Abstract
Background:
Synovial lipomatosis is a rare disorder of the synovium, commonly affecting the knee joint, resulting in joint pain, swelling, and effusion. The etiology of this condition still remains unclear.
Aim:
This was a study done to evaluate the disease process in synovial lipomatosis, with respect to the clinical parameters and pathological features.
Materials and Methods:
Case files of synovial lipomatosis diagnosed on histopathology between 2007 and 2009 were perused, to study the case history, and tissue sections were reviewed for the histomorphological changes.
Results:
Eight cases of synovial lipomatosis were diagnosed on histopathology from year 2007 to 2009, of which one occurred in the wrist joint and the rest were localized to the knee joint. Age ranged from one year to seventy-three years, with a male preponderance. Pain and swelling were major complaints. Three had a significant past history, one occurring post-trauma, one following chikungunya, and another with septic arthritis. Three of the cases had osteoarthritis. Body mass index was elevated in four cases and one case had protein energy malnutrition. On histopathological examination, all the cases showed villous proliferation of the synovium, with focal and diffuse infiltration by mature adipocytes. Four cases showed focal hyperplasia of the lining epithelium and five cases revealed variable fibrosis.
Conclusion:
Synovial lipomatosis may mimic tumorous, lesion-like synovial lipoma or hemangioma and its distinct histomorphology helps in distinguishing it from these lesions. It possibly represents a secondary phenomenon following the degenerative process of articular disease of the joints.
Keywords: Clinical, pathology, synovial lipomatosis
INTRODUCTION
Synovial lipomatosis is an uncommon intra-articular, fat-containing, proliferative lesion.[1] It generally affects the articular synovium of the knee joint with less predilection for other joints. This lesion may also involve other structures like the tendon sheath and bursa, which have a synovial lining.[2] As it is a rare entity, most of the studies documented in literature are either case reports or short case series. In the present study, we have analyzed the clinicopathological profile of this infrequent lesion, to understand the disease process.
MATERIALS AND METHODS
Case files of synovial lipomatosis diagnosed on histopathology between 2007 and 2009 were retrieved. Details of cases such as age, gender, site, presenting complaints, significant clinical examination findings, and past history of trauma / infection were analyzed [Table 1]. Histopathological slides of these cases were reviewed to observe other morphological features such as proliferation of synoviocytes, adipose tissue infiltration, fibrosis, vascular proliferation, and presence of inflammatory cells.
Table 1.
Significant history, clinical examination findings and radiological details

RESULTS
Eight cases of synovial lipomatosis were diagnosed on histopathology, from years 2007 to 2009 [Table 1]. Only one case was found to be present in the wrist joint and the remaining occurred in the knee joints [Table 1]. Age of presentation ranged from one year to seventy-three years with a male to female ratio of 5: 3 [Table 1]. Pain and swelling were the major complaints. Median joint line tenderness was noted in two cases and synovial thickening was felt in three cases. Three of the cases were clinically suggestive of arthritis and the rest of chronic synovitis. All the three cases of osteoarthritis in the series presented with swelling and pain of bilateral joints, with non-insulin dependent diabetes mellitus in two cases. Body mass index (BMI) was high in four cases and one case of protein energy malnutrition (PEM) showed significantly low BMI. One case of post-Chikungunya presented with features of carpel tunnel syndrome, on which surgical release was performed, as a therapeutic measure. Crepitus was felt in five out of eight cases, of which four cases had clear joint effusion that was drained while performing arthroscopy, and one case of PEM had septic arthritis with purulent effusion. Three had a significant past history, with the lesions occurring post-trauma, after Chikungunya and following septic arthritis. On histopathological examination, all the cases showed villous proliferation of the synovium with focal and diffuse infiltration by mature adipocytes [Figures 1 and 2]. The subepithelial tissue showed mature fat cells in all cases and three of the cases showed focal lymphocytic infiltrates [Figure 3]. Four cases showed focal hyperplasia of the lining epithelium and five cases revealed variable fibrosis [Figures 4 and 5].
Figure 1.

Villi-like structures lined by synovial epithelium. The subepithelial area show focal infiltration by mature adipocytes (Hematoxylin and eosin, ×20); Inset show fat cells in tissue lined by synoviocytes (Hematoxylin and eosin, ×100)
Figure 2.

Synovial tissue having papillary architecture completely replaced by mature adipocytes (Hematoxylin and eosin, ×20)
Figure 3.

Synovial tissue with core of the villi showing mature adipocytes and infiltration by lymphocytes (Hematoxylin and eosin, ×40)
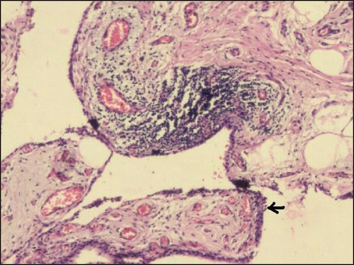
Figure 4.

Synovium with focal hyperplasia of the lining epithelium (arrow) showing mature adipocytes, lymphoid aggregate, congested capillaries, and mild fibrosis (Hematoxylin and eosin, ×40)
Figure 5.

Synovium featuring few mature lipocytes and large areas of fibrosis (Hematoxylin and eosin, ×40)
DISCUSSION
Synovial lipomatosis is an uncommon tumor-like lesion of the synovium, usually affecting the suprapatellar pouch of the knee joints.[3] It derives its name as Hoffa disease after a German surgeon Albert Hoffa, who described a condition localized to the infrapatellar fat pad in young athletes, in 1904, resulting in pain, swelling, and restricted movement of the knee, characterized by traumatic and inflammatory changes. It is also termed as villous lipomatous proliferation of the synovium or lipoma arborescens.[4]
Review of the literature reveals that synovial lipomatosis commonly affects adults.[5] In the present study the lesions predominantly occurred in older age groups and the median age was found to be 50 years, with 50% of the cases occurring after 50 years. In a series studied by Hallel et al., the age group ranged from 39 to 66 years.[6] Interestingly in our case series, this condition was noted even in a one-year-old child with protein-energy malnutrition and septic arthritis. Synovial lipomatosis rarely affects children and it should be ruled out in the case of refractory joint effusion with synovial swelling in a child.[7,8]
The etiopathogenesis of this condition is still not understood. Causes that have been implicated include, trauma, inflammation, rheumatism, and developmental and neoplastic processes.[5,8] Three cases in the present study occurred in patients having features of osteoarthritis. This change in the synovium possibly represents a protective and adaptive response to the longstanding injury of the articular cartilage. The transformation in the synovial tissue can correspond to a metaplastic change in a chronically inflamed synovium. A magnetic radio-imaging study may show a subchondral bone cyst or erosion in cases of synovial lipomatosis.[7,8] Another interesting finding in our study was a high body mass index in these patients. This draws our attention to the fact that synovial lipomatosis may be the result of excess fat deposition or fatty changes occurring due to obesity. Siva et al., documented synovial lipomatosis in multiple joints in a case of short bowel syndrome, and hence, they suggested it that may be the effect of the disorder of inappropriate fat deposition resulting from reduced fat absorption in a radically resected small bowel.[9] In our case series the possible role of abnormality due to excess fat cannot be ignored, because four of six cases, with available details for body mass index (BMI), showed a high BMI and one case had protein energy malnutrition which is a well accepted cause of fatty liver.
Direct injury to the articular cartilage may also lead to synovial lipomatosis, as noted in our case series in which one case was a sequel of Chikungunya and another occurred post-trauma. Both these lesions would have led to destructive changes in the articular cartilage from post-inflammatory and traumatic processes. Quite similar to osteoarthritis, the basic disease process was wear and tear of articular cartilage, resulting in its destruction. This signified a relationship of the articular cartilage with the synovium, thereby, causing changes in the synovium in the disease process affecting the articular cartilage.
Clinical features may vary in this condition, as noted in our case series. Signs and symptoms in our case series were similar to other case studies reported in literature. The most common clinical feature included pain and swelling of the joint, and the other was joint effusion and crepitus. Proliferation of the synoviocytes results in joint effusion. Extensive involvement may cause a pressure effect in the joint space. Pain in this condition could be either due to the effect of pressure or may be a result of the primary joint disease eroding the articular cartilage. The predominant location, in this case study was the knee joint, a feature well-documented in literature. Rare cases have been reported in literature with bilateral knee joint involvement and multifocal lesions affecting multiple joints.[3,9,10]
On clinical examination the differential diagnosis of synovial lipomatosis includes synovial lipoma, synovial chondromatosis, pigmented villonodular synovitis, synovial hemangioma, and rheumatoid arthritis.[5,8] It needs to be differentiated from other lesions affecting the synovium, as the treatment modalities differ. Magnetic resonance imaging exhibits the fatty nature of the lesion, with signal intensities similar to subcutaneous fat and it demonstrates a frond-like appearance.[3,11] None of our cases underwent magnetic resonance imaging. It is generally preferred over arthroscopy, as the latter cannot visualize the fat pad satisfactorily and does not give sufficient morphological and intrinsic information. However, for a conclusive diagnosis of synovial lipomatosis, histopathology is mandatory.
Tissue examination can play a significant role in obtaining a conclusive diagnosis. On histopathological examination, it closely resembles synovial lipoma and needs to be differentiated from it. Intra-articular synovial lipoma is a much rarer lesion, usually affecting the knee joint, and clinically resulting in sudden pain and catching or locking of the knee. Arthroscopy of the synovial lipoma shows a smooth, yellowish encapsulated mass, while histopathological examination shows an encapsulated mass, composed of mature adipocytes surrounded by the synovial membrane.[12] In contrast to this, synovial lipomatosis is characterized by a villous or frond-like architecture of the synovium, lined by mildly hyperplastic synovial lining cells and diffuse infiltration of the adipocytes of the subsynovial tissue. Occasionally, a mild-to-moderate chronic inflammatory infiltrate may be present in synovial lipomatosis, as it was noted in our cases.[5] It is not uncommon to find fibrosis in this lesion, and in our case series, we also noted a variable amount of collagenous tissue. When synovial lipomatosis is examined macroscopically, the synovium has a characteristic papillary, yellow, fatty appearance.
Histomorphology of synovial lipomatosis suggests a step-wise event, starting with adipocyte metaplasia and inflammation, with fibrosis being a later phenomenon. The evidence of these histological changes cannot be assessed unless a sequential biopsy is done, which is unwarranted for a regular diagnosis and treatment of synovial lipomatosis. We further speculate that up to the step of adipocyte infiltration, a reversal is still possible, provided the predisposing factor has been removed or treated. However, once fibrosis sets in it may become irreversible.
Lipoma can be surgically treated by arthroscopy and excision.[13] Treatment of synovial lipomatosis depends on the extent of involvement. With the advantage of less invasion and early recovery, arthroscopy is the preferred choice for the treatment of synovial lipomatosis.[14] When this lesion is limited to one compartment an arthroscopic synovectomy has been tried.[15] A more extensive involvement would require an open synovectomy.[7]
To conclude, synovial lipomatosis is a pesudotumorous lesion of the synovium, with distinct histomorphology, possibly resulting from inappropriate fat deposition and degenerative articular diseases of the joints.
Footnotes
Source of Support: Nil.
Conflict of Interest: None declared.
REFERENCES
- 1.Babar SA, Sandison A, Mitchell AW. Synovial and tenosynovial lipoma arborescens of the ankle in an ault: A case report. Skeletal Radiol. 2008;37:75–7. doi: 10.1007/s00256-007-0399-y. [DOI] [PubMed] [Google Scholar]
- 2.Vinson EN, Dodd LG, Merian M, Martinez S. Synovial lipomatosis arborescens of the peroneal tendon sheath. Skeletal Radiol. 2008;37:947–50. doi: 10.1007/s00256-008-0558-9. [DOI] [PubMed] [Google Scholar]
- 3.Bejia I, Younes M, Moussa A, Said M, Touzi M, Bergaoui N. Lipoma arborescens affecting multiple joints. Skeletal Radiol. 2005;34:536–8. doi: 10.1007/s00256-005-0900-4. [DOI] [PubMed] [Google Scholar]
- 4.Saddik D, McNally EG, Richardson M. MRI of Hoffa's fat pad. Skeletal Radiol. 2004;33:433–44. doi: 10.1007/s00256-003-0724-z. [DOI] [PubMed] [Google Scholar]
- 5.Kakkar N, Vasishta RK, Anand H. Pathological case of the month.Synovial lipomatosis. Arch Pediatr Adolesc Med. 1999;153:203–4. doi: 10.1001/archpedi.153.2.203. [DOI] [PubMed] [Google Scholar]
- 6.Hallel T, Lew S, Bansal M. Villous lipomatous proliferation of the synovial membrane (lipoma arborescens) J Bone Joint Surg Am. 1988;70:264–70. [PubMed] [Google Scholar]
- 7.Haasbeek JF, Alvillar RE. Childhood lipoma arborescens presenting as bilateral suprapattelar masses. J Rheumatol. 1999;26:683–6. [PubMed] [Google Scholar]
- 8.Bansal M, Changulani M, Shukla R, Sampath J. Synovial lipomatosiis of the knee in an adolescent girl. Orthopedics. 2008;31:185. doi: 10.3928/01477447-20080201-05. [DOI] [PubMed] [Google Scholar]
- 9.Siva C, Brasinton R, Totty W, Sotelo A, Atkinson J. Syonovial lipomatosis (lipoma arborescens) affecting multiple joints in a patient with congenital short bowel syndrome. J Rheumatol. 2002;29:1088–92. [PubMed] [Google Scholar]
- 10.Davies AP, Blewitt N. Lipoma arborescens of the knee. Knee. 2005;12:394–6. doi: 10.1016/j.knee.2005.01.003. [DOI] [PubMed] [Google Scholar]
- 11.Tiao WM, Yeh LR, Lu YC, Liang HL, Chen CK. Lipoma arborescens of the knee: A case report. J Formos Med Assoc. 2001;100:412–5. [PubMed] [Google Scholar]
- 12.Bennani L, Amine B, Aktaoau S, Hajjaj-Hassouni N. True intra-articular lipoma in a rheumatoid knee. Presse Med. 2008;37:610–3. doi: 10.1016/j.lpm.2007.08.017. [DOI] [PubMed] [Google Scholar]
- 13.Hirano K, Deguchi M, Kanamono T. Intra-articular synovial lipoma of the knee joint (located in the lateral recess): A case report and review of the literature. Knee. 2007;14:63–7. doi: 10.1016/j.knee.2006.10.008. [DOI] [PubMed] [Google Scholar]
- 14.Ren Fuji, Zhao Li. Diagnosis and therapy of synovial lipomatosis of the knee joint. Chin J Orthop. 2009;29:539–43. [Google Scholar]
- 15.Franco M, Puch JM, Carayon MJ, Bortlolotti D, Albano L, Lallemand A. Lipoma arborescens of the knee report of a case managed by arthroscopic synovectomy. Joint Bone Spine. 2004;71:73–5. doi: 10.1016/S1297-319X(03)00102-7. [DOI] [PubMed] [Google Scholar]
