Abstract
Using microRNA array analyses of in vitro HIV-1-infected CD4+ cells, we find that several host microRNAs are significantly up- or downregulated around the time HIV-1 infection peaks in vitro. While microRNA-223 levels were significantly enriched in HIV-1-infected CD4+CD8− PBMCs, microRNA-29a/b, microRNA-155 and microRNA-21 levels were significantly reduced. Based on the potential for microRNA binding sites in a conserved sequence of the Nef-3′-LTR, several host microRNAs potentially could affect HIV-1 gene expression. Among those microRNAs, the microRNA-29 family has seed complementarity in the HIV-1 3′-UTR, but the potential suppressive effect of microRNA-29 on HIV-1 is severely blocked by the secondary structure of the target region. Our data support a possible regulatory circuit at the peak of HIV-1 replication which involves downregulation of microRNA-29, expression of Nef, the apoptosis of host CD4 cells and upregulation of microRNA-223.
INTRODUCTION
MicroRNAs (miRNAs) are 21–23 nt long regulatory, non-coding, small RNAs that repress target gene translation through base pairing to complementary sequences in the 3′-untranslated region (3′-UTR) of targeted transcripts. Although the role of miRNAs in modulating HIV-1 infection is unclear, early on it was speculated that miRNAs could use the RNAi mechanism to directly target the viral RNA (1). MiRNAs that target HIV-1 could be grouped as those encoded by the host or those encoded by HIV-1.
The potential involvement of host miRNAs in HIV infection is intriguing, particularly given the documented participation of host miRNAs in the replicative cycles of other mammalian viruses. For instance, host miR-32 restricts primate foamy virus 1 replication (2) and host liver-specific miR-122 facilitates the replication of the hepatitis C viral RNAs (3). Several cellular miRNAs are predicted to target conserved regions of the HIV-1 genome (4), whereas Tat was reported to globally downregulate the host miRNA pathway by inhibition of Dicer activity (5–6). It has also been reported that downregulation of the miR-17/92 cluster and upregulation of its target PCAF facilitates HIV-1 infection (7). A published comparison of miRNA expression in activated versus resting CD4+ T lymphocytes concluded that several host miRNAs which target the Nef-3′-LTR region may contribute to HIV-1 latency (8). Specific signature miRNAs were associated with the classification of HIV-1 infection based on miRNA microarray profiling of PBMCs isolated from HIV-1 seropositive individuals (9). Deregulation of host miRNAs in human T-lymphotropic virus type 1 (HTLV-1) patients of adult T-cell leukemia and HTLV-1 transformed T lymphocytes were also reported (10,11). Finally it has been reported that miR-29a can target HIV-1 and direct HIV-1 RNAs into P bodies (12).
Given the uncertainties of the possible roles miRNAs might play in HIV-1 infection, we have focused our investigations on the up and down regulated cellular miRNAs in HIV-1 infection at the time that the virus loads peak and CD4+ T cells start to decline (13,14). To this end, we employed a comprehensive approach to delineate possible connections between cellular miRNA changes, CD4+ cell death and viral load. On the one hand, in order to identify miRNAs that become deregulated upon HIV-1 infection, we carried out HIV-1 infections and derived miRNA microarray profiles from infected and uninfected PBMCs, CEM and Jurkat cells. We have also analyzed the HIV-1 sequence for seed matches to annotated human miRNAs represented in miRBase 12 and found thousands of potential host miRNA target sites in the HIV-1 genome. In this study, we rank these potential sites based on their conservation among HIV-1 clades, miRNA/target binding energies, expression profiles in host cells and their target locations within the HIV-1 genome. These analyses have allowed us to derive a list of the most promising candidate cellular miRNAs that target HIV-1 RNA in CD4+ cells. Based on validation of results from multiple experiments, we focused our efforts on studying the possible roles of miR-29 and miR-223 in HIV-1 infection. We find that while both miR-29 and miR-223 can potentially suppress HIV-1 infection, their actual binding to the HIV-1 3′-UTR is impaired by the structure of the target region. Since the potential target for these miRNAs is a highly conserved region of the HIV genome, our results suggest that the structural features of this region have been evolutionarily selected for a thus far unknown functional role which fortuitously also provides an escape from host miRNA-mediated inhibition of HIV gene expression. Our study represents the most comprehensive analysis of HIV-1 and host miRNA interactions to date.
MATERIALS AND METHODS
CD4+CD8− isolation
Oligos used in this paper for plasmids construction and Northern Blotting are listed in Supplementary Table S3. CD4+ PBMC cells were isolated from apheresis blood cones provided by the City of Hope Blood Donor/Apheresis Center, by using PBMC (Histopaque 1077, Sigma-Aldrich)/PBGC (Histopaque 1119, Sigma-Aldrich) ficoll gradients. The ficoll gradients were layered below the blood in a 50 ml tube and centrifuged. The CD4+ cells were further depleted of CD8+ cells by negative selection using M-450 CD8 Dynabeads® (Invitrogen). CD4+ cells were added to PBS plus washed Dynabeads at a ratio of at least four Dynabeads to one cell. The tube was placed next to a magnet and the CD4+CD8− cell population was pipetted from the tube. The cells were washed and cultured in activated ActiCyte®-TC media (BioE).
Cell culture and transfection
HEK-293, HeLa and HeLa-T4 were maintained in high glucose (4.5 g/l) DMEM supplemented with 2 mM glutamine, 10% FBS and 2 mM penicillin/streptomycin. Jurkat, NB4, HL60, CEM-GFP, U937 and CEM cells were grown in RPMI1640 supplemented with 2 mM glutamine, 10% FBS and 2 mM penicillin/streptomycin.
Jurkat, HL-60 and CEM cells were purchased from ATCC. NB4 cells were kindly provided by Dr Sigal Gery (Cedars-Sinai Medical Center, Los Angeles, CA, USA). The following cell lines were obtained through the NIH AIDS Research and Reference Reagent Program, Division of AIDS, NIAID, NIH: HEK-293, HeLa, Hela-T4, CEM-GFP and U937 from Dr Thomas Folks; pNL4-3.Luc.R–E– from Dr Nathaniel Landau.
Transfection of HEK-293 and HeLa were performed with Lipofectamine 2000 (Invitrogen) in 24-well plates. Forty eight hours post-transfection, the cells were lysed and were analyzed with the Dual Luciferase reporter assay kit (Promega) on a Veritas Microplate Luminometer (Turner Biosystems).
Transfection of HeLa-T4 cells with synthetic Pre-miR™ miRNA precursor molecule and Anti-miR™ miRNA inhibitors were performed with siPORT™ NeoFX™ transfection agent. The protocol provided by Ambion and 100 nM of the pre/anti-miRs were used.
Retinoic acid treatment
Cells were treated with 10 µM all-trans retinoic acid (ATRA, Sigma) for 24, 48, 72 and 96 h. RNA and cell extracts were prepared at each time point.
Apoptosis
Cisplatin and Campothecin (Sigma) were use to induce apoptosis in CEM, NB4, HL60, U937 and Jurkat cells. Five micromolar apothecia and 20 µM cisplatin were used for the treatment. Apoptosis was detected with annexin V-PE apoptosis detection Kit from BD Pharmingen™.
HIV-1 infection
HIV-1 infection in CEM, Jurkat and U937 cells were performed at 0.01 MOI (multiplicity of infection). CD4+CD8− cells were infected the same way as CEM cells except they were washed with ActiCyte®-TC basal media and were cultured in ActiCyte®-TC activation media. Every 3 days, half of the cells were collected for cell extracts and RNAs, and equal amount of fresh medium were replenished. Cells without viruses were treated the same way and were used as a control for each time point. Infection was followed by microscopic analyses of EGFP expression in a CEM-GFP cell line and P24 assays of supernatants from infected cells.
Primary miRNA expression
The pri-miRNA expression vector, fU1-miR, was constructed as previously reported (15). The miRtron expression vector PGK-miR was constructed the same way as the fU1-miR: U1 was replaced with a mouse PGK promoter and the U1 termination sequence was replaced with a BGH poly (A) sequence.
Dual Luciferase reporter assays
Reporters were constructed by inserting annealed target sequences or PCR amplified target gene’s 3′-UTR into the XhoI/SpeI or XhoI/NotI sites of the 3′-UTR of Rluc gene in psiCheck2.2, 3.2 or 4.2. The assay was performed as previously described (15). The relative ratio of Rluc/Fluc was used to measure the repression efficiency. Transfection results were obtained by averaging the results from at least three individual transfections with two replicates each.
HIV sequence search and alignment
All sequences for a specific gene or region of HIV-1 and SIVcpz were retrieved from the HIV databases (http://www.HIV.lanl.gov/content/index).
MiRNA target sites and sites accessibility on HIV-1 NL4-3
We used PITA to predicate all target sites of 866 human miRNAs in miRBase 12 on HIV-1 pNL4-3. The site accessibility was also calculated with PITA. We used 6 nt as the seed, and any G:U pair or any mismatch were not allowed.
Cell cycle analysis
HeLa cells were used for the cell cycle study. We followed the published protocol (16). Cell synchronization was monitored by flow cytometry of propidium iodide-stained (100 µg/ml) cells.
RNA isolation, northern blot
RNA isolation and northern blot were carried out as previously reported (15). Briefly, RNA was isolated with RNA STAT-60 (Tel-Test Inc.). DNA oligonucleotide probes were labeled with γ-32P-ATP. The hybridization was performed overnight in PerfectHyb™ Plus Hybridization Buffer from Sigma. U2 or U6 snoRNAs were used as RNA loading controls.
Lentivirus production
A detailed protocol for generating lentiviral vectors was previously published (17). Lentiviruses were used to infect cells and EGFP positive clones were sorted by flow cytometry. Stable expression of mature miRNAs was analyzed by northern blotting.
Immunobloting
Western blot analyses were carried as previously reported (18).
MiRNA microarray and data processing
Total RNA was initially extracted using STAT-60 (Tel-Test Inc.) followed by purification using the RNeasy column (Qiagen) with a modified protocol (RNeasy kit manual). Samples were labeled using the Exiqon miRCURY LNA™ arrays, Hy3/Hy5 Power Labeling Kit which enzymatically adds a fluorescent label (Hy3 or Hy5) to the 3′-end of the miRNAs. One microgram of total RNA with control spiked-in oligos was processed per the company’s recommendations. The labeled products were then hybridized onto an array at 56°C for 16 h in a SureHyb hybridization chamber (Agilent), and an Agilent hybridization oven. The arrays were washed as recommended by Exiqon. Array images were scanned with an Agilent microarray scanner and feature extraction was used for the data extraction.
Preprocessing of raw data and statistical analyses were performed using the Bioconductor package LIMMA and R programming environment. Background correction was performed using the ‘normexp’ method implemented in the LIMMA package to adjust the local median background estimates (19). The background-corrected intensity data were normalized using the Print-tip group Lowess method to remove the bias within each array. When the dye-swap pairs were present, the normalized ratios between treated samples and control samples of the two dye-swap slides were averaged. MiRNAs that were up or down regulated more than 1.5-fold in at least one of the time points were selected as potential targets. Hierarchical clustering of the targets was performed by Cluster V2.1 with Pearson correlation and average linkage method (20). Clustering results were visualized using Java TreeView V1.1.3 (21).
MiRNA quantification with TaqMan® MicroRNA Assay
The miRNA array data was validated with an individual TaqMan® MicroRNA Assay kit from Applied Biosystems. Using the protocol recommended by the manufacturer. A BIO-RAD iCycler Thermal Cycler was used for the PCR quantification analyses. Each reaction (20 µl) was spiked with 1 µl of 1 µM fluorescein calibration dye (BIO-RAD). The comparative Ct method (fold change = 2−ΔΔCt) was used to calculate the changes of the tested miRNAs (22). MiR-142-3p was used as the internal control. We choose miR-142-3p as the control because of its high expression levels and minor variations in all our array or northern blot experiments.
RESULTS
MiRNA profiles in HIV-1-infected cells
MiRNA profiles were derived for HIV-1 IIIB infected CD4+CD8− PBMCs, CEM and Jurkat cells. Four array experiments using three versions (7.0, 9.2 and 11.0) of the Exiqon miRCURY LNA™ arrays were performed using three different sets of HIV-1-infected PBMC cell samples. Using the miRCURY array versions 7.0 and 9.2, we observed that cellular miRNAs miR-21, 26a, 155, 29a, 29b and 29c were significantly downregulated (Figure 1a and Supplementary Table S1a). In the miRCURY array version 11, in addition to detecting downregulation of the cellular miR-21, 26a, 155, 29a, 29b and 29c levels, we also observed miR-223 to be upregulated upon HIV-1 infection (Supplementary Table S1b). TaqMan miRNA RT-PCR results confirmed the downregulation of miR-21, 155, 29a, 29b and 29c and upregulation of miR-223 in HIV-1 infected versus uninfected samples (Figure 1b, Supplementary Figure S1).
Figure 1.
MicroRNA microarray and RT-PCR detect cellular miRNA in HIV-1-infected RNA samples. (a) Heat map of deregulated miRNAs in HIV-1 infected PBMCs. Partial microarray data for the deregulated miRNAs in PBMCs was classified and is shown as a heat map. Cellular miRNAs miR-21, 26a, 155, 29a, 29b, 29c were among the downregulated miRNAs upon HIV-1 infection. (b) TaqMan miRNA RT-PCR assays of miR-21, 155, 29a, 29b, 29c and 142-3p in HIV-1 IIIB infected versus uninfected CD4+CD8− PBMC cells. Assays were performed for three infections: Days 3, 7, 10 and 16 for December 2006 infection; Days 3, 6, 9, 12, 15 and 18 for March 2008 infection; Days 3, 12 and 15 for June 2008 infection. The comparative Ct method (fold change = 2−ΔΔCt) was used to calculate the changes of the tested miRNAs. ΔΔCt represents the difference between each miRNA in infected versus uninfected samples and was normalized to miR-142-3p in the same samples. Each bar in the y-axis represents the average of tested miRNA changes that were plotted by the week (x-axis): Day 3 through 7 as Week 1; Day 9 through 14 as Week 2; Day 15 through 21 as Week 3. The error bar represents STDEV. (RT-PCR results for each individual miRNAs at different days were shown in Supplementary Figure S1).
We next profiled miRNA expression in HIV-1 IIIB-infected CEM and Jurkat cells using the miRCURY array version 11. In addition, we performed northern blot analyses of candidate deregulated miRNAs from total RNAs derived from HIV-1 IIIB-infected CEM and Jurkat cells over a 21-day time course of infection. The magnitude of the miRNA changes in the CEM and Jurkat array data were much smaller than in PBMCs. This result was supported by the northern blot analyses (Supplementary Figure S2). However, we consistently observed upregulation of miR-223, downregulation of miR-29 and miR-155 in PBMCs, CEM and Jurkat cells (miR-155 expression levels in Jurkat cells are very low as revealed by northern blots and the array) (Supplementary Table S1b and Supplementary Figure S2b). Northern blot analyses confirmed the downregulation of miR-29 and miR-155, while miR-223 upregulation commenced around Day 12 post-infection in CEM and Jurkat cells. HIV-1 p24 assays of supernatants from the infected samples and GFP florescent signal levels in CEM-GFP HIV-1 reporter cells infected under the same conditions showed the viral load peaking around this time as well (data not shown).
Cellular miRNAs that potentially target HIV-1
We next searched for ‘seed sequences’ for the cellular miRNAs in the HIV-1 genome. MiRNA target site studies have revealed the ‘seed sequence’, defined as the nucleotides from position 2 to 7–8 from the 5′-end of miRNAs, as being critical for the miRNA/target interaction (23,24). For these analyses we used the computer program PITA (25) to scan all seeds of cellular miRNAs in HIV-1 pNL4-3 (NCBI accession numbers M19921 and AF324493), as well as a consensus sequence of the Nef-3′-LTR across all HIV-1 strains in the 2007 HIV-1 sequence database. PITA generated 2186 seed matches (6–8-mer) to the 866 human miRNAs cataloged in miRBase 12 within the 9.7 KB long NL4-3 genome. Of these, 219 are in the 1.2 KB Nef-3′-LTR fragment (Table 1).
Table 1.
Cellular miRNA candidates for targeting the HIV-1 Nef-3′-LTR (see excel file S2 for the complete data)—summary of seed matches in HIV-1 NL4-3 and the consensus sequence of the Nef-3′-LTR
| Seed | NL4-3 | Nef-3′-LTR (NL4-3) | Nef-3′-LTR (consensus) |
|---|---|---|---|
| 6-mer | 1576 | 147 | 191 |
| 7-mer | 464 | 55 | 47 |
| 8-mer | 146 | 17 | 19 |
| Sum | 2186 | 219 | 257 |
The HIV-1 NL4-3 Nef-3′-LTR and the consensus sequence of the Nef-3′-LTR were used to scan potential binding sites for human miRNAs documented in miRBase 12 (see Supplementary Table S2 for the complete data). The 6-mer seed (positions 2–7), 7-mer seed (positions 2–8) and 8-mer seed (positions 2–9) were scanned.
We next focused on host miRNA target sites in the Nef-3′-LTR region, which serves as the 3′-UTR of all HIV-1 transcripts. We further filtered the 257 seeds in the consensus Nef-3′-LTR sequence from the PITA screen according to the following criteria: cloned expression levels of miRNAs in effector, memory and naive CD4 T cells (Supplementary Figure S3a) (26,27); target site sequence conservation among HIV-1 clades; and calculated miRNA/target sequence binding energies (Δduplex in Tables 2 and 3). This process yielded a group of host miRNAs—miR-15a, 15b, 16, 24, 29a, 29b, 150 and 223 that may directly target the HIV-1 Nef-3′-LTR region (Supplementary Figure S3b and c). Among these miR-29a and -29b are those miRNAs with the strongest binding energies and their target site is located in the most highly conserved region of the Nef-3′-LTR (Figure 2a and b).
Table 2.
Cellular miRNA candidates for targeting the HIV-1 Nef-3′-LTR (see excel file S2 for the complete data)—Cellular miRNAs potentially targeting the consensus sequence of the HIV-1 Nef-3′-LTR were screened by PITA
| Host miRNA | Position | Seed | ΔGduplex | ΔGopen | ΔΔG |
|---|---|---|---|---|---|
| hsa-miR-29b | 491 | 8:0:0 | −23.3 | −19.22 | −4.07 |
| hsa-miR-29a | 491 | 8:0:0 | −22.1 | −19.22 | −2.87 |
| hsa-miR-24 | 120 | 8:0:0 | −20.24 | −9.27 | −10.96 |
| hsa-miR-24 | 1003 | 7:0:0 | −18.07 | −12.94 | −5.12 |
| hsa-miR-150 | 1010 | 7:0:0 | −17.98 | −15.33 | −2.64 |
| hsa-miR-24 | 586 | 6:0:0 | −16.09 | −14.53 | −1.55 |
| hsa-miR-16 | 958 | 6:0:0 | −14.2 | −16.89 | 2.69 |
| hsa-miR-15a | 958 | 6:0:0 | −12.41 | −16.89 | 4.48 |
| hsa-miR-15b | 958 | 6:0:0 | −10.75 | −16.89 | 6.14 |
In the seed column of the Table, 8:0:0 represents the target site as an 8-mer seed with no mismatches, (middle ‘0’) and zero G:U wobble pairs (right side ‘0’). Based upon the ΔGduplex for a miRNA and a target site, and the expression levels of the miRNA’s represented in http://www.microrna.org/microrna/home.do, the candidate host miRNAs that could effectively target the HIV-1 Nef-3′-LTR are miR-24, miR-15a/b, miR-16, miR-150 and miR-29a/b (Supplementary Figure S3).
Table 3.
Cellular miRNA candidates for targeting the HIV-1 Nef-3′-LTR (see excel file S2 for the complete data)—PITA predicted host miRNA candidates that could effectively target the HIV-1 NL4-3 Nef-3′-LTR region (see Supplementary Table S2 for the complete data)
| Host miRNA | Position in Nef-3′-LTR | Position in NL4-3 | Seed | ΔGduplex | ΔGopen | ΔΔG |
|---|---|---|---|---|---|---|
| hsa-miR-24 | 68 | 8854 | 7:0:0 | −26.7 | −17.67 | −9.02 |
| hsa-miR-29b | 420 | 9206 | 8:0:0 | −26.3 | −22.85 | −3.44 |
| hsa-miR-29a | 420 | 9206 | 8:0:0 | −24.2 | −22.85 | −1.34 |
| hsa-miR-29c | 420 | 9206 | 8:0:0 | −22.5 | −22.85 | 0.35 |
| hsa-miR-24 | 766 | 9552 | 7:0:0 | −19.7 | −22.01 | 2.31 |
| hsa-miR-150 | 89 | 8875 | 6:0:0 | −19.2 | −20.34 | 1.14 |
| hsa-miR-150 | 773 | 9559 | 6:0:0 | −17.66 | −18.27 | 0.61 |
| hsa-miR-24 | 444 | 9230 | 6:0:0 | −16.24 | −10.63 | −5.6 |
| hsa-miR-15a | 724 | 9510 | 6:0:0 | −15.44 | −14.15 | −1.28 |
| hsa-miR-24 | 503 | 9289 | 6:0:0 | −14.9 | −11.05 | −3.84 |
| hsa-miR-15b | 724 | 9510 | 6:0:0 | −14.54 | −14.15 | −0.38 |
| hsa-miR-16 | 724 | 9510 | 6:0:0 | −14.2 | −14.15 | −0.05 |
| hsa-miR-15a | 156 | 8942 | 7:0:0 | −14.1 | −7.83 | −6.26 |
| hsa-miR-16 | 156 | 8942 | 7:0:0 | −13.7 | −12.08 | −1.61 |
| hsa-miR-15b | 156 | 8942 | 7:0:0 | −12.7 | −12.08 | −0.61 |
| hsa-miR-1224-3p | 193 | 8979 | 8:0:0 | −30.5 | −7.89 | −22.6 |
| hsa-miR-223 | 408 | 9194 | 6:0:0 | −19.4 | −15.86 | −3.53 |
In the seed column of the table, 8:0:0 represents the target site as an 8-mer seed with no mismatches, (middle ‘0’) and zero G:U wobble pairs (right side ‘0’). Cellular miRNAs miR-29c, miR-1224 and miR-223 are presented for comparison purposes and are not considered as candidates due to their low expression levels in CD4 T cells.
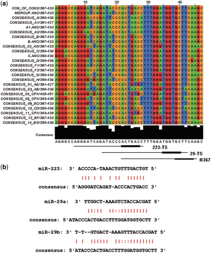
Figure 2.
MiR-29 and miR-223 target region on HIV-1 Nef-3′-LTR overlap with the N367 coding region. (a) Alignment of miR-223, 29 putative targets and the putative HvmiR-N367 encoding region across all HIV-1 subtypes. (b) Base pairing of miR-223, 29a and 29b mature sequences with the target region on the Nef-3′-LTR consensus sequence.
When we mapped the miR-223 and miR-29 sites in the NL4-3 genome, we noticed that the miR-29 seeds are very close to the miR-223 seeds and actually overlap with the region (9,1,94-921,7) encoding the putative HIV-1 derived miRNA N367 (Table 4 and Figure 2a) (28,29). Given the intriguing potential for miRNA regulation in this region we performed reporter assays as well as HIV-1 p24 antigen assays to examine the potential miR-223 and miR-29a/b suppressive effects on HIV-1 replication.
Table 4.
Cellular miRNA candidates for targeting the HIV-1 Nef-3′-LTR (see excel file S2 for the complete data)—Summary of miR-223 and 29 target sites on NL4-3 genome
| miRNA | Seed (6-mer) | Position on NL4-3 | Target region |
|---|---|---|---|
| hsa-miR-223 | ACUGAC | 119 | 5′-LTR |
| 3924 | Pol | ||
| 5544 | Vif | ||
| 9194 | Nef/3′-LTR | ||
| hsa-miR-29a/b/c | UGGUGC or GGUGCU | 132 | 5′-LTR |
| 9207 | Nef/3′-LTR |
We first performed reporter assays by co-transfection of the miRNAs with the pNL4-3-Luc vector. This reporter construct containing a Firefly luciferase (Fluc) gene was created by in-frame insertion of the Fluc coding sequence into the pNL4-3 Nef gene. A stop codon was also inserted immediately following the Fluc coding sequence (30,31). The miR-223 and miR-29 target sites are downstream of this stop codon in the 3′-UTR.The co-transfection results showed miRtron-1224, one of the best potential miRNAs predicted by PITA that can target NL4-3 Nef-3′-LTR, which has a 8-mer target seed (position 8979 of NL4-3; Table 3) located ~200 nt upstream of the miR-29 target site in the 3′-LTR, provided repression levels of 20–30%. In contrast, miR-223 only resulted in 5–10% repression. Interestingly, miR-29 triggered a much stronger suppression ranging from 30% to 40% (Figure 3a). We next performed HIV-1 p24 assays following co-transfection of HIV pNL4-3 proviral DNA with ectopically expressed pri-miRNAs 223 or 29 in HeLa-T4 cells. The results of these transfections showed that ectopic expression of miR-29 resulted in ~40–60% reduction of p24 levels (Figure 3b). In order to rule out the possibility that the expressed pri-miRNA may not produce sufficient levels of mature miRNAs for efficient target knockdown, we co-transfected the synthetic Pre-miR™ miRNA precursor molecules with the pNL4-3 proviral DNA in HeLa-T4 cells. We also carried out experiments with HeLa-T4 cells first transfected with the pre-miRs followed by HIV-1 IIIB infection (Figure 3c). The data from these experiments were consistent with the plasmid co-transfection data. Anti-miR™ miRNA inhibitors were used to inactivate the miRNAs. The anti-miR results show that knockdown of endogenous miR-29a/b led to enhanced HIV-1 infection as measured by p24 production. In contrast, knockdown of miR-223 had no effect. The later result is not surprising since miR-223 levels are extremely low in the HeLa-T4 cells and are undetectable in northern blots (Figure 3c).
Figure 3.
Reporter and P24 assays to test repression of HIV-1 NL4-3 by miR-223 and miR-29. (a) Co-transfection of pNL4-3-Luc with miRNAs. The data show miR-223 has weak repression, miR-29 has somewhat better repression. MiRtron-1224 gave mild repression. The y-axis represents the relative Fluc to Rluc signal (as percentages) normalized to the control (fU1-miR) by percentage. The values represent the average from at least three independent experiments and the error bar represents the standard deviation. (b) HIV-1 P24 assays for co-transfection of HIV-1 pNL4-3 with ectopically expressed pri-miRNA-223 or 29 in HeLa-T4 cells. The results indicate strong repression from miR-29 but not miR-223. The y-axis represents the relative p24 values (as percentages) normalized to the control (fU1-miR). The values represent the average from at least three independent experiments and error bar represents the standard deviation. (c) HIV-1 P24 assays for co-transfection of HIV-1 pNL4-3 with chemically synthesized pre-miRNA-223, -29a, -29b and anti-miRs for miR-223, -29a, -29b into HeLa-T4 cells. The results indicate moderate repression mediated by miR-29a, -29b and somewhat milder repression mediated by miR-223. The anti-miR data show an increase in P24 levels for anti-miR-29a and anti-miR-29b, but not for anti-miR-223. The y-axis represents relative p24 values (as percentages) normalized to the control (Negative pre-miR as control for pre-miRNAs and negative anti-miR as control for anti-miRs). The values represent the average from at least three independent experiments and the error bars depict the standard deviation.
Host factors as miRNA targets and their role in HIV-1 infection
Although host miRNAs may target the HIV-1 RNA genome, they have host genes as their normal biological targets. Some of the natural targets could be important for HIV-1 infection (7,8,32). Again, we focused our efforts on targets for miR-223 and miR-29.
By searching through the miR-223 targets predicted by miRanda (33), TargetScan (34) and PicTar (35), several major transcription factors were selected as candidates for regulation by miR-223 which could potentially play a role in HIV-1 infection. We fused the 3′-UTRs of these candidate genes with the Rluc reporter in the psiCheck vector. The reporter assays showed Sp3 and LIF were responsive to the presence of miR-223 in HEK293 cells. All-trans-retinoic acid (ATRA) can induce miR-223 expression in NB4 cells and target NF-1A (36). This was used to validate Sp3 and LIF as miR-223 targets (Supplementary Figure S4). We previously validated RhoB as an miRNA-223 target (18). RhoB functions as an anti-apoptosis gene and can activate the AKT-NFκB pathway (37,38). It has also been reported that RhoB is downregulated in HIV-1-infected cells obtained from patients (39). Sp3 can repress HIV-1 LTR activity directly and can also activate APOBEC3G which is a host viral restriction factor (40,41). LIF can restrict HIV-1 replication and has been reported to be downregulated in early HIV-1 infection (42–44). Therefore miR-223 could function as a negative factor in HIV-1 infection by reducing RhoB mediated activation of the AKT-NFκB pathway. This miRNA could also function as a positive factor in HIV-1 infection via targeting HIV-1 suppressive Sp3 and LIF.
MiR-29 targets include Mcl-1, DNMT 3A/B, Tcl1, p85 (the regulatory subunit of PI3 kinase) and CDC42 (45–48). Mcl1 is an anti-apoptosis protein and its overexpression results in B cell lymphomas (49). This protein could be upregulated during HIV-1 infection to inhibit viral triggered apoptosis. By targeting p85 α and CDC42, miR-29 can upregulate p53 levels and induce apoptosis in a p53-dependent manner. By targeting CDC42, miR-29 may play a role in cell cycle control (48). CDC42 is required for Nef associated cellular serine kinase activity (50–53). Upregulation of DNMT 3A/B may trigger global DNA methylation thereby epigenetically silencing expression of immune system genes involved in the host viral defense mechanism (54). Intriguingly, upregulated DNMT 3A/B may also methylate the LTR region of integrated HIV-1 thereby silencing the viral LTR promoter activity, which could contribute to HIV-1 latency. Tcl1 is an AKT kinase coactivator that can enhance AKT kinase activity (55–57), possibly facilitating HIV-1 infection when upregulated. Therefore, miR-29’s role in HIV-1 infection via regulation of cellular target expression may be very complex.
HIV infection in cell lines ectopically expressing miRNAs
Since miRNAs can target both HIV-1 and host factors, HIV-1 regulation by miRNAs could be the result of a combination of directly targeting the viral RNA and the indirect effects of targeting host factors. The time frames of transient transfection may be insufficient to observe the repression effect of miRNAs on HIV-1 replication. Therefore, we generated CEM cell lines that stably express miR-223, miR-29a and miR-29b and challenged them with HIV-1 IIIB infection (Supplementary Figure S5a). Despite several attempts, we only observed very modest suppression by miR-223, miR-29a or miR-29b (Supplementary Figure S5b). It has been reported that HIV-1 can escape RNAi by mutations in the siRNA target (58) or via changing local structures that include the siRNA target (59) [reviewed in reference (60)]. We therefore isolated and sequenced the target regions of the miRNAs in virviral RNAs at 6 weeks of infection. The results showed that the lack of strong suppression was not due to viral escape mutants in the miRNA binding sites (Supplementary Figure S5c). The lack of mutations in these target sites implies that the target region maybe functionally important. However, we observed several mutations in the flanking regions.
An HIV-1 anti-RNAi mechanism was encoded in the Nef-3′-LTR region
Our observation that the miR-223 and miR-29a/b/c targets in the Nef-3′-LTR region overlap with the putative viral mir N367 coding sequence implies that this region may not be easily accessible for miRISC due to the secondary structure of the region. This is also supported by the PITA data (Table 3). It has been reported that the local RNA structure of a siRNA target region is important for RNAi (61,62) and HIV-1 can mutate to form alternate local structures which allow escape from RNAi (59). To address whether the poor accessibility of the target region plays a major role in blocking miR-29 mediated suppression, experiments were performed using the dual-luciferase reporter assay.
The psiCheck™-2 Vector (Promega) was modified at the multiple cloning sites (renamed psiCheck-2.2) and was used to assay host miRNA effects on non-Nef containing transcripts that harbor the target 3′-UTR (Figure 4a). (The pNL4-3-Luc reporter can only measure the suppressive effect through 3′-UTR targeting). In order to directly measure the suppressive effects on Nef by miR-223 or miR-29a/b, we created psiCheck-3.2 and psiCheck-4.2 (Figure 4a and b).
Figure 4.
Reporters used to test the repression of NL4-3 by miR-223 and miR-29. (a) Diagram of psiCHECK-2.2, psiCHECK-3.2 and psiCHECK-4.2. PsiCHECK™-2 (Promega) was modified at the multiple cloning sites (MCS) and was renamed as psiCHECK-2.2. A target fragment inserted in the MCS will produce a fusion transcript with Rluc and produce the normal Rluc protein. PsiCHECK-2.2 was further modified to create psiCHECK-3.2 and psiCHECK-4.2. In -3.2, the stop codon of Rluc was mutated and the synthetic polyadenylation signal was maintained at the 3′ of the MCS. A target fragment inserted in the -3.2 MCS will produce a fusion transcript and a fusion Rluc protein using stop codon and polyadenylation signal contained in the inserted fragment or the polyadenylation signal on -3.2. In -4.2, the stop codon of Rluc was mutated and the synthetic polyadenylation signal was also removed. A target fragment inserted in the -4.2 MCS will produced a fusion transcript and a fusion Rluc using the stop codon and polyadenylation signal contained in the inserted fragment. (b) Diagram of fragments used to construct reporters to test the repression from miR-223 and miR-29 via binding the Nef-3′-LTR. Fragments A (8897-970,9) and B (9059-970,9) were cloned into psiCHECK-2.2, -3.2 and -4.2 to test miR-223 and miR-29 repression in Nef when it is translated (target coding sequence). Fragments C (8887-92,41), D (8887-9400), E (9,1,31-92,41), F (9,1,31-9400), G (9,1,72-92,3,7) and H (9,1,79-922,7) were inserted into siCheck-2.2 to measure miR-223 and miR-29 repression of HIV-1 when Nef functions as a 3′-UTR for other transcripts. We aligned miR-223, miR-29 target region and N367 encoding region in Nef-3′-LTR consensus sequence, NL4-3, HIV-1 IIIB, as well as sequences of the target region were mutated in miR-223 seed or miR-29 seed binding sites. (c) QuikFold predicted structure for the miR-29 target region in the Nef-3′-LTR. A longer fragment including the miR-29 target region in the Nef-3′-LTR was used for a structure prediction by QuikFold. QuikFold gave two structures (target region in lower case. Partial structures are depicted).
Co-transfection assays with reporters harboring long fragments from NL4-3 that span the target region (siCheck2.2-C, D, E, F and siCheck3.2/4.2-A, B in Figure 4b) resulted in weak repression with miR-223 and miR-29a/b miRNAs when they target either the 3′-UTRs (Figure 5a) or the coding regions (Figure 5b), which is consistent with the poor accessibility of this region as calculated by PITA (Table 3). To test whether the weak response is due to an intrinsic inability of the miRNAs to mediate repression or to structural constraints, reporters with short (39 nt) sequences spanning the miR-223-29a/b-N367 target region (H in Figure 4b) were tested. Using this approach luciferase expression was strongly repressed (~60–80%) by the miR-29a/b miRNAs but weakly repressed (~5–10%) by miR-223. Reporters with seed mutations in miR-223 or miR-29a/b targets specifically abrogated the repression by the miRNAs in all cases (Figure 5c). Extending the 39 bases of the target region to 56 bases (G in Figure 4b), which allows formation of a hairpin structure resembling the stem-loop structure of pre-miRNAs, resulted in a dramatic reduction in the repression mediated by all the miRNAs tested (Figure 5d). Taken together, these results strongly support the existence of a secondary structure in the native 3′-UTR which blocks accessibility of the miR-223 and miR29a/b. Since it has been reported that a putative virally encoded miRNA can be processed from this region we investigated whether or not the block to miR29 function was possibly due to processing the target from this region. To examine this possibility northern blots probing for the putative viral miRNA N367 were performed on RNA isolated from NL4-3, NL4-3-Luc, HIV-1 IIIB-infected CEM and Jurkat cells at Day 21 (N367 was originally discovered in HIV-1 IIIB-infected cells). Probes for N367-3p/5p failed to detect any complementary small RNAs in any of these samples (data not presented). An mRNA northern blot was also performed to detect the Rluc transcript reporter constructs, and these showed the fusion transcripts to be intact (Supplementary Figure S6). Mutations at nucleotides 9149, 9180 or both within the 9131-9241 region (E in Figure 4b) did not increase miR-29 or miR-223 suppression in the psiCheck derivates, suggesting that the secondary structure in this region is very stable (data not shown). HIV-1 NL4-3 whole genome structural analyses have shown this region forms three hair-pin type structures (63). Thus, it appears that HIV-1 has evolved secondary structures in this region which in effect prevent host miRNAs from targeting this region. Whether these structures evolved to escape host miRNAs or for other functional reasons, the net result is that potential miRNA mediated repression of HIV-1 protein expression is attenuated. The occurrence of mutations in this region would potentially be deleterious to Nef function since they would be within the Nef coding region. The miR-29 seed complementary sequence (5′-UGGUGCU) encodes amino acids Tryptophan (the only amino acid with an indole ring and encoded only by UGG) and Cysteine (the only amino acid containing a thiol group that can form a disulfide bond which is encoded by UGC or UGU). Thus, mutations in the miR-29a/b seed target which includes UGGUG may be functionally constrained from mutational changes.
Figure 5.
Reporter assay tests for the repression of NL4-3 by miR-223 and miR-29. For all transfections, the values represent the average of at least three independent experiments and the error bar represents the standard deviation. (a) Reporter assays show miR-223/29 repression is very weak when Nef serves as the 3′-UTR. (b) Reporter assays show miR-223/29 repression of Nef when it serves as a coding region. (c) Reporter assays to measure the miR-223/29 repression using the 39 nt target sequence. Co-transfection of the reporter and miRNA genes in HEK-293 cells show weak repression by miR-223 and strong repression by miR-29. Mutated seed binding site for miR-223 or miR-29 abrogated the repressions mediated by either miRNA. (d) Reporter assays to measure the miR-223/29 repression using a 56 nt target sequence. Co-transfection of the reporter and miRNA expression constructs in HEK-293 cells show weak repression mediated by miR-223 and reduced repression mediated by the miR-29 miRNAs.
The regulation of miR-223 expression in HIV-1-infected cells
MiR-223 was initially identified as a hematopoietic-specific miRNA predominately expressed in granulocyte and macrophage lineages (64). The first reported regulation of miR-223 expression was shown by competitive binding of activation factor C/EBP α and repression factor NF-1A in the presumptive promoter region of a 1 kb DNA fragment upstream of miR-223 (36) (p223c, Supplementary Figure S7a). In addition, a long transcript containing miR-223 has been reported in the GenBank (accession number DQ680072). We identified a promoter (p223a, Supplementary Figure S7a) located far upstream of proposed the promoter site (36). The existence of both the upstream p223a promoter and a more proximal minimal promoter (p223b) were confirmed by 5′-RACE analyses (65) (Supplementary Figure S7a). Interestingly, this same group showed that C/EBP β can upregulate pri-miR-223 expression via p223a. This observation provides a possible explanation for the upregulation of miR-223 in HIV-1-infected cells, since HIV-1 Tat, and Vpr proteins are reported to activate C/EBP β (66,67).
To test this possibility we constructed reporters in which various regions of the p223 promoter were fused to Firefly luciferase. We used this system to test the effects of co-expressing various transcription factors in co-transfection assays (Supplementary Figure S7b and c). Our data indicate that C/EBP α but not β, upregulates expression through p223a, with only minimal effects on expression from p223c).
Our miR-223 target validation experiments showed ATRA treatment induced miR-223 expression in NB4, HL-60 and U937 cells, but not in CEM and Jurkat cells (Supplementary Figure S4b and d). Therefore, upregulation of miR-223 in HIV-1-infected CEM and Jurkat cells is probably not due to HIV-1 encoded proteins upregulating C/EBP α.
Another possible explanation for upregulation of miR-223 levels after HIV-1 infection could be a consequence of increased apoptosis (68), especially since elevated levels of cell death were observed 4 days post-ATRA treatments in the miR-223 target validation experiments. Therefore, we measured the level of apoptosis in NB4 and U937 cells treated by ATRA for 3 days and observed that ~30% of the cells went through apoptosis (data not presented), which is consistent with the above interpretation. We next treated several cell lines with cisplatin (CDDT) or campothecin (CPT) to induce apoptosis. We observed that CPT can increase miR-223 expression (Supplementary Figure S7e) suggesting that at least part of the upregulation of miR-223 in HIV-1-infected cells may be caused by HIV-1 induced apoptosis. It has been reported that Nef can induce apoptosis in HIV-1-infected cells by binding to and inhibiting ASK1, a key player in apoptosis (69).
The regulation of miR-29a/b expression
MiR-29a was reported to be repressed by NF-κB acting through YY1 and the Polycomb group proteins during myogenesis (70). HIV-1 Tat can hyper-activate the expression of NF-κB by directly interacting with SIRT1 and blocking SIRT1’s ability to deacetylate lysine 310 in the p65 subunit of NF-κB (71). Thus Tat may repress miR-29a through NF-κB. The accumulation of miR-29b in the nucleus during mitosis has been reported (72). By searching through computer predicted miR-29a/b targets, we identified NASP (nuclear autoantigenic sperm protein) as a potential miR-29a/b target (Supplementary Figure S8a). NASP is reported to be an H1-specific histone chaperone and is cell cycle regulated (73,74). Decreased NASP levels correlate with a decrease of cells in S-G2 phase. Thus, upregulation of this protein may result in an increase in G2 phase cells (75). We found reciprocal expression of miR-29b and NASP during the cell cycle: miR-29b levels are high during mitosis whereas the level of NASP is low (Supplementary Figure S8b). Since G2 phase arrest is associated with the expression of the HIV-1 Vpr protein (31,76–78), Vpr could decrease miR-29b, thereby facilitating HIV-1 infection. Reduction of miR-29b would maintain NASP at a higher level and arrest cells in the G2 phase. In this context it is also interesting to note that another study reports that virion-associated Vpr is required for efficient Nef expression from unintegrated HIV-1 proviral DNA (79). It would therefore be of interest to determine if Vpr can upregulate Nef via downregulating miR-29.
DISCUSSION
MiRNAs regulate protein expression via binding to the 3′-UTR of complementary target mRNAs leading to translational inhibition and P-body mediated mRNA degradation. An intriguing problem is whether or not miRNAs play a role in the regulation of HIV-1 gene expression, either directly or indirectly, thereby affecting HIV-1 infection. The HIV-1 Nef-3′-LTR region serves as the 3′-UTR for all HIV-1 transcripts. Thus, miRNA binding sites in this region could potentially play critical roles in modulating the expression of proteins from multiple HIV-1 transcripts during various stages of the HIV-1 replication cycle. Nef expression may also be directly affected via targeting the Nef coding region. Nef has been shown to play an important role in viral replication and pathogenesis. Nef can promote the degradation of CD4 and MHC proteins to evade the host immune response to HIV-1. Nef can also promote the long-term survival of infected T cells and the destruction of non-infected by-stander T cells. HIV-1 patients harboring strains with Nef gene deletions have slower progression to AIDS (80). Thus, miRNAs targeting the Nef region have the potential to affect HIV-1 pathogenesis.
Many host miRNAs target the Nef-3′-LTR region
Huang et al. proposed that miR-28, miR-125b, miR-150, miR-223 and miR-382 contribute to HIV-1 latency (8). These miRNAs may be enriched in resting CD4 cells relative to activated CD4 cells. The absolute expression levels of most of these miRNAs in CD4 cells are modest according to our miRNA microarray results and other groups’ published large scale miRNA cloning data (26,27) (Supplementary Figure S3). Based on PITA’s data of the 256 seed match sites in the Nef-3′-LTR consensus sequence, the expression levels of miRNAs in CD4 T cells (Supplementary Figure S3b), and in combination with the target site conservation and miRNA/target site binding energies, we identified a list of host miRNAs including miR-15a, 15b, 16, 24, 29a, 29b, 150 and 223 which could potentially target HIV-1 in the transcribed 3′-LTR region. Such targeting could play a role in modulating HIV-1 infection (Supplementary Figure S3b and c) although our results suggest that direct targeting of the HIV UTR by some of these miRNAs has at best a weak inhibitory effect.
HIV-1 infection alters levels of host miRNAs
In the current study, our microRNA profiling revealed that it is unlikely that HIV infection causes global miRNA de-regulation since it more clearly affected the levels of some but not all miRNAs. We were unable to reproduce the array results that were published by either Yeung et al. or Triboulet et al. (7,81). We were also unable to reproduce their array and northern blot data showing downregulation of the miR-17 clusters in either HIV-1 IIIB-infected Jurkat or CEM cells. Both miR-17-5p and miR-20a probes did not demonstrate downregulation of the corresponding miRNAs by northern or our array analyses (Supplementary Figure S2; Supplementary Table S1a and b). Interestingly, Houzet et al. (9) observed downregulation of both miR-29a and 29b in both HIV-1 patients and in infected PBMCs, and downregulation of miR-29c, miR-26a and miR-21 in HIV-1 patients. These miRNAs were among those downregulated in our array results. In contrast to the previously published array analyses, our northern blots, TaqMan RT-PCR and the LNA array version 11 results showed the upregulation of miR-223. The results from Yeung et al., Triboulet et al. and Houzet et al. were all produced with the RAKE arrays. We used total RNA for the array, while they used mirVana fractionated small RNAs for their array analyses. Fractions of small RNAs for miRNA array experiments may produce biased results as reported by Ach et al. (82) from the Agilent miRNA array development team. MiR-223 was also reported to be upregulated in ATL patients and downregulated in HTLV-1 transformed cell lines by mirVana miRNA bioarray and TaqMan qRT-PCR (10,11).
The host miRNAs that can potentially interact directly with HIV-1 RNA are miR-29a/b and 223. These miRNAs are seed matched to a highly conserved region of HIV-1, but these miRNAs may also play a role in regulation of the cell cycle. HIV-1 Vpr induced G2 phase arrest in infected cells could explain how HIV-1 infection downregulates the miR-29 family. It has been previous reported that miR-29 can target CDC42, a protein involved in regulation of the cell cycle (48). It has been reported that miR-29a/b are enriched in M phase and miR-29b actually localizes to the nucleus (72). It is also known that HIV-1 infection can arrest cells in G2 phase (31,76,77). By blocking cells from entering M phase, HIV-1 infection could reduce the expression of miR-29, and it could be an inconsequential coincidence that miR-29 has a seed match in the HIV-1 3′-UTR. Alternatively, miR-29 could be absorbed by a ‘sponge’ effect binding to the HIV-1 3′-UTR as the HIV transcripts enter the cytoplasm. Results published by Ahluwalia et al. and Nathans et al. (12,83) showed miR-29a can target HIV-1 through the Nef-3′-LTR region. However the secondary structure of the HIV-1 LTR in the miR29a/b target region appears to strongly attenuate this potential interaction.
Our results showing that HIV-1 infection is accompanied by downregulation of the miR-29 family implies that this could lead to the upregulation of Nef and CDC42, leading to apoptosis of CD4 cells. Based upon all of our analyses, we propose a possible Vpr/Nef → apoptosis → miR-223 → Nef regulatory circuit. HIV-1 may require Nef to induce apoptosis of non-infected CD4 T cells via a bystander effect. The modulation of anti-apoptotic factors could trigger upregulation of miR-223, which in turn could downregulate Nef. Such a regulatory circuit may preserve the survival of the infected cells thereby ensuring survival of the virus itself. Our study of the inhibitory effect by miR-223 on HIV infection produced results which are in conflict with a previously published study (8). We find the target site of miR-223 in HIV-1 to be marginally effective when examined using reporters with long sequences that flank the miR-223 seed target. Thus the contradiction between our results and those of the previous study can be explained by the differences in target sequence accessibility using short versus long HIV-1 3′-UTR sequences in the reporter constructs. Such short fragments clearly may not mimic the context of the target in a full length UTR, which can take on secondary structures (84,85). The different inhibitory results obtained from our reporters harboring 39 and 56 nt long miR-223/miR-29 target sequences which cannot or can respectively form an inhibitory secondary structure clearly reflect this possibility. Furthermore, we used the dual-luciferase system with all reporters having Fluc as an internal standard, whereas the previous study relied on FACS analyses of EGFP which harbored the different target sequences. We believe the dual-luciferase system provides a better measure of the miRNA mediated repression than a single reporter or dual reporter system which uses two separate plasmids.
Due to the low expression levels of miR-223 in T cells, and the poor accessibility of the target site, it is unlikely that miR-223 directly inhibits HIV-1 in these cells. The expression of miR-223 is dramatically increased in myeloid cells, especially in granulocytes, and it also potentially targets other regions of the virus such as Pol and Vif in addition to Nef. Thus it is possible that miR-223 could have an inhibitory function on HIV-1 in NK cells, macrophages and monocytes. It is more likely though that miR-223 influences HIV-1 infection by targeting cellular factors required for replication, such as RhoB, Sp3 and LIF.
In summary, we provide a detailed picture of the possible functions of miRNAs whose levels are perturbed in the acute phase of HIV-1 infection. Combining the results from miR-223 and miR-29a/b target modulation, we propose a possible regulatory network that is established following HIV-1 infection, which primarily involves these two host miRNAs (Figure 6). Further testing of this model will be required to establish the validity of this circuit of regulation of host factors that can affect HIV replication and pathogenesis.
Figure 6.
A map of the interactions between HIV-1, miR-223 and the miR-29 family.
SUPPLEMENTARY DATA
Supplementary Data are available at NAR Online: Supplementary Tables 1–3 and Supplementary Figures 1–8.
FUNDING
Funding for open access charge: National Institutes of Health (AI29329 and HL07470) (to J.J.R.).
Conflict of interest statement. None declared.
Supplementary Material
ACKNOWLEDGEMENTS
We appreciate the help of Drs Edouard Cantin, John Zaia and Rama Natarajan during the development of this project. We thank Dr Jun Wang for sharing the promoter testing (PMT) plasmid with us. Some of the arrays that were used to produce data for this article were initially supplied by Exiqon for testing purposes and we appreciate Dwight Navis, Dr Mikkel Nørholm, Kim Barken and Dorthe Brynningsen from Exiqon for helping us set up the Exiqon array test platform. We would like to thank Dr John Burnett for critical reading of our article.
REFERENCES
- 1.Dennis C. Small RNAs: the genome's guiding hand? Nature. 2002;420:732. doi: 10.1038/420732a. [DOI] [PubMed] [Google Scholar]
- 2.Lecellier CH, Dunoyer P, Arar K, Lehmann-Che J, Eyquem S, Himber C, Saib A, Voinnet O. A cellular microRNA mediates antiviral defense in human cells. Science. 2005;308:557–560. doi: 10.1126/science.1108784. [DOI] [PubMed] [Google Scholar]
- 3.Jopling CL, Yi M, Lancaster AM, Lemon SM, Sarnow P. Modulation of hepatitis C virus RNA abundance by a liver-specific MicroRNA. Science. 2005;309:1577–1581. doi: 10.1126/science.1113329. [DOI] [PubMed] [Google Scholar]
- 4.Hariharan M, Scaria V, Pillai B, Brahmachari SK. Targets for human encoded microRNAs in HIV genes. Biochem. Biophys. Res. Commun. 2005;337:1214–1218. doi: 10.1016/j.bbrc.2005.09.183. [DOI] [PubMed] [Google Scholar]
- 5.Bennasser Y, Le SY, Benkirane M, Jeang KT. Evidence that HIV-1 encodes an siRNA and a suppressor of RNA silencing. Immunity. 2005;22:607–619. doi: 10.1016/j.immuni.2005.03.010. [DOI] [PubMed] [Google Scholar]
- 6.Bennasser Y, Jeang KT. HIV-1 Tat interaction with Dicer: requirement for RNA. Retrovirology. 2006;3:95. doi: 10.1186/1742-4690-3-95. [DOI] [PMC free article] [PubMed] [Google Scholar]
- 7.Triboulet R, Mari B, Lin YL, Chable-Bessia C, Bennasser Y, Lebrigand K, Cardinaud B, Maurin T, Barbry P, Baillat V, et al. Suppression of microRNA-silencing pathway by HIV-1 during virus replication. Science. 2007;315:1579–1582. doi: 10.1126/science.1136319. [DOI] [PubMed] [Google Scholar]
- 8.Huang J, Wang F, Argyris E, Chen K, Liang Z, Tian H, Huang W, Squires K, Verlinghieri G, Zhang H. Cellular microRNAs contribute to HIV-1 latency in resting primary CD4+ T lymphocytes. Nat. Med. 2007;13:1241–1247. doi: 10.1038/nm1639. [DOI] [PubMed] [Google Scholar]
- 9.Houzet L, Yeung ML, de Lame V, Desai D, Smith SM, Jeang KT. MicroRNA profile changes in human immunodeficiency virus type 1 (HIV-1) seropositive individuals. Retrovirology. 2008;5:118. doi: 10.1186/1742-4690-5-118. [DOI] [PMC free article] [PubMed] [Google Scholar]
- 10.Pichler K, Schneider G, Grassmann R. MicroRNA miR-146a and further oncogenesis-related cellular microRNAs are dysregulated in HTLV-1-transformed T lymphocytes. Retrovirology. 2008;5:100. doi: 10.1186/1742-4690-5-100. [DOI] [PMC free article] [PubMed] [Google Scholar]
- 11.Bellon M, Lepelletier Y, Hermine O, Nicot C. Deregulation of micro-RNA involved in hematopoiesis and the immune response in HTLV-I adult T-cell leukemia. Blood. 2009;113:4914–4917. doi: 10.1182/blood-2008-11-189845. [DOI] [PMC free article] [PubMed] [Google Scholar]
- 12.Nathans R, Chu CY, Serquina AK, Lu CC, Cao H, Rana TM. Cellular microRNA and P bodies modulate host-HIV-1 interactions. Mol. Cell. 2009;34:696–709. doi: 10.1016/j.molcel.2009.06.003. [DOI] [PMC free article] [PubMed] [Google Scholar]
- 13.Mattapallil JJ, Douek DC, Hill B, Nishimura Y, Martin M, Roederer M. Massive infection and loss of memory CD4+ T cells in multiple tissues during acute SIV infection. Nature. 2005;434:1093–1097. doi: 10.1038/nature03501. [DOI] [PubMed] [Google Scholar]
- 14.Li Q, Duan L, Estes JD, Ma ZM, Rourke T, Wang Y, Reilly C, Carlis J, Miller CJ, Haase AT. Peak SIV replication in resting memory CD4+ T cells depletes gut lamina propria CD4+ T cells. Nature. 2005;434:1148–1152. doi: 10.1038/nature03513. [DOI] [PubMed] [Google Scholar]
- 15.Sun G, Yan J, Noltner K, Feng J, Li H, Sarkis DA, Sommer SS, Rossi JJ. SNPs in human miRNA genes affect biogenesis and function. RNA. 2009;15:1640–1651. doi: 10.1261/rna.1560209. [DOI] [PMC free article] [PubMed] [Google Scholar]
- 16.Whitfield ML, Sherlock G, Saldanha AJ, Murray JI, Ball CA, Alexander KE, Matese JC, Perou CM, Hurt MM, Brown PO, et al. Identification of genes periodically expressed in the human cell cycle and their expression in tumors. Mol. Biol. Cell. 2002;13:1977–2000. doi: 10.1091/mbc.02-02-0030.. [DOI] [PMC free article] [PubMed] [Google Scholar]
- 17.Dunn W, Trang P, Zhong Q, Yang E, van Belle C, Liu F. Human cytomegalovirus expresses novel microRNAs during productive viral infection. Cell. Microbiol. 2005;7:1684–1695. doi: 10.1111/j.1462-5822.2005.00598.x. [DOI] [PubMed] [Google Scholar]
- 18.Sun G, Li H, Rossi JJ. Sequence context outside the target region influences the effectiveness of miR-223 target sites in the RhoB 3'UTR. Nucleic Acids Res. 2009;38:239–252. doi: 10.1093/nar/gkp870. [DOI] [PMC free article] [PubMed] [Google Scholar]
- 19.Ritchie ME, Silver J, Oshlack A, Holmes M, Diyagama D, Holloway A, Smyth GK. A comparison of background correction methods for two-colour microarrays. Bioinformatics. 2007;23:2700–2707. doi: 10.1093/bioinformatics/btm412. [DOI] [PubMed] [Google Scholar]
- 20.Eisen MB, Spellman PT, Brown PO, Botstein D. Cluster analysis and display of genome-wide expression patterns. Proc. Natl Acad. Sci. USA. 1998;95:14863–14868. doi: 10.1073/pnas.95.25.14863. [DOI] [PMC free article] [PubMed] [Google Scholar]
- 21.Saldanha AJ. Java Treeview–extensible visualization of microarray data. Bioinformatics. 2004;20:3246–3248. doi: 10.1093/bioinformatics/bth349. [DOI] [PubMed] [Google Scholar]
- 22.Schmittgen TD, Livak KJ. Analyzing real-time PCR data by the comparative C(T) method. Nat. Protoc. 2008;3:1101–1108. doi: 10.1038/nprot.2008.73. [DOI] [PubMed] [Google Scholar]
- 23.Lewis BP, Burge CB, Bartel DP. Conserved seed pairing, often flanked by adenosines, indicates that thousands of human genes are microRNA targets. Cell. 2005;120:15–20. doi: 10.1016/j.cell.2004.12.035. [DOI] [PubMed] [Google Scholar]
- 24.Grimson A, Farh KK, Johnston WK, Garrett-Engele P, Lim LP, Bartel DP. MicroRNA targeting specificity in mammals: determinants beyond seed pairing. Mol. Cell. 2007;27:91–105. doi: 10.1016/j.molcel.2007.06.017. [DOI] [PMC free article] [PubMed] [Google Scholar]
- 25.Kertesz M, Iovino N, Unnerstall U, Gaul U, Segal E. The role of site accessibility in microRNA target recognition. Nat. Genet. 2007;39:1278–1284. doi: 10.1038/ng2135. [DOI] [PubMed] [Google Scholar]
- 26.Betel D, Wilson M, Gabow A, Marks DS, Sander C. The microRNA.org resource: targets and expression. Nucleic Acids Res. 2008;36:D149–D153. doi: 10.1093/nar/gkm995. [DOI] [PMC free article] [PubMed] [Google Scholar]
- 27.Landgraf P, Rusu M, Sheridan R, Sewer A, Iovino N, Aravin A, Pfeffer S, Rice A, Kamphorst AO, Landthaler M, et al. A mammalian microRNA expression atlas based on small RNA library sequencing. Cell. 2007;129:1401–1414. doi: 10.1016/j.cell.2007.04.040. [DOI] [PMC free article] [PubMed] [Google Scholar]
- 28.Omoto S, Fujii YR. Regulation of human immunodeficiency virus 1 transcription by nef microRNA. J. Gen. Virol. 2005;86:751–755. doi: 10.1099/vir.0.80449-0. [DOI] [PubMed] [Google Scholar]
- 29.Omoto S, Ito M, Tsutsumi Y, Ichikawa Y, Okuyama H, Brisibe EA, Saksena NK, Fujii YR. HIV-1 nef suppression by virally encoded microRNA. Retrovirology. 2004;1:44. doi: 10.1186/1742-4690-1-44. [DOI] [PMC free article] [PubMed] [Google Scholar]
- 30.Connor RI, Chen BK, Choe S, Landau NR. Vpr is required for efficient replication of human immunodeficiency virus type-1 in mononuclear phagocytes. Virology. 1995;206:935–944. doi: 10.1006/viro.1995.1016. [DOI] [PubMed] [Google Scholar]
- 31.He J, Choe S, Walker R, Di Marzio P, Morgan DO, Landau NR. Human immunodeficiency virus type 1 viral protein R (Vpr) arrests cells in the G2 phase of the cell cycle by inhibiting p34cdc2 activity. J. Virol. 1995;69:6705–6711. doi: 10.1128/jvi.69.11.6705-6711.1995. [DOI] [PMC free article] [PubMed] [Google Scholar]
- 32.Sung TL, Rice AP. miR-198 inhibits HIV-1 gene expression and replication in monocytes and its mechanism of action appears to involve repression of cyclin T1. PLoS Pathog. 2009;5:e1000263. doi: 10.1371/journal.ppat.1000263. [DOI] [PMC free article] [PubMed] [Google Scholar]
- 33.John B, Enright AJ, Aravin A, Tuschl T, Sander C, Marks DS. Human MicroRNA targets. PLoS Biol. 2004;2:e363. doi: 10.1371/journal.pbio.0020363. [DOI] [PMC free article] [PubMed] [Google Scholar]
- 34.Lewis BP, Shih IH, Jones-Rhoades MW, Bartel DP, Burge CB. Prediction of mammalian microRNA targets. Cell. 2003;115:787–798. doi: 10.1016/s0092-8674(03)01018-3. [DOI] [PubMed] [Google Scholar]
- 35.Krek A, Grun D, Poy MN, Wolf R, Rosenberg L, Epstein EJ, MacMenamin P, da Piedade I, Gunsalus KC, Stoffel M, et al. Combinatorial microRNA target predictions. Nat. Genet. 2005;37:495–500. doi: 10.1038/ng1536. [DOI] [PubMed] [Google Scholar]
- 36.Fazi F, Rosa A, Fatica A, Gelmetti V, De Marchis ML, Nervi C, Bozzoni I. A minicircuitry comprised of microRNA-223 and transcription factors NFI-A and C/EBPalpha regulates human granulopoiesis. Cell. 2005;123:819–831. doi: 10.1016/j.cell.2005.09.023. [DOI] [PubMed] [Google Scholar]
- 37.Rodriguez PL, Sahay S, Olabisi OO, Whitehead IP. ROCK I-mediated activation of NF-kappaB by RhoB. Cell Signal. 2007;19:2361–2369. doi: 10.1016/j.cellsig.2007.07.021. [DOI] [PMC free article] [PubMed] [Google Scholar]
- 38.Chen YX, Li ZB, Diao F, Cao DM, Fu CC, Lu J. Up-regulation of RhoB by glucocorticoids and its effects on the cell proliferation and NF-kappaB transcriptional activity. J. Steroid. Biochem. Mol. Biol. 2006;101:179–187. doi: 10.1016/j.jsbmb.2006.06.030. [DOI] [PubMed] [Google Scholar]
- 39.Zhang J, Zhu J, Bu X, Cushion M, Kinane TB, Avraham H, Koziel H. Cdc42 and RhoB activation are required for mannose receptor-mediated phagocytosis by human alveolar macrophages. Mol. Biol. Cell. 2005;16:824–834. doi: 10.1091/mbc.E04-06-0463. [DOI] [PMC free article] [PubMed] [Google Scholar]
- 40.Sheehy AM, Gaddis NC, Choi JD, Malim MH. Isolation of a human gene that inhibits HIV-1 infection and is suppressed by the viral Vif protein. Nature. 2002;418:646–650. doi: 10.1038/nature00939. [DOI] [PubMed] [Google Scholar]
- 41.Muckenfuss H, Kaiser JK, Krebil E, Battenberg M, Schwer C, Cichutek K, Munk C, Flory E. Sp1 and Sp3 regulate basal transcription of the human APOBEC3G gene. Nucleic Acids Res. 2007;35:3784–3796. doi: 10.1093/nar/gkm340. [DOI] [PMC free article] [PubMed] [Google Scholar]
- 42.Tjernlund A, Barqasho B, Nowak P, Kinloch S, Thorborn D, Perrin L, Sonnerborg A, Walther-Jallow L, Andersson J. Early induction of leukemia inhibitor factor (LIF) in acute HIV-1 infection. Aids. 2006;20:11–19. doi: 10.1097/01.aids.0000198082.16960.94. [DOI] [PubMed] [Google Scholar]
- 43.Tjernlund A, Walther-Jallow L, Behbahani H, Screpanti V, Nowak P, Grandien A, Andersson J, Patterson BK. Leukemia inhibitor factor (LIF) inhibits HIV-1 replication via restriction of stat 3 activation. AIDS Res. Hum. Retroviruses. 2007;23:398–406. doi: 10.1089/aid.2006.0100. [DOI] [PubMed] [Google Scholar]
- 44.Patterson BK, Behbahani H, Kabat WJ, Sullivan Y, O'Gorman MR, Landay A, Flener Z, Khan N, Yogev R, Andersson J. Leukemia inhibitory factor inhibits HIV-1 replication and is upregulated in placentae from nontransmitting women. J. Clin. Invest. 2001;107:287–294. doi: 10.1172/JCI11481. [DOI] [PMC free article] [PubMed] [Google Scholar]
- 45.Fabbri M, Garzon R, Cimmino A, Liu Z, Zanesi N, Callegari E, Liu S, Alder H, Costinean S, Fernandez-Cymering C, et al. MicroRNA-29 family reverts aberrant methylation in lung cancer by targeting DNA methyltransferases 3A and 3B. Proc. Natl Acad. Sci. USA. 2007;104:15805–15810. doi: 10.1073/pnas.0707628104. [DOI] [PMC free article] [PubMed] [Google Scholar]
- 46.Mott JL, Kobayashi S, Bronk SF, Gores GJ. mir-29 regulates Mcl-1 protein expression and apoptosis. Oncogene. 2007;26:6133–6140. doi: 10.1038/sj.onc.1210436. [DOI] [PMC free article] [PubMed] [Google Scholar]
- 47.Pekarsky Y, Santanam U, Cimmino A, Palamarchuk A, Efanov A, Maximov V, Volinia S, Alder H, Liu CG, Rassenti L, et al. Tcl1 expression in chronic lymphocytic leukemia is regulated by miR-29 and miR-181. Cancer Res. 2006;66:11590–11593. doi: 10.1158/0008-5472.CAN-06-3613. [DOI] [PubMed] [Google Scholar]
- 48.Park SY, Lee JH, Ha M, Nam JW, Kim VN. miR-29 miRNAs activate p53 by targeting p85 alpha and CDC42. Nat. Struct. Mol. Biol. 2009;16:23–29. doi: 10.1038/nsmb.1533. [DOI] [PubMed] [Google Scholar]
- 49.Johnston JB, Paul JT, Neufeld NJ, Haney N, Kropp DM, Hu X, Cheang M, Gibson SB. Role of myeloid cell factor-1 (Mcl-1) in chronic lymphocytic leukemia. Leuk. Lymphoma. 2004;45:2017–2027. doi: 10.1080/10428190410001723317. [DOI] [PubMed] [Google Scholar]
- 50.Lu X, Wu X, Plemenitas A, Yu H, Sawai ET, Abo A, Peterlin BM. CDC42 and Rac1 are implicated in the activation of the Nef-associated kinase and replication of HIV-1. Curr. Biol. 1996;6:1677–1684. doi: 10.1016/s0960-9822(02)70792-6. [DOI] [PubMed] [Google Scholar]
- 51.Manninen A, Hiipakka M, Vihinen M, Lu W, Mayer BJ, Saksela K. SH3-Domain binding function of HIV-1 Nef is required for association with a PAK-related kinase. Virology. 1998;250:273–282. doi: 10.1006/viro.1998.9381. [DOI] [PubMed] [Google Scholar]
- 52.Fackler OT, Lu X, Frost JA, Geyer M, Jiang B, Luo W, Abo A, Alberts AS, Peterlin BM. p21-activated kinase 1 plays a critical role in cellular activation by Nef. Mol. Cell. Biol. 2000;20:2619–2627. doi: 10.1128/mcb.20.7.2619-2627.2000. [DOI] [PMC free article] [PubMed] [Google Scholar]
- 53.Renkema GH, Manninen A, Saksela K. Human immunodeficiency virus type 1 Nef selectively associates with a catalytically active subpopulation of p21-activated kinase 2 (PAK2) independently of PAK2 binding to Nck or beta-PIX. J. Virol. 2001;75:2154–2160. doi: 10.1128/JVI.75.5.2154-2160.2001. [DOI] [PMC free article] [PubMed] [Google Scholar]
- 54.Sawalha AH. Epigenetics and T-cell immunity. Autoimmunity. 2008;41:245–252. doi: 10.1080/08916930802024145. [DOI] [PubMed] [Google Scholar]
- 55.Pekarsky Y, Koval A, Hallas C, Bichi R, Tresini M, Malstrom S, Russo G, Tsichlis P, Croce CM. Tcl1 enhances Akt kinase activity and mediates its nuclear translocation. Proc. Natl Acad. Sci. USA. 2000;97:3028–3033. doi: 10.1073/pnas.040557697. [DOI] [PMC free article] [PubMed] [Google Scholar]
- 56.Laine J, Kunstle G, Obata T, Sha M, Noguchi M. The protooncogene TCL1 is an Akt kinase coactivator. Mol. Cell. 2000;6:395–407. doi: 10.1016/s1097-2765(00)00039-3. [DOI] [PubMed] [Google Scholar]
- 57.Noguchi M, Ropars V, Roumestand C, Suizu F. Proto-oncogene TCL1: more than just a coactivator for Akt. FASEB J. 2007;21:2273–2284. doi: 10.1096/fj.06-7684com. [DOI] [PubMed] [Google Scholar]
- 58.Boden D, Pusch O, Lee F, Tucker L, Ramratnam B. Human immunodeficiency virus type 1 escape from RNA interference. J. Virol. 2003;77:11531–11535. doi: 10.1128/JVI.77.21.11531-11535.2003. [DOI] [PMC free article] [PubMed] [Google Scholar]
- 59.Westerhout EM, Ooms M, Vink M, Das AT, Berkhout B. HIV-1 can escape from RNA interference by evolving an alternative structure in its RNA genome. Nucleic Acids Res. 2005;33:796–804. doi: 10.1093/nar/gki220. [DOI] [PMC free article] [PubMed] [Google Scholar]
- 60.Berkhout B, Sanders RW. Molecular strategies to design an escape-proof antiviral therapy. Antiviral Res. 2011;92:7–14. doi: 10.1016/j.antiviral.2011.04.002. [DOI] [PubMed] [Google Scholar]
- 61.Reynolds A, Leake D, Boese Q, Scaringe S, Marshall WS, Khvorova A. Rational siRNA design for RNA interference. Nat. Biotechnol. 2004;22:326–330. doi: 10.1038/nbt936. [DOI] [PubMed] [Google Scholar]
- 62.Tafer H, Ameres SL, Obernosterer G, Gebeshuber CA, Schroeder R, Martinez J, Hofacker IL. The impact of target site accessibility on the design of effective siRNAs. Nat. Biotechnol. 2008;26:578–583. doi: 10.1038/nbt1404. [DOI] [PubMed] [Google Scholar]
- 63.Watts JM, Dang KK, Gorelick RJ, Leonard CW, Bess JW, Jr, Swanstrom R, Burch CL, Weeks KM. Architecture and secondary structure of an entire HIV-1 RNA genome. Nature. 2009;460:711–716. doi: 10.1038/nature08237. [DOI] [PMC free article] [PubMed] [Google Scholar]
- 64.Chen CZ, Li L, Lodish HF, Bartel DP. MicroRNAs modulate hematopoietic lineage differentiation. Science. 2004;303:83–86. doi: 10.1126/science.1091903. [DOI] [PubMed] [Google Scholar]
- 65.Fukao T, Fukuda Y, Kiga K, Sharif J, Hino K, Enomoto Y, Kawamura A, Nakamura K, Takeuchi T, Tanabe M. An evolutionarily conserved mechanism for microRNA-223 expression revealed by microRNA gene profiling. Cell. 2007;129:617–631. doi: 10.1016/j.cell.2007.02.048. [DOI] [PubMed] [Google Scholar]
- 66.Ambrosino C, Ruocco MR, Chen X, Mallardo M, Baudi F, Trematerra S, Quinto I, Venuta S, Scala G. HIV-1 Tat induces the expression of the interleukin-6 (IL6) gene by binding to the IL6 leader RNA and by interacting with CAAT enhancer-binding protein beta (NF-IL6) transcription factors. J. Biol. Chem. 1997;272:14883–14892. doi: 10.1074/jbc.272.23.14883. [DOI] [PubMed] [Google Scholar]
- 67.Roux P, Alfieri C, Hrimech M, Cohen EA, Tanner JE. Activation of transcription factors NF-kappaB and NF-IL-6 by human immunodeficiency virus type 1 protein R (Vpr) induces interleukin-8 expression. J. Virol. 2000;74:4658–4665. doi: 10.1128/jvi.74.10.4658-4665.2000. [DOI] [PMC free article] [PubMed] [Google Scholar]
- 68.Cossarizza A. Apoptosis and HIV infection: about molecules and genes. Curr. Pharm. Des. 2008;14:237–244. doi: 10.2174/138161208783413293. [DOI] [PubMed] [Google Scholar]
- 69.Geleziunas R, Xu W, Takeda K, Ichijo H, Greene WC. HIV-1 Nef inhibits ASK1-dependent death signalling providing a potential mechanism for protecting the infected host cell. Nature. 2001;410:834–838. doi: 10.1038/35071111. [DOI] [PubMed] [Google Scholar]
- 70.Wang H, Garzon R, Sun H, Ladner KJ, Singh R, Dahlman J, Cheng A, Hall BM, Qualman SJ, Chandler DS, et al. NF-kappaB-YY1-miR-29 regulatory circuitry in skeletal myogenesis and rhabdomyosarcoma. Cancer Cell. 2008;14:369–381. doi: 10.1016/j.ccr.2008.10.006. [DOI] [PMC free article] [PubMed] [Google Scholar]
- 71.Kwon HS, Brent MM, Getachew R, Jayakumar P, Chen LF, Schnolzer M, McBurney MW, Marmorstein R, Greene WC, Ott M. Human immunodeficiency virus type 1 Tat protein inhibits the SIRT1 deacetylase and induces T cell hyperactivation. Cell Host Microbe. 2008;3:158–167. doi: 10.1016/j.chom.2008.02.002. [DOI] [PMC free article] [PubMed] [Google Scholar]
- 72.Hwang HW, Wentzel EA, Mendell JT. A hexanucleotide element directs microRNA nuclear import. Science. 2007;315:97–100. doi: 10.1126/science.1136235. [DOI] [PubMed] [Google Scholar]
- 73.Richardson RT, Batova IN, Widgren EE, Zheng LX, Whitfield M, Marzluff WF, O'Rand MG. Characterization of the histone H1-binding protein, NASP, as a cell cycle-regulated somatic protein. J. Biol. Chem. 2000;275:30378–30386. doi: 10.1074/jbc.M003781200. [DOI] [PubMed] [Google Scholar]
- 74.Finn RM, Browne K, Hodgson KC, Ausio J. sNASP, a histone H1-specific eukaryotic chaperone dimer that facilitates chromatin assembly. Biophys. J. 2008;95:1314–1325. doi: 10.1529/biophysj.108.130021. [DOI] [PMC free article] [PubMed] [Google Scholar]
- 75.Richardson RT, Alekseev OM, Grossman G, Widgren EE, Thresher R, Wagner EJ, Sullivan KD, Marzluff WF, O'Rand MG. Nuclear autoantigenic sperm protein (NASP), a linker histone chaperone that is required for cell proliferation. J. Biol. Chem. 2006;281:21526–21534. doi: 10.1074/jbc.M603816200. [DOI] [PubMed] [Google Scholar]
- 76.Re F, Braaten D, Franke EK, Luban J. Human immunodeficiency virus type 1 Vpr arrests the cell cycle in G2 by inhibiting the activation of p34cdc2-cyclin B. J. Virol. 1995;69:6859–6864. doi: 10.1128/jvi.69.11.6859-6864.1995. [DOI] [PMC free article] [PubMed] [Google Scholar]
- 77.Jowett JB, Planelles V, Poon B, Shah NP, Chen ML, Chen IS. The human immunodeficiency virus type 1 vpr gene arrests infected T cells in the G2 + M phase of the cell cycle. J. Virol. 1995;69:6304–6313. doi: 10.1128/jvi.69.10.6304-6313.1995. [DOI] [PMC free article] [PubMed] [Google Scholar]
- 78.Andersen JL, Le Rouzic E, Planelles V. HIV-1 Vpr: mechanisms of G2 arrest and apoptosis. Exp. Mol. Pathol. 2008;85:2–10. doi: 10.1016/j.yexmp.2008.03.015. [DOI] [PMC free article] [PubMed] [Google Scholar]
- 79.Poon B, Chang MA, Chen IS. Vpr is required for efficient Nef expression from unintegrated human immunodeficiency virus type 1 DNA. J. Virol. 2007;81:10515–10523. doi: 10.1128/JVI.00947-07. [DOI] [PMC free article] [PubMed] [Google Scholar]
- 80.Foster JL, Garcia JV. HIV-1 Nef: at the crossroads. Retrovirology. 2008;5:84. doi: 10.1186/1742-4690-5-84. [DOI] [PMC free article] [PubMed] [Google Scholar]
- 81.Yeung ML, Bennasser Y, Myers TG, Jiang G, Benkirane M, Jeang KT. Changes in microRNA expression profiles in HIV-1-transfected human cells. Retrovirology. 2005;2:81. doi: 10.1186/1742-4690-2-81. [DOI] [PMC free article] [PubMed] [Google Scholar]
- 82.Ach RA, Wang H, Curry B. Measuring microRNAs: comparisons of microarray and quantitative PCR measurements, and of different total RNA prep methods. BMC Biotechnol. 2008;8:69. doi: 10.1186/1472-6750-8-69. [DOI] [PMC free article] [PubMed] [Google Scholar]
- 83.Ahluwalia JK, Khan SZ, Soni K, Rawat P, Gupta A, Hariharan M, Scaria V, Lalwani M, Pillai B, Mitra D, et al. Human cellular microRNA hsa-miR-29a interferes with viral nef protein expression and HIV-1 replication. Retrovirology. 2008;5:117. doi: 10.1186/1742-4690-5-117. [DOI] [PMC free article] [PubMed] [Google Scholar]
- 84.Didiano D, Hobert O. Molecular architecture of a miRNA-regulated 3′ UTR. RNA. 2008;14:1297–1317. doi: 10.1261/rna.1082708. [DOI] [PMC free article] [PubMed] [Google Scholar]
- 85.Sun G, Rossi JJ. Problems associated with reporter assays in RNAi studies. RNA Biol. 2009;6:406–411. doi: 10.4161/rna.6.4.9218. [DOI] [PubMed] [Google Scholar]
Associated Data
This section collects any data citations, data availability statements, or supplementary materials included in this article.






