of Shh expression in the top views shown in the lower panels in (A).
Cranial NTDs are also often associated with defective development of head mesenchyme (Juriloff and Harris, 2000; Copp et al., 2003). Both reduced and increased numbers of head mesenchyme cells, which provide important signals for neural tube patterning, around the cranial neural tube can lead to neural tube defects (Chen and Behringer, 1995; Zhao et al., 1996). Twist is expressed in head mesenchyme cells, and Twist knock out mice exhibit exencephaly (Chen and Behringer, 1995; Soo et al., 2002). Our analyses indicated proper temporal and spatial Twist expression occurred at E9.0 in the Gcn5flox(neo)/Δ mutants (Fig. 7A). Cart1 is also expressed in head mesenchyme cells, and Cart1 mutants exhibit cranial NTDs similar to those we observed in Gcn5flox(neo)/Δ embryos (Zhao et al., 1996). At E10.5, Cart1 transcripts were detected in the most anterior part of the forebrain (the olfactory pit) and part of the maxillary process in wild type embryos (Fig. 7A). This expression pattern was unchanged in the Gcn5 mutants. The normal expression of both Twist and Cart1 in the Gcn5 mutants indicates head mesenchyme forms normally in these mutants.
Fig 7.
Normal expression of Twist, Cart1, p300, CBP, and Cited2 in Gcn5flox(neo)/Δ embryos.
A). Whole mount in situ analysis of Twist and Cart1 expression in wild type and Gcn5flox(neo)/Δ embryos indicates normal formation of head mesenchyme. B) Real time, RT PCR analyses indicate that decreased expression of Gcn5 does not influence expression of Cited2, p300, or CBP. RNA from two independent MEF lines of each genotype was analyzed in triplicate.
Cranial NTDs have also been reported in Cited2, p300, and CBP mutant embryos (Yao et al., 1998; Oike et al., 1999; Bamforth et al., 2001; Greene and Copp, 2005). Quantitative PCR analyses indicate that Gcn5 is not required for expression of these genes (Fig 7B). However, Gcn5 (and the STAGA/TFTC complex) might well cooperate with Cited2 or p300/CBP to activate downstream gene targets important for neural development.
Neural crest cells participate in roof plate formation and are necessary for neural tube closure ((Copp et al., 2003)). Expression of AP2 (Morriss-Kay, 1996) and SRY-box containing gene 9 (Sox9) (Hong and Saint-Jeannet, 2005) in the frontonasal mass and branchial arches in both wild type and Gcn5flox(neo)/Δ embryos at E9.5 indicated that neural crest cell migration from the dorsal neural plate occurred normally in the Gcn5 mutants (Fig. 8A). To examine neural crest cell initiation, differentiation and migration in more detail, we monitored expression of Sox10 (Hong and Saint-Jeannet, 2005) at time points from E8.5 to E10.0 (Fig. 8B). In all cases, Sox10 was expressed with similar timing, at similar levels, and in the same locations in the wild type and mutant embryos. Taken together, these results indicate that neural crest cell formation and migration are not affected by decreased expression of Gcn5.
Fig. 8.
Neural crest cell formation and migration is normal in Gcn5flox(neo)/Δ embryos.
A). Temporal and spatial expression of AP2 and Sox9 indicates neural crest cell formation is not altered in Gcn5flox(neo)/Δ embryos at the indicated developmental stages.
B). Expression of Sox10 in Gcn5flox(neo)/Δ embryos is equivalent to that of wild type littermates at all stages examined, indicate neural crest cell formation and migration are not affected by decreased expression of Gcn5.
Collectively, these studies indicate that anterior-posterior and dorsal-ventral patterning of cranial neural tissues occurs normally in Gcn5flox(neo)/Δ embryos, as does formation of head mesenchyme, neural ectoderm, and neural crest cells.
Cell death and cell proliferation are normal in hypomorphic Gcn5 mutants
Alterations in cell survival or proliferation in neuroectoderm or head mesenchyme can lead to defective neural tube closure and exencephaly (Zhao et al., 1996; Weil et al., 1997; Dixon et al., 2000; Ikeda et al., 2001; Barbera et al., 2002). Gcn5−/− embryos exhibit a large increase in apoptotic cells as early as E7.5 (Xu et al., 2000), and deletion of Gcn5 in chicken cells (Kikuchi et al., 2005) or yeast (Zhang et al., 1998) leads to defective cell cycle progression. Therefore, we next determined whether neural tube closure defects in the Gcn5flox(neo)/Δ mutants might be due to changes in cell proliferation or survival.
Phosphorylation of histone H3 at S10 serves as a mitotic marker (Hendzel et al., 1997), and whole mount immunohistochemistry with an anti-phospho S10 histone H3 antibody revealed no obvious depletion of mitotic cells in Gcn5flox(neo)/Δ mutants at E8.5, E9.5 and E10.5 (data not shown). The neural tube defects in these mice, then, is not likely due to defects in cell proliferation.
Apoptotic cells are normally located at the edge of the unsealed neural tube at E8.5, and apoptosis persists in this region until completion of neural tube fusion at E9.5 (Weil et al., 1997). Increases or decreases in cell death in these areas, or occurrence of apoptosis in other domains, leads to exencephaly. TUNEL assays indicate apoptosis occurred in the dorsal neuroepithelium around the forebrain-midbrain boundary of wild type and Gcn5flox(neo)/Δ embryos at E8.5 and E9.0 (Fig. 9 and data not shown). No obvious changes occurred in the amount or location of apoptotic cells in the mutant embryos. Altogether, these data indicate that exencephaly in Gcn5flox(neo)/Δ mutants is not due to increased levels or abnormal patterns of cell death.
Fig.9.

Apoptosis in wild type and Gcn5flox(neo)/Δ mutants.
Whole mount TUNEL assays indicate the levels and distribution of apoptosis in the area of the neural folds is not altered in E8.5 or E9.0 Gcn5flox(neo)/Δ embryos.
Folic acid reduces penetrance of exencephaly in Gcn5flox(neo)/Δ embryos
In humans, folic acid intake at the time of conception and during the early stages of pregnancy can reduce risk of neural tube defects, anencephaly, and spina bifida, although the molecular mechanism underlying this protection is not known (Greene and Copp, 2005). To determine if folic acid might provide a similar protective effect in Gcn5flox(neo)/Δ embryos, we administered folic acid to pregnant mother mice by intraperitoneal injection once per day from E 0.5 to E 9.5. Treated females were sacrificed on E18.5 and the embryos were characterized for cranial neural tube defects. We performed these experiments in the 129SvEv inbred background, since exencephaly is observed with 100% penetrance in Gcn5flox(neo)/Δ embryos in this genetic background (Table 6). Examination of 14 Gcn5flox(neo)/Δ embryos from untreated mothers confirmed this penetrance, as all 14 exhibited NTDs (Table 7). In contrast, 5 of 16 (31%) Gcn5flox(neo)/Δ embryos from mothers treated with folic acid did not exhibit exencephaly at E18.5. Such amelioration of NTDs in Splotch mutant mice is associated with bypass of defects in folate metabolism (Gefrides et al., 2002; Greene and Copp, 2005). However, rescue of NTDs in Cited-2 mutant mice by folate appears to be independent of such defects (Barbera et al., 2002). We do not yet know the mechanism by which folate treatment affects NTDs in the Gcn5 mutants, but these studies provide the first link between an acetyltransferase and folate-preventable defects in neurulation.
Table 7.
Folic acid treatment reduces penetrance of exencephaly in Gcn5flox(neo)/Δ embryos in the S129 genetic background.
| Folic Acid | With Exencephaly (%) |
Without Exencephaly (%) |
Total # of Gcn5flox(neo)/Δ analyzed |
|---|---|---|---|
| − | 14 (100%) | 0 (0%) | 14 |
| + | 11 (69 %) | 5 (31%)* | 16 |
p=0.045 (Fisher’s exact test)
DISCUSSION
Our previous work demonstrated that Gcn5 is required for early mouse embryo development and survival beyond E9.0-E11.0 (Xu et al., 2000). Mice defective for Gcn5 HAT activity survive longer than Gcn5 null mice but still die by E16 and exhibit cranial NTDs (Bu et al., 2007). The Gcn5flox(neo)/flox(neo) and Gcn5flox(neo)/Δ embryos described here survive at least until E18.5 but often suffer exencephaly. Thus, Gcn5 catalytic activity and expression are both important for normal neural development in the mouse.
NTDs are among the most prevalent congenital birth defects in humans, with an average frequency of 1 per 1000 birth (Copp et al., 2003; Greene and Copp, 2005). Both genetic and environmental factors contribute to these defects. Although many cellular events required for neural tube closure have been defined, the molecular regulation of this process is poorly understood. The complex molecular basis of this process is illustrated by the fact that individual mutations in more than 100 genes affect neural tube closure in the mouse (Zohn et al., 2005). Human NTDs often result from complex genetics, including hypomorphic mutations, so identification of hypomorphic alleles in mouse genes that cause neural tube closure defects may provide invaluable insights to the etiology of human NTDs. Other hypomorphic mouse mutations associated with NTDs include FGFR1 (Xu et al., 1999) and Grhl3 (Ting et al., 2003).
Interestingly, a subset of the many genes shown to cause NTDs in mice affects gene transcription, including p53 (Armstrong et al., 1995; Sah et al., 1995), p300 (Yao et al., 1998), CBP (Yao et al., 1998; Oike et al., 1999), Cited2 (Bamforth et al., 2001; Barbera et al., 2002) and now Gcn5. The functions of p300 and CBP are linked to those of Gcn5 and Cited2, and p53 is acetylated by both Gcn5 (our unpublished results) and p300 (Gu and Roeder, 1997). Our data indicate that decreased expression of Gcn5 does not affect expression of p300, CBP or Cited2, but it may affect the functions of these proteins as transcriptional coactivators. These factors may work together to regulate a program of gene expression involved in neural tube closure. Future microarray analyses and global chromatin immunoprecipitation studies should define gene expression programs regulated by Gcn5 during development.
Gcn5 and p53 both affect cell survival and proliferation (Xu et al., 2000; Jin and Levine, 2001; Kikuchi et al., 2005). However, neither of these processes is affected in an obvious way in Gcn5flox(neo)/Δ mutants, so Gcn5 likely affects another aspect of neural tube closure. This process involves several steps, including shaping, elevating, bending and sealing of the neural plate (Copp et al., 2003). Dramatic changes in cell polarity and cell position are required. Accordingly, several genes that are involved in planar cell polarity are indispensable for neural tube closure. In addition, Shh signaling is involved in bending of the neural folds to form the neural tube (Wilson and Maden, 2005). Our data indicate that decreased expression of Gcn5 does not affect Shh expression or signaling. Normal expression of Shh was observed in Gcn5hat/hat mutants as well, which also exhibit neural tube closure defects (Bu et al., 2007).
Mouse NTDs are often more severe in the 129SvEv genetic background than in the C57BL6 background (Fleming and Copp, 2000). For instance, loss of Cart1 led to 60% exencephaly in 129Sv/C57BL6 mixed background but 100% exencephaly in a pure 129Sv genetic background (Zhao et al., 1996). Similarly, Ski deficiency resulted in a high penetrance (83%) of exencephaly in a 129p2 background but a low penetrance (5-6%) in the C57BL6 strain (Colmenares et al., 2002). Genetic variation of NTDs in mouse likely reflects the additive effects of several mutant genes, and additional mutagenesis may be required to define factors that affect the penetrance of NTDs in the presence of defective alleles of Gcn5 (see (Carpinelli et al., 2004) for example). Genetic variations also likely underlie different susceptibilities to NTDs in humans (Zohn et al., 2005).
Very little information exists as to the functions of Gcn5 in vertebrate animals. Our data provide the first demonstration that proper levels of Gcn5 expression are required for neural tube closure in mice. Further analyses suggest that the genetic modifiers and exposure to folic acid influence the risk of exencephaly caused by decreased Gcn5 expression. Our Gcn5 mutants, then, may provide a useful model for defining additional factors that influence the occurrence of NTDs and anencephaly in humans.
EXPERIMENTAL PROCEDURES
Generation of mutant Gcn5 alleles
To construct the Gcn5 conditional null vector, we used a genomic Gcn5 clone described previously (Xu et al., 2000; Lin et al., 2007). The clone contains the complete Gcn5 coding sequence, including all 19 exons and 18 introns, as well as genomic sequences at 5′-and 3′- ends of the coding sequences. A PGK-neomycin (neo) cassette (Wakamiya et al., 1998) with two flanking loxP sites was inserted into a BglII site in intron 2 in an orientation opposite to that of Gcn5 transcription. A third loxP site and a new EcoRV restriction site were integrated into an NcoI site in last intron. The resulting vector is very similar to another we described recently, except for the placement of the 3′ most lox P (Lin et al., 2007). All three loxP sites were inserted in the same orientation. The new EcoRV site assisted in identification of properly targeted ES cell clones by Southern analysis. A MC1-TK (thymidine kinase) cassette (Mansour et al., 1988), which serves as a negative selectable marker, was inserted in the multicloning site of the pKS Bluescript plasmid (Stratagene Inc.).
Creation of Gcn5flox/+ and Gcn5Δex3-18/+ mice
The above Gcn5flox(neo) vector was linearized by PmeI digestion and then electroporated into 129/Sv-derived ES cells with the help of the Genetically Engineered Mouse Core Facility at UTMDACC. Correctly targeted ES cell clones were identified by Southern blotting after double selection (FIAU and G418). The ES cell clones were then microinjected into blastocysts isolated from C57BL6 mice, which were subsequently transferred to foster mothers to generate chimeras. Heterozygotes carrying the Gcn5flox(neo) allele were identified by Southern blots or PCR screening. Gcn5flox/+ and Gcn5Δex3--18/+ mice were created by breeding Gcn5flox(neo)/+ mice to mice expressing a CMV-cre transgene (Arango et al., 1999).
Genotyping of Gcn5 mutant mice
Mouse genomic DNA was prepared from tail snips from E18.5, newborn (P0) or 3-week old (P21) mice by overnight digestion with proteinase K followed by phenol/choloroform extraction and ethanol precipitation as described (Couse et al., 1994). The DNA was then digested with EcoRV and analyzed by Southern blotting using both 5′- and 3′-probes as described (Xu et al., 2000). A PCR approach also was used to genotype embryos and mice. The Gcn5Δ null allele was detected using primers 5′-TCACTATCTCGGATGGCTT-3′, which is located upstream of the start codon, and 5′-CCTCTTCGCTATTACGCCAG-3′, which is located in the lacZ cassette, producing a 450 bp product. The Gcn5flox(neo) allele was identified by PCR with primers 5′-CACAGAGCTTCTTGGAGACC-3′ and 5′- CTGTGCCTTCTAGTTGCCAG-3′, which produced a 410 bp product. The Gcn5flox and wild-type Gcn5 alleles were distinguished with primers 5′-CACAGAGCTTCTTGGAGACC-3′ and 5′GGCTTGATTCCTGTACCTCC-3′, which generated a 210 bp product from wild-type allele and a 310 bp allele from the Gcn5flox allele. The Gcn5Δex3-18 allele was genotyped by PCR with primers 5′-CACAGAGCTTCTTGGAGACC-3′ and 5′- ATAGTAGCGACTGCGCAACC-3′, which generated a 240 bp product. All PCRs were performed using the same program: 94°C 3 min, then 94°C 20 seconds, 63°C 40 seconds, 68°C 60 seconds for five cycles, then 94°C 20 seconds, 55°C 40 seconds, 68°C 60 seconds for thirty cycles.
Sex determination of mouse embryos
Sex of embryos was determined by primers specific for the Y-chromosome: forward 5′-AAGATAAGCTTACATAATCACATGGA-3′, and reverse 5′-CCTATGAAATCCTTTGCTGCACATGT-3′ (Sah et al., 1995).
Staging of mouse embryos
Mouse embryos were staged according to the number of somites and day of gestation. The morning on which the vaginal plug was found was defined as day 0.5 of pregnancy. Mouse embryos with 35 to 39 somites are approximately E10.5. Mouse embryos with 45 to 47 somites are approximately E11.5.
Statistical analyses
All statistical analyses were done using the Intercooled Stata 8.0 statistical software package (StataCorp, College Station, TX, USA). The Fisher’s exact test was used to test for differences among the four genotypes. The student’s t test was used to test for differences in the distribution of weight of E18.5 embryos between the two groups. The difference of growth curve in control and mutant adult mice was performed by ANOVA statistical analysis. All statistical tests were two-sided with a significance level of 0.05.
Histological analyses
Embryos were dissected in cold PBS, and fixed in 4% paraformaldehyde in phosphate-buffered saline, dehydrated and embedded in paraffin. Embryos were sectioned (7um) and sections were stained with hematoxylin and eosin (Nagy et al., 2003).
In situ hybridizations
E9.5–E10.5 mouse embryos were dissected and fixed with 4% paraformaldehyde. The yolk sac was used to prepare genomic DNA for genotyping. Whole mount RNA in situ hybridization was performed as described (Nagy et al., 2003). The Twist, Ptc1, and Gli1 probes were kindly provided by Dr. R. Behringer (Chen and Behringer, 1995; Soo et al., 2002). Probes for Cart1 and Sox9 were kindly provided by Dr. B. de Crombrugghe (Dept. Mol. Gen, UTMDACC). Probes for Otx2 (Boncinelli et al., 1993), and En-1 (Joyner and Martin, 1987; Ang and Rossant, 1993) were described previously. Probes for AP2 and Sox10 were generously provided by Dr. James Martin (Texas A&M Inst. for Biotech.) (Ai et al., 2007). Probes for Shh, Wnt1, and Fgf8 were provided by Dr. R, Johnson (Dept. Biochem and Mol. Biol., UTMDACC).
Real time reverse transcriptase PCR
Reverse transcription reactions were performed using GeneAmp® Gold RNA PCR Reagent Kit (Applied Biosystems), and real time PCR was performed using the Power SYBR Green PCR Master Mix (Applied Biosystems) following the manufacturers’ instructions. Forward (top) and reverse (bottom) primers used were as follows :
Gcn5
5′-AGTTGTGCCGTAGCTGTGAG-3′
5′-TGGTGTCTGTGTCCTCTTCC-3′
p300
5′-GTGGTGATATTAATCAGCTTCAGA-3′
5′-CCCTGCTGAAGAGGCTCAGTCAGTA-3′
CBP
5′-CAAGCACTGAATCCACAAGCACAAAA-3′
5′-TATTCTTGATATCTGTAGGAAAAGC-3′
Cited2
5′-TTCATCGACGAGGAAGTGCT-3′
5′-GCGAGATACTGCGTCTAAGG-3′
Immunoblots
Immunoblots were performed as described (Lin et al., 2007) using a Gcn5-specific antisera (Abcam) at 1:400 dilution, a H3 K9,18Ac-specific antisera (Zhang et al., 1998) at 1:1000 dilution, an H3-secific antisera (Abcam) at 1:5000 dilution, and an actin-specific antibody (Sigma) at 1:4000 dilution.
Whole mount cell death and cell proliferation assays
Whole-mount TUNEL analyses were performed using the ‘In Situ Cell Death Detection, POD’ kit (Roche) with a modified protocol (Chi et al., 2003). Embryos were fixed in 4% paraformaldehyde and stored in methanol, then rehydrated into PBT and treated with proteinase K (20 mg/ml in PBT) for 10 minutes, washed in PBT, then post-fixed in 4% PFA/0.2% glutaraldehyde for 20 minutes, incubated for 1 hour in 3% H2O2 in methanol to inactivate endogenous peroxidases, then permeabilized in 0.1% sodium citrate/0.1% TritonX-100 for 5 minutes on ice. The treated embryos were then incubated in Reaction Mix for 1 hour at 37°C or overnight, and washed in PBT. In order to block nonspecific antibody binding, embryos were next incubated in KTBT buffer for 1 hour (50 mM Tris-HCl pH 7.5, 150 mM NaCl, 10 mM KCl, 1% Triton X-100) containing 2% blocking reagent (Roche 1096176) and 20% sheep serum. Embryos were then incubated in Roche kit converter POD for 30 minutes at 37°C, and washed in PBT. Finally, specimens were reacted using DAB kit (Vector Lab.) for 30 minutes. To monitor cell proliferation, embryos were fixed in 4% paraformaldehyde at 4°C overnight, then cleared in 5:1 H2O2: PBS at room temperature for 5h, rehydrated by stepwise washes in methanol:PBS PBS (50% methanol in PBS, then 15% methanol in PBS, and finally in PBS alone) and finally incubated with anti-phospho-histone H3 antibody (Cell signaling, 1:100 dilution in 2% instant skim milk, 0.1% Triton X-100 in PBS) at 4°C overnight, washed and incubated with biotinylated secondary antibody at 4°C overnight (Vector lab., 1:200 dilution in 0.2% BSA, 0.1% Triton X-100 in PBS), incubated in ABC reagent (Vectastain Elite ABC Kit, Vector Lab.) at room temperature 1 hour, and finally incubated with DAB (Vector Lab.) for 10 minutes.
Prenatal folic acid treament
Gcn5flox(neo)/+ mice were crossed with Gcn5+/Δ mice (both in a 129/SvEv inbred genetic background) to generate Gcn5flox(neo)/Δ progeny. The morning on which the vaginal plug was found was defined as day 0.5 of pregnancy. Pregnant females were treated with folic acid (100μg/30g body weight) by intraperitoneal injection once each day from E0.5 to E9.5. Treated females were sacrificed on E18.5 and the embryos were examined for cranial neural tube defects and were genotyped.
Supplementary Material
Suppl. Fig. 1. Genotyping of embryos bearing the Gcn5flox and Gcn5Δex3-18 alleles.
A). Representative Southern blot to identify Gcn5flox/flox and Gcn5flox/+ mice.
B). Representative PCR analyses to identify mice bearing the Gcn5Δex3-18 allele. Primers corresponding to sequences in exons 2 and 19 (to detect the mutant allele) or exaons 2 and 3 (to detect the wild type allel) are described in Experimental Procedures.
Suppl. Fig 2. A) Northern blots to measure Gcn5 expression in embryos of the indicated genotypes, normalized to the GAPDH. (B) Northern blots to measure Gcn5 expression in MEFs, normalized to actin. Each lane represents analysis of RNA isolated from an individual embryo or MEF line. Numbers indicate averages after normalization to the control RNA, with wild type set to 1.0.
Suppl. Fig 3. Immunoblot to analyze histone H3 acetylation levels in embryos with the indicated genotypes. Each lane represents protein extracted from an individual embryo. Numbers indicate the relative level of acetylation normalized to the amount of H3 present, with wild type set to 1.0.
ACKNOWLEDGMENTS
We thank Richard Behringer and members of the Dent lab for many helpful discussions. We thank Madelene Coombes for help with figure revisions. This work was supported by a grant to the NIH (GM067718) to S.Y.R.D. Gcn5 mutant mice were created with the help of the UTMDACC Genetically Engineered Mouse Core, supported by NCI CA16672.
This work was supported by NIH Grant R01GM067718 to S.Y.R.D.
REFERENCES
- Acampora D, Annino A, Tuorto F, Puelles E, Lucchesi W, Papalia A, Simeone A. Otx genes in the evolution of the vertebrate brain. Brain Res Bull. 2005;66:410–420. doi: 10.1016/j.brainresbull.2005.02.005. [DOI] [PubMed] [Google Scholar]
- Ai D, Fu X, Wang J, Lu MF, Chen L, Baldini A, Klein WH, Martin JF. Canonical Wnt signaling functions in second heart field to promote right ventricular growth. Proc Natl Acad Sci U S A. 2007;104:9319–9324. doi: 10.1073/pnas.0701212104. [DOI] [PMC free article] [PubMed] [Google Scholar]
- Ang SL, Rossant J. Anterior mesendoderm induces mouse Engrailed genes in explant cultures. Development. 1993;118:139–149. doi: 10.1242/dev.118.1.139. [DOI] [PubMed] [Google Scholar]
- Arango NA, Lovell-Badge R, Behringer RR. Targeted mutagenesis of the endogenous mouse Mis gene promoter: in vivo definition of genetic pathways of vertebrate sexual development. Cell. 1999;99:409–419. doi: 10.1016/s0092-8674(00)81527-5. [DOI] [PubMed] [Google Scholar]
- Armstrong JF, Kaufman MH, Harrison DJ, Clarke AR. High-frequency developmental abnormalities in p53-deficient mice. Curr Biol. 1995;5:931–936. doi: 10.1016/s0960-9822(95)00183-7. [DOI] [PubMed] [Google Scholar]
- Bamforth SD, Braganca J, Eloranta JJ, Murdoch JN, Marques FI, Kranc KR, Farza H, Henderson DJ, Hurst HC, Bhattacharya S. Cardiac malformations, adrenal agenesis, neural crest defects and exencephaly in mice lacking Cited2, a new Tfap2 co-activator. Nat Genet. 2001;29:469–474. doi: 10.1038/ng768. [DOI] [PubMed] [Google Scholar]
- Banting GS, Barak O, Ames TM, Burnham AC, Kardel MD, Cooch NS, Davidson CE, Godbout R, McDermid HE, Shiekhattar R. CECR2, a protein involved in neurulation, forms a novel chromatin remodeling complex with SNF2L. Hum Mol Genet. 2005;14:513–524. doi: 10.1093/hmg/ddi048. [DOI] [PubMed] [Google Scholar]
- Barbera JP, Rodriguez TA, Greene ND, Weninger WJ, Simeone A, Copp AJ, Beddington RS, Dunwoodie S. Folic acid prevents exencephaly in Cited2 deficient mice. Hum Mol Genet. 2002;11:283–293. doi: 10.1093/hmg/11.3.283. [DOI] [PubMed] [Google Scholar]
- Berube NG, Jagla M, Smeenk C, De Repentigny Y, Kothary R, Picketts DJ. Neurodevelopmental defects resulting from ATRX overexpression in transgenic mice. Hum Mol Genet. 2002;11:253–261. doi: 10.1093/hmg/11.3.253. [DOI] [PubMed] [Google Scholar]
- Boncinelli E, Gulisano M, Broccoli V. Emx and Otx homeobox genes in the developing mouse brain. J Neurobiol. 1993;24:1356–1366. doi: 10.1002/neu.480241008. [DOI] [PubMed] [Google Scholar]
- Bu P, Evrard YA, Lozano G, Dent SY. Loss of Gcn5 acetyltransferase activity leads to neural tube closure defects and exencephaly in mouse embryos. Mol Cell Biol. 2007;27:3405–3416. doi: 10.1128/MCB.00066-07. [DOI] [PMC free article] [PubMed] [Google Scholar]
- Bultman S, Gebuhr T, Yee D, La Mantia C, Nicholson J, Gilliam A, Randazzo F, Metzger D, Chambon P, Crabtree G, Magnuson T. A Brg1 null mutation in the mouse reveals functional differences among mammalian SWI/SNF complexes. Mol Cell. 2000;6:1287–1295. doi: 10.1016/s1097-2765(00)00127-1. [DOI] [PubMed] [Google Scholar]
- Carpinelli MR, Hilton DJ, Metcalf D, Antonchuk JL, Hyland CD, Mifsud SL, Di Rago L, Hilton AA, Willson TA, Roberts AW, Ramsay RG, Nicola NA, Alexander WS. Suppressor screen in Mpl−/− mice: c-Myb mutation causes supraphysiological production of platelets in the absence of thrombopoietin signaling. Proc Natl Acad Sci U S A. 2004;101:6553–6558. doi: 10.1073/pnas.0401496101. [DOI] [PMC free article] [PubMed] [Google Scholar]
- Chang S, McKinsey TA, Zhang CL, Richardson JA, Hill JA, Olson EN. Histone deacetylases 5 and 9 govern responsiveness of the heart to a subset of stress signals and play redundant roles in heart development. Mol Cell Biol. 2004;24:8467–8476. doi: 10.1128/MCB.24.19.8467-8476.2004. [DOI] [PMC free article] [PubMed] [Google Scholar]
- Chen ZF, Behringer RR. twist is required in head mesenchyme for cranial neural tube morphogenesis. Genes Dev. 1995;9:686–699. doi: 10.1101/gad.9.6.686. [DOI] [PubMed] [Google Scholar]
- Chi CL, Martinez S, Wurst W, Martin GR. The isthmic organizer signal FGF8 is required for cell survival in the prospective midbrain and cerebellum. Development. 2003;130:2633–2644. doi: 10.1242/dev.00487. [DOI] [PubMed] [Google Scholar]
- Colmenares C, Heilstedt HA, Shaffer LG, Schwartz S, Berk M, Murray JC, Stavnezer E. Loss of the SKI proto-oncogene in individuals affected with 1p36 deletion syndrome is predicted by strain-dependent defects in Ski−/− mice. Nat Genet. 2002;30:106–109. doi: 10.1038/ng770. [DOI] [PubMed] [Google Scholar]
- Copp AJ, Brook FA, Estibeiro JP, Shum AS, Cockroft DL. The embryonic development of mammalian neural tube defects. Prog Neurobiol. 1990;35:363–403. doi: 10.1016/0301-0082(90)90037-h. [DOI] [PubMed] [Google Scholar]
- Copp AJ, Greene ND, Murdoch JN. The genetic basis of mammalian neurulation. Nat Rev Genet. 2003;4:784–793. doi: 10.1038/nrg1181. [DOI] [PubMed] [Google Scholar]
- Couse JF, Davis VL, Tally WC, Korach KS. An improved method of genomic DNA extraction for screening transgenic mice. Biotechniques. 1994;17:1030–1032. [PubMed] [Google Scholar]
- Danielian PS, McMahon AP. Engrailed-1 as a target of the Wnt-1 signalling pathway in vertebrate midbrain development. Nature. 1996;383:332–334. doi: 10.1038/383332a0. [DOI] [PubMed] [Google Scholar]
- Dixon J, Brakebusch C, Fassler R, Dixon MJ. Increased levels of apoptosis in the prefusion neural folds underlie the craniofacial disorder, Treacher Collins syndrome. Hum Mol Genet. 2000;9:1473–1480. doi: 10.1093/hmg/9.10.1473. [DOI] [PubMed] [Google Scholar]
- Echelard Y, Epstein DJ, St-Jacques B, Shen L, Mohler J, McMahon JA, McMahon AP. Sonic hedgehog, a member of a family of putative signaling molecules, is implicated in the regulation of CNS polarity. Cell. 1993;75:1417–1430. doi: 10.1016/0092-8674(93)90627-3. [DOI] [PubMed] [Google Scholar]
- Fischle W, Kiermer V, Dequiedt F, Verdin E. The emerging role of class II histone deacetylases. Biochem Cell Biol. 2001;79:337–348. [PubMed] [Google Scholar]
- Fleming A, Copp AJ. A genetic risk factor for mouse neural tube defects: defining the embryonic basis. Hum Mol Genet. 2000;9:575–581. doi: 10.1093/hmg/9.4.575. [DOI] [PubMed] [Google Scholar]
- Freiman RN, Tjian R. Regulating the regulators: lysine modifications make their mark. Cell. 2003;112:11–17. doi: 10.1016/s0092-8674(02)01278-3. [DOI] [PubMed] [Google Scholar]
- Gefrides LA, Bennett GD, Finnell RH. Effects of folate supplementation on the risk of spontaneous and induced neural tube defects in Splotch mice. Teratology. 2002;65:63–69. doi: 10.1002/tera.10019. [DOI] [PubMed] [Google Scholar]
- Greene ND, Copp AJ. Mouse models of neural tube defects: investigating preventive mechanisms. Am J Med Genet C Semin Med Genet. 2005;135:31–41. doi: 10.1002/ajmg.c.30051. [DOI] [PubMed] [Google Scholar]
- Gu W, Roeder RG. Activation of p53 sequence-specific DNA binding by acetylation of the p53 C-terminal domain. Cell. 1997;90:595–606. doi: 10.1016/s0092-8674(00)80521-8. [DOI] [PubMed] [Google Scholar]
- Hendzel MJ, Wei Y, Mancini MA, Van Hooser A, Ranalli T, Brinkley BR, Bazett-Jones DP, Allis CD. Mitosis-specific phosphorylation of histone H3 initiates primarily within pericentromeric heterochromatin during G2 and spreads in an ordered fashion coincident with mitotic chromosome condensation. Chromosoma. 1997;106:348–360. doi: 10.1007/s004120050256. [DOI] [PubMed] [Google Scholar]
- Hong CS, Saint-Jeannet JP. Sox proteins and neural crest development. Semin Cell Dev Biol. 2005;16:694–703. doi: 10.1016/j.semcdb.2005.06.005. [DOI] [PubMed] [Google Scholar]
- Ikeda A, Ikeda S, Gridley T, Nishina PM, Naggert JK. Neural tube defects and neuroepithelial cell death in Tulp3 knockout mice. Hum Mol Genet. 2001;10:1325–1334. doi: 10.1093/hmg/10.12.1325. [DOI] [PubMed] [Google Scholar]
- Jin S, Levine AJ. The p53 functional circuit. J Cell Sci. 2001;114:4139–4140. doi: 10.1242/jcs.114.23.4139. [DOI] [PubMed] [Google Scholar]
- Joyner AL, Martin GR. En-1 and En-2, two mouse genes with sequence homology to the Drosophila engrailed gene: expression during embryogenesis. Genes Dev. 1987;1:29–38. doi: 10.1101/gad.1.1.29. [DOI] [PubMed] [Google Scholar]
- Juriloff DM, Harris MJ. Mouse models for neural tube closure defects. Hum Mol Genet. 2000;9:993–1000. doi: 10.1093/hmg/9.6.993. [DOI] [PubMed] [Google Scholar]
- Kikuchi H, Takami Y, Nakayama T. GCN5: a supervisor in all-inclusive control of vertebrate cell cycle progression through transcription regulation of various cell cycle-related genes. Gene. 2005;347:83–97. doi: 10.1016/j.gene.2004.12.007. [DOI] [PubMed] [Google Scholar]
- Kung AL, Rebel VI, Bronson RT, Ch’ng LE, Sieff CA, Livingston DM, Yao TP. Gene dose-dependent control of hematopoiesis and hematologic tumor suppression by CBP. Genes Dev. 2000;14:272–277. [PMC free article] [PubMed] [Google Scholar]
- Lee SM, Danielian PS, Fritzsch B, McMahon AP. Evidence that FGF8 signalling from the midbrain-hindbrain junction regulates growth and polarity in the developing midbrain. Development. 1997;124:959–969. doi: 10.1242/dev.124.5.959. [DOI] [PubMed] [Google Scholar]
- Lin W, Srajer G, Evrard YA, Phan HM, Furuta Y, Dent SY. Developmental potential of Gcn5(−/−) embryonic stem cells in vivo and in vitro. Dev Dyn. 2007;236:1547–1557. doi: 10.1002/dvdy.21160. [DOI] [PubMed] [Google Scholar]
- Mansour SL, Thomas KR, Capecchi MR. Disruption of the proto-oncogene int-2 in mouse embryo-derived stem cells: a general strategy for targeting mutations to non-selectable genes. Nature. 1988;336:348–352. doi: 10.1038/336348a0. [DOI] [PubMed] [Google Scholar]
- Morriss-Kay GM. Craniofacial defects in AP-2 null mutant mice. Bioessays. 1996;18:785–788. doi: 10.1002/bies.950181004. [DOI] [PubMed] [Google Scholar]
- Nagy A, Gertsenstein M, Vintersten K, Behringer RR. Manipulating the mouse embryo; a laboratory manual. Cold Spring Harbor Laboratory Press; 2003. [Google Scholar]
- Oike Y, Takakura N, Hata A, Kaname T, Akizuki M, Yamaguchi Y, Yasue H, Araki K, Yamamura K, Suda T. Mice homozygous for a truncated form of CREB-binding protein exhibit defects in hematopoiesis and vasculo-angiogenesis. Blood. 1999;93:2771–2779. [PubMed] [Google Scholar]
- Phan HM, Xu AW, Coco C, Srajer G, Wyszomierski S, Evrard YA, Eckner R, Dent SY. GCN5 and p300 share essential functions during early embryogenesis. Dev Dyn. 2005;233:1337–1347. doi: 10.1002/dvdy.20445. [DOI] [PubMed] [Google Scholar]
- Picketts DJ, Higgs DR, Bachoo S, Blake DJ, Quarrell OW, Gibbons RJ. ATRX encodes a novel member of the SNF2 family of proteins: mutations point to a common mechanism underlying the ATR-X syndrome. Hum Mol Genet. 1996;5:1899–1907. doi: 10.1093/hmg/5.12.1899. [DOI] [PubMed] [Google Scholar]
- Roth SY, Denu JM, Allis CD. Histone Acetyltransferases. Annu Rev Biochem. 2001;70:81–120. doi: 10.1146/annurev.biochem.70.1.81. [DOI] [PubMed] [Google Scholar]
- Sah VP, Attardi LD, Mulligan GJ, Williams BO, Bronson RT, Jacks T. A subset of p53-deficient embryos exhibit exencephaly. Nat Genet. 1995;10:175–180. doi: 10.1038/ng0695-175. [DOI] [PubMed] [Google Scholar]
- Simeone A, Acampora D, Gulisano M, Stornaiuolo A, Boncinelli E. Nested expression domains of four homeobox genes in developing rostral brain. Nature. 1992;358:687–690. doi: 10.1038/358687a0. [DOI] [PubMed] [Google Scholar]
- Soo K, O’Rourke MP, Khoo PL, Steiner KA, Wong N, Behringer RR, Tam PP. Twist function is required for the morphogenesis of the cephalic neural tube and the differentiation of the cranial neural crest cells in the mouse embryo. Dev Biol. 2002;247:251–270. doi: 10.1006/dbio.2002.0699. [DOI] [PubMed] [Google Scholar]
- Ting SB, Wilanowski T, Auden A, Hall M, Voss AK, Thomas T, Parekh V, Cunningham JM, Jane SM. Inositol- and folate-resistant neural tube defects in mice lacking the epithelial-specific factor Grhl-3. Nat Med. 2003;9:1513–1519. doi: 10.1038/nm961. [DOI] [PubMed] [Google Scholar]
- Tou L, Liu Q, Shivdasani RA. Regulation of mammalian epithelial differentiation and intestine development by class I histone deacetylases. Mol Cell Biol. 2004;24:3132–3139. doi: 10.1128/MCB.24.8.3132-3139.2004. [DOI] [PMC free article] [PubMed] [Google Scholar]
- Vega RB, Matsuda K, Oh J, Barbosa AC, Yang X, Meadows E, McAnally J, Pomajzl C, Shelton JM, Richardson JA, Karsenty G, Olson EN. Histone deacetylase 4 controls chondrocyte hypertrophy during skeletogenesis. Cell. 2004;119:555–566. doi: 10.1016/j.cell.2004.10.024. [DOI] [PubMed] [Google Scholar]
- Wakamiya M, Lindsay EA, Rivera-Perez JA, Baldini A, Behringer RR. Functional analysis of Gscl in the pathogenesis of the DiGeorge and velocardiofacial syndromes. Hum Mol Genet. 1998;7:1835–1840. doi: 10.1093/hmg/7.12.1835. [DOI] [PubMed] [Google Scholar]
- Weil M, Jacobson MD, Raff MC. Is programmed cell death required for neural tube closure? Curr Biol. 1997;7:281–284. doi: 10.1016/s0960-9822(06)00125-4. [DOI] [PubMed] [Google Scholar]
- Wilson L, Maden M. The mechanisms of dorsoventral patterning in the vertebrate neural tube. Dev Biol. 2005;282:1–13. doi: 10.1016/j.ydbio.2005.02.027. [DOI] [PubMed] [Google Scholar]
- Xu W, Edmondson DG, Evrard Y, Wakamiya M, Behringer RR, Roth SY. Loss of GCN5 leads to increased apoptosis and mesodermal defects during mouse development. Nature Gen. 2000;26:229–232. doi: 10.1038/79973. [DOI] [PubMed] [Google Scholar]
- Xu W, Edmondson DG, Roth SY. Mammalian GCN5 and P/CAF acetyltransferases share homologous amino-terminal domains important for the recognition of nucleosomal substrates. Mol. Cell. Biol. 1998;18:5659–5669. doi: 10.1128/mcb.18.10.5659. [DOI] [PMC free article] [PubMed] [Google Scholar]
- Xu X, Li C, Takahashi K, Slavkin HC, Shum L, Deng CX. Murine fibroblast growth factor receptor 1alpha isoforms mediate node regression and are essential for posterior mesoderm development. Dev Biol. 1999;208:293–306. doi: 10.1006/dbio.1999.9227. [DOI] [PubMed] [Google Scholar]
- Yamauchi T, Yamauchi J, Kuwata T, Tamura T, Yamashita T, Bae N, Westphal H, Ozato K, Nakatani Y. Distinct but overlapping roles of the histone acetylase PCAF and of the closely related PCAF-B/GCN5 in mouse embryogenesis. Proc. Natl. Acad. Sci., USA. 2000;97:11303–11306. doi: 10.1073/pnas.97.21.11303. [DOI] [PMC free article] [PubMed] [Google Scholar]
- Yao TP, Oh SP, Fuchs M, Zhou ND, Ch’ng LE, Newsome D, Bronson RT, Li E, Livingston DM, Eckner R. Gene dosage-dependent embryonic development and proliferation defects in mice lacking the transcriptional integrator p300. Cell. 1998;93:361–372. doi: 10.1016/s0092-8674(00)81165-4. [DOI] [PubMed] [Google Scholar]
- Zhang C, McKinsey T, Chang S, Antos C, Hill J, Olson E. Class II Histone Deacetylases Act as Signal-Responsive Repressors of Cardiac Hypertrophy. Cell. 2002;110:479. doi: 10.1016/s0092-8674(02)00861-9. [DOI] [PMC free article] [PubMed] [Google Scholar]
- Zhang W, Bone JR, Edmondson DG, Turner BM, Roth SY. Essential and redundant functions of histone acetylation revealed by mutation of target lysines and loss of the Gcn5p acetyltransferase. EMBO J. 1998;17:3155–3167. doi: 10.1093/emboj/17.11.3155. [DOI] [PMC free article] [PubMed] [Google Scholar]
- Zhao Q, Behringer RR, de Crombrugghe B. Prenatal folic acid treatment suppresses acrania and meroanencephaly in mice mutant for the Cart1 homeobox gene. Nat Genet. 1996;13:275–283. doi: 10.1038/ng0796-275. [DOI] [PubMed] [Google Scholar]
- Zohn IE, Anderson KV, Niswander L. Using genomewide mutagenesis screens to identify the genes required for neural tube closure in the mouse. Birth Defects Res A Clin Mol Teratol. 2005;73:583–590. doi: 10.1002/bdra.20164. [DOI] [PubMed] [Google Scholar]
Associated Data
This section collects any data citations, data availability statements, or supplementary materials included in this article.
Supplementary Materials
Suppl. Fig. 1. Genotyping of embryos bearing the Gcn5flox and Gcn5Δex3-18 alleles.
A). Representative Southern blot to identify Gcn5flox/flox and Gcn5flox/+ mice.
B). Representative PCR analyses to identify mice bearing the Gcn5Δex3-18 allele. Primers corresponding to sequences in exons 2 and 19 (to detect the mutant allele) or exaons 2 and 3 (to detect the wild type allel) are described in Experimental Procedures.
Suppl. Fig 2. A) Northern blots to measure Gcn5 expression in embryos of the indicated genotypes, normalized to the GAPDH. (B) Northern blots to measure Gcn5 expression in MEFs, normalized to actin. Each lane represents analysis of RNA isolated from an individual embryo or MEF line. Numbers indicate averages after normalization to the control RNA, with wild type set to 1.0.
Suppl. Fig 3. Immunoblot to analyze histone H3 acetylation levels in embryos with the indicated genotypes. Each lane represents protein extracted from an individual embryo. Numbers indicate the relative level of acetylation normalized to the amount of H3 present, with wild type set to 1.0.








