Abstract
Background:
Patients with 1–5 skin lesions are clinically categorized as paucibacillary for treatment purposes. For betterment and adequate treatment of patients, this grouping needs further study.
Aim:
To study a group of leprosy patients with 1–5 skin lesions, compare clinical details with histopathological findings and bacteriological status of the skin to evaluate the relevance of this grouping.
Materials and Methods:
Two-year study involving 31 patients of leprosy with 1-5 skin lesions was included in this study. A number of skin lesions were recorded. Skin biopsies were taken in all patients. The biopsies were evaluated for the type of pathology and acid fast bacilli (AFB) status.
Results:
Of 31 patients, 19 (61.2%) had single skin lesion, 7 (22.5%) had two lesions, 4 (12.9%) had three lesions, and only one (3.22%) had four lesions, there were no patients with five lesions. Of the 31 patients, 30 (96.7%) were clinically diagnosed as borderline tuberculoid and one patient (3.22%) has tuberculoid leprosy. Skin smears were negative for AFB in all patients. The histological diagnoses were: TT 1 (3.22%), BT 24 (77.41%), and IL 6 (19.2%). AFB were found in 2 (6.45%) out of 31 skin biopsies. Clinicopathological correlation was 76.6% in the BT group.
Conclusion:
Tissue biopsy findings in 1–5 skin lesions which were not considered relevant for treatment purposes until now should be given a status in the categorization and assessment of severity of the disease. The significance of finding of AFB and histopathology of multibacillary (MB) type of leprosy in tissue biopsies, in patients grouped as PB should be resolved so that patients could be given the drug therapy and duration of therapy they warrant.
Keywords: Leprosy, paucibacillary, histopathological, bacteriological evaluation
INTRODUCTION
Leprosy patients with less than five skin lesions are grouped into paucibacillary (PB) group for treatment purposes without taking into account their size and extent of lesions or the number of nerves involved; the clinical classification of leprosy is not considered relevant. They are uniformly treated with PB multidrug therapy for a fixed duration of 6 months as per WHO recommendations. This group potentially consists of patients with diverse clinical, bacteriological, and histopathological features. This categorization of leprosy based on the number of skin lesions for treatment purposes is arbitrary and is purely for the convenience of field workers.
In 1998, the WHO expert committee on leprosy proposed MDT-PB for leprosy patients with 1-5 skin lesions but did not mention any scientific basis for such a recommendation except citing the nonreliability of skin smear services,[1] which were considered relevant till then.
As per clinical classification for control programs of 1982 by WHO, bacterial index < 2+ on Ridley scale was termed PB and that with bacterial index > 2+ was termed multibacillary (MB). This was changed in 1988, in which bacterial index of zero was considered as PB and the ones with bacterial index of 1+ or above as MB.
There has been a substantial decrease in the numbers of leprosy patients after the implementation of MDT for leprosy. In the National Leprosy Elimination Programme in India, the proportion of MB cases was seen to increase in states heading toward elimination.[2,3] However, this increase was marginal as PB cases still account for more than 60% of the leprosy cases in India in the year 2004. Study of this PB group for variations and patterns is not only important in the present context, but also relevant in devising future strategies in leprosy control programs. In this study, we analyzed the clinical, bacteriological, and histopathological features of this group of patients based on detailed clinical examination, skin smear findings, and skin histopathology.
MATERIALS AND METHODS
Thirty-one patients of leprosy with 1–5 skin lesions attending the Department of Dermatology, JJMMC, Davangere, Karnataka, over a period of 2 years were included in this study. There were 24 males and 7 females with the age range of 15–60 years. Clinical findings in these patients were recorded. The diagnosis was based on the presence of hypopigmented hypoesthetic skin lesions and cutaneous and/or peripheral nerve thickening. The clinical features, morphology, and number of lesions were recorded. Patients with reactions were excluded from the study. Slit skin smear and skin biopsy were performed on the most representative lesion in all patients. The sections were stained with hematoxylin and eosin (H&E) and modified Fite stain, and studied by pathologist. The type and character of granuloma and the presence of acid fast bacilli (AFB) were noted. The bacillary index of granuloma (BIG) was calculated in the tissue biopsy specimen.
RESULTS
Of the 31 patients, 19 (61.2%) had single skin lesions [Figure 1], 7 (22.5%) had two, 4 (12.9%) had three, 1 (3.22%) had four skin lesions. Their clinical classification was tuberculoid leprosy (TT) in 1 patient and borderline tuberculoid (BT) in 30 patients. Slit skin smear (SSS) for AFB was negative in all patients.
Figure 1.

TT – well-defined raised erythematous lesion
The histopathological findings of H and E stained skin biopsies were as follows: TT (1), BT (23) [Figures 2–5] IL (6) patients. The BIG values on modified Fite stain were 1+ in two biopsies which showed features of BT on histopathology [Table 1].
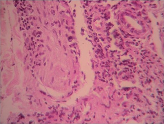
Figure 2.

BT – pan dermal granuloma with langhans giant cells hugging the epidermis, H and E; 4×
Figure 5.

Fite faraco stain – AFB in nerve twig, H and E; 40×
Table 1.
Skin biopsies with histopathological features and BIG

Figure 3.

Initial sections – nonspecific infiltrate – H and E; 4×
Figure 4.

Deeper sections – lymphohistiocytic aggregate around nerve twigs, H and E; 40×
In the BT group, 23 out of 30 patients showed concordance, i.e., clinicopathological correlation was 76.6%. [Table 2].
Table 2.
Clinicopathological correlation among 31 patients under study

The percentage of positivity of AFB was 0% in SSS, and 6.45% in skin biopsies.
DISCUSSION
Leprosy patients with 1–5 skin lesions are grouped together as PB for treatment purposes. This study reveals that patients with 1–5 skin lesions present with varied clinical and histopathological features which points to the nonhomogeneous nature of this group.
Two patients with clinical features of BT leprosy had BIG of 1+ on skin biopsy, which highlights the importance of Fite faraco stain on skin biopsies which reveals the presence of M. leprae bacilli better than SSS, thus indicating the importance of histopathology and AFB stain on skin biopsy to rule out MB type in patients clinically grouped as PB type.
The significance of our observation is that patients with 1–5 skin lesions do not have disease of similar severity, and can reveal AFB in few of them. It is known that clinical features in leprosy patients reflect only the gross morphology of the underlying pathological changes. Significant discrepancies have been reported between the bacteriological and immunological status of the nerve and skin compared to the clinical diagnosis.[4–6]
These features should also be considered while establishing treatment programs for leprosy.[7] It has been observed that a few BT patients harbor AFB in their nerves for many years, even though they become clinically inactive following MDT.[8] Explanation for this could lie in defective macrophage function. Bacterial clearing capacity within a lepromin-induced granuloma is not invariably present in all tuberculoid and indeterminate leprosy patients.[9]
This study thus makes it mandatory to study tissue biopsy findings in all leprosy patients which were not considered relevant for treatment purposes until now, and thus could be given a status in the categorization and assessment of severity of the disease. The significance of the finding of AFB (1+ or more) and histopathology of MB type of leprosy in tissue biopsies, in patients grouped as PB leprosy should be resolved so that these patients could be given the drug therapy and duration of therapy they warrant.[10]
Footnotes
Source of Support: Nil
Conflict of Interest: None declared.
REFERENCES
- 1.WHO expert committee on leprosy, seventh report, WHO technical report series. WHO: Geneva; 1998. p. 874. [PubMed] [Google Scholar]
- 2.Mahajan VK, Sharma NL, Rana P, Sood N. Trends in detection of new leprosy cases at two centres in Himachal Pradesh, India: a ten-year study. Indian J Lepr. 2003;75:17–24. [PubMed] [Google Scholar]
- 3.Directorate of Health services (Leprosy cell. National Leprosy Eradication Programme Chattisgarh. 2004.
- 4.Kar PK, Arora PN, Ramasastry CV, Sayal SK, Dhaka RS. A clinical and pathological study of macular lesions in leprosy. Indian J Lepr. 1994;66:435–42. [PubMed] [Google Scholar]
- 5.Shenoi SD, Siddappa K. Correlation of clinical and histopathologic features in untreated macular lesions of leprosy – a study of 100 cases. Indian J Lepr. 1988;60:202–6. [PubMed] [Google Scholar]
- 6.Mukherjee A, Misra RS. Comparative histology of skin and nerve granulomas in leprosy patients. Lepr Rev. 1988;59:177–80. doi: 10.5935/0305-7518.19880022. [DOI] [PubMed] [Google Scholar]
- 7.Nilsen R, Mengistu G, Reddy BB. The role of nerve biopsies in diagnosis and management of leprosy. Lepr Rev. 1989;60:28–32. doi: 10.5935/0305-7518.19890004. [DOI] [PubMed] [Google Scholar]
- 8.Shetty VP, Suchitra K, Uplekar MW, Antia NH. Persistence of Mycobacterium leprae in peripheral nerves as compared to skin in multidrug treated leprosy patients. Lepr Rev. 1992;63:329–36. doi: 10.5935/0305-7518.19920039. [DOI] [PubMed] [Google Scholar]
- 9.Chaudhuri S, Hajra SK, Mukherjee A, Saha B, Mazumder B, Chattapadhya D, et al. Why relapse occurs in PB leprosy patients after adequate MDT despite they are Mitsuda reactive: lessons form convit's experiment on bacteria clearing capacity of lepromin induced granuloma. Int J Lepr Other Mycobact Dis. 1998;66:182–9. [PubMed] [Google Scholar]
- 10.Rao PN, Pratap D, Ramana Reddy AV, Sujai S. Evaluation of leprosy patients with 1-5 skin lesions with relevance to their grouping into PB or MB disease. Indian J Dermatol Venereol Leprol. 2006;72:207–10. doi: 10.4103/0378-6323.25781. [DOI] [PubMed] [Google Scholar]
