Abstract
Background
Placental malaria is associated with local accumulation of parasitized erythrocytes, deposition of the parasite hemoglobin metabolite, hemozoin, and accumulation of mononuclear cells in the intervillous space. Fetal syncytiotrophoblast cells in contact with maternal blood are known to respond immunologically to cytoadherent Plasmodium falciparum-infected erythrocytes, but their responsiveness to hemozoin, a potent pro-inflammatory stimulator of monocytes, macrophages and dendritic cells, is not known.
Methods
The biochemical and immunological changes induced in primary syncytiotrophoblast by natural hemozoin was assessed. Changes in syncytiotrophoblast mitogen-activated protein kinase activation was assessed by immunoblotting and secreted cytokine and chemokine proteins were assayed by ELISA. Chemotaxis of peripheral blood mononuclear cells was assessed using a two-chamber assay system and flow cytometry was used to assess the activation of primary monocytes by hemozoin-stimulated syncytiotrophoblast conditioned medium.
Results
Hemozoin stimulation induced ERK1/2 phosphorylation. Treated cells secreted CXCL8, CCL3, CCL4, and tumor necrosis factor and released soluble intercellular adhesion molecule-1. Furthermore, the dependence of the hemozoin responses on ERK1/2 stimulation was confirmed by inhibition of chemokine release in syncytiotrophoblast treated with an ERK pathway inhibitor. Hemozoin-stimulated cells elicited the specific migration of PBMCs, and conditioned medium from the cells induced the upregulation of intercellular adhesion molecule-1 on primary monocytes.
Conclusions
These findings confirm an immunostimulatory role for hemozoin and expand the cell types known to be responsive to hemozoin to include fetal syncytiotrophoblast. The results provide further evidence that syncytiotrophoblast cells can influence the local maternal immune response to placental malaria.
Keywords: Malaria, Hemozoin, Syncytiotrophoblast, Cytokines
Introduction
Malarial infection is detrimental to pregnancy outcome, contributing to preterm labor, intrauterine growth retardation, and low birth weight (LBW). The World Malaria Report, 2008 reports that an estimated 243 million malaria cases occur each year [1]; in sub-Saharan Africa, at least 25% of pregnant women have evidence of malarial infection at delivery [2]. In infections with Plasmodium falciparum, infected red blood cells (iRBCs) sequester in the intervillous space (IVS) of the placenta by binding to receptors on the syncytiotrophoblast (ST) [3]. This is often accompanied by an intense accumulation of maternal inflammatory cells, leading to a condition referred to as placental malaria (PM). In malaria endemic areas, an estimated one of every five cases of LBW is attributable to PM, and maternal infection contributes to 75,000–200,000 infant deaths annually [2].
During the intraerythrocytic stage of malaria, parasites digest hemoglobin in the food vacuole, resulting in the production of potentially toxic heme metabolites [4]. To protect itself from oxidative damage, the parasite detoxifies the heme by converting it to an insoluble crystal called malarial pigment or hemozoin [5]. Synthetic hemozoin (sHz; also known as β-hematin) can be chemically synthesized from hemin chloride under acidic conditions and is structurally similar to natural Hz (Hz) (reviewed in [6]). Both Hz and sHz have been used extensively to probe the host response to this ubiquitous parasite byproduct, a response that has been unequivocably shown to be pro-inflammatory [7].
PM-associated placental histopathology is characterized by the presence of Hz extracellularly in the IVS, often trapped in fibrin, and in maternal macrophages [8]. Hz accumulates in tissue and remains for several months, even after parasite clearance [9]. Several epidemiological studies have demonstrated the presence of Hz in the placental tissue of women even in the absence of detectable placental or peripheral parasites [8,10]. Importantly, Hz has been shown to induce cytokine and chemokine secretion by hematopoietic cells [11,12]. During PM, Hz-laden macrophages secrete the chemokines CCL2, CCL3 [13], and CXCL8, and the proinflammatory cytokine tumor necrosis factor (TNF) [14]. However, high levels of placental Hz-laden leukocytes were also shown to suppress ex vivo cytokine and prostaglandin E2 production by intervillous blood mononuclear cells [15,16], suggesting that acute and chronic exposure to Hz may have differential effects in the placenta, similar to what has been proposed for dendritic cells [17]. Considered together, these findings suggest that Hz is a critical determinant in the placental immune environment during PM.
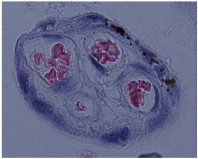
While the presence of Hz in the IVS during PM is widely reported, it can also be found in the ST [8], in limited cases at high levels (Figure 1). The extent to which this cell can respond to Hz, however, has not been studied. We have previously observed that cultured ST respond to cytoadherent P. falciparum by activating the mitogen-activated protein kinase (MAPK) JNK, secreting cytokines and chemokines, and eliciting migration of peripheral blood mononuclear cells (PBMCs) [18,19,20]. In the present study, exposure of ST cells to Hz resulted in the secretion of chemokines and other soluble products in an ERK1/2 MAPK-dependent manner. The secreted products elicited the migration of normal PBMCs and induced the upregulation of Intercellular Adhesion Molecule (ICAM)-1 on primary peripheral blood monocytes.
Figure 1. Hz uptake into ST in vivo.

Hematoxylin and eosin-stained placental tissue from a malaria-exposed Kenyan woman shows clear evidence of intracellular localization of Hz in ST, suggesting that ST immune responses to Hz, as reported herein, have the potential to influence the placental immunological environment in vivo.
Materials and methods
Collection of placentae and trophoblast cell culture
Term placentae were obtained from women delivering either by elective cesarean section at Athens Regional Medical Center, Athens, Georgia (for trophoblast isolation), or by vaginal delivery at Siaya District Hospital in Siaya, Kenya (for histopathology), after written informed consent was obtained. This study was reviewed and approved by the University of Georgia and Athens Regional Medical Center Institutional Review Boards; collection of placentae for histopathology of PM was further approved by the Kenya Medical Research Institute Ethical Review Committee. Primary cytotrophoblast cells were isolated and cultured as described previously [19]. The cells were exposed to varying concentrations of Hz (prepared as described below) within a physiologically relevant range (0.1 – 20μg/mL) [21]; 10 μg/mL was deemed optimal for immunologic activation of the ST cells (Figure 1S). ST cells were also stimulated with 10 μg/mL E. coli lipopolysaccharide (LPS; Sigma Aldrich, St. MO) or 10 μg/mL synthetic Hz (prepared as described below) and cultured for up to 24 h. Kenyan placentae were preserved in Streck Tissue Fixative (Streck Laboratories, Omaha, NE), paraffin-embedded, and 5 μm sections stained with hematoxylin and eosin.
Preparation of natural Hz
Natural Hz was prepared as previously described [21] using in vitro cultures of P. falciparum iRBCs (strain FCR3). The preparation was ascertained to be endotoxin-free by the use of the Limulus Amoebocyte Lysate gel-clot test (Cambrex Corp. East Rutherford, NJ).
Preparation of sHz
sHz was prepared as previously described [22] with some modifications. HPLC-purified hemin (MP Biomedical, Solon OH) was dissolved in NaOH and the heme precipitated by addition of glacial acetic acid for 12 hours at 80°C. Crystalline sHz was washed five times with E-Toxate water (endotoxin free water; (Sigma Aldrich, St. MO), five times with sodium bicarbonate to fully remove free heme, and finally five times with E-Toxate water. The dried sHz was suspended in endotoxin-free PBS at a final concentration of 1 mg/mL, treated with polymyxin B (Sigma Aldrich, St. MO) to remove trace contamination with endotoxin, and then washed 10 times with endotoxin free PBS to remove the polymyxin B. The sHz was confirmed to be endotoxin free as described above and stored at −20°C.
Immunoblotting
Protein lysates from primary ST were prepared as previously described [20]. Thirty-five μg/lane of the lysates (12 μg for LPS-stimulated cells) were separated on a 10% SDS-PAGE and transferred to nitrocellulose membrane. The immunoblotting was performed as previously described, using unconjugated mouse monoclonal antibodies against phosphorylated ERK1/2, JNK1/2 and p38 and rabbit anti-mouse HRP-conjugated antibodies (Cell Signaling Technology Inc., Danvers, MA) as recommended by the manufacturer [20]. Proteins were detected using an enhanced chemiluminescence reagent (Pierce, Rockford, IL) with blue autoradiography film (Genesee Scientific, San Diego, CA). Membranes were stripped with stripping buffer (2% SDS; 62.5 mM Tris–HCl, pH 6.7; 100 mM 2-mercaptoethanol) and reprobed with antibodies against non-phosphorylated forms of the relevant MAPK (Cell Signaling Technologies), which served as loading controls for densitometry analysis (using ImageJ software v.1.43) [23].
Cytokine, chemokine and cell surface receptor detection by ELISA
Supernatants from stimulated ST were collected over a 24 h time course and stored at −85°C until used for measurement of CCL3, CCL4, TNF, soluble TNF receptor-1 (sTNF-R1), sTNF-R2, CXCL8, macrophage migration inhibitory factor (MIF) and soluble ICAM-1 (sICAM-1) by ELISA (R&D Systems, Inc. Minneapolis, MN). Limits of detection were, respectively, 1 pg/mL for CCL3, 2 pg/mL for CCL4, TNF, sTNF-R1 and −R2, 4 pg/mL for CXCL8 and sICAM-1, and 8 pg/mL for MIF. IL-10, CCL5 and CCL17 were also assayed but were not detected (data not shown). Protein concentrations were determined using a curve obtained from known concentrations of standards included in each assay plate.
Inhibition assays
In some experiments, ST cells were treated with 10 μM of the MEK1/2 inhibitor (PD98059; Cell Signaling Technology, Inc. Beverly, MA), an ERK1/2 inhibitor, for 30 minutes before and during stimulation with Hz or LPS. Supernatants collected over a 24 h time course were assayed for the secretion of cytokines, chemokines and other immune factors as above.
Chemotaxis assay
Heparinized peripheral blood was obtained from healthy volunteers. To isolate PBMCs, blood was diluted 1:1 with PBS and PBMCs separated using fico-lite LymphoH (Atlanta Biological, Atlanta, GA). ST cells were cultured in 24-well plates (BD Biosciences, Franklin Lakes, NJ) and exposed for 12 h to 10 μg/ml Hz, 10 μg/ml sHz, 1μg/ml LPS or left unstimulated. Culture inserts (3-μm) (BD Biosciences, Franklin Lakes, NJ) were then seeded with PBMCs at 5 × 105 cells/ml and incubated for an additional 12 h. The inserts were carefully wiped with cotton swabs to remove non-migrated cells. Migrated cells were stained with calcein-AM (Molecular Probes, Eugene, OR) for 30 minutes at 37°C, washed and then enumerated in ten random fields under an inverted fluorescence microscope at 20X magnification.
Monocyte activation assay
PBMCs isolated as described above were plated in RPMI supplemented with 10% fetal bovine serum, 1mM L-glutamine, 1mM penicillin and 1mM streptomycin (Sigma Aldrich, St. MO). After 2–5 hours incubation at 37° C with 5% CO2, non-adherent cells were removed by gentle swirling and aspiration. Conditioned medium collected after stimulation of ST for 24 h with LPS, Hz or sHz or from unstimulated ST controls was used to stimulate the enriched monocytes. Following incubation for 17 h, the cells were recovered, washed and stained with fluorochrome-conjugated antibodies against CD14 (to identify monocytes), CD54 (ICAM-1), CD64 (high affinity receptor for IgG), and HLA-DR (class II MHC) (all antibodies from eBioscience) and acquired on a Becton-Dickinson FACSCalibur. Median fluorescence intensity (MFI) for each marker was recorded using TreeStar FloJo software. To calculate percent change in marker expression, the following formula was used: [(MFI on cells exposed to test conditioned medium – MFI on cells exposed to control conditioned medium) ÷ MFI on cells exposed to control conditioned medium] × 100.
Statistics
To satisfy the normality assumption, cytokine and chemokine measures were log transformed where required for statistical analysis. GraphPad Prism 5.0 (San Diego, CA) software was used for all statistical tests unless otherwise noted. Test for linear trend was performed for each Hz-stimulated time course and Mann-Whitney U test used to compare the level of response between Hz and sHz in supernatants. One-way ANOVA with Bonferroni-corrected post-hoc pairwise comparison tests were used to analyze PBMC chemotaxis data; student’s t test was used to compare fold changes in migration index. Changes in MFI for monocyte markers following exposure to ST-conditioned media were analyzed using the General Linear Models lsmeans statement in SAS software (V9.1). In all cases, a value of P<0.05 was considered significant.
Results
Activation of ERK1/2 in ST cells by Hz
Exposure of ST cells to Hz induced modestly increased phosphorylation of ERK1/2 at 5 minutes post exposure (Figure 2A), which decreased thereafter. This increase was in the same range as LPS-stimulated ERK1/2 phosphorylation at 30 minutes post-stimulation (Figure 2B). ERK1/2 phosphorylation was specific to Hz, because no such increase was observed following sHz stimulation (Figure 2A and B). In contrast to ERK1/2, JNK1/2 phosphorylation was equally elicited by Hz and sHz, and did not reach the level seen with LPS stimulation (Figure 2B), which activated both JNK1 and JNK2 (upper and lower bands, respectively, in Figure 2A). Neither Hz nor sHz exposure resulted in p38 activation (data not shown).
Figure 2. Hz but not sHz promotes activation of ERK1/2 MAPK in ST.
(A) Primary ST were stimulated with Hz over the time course shown (in minutes). Cells were also exposed to Hz for 30 min in the presence of MEK1/2 inhibitor (I), and with sHz or LPS for 30 min. The expression of total and phospho-ERK1 (top bands) and ERK 2 (lower bands) and JNK1 (top bands) and JNK 2 (lower bands) for one representative sample is shown. In this example, protein loaded for LPS lanes is 1/3 of amount in other lanes. (B) Densitometry analysis of ERK1/2 and JNK1/2 data from 5 and 7 samples, respectively, is shown. Relative fold changes in phosphorylation were calculated as the ratio of phosphorylated protein over the total ERK1/2 or JNK1/2 with 0 time (unstimulated) as a control (dotted line). Bars represent mean ± standard error of the mean.
Cytokine and chemokine secretion and cell surface receptor release by ST stimulated with Hz and sHz
Exposure of primary ST to Hz induced an increase in the secretion of CXCL8, CCL3, CCL4, and TNF, and the release of sICAM-1 (Figure 3A–E), responses not observed with sHz at 24 h post-stimulation (Figure 3). In each case, Hz-induced secretion increased over time as evidenced by statistically significant positive linear trends (Table 1). No significant increases in the secretion of MIF, sTNFR1 and sTNFR2 were observed (Figure 3F–H and Table 1).
Figure 3. Hz-stimulated ST cells secrete cytokines and chemokines and release cell-surface receptors.
ST cells were left unstimulated or exposed to Hz over a 24 h time course or to sHz for 24 h. Culture supernatants were collected at the time points indicated and assayed by ELISA for (A) CXCL8 (n = 17), (B) CCL3 (n = 14), (C) CCL4 (n = 19), (D) TNF (n = 12), (E) sICAM-1 (n = 13), (F) MIF (n = 9), (G) sTNFRI (n = 9), and (H) sTNFRII (n = 12). Data represent geometric mean with 95% CI with background (medium only at corresponding time point) values subtracted. P values shown are derived from comparison of response levels for Hz and sHz at 24 h by Mann-Whitney U test. NS = not significant.
Table 1.
Summarized results of the test for linear trend in ST secretory responses to Hz over a 24 h time-coursea
| Factors tested | Slope | R2 | P valueb | 
|---|---|---|---|
| CXCL8 | 0.223 | 0.161 | 0.0008 | 
| CCL3 | 0.14 | 0.12 | 0.009 | 
| CCL4 | 0.212 | 0.214 | <0.0001 | 
| sICAM | 0.232 | 0.178 | 0.0019 | 
| MIF | 0.143 | 0.08 | 0.097 | 
| sTNFR1 | 0.043 | 0.016 | 0.46 | 
| sTNFR2 | 0.05 | 0.025 | 0.293 | 
| TNF | 0.097 | 0.117 | 0.008 | 
For data shown in Figure 3.
Significant values are in bold.
Cytokine and chemokine secretion and cell surface receptor release by ST cells is differentially ERK1/2-dependent
Inhibition of ERK1/2 completely suppressed Hz-induced ERK1/2 activation, but had no effect on JNK1/2 phosphorylation (Figure 2A and B). ERK1/2 inhibition reduced Hz-induced release of CXCL8 and CCL3 among five out of six samples tested; the sixth sample consistently responded poorly to Hz stimulation while producing chemokine levels comparable to other samples in response to LPS (Figure 4A and B). This same individual produced CCL4 in response to Hz, but both inhibitor and vehicle alone suppressed this response (Figure 4C, marked with an asterisk). Interestingly, one other sample produced no detectable CCL4, regardless of culture conditions, but did produce CXCL8 and CCL3 in response to Hz and LPS (Figure 4A–C). Generation of sICAM appeared to be controlled by more than one signaling pathway, since its release was variable and increased in the presence of inhibitor for two of six ST preparations (Figure 4D).
Figure 4. ST activation and functional response by Hz involves the ERK1/2 pathway.
ST cells were exposed to Hz or LPS in the presence or absence of MEK1/2 inhibitor (I) for 24 h. Control wells received Hz or LPS in the presence of vehicle (V; methanol). Culture supernatants were collected from six different placentae and assayed by ELISA for (A) CXCL8, (B) CCL3, (C) CCL4, and (D) sICAM-1. *Denotes individual sample non-responsive in panels A and B as referred in text.
Migration of human PBMC towards Hz-stimulated ST
As shown in Figure 5, PBMCs exposed to Hz-stimulated ST in a transwell culture system migrated to a similar degree as observed for LPS-stimulated ST (Hz, P = 0.05; LPS, P = 0.01; both relative to unstimulated ST). The effect was specific to Hz because sHz-stimulated PBMC chemotaxis was similar to the medium control (unstim; Figure 5). The fold change in mean migrated cells toward Hz relative to sHz ranged from 3.0 to 7.7 (n = 4); the fold change for LPS relative to unstimulated cells ranged from 4.7 to 9.2 (n = 4). Hz-stimulated chemotaxis was therefore as robust as that elicited by LPS-exposed ST (P > 0.05 for Hz versus LPS).
Figure 5. Hz-stimulated ST cells recruit mononuclear cells.

Chemotaxis of purified PBMC elicited by ST cells stimulated with Hz, sHz and LPS or left unstimulated (unstim) was assessed using a two-chamber system. Shown are mean migrated cells/ten low power fields represented as mean ± standard deviation of four independent experiments. *P < 0.05.
Upregulation of ICAM-1 (CD54) on monocytes by conditioned medium obtained from Hz-stimulated ST cells
While Hz-stimulated ST conditioned medium had no effect on expression of HLA-DR and CD64 on CD14+ monocytes, ICAM-1 expression was modestly but significantly increased relative to monocytes exposed to medium from unstimulated or sHz-stimulated ST (Figure 6C–E). This effect was specific to Hz-exposed ST because sHz conditioned media tended to reduce monocytic ICAM-1 expression (Figure 6E). Whereas changes in expression of HLA-DR and ICAM-1 were similar following exposure to medium from Hz and LPS-exposed ST, CD64 expression was reduced with the latter (Figure 6F).
Figure 6. Conditioned medium obtained from Hz-stimulated ST cells upregulates ICAM-1 expression on monocytes.
Primary monocytes exposed to ST-conditioned medium were gated on the basis of forward and side-scatter characteristics (A) and expression of CD14 (B) and then assessed for changes in expression of HLA-DR, CD64 and ICAM-1 by flow cytometry. Hz-exposed ST medium resulted in a clear shift in intensity of ICAM-1 expression (results from two monocyte donors exposed to two different ST-derived conditioned media shown in C and D). (E) Monocytes (n = 3 donors) exposed to conditioned medium from sHz-stimulated (white bars) and Hz-stimulated (gray bars) ST (n = 3 donors). (F) Monocytes (n = 4 donors) exposed to conditioned medium from Hz-stimulated (gray bars) and LPS-stimulated (white bars) ST (n = five donors). Box plots represent median and upper and lower quartiles and whiskers represent upper and lower deciles for percent changes in median fluorescence intensity (MFI) for each marker. Among the four monocyte donors in F, there were differences in magnitude of responses to Hz and LPS, with changes in CD64 and ICAM-1 varying significantly (P ≤ 0.0103) among the donors. *P = 0.0031; **P = 0.0451.
Discussion
Although it has become increasingly evident that PM pathogenesis is mediated by an inappropriate maternal immune response to the presence of P. falciparum in the placenta [24], the mechanisms by which this immune response is elicited and maintained remain largely undefined. Maternal cellular and humoral components in the IVS are well studied, but relatively little has been learned about the fetal contribution. In a recent study, we demonstrated that ST responds immunologically to chondroitin sulfate A (CSA)-adherent P. falciparum-iRBCs [20]. In the present study, we provide evidence that ST cells are activated by and immunologically responsive to the presence of Hz. Together, these studies indicate that ST cells are broadly equipped to specifically recognize and immunologically respond to malarial parasites and their components in the maternal blood space of the placenta.
Activation of cytokine and chemokine secretion by Hz in macrophages and dendritic cells is mediated by ERK1/2 signaling [25]. The nature of the initial interaction between the cellular receptor(s) and Hz which lead to MAPK activation, however, remains controversial [7,26,27,28]. Parroche et al. [28] proposed that murine dendritic cells are activated via Toll-like receptor (TLR) 9 engagement by malarial DNA that is associated with released Hz. Other studies provide compelling evidence, however, that Hz stimulatory activity is independent of TLRs [7,26,27], and that parasite proteins bearing parasite DNA are the critical TLR9 ligand for dendritic cell activation, with no role at all for Hz [29]. While the relevant receptor(s) for ST activation, as well as the nature of the important stimulatory component(s) that is associated with Hz (as produced in this study), will require further investigation, it is clear that exposure of ST to Hz results in increased phosphorylation of ERK1/2, and sHz does not. Aside from the potential for Hz “companion” molecules, such as parasite proteins, DNA [29] or lipids [30], to account for the differences in ST responsiveness to Hz and sHz, the variable sizes of these molecules (determined by synthetic methodology) are known to profoundly affect their activity [27,31]. Thus, it is possible that cellular uptake and internalization of Hz and sHz by the ST may differ due to different morphologies of these molecules, resulting in significantly different responses. Assessment of the patterns of Hz and sHz internalization by primary ST in vitro, such as by transmission electron microscopy, should shed some light on this possibility. Finally, recent work in vitro and in vivo has revealed a role for sHz in activating the inflammasome, leading to secretion of IL-1β and other cytokines and chemokines [26,32,33]. In the in vitro studies, sHz stimulation was done in the presence of quantities several times greater than physiological levels of Hz in infected individuals [21]. The lack of ST response to sHz in this study may be related to the relatively lower, but physiologically relevant, amounts used. Moreover, no initiating TLR signal, which appears to be required for sHz inflammasome induction [26,32,33], was used in the present work. Nonetheless, secretion of IL-1β in response to sHz by ST was not assayed, and a role for the inflammasome in these cells should be investigated.
The chemokines CXCL8 [13], CCL3 [34], and CCL4 [13,34] are readily detectable in the maternal intervillous blood during PM, as are other indicators of inflammation such as TNF [35], sTNFR1, and sICAM-1 [36]. While Hz-stimulated macrophages play an important role in cytokine and chemokine production during malaria infection [11,12], the current study demonstrates for the first time that ST exposed to Hz is a potentially critical local source of these inflammatory indicators. During chronic, inflammatory PM, leukocytes, especially monocytes, accumulate to high levels in the IVS [37]. Indeed, gene expression of the chemokines CXCL8, CCL1, CCL2 and CCL3 is upregulated during PM and positively correlates with density of monocytes in the intervillous blood [13]. The present results suggest that the exposure and activation of ST by Hz during PM not only contributes to the high local levels of chemokines but may also play a central, perhaps initiating, role in the migration and accumulation of monocytes and other leukocytes in the IVS. Although the identity of the migrating cells was not determined in this study, it can be speculated, based on the chemokines secreted, that both lymphocytes and monocytes were recruited. CCL3 and CCL4 mediate the migration of activated T cells, monocytes, natural killer cells and dendritic cells [38]. CXCL8 is a well-described neutrophil chemokine [39] and also promotes adhesion of monocytes to vascular endothelium via expression of both CXCL8 receptors [40], revealing its role in recruitment of these cells as well. Results from this study indicate that the response of ST to Hz may also lead to the activation of recruited maternal immune cells, as evidenced by increased surface expression of ICAM-1 on monocytes. Thus, the ST is not only activated by the presence of Hz but is competent to contribute to the activation of maternal bystander cells, thereby potentially participating in both early protective and later chronic, pathogenic maternal responses to PM.
Interestingly, a differential activation of ST is observed following exposure to Hz and CSA-adherent iRBCs. We reported that exposure to cytoadherent iRBCs resulted in robust secretion of MIF [20], while in the current study the secretion of MIF was unaffected by Hz stimulation. Adherent iRBCs stimulate the activation of JNK1 with no ERK1/2 activation [20], whereas the opposite pattern is evident with Hz. Finally, the stimulation of PBMC chemotaxis by Hz-stimulated ST is substantially higher (up to an 8-fold increase relative to sHz) than the 1.7 fold increase for cytoadherent iRBCs relative to uninfected RBCs [20]. While interhost variability in ST response might account for this difference, and requires further detailed study for confirmation, it is noteworthy that the responses of ST cells to Hz were found to be as robust as those elicited by LPS, which is known to be a potent stimulator of ST immune function [41,42].
The differential activation of ST by iRBCs and Hz is likely to be due to the unique receptors that the two stimuli engage on ST cells. The proteoglycan core proteins bearing CSA that are most critical for ST binding and could be responsible for ST activation have not been determined. CD44, aggrecan and thrombomodulin have been proposed [43,44,45], but a role for these molecules in ST activation by CSA-adherent iRBCs remains to be established. As discussed above, the ST receptor for Hz (together with the variety of parasite molecules that can be expected to associate with it following schizogony in vivo) remains to be identified. We have confirmed that ST expresses TLR9 (N. Lucchi and J. M. Moore, unpublished data), which, importantly, is known to activate MAPK in a variety of cell types [46].
In conclusion, the present findings suggest that the maternal immune response to PM in the local placental environment, be it protective or pathogenic, is at least in part orchestrated by the ST response to malarial toxins like Hz. Thus, consideration of the fetal contribution to the pathogenesis of PM may be critical in interventions aimed at preventing or reducing poor birth outcomes associated with this condition.
Supplementary Material
Figure 1S: Concentration-dependent stimulation of ST cells by Hz.
ST cells were exposed to increasing concentration of Hz (0.1 μg, 1 μg, 10 μg, and 20 μg) as indicated. Supernatants were collected and assayed by ELISA for the factors shown. Shown are individual trophoblast preparation responses and the medians of the secreted or released factors. Comparison of factor secretion at 24 h for 10 μg vs 20 μg Hz stimulation by Mann Whitney U test revealed no significant differences (P > 0.05).
Acknowledgments
We thank the women who donated their placentae for our project and the staff of Athens Regional Medical Center, Athens, Georgia, and Siaya District Hospital, Siaya, Kenya, without whose support and active participation this study would not have been possible. This work was supported by the National Institutes of Health grants R01 AI050240 and R21 AI090439 to JMM. The content is solely the responsibility of the authors and does not necessarily represent the official views of NIAID or the National Institutes of Health.
Footnotes
Publisher's Disclaimer: This is a PDF file of an unedited manuscript that has been accepted for publication. As a service to our customers we are providing this early version of the manuscript. The manuscript will undergo copyediting, typesetting, and review of the resulting proof before it is published in its final citable form. Please note that during the production process errors may be discovered which could affect the content, and all legal disclaimers that apply to the journal pertain.
References
- 1.World Malaria Report, 2008. World Health Organization; 2008. [Google Scholar]
- 2.Desai M, ter Kuile FO, Nosten F, McGready R, Asamoa K, Brabin B, et al. Epidemiology and burden of malaria in pregnancy. Lancet Infect Dis. 2007;7:93–104. doi: 10.1016/S1473-3099(07)70021-X. [DOI] [PubMed] [Google Scholar]
- 3.Fried M, Duffy PE. Adherence of Plasmodium falciparum to chondroitin sulfate A in the human placenta. Science. 1996;272:1502–1504. doi: 10.1126/science.272.5267.1502. [DOI] [PubMed] [Google Scholar]
- 4.Francis SE, Sullivan DJ, Jr, Goldberg DE. Hemoglobin metabolism in the malaria parasite Plasmodium falciparum. Annu Rev Microbiol. 1997;51:97–123. doi: 10.1146/annurev.micro.51.1.97. [DOI] [PubMed] [Google Scholar]
- 5.Arese P, Schwarzer E. Malarial pigment (haemozoin): a very active ‘inert’ substance. Ann Trop Med Parasitol. 1997;91:501–516. doi: 10.1080/00034989760879. [DOI] [PubMed] [Google Scholar]
- 6.Egan TJ. Haemozoin formation. Mol Biochem Parasitol. 2008;157:127–136. doi: 10.1016/j.molbiopara.2007.11.005. [DOI] [PubMed] [Google Scholar]
- 7.Shio MT, Kassa FA, Bellemare MJ, Olivier M. Innate inflammatory response to the malarial pigment hemozoin. Microbes Infect. doi: 10.1016/j.micinf.2010.07.001. [DOI] [PubMed] [Google Scholar]
- 8.Galbraith RM, Faulk WP, Galbraith GM, Holbrook TW, Bray RS. The human materno-foetal relationship in malaria: I. Identification of pigment and parasites in the placenta. Trans R Soc Trop Med Hyg. 1980;74:52–60. doi: 10.1016/0035-9203(80)90011-5. [DOI] [PubMed] [Google Scholar]
- 9.Levesque MA, Sullivan AD, Meshnick SR. Splenic and hepatic hemozoin in mice after malaria parasite clearance. J Parasitol. 1999;85:570–573. [PubMed] [Google Scholar]
- 10.Bulmer JN, Rasheed FN, Francis N, Morrison L, Greenwood BM. Placental malaria. I. Pathological classification. Histopathology. 1993;22:211–218. doi: 10.1111/j.1365-2559.1993.tb00110.x. [DOI] [PubMed] [Google Scholar]
- 11.Pichyangkul S, Saengkrai P, Webster HK. Plasmodium falciparum pigment induces monocytes to release high levels of tumor necrosis factor-alpha and interleukin-1 beta. Am J Trop Med Hyg. 1994;51:430–435. [PubMed] [Google Scholar]
- 12.Jaramillo M, Gowda DC, Radzioch D, Olivier M. Hemozoin increases IFN-gamma-inducible macrophage nitric oxide generation through extracellular signal-regulated kinase- and NF-kappa B-dependent pathways. J Immunol. 2003;171:4243–4253. doi: 10.4049/jimmunol.171.8.4243. [DOI] [PubMed] [Google Scholar]
- 13.Abrams ET, Brown H, Chensue SW, Turner GD, Tadesse E, Lema VM, et al. Host response to malaria during pregnancy: placental monocyte recruitment is associated with elevated beta chemokine expression. J Immunol. 2003;170:2759–2764. doi: 10.4049/jimmunol.170.5.2759. [DOI] [PubMed] [Google Scholar]
- 14.Moormann AM, Sullivan AD, Rochford RA, Chensue SW, Bock PJ, Nyirenda T, et al. Malaria and pregnancy: placental cytokine expression and its relationship to intrauterine growth retardation. J Infect Dis. 1999;180:1987–1993. doi: 10.1086/315135. [DOI] [PubMed] [Google Scholar]
- 15.Moore JM, Chaisavaneeyakorn S, Perkins DJ, Othoro C, Otieno J, Nahlen BL, et al. Hemozoin differentially regulates proinflammatory cytokine production in human immunodeficiency virus-seropositive and -seronegative women with placental malaria. Infect Immun. 2004;72:7022–7029. doi: 10.1128/IAI.72.12.7022-7029.2004. [DOI] [PMC free article] [PubMed] [Google Scholar]
- 16.Perkins DJ, Moore JM, Otieno J, Shi YP, Nahlen BL, Udhayakumar V, et al. In vivo acquisition of hemozoin by placental blood mononuclear cells suppresses PGE2, TNF-alpha, and IL-10. Biochem Biophys Res Commun. 2003;311:839–846. doi: 10.1016/j.bbrc.2003.10.073. [DOI] [PubMed] [Google Scholar]
- 17.Urban BC, Ferguson DJ, Pain A, Willcox N, Plebanski M, Austyn JM, et al. Plasmodium falciparum-infected erythrocytes modulate the maturation of dendritic cells. Nature. 1999;400:73–77. doi: 10.1038/21900. [DOI] [PubMed] [Google Scholar]
- 18.Chaisavaneeyakorn S, Lucchi N, Abramowsky C, Othoro C, Chaiyaroj SC, Shi YP, et al. Immunohistological characterization of macrophage migration inhibitory factor expression in Plasmodium falciparum-infected placentas. Infect Immun. 2005;73:3287–3293. doi: 10.1128/IAI.73.6.3287-3293.2005. [DOI] [PMC free article] [PubMed] [Google Scholar]
- 19.Lucchi NW, Koopman R, Peterson DS, Moore JM. Plasmodium falciparum-infected red blood cells selected for binding to cultured syncytiotrophoblast bind to chondroitin sulfate A and induce tyrosine phosphorylation in the syncytiotrophoblast. Placenta. 2006;27:384–394. doi: 10.1016/j.placenta.2005.04.009. [DOI] [PubMed] [Google Scholar]
- 20.Lucchi NW, Peterson DS, Moore JM. Immunologic activation of human syncytiotrophoblast by Plasmodium falciparum. Malar J. 2008;7:42. doi: 10.1186/1475-2875-7-42. [DOI] [PMC free article] [PubMed] [Google Scholar]
- 21.Keller CC, Hittner JB, Nti BK, Weinberg JB, Kremsner PG, Perkins DJ. Reduced peripheral PGE2 biosynthesis in Plasmodium falciparum malaria occurs through hemozoin-induced suppression of blood mononuclear cell cyclooxygenase-2 gene expression via an interleukin-10-independent mechanism. Mol Med. 2004;10:45–54. doi: 10.2119/2004-00035.perkins. [DOI] [PMC free article] [PubMed] [Google Scholar]
- 22.Skorokhod OA, Schwarzer E, Ceretto M, Arese P. Malarial pigment haemozoin, IFN-gamma, TNF-alpha, IL-1beta and LPS do not stimulate expression of inducible nitric oxide synthase and production of nitric oxide in immuno-purified human monocytes. Malar J. 2007;6:73. doi: 10.1186/1475-2875-6-73. [DOI] [PMC free article] [PubMed] [Google Scholar]
- 23.Collins TJ. ImageJ for microscopy. Biotechniques. 2007;43:25–30. doi: 10.2144/000112517. [DOI] [PubMed] [Google Scholar]
- 24.Rogerson SJ, Hviid L, Duffy PE, Leke RF, Taylor DW. Malaria in pregnancy: pathogenesis and immunity. Lancet Infect Dis. 2007;7:105–117. doi: 10.1016/S1473-3099(07)70022-1. [DOI] [PubMed] [Google Scholar]
- 25.Jaramillo M, Godbout M, Olivier M. Hemozoin induces macrophage chemokine expression through oxidative stress-dependent and -independent mechanisms. J Immunol. 2005;174:475–484. doi: 10.4049/jimmunol.174.1.475. [DOI] [PubMed] [Google Scholar]
- 26.Griffith JW, Sun T, McIntosh MT, Bucala R. Pure Hemozoin is inflammatory in vivo and activates the NALP3 inflammasome via release of uric acid. J Immunol. 2009;183:5208–5220. doi: 10.4049/jimmunol.0713552. [DOI] [PMC free article] [PubMed] [Google Scholar]
- 27.Jaramillo M, Bellemare MJ, Martel C, Shio MT, Contreras AP, Godbout M, et al. Synthetic Plasmodium-like hemozoin activates the immune response: a morphology - function study. PLoS ONE. 2009;4:e6957. doi: 10.1371/journal.pone.0006957. [DOI] [PMC free article] [PubMed] [Google Scholar]
- 28.Parroche P, Lauw FN, Goutagny N, Latz E, Monks BG, Visintin A, et al. Malaria hemozoin is immunologically inert but radically enhances innate responses by presenting malaria DNA to Toll-like receptor 9. Proc Natl Acad Sci U S A. 2007;104:1919–1924. doi: 10.1073/pnas.0608745104. [DOI] [PMC free article] [PubMed] [Google Scholar]
- 29.Wu X, Gowda NM, Kumar S, Gowda DC. Protein-DNA complex is the exclusive malaria parasite component that activates dendritic cells and triggers innate immune responses. J Immunol. 184:4338–4348. doi: 10.4049/jimmunol.0903824. [DOI] [PMC free article] [PubMed] [Google Scholar]
- 30.Schwarzer E, Kuhn H, Valente E, Arese P. Malaria-parasitized erythrocytes and hemozoin nonenzymatically generate large amounts of hydroxy fatty acids that inhibit monocyte functions. Blood. 2003;101:722–728. doi: 10.1182/blood-2002-03-0979. [DOI] [PubMed] [Google Scholar]
- 31.Coban C, Igari Y, Yagi M, Reimer T, Koyama S, Aoshi T, et al. Immunogenicity of whole-parasite vaccines against Plasmodium falciparum involves malarial hemozoin and host TLR9. Cell Host Microbe. 7:50–61. doi: 10.1016/j.chom.2009.12.003. [DOI] [PubMed] [Google Scholar]
- 32.Dostert C, Guarda G, Romero JF, Menu P, Gross O, Tardivel A, et al. Malarial hemozoin is a Nalp3 inflammasome activating danger signal. PLoS ONE. 2009;4:e6510. doi: 10.1371/journal.pone.0006510. [DOI] [PMC free article] [PubMed] [Google Scholar]
- 33.Shio MT, Eisenbarth SC, Savaria M, Vinet AF, Bellemare MJ, Harder KW, et al. Malarial hemozoin activates the NLRP3 inflammasome through Lyn and Syk kinases. PLoS Pathog. 2009;5:e1000559. doi: 10.1371/journal.ppat.1000559. [DOI] [PMC free article] [PubMed] [Google Scholar]
- 34.Chaisavaneeyakorn S, Moore JM, Mirel L, Othoro C, Otieno J, Chaiyaroj SC, et al. Levels of macrophage inflammatory protein 1 alpha (MIP-1 alpha) and MIP-1 beta in intervillous blood plasma samples from women with placental malaria and human immunodeficiency virus infection. Clin Diagn Lab Immunol. 2003;10:631–636. doi: 10.1128/CDLI.10.4.631-636.2003. [DOI] [PMC free article] [PubMed] [Google Scholar]
- 35.Fried M, Muga RO, Misore AO, Duffy PE. Malaria elicits type 1 cytokines in the human placenta: IFN-gamma and TNF-alpha associated with pregnancy outcomes. J Immunol. 1998;160:2523–2530. [PubMed] [Google Scholar]
- 36.Jakobsen PH, Rasheed FN, Bulmer JN, Theisen M, Ridley RG, Greenwood BM. Inflammatory reactions in placental blood of Plasmodium falciparum-infected women and high concentrations of soluble E-selectin and a circulating P. falciparum protein in the cord sera. Immunology. 1998;93:264–269. doi: 10.1046/j.1365-2567.1998.00421.x. [DOI] [PMC free article] [PubMed] [Google Scholar]
- 37.Ordi J, Menendez C, Ismail MR, Ventura PJ, Palacin A, Kahigwa E, et al. Placental malaria is associated with cell-mediated inflammatory responses with selective absence of natural killer cells. J Infect Dis. 2001;183:1100–1107. doi: 10.1086/319295. [DOI] [PubMed] [Google Scholar]
- 38.Maurer M, von Stebut E. Macrophage inflammatory protein-1. Int J Biochem Cell Biol. 2004;36:1882–1886. doi: 10.1016/j.biocel.2003.10.019. [DOI] [PubMed] [Google Scholar]
- 39.Loos T, Opdenakker G, Van Damme J, Proost P. Citrullination of CXCL8 increases its potency to mobilize neutrophils in the blood circulation. Haematologica. 2009 doi: 10.3324/haematol.2009.006973. [DOI] [PMC free article] [PubMed] [Google Scholar]
- 40.Gerszten RE, Garcia-Zepeda EA, Lim YC, Yoshida M, Ding HA, Gimbrone MA, Jr, et al. MCP-1 and IL-8 trigger firm adhesion of monocytes to vascular endothelium under flow conditions. Nature. 1999;398:718–723. doi: 10.1038/19546. [DOI] [PubMed] [Google Scholar]
- 41.Ma Y, Mor G, Abrahams VM, Buhimschi IA, Buhimschi CS, Guller S. Alterations in syncytiotrophoblast cytokine expression following treatment with lipopolysaccharide. Am J Reprod Immunol. 2006;55:12–18. doi: 10.1111/j.1600-0897.2005.00347.x. [DOI] [PubMed] [Google Scholar]
- 42.Lucchi NW, Moore JM. LPS induces secretion of chemokines by human syncytiotrophoblast cells in a MAPK-dependent manner. J Reprod Immunol. 2007;73:20–27. doi: 10.1016/j.jri.2006.05.005. [DOI] [PubMed] [Google Scholar]
- 43.Achur RN, Valiyaveettil M, Alkhalil A, Ockenhouse CF, Gowda DC. Characterization of proteoglycans of human placenta and identification of unique chondroitin sulfate proteoglycans of the intervillous spaces that mediate the adherence of Plasmodium falciparum-infected erythrocytes to the placenta. J Biol Chem. 2000;275:40344–40356. doi: 10.1074/jbc.M006398200. [DOI] [PubMed] [Google Scholar]
- 44.Ndam NT, Deloron P. Molecular aspects of Plasmodium falciparum Infection during pregnancy. J Biomed Biotechnol. 2007;2007:43785. doi: 10.1155/2007/43785. [DOI] [PMC free article] [PubMed] [Google Scholar]
- 45.Rogerson SJ, Brown GV. Chondroitin sulphate A as an adherence receptor for Plasmodium falciparum-infected erythrocytes. Parasitol Today. 1997;13:70–75. doi: 10.1016/s0169-4758(96)10081-8. [DOI] [PubMed] [Google Scholar]
- 46.Symons A, Beinke S, Ley SC. MAP kinase kinase kinases and innate immunity. Trends Immunol. 2006;27:40–48. doi: 10.1016/j.it.2005.11.007. [DOI] [PubMed] [Google Scholar]
Associated Data
This section collects any data citations, data availability statements, or supplementary materials included in this article.
Supplementary Materials
Figure 1S: Concentration-dependent stimulation of ST cells by Hz.
ST cells were exposed to increasing concentration of Hz (0.1 μg, 1 μg, 10 μg, and 20 μg) as indicated. Supernatants were collected and assayed by ELISA for the factors shown. Shown are individual trophoblast preparation responses and the medians of the secreted or released factors. Comparison of factor secretion at 24 h for 10 μg vs 20 μg Hz stimulation by Mann Whitney U test revealed no significant differences (P > 0.05).




