Abstract
The distinction of hepatocellular carcinoma (HCC) from metastatic tumor in the liver often presents a diagnostic challenge that carries significant impact on prognostication and therapy. The number of diagnostically useful immunohistochemical markers of hepatocytes is limited to hepatocyte paraffin antigen (HepPar-1), polyclonal carcinoembryonic antigen, and CD10, with α-fetoprotein and glypican-3 labeling HCCs. Arginase-1 (Arg-1) is a binuclear manganese metalloenzyme that catalyzes the hydrolysis of arginine to ornithine and urea. We used immunohistochemistry to compare the sensitivity of Arg-1 to that of HepPar-1 in 151 HCCs. We found that the overall sensitivities of Arg-1 and HepPar-1 are 96.0% and 84.1%, respectively. The sensitivities of Arg-1 in well, moderately, and poorly differentiated HCCs are 100%, 96.2%, and 85.7%, respectively, whereas, in comparison, HepPar-1 demonstrated sensitivities of 100%, 83.0%, and 46.4% for well, moderately, and poorly differentiated tumors, respectively. There were no HCCs in our study that were reactive for HepPar-1 but nonreactive for Arg-1. We also examined Arg-1 expression in nonhepatocellular tumors, including many that are potential mimics of HCC (renal cell carcinomas, neuroendocrine tumors, melanomas, gastric adenocarcinomas, and adrenocortical carcinomas) and found that only 2 non-HCC tumors were reactive for Arg-1. Arg-1 represents a sensitive and specific marker of benign and malignant hepatocytes that may ultimately prove to be a useful diagnostic tool in routine surgical pathology practice.
Keywords: hepatocellular carcinoma, liver, immunohistochemistry, arginase, HepPar-1
Hepatocellular carcinoma (HCC) is the sixth most common malignancy worldwide with an incidence of 626,000 cases and 598,000 deaths annually, making it the third most common cause of cancer deaths globally.25 The distinction of HCCs from metastatic tumors in the liver often presents a diagnostic challenge that carries significant impact on subsequent prognostication and therapeutic management.
Several serologic tests designed to detect liver-specific enzymes in blood samples as indices of hepatocellular injury have been developed.24 Although these serum markers are largely specific for hepatocytes, most are also expressed in nonhepatic tissues, which may be a source of false-positive results. In addition, these serologic markers were developed as clinical indices of hepatocellular injury rather than neoplasia. In contrast, the number of diagnostically useful immunohistochemical markers for identification of hepatocytes in routine surgical pathology practice remains limited to hepatocyte paraffin antigen (HepPar-1), polyclonal carcinoembryonic antigen (CEA), and CD10, with α-fetoprotein (AFP) and glypican-3 labeling some HCCs.4,8,15–17,22,29,33,35 However, the utility of each of these markers is limited either by suboptimal sensitivity or difficulty in interpretation.11 For example, HepPar-1 is less sensitive in poorly differentiated HCCs with sensitivities of 50% or less.11 Because HepPar-1 is most useful in distinguishing poorly differentiated HCCs from metastatic adenocarcinomas, this decreased sensitivity in poorly differentiated tumors can result in false-negative diagnoses. In contrast, glypican-3 is less sensitive—and can in fact be negative—in well-differentiated HCCs,11 and, because this antigen is sometimes used in the distinction between hepatic adenomas and well-differentiated HCCs, this too represents a significant disadvantage. Glypican-3 is also expressed in melanomas and some nonseminomatous germ cell tumors. 10,23,36,37 Polyclonal CEA and CD10 can be difficult to interpret because canalicular and diffuse cytoplasmic staining can be difficult to distinguish. Furthermore, the sensitivities of these markers can be low (25% to 50% in poorly differentiated HCCs for polyclonal CEA and 50% for CD10). The sensitivity of AFP ranges from 30%to 50% and staining tends to be patchy.12,14,17 The expression of new hepatocellular markers, such as p28/gankyrin (GANK), has also been described.9
Recently, the HepPar-1 antigen has been shown to correspond to the urea cycle enzyme carbamoyl phosphate synthetase.1 A previous immunohistochemical study established that arginase-1 (Arg-1), another enzyme involved in the urea cycle, is also expressed in normal human liver with a high degree of specificity.19 Specifically, Arg-1 has been shown by immunohistochemistry to be concentrated in periportal hepatocytes.28
Recent research examining Arg-1 expression by reverse transcription-polymerase chain reaction and Western immunoblot analysis demonstrated decreased but not absent expression of this enzyme with concurrent slightly increased expression of a second isoenzyme, Arg-2 (extrahepatic Arg), in cirrhotic nodules and HCCs.2,3 We examined the expression of Arg-1 in hepatocellular and other neoplasms by immunohistochemistry to determine its viability as a marker of hepatocytes and HCCs.
MATERIALS AND METHODS
All cases included in this study were recovered from the archived autopsy and surgical pathology files of the University of Chicago Medical Center, the University of Sao Paulo School of Medicine, and the Johns Hopkins Medical Institutes. A total of 778 neoplasms (738 malignancies, including 193 HCCs) were evaluated. The diagnosis of poorly differentiated HCCs was based on a combination of clinical features (elevated serum AFP level and absence of another primary source of tumor) and histologic features (bile production by tumor cells, an adjacent area of betterdifferentiated HCC, and immunophenotype).
Tissue microarrays (TMAs) from all institutions were assembled according to established protocols, with two to four 1.0 or 1.5mm cores obtained from representative portions of tumor. TMAs from the Johns Hopkins Medical Institutes were a gift from Dr Michael Torbenson. Standard paraffin block tissue sections from 42 HCCs and 6 intrahepatic cholangiocarcinomas that were not represented in the TMAs were also examined for Arg-1 expression. Samples of normal liver, esophagus, stomach, duodenum, colon, lung, kidney, prostate, pancreas, breast, thyroid, lymph node, tonsil, muscle, omentum, and placenta were also examined for expression of Arg-1.
Immunohistochemistry for Arg-1 was performed using a polyclonal rabbit antihuman antibody (HPA003595, Sigma-Aldrich, St Louis, MO) at 1:200 dilution. TMAs and conventional tissue sections were subjected to heat-induced epitope retrieval pretreatment for 3 minutes at 95°C in 0.01M citrate buffer (pH 6.0), cooled to room temperature, quenched with 1% hydrogen peroxide/methanol before blocking with 5% skim milk, and subsequently incubated with primary antibody for 60 minutes at room temperature. For detection we used a biotin-free horseradish peroxidase-labeled dextrose-based polymer complex bound to secondary antibody [DAKO EnVision Plus System-HRP (DAB), DakoCytomation, Carpinteria, CA]. Slides were then developed for 5 minutes with 3-3′-diaminobenzidine (DAB) chromogen, counter-stained with hematoxylin and coverslipped. Positive controls of normal human liver and negative controls of rabbit IgG were stained in parallel with each batch.
Immunohistochemistry for HepPar-1 was performed using a monoclonal mouse antihuman hepatocyte antibody (clone OCH1E5; DakoCytomation, Carpinteria, CA) at 1:200 dilution. Immunostaining was performed on a Ventana Benchmark XT autostainer (Ventana Medical Systems, Inc, Tucson, AZ) according to the manufacturer’s protocol after antigen retrieval with Cell Conditioning Solution (CC1) for 60 minutes and using biotin-free UltraView DAB detection kit (Ventana Medical Systems, Inc, Tucson, AZ). Peroxidase activity was visualized with the DAB substrate chromogen provided in the detection kit. Slides were counterstained with hematoxylin and coverslipped. Positive controls of HCC and negative controls of mouse IgG were run with each batch.
The intensity of immunostaining was scored on a 3-tiered scale (0 to 2+), with a score of 0 indicating no staining, a score of 1+ indicating weak staining, and a score of 2+ indicating strong staining. Furthermore, the pattern of staining (diffuse or focal) was recorded. Focal staining was defined as reactivity in <10% of tumor or lesional cells. Only cytoplasmic or cytoplasmic plus nuclear reactivity was considered to represent positive staining. This study received approval from the University of Chicago Medical Center’s institutional review board.
RESULTS
To compare the sensitivities of HepPar-1 and Arg-1 as immunohistochemical markers, TMAs containing samples from 151 HCCs, including 70 well-differentiated HCCs, 53 moderately differentiated HCCs, and 28 poorly differentiated HCCs were used. Furthermore, Arg-1 expression was also examined in 42 additional HCCs. In addition, HepPar-1 and Arg-1 expression was examined in 4 hepatic adenomas, 4 focal nodular hyperplasias, 16 macroregenerative nodules, 3 dysplastic nodules, 6 intrahepatic cholangiocarcinomas (including 1 combined HCC-cholangiocarcinoma), 23 mammary carcinomas, 15 pulmonary adenocarcinomas, 15 prostatic carcinomas, 99 colonic adenocarcinomas, 82 conventional renal cell carcinomas (RCCs), 55 papillary RCCs, 26 chromophobe RCCs, 11 renal oncocytomas, 16 melanomas, 25 neuroendocrine tumors, 47 urothelial carcinomas, 111 salivary gland tumors, 6 adrenocortical carcinomas, and 19 gastric adenocarcinomas using both TMAs and conventional tissue sections (Table 1). We used a commercially available antibody against Arg-1 to determine its viability as a hepatocellular marker.
TABLE 1.
Neoplasms Examined For Arginase-1 and Hepatocyte Paraffin Antigen-1 Expression
| Hepatocellular carcinomas | 151 |
| Hepatic adenomas | 4 |
| Focal nodular hyperplasias | 4 |
| Macroregenerative nodules | 16 |
| Dysplastic nodules | 3 |
| Intrahepatic cholangiocarcinomas | 6 |
| Mammary carcinomas | 23 |
| Pulmonary adenocarcinomas | 15 |
| Prostatic adenocarcinomas | 15 |
| Colonic adenomas | 2 |
| Colonic adenocarcinomas | 99 |
| Conventional renal cell carcinomas | 82 |
| Papillary renal cell carcinomas | 55 |
| Chromophobe renal cell carcinomas | 26 |
| Renal oncocytomas | 11 |
| Melanomas | 16 |
| Neuroendocrine tumors | 25 |
| Urothelial carcinomas | 47 |
| Salivary gland tumors | 111 |
| Adrenocortical carcinomas | 6 |
| Gastric adenocarcinomas | 19 |
In sections of normal liver, Arg-1 produced strong, diffuse cytoplasmic reactivity in all hepatocytes throughout the lobule (Fig. 1). The staining was not as granular as that of HepPar-1. In a few cases, patchy nuclear reactivity was also evident in hepatocytes along with the strong cytoplasmic reactivity. There was no reactivity in bile duct epithelial cells, sinusoidal endothelial cells, Kupffer cells, or vascular endothelial cells.
FIGURE 1.

Arg-1 expression in benign hepatocytes. Normal hepatocytes demonstrate strong, diffuse cytoplasmic, and occasionally nuclear, reactivity for Arg-1 throughout the lobule. There was no reactivity in bile duct epithelial cells, sinusoidal endothelial cells, Kupffer cells, or vascular endothelial cells. Arg-1 indicates arginase-1.
Only HCCs showing cytoplasmic or cytoplasmic plus nuclear reactivity were considered to be positive for Arg-1. As shown in Figures 1 and 2, Arg-1 demonstrated cytoplasmic and occasional nuclear reactivity in both benign hepatocytes and hepatocellular neoplasms. Almost all HCCs examined showed diffuse reactivity for Arg-1. Table 2 shows that Arg-1 has a sensitivity of 96.0% overall, with sensitivities of 100%, 96.2%, and 85.7% for well, moderately, and poorly differentiated HCCs, respectively. In comparison, HepPar-1 demonstrated a sensitivity of 84.1% overall, and sensitivities of 100%, 83.0%, and 46.4% for well, moderately and poorly differentiated tumors, respectively (Table 2; Fig. 2). Furthermore, when only those cases exhibiting strong (2+) staining were counted, Arg-1 showed a sensitivity of 86.1% overall, with sensitivities of 100%, 79.2%, and 64.3% for well, moderately, and poorly differentiated HCCs, respectively (Table 2; Fig. 3). In contrast, HepPar-1 showed a sensitivity of 70.9% overall, with sensitivities of 90.0%, 69.8%, and 25.0% for well, moderately, and poorly differentiated HCCs, respectively (Table 2; Fig. 3). Moreover, when only cases exhibiting diffuse staining were counted, Arg-1 showed a sensitivity of 86.8% overall, with sensitivities of 100%, 81.1%, and 64.3% for well, moderately, and poorly differentiated HCCs, respectively, whereas HepPar-1 showed a sensitivity of 70.2% overall, with sensitivities of 95.7%, 62.3%, and 21.4% for well, moderately, and poorly differentiated HCCs, respectively (Table 2, Fig. 4). Finally, when only those cases showing both strong and diffuse staining were counted, Arg-1 had a sensitivity of 82.1% overall, with sensitivities of 100%, 73.6%, and 53.6% for well, moderately, and poorly differentiated HCCs, respectively, and HepPar-1 had a sensitivity of 64.2% overall, with sensitivities of 90.0%, 56.6% and 14.3% for well, moderately, and poorly differentiated HCCs, respectively (Table 2, Fig. 5). There were no HCCs that were positive for HepPar-1, but negative for Arg-1.
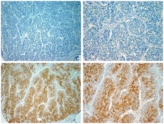
FIGURE 2.
Positive Arg-1 and negative HepPar-1 staining in an HCC. A and B, HCC, HepPar-1 immunostaining showing no reactivity. C and D, HCC, Arg-1 immunostaining showing strong, patchy reactivity. Arg-1 indicates arginase-1; HCC, hepatocellular carcinoma; HepPar-1, hepatocyte paraffin antigen-1.
TABLE 2.
Sensitivities of HepPar-1 and Arg-1 for HCCs
| No. Cases | HepPar-1 (%) | Arg-1 (%) | HepPar-1 (Strong; %) | Arg-1 (Strong; %) | HepPar-1 (Diffuse; %) | Arg-1 (Diffuse; %) | HepPar-1 (Strong, Diffuse; %) | Arg-1 (Strong, Diffuse; %) | |
|---|---|---|---|---|---|---|---|---|---|
| All HCCs | 151 | 84.1 | 96.0 | 70.9 | 86.1 | 70.2 | 86.8 | 64.2 | 82.1 |
| Well-differentiated HCCs | 70 | 100 | 100 | 90.0 | 100 | 95.7 | 100 | 90.0 | 100 |
| Moderately-differentiated HCCs | 53 | 83.0 | 96.2 | 69.8 | 79.2 | 62.3 | 81.1 | 56.6 | 73.6 |
| Poorly-differentiated HCCs | 28 | 46.4 | 85.7 | 25.0 | 64.3 | 21.4 | 64.3 | 14.3 | 53.6 |
Arg-1 indicates arginase-1; HCCs, hepatocellular carcinomas; HepPar-1, hepatocyte paraffin antigen-1.
FIGURE 3.
Strongly positive Arg-1 and negative HepPar-1 staining in an HCC. A and B, HCC, HepPar-1 immunostaining showing no reactivity. C and D, HCC, Arg-1 immunostaining showing strong, diffuse reactivity. Arg-1 indicates arginase-1; HCC, hepatocellular carcinoma; HepPar-1, hepatocyte paraffin antigen-1.
FIGURE 4.
Diffusely positive Arg-1 and patchy HepPar-1 staining in an HCC. A and B, HCC, HepPar-1 immunostaining showing strong, patchy reactivity. C and D, HCC, Arg-1 immunostaining showing strong, diffuse reactivity. Arg-1 indicates arginase-1; HCC, hepatocellular carcinoma; HepPar-1, hepatocyte paraffin antigen-1.
FIGURE 5.
Strongly and diffusely positive Arg-1 and negative HepPar-1 staining in an HCC. A and B, HCC, HepPar-1 immunostaining showing no reactivity. C and D, HCC, Arg-1 immunostaining showing strong, diffuse reactivity. Arg-1 indicates arginase-1; HCC, hepatocellular carcinoma; HepPar-1, hepatocyte paraffin antigen-1.
We found that 185 of 193 HCCs (95.9%) exhibited immunoreactivity for Arg-1. All examined hepatic adenomas, focal nodular hyperplasias, macroregenerative nodules, and dysplastic nodules showed strong, diffuse cytoplasmic reactivity in hepatocytes. A single combined HCC-cholangiocarcinoma exhibited Arg-1 positivity only in the HCC component. In addition, only 2 nonhepatocellular tumors have expressed Arg-1 (Table 3): 1 prostatic adenocarcinoma was reactive and 1 cholangiocarcinoma showed weak, focal staining. All other tumors examined were nonreactive. In contrast, 2 colonic adenomas, 8 colonic adenocarcinomas, 2 pulmonary adenocarcinomas, 1 chromophobe RCC, and 9 gastric adenocarcinomas (47.4%of cases) were reactive for HepPar-1 (Fig. 6). Arg-1 was not expressed in small intestinal epithelium, in contrast to HepPar-1, which was present in the small bowel epithelial cells and in areas of intestinal metaplasia. Of note, Arg-1 reactivity was occasionally present in neutrophils and macrophages, a finding consistent with previously published data.6,20,21,26,27,31
TABLE 3.
Expression of Hepatocyte Paraffin-1 and Arginase-1 in Nonhepatocellular Tumors
| No. Cases Examined | HepPar-1 (No. Positive Tumors) | Arg-1 (No. Positive Tumors) | |
|---|---|---|---|
| Intrahepatic cholangiocarcinomas | 6 | 0 | 1 |
| Mammary carcinomas | 23 | 0 | 0 |
| Pulmonary adenocarcinomas | 15 | 2 | 0 |
| Prostatic adenocarcinomas | 15 | 0 | 1 |
| Colonic adenomas | 2 | 2 | 0 |
| Colonic adenocarcinomas | 99 | 8 | 0 |
| Conventional renal cell carcinomas | 82 | 0 | 0 |
| Papillary renal cell carcinomas | 55 | 0 | 0 |
| Chromophobe renal cell carcinomas | 26 | 1 | 0 |
| Renal oncocytomas | 11 | 0 | 0 |
| Melanomas | 15 | 0 | 0 |
| Neuroendocrine tumors | 25 | 0 | 0 |
| Urothelial carcinomas | 47 | 0 | 0 |
| Salivary gland tumors | 111 | 0 | 0 |
| Adrenocortical carcinomas | 6 | 0 | 0 |
| Gastric adenocarcinomas | 19 | 9 | 0 |
Arg-1 indicates arginase-1; HepPar-1, hepatocyte paraffin antigen-1.
FIGURE 6.
False-positive HepPar-1 staining in a gastric adenocarcinoma. A, Gastric adenocarcinoma, HepPar-1 immunostaining, showing strong, patchy staining. B, Gastric adenocarcinoma, Arg-1 immunostaining, showing no reactivity. Arg-1 indicates arginase-1; HepPar-1, hepatocyte paraffin antigen-1.
DISCUSSION
Because the HepPar-1 antigen was recently found to correspond to the urea cycle enzyme carbamoyl phosphate synthetase, we postulated that other urea cycle enzymes may represent similarly sensitive and specific hepatocyte markers. However, argininosuccinate synthase and argininosuccinate lyase are also expressed in the kidneys and in vascular endothelium,18 whereas ornithine transcarbamylase is also expressed in small intestinal epithelium.18,32 Arg exists in 2 isoforms: Arg-1, which is found in the liver and Arg-2, or “extrahepatic Arg.” Because Arg-2 is also found in renal and other tissues, with small amounts also expressed in the liver,30 we chose to focus on examining Arg-1 expression.
We found that Arg-1 is predominantly expressed in the liver and not in samples of other normal tissues, including small intestine—unlike ornithine transcarbamylase and carbamoyl phosphate synthetase—a finding consistent with published data.13 Arg-1 showed diffuse cytoplasmic expression in both normal liver samples and in hepatocellular neoplasms, with patchy nuclear reactivity. The significance of Arg-1 nuclear reactivity is unknown. However, only cytoplasmic reactivity was regarded as positive staining. Our immunohistochemical studies examining the expression of Arg-1 in a variety of neoplasms and normal tissue samples showed that the sensitivity and specificity of this marker for HCCs are 96.0% and 99.6%, respectively (Table 2). In contrast, in the setting of this study, we found that the sensitivity and specificity of HepPar-1 are 84.1% and 96.3%, respectively (Table 2). It seems that the sensitivity of Arg-1 is consistently superior to that of HepPar-1 within each grade of HCC (Table 2). Our findings for HepPar-1 are similar to those of previous studies, which have shown that the sensitivity and specificity of HepPar1 labeling of hepatocytes are 79% and 92%, respectively.7,9,34 Furthermore, the fact that there were no HCCs that were reactive for HepPar-1 but nonreactive for Arg-1 suggests that Arg-1 may substitute for HepPar-1 altogether in diagnostic immunohistochemistry.
The specificity of Arg-1 among all tumors we tested is 99.6%, whereas the specificity of HepPar-1 is 96.3%. However, morphologic distinction of many of these tumors from HCC does not usually require immunohistochemistry. Therefore, to more rigorously calculate the specificity of Arg-1, we examined expression of this antigen and that of HepPar-1 particularly in other “large round pink cell tumors” that are potential morphologic mimics of HCC, including RCCs, melanomas, neuroendocrine tumors, adrenocortical carcinomas, and gastric adenocarcinomas. Of note, gastric adenocarcinomas often express HepPar-1: previous studies have shown that HepPar-1 is expressed in 47% to 83% of gastric cancers.5,7 We found that the respective specificities of Arg-1 and HepPar-1 are 100% and 93.9% when we only examined tumors that are morphologically similar to HCC.
Two of the most common challenges facing a pathologist examining a liver tumor are: (1) distinguishing between a hepatic adenoma and a well-differentiated HCC and (2) distinguishing between a poorly differentiated HCC and an adenocarcinoma. Arg-1 would not be useful in addressing the first challenge because it is expressed in both benign hepatocytes and HCCs. However, Arg-1 may be of use in resolving the second problem. An immunohistochemical panel to address both of these diagnostic problems is outlined in Table 4.
TABLE 4.
Diagnostic Immunohistochemical Panel to Distinguish HCC From Hepatic Adenoma and From Adenocarcinoma
| Hepatic Adenoma (Positive Markers) | HCC (Positive Markers) | Adenocarcinoma (Positive Markers) |
|---|---|---|
| CAM5.2 | CAM5.2 | MOC-31 |
| HepPar-1 | HepPar-1 | CK7 |
| CD10 | Glypican-3 | |
| Arg-1 | CD10 | |
| Arg-1 |
Arg-1 indicates arginase-1; CAM, cell adhesion molecule; CK, cytokeratin; HCC, hepatocellular carcinoma; HepPar-1, hepatocyte paraffin antigen-1.
In summary, we show that Arg-1 is a sensitive and specific marker of hepatocytes and, as such, can be used to distinguish HCCs from metastatic tumors in the liver. The identification of Arg-1 as an immunohistochemical marker of hepatocellular neoplasms may lead to its development as a useful diagnostic adjunct in routine surgical pathology practice.
Acknowledgments
The authors thank Dr Michael Torbenson for his generous gift of several TMAs. The authors are also grateful for the contributions of the histology and immunohistochemistry laboratories at the University of Chicago Medical Center, especially the work of Dorothy Kane, Renata Kornecka, Lourdes Lin, and Yougen Wang.
References
- 1.Butler SL, Dong H, Cardona D, et al. The antigen for Hep Par 1 antibody is the urea cycle enzyme carbamoyl phosphate synthetase 1. Lab Invest. 2008;88:78–88. doi: 10.1038/labinvest.3700699. [DOI] [PubMed] [Google Scholar]
- 2.Chrzanowska A, Gajewska B, Baranczyk-Kuzma A. Arginase isoenzymes in human cirrhotic liver. Acta Biochim Pol. 2009;56:465–469. [PubMed] [Google Scholar]
- 3.Chrzanowska A, Krawczyk M, Baranczyk-Kuzma A. Changes in arginase isoenzymes pattern in human hepatocellular carcinoma. Biochem Biophys Res Commun. 2008;377:337–340. doi: 10.1016/j.bbrc.2008.09.093. [DOI] [PubMed] [Google Scholar]
- 4.Chu PG, Ishizawa S, Wu E, et al. Hepatocyte antigen as a marker of hepatocellular carcinoma: an immunohistochemical comparison to carcinoembryonic antigen, CD10, and alpha-fetoprotein. Am J Surg Pathol. 2002;26:978–988. doi: 10.1097/00000478-200208000-00002. [DOI] [PubMed] [Google Scholar]
- 5.Chu PG, Weiss LM. Immunohistochemical characterization of signet-ring cell carcinomas of the stomach, breast, and colon. Am J Clin Pathol. 2004;121:884–892. doi: 10.1309/A09E-RYMF-R64N-ERDW. [DOI] [PubMed] [Google Scholar]
- 6.Debats IB, Wolfs TG, Gotoh T, et al. Role of arginine in superficial wound healing in man. Nitric Oxide. 2009;21:175–183. doi: 10.1016/j.niox.2009.07.006. [DOI] [PubMed] [Google Scholar]
- 7.Fan Z, van de Rijn M, Montgomery K, et al. Hep par 1 antibody stain for the differential diagnosis of hepatocellular carcinoma: 676 tumors tested using tissue microarrays and conventional tissue sections. Mod Pathol. 2003;16:137–144. doi: 10.1097/01.MP.0000052103.13730.20. [DOI] [PubMed] [Google Scholar]
- 8.Fasano M, Theise ND, Nalesnik M, et al. Immunohistochemical evaluation of hepatoblastomas with use of the hepatocyte-specific marker, hepatocyte paraffin 1, and the polyclonal anti-carcino-embryonic antigen. Mod Pathol. 1998;11:934–938. [PubMed] [Google Scholar]
- 9.Fu X, Tan L, Liu S, et al. A novel diagnostic marker, p28GANK distinguishes hepatocellular carcinoma from potential mimics. J Cancer Res Clin Oncol. 2004;130:514–520. doi: 10.1007/s00432-004-0562-y. [DOI] [PMC free article] [PubMed] [Google Scholar]
- 10.Iczkowski KA, Butler SL. New immunohistochemical markers in testicular tumors. Anal Quant Cytol Histol. 2006;28:181–187. [PubMed] [Google Scholar]
- 11.Kakar S, Gown AM, Goodman ZD, et al. Best practices in diagnostic immunohistochemistry: hepatocellular carcinoma versus metastatic neoplasms. Arch Pathol Lab Med. 2007;131:1648–1654. doi: 10.5858/2007-131-1648-BPIDIH. [DOI] [PubMed] [Google Scholar]
- 12.Kakar S, Muir T, Murphy LM, et al. Immunoreactivity of Hep Par 1 in hepatic and extrahepatic tumors and its correlation with albumin in situ hybridization in hepatocellular carcinoma. Am J Clin Pathol. 2003;119:361–366. doi: 10.1309/8l872rphejrkf5jj. [DOI] [PubMed] [Google Scholar]
- 13.Kohler ES, Sankaranarayanan S, van Ginneken CJ, et al. The human neonatal small intestine has the potential for arginine synthesis; developmental changes in the expression of arginine-synthesizing and-catabolizing enzymes. BMC Dev Biol. 2008;8:107. doi: 10.1186/1471-213X-8-107. [DOI] [PMC free article] [PubMed] [Google Scholar]
- 14.Lau SK, Prakash S, Geller SA, et al. Comparative immunohistochemical profile of hepatocellular carcinoma, cholangiocarcinoma, and metastatic adenocarcinoma. Hum Pathol. 2002;33:1175–1181. doi: 10.1053/hupa.2002.130104. [DOI] [PubMed] [Google Scholar]
- 15.Leong AS, Sormunen RT, Tsui WM, et al. Hep Par 1 and selected antibodies in the immunohistological distinction of hepatocellular carcinoma from cholangiocarcinoma, combined tumours and metastatic carcinoma. Histopathology. 1998;33:318–324. doi: 10.1046/j.1365-2559.1998.00522.x. [DOI] [PubMed] [Google Scholar]
- 16.Maitra A, Murakata LA, Albores-Saavedra J. Immunoreactivity for hepatocyte paraffin 1 antibody in hepatoid adenocarcinomas of the gastrointestinal tract. Am J Clin Pathol. 2001;115:689–694. doi: 10.1309/5C2C-FP3H-GE7Q-2XJ5. [DOI] [PubMed] [Google Scholar]
- 17.Minervini MI, Demetris AJ, Lee RG, et al. Utilization of hepatocyte-specific antibody in the immunocytochemical evaluation of liver tumors. Mod Pathol. 1997;10:686–692. [PubMed] [Google Scholar]
- 18.Mori M, Gotoh T. Arginine metabolic enzymes, nitric oxide and infection. J Nutr. 2004;134:2820S–2825S. doi: 10.1093/jn/134.10.2820S. discussion 2853S. [DOI] [PubMed] [Google Scholar]
- 19.Multhaupt H, Fritz P, Schumacher K. Immunohistochemical localisation of arginase in human liver using monoclonal antibodies against human liver arginase. Histochemistry. 1987;87:465–470. doi: 10.1007/BF00496818. [DOI] [PubMed] [Google Scholar]
- 20.Munder M, Eichmann K, Modolell M. Alternative metabolic states in murine macrophages reflected by the nitric oxide synthase/arginase balance: competitive regulation by CD4+ T cells correlates with Th1/Th2 phenotype. J Immunol. 1998;160:5347–5354. [PubMed] [Google Scholar]
- 21.Munder M, Mollinedo F, Calafat J, et al. Arginase I is constitutively expressed in human granulocytes and participates in fungicidal activity. Blood. 2005;105:2549–2556. doi: 10.1182/blood-2004-07-2521. [DOI] [PubMed] [Google Scholar]
- 22.Murakata LA, Ishak KG, Nzeako UC. Clear cell carcinoma of the liver: a comparative immunohistochemical study with renal clear cell carcinoma. Mod Pathol. 2000;13:874–881. doi: 10.1038/modpathol.3880156. [DOI] [PubMed] [Google Scholar]
- 23.Ota S, Hishinuma M, Yamauchi N, et al. Oncofetal protein glypican-3 in testicular germ-cell tumor. Virchows Arch. 2006;449:308–314. doi: 10.1007/s00428-006-0238-x. [DOI] [PubMed] [Google Scholar]
- 24.Ozer J, Ratner M, Shaw M, et al. The current state of serum biomarkers of hepatotoxicity. Toxicology. 2008;245:194–205. doi: 10.1016/j.tox.2007.11.021. [DOI] [PubMed] [Google Scholar]
- 25.Parkin DM, Bray F, Ferlay J, et al. Global cancer statistics, 2002. CA Cancer J Clin. 2005;55:74–108. doi: 10.3322/canjclin.55.2.74. [DOI] [PubMed] [Google Scholar]
- 26.Pauleau AL, Rutschman R, Lang R, et al. Enhancer-mediated control of macrophage-specific arginase I expression. J Immunol. 2004;172:7565–7573. doi: 10.4049/jimmunol.172.12.7565. [DOI] [PubMed] [Google Scholar]
- 27.Pesce JT, Ramalingam TR, Mentink-Kane MM, et al. Arginase-1-expressing macrophages suppress Th2 cytokine-driven inflammation and fibrosis. PLoS Pathog. 2009;5:e1000371. doi: 10.1371/journal.ppat.1000371. [DOI] [PMC free article] [PubMed] [Google Scholar]
- 28.Sekine S, Ogawa R, Mcmanus MT, et al. Dicer is required for proper liver zonation. J Pathol. 2009;219:365–372. doi: 10.1002/path.2606. [DOI] [PubMed] [Google Scholar]
- 29.Shirakawa H, Kuronuma T, Nishimura Y, et al. Glypican-3 is a useful diagnostic marker for a component of hepatocellular carcinoma in human liver cancer. Int J Oncol. 2009;34:649–656. doi: 10.3892/ijo_00000190. [DOI] [PubMed] [Google Scholar]
- 30.Spector EB, Jenkinson CP, Grigor MR, et al. Subcellular location and differential antibody specificity of arginase in tissue culture and whole animals. Int J Dev Neurosci. 1994;12:337–342. doi: 10.1016/0736-5748(94)90083-3. [DOI] [PubMed] [Google Scholar]
- 31.Stempin CC, Dulgerian LR, Garrido VV, et al. Arginase in parasitic infections: macrophage activation, immunosuppression, and intracellular signals. J Biomed Biotechnol. 2010;2010:683485. doi: 10.1155/2010/683485. [DOI] [PMC free article] [PubMed] [Google Scholar]
- 32.Wakabayashi Y. Tissue-selective expression of enzymes of arginine synthesis. Curr Opin Clin Nutr Metab Care. 1998;1:335–339. doi: 10.1097/00075197-199807000-00004. [DOI] [PubMed] [Google Scholar]
- 33.Wang HL, Anatelli F, Zhai QJ, et al. Glypican-3 as a useful diagnostic marker that distinguishes hepatocellular carcinoma from benign hepatocellular mass lesions. Arch Pathol LabMed. 2008;132:1723–1728. doi: 10.5858/132.11.1723. [DOI] [PubMed] [Google Scholar]
- 34.Wang L, Vuolo M, Suhrland MJ, et al. HepPar1, MOC-31, pCEA, mCEA and CD10 for distinguishing hepatocellular carcinoma versus metastatic adenocarcinoma in liver fine needle aspirates. Acta Cytol. 2006;50:257–262. doi: 10.1159/000325951. [DOI] [PubMed] [Google Scholar]
- 35.Wennerberg AE, Nalesnik MA, Coleman WB. Hepatocyte paraffin 1: a monoclonal antibody that reacts with hepatocytes and can be used for differential diagnosis of hepatic tumors. Am J Pathol. 1993;143:1050–1054. [PMC free article] [PubMed] [Google Scholar]
- 36.Zynger DL, Dimov ND, Luan C, et al. Glypican 3: a novel marker in testicular germ cell tumors. Am J Surg Pathol. 2006;30:1570–1575. doi: 10.1097/01.pas.0000213322.89670.48. [DOI] [PubMed] [Google Scholar]
- 37.Zynger DL, Everton MJ, Dimov ND, et al. Expression of glypican 3 in ovarian and extragonadal germ cell tumors. Am J Clin Pathol. 2008;130:224–230. doi: 10.1309/8DN7DQRDFB4QNH3N. [DOI] [PubMed] [Google Scholar]





