Abstract
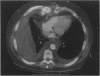
This report describes a late, near-fatal rupture of a false aneurysm of the right internal mammary artery subsequent to coronary artery bypass grafting. The patient presented to us in shock due to hemorrhaging, 8 weeks after bypass surgery that had been complicated by sternal fracture, dehiscence, and infection. Emergent thoracotomy and suture ligation controlled the hemorrhage. To the best of our knowledge, this is the 1st reported case of late massive hemorrhage caused by injury to an internal mammary artery after sternotomy. The literature is reviewed and discussed.
Full text
PDF

Images in this article
Selected References
These references are in PubMed. This may not be the complete list of references from this article.
- Martin A., Ross B. A., Braimbridge M. V. Peristernal wiring in closure of median sternotomy. False aneurysm of the internal mammary artery. J Thorac Cardiovasc Surg. 1973 Jul;66(1):145–146. [PubMed] [Google Scholar]
- Millner R. W., Guvendik L., Blauth C., Treasure T., Pepper J. R. False aneurysm of the right internal mammary artery. Ann Thorac Surg. 1991 May;51(5):831–832. doi: 10.1016/0003-4975(91)90144-f. [DOI] [PubMed] [Google Scholar]
- Robicsek F., Daugherty H. K., Cook J. W. The prevention and treatment of sternum separation following open-heart surgery. J Thorac Cardiovasc Surg. 1977 Feb;73(2):267–268. [PubMed] [Google Scholar]
- Spreafico P., Minzioni G., Grande A. M., Rota L., Cornalba G. P., Viganò M. False aneurysm of the internal mammary artery. J Cardiovasc Surg (Torino) 1991 Jan-Feb;32(1):62–63. [PubMed] [Google Scholar]

