Abstract
Mitochondrial dysfunction is an early feature of Alzheimer’s disease (AD) and may play an important role in the pathogenesis of disease. Emerging evidence indicates that amyloid-β(Aβ) peptides enter mitochondria and may thereby disrupt mitochondrial function in brains of AD patients and transgenic model mice. However, it remains to be determined whether the β-cleaved C-terminal fragment (C99), another neurotoxic fragment of amyloid precursor protein (APP), may accumulate in mitochondria of neurons affected by AD. Using immunoblotting, digitonin fractionation and immunofluorescence labeling techniques, we found that C99 is targeted to mitochondria, in particular, to the mitoplast (i.e., inner membrane and matrix compartments) in brains of AD transgenic mice (5XFAD model). Furthermore, full-length APP (fl-APP) was also identified in mitochondrial fractions of 5XFAD mice. Remarkably, partial deletion of the β-site APP-cleaving enzyme 1 (BACE1+/−) almost completely abolished mitochondrial targeting of C99 and fl-APP in 5XFAD mice at 6 months of age. However, substantial amounts of C99 and fl-APP accumulation remained in mitochondria of 12-month-old BACE1+/−·5XFAD mouse brains. Consistent with these changes in mitochondrial C99/fl-APP levels, BACE1+/− deletion age-dependently rescued mitochondrial dysfunction in 5XFAD mice, as assessed by cytochrome c release from mitochondria, reduced redox or complex activities and oxidative DNA damage. Moreover, BACE1+/− deletion also improved memory deficits as tested by the spontaneous alternation Y-maze task in 5XFAD mice at 6 months but not at 12 months of age. Taken together, our findings suggest that mitochondrial accumulation of C99 and fl-APP may occur through BACE1-dependent mechanisms and contribute to inducing mitochondrial dysfunction and cognitive impairments associated with AD.
Keywords: Alzheimer’s disease, Mitochondria, C99, Amyloid precursor protein, β-Secretase, BACE1, Mitochondrial dysfunction, Oxidative DNA damage, Learning and memory, 5XFAD
Introduction
Alzheimer’s disease (AD) is a devastating neurodegenerative disease that represents the most common form of dementia among the elderly population. Although the cause of AD has not been completely understood, accumulating evidence indicates that mitochondrial dysfunction and increased oxidative stress occur early in the progression of disease and thus may play an important role in the pathogenesis of AD (Galindo et al., 2010; Moreira et al., 2010; Reddy, 2009; Swerdlow and Khan, 2009). Several in vitro studies have shown that exposure to amyloid-β (Aβ) peptides causes abnormalities of mitochondrial function as characterized by excessive mitochondrial membrane potential depolarization, uncoupling of the mitochondrial respiratory chain, reduced ATP, and increased reactive oxygen species (ROS) generation (Cardoso et al., 2004; Galindo et al., 2010; Reddy and Beal, 2008). Interestingly, cells depleted of mitochondrial DNA are insensitive to Aβ, suggesting that Aβ-mediated neurotoxicity and apoptosis require functional mitochondria (Cardoso et al., 2001; Cardoso et al., 2002). Moreover, Aβ overproduction induces abnormal mitochondrial dynamics through modulation of mitochondrial fission/fusion proteins (Wang et al., 2008). Consistent with these findings, increased autophagocytosis of mitochondria is indeed a prominent feature of AD (Moreira et al., 2007; Swerdlow and Khan, 2009).
Interestingly, recent investigations indicate that monomeric and oligomeric forms of Aβ are found in mitochondria of brains from AD patients and transgenic model mice, although the precise mechanism by which Aβ peptides are transported to mitochondrial membrane remains unclear (Caspersen et al., 2005; Dragicevic et al., 2010; Du et al., 2010; Hansson Petersen et al., 2008; Manczak et al., 2006). Aβ is formed from amyloid precursor protein (APP) through its endoproteolysis by two enzymes. The β-secretase (called BACE1 for β-site APP-cleaving enzyme 1) cuts APP first to generate the N-terminus of Aβ, producing the intermittent β-cleaved C-terminal fragment (C99). The γ-secretase cleaves C99 subsequently to release Aβ peptides. Importantly, different lines of evidence show that not only Aβ peptides but also C99 fragments may contribute to the pathophysiology of AD such as neurodegeneration, endosome dysfunction, and synaptic or mnemonic deficits (Berger-Sweeney et al., 1999; Choi et al., 2001; Jiang et al., 2010; Lee et al., 2006; Nalbantoglu et al., 1997; Oster-Granite et al., 1996; Song et al., 1998). In contrast to the well-documented interactions between Aβ and mitochondria, it has not been examined whether C99 is targeted to mitochondria and plays a role in inducing mitochondrial dysfunction associated with AD.
In this study, we investigated intramitochondrial accumulation of C99 in brains of the 5XFAD transgenic mouse model of AD, which co-overexpresses human APP and presenilin-1 (PS1) harboring five familial AD (FAD) mutations (Oakley et al., 2006; Ohno et al., 2006; Ohno et al., 2007). We recently demonstrated that partial deletion of the BACE1 gene (BACE1+/−) rescues synaptic and memory dysfunctions and prevents neurodegeneration with reductions in cerebral C99 and Aβ levels in relatively earlier pathological stages of 5XFAD mice (6–9 months of age), whereas it is no longer able to affect C99/Aβ levels or exert beneficial effects at advanced age (≥15 months) (Devi and Ohno, 2010a; Devi and Ohno, 2010b; Kimura et al., 2010). These findings raise the possibility that the same degree of β-secretase inhibition may yield less therapeutic benefits as AD progresses into the more profound stage. In this study, we crossed 5XFAD mice with BACE1+/− mice and explored age-related changes in the effect of BACE1+/− reduction on mitochondrial localization of C99 with relevance to improvements in mitochondrial dysfunction and memory deficits in 5XFAD mice.
Materials and methods
Animals
We used 5XFAD transgenic mice (Tg6799 line) that co-express and co-inherit FAD mutant forms of human APP (the Swedish mutation: K670N, M671L; the Florida mutation: I716V; the London mutation: V717I) and PS1 (M146L; L286V) transgenes under transcriptional control of the neuron-specific mouse Thy-1 promoter (Oakley et al., 2006; Ohno et al., 2006; Ohno et al., 2007). Hemizygous 5XFAD transgenic mice were crossbred to heterozygous BACE1 knockout (BACE1+/−) mice (The Jackson Laboratory, Bar Harbor, ME) (Cai et al., 2001; Laird et al., 2005), yielding animals with four different genotypes (wild-type, BACE1+/−, 5XFAD+/−, and BACE1+/−·5XFAD+/−). Genotyping was performed by PCR analysis of tail DNA. All experiments were done blind with respect to the genotype of the mice at 6, 9 or 12 months of age, and were conducted with the approval of the Nathan Kline Institute Animal Care and Use Committee.
Isolation of mitochondria and cytosol fractions
Whole brain samples were taken from the mice under deep isoflurane anesthesia, and isolation of subcellular fractions was performed as described previously (Devi et al., 2006; Devi et al., 2008). Brain tissues were homogenized in 8X volumes of homogenization medium containing 70 mM sucrose, 210 mM mannitol, 2 mM HEPES and 0.1 mM EDTA. Homogenates were centrifuged at 2,000 × g for 10 min. The resultant supernatant was centrifuged at 18,000 × g for 20 min to obtain the crude mitochondrial pellet, which was layered on 0.8 M sucrose solution and centrifuged at 22,000 × g for 30 min to remove myelin contamination. The final pellet was resuspended in homogenization medium as mitochondrial fractions. Postmitochondrial supernatant was further centrifuged at 100,000 × g to obtain cytosolic fractions in supernatant with removal of the microsomal pellet.
Isolation of mitochondria using the Percoll method
The Percoll preparation of mitochondria has been described previously (Barksdale et al., 2010; Brown et al., 2006). Briefly, the brain tissue was placed in a 5X volume of ice-cold homogenization medium and homogenized with a Dounce homogenizer. The resultant homogenate was centrifuged at 1,300 × g for 10 min, and the supernatant was layered on a discontinuous Percoll gradient with the bottom layer containing 40% Percoll, followed by 23% Percoll, and finally the 15% Percoll mitochondrial sample. Samples were centrifuged at 18,000 × g for 10 min at 4 °C. After centrifugation, the band between 23% and 40% containing nonsynaptic mitochondria was removed from the density gradient and placed in a separate tube. The nonsynaptic mitochondria was washed twice with homogenization medium (10,000 × g for 15 min), and the resulting pellet was then resuspended in homogenization medium.
Limited trypsin digestion and digitonin fractionation
Part of the mitochondrial samples prepared by the Percoll method (150 μg) was further subjected to treatments with trypsin and digitonin. To remove proteins that are peripherally associated with mitochondria, freshly isolated mitochondria in homogenization medium were subjected to trypsin digestion (30 μg of trypsin per milligram of protein) on ice for 20 min. The reaction was terminated by adding a trypsin inhibitor (300 μg/mg). The mitochondrial suspension was sedimented through 0.8 M sucrose. The final pellet was washed twice with homogenization medium, and the resulting pellet was then resuspended in homogenization medium. A separate set of fresh mitochondrial fractions (150 μg) in homogenization medium was treated with digitonin solution (0.05%) for 10 min with occasional mixing on ice. Digitonin-soluble and -insoluble fractions were separated by centrifugation at 12, 000 × g for 15 min. The pellet was washed and then resuspended in homogenization medium.
Immunoblot analysis
Mitochondrial and cytosolic fractions, as well as whole brain lysates as controls, with added protease inhibitor cocktail (Calbiochem, La Jolla, CA) were mixed with SDS sample buffer. Protein concentrations were determined by a BCA protein assay kit (Pierce, Rockford, IL), and 20–50 μg of protein was run on 4–12% NuPAGE gels (Invitrogen, Carlsbad, CA) and transferred to nitrocellulose membrane. After blocking, membranes were probed with anti-full-length APP (1:1,000, 22C11, MAB348, Millipore, Billerica, MA), an antibody that recognizes C-terminal epitope in APP (1:1,000, C1/6.1, kindly provided by Dr. Paul Mathews, Nathan Kline Institute) to detect the β-cleaved C-terminal fragment (C99), anti-BACE1 (1:1,000, MAB5308, Millipore), anti-synaptophysin (1:5,000, ab8049, Abcam, Cambridge, MA), anti-calnexin (1:1,000, 610523, BD Biosciences, San Jose, CA), anti-LAMP2 (1:200, ABL-93, Hybridoma Bank, Iowa City, IA), anti-TOM20 (1:1,500, sc-11415, Santa Cruz Biotechnology, Santa Cruz, CA), anti-TIM23 (1:2,000, sc13298, Santa Cruz Biotechnology), anti-HSP60 (1:5,000, ab46798, Abcam), anti-cytochrome c (1:5,000, MSA06, Mitosciences, Eugene, OR) or anti-β-actin (1:15,000, AC-15, Sigma, St. Louis, MO). They were then incubated with horseradish peroxidase-conjugated secondary IgG. Immunoblot signals were visualized by an ECL chemiluminescence substrate reagent kit (Pierce). Quantitative analysis of band optical density was performed using Quantity One software (Bio-Rad Laboratories, Hercules, CA).
Double immunofluorescence labeling
Mice were transcardially perfused with 0.1 M phosphate buffered saline (PBS, pH7.4), followed by 4% paraformaldehyde in PBS under deep isoflurane anesthesia. Brains were post-fixed for 24 h in 4% paraformaldehyde in PBS at 4°C and transferred to PBS. The brain was sectioned coronally at 30 μm using a vibratome (VT1200, Leica Microsystems, Wetzlar, Germany), and successive sections were stored in PBS containing 0.05% sodium azide at 4 °C. Three sections (separated by ~90 μm) per mouse were taken at levels between −1.7 and −1.9 mm to bregma according to the mouse brain atlas of Franklin and Paxinos (Franklin and Paxinos, 2008). The sections were permeabilized with 0.25% Triton X-100, blocked and then incubated overnight at 4°C with the mouse monoclonal antibody against C-terminal epitope in APP (1:200, C1/6.1, kindly provided by Dr. Paul Mathews, Nathan Kline Institute) and rabbit polyclonal antibody against TOM20 (1:250, sc-11415, Santa Cruz Biotechnology). Immunofluorescence labeling was performed by a 2-h reaction with Alexa Fluor 488 or Alexa Fluor 594 conjugated anti-mouse and anti-rabbit IgGs (1:500, Invitrogen) at room temperature. The sections were then washed three times in PBS and mounted with anti-fading medium. Control sections were processed with the omission of the primary antibody in the incubation buffer, and these controls yielded no specific labeling in brain sections. Immunostained sections were imaged with a confocal fluorescence microscope (LSM 510 Meta, Zeiss, Oberkochen, Germany) with a 100X objective.
MTT assay
The MTT assay is based on the reduction of 3-(4,5-dimethylthiazol-2-yl)-2,5-diphenyltetrazolium bromide (MTT) to formazan by hydrogenase, as described previously (Devi et al., 2006; Duan et al., 1999). Mitochondria (200 μg of protein) were incubated with MTT dye (0.5 mg/ml) in a 400 μl reaction volume at 37°C for 90 min. After the incubation, mitochondria were isolated and suspended in DMSO (100%), and the absorbance of the solution was measured spectrophotometrically at 592 nm.
Measurement of mitochondrial complex activities
Complex I, II and IV enzyme activities of isolated mitochondria were measured using microplate assay kits purchased from Mitosciences according to the protocols of the manufacturer. In each assay kit, the complex enzyme was immunocaptured within the wells of the microplate. The Complex I Microplate Assay Kit (MS141, Mitosciences) determined the activity of mitochondrial complex I by following the oxidation of nicotinamide adenine dinucleotide (NADH) to NAD+ and the simultaneous reduction of a dye leading to increased absorbance at 450 nm. In the Complex II Microplate Assay Kit (MS241, Mitosciences), the reduction of ubiquinone to ubiquinol was measured by a decrease in absorbance at 600 nm. The Complex IV Microplate Assay Kit (MS444, Mitosciences) determined the activity of the cytochrome c oxidase enzyme by following the oxidation of reduced cytochrome c as an absorbance decrease at 550 nm.
Oxidative DNA damage
The oxidative DNA damage was examined using immunofluorescence labeling with antibody against the oxidative damage marker 8-hydroxy-2′-deoxyguanosine (8-OH-DG: 4354-MC-050, Trevigen, Gaithersburg, MD) according to the manufacturer’s protocol. Briefly, three sections (30-μm thick, separated by ~90 μm) per mouse were collected at levels between −1.7 and −1.9 mm to bregma according to the brain atlas of Franklin and Paxinos (Franklin and Paxinos, 2008), and were treated with Proteinase K (5 μg/ml) for 20 min at 37°C. The sections were treated with 2N HCl for 5 min to denature DNA and neutralized with 1M Tris-base for 5 min at room temperature. The sections were then incubated overnight at 4°C with mouse monoclonal anti-8-OH-DG (1:250) followed by a 2-h reaction with Alexa Fluor 488 conjugated anti-mouse IgG (1:500, Invitrogen) at room temperature. Immunostained sections were imaged with confocal fluorescence microscope (LSM 510 Meta, Zeiss) with a 40X objective.
Spontaneous alternation Y-maze test
Spontaneous alternation performance was tested using a symmetrical Y-maze, as described previously (Kimura et al., 2010; Ohno et al., 2004). Each mouse was placed in the center of the Y-maze and was allowed to explore freely through the maze during an 8-min session. The sequence and total number of arms entered were recorded. Arm entry was considered to be complete when the hind paws of the mouse had been completely placed in the arm. Percentage alternation is the number of triads containing entries into all three arms divided by the maximum possible alternations (the total number of arms entered minus 2) × 100.
Statistical analysis
The significance of differences between the groups was determined by a one-way ANOVA and post-hoc Fisher’s PLSD tests were performed when appropriate. Data were presented as mean ± SEM and the level of significance was set for p value less than 0.05.
Results
Mitochondrial accumulation of C99 and full-length APP in 6-month-old 5XFAD mice
Recent studies have highlighted the accumulation of Aβ peptides within mitochondria in brains of APP transgenic mice, which may be associated with the occurrence of their mitochondrial dysfunction (Caspersen et al., 2005; Dragicevic et al., 2010; Du et al., 2010; Hansson Petersen et al., 2008; Manczak et al., 2006). To determine whether there may be a relationship between mitochondria and the β-cleaved C-terminal fragment of APP (C99) or full-length APP (fl-APP), immunoblot analysis was applied to mitochondria samples isolated from 6-month-old 5XFAD mice and age-matched non-transgenic control mice (Fig. 1A). First, we confirmed the purity of the mitochondrial fractions obtained with the Percoll method by performing Western blotting with antibodies specific to Calnexin (endoplasmic reticulum marker), LAMP2 (lysosome marker), synaptophysin (synaptosome marker), TOM20 (mitochondrial outer membrane protein) and HSP60 (mitochondrial matrix protein). While whole brain homogenates had immunoreactive bands for all of these protein markers, mitochondrial fractions showed clear immunoreactive bands for only mitochondrial markers (TOM20 and HSP60) in the absence of signals for the other protein markers. Therefore, although the homogeneity of mitochondria isolated by this method may be more precisely ascertained when visualized using electron microscopy (Barksdale et al., 2010), our blotting data strongly suggest that the mitochondrial fraction is relatively free from synaptic membrane or other organelle contamination. Interestingly, we found strong immunoreactive bands for both C99 and fl-APP in mitochondrial fractions from 5XFAD mouse brains, whereas mitochondria isolated from wild-type controls had no C99 or fl-APP signals (Fig. 1A).
Fig. 1.
Mitochondrial accumulation of C99 and fl-APP in 5XFAD mice at 6 months of age. (A) Immunoblot analysis of C99, fl-APP, BACE1 and a set of subcellular marker proteins in mitochondrial fractions and whole brain homogenates from wild-type (1), 5XFAD (2) and BACE1+/−·5XFAD (3) mice. Note that BACE1+/− deletion almost completely abolishes mitochondrial accumulation of C99 and fl-APP in 5XFAD mouse brains. (B) Double immunofluorescence labeling with anti-TOM20 (mitochondrial marker: red) and C1/6.1 antibody against the C-terminus of APP (C99 and fl-APP: green) in the cerebral cortex of wild-type (B1) and 5XFAD (B2) mice. The C1/6.1 immunoreactivity is found intraneuronally or associated with amyloid plaques (asterisk). Note the high degree of colocalization of TOM20 and C1/6.1 immunoreactivities in neurons of 5XFAD mice (white arrows). Scale bar = 20 μm. (C) Immunoblot analysis of C99, fl-APP and mitochondrial marker proteins in mitochondrial fractions of 5XFAD mice that received limited trypsin digestion or digitonin fractionation. Note that both C99 and fl-APP are found primarily in mitochondrial fractions containing the inner membrane and matrix.
As a complementary approach, we performed double immunofluorescence labeling and confocal microscopy on 6-month-old 5XFAD and wild-type mouse brain sections incubated with the C1/6.1 antibody (against the C-terminus of APP) in combination with anti-TOM20 antibody (Fig. 1B). In contrast with no staining with C1/6.1 in wild-type controls (Fig. 1B1), intense C1/6.1 immunoreactivities were observed not only intraneuronally but also in association with amyloid plaques in the cerebral cortex of 5XFAD mice (Fig. 1B2). Consistent with immunoblot data, we found strong colocalization of labeling with C1/6.1 (C99 and fl-APP) and the mitochondrial marker TOM20 in neurons of 5XFAD mice.
To investigate whether mitochondrial C99 and/or fl-APP accumulation is associated with the β-cleavage of APP, we next analyzed mitochondrial fractions of age-matched 5XFAD mice that were genetically engineered to have reduced levels of BACE1 (BACE1+/−·5XFAD) (Fig. 1A). BACE1+/− deletion almost completely abolished C99 and fl-APP signals in mitochondrial fractions of 6-month-old 5XFAD mice, suggesting that β-secretase-dependent mechanisms may underlie mitochondrial accumulation of both C99 and fl-APP. However, BACE1 was not detected in isolated mitochondria of 5XFAD mouse brains. Meanwhile, BACE1+/− mutation partially reduced BACE1 and C99 levels without affecting fl-APP expression levels in whole brain homogenates of 5XFAD mice in agreement with the fact that BACE1 is the major β-secretase enzyme.
To determine the nature of mitochondrial targeting of C99 and fl-APP, we applied limited trypsin digestion and digitonin fractionation (Fig. 1C). Trypsin treatments did not affect immunoreactive signals for C99 or fl-APP in mitochondrial fractions of 6-month-old 5XFAD mice, indicating that these molecules are indeed associated with the mitochondrial membrane. Moreover, neither C99 nor fl-APP signal was affected by treatments with 0.05% digitonin, which removed the mitochondrial outer membrane marker protein TOM20 without affecting the inner membrane marker TIM23 or matrix marker HSP60. Therefore, mitochondrial C99 and fl-APP found in brains of 6-month-old 5XFAD mice were primarily associated with the mitoplast or inner membrane-matrix compartments.
Mitochondrial accumulation of C99 and full-length APP in 12-month-old 5XFAD mice
We further analyzed mitochondrial fractions of 12-month-old 5XFAD mice to explore age-related changes in mitochondrial localization of C99 and fl-APP (Fig. 2). Mitochondrial fractions from 5XFAD mice at this advanced age also showed strong immunoreactive bands for C99 and fl-APP (Fig. 2A), which were primarily associated with the inner membrane-matrix compartments (Fig. 2B). Importantly, BACE1+/− deletion reduced both bands, but substantial amounts of C99 and fl-APP remained in mitochondria of BACE1+/−·5XFAD mice at 12 months of age (Fig. 2A) in contrast with those of 6-month-old BACE1+/−·5XFAD mice (Fig. 1A). Therefore, as 5XFAD mice aged, the accumulation of C99 and fl-APP within mitochondria was advanced and became more resistant to reductions by BACE1+/− mutation.
Fig. 2.
Mitochondrial accumulation of C99 and fl-APP in 5XFAD mice at 12 months of age. (A) Immunoblot analysis of C99, fl-APP and mitochondrial marker proteins in mitochondrial fractions from wild-type (1), 5XFAD (2) and BACE1+/−·5XFAD (3) mouse brains. Note that substantial amounts of C99 and fl-APP accumulation are found in mitochondria of BACE1+/−·5XFAD mouse brains at this advanced age. (B) Limited trypsin digestion and digitonin fractionation show that mitochondrial C99 and fl-APP in 5XFAD mice are primarily associated with the inner membrane-matrix compartments.
Mitochondrial dysfunction in 5XFAD mice
To investigate the relationship between mitochondrial accumulation of C99/fl-APP and mitochondrial dysfunction, we first measured mitochondrial redox activities with the MTT assay on mitochondria isolated by the sucrose method (Fig. 3A). At 6, 9 and 12 months of age, redox activities were significantly decreased in mitochondria of 5XFAD mouse brains as compared with those of respective age-matched wild-type controls (p < 0.05). Importantly, BACE1+/− deletion rescued reductions in mitochondrial redox activities in 5XFAD mice at 6 and 9 months of age (p < 0.05), whereas it was no longer able to affect reduced MTT values in 12-month-old 5XFAD mice. Next, we performed immunoblot analysis of mitochondrial and cytosolic fractions to assess cytochrome c release from mitochondria in 5XFAD mouse brains at different ages (Fig. 3B). The purity of each fraction prepared by the sucrose method was confirmed by immunoblotting with antibodies against the cytosolic marker β-actin (Fig. 3B) and mitochondrial marker proteins (data not shown). Quantitative analysis revealed that mitochondrial cytochrome c levels were significantly reduced (p < 0.05) (Fig. 3C) while cytosolic cytochrome c levels were significantly elevated (p < 0.05) (Fig. 3D) irrespective of age in 5XFAD mice. Consistent with the results of MTT assays, BACE1+/− deletion significantly reduced cytochrome c release from mitochondria to cytosol in 5XFAD mice at 6 and 9 months of age (p < 0.05), indicating the rescue of increased permeability of mitochondrial membranes. In contrast, BACE1+/− deletion was no longer able to affect reduced levels of mitochondrial cytochrome c or elevated levels of cytosolic cytochrome c in 12-month-old 5XFAD mouse brains.
Fig. 3.
Age-dependent effects of BACE1+/− deletion on mitochondrial dysfunction in 5XFAD mice. (A) MTT assays revealed that BACE1+/− deletion rescues reduced mitochondrial redox activities in 5XFAD mice at 6 and 9 months but not at 12 months of age (n = 5–8 mice per group). (B) Immunoblot analysis of cytochrome c (cyt c) in mitochondrial (Mito) and cytosolic (Cyto) fractions from wild-type, 5XFAD and BACE1+/−·5XFAD mouse brains. (C, D) Immunoreactive bands for cyt c in mitochondrial (C) and cytosolic (D) fractions were quantified and expressed as percentage of wild-type control and 5XFAD levels, respectively (n = 3–8 mice per group). Note that BACE1+/− deletion rescues cytochrome c release from mitochondria to cytosol in 5XFAD mice at 6 and 9 months but not at 12 months of age. * p < 0.05 (vs. wild-type), # p < 0.05 (vs. 5XFAD). All data are presented as mean ± SEM.
We further measured complex enzyme activities in mitochondria fractions (Fig. 4). Although complex I activities were not significantly changed (Fig. 4A), 5XFAD mice at 6 and 12 months of age showed significant reductions in mitochondrial complex II activities (p < 0.05) (Fig. 4B) and a trend toward reductions in complex IV activities compared with age-matched wild-type controls (p = 0.14 for 6 months, p = 0.06 for 12 months) (Fig. 4C). BACE1+/− deletion rescued decreased complex II activities in 5XFAD mice at both ages (p < 0.05); however, the rescue in 12-month-old BACE1+/−·5XFAD mice was partial and their complex II activities were significantly lower than those of wild-type controls (p < 0.05). Similarly, a trend toward the rescue of complex IV activities was observed in BACE1+/−·5XFAD mice at 6 months (p = 0.13) but not at 12 months of age. Collectively, the beneficial effects of BACE1+/−deletion on mitochondrial dysfunction in 5XFAD mice were age-dependent, and mitochondrial improvements as evaluated by multiple biochemical assays were observed in 6-month-old but not 12-month-old BACE1+/−·5XFAD mice.
Fig. 4.
Age-dependent effects of BACE1+/− deletion on reduced mitochondrial complex activities in 5XFAD mice. While complex I activities (A) are not affected, significant reductions in complex II activities (B) and a trend toward reductions in complex IV activities (C) (p = 0.14 for 6 months, p = 0.06 for 12 months of age) are observed in mitochondria of 5XFAD mice compared with wild-type controls. Note that complex II and IV activities are restored back to wild-type levels in 6-month-old BACE1+/−·5XFAD mice, whereas 12-month-old BACE1+/−·5XFAD mice show only partial or no rescue in these complex activities (n = 5–12 mice per group). * p < 0.05 (vs. wild-type), # p < 0.05 (vs. 5XFAD). All data are presented as mean ± SEM.
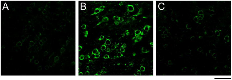
Lastly, we investigated the oxidative DNA damage in 5XFAD mice using 8-OH-DG immunofluorescence staining (Fig. 5). The immunoreactivity for the DNA damage marker 8-OH-DG was dramatically increased in the cerebral cortex of 5XFAD mice at 6 months of age (Fig. 5B) as compared with that of age-matched wild-type controls (Fig. 5A). In accordance with the rescue from mitochondrial dysfunction, the elevated 8-OH-DG immunoreactivity was reduced almost back to wild-type control levels in the cortex of 6-month-old BACE1+/−·5XFAD mice (Fig. 5C).
Fig. 5.

Effects of BACE1+/− deletion on the oxidative DNA damage in 5XFAD mice. Immunofluorescence labeling with anti-8-OH-DG antibody in the cerebral cortex of wild-type (A), 5XFAD (B) and BACE1+/−·5XFAD (C) mice at 6 months of age. Note that 5XFAD mice show a dramatic elevation in the 8-OH-DG immunoreactivity (oxidative DNA damage marker), while it was reduced to wild-type control levels in BACE1+/−·5XFAD mice. Scale bar = 50 μm.
Memory deficits in 5XFAD mice
To address whether mitochondrial dysfunction may be associated with memory impairments in 5XFAD mice, we tested the mice with the spontaneous alternation Y-maze paradigm (Fig. 6), which assesses hippocampus-dependent spatial working memory function (Lalonde, 2002; Ohno et al., 2004). Levels of spontaneous alternation in 5XFAD mice at 6 months (Fig. 6A) and 12 months (Fig. 6C) of age were reduced to ~50% corresponding to the random performance level in this memory assay, and were significantly lower than those of the respective age-matched wild-type controls (p < 0.05). Notably, the spatial working memory deficits were rescued to wild-type levels in 5XFAD mice with BACE1+/− genotype at 6 months of age, which exhibited significantly higher spontaneous alternation than did 5XFAD mice (p < 0.05). In contrast, BACE1+/− deletion did not affect the reduced levels of spontaneous alternation performance in 12-month-old 5XFAD mice. Meanwhile, the total number of arm entries during Y-maze testing was not significantly different between the four groups of mice tested at either 6 months (Fig. 6B) or 12 months (Fig. 6D) of age, indicating that changes were memory-specific and levels of exploratory activity were not affected in these mice. Together, consistent with the changes in mitochondrial dysfunction, BACE1+/− deletion rescued memory deficits in 5XFAD mice at 6 months but not at 12 months of age.
Fig. 6.
Age-dependent effects of BACE1+/− deletion on memory deficits in 5XFAD mice. Mice at 6 months (A, B) and 12 months (C, D) of age were tested for memory using the spontaneous alternation Y-maze paradigm. (A, C) Spatial working memory, as assessed by the spontaneous alternation performance, is significantly impaired (around 50% chance levels) in 5XFAD mice irrespective of age compared to wild-type controls (* p < 0.05). Note that BACE1+/−·5XFAD mice are rescued almost completely back to wild-type levels of alternation performance at 6 months but not at 12 months of age (# p < 0.05 versus age-matched 5XFAD). n = 5–10 mice per group. (B, D) Total number of arm entries reflecting exploratory activities of mice in the Y-maze does not differ between four groups irrespective of age, suggesting that the changes are memory-specific. n = 5–10 mice per group. All data are presented as mean ± SEM.
Discussion
Several groups have reported that Aβ is localized to mitochondrial membranes and may be responsible for initiating mitochondrial dysfunction in AD and APP transgenic mouse brains (Caspersen et al., 2005; Dragicevic et al., 2010; Du et al., 2010; Hansson Petersen et al., 2008; Manczak et al., 2006). In this study, we identified mitochondrial accumulation of the β-cleaved C-terminal fragment (C99) and fl-APP, which are primarily localized to the mitoplast (i.e., inner membrane and matrix compartments), in brains of 5XFAD transgenic mice. A previous study with digitonin fractionation reveals that Aβ is also more abundant in the mitochondrial inner membrane and matrix fractions while less abundant in the mitochondrial outer membrane of Tg2576 mouse brains (Manczak et al., 2006). To our knowledge, this is the first demonstration for direct targeting of C99 (another neurotoxic β-product of APP) to mitochondria associated with AD.
What mechanisms can account for the origin and accumulation of C99 fragments within mitochondria of 5XFAD mice? Consistent with our present results, studies using cultured cells, Tg2576 brains or postmortem brain specimens from AD patients have shown that fl-APP is targeted to neuronal mitochondria with its N-terminus inside the mitochondria and the C-terminus facing the cytosolic side (Anandatheerthavarada et al., 2003; Devi et al., 2006; Park et al., 2006). Although β-secretase activity is present in mitochondria (Hansson et al., 2004; Pavlov et al., 2011), the β-secretase BACE1 was not found in mitochondrial fractions of 5XFAD or wild-type control mice in this study. Therefore, it is unlikely that fl-APP molecules first enter mitochondria and then C99 is produced locally inside mitochondria. It seems more plausible that the β-cleavage of APP may occur in the cytoplasm and the resultant C99 molecules are transported to mitochondria in 5XFAD mouse brains. It is recently proposed that Aβ may translocate into mitochondria via the translocase of the outer membrane (TOM) machinery (Hansson Petersen et al., 2008) or the receptor for advanced glycation end products (RAGE) pathway (Takuma et al., 2009). Further study will be needed to determine the mechanism by which C99 fragments are transported from the cytosol to mitochondria in neurons in brains of AD patients or relevant transgenic mouse models.
Next, the correlation between mitochondrial accumulation of C99/fl-APP and mitochondrial dysfunction was examined in this study. We investigated the effects of partial BACE1 deletion (BACE1+/−) on mitochondrial levels of C99 or fl-APP as compared with those on multiple measures of mitochondrial dysfunction in 5XFAD mice at different stages of disease progression. In support of our previous studies (Devi and Ohno, 2010b; Kimura et al., 2010), BACE1+/− deletion affected the β-cleavage of APP without affecting expression levels of fl-APP, resulting in ~50% reductions in C99 levels in the whole brain homogenate of 5XFAD mice at 6 months of age. Strikingly, BACE1+/− mutation abolished intramitochondrial C99 accumulation in 5XFAD brains at this age. Therefore, it is conceivable that mitochondrial targeting of C99 is highly sensitive to the suppression of β-secretase activities and that partial reduction of C99 production (~50%) is sufficient to completely prevent C99 accumulation within mitochondria. It is also important to note that fl-APP is lacking in mitochondria of BACE1+/−·5XFAD mice despite no changes in fl-APP levels in whole brain lysates. Therefore, the overexpression of fl-APP alone is not able to induce its translocalization to mitochondria. Our results raise the possibility that mitochondrial targeting of fl-APP may involve certain mechanisms via BACE1-mediated pathways or occur secondary to accumulation of β-products (e.g., C99 and/or Aβ) in 5XFAD mice, although further study will be required to elucidate the underlying mechanism. Concomitant with elimination of mitochondrial C99 and fl-APP, BACE1+/− deletion rescued mitochondrial dysfunction such as reductions in mitochondrial redox (MTT assay) or complex II and IV activities and leakage of pro-apoptotic cytochrome c from mitochondria in 6-month-old 5XFAD mice. Moreover, the oxidative DNA damage as measured by immunofluorescence labeling of 8-OH-DG was also rescued by BACE1+/− deletion in the cerebral cortex of 5XFAD at this age. Recent studies indicate that the level of intramitochondrial Aβ (through interactions with mitochondrial proteins such as Aβ-binding alcohol dehydrogenase) or transmembrane-arrested mitochondrial fl-APP (through blocking import channels) correlate with the degree of mitochondrial dysfunction and oxidative DNA damage in brains of AD patients and APP transgenic mice (Anandatheerthavarada et al., 2003; Caspersen et al., 2005; Devi et al., 2006; Dragicevic et al., 2010; Lustbader et al., 2004; Manczak et al., 2006). Taken collectively, these findings support the idea that mitochondrial targeting of C99 fragments, in addition to or synergy with that of Aβ and fl-APP, may induce mitochondrial dysfunction leading to neuronal damage associated with AD and that partial reduction of BACE1 is beneficial for protecting neurons from the detrimental processing of mitochondrial dysfunction.
Studies from our laboratory and others have demonstrated that the abilities of BACE1+/− deletion to reduce Aβ levels or plaque load in brains of APP transgenic mice including the 5XFAD model become smaller and eventually disappear during the course of disease progression (Devi and Ohno, 2010b; Laird et al., 2005; McConlogue et al., 2007). Furthermore, levels of C99, a direct β-cleavage product of APP, are not significantly reduced despite ~50% reductions in BACE1 in whole brain samples from 15–18-month-old BACE1+/−·5XFAD mice compared with those of age-matched 5XFAD mice (Devi and Ohno, 2010b). The dissociation between C99 and BACE1 levels in the older BACE1+/−·5XFAD mouse brains suggests neuronal accumulation of C99 fragments. Consistent with these data, although BACE1+/− deletion reduced mitochondrial levels of C99 and fl-APP in 5XFAD mice at 12 months of age, substantial amounts of C99/fl-APP remained in mitochondria of BACE1+/−·5XFAD mouse brains. Moreover, BACE1+/− deletion was no longer able to rescue mitochondrial dysfunction in 5XFAD mice at this advanced age. Therefore, these findings suggest that mitochondrial levels of C99 and fl-APP represent a key determinant of mitochondrial dysfunction and that the same degree of β-secretase suppression (e.g., 50% by BACE1+/−) may become less efficacious in rescuing mitochondrial damage as AD progresses into the more profound stage. In accordance with the age-dependent rescue from mitochondrial dysfunction and C99/fl-APP accumulation, BACE1+/− deletion also improved memory deficits in 5XFAD mice at 6 months but not at 12 months of age. Although it is difficult to unequivocally determine the direct relationship between mitochondrial impairments and cognitive declines, our results support the hypothesis that mitochondrial dysfunction may be, at least in part, involved in causing memory deficits associated with AD.
In conclusion, this study demonstrates that C99 fragments are targeted to mitochondria in brains of AD transgenic mice in addition to well-documented mitochondrial accumulation of Aβ peptides and fl-APP. Our results also indicate that BACE1 activities are crucial for mitochondrial targeting and accumulation of not only the β-cleaved products of APP but also fl-APP, providing evidence that BACE1-suppressing approaches may have therapeutic benefits against the development of mitochondrial dysfunction associated with AD.
Highlights.
β-Cleaved C-terminal fragment of APP (C99) is targeted to mitochondria in 5XFAD mice. Mitochondrial C99 is primarily associated with the mitoplast in 5XFAD mice.
BACE1+/− deletion reduces mitochondrial accumulation of C99 and fl-APP in 5XFAD mice.
Mitochondrial targeting of C99 and fl-APP may account for mitochondrial dysfunction.
Acknowledgments
This work was supported by National Institutes of Health grant R01 MH067251 (M.O.) and Alzheimer’s Association grant IIRG-08-91231 (M.O.).
Footnotes
Publisher's Disclaimer: This is a PDF file of an unedited manuscript that has been accepted for publication. As a service to our customers we are providing this early version of the manuscript. The manuscript will undergo copyediting, typesetting, and review of the resulting proof before it is published in its final citable form. Please note that during the production process errors may be discovered which could affect the content, and all legal disclaimers that apply to the journal pertain.
References
- Anandatheerthavarada HK, et al. Mitochondrial targeting and a novel transmembrane arrest of Alzheimer’s amyloid precursor protein impairs mitochondrial function in neuronal cells. J Cell Biol. 2003;161:41–54. doi: 10.1083/jcb.200207030. [DOI] [PMC free article] [PubMed] [Google Scholar]
- Barksdale KA, et al. Mitochondrial viability in mouse and human postmortem brain. FASEB J. 2010;24:3590–3599. doi: 10.1096/fj.09-152108. [DOI] [PMC free article] [PubMed] [Google Scholar]
- Berger-Sweeney J, et al. Impairments in learning and memory accompanied by neurodegeneration in mice transgenic for the carboxyl-terminus of the amyloid precursor protein. Brain Res Mol Brain Res. 1999;66:150–162. doi: 10.1016/s0169-328x(99)00014-5. [DOI] [PubMed] [Google Scholar]
- Brown MR, et al. Synaptic mitochondria are more susceptible to Ca2+ overload than nonsynaptic mitochondria. J Biol Chem. 2006;281:11658–11668. doi: 10.1074/jbc.M510303200. [DOI] [PubMed] [Google Scholar]
- Cai H, et al. BACE1 is the major β-secretase for generation of Aβ peptides by neurons. Nat Neurosci. 2001;4:233–234. doi: 10.1038/85064. [DOI] [PubMed] [Google Scholar]
- Cardoso SM, et al. Functional mitochondria are required for amyloid β-mediated neurotoxicity. FASEB J. 2001;15:1439–1441. doi: 10.1096/fj.00-0561fje. [DOI] [PubMed] [Google Scholar]
- Cardoso SM, et al. Induction of cytochrome c-mediated apoptosis by amyloid β 25–35 requires functional mitochondria. Brain Res. 2002;931:117–125. doi: 10.1016/s0006-8993(02)02256-4. [DOI] [PubMed] [Google Scholar]
- Cardoso SM, et al. Mitochondria dysfunction of Alzheimer’s disease cybrids enhances Aβ toxicity. J Neurochem. 2004;89:1417–1426. doi: 10.1111/j.1471-4159.2004.02438.x. [DOI] [PubMed] [Google Scholar]
- Caspersen C, et al. Mitochondrial Aβ: a potential focal point for neuronal metabolic dysfunction in Alzheimer’s disease. FASEB J. 2005;19:2040–2041. doi: 10.1096/fj.05-3735fje. [DOI] [PubMed] [Google Scholar]
- Choi SH, et al. Memory impairment and cholinergic dysfunction by centrally administered Aβ and carboxyl-terminal fragment of Alzheimer’s APP in mice. FASEB J. 2001;15:1816–1818. doi: 10.1096/fj.00-0859fje. [DOI] [PubMed] [Google Scholar]
- Devi L, Ohno M. Genetic reductions of β-site amyloid precursor protein-cleaving enzyme 1 and amyloid-β ameliorate impairment of conditioned taste aversion memory in 5XFAD Alzheimer’s disease model mice. Eur J Neurosci. 2010a;31:110–118. doi: 10.1111/j.1460-9568.2009.07031.x. [DOI] [PMC free article] [PubMed] [Google Scholar]
- Devi L, Ohno M. Phospho-eIF2α level is important for determining abilities of BACE1 reduction to rescue cholinergic neurodegeneration and memory defects in 5XFAD mice. PLoS One. 2010b;5:e12974. doi: 10.1371/journal.pone.0012974. [DOI] [PMC free article] [PubMed] [Google Scholar]
- Devi L, et al. Accumulation of amyloid precursor protein in the mitochondrial import channels of human Alzheimer’s disease brain is associated with mitochondrial dysfunction. J Neurosci. 2006;26:9057–9068. doi: 10.1523/JNEUROSCI.1469-06.2006. [DOI] [PMC free article] [PubMed] [Google Scholar]
- Devi L, et al. Mitochondrial import and accumulation of α-synuclein impair complex I in human dopaminergic neuronal cultures and Parkinson disease brain. J Biol Chem. 2008;283:9089–9100. doi: 10.1074/jbc.M710012200. [DOI] [PMC free article] [PubMed] [Google Scholar]
- Dragicevic N, et al. Mitochondrial amyloid-β levels are associated with the extent of mitochondrial dysfunction in different brain regions and the degree of cognitive impairment in Alzheimer’s transgenic mice. J Alzheimers Dis. 2010;20(Suppl 2):S535–550. doi: 10.3233/JAD-2010-100342. [DOI] [PubMed] [Google Scholar]
- Du H, et al. Early deficits in synaptic mitochondria in an Alzheimer’s disease mouse model. Proc Natl Acad Sci USA. 2010;107:18670–18675. doi: 10.1073/pnas.1006586107. [DOI] [PMC free article] [PubMed] [Google Scholar]
- Duan W, et al. Prostate apoptosis response-4 production in synaptic compartments following apoptotic and excitotoxic insults: evidence for a pivotal role in mitochondrial dysfunction and neuronal degeneration. J Neurochem. 1999;72:2312–2322. doi: 10.1046/j.1471-4159.1999.0722312.x. [DOI] [PubMed] [Google Scholar]
- Franklin KBJ, Paxinos G. The mouse brain in stereotaxic coordinates. New York: Academic Press; 2008. [Google Scholar]
- Galindo MF, et al. Mitochondrial biology in Alzheimer’s disease pathogenesis. J Neurochem. 2010;114:933–945. doi: 10.1111/j.1471-4159.2010.06814.x. [DOI] [PubMed] [Google Scholar]
- Hansson CA, et al. Nicastrin, presenilin, APH-1, and PEN-2 form active γ-secretase complexes in mitochondria. J Biol Chem. 2004;279:51654–51660. doi: 10.1074/jbc.M404500200. [DOI] [PubMed] [Google Scholar]
- Hansson Petersen CA, et al. The amyloid β-peptide is imported into mitochondria via the TOM import machinery and localized to mitochondrial cristae. Proc Natl Acad Sci USA. 2008;105:13145–13150. doi: 10.1073/pnas.0806192105. [DOI] [PMC free article] [PubMed] [Google Scholar]
- Jiang Y, et al. Alzheimer’s-related endosome dysfunction in Down syndrome is Aβ-independent but requires APP and is reversed by BACE-1 inhibition. Proc Natl Acad Sci USA. 2010;107:1630–1635. doi: 10.1073/pnas.0908953107. [DOI] [PMC free article] [PubMed] [Google Scholar]
- Kimura R, et al. Partial reduction of BACE1 improves synaptic plasticity, recent and remote memories in Alzheimer’s disease transgenic mice. J Neurochem. 2010;113:248–261. doi: 10.1111/j.1471-4159.2010.06608.x. [DOI] [PMC free article] [PubMed] [Google Scholar]
- Laird FM, et al. BACE1, a major determinant of selective vulnerability of the brain to amyloid-β amyloidogenesis, is essential for cognitive, emotional, and synaptic functions. J Neurosci. 2005;25:11693–11709. doi: 10.1523/JNEUROSCI.2766-05.2005. [DOI] [PMC free article] [PubMed] [Google Scholar]
- Lalonde R. The neurobiological basis of spontaneous alternation. Neurosci Biobehav Rev. 2002;26:91–104. doi: 10.1016/s0149-7634(01)00041-0. [DOI] [PubMed] [Google Scholar]
- Lee KW, et al. Progressive neuronal loss and behavioral impairments of transgenic C57BL/6 inbred mice expressing the carboxy terminus of amyloid precursor protein. Neurobiol Dis. 2006;22:10–24. doi: 10.1016/j.nbd.2005.09.011. [DOI] [PubMed] [Google Scholar]
- Lustbader JW, et al. ABAD directly links Aβ to mitochondrial toxicity in Alzheimer’s disease. Science. 2004;304:448–452. doi: 10.1126/science.1091230. [DOI] [PubMed] [Google Scholar]
- Manczak M, et al. Mitochondria are a direct site of Aβ accumulation in Alzheimer’s disease neurons: implications for free radical generation and oxidative damage in disease progression. Hum Mol Genet. 2006;15:1437–1449. doi: 10.1093/hmg/ddl066. [DOI] [PubMed] [Google Scholar]
- McConlogue L, et al. Partial reduction of BACE1 has dramatic effects on Alzheimer plaque and synaptic pathology in APP transgenic mice. J Biol Chem. 2007;282:26326–26334. doi: 10.1074/jbc.M611687200. [DOI] [PubMed] [Google Scholar]
- Moreira PI, et al. Autophagocytosis of mitochondria is prominent in Alzheimer disease. J Neuropathol Exp Neurol. 2007;66:525–532. doi: 10.1097/01.jnen.0000240476.73532.b0. [DOI] [PubMed] [Google Scholar]
- Moreira PI, et al. Mitochondrial dysfunction is a trigger of Alzheimer’s disease pathophysiology. Biochim Biophys Acta. 2010;1802:2–10. doi: 10.1016/j.bbadis.2009.10.006. [DOI] [PubMed] [Google Scholar]
- Nalbantoglu J, et al. Impaired learning and LTP in mice expressing the carboxy terminus of the Alzheimer amyloid precursor protein. Nature. 1997;387:500–505. doi: 10.1038/387500a0. [DOI] [PubMed] [Google Scholar]
- Oakley H, et al. Intraneuronal β-amyloid aggregates, neurodegeneration, and neuron loss in transgenic mice with five familial Alzheimer’s disease mutations: potential factors in amyloid plaque formation. J Neurosci. 2006;26:10129–10140. doi: 10.1523/JNEUROSCI.1202-06.2006. [DOI] [PMC free article] [PubMed] [Google Scholar]
- Ohno M, et al. BACE1 deficiency rescues memory deficits and cholinergic dysfunction in a mouse model of Alzheimer’s disease. Neuron. 2004;41:27–33. doi: 10.1016/s0896-6273(03)00810-9. [DOI] [PubMed] [Google Scholar]
- Ohno M, et al. Temporal memory deficits in Alzheimer’s mouse models: rescue by genetic deletion of BACE1. Eur J Neurosci. 2006;23:251–260. doi: 10.1111/j.1460-9568.2005.04551.x. [DOI] [PubMed] [Google Scholar]
- Ohno M, et al. BACE1 gene deletion prevents neuron loss and memory deficits in 5XFAD APP/PS1 transgenic mice. Neurobiol Dis. 2007;26:134–145. doi: 10.1016/j.nbd.2006.12.008. [DOI] [PMC free article] [PubMed] [Google Scholar]
- Oster-Granite ML, et al. Age-dependent neuronal and synaptic degeneration in mice transgenic for the C terminus of the amyloid precursor protein. J Neurosci. 1996;16:6732–6741. doi: 10.1523/JNEUROSCI.16-21-06732.1996. [DOI] [PMC free article] [PubMed] [Google Scholar]
- Park HJ, et al. β-Amyloid precursor protein is a direct cleavage target of HtrA2 serine protease. Implications for the physiological function of HtrA2 in the mitochondria. J Biol Chem. 2006;281:34277–34287. doi: 10.1074/jbc.M603443200. [DOI] [PubMed] [Google Scholar]
- Pavlov PF, et al. Mitochondrial γ-secretase participates in the metabolism of mitochondria-associated amyloid precursor protein. FASEB J. 2011;25:78–88. doi: 10.1096/fj.10-157230. [DOI] [PubMed] [Google Scholar]
- Reddy PH. Amyloid beta, mitochondrial structural and functional dynamics in Alzheimer’s disease. Exp Neurol. 2009;218:286–292. doi: 10.1016/j.expneurol.2009.03.042. [DOI] [PMC free article] [PubMed] [Google Scholar]
- Reddy PH, Beal MF. Amyloid beta, mitochondrial dysfunction and synaptic damage: implications for cognitive decline in aging and Alzheimer’s disease. Trends Mol Med. 2008;14:45–53. doi: 10.1016/j.molmed.2007.12.002. [DOI] [PMC free article] [PubMed] [Google Scholar]
- Song DK, et al. Behavioral and neuropathologic changes induced by central injection of carboxyl-terminal fragment of β-amyloid precursor protein in mice. J Neurochem. 1998;71:875–878. doi: 10.1046/j.1471-4159.1998.71020875.x. [DOI] [PubMed] [Google Scholar]
- Swerdlow RH, Khan SM. The Alzheimer’s disease mitochondrial cascade hypothesis: an update. Exp Neurol. 2009;218:308–315. doi: 10.1016/j.expneurol.2009.01.011. [DOI] [PMC free article] [PubMed] [Google Scholar]
- Takuma K, et al. RAGE-mediated signaling contributes to intraneuronal transport of amyloid-β and neuronal dysfunction. Proc Natl Acad Sci USA. 2009;106:20021–20026. doi: 10.1073/pnas.0905686106. [DOI] [PMC free article] [PubMed] [Google Scholar]
- Wang X, et al. Amyloid-β overproduction causes abnormal mitochondrial dynamics via differential modulation of mitochondrial fission/fusion proteins. Proc Natl Acad Sci USA. 2008;105:19318–19323. doi: 10.1073/pnas.0804871105. [DOI] [PMC free article] [PubMed] [Google Scholar]





