Abstract
Objective
To determine the relationship between quadriceps weakness and cartilage damage and bone marrow lesions (BMLs) in the patellofemoral joint (PFJ), and if this relationship is modified by patella alta.
Methods
The Multicenter Osteoarthritis (MOST) Study is a cohort study of persons aged 50–79 years with or at risk for knee OA. Concentric knee extensor strength was measured using an isokinetic dynamometer. Patella alta was measured using the Insall-Salvati ratio (ISR) on the lateral radiograph, and cartilage damage and bone marrow lesions (BMLs) were graded on MRI in the PFJ. We determined the association between quadriceps weakness with cartilage damage and BMLs in the PFJ among those knees with (ISR≥1.2) and without patella alta (ISR<1.2) using multiple binomial regression.
Results
807 knees were studied (mean age 62 years, BMI 30, ISR 1.10), 64% from female subjects. Compared with knees in the highest strength tertile, those in the lowest had 10.2% {95% Confidence Interval (CI) 3–18}, 9.1% (95% CI 2–16), and 7.1% (95% CI 1–13) higher prevalence of lateral PFJ cartilage damage, medial PFJ cartilage damage, and lateral PFJ BMLs, respectively. The association between quadriceps weakness with cartilage damage and BMLs was not different between knees with and with out patella alta in the lateral PFJ.
Conclusion
Quadriceps weakness was associated with PFJ cartilage damage and BMLs. While both patella alta and quadriceps weakness are associated with PFJ damage, the combination of the two was not associated with more damage than either of these factors alone.
Knee osteoarthritis (OA) is a serious health problem and leading cause of disability in the United States [1]. While research into risk factors and treatments for knee OA has focused on the tibiofemoral joint (TFJ), OA in the patellofemoral joint (PFJ) may be more prevalent than TFJ OA [2, 3] and a common source of symptoms [4–6]. We have previously reported that patella alta is associated with a high risk of both PFJ cartilage damage and bone marrow lesions (BMLs) [7]. Patella alta, or high riding patella, occurs when the patella articulates more superiorly than normal on the femur. Patella alta is measured on the lateral radiograph by the Insall-Salvati ratio (ISR), a ratio between the length of the patellar tendon and superior-inferior length of the patella; an ISR ≥1.2 is considered patella alta [8]. Structural damage in knees with patella alta may result from decreased PFJ contact area [9] and a consequent increase in mechanical stress. Additionally, knees with patella alta are at increased risk for PFJ malalignment [9] and patellar dislocation [10]. As the knee returns to full extension from a flexed position, the patella articulates with more superior portions of the femoral trochlea, allowing for greater lateral patellar excursion. This increased mobility may increase shear forces and joint stress, potentially causing damage to PFJ cartilage and underlying bone.
Periarticular muscles act to stabilize joints, improve shock absorption, and provide proprioceptive feedback [11]. To date, only one study has investigated the association between quadriceps muscle weakness and structural features of PFJ OA on MRI. Compared to knees in the highest strength tertile, those in the weakest had more than two times the odds of cartilage loss over 30 months [12]. Quadriceps weakness may be especially detrimental in knees with patella alta; the combination of a high riding and unstable patella and weak dynamic stabilizers may further increase the risk of PFJ OA beyond the risk imparted by weakness alone. If so, knees with patella alta and weak quadriceps would be at higher risk for PFJ structural damage than those without patella alta and strong quadriceps.
In this study focusing on the PFJ, we had two goals. First, we sought to determine the association between quadriceps weakness and cartilage damage and BMLs. Second, we attempted to determine if the association between quadriceps weakness and PFJ cartilage damage and BMLs was modified by patella alta. We hypothesized that 1) quadriceps weakness would be associated with structural damage in the PFJ and 2) the association between quadriceps weakness and PFJ cartilage damage and BMLs would be different in subjects with patella alta compared with those without patella alta.
Materials and Methods
Study Population
The Multicenter Osteoarthritis (MOST) Study is a prospective cohort study of 3,026 individuals, aged 50 to 79 years, who either had or were at high risk of knee OA. Subjects were recruited from two communities in the United States: Birmingham, Alabama and Iowa City, Iowa. Details of the study population have been published elsewhere [13]. This study included the same knees, one knee per subject, that were used in our previous study investigating the association between patella alta and PFJ structural damage [7]. The institutional review boards at the University of Iowa, University of Alabama, Birmingham, University of California, San Francisco, and Boston University School of Medicine approved the study protocol.
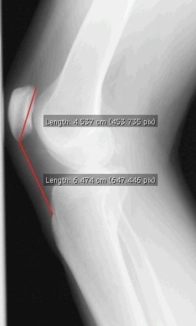
Patella alta assessment (Figure 1)
Figure 1.

Patella alta was measured by the Insall-Salvati Ratio, calculated by dividing the length of the patellar tendon by the length of the patella measured from the lateral radiograph [8].
Patella alta was measured on the lateral semi-flexed weight bearing radiograph by the Insall-Salvati ratio (ISR). The ISR is a ratio between the length of the patellar tendon and superior-inferior length of the patella. An ISR ≥1.2 is considered patella alta [8]. The radiograph protocol was standardized across all patients and the two study sites [14] and yielded knee flexion angles of 20–50 degrees (median 39 degrees). The ISR was calculated by dividing the distance from the tibial tuberosity to the inferior pole of the patella by the length of the patella measured by the distance from the apex of the patella to its most posterior superior point. All measurements were made using Osirix digital software (Version 3.2.2). Measurement of patella alta was repeated by a primary reader (JS) and a second reader (AZ) in 10% of all knees to determine inter and intra-rater reliability. Inter and intra-rater intraclass correlation coefficients for the ISR were ≥0.9.
Quadriceps strength assessment
Concentric knee extensor strength was measured using a Cybex 350 computerized isokinetic dynamometer (Avocent, Huntsville, AL) set at 60 degrees/second. Isokinetic testing at 60 degrees/second was used as it is safer and better tolerated for people that may have knee pain than either isometric testing or isokinetic testing at 30 deg/sec, while at the same time requiring a larger torque than would be detected at a higher angular velocity, such as 90, 120, or 180 degrees/second. Data were collected using HUMAC software, version 4.3.2/Cybex 300 for Windows98 Software Package (CSMI, Stoughton, MA). Participants began with 3 practice trials using 50% effort and were provided standardized instructions. After the practice trials, 4 repetitions were completed to assess maximum knee extensor torque [Newton-meters (Nm)]. We then divided each subjects' maximum torque (Nm) by their body mass in kilograms (kg) to obtain a normalized measure of strength. We also tested a different approach to normalizing strength by dividing torque by body mass index (BMI). Strength testing had a month-to-month test-retest reliability (intraclass correlation coefficient) of 0.94 {95% Confidence Interval (CI) 0.82–0.99}, a coefficient of variation of 8% (95% CI 6–12%) and a within subject variation of 6.3 Nm (95% CI 4.7–9.6) [15].
Assessment of patellofemoral joint structure
A 1.0 Tesla extremity MRI system (OrthOne™, ONI Medical Systems Wilmington, MA) was used with a phased array knee coil to acquire axial and sagittal MRIs (proton density-weighted fast spin-echo fat-suppressed) and coronal short tau inversion recovery (STIR) sequences. Two musculoskeletal radiologists (FWR, AG) used the Whole-Organ Magnetic Resonance Imaging Score (WORMS) to assess medial and lateral patellar and trochlear facet cartilage damage [16]. The WORMS cartilage scale ranges from 0–6, where 0=normal cartilage morphology; 1=normal thickness but increased signal on proton density-weighted fat-suppressed images; 2.0=a single partial thickness focal defect <1 cm in greatest width; 2.5=a single full thickness focal defect <1 cm in greatest width; 3=multiple areas of partial-thickness (Grade 2.0) defects intermixed with areas of normal thickness, or a Grade 2.0 defect wider than 1 cm but <75% of the region; 4=diffuse (≥75% of the region) partial-thickness loss; 5=multiple areas of full thickness loss (grade 2.5) or a grade 2.5 lesion wider than 1 cm but <75% of the region; 6=diffuse (≥75% of the region) full-thickness loss. BMLs were also assessed using the WORMS method in the subchondral bone of the patella and trochlea in the medial and lateral compartments of the PFJ. The BML scores range from 0–3: 0=normal, 1=small, <25% of region, 2=medium, 25% – 50% of region, 3=large, >50% of region.
Statistical analysis
We began our analyses by determining the main effects of the association between quadriceps weakness and cartilage damage and BMLs in the lateral and medial PFJ. Our outcomes of cartilage damage and BMLs included both patellar and trochlear subregions for the medial and lateral PFJ (2 observations for medial and lateral PFJ) and we dichotomized cartilage damage (≥2) and BMLs (≥1) into presence and absence of pathology. Cartilage grades 0 and 1 were considered no damage because grade 1 represents a change in signal but no change in morphology. We categorized knees into sex-specific tertiles of quadriceps strength (i.e. strongest men and strongest women in the highest tertile) and used binomial regression with an identity link to calculate prevalence differences of cartilage damage and BMLs across the tertiles of quadriceps strength, with the strong quadriceps group as the reference group. We chose to use binomial regression with an identity link function instead of traditional logistic regression in order to estimate prevalence differences (as opposed to odds ratios) and so we could examine additive interactions [17].
To determine if the relationship between quadriceps weakness and cartilage damage and BMLs is modified by patella alta, we calculated prevalence differences between those knees with patella alta (ISR ≥1.2) and without patella alta (ISR <1.2) in each quadriceps strength tertile using multiple binomial regression models. Knees in the highest quadriceps strength tertile were the reference group for each strata. Four models were used with lateral cartilage damage and BMLs and medial cartilage damage and BMLs as the outcome (dependent) variable. In separate models, we tested an interaction term between quadriceps strength tertiles and patella alta to test the significance of the interaction.
In all analyses, generalized estimating equations were used to account for the correlation between WORMS scores for patellar and trochlear subregions from the same knee and were adjusted for age, sex, and BMI. To test for a linear trend across sex-specific tertiles of quadriceps strength we created a sex-specific z score and used it as a continuous variable in separate models. Statistical analyses were performed using SAS software (SAS Institute Inc, Cary, NC, USA, version 9.1).
Results
Of the 907 knees selected for study, 80 were not included in the analysis due to missing measurements of one or more variables. This occurred due to either poor image quality, severe osteoarthritis such that bony landmarks could not be identified, or subjects who did not have quadriceps strength measured. We additionally excluded 20 knees with patella baja (ISR <0.8) from analyses to limit our normal patellar position group to knees with an ISR between 0.8 and 1.19 [8]. Of the 807 knees remaining, 64% were from female subjects, 29% had patella alta, and the mean age, BMI, ISR, and quadriceps strength/kg was 62 years, 30, 1.1, and 0.99 Nm/kg, respectively (Table 1). In the 807 knees studied, the prevalence of lateral PFJ cartilage damage and BMLs (1614 regions for lateral and medial) was 38% and 22%, respectively. Medial PFJ cartilage damage and BMLs occurred in 49% and 20%, respectively (Table 2).
Table 1.
Descriptive statistics (n=807 knees, one knee per subject)*
| Age, years | 62 (8.0) |
| Female (%) | 64% |
| BMI, kg/m2 | 30 (4.8) |
| ISR | 1.1 (0.16) |
| ISR, range | 0.80–1.66 |
| Knees with patella alta** | 29% |
| Quadriceps strength, Newton-meter/kg | 0.99 (0.44) |
| Females | 0.83 (0.35) |
| Males | 1.27 (0.44) |
Values are mean ± SD unless otherwise indicated
(ISR ≥1.2)
Table 2.
Prevalence of structural outcomes
| Lateral Patellofemoral joint* | |
| Cartilage damage | 615/1614 (38%) |
| BMLs | 352/1614 (22%) |
| Medial Patellofemoral joint* | |
| Cartilage damage | 796/1614 (49%) |
| BMLs | 317/1614 (20%) |
Outcomes combine the scores from the patella and trochlea regions using the WORMS method, as described in methods.
Association between quadriceps weakness and PFJ structural damage
Table 3 presents the association between sex specific tertiles of quadriceps strength and cartilage damage and BMLs in the PFJ. In the lateral PFJ, the adjusted prevalence difference between knees in the lowest strength tertile compared to those in the highest was 10.2% (95% CI 3–18) and 7.1% (95% CI 1–13) for cartilage damage and BMLs, respectively. The prevalence of cartilage damage and BMLs increased across tertiles of increasing quadriceps weakness (p for trend 0.001 and 0.008, respectively). In the medial PFJ, the adjusted prevalence difference between knees in the lowest strength tertile compared to those in the highest was 9.1% (95% CI 2–16) for cartilage damage. The prevalence of cartilage damage increased across tertiles of increasing quadriceps weakness, (p for trend 0.004). There was no association between quadriceps weakness and the prevalence of BMLs in the medial PFJ.
Table 3.
The association between quadriceps strength and patellofemoral joint (PFJ) cartilage damage and bone marrow lesions.
| Tertile 1 (Strong) | Tertile 2 | Tertile 3 (Weak) | p trend | |
|---|---|---|---|---|
| Quadriceps Strength Range | ||||
| Male | 1.45–2.73 | 1.06–1.44 | 0.10–1.05 | |
| Female | 0.95–2.09 | 0.67–0.94 | 0.05–0.66 | |
| # of knees | 268 | 268 | 271 | |
| Lateral PFJ | ||||
| Cartilage Damage | ||||
| WORMS ≥2 n/N (%) | 159/536 (30) | 219/536 (41) | 237/542 (44) | 0.0007 |
| Adjusted PD (%)* (95% CI) | 0 (reference) | 8.5 (1.6–15.3) | 10.2 (2.8–17.6) | |
| Bone Marrow Lesions | ||||
| WORMS ≥1 n/N (%) | 88/536 (16) | 128/536 (24) | 136/542 (25) | 0.003 |
| Adjusted PD (%)* (95% CI) | 0 (reference) | 6.2 (0.6–11.7) | 7.1 (1.3–12.8) | |
| Medial PFJ | ||||
| Cartilage Damage | ||||
| WORMS ≥2 n/N (%) | 217/536 (40) | 280/536 (52) | 299/542 (55) | 0.003 |
| Adjusted PD (%)* (95% CI) | 0 (reference) | 8.1 (1.5–4.7) | 9.1 (1.9–16.4) | |
| Bone Marrow Lesions | ||||
| WORMS ≥1 n/N (%) | 101/536 (19) | 112/536 (21) | 104/542 (19) | 0.31 |
| Adjusted PD (%)* (95% CI) | 0 (reference) | −0.1 (−5.2–5.0) | −2.3 (−7.7–3.2) |
PD=prevalence difference, adjusted forage, sex, and BMI
Association between quadriceps weakness and structural damage stratified by those with and without patella alta (Interaction Effect)
Table 4 presents the results for the association between sex specific tertiles of quadriceps strength and cartilage damage and BMLs in the PFJ when stratifying by those with and without patella alta. There was no differential effect for the association between quadriceps weakness and lateral PFJ cartilage damage and BMLs in those with and without patella alta (p for interaction=0.80 and 0.73, respectively). While knees with quadriceps weakness were more likely to have cartilage damage and bone marrow lesions, the combination of quadriceps weakness and patella alta did not demonstrate any greater association with these lesions than did each of the risk factors independently. In a post-hoc analysis focusing on knees in the lowest strength tertile (weakest knees), the adjusted prevalence difference for knees with patella alta compared to those with normal patellar position was 10.6% (95% CI 0–21) and 14.5% (95% CI 5–24) for lateral PFJ cartilage damage and BMLs, respectively.
Table 4.
The association between quadriceps weakness and patellofemoral joint (PFJ) cartilage damage and bone marrow lesions, stratified by those with and without patella alta.
| Among those without patella alta | Among those with patella alta | ||||||||
|---|---|---|---|---|---|---|---|---|---|
| Tertile 1 (Strong) | Tertile 2 | Tertile 3 (Weak) | p trend | Tertile 1 (Strong) | Tertile 2 | Tertile 3 (Weak) | p trend | p interaction | |
| # of knees | 192 | 204 | 174 | 76 | 64 | 97 | |||
| Lateral PFJ | |||||||||
| Cartilage Damage | |||||||||
| WORMS ≥2 n/N (%) | 101/384 (26) | 152/408 (37) | 138/348 (40) | 58/152 (38) | 67/128 (52) | 99/194 (51) | |||
| Adjusted PD* (%) (95% CI) | 0 (reference) | 6.6 (−1–14) | 7.8 (−1–16) | 0.005 | 0 (reference) | 14.9 (1–29) | 12.7 (−1–26) | 0.08 | 0.80 |
| Bone Marrow Lesions | |||||||||
| WORMS ≥1 n/N (%) | 52/384 (14) | 84/408 (21) | 69/348 (20) | 36/152 (24) | 44/128 (34) | 67/194 (35) | |||
| Adjusted PD* (%) (95% CI) | 0 (reference) | 3.7 (−2–10) | 2.7 (−3–9) | 0.16 | 0 (reference) | 11.3 (−1–24) | 11.4 (0–23) | 0.02 | 0.73 |
| Medial PFJ | |||||||||
| Cartilage Damage | |||||||||
| WORMS ≥2 n/N (%) | 142/384 (37) | 205/408 (50) | 191/348 (55) | 75/152 (49) | 75/128 (59) | 108/194 (56) | |||
| Adjusted PD* (%) (95% CI) | 0 (reference) | 8.7 (1–16) | 12.2 (4–21) | 0.0003 | 0 (reference) | 7.8 (−6–21) | 0.5 (−13–14) | 0.78 | 0.13 |
| Bone Marrow Lesions | |||||||||
| WORMS ≥1 n/N (%) | 62/384 (16) | 79/408 (19) | 76/348 (22) | 39/152 (27) | 33/128 (26) | 28/194 (14) | |||
| Adjusted PD* (%) (95% CI) | 0 (reference) | 0.3 (−5–6) | 2.6 (−4–9) | 0.63 | 0 (reference) | −1.5 (−13–10) | −13.9 (−24 – −4) | 0.01 | 0.002** |
PD=prevalence difference, adjusted for age, sex, and BMI
Interaction for medial PFJ BMLs implies that while quadriceps weakness decreased the likelihood of BMLs in those with patella alta it did NOT do so in those without patella alta. This is the opposite direction of the hypothesized interaction (knees with patella alta and weakness would have the greatest damage).
The results in the medial PFJ demonstrated a strong (positive) linear association between quadriceps weakness and cartilage damage among those without patella alta (p for trend = 0.0004). In those with patella alta there appeared to be a U-shaped relationship with those in the middle strength tertile having the greatest prevalence of cartilage damage, however the quadratic relationship was not statistically significant. For BMLs among those with patella alta there was a significant (negative) linear association demonstrated by lower prevalence of BMLs as the quadriceps strength decreased (those that were weak with patella alta had the lowest prevalence of BMLs); p trend 0.01. The interaction term p values for cartilage damage and BMLs were 0.13 and 0.002, respectively. The significant interaction for medial PFJ BMLs implies weakness has a different association with BMLs in those without patella alta (no association with weakness) than in those with patella alta (weakness associated with less damage). These results are opposite direction of the hypothesized interaction (knees that are weak and have patella alta will have the greatest prevalence of structural damage). When we tested alternative approaches for body mass normalization for strength measures, we found similar results.
Discussion
We have demonstrated that the prevalence of lateral PFJ cartilage damage and BMLs and medial PFJ cartilage damage was higher in weaker compared to stronger knees. We have previously reported that knees with patella alta are at increased risk for structural damage in the PFJ [7], however we did not find an interaction between quadriceps weakness and patella alta, indicating that the presence of both weakness and patella alta did not further increase the risk of patellofemoral cartilage damage or BMLs in the lateral PFJ beyond the risk imposed by quadriceps weakness or patella alta alone. Interestingly, there was a significant interaction for medial PFJ BMLs, but it was not in the hypothesized direction. The prevalence of BMLs decreased across tertiles of quadriceps strength (strong to weak) in knees with patella alta (i.e. weakest knees with patella alta had the lowest prevalence).
Periarticular muscles act to provide stability and shock absorption to joints [11]. Amin et al. [12] found that knees in the lowest (weakest) tertile of quadriceps strength had 2.5 times the odds of cartilage loss over 30 months compared to those in the highest (strongest) tertile. In subjects with patella alta, quadriceps weakness may be even more detrimental to a patella that is already unstable and tracking superior to the trochlea. Although we did not find an interaction between patella alta and quadriceps weakness, our findings strongly suggested that each of these factors independently increased the risk of PFJ structural damage so that there was an absolute prevalence increase in structural outcomes (cartilage damage and BMLs) in the lateral PFJ on MRI in those knees with both patella alta and weak quadriceps compared to those with without patella alta and weak quadriceps. For example in knees with both patella alta and quadriceps weakness (weakest tertile), the prevalence of lateral PFJ cartilage damage was 51% vs. only 26% in knees with neither of these factors, adjusted prevalence difference 20.0% (95% CI 9–31). A similar pattern was seen for lateral PFJ BMLs. These results suggest that subjects with patella alta and a weak quadriceps may experience increased instability that could lead to increased shear forces and PFJ stress, thereby increasing the prevalence of structural damage in the lateral PFJ.
Alternatively, quadriceps weakness may be a result of structural damage in the PFJ (or TFJ). Once a knee develops structural damage, pain is likely to follow, and some individuals may change their movement patterns to avoid contraction of the quadriceps. It is known that individuals with patellofemoral pain ambulate with decreased quadriceps activity [18], this quadriceps avoidance movement pattern may decrease loading of the PFJ potentially decreasing pain and weakening the quadriceps over time. Because of the cross sectional nature of this study, we are unable to determine if weakness or structural damage occurred first. However, Segal et al has demonstrated that among knees with no pain or OA at baseline, knees in the highest tertile of quadriceps strength were less likely to develop symptomatic whole knee (TFJ or PFJ) radiographic OA at 30 month follow up [19]. This data suggests that weakness may precede the OA disease process. It is also possible that these subjects' strength may further decline due to pain and structural damage. Additionally, we performed analyses adjusting for radiographic TFJ OA (Kellgren Lawrence ≥2) and pain (WOMAC pain scale), as TFJ OA and pain may contribute to quadriceps weakness, and results were similar to our main analyses.
Knees with patella alta that were weak had had a lower prevalence of BMLs in medial PFJ subregions compared to knees that were strong (adjusted prevalence difference −14%), while there was no association between quadriceps weakness and structural damage in those without patella alta. BMLs represent areas of bone damage in response to traumatic forces, and histologically represent areas of necrosis and fibrosis [20]. One potential mechanism for greater medial PFJ BMLs in knees with patella alta and strong quadriceps may be that patellae in these knees are more unstable and a strong quadriceps may pull the patella more laterally during contraction and as the patella returns to the midline it may compress the medial PFJ.
In the absence of patella alta, a strong quadriceps muscle potentially acts as a dynamic stabilizer and decreases forces and stress in the PFJ, reducing the prevalence of structural damage. Additionally, it is known that young females with patellofemoral pain have greater femur internal rotation [21] and weak hip abductors and extensors compared to those without pain [22]. It is hypothesized that hip weakness leads to internal rotation of the femur during movement and compression of the lateral PFJ. It is unknown if individuals with PFJ OA also have weak hip muscles, but this would suggest a focus on strengthening the hip extensors as a non-invasive treatment of PFJ OA.
There are limitations to this study. First, our measure of knee extensor strength was a concentric measure in an open chain position (i.e. seated extending the knee from a flexed position). We acknowledge that this is not a functional measure of strength and that our results might have been different if we had used a measure of eccentric quadriceps strength in a closed chain position (i.e. when the foot is on the ground). Concentric strength assessment was selected over eccentric for safety reasons with an older population who were at risk for cardiovascular events. Additionally, the cross-sectional design of this study limits our ability to infer the direction of causation between patella alta, structural damage, and quadriceps weakness.
In summary, in addition to our previous findings demonstrating that patella alta is associated with PFJ structural damage on MRI, we report here that quadriceps weakness is associated with similar structural damage. However, we did not confirm our hypothesis that quadriceps weakness and patella alta interact to produce more patellofemoral damage. In fact, the association between quadriceps weakness and lateral PFJ structural damage was similar among those knees with and without patella alta. Future research is needed to determine the exact mechanism by which a strong or weak quadriceps affects the mechanics of PFJ potentially leading to OA and to further illuminate how this mechanism differentially affects the lateral and medial PFJ.
Significance and Innovation
Quadriceps weakness was associated with lateral and medial PFJ cartilage damage and lateral PFJ BMLs
The association between quadriceps weakness and structural damage was similar in knees with and without patella alta
Acknowledgments
The MOST study is supported by the NIH (grants U01-AG18820, U01-AG18832, U01-AG18947, U01-AG19069, and AR-47785). Dr. Stefanik's work was supported by a doctoral dissertation award from the Arthritis Foundation and NIH T32AR007598.
References
- 1.Guccione AA, et al. The effects of specific medical conditions on the functional limitations of elders in the Framingham Study. Am J Public Health. 1994;84(3):351–8. doi: 10.2105/ajph.84.3.351. [DOI] [PMC free article] [PubMed] [Google Scholar]
- 2.McAlindon TE, et al. Radiographic patterns of osteoarthritis of the knee joint in the community: the importance of the patellofemoral joint. Ann Rheum Dis. 1992;51(7):844–9. doi: 10.1136/ard.51.7.844. [DOI] [PMC free article] [PubMed] [Google Scholar]
- 3.Szebenyi B, et al. Associations between pain, function, and radiographic features in osteoarthritis of the knee. Arthritis Rheum. 2006;54(1):230–5. doi: 10.1002/art.21534. [DOI] [PubMed] [Google Scholar]
- 4.Duncan R, et al. Does isolated patellofemoral osteoarthritis matter? Osteoarthritis Cartilage. 2009;17(9):1151–5. doi: 10.1016/j.joca.2009.03.016. [DOI] [PubMed] [Google Scholar]
- 5.Hunter DJ, March L, Sambrook PN. The association of cartilage volume with knee pain. Osteoarthritis Cartilage. 2003;11(10):725–9. doi: 10.1016/s1063-4584(03)00160-2. [DOI] [PubMed] [Google Scholar]
- 6.Kornaat PR, et al. Osteoarthritis of the knee: association between clinical features and MR imaging findings. Radiology. 2006;239(3):811–7. doi: 10.1148/radiol.2393050253. [DOI] [PubMed] [Google Scholar]
- 7.Stefanik JJ, et al. Association between patella alta and the prevalence and worsening of structural features of patellofemoral joint osteoarthritis: the multicenter osteoarthritis study. Arthritis Care Res (Hoboken) 2010;62(9):1258–65. doi: 10.1002/acr.20214. [DOI] [PMC free article] [PubMed] [Google Scholar]
- 8.Insall J, Salvati E. Patella position in the normal knee joint. Radiology. 1971;101(1):101–4. doi: 10.1148/101.1.101. [DOI] [PubMed] [Google Scholar]
- 9.Ward SR, Terk MR, Powers CM. Patella alta: association with patellofemoral alignment and changes in contact area during weight-bearing. Journal of Bone & Joint Surgery - American Volume. 2007;89(8):1749–55. doi: 10.2106/JBJS.F.00508. [DOI] [PubMed] [Google Scholar]
- 10.Insall J, Goldberg V, Salvati E. Recurrent dislocation and the high-riding patella. Clinical Orthopaedics & Related Research. 1972;88:67–9. doi: 10.1097/00003086-197210000-00012. [DOI] [PubMed] [Google Scholar]
- 11.Hurley MV. The role of muscle weakness in the pathogenesis of osteoarthritis. Rheum Dis Clin North Am. 1999;25(2):283–98. vi. doi: 10.1016/s0889-857x(05)70068-5. [DOI] [PubMed] [Google Scholar]
- 12.Amin S, et al. Quadriceps strength and the risk of cartilage loss and symptom progression in knee osteoarthritis. Arthritis Rheum. 2009;60(1):189–98. doi: 10.1002/art.24182. [DOI] [PMC free article] [PubMed] [Google Scholar]
- 13.Felson DT, et al. Correlation of the development of knee pain with enlarging bone marrow lesions on magnetic resonance imaging. Arthritis Rheum. 2007;56(9):2986–92. doi: 10.1002/art.22851. [DOI] [PubMed] [Google Scholar]
- 14.LaValley MP, et al. The lateral view radiograph for assessment of the tibiofemoral joint space in knee osteoarthritis: its reliability, sensitivity to change, and longitudinal validity. Arthritis Rheum. 2005;52(11):3542–7. doi: 10.1002/art.21374. [DOI] [PubMed] [Google Scholar]
- 15.Segal NA, et al. Quadriceps weakness predicts risk for knee joint space narrowing in women in the MOST cohort. Osteoarthritis Cartilage. 2010;18(6):769–75. doi: 10.1016/j.joca.2010.02.002. [DOI] [PMC free article] [PubMed] [Google Scholar]
- 16.Peterfy CG, et al. Whole-Organ Magnetic Resonance Imaging Score (WORMS) of the knee in osteoarthritis. Osteoarthritis Cartilage. 2004;12(3):177–90. doi: 10.1016/j.joca.2003.11.003. [DOI] [PubMed] [Google Scholar]
- 17.Rothman KJ, Greenland S, Lash TL. Modern epidemiology. 3rd ed. Wolters Kluwer Health/Lippincott Williams & Wilkins; Philadelphia: 2008. p. 758. x. [Google Scholar]
- 18.Powers CM, Landel R, Perry J. Timing and intensity of vastus muscle activity during functional activities in subjects with and without patellofemoral pain. Physical Therapy. 1996;76(9):946–55. doi: 10.1093/ptj/76.9.946. discussion 956-67. [DOI] [PubMed] [Google Scholar]
- 19.Segal NA, et al. Effect of thigh strength on incident radiographic and symptomatic knee osteoarthritis in a longitudinal cohort. Arthritis Rheum. 2009;61(9):1210–7. doi: 10.1002/art.24541. [DOI] [PMC free article] [PubMed] [Google Scholar]
- 20.Zanetti M, et al. Bone marrow edema pattern in osteoarthritic knees: correlation between MR imaging and histologic findings. Radiology. 2000;215(3):835–40. doi: 10.1148/radiology.215.3.r00jn05835. [DOI] [PubMed] [Google Scholar]
- 21.Souza RB, et al. Femur rotation and patellofemoral joint kinematics: a weight-bearing magnetic resonance imaging analysis. J Orthop Sports Phys Ther. 2010;40(5):277–85. doi: 10.2519/jospt.2010.3215. [DOI] [PubMed] [Google Scholar]
- 22.Souza RB, Powers CM. Differences in hip kinematics, muscle strength, and muscle activation between subjects with and without patellofemoral pain. J Orthop Sports Phys Ther. 2009;39(1):12–9. doi: 10.2519/jospt.2009.2885. [DOI] [PubMed] [Google Scholar]
