Abstract
Fascioliasis is an infectious disease caused by fasciola or liver fluke. Humans are accidental hosts to these flatworms. The World Health Organisation considers fascioliasis an important human parasitic disease. In Europe, Australia and Northern America, the disease is rare, but should have a high index of suspicion in patients who have lived in or travelled to endemic areas. Although it can be self-limiting, fascioliasis is associated with an increased risk of bile duct cancer. Before a clear-cut diagnosis is made using ELISA-based arrays, radiologic studies can provide the clinician with a number of suggestive features, thereby avoiding the need for liver biopsy or even surgery, which have nowadays become obsolete for the diagnosis of fascioliasis. We provide an overview of the major radiologic hallmarks and we demonstrate the role of iron-oxide enhanced MRI.
Keywords: Fascioliasis, fasciola hepatica, liver, liver fluke, parasitic disease, iron oxide, ferucarbotran, MR imaging
CASE REPORT
A 65-year old woman was admitted to our emergency department, with nausea and manifest right upper quadrant discomfort, in the absence of fever and diarrhoea.
These complaints had been going on for about two months, and had only been treated with spasmolytics, without improvement of the symptoms. The patient had no significant medical history. Her last overseas journey was a trip to Morocco, three years earlier.
Physical examination confirmed tenderness in the right upper quadrant, as well as mild anorexia. There was no jaundice, hepatomegaly or splenomegaly.
Successive laboratory analyses exposed mildly elevated C-reactive proteine values up to 1.33 mg/dl (normal range, 0.00 – 1.00 mg/dl) and a normal white blood cell count, between 4.8 and 6.5 ×103/mm3 (normal range, 3.2 – 8.9 ×103/mm3).
Eosinophils had once only been elevated to 12.2% (normal range, 0.9 – 8.4%); alanine aminotransferase was slightly risen to 66 IU/L (normal range, 9 – 52 IU/L); all other lab tests were within normal range.
Abdominal CT showed a lobulated nodule in the fourth liver segment, hypodense in the arterial phase (figure 1a), enhancing in the equilibrum phase (figure 1b), becoming isodense to the surrounding liver tissue. The bordering parenchyma showed early enhancement, most probably due to mass effect. Pancreas and gallbladder had a normal aspect.
Figure 1.
65-y-old woman with fasciola hepatica.
A) Axial constrast-enhanced CT image in the arterial phase (40 seconds after IV injection of 100 mL jomeprol 350 mg iodine/100mL, 120 kVp, 350 mAs, 5 mm slice thickness, 16-slice GE MDCT scanner). The CT image demonstrates a hypodense, lobulated lesion in the fourth liver segment (arrows); enhancement of the surrounding liver parenchyma (asterisk), most probably because of mass effect.
B) CT image in the equilibrium phase (70 seconds after IV injection of contrast). The majority of the lesion enhances in equilibrium phase (compare to Fig. 1a), becoming almost completely isodense to the surrounding liver parenchyma.
The possibility of liver metastasis was raised as a first, tentative diagnosis, and a whole-body FDG PET scan was performed in search of a potential primary focus.
The PET images yielded a small focal tracer uptake in the right liver lobe (figure 2), consistent with the lesion on CT. There were no other lesions.
Figure 2a.
Coronal PET maximum-intensity projection (MIP) image (1 hour after IV injection of 300MBq fluorodeoxyglucose).
65-y-old woman with fasciola hepatica. The MIP image shows a small focal tracer uptake in the right liver lobe (arrow); the size and location of the lesion are consistent with the findings on CT (compare to Fig. 1).
In order to further assess this solitary liver nodule, the patient underwent an MR examination. On the axial T2-weighted fat-saturated sequence, the lesion had a polynodular aspect, each individual nodule demonstrating a bull's eye configuration, with hypo-intense periphery, containing a central hyperintense dot (figure 3a,b). After injection of iron oxide particles (ferucarbotran, Resovist®), axial (figure 3c) and sagittal T2-weighted (figure 3d) fat-saturated images showed the bulk of the lesion to become iso-intense to the rest of the liver, leaving a cluster of small nodules, upholding a bull's eye appearance. The axial T1-weighted fat-saturated VIBE images before iron oxide injection (figure 3e) show a non-specific solitary hypo-intense lesion, becoming more conspicuous after injection of iron oxide (figure 3f), due to enhancement of the surrounding liver parenchyma, yet lacking a polynodular or a target aspect as in the T2-weighted sequences.
Figure 3a.
Axial T2-weighted fat-saturated image (TE = 96 msec, TR = 5728.8 msec, 6.5 mm slice thickness, 1.5 T Siemens MR scanner).
65-y-old woman with fasciola hepatica. A heterogeneous solitary liver lesion is seen in segment IV on the T2 image (arrows), consisting of multiple hypo-intense nodules, each demonstrating a bull's eye appearance.
Figure 3b.
Axial unenhanced T2-weighted fat-saturated image (magnified) (TE = 96 msec, TR = 5728.8 msec, 6.5 mm slice thickness, 1.5 T Siemens MR scanner).
65-y-old woman with fasciola hepatica. Magnified view of the lesion, consisting of three nodules. Each nodule has a target appearance with hyperintense periphery and central dot (arrows are pointing at the central dots).
Figure 3c.
Axial T2-weighted fat-saturated image (30 minutes after injection of 1.4 mL ferucarbotran, TE = 96 msec, TR = 6684.4 msec, 6.0 mm slice thickness, 1.5 T Siemens MR scanner).
65-y-old woman with fasciola hepatica. The bulk of the lesion has become iso-intense to the rest of the liver (compare to Fig. 3a), leaving a cluster of small, sharply delineated individual nodules (arrows), clearly discernible from the rest of the liver parenchyma, with preservation of their bull's eye configuration.
Figure 3d.
Sagittal T2-weighted fat-saturated image (30 minutes after injection of 1.4 mL ferucarbotran, TE = 96 msec, TR = 4710.2 msec, 6.0 mm slice thickness, 1.5 T Siemens MR scanner).
65-y-old woman with fasciola hepatica. Same cluster of small individual nodules (arrows) as in Fig. 3b, with hyperintense periphery and central hyperintense dot.
Figure 3e.
Axial unenhanced T1-weighted fat-saturated VIBE image (TE = 3 msec, TR = 6 msec, 5.0 mm slice thickness, 1.5 T Siemens MR scanner).
65-y-old woman with fasciola hepatica. A homogeneous, slightly hypo-intense solitary mass lesion can be seen in the 4th liver segment (arrows).
Figure 3f.
Axial T1-weighted fat-saturated VIBE image (10 minutes after injection of 1.4 mL ferucarbotran, TE = 3 msec, TR = 6 msec, 5.0 mm slice thickness, 1.5 T Siemens MR scanner).
65-y-old woman with fasciola hepatica. Homogeneous, moderately hypo-intense solitary mass lesion with faintly enhancing rim (arrows)(compare to figure 3e).
In spite of our efforts to characterize the lesion in a non-invasive manner, the involved liver segment was ultimately resected, with informed consent from the patient.
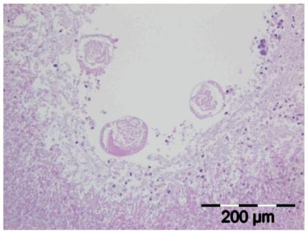
The obtained tissue sample had a normal, homogenous, red-brownish macroscopic appearance; it contained three white nodules with diameters ranging between 0.4 and 1.2 cm. Microscopically, these nodules were composed of granulomatous inflammatory tissue with central necrosis (figure 4a), all of them contained in a shell of connective tissue, densely infiltrated by lymphocytes, histiocytes, and a lot of eosinophilic granulocytes. Inside the necrotic core of the three nodules, many small and medium-sized fragments of protein-rich material were found, corresponding with larvae (figure 4b) and eggs (figure 4c) of fasciola hepatica.
Figure 4a.
Microscopic image of one of the nodules as seen on iron-oxide enhanced MRI imaging (H&E, 40×).
65-y-old woman with fasciola hepatica. Each nodule on the microscopic image represents a zone of granulocytic inflammation, consisting of a large area of central necrosis (asterisk), bordered by dense infiltrates of lymphocytes, histiocytes, plasma cells, and granulocytes (arrows).
Figure 4b.
Highly magnified microscopic image inside the necrotic core of a nodule (H&E, 200×).
65-y-old woman with fasciola hepatica. Many small and medium-sized fragments of protein-rich material are noted, corresponding with larvae (arrows delineate one of the larvae) and eggs (arrowheads) of fasciola hepatica.
Figure 4c.
Highly magnified microscopic image inside the necrotic core of a nodule (H&E, 200×).
65-y-old woman with fasciola hepatica. Detail of the eggs of the flatworm.
Since our patient hadn't recently travelled to an endemic area, it is to be assumed that she had consumed watercress or a different type of raw aquatic vegetable, infested with the parasite's metacercariae.
DISCUSSION
Fascioliasis is an infectious disease caused by one of two flatworms, either fasciola hepatica or fasciola giganta (1). Trematodes or flatworms are commonly referred to as flukes. The World Health Organisation considers fascioliasis an important human parasitic disease, with recent estimations suggesting that worldwide up to 17 million people are infected (2). The highest human prevalences have been reported in the Bolivian Altiplano, where more than 60% of the population is infected. Other endemic areas are the Nile delta (Egypt) and northern Iran. In Europe, Australia and Northern America, fasciola infection is rare, but should have a high index of suspicion (3, 4) in patients who have lived in or travelled to endemic areas (5).
Domesticated herbivores are the primary reservoirs of the parasite (6). Humans are accidental hosts, infected by ingesting infested water or raw aquatic vegetables, most commonly watercress (7). When the metacercariae of fasciola hatch in the digestive tract, the immature flukes excyst, penetrate the intestinal wall, and enter the peritoneal cavity. About two days after the ingestion, they penetrate Glisson's capsule and enter the liver parenchyma. The young flukes burrow through the liver parenchyma, until they reach the bile ducts, where they mature and start depositing ova and producing metabolites (8).
The one to three month time interval where the flukes migrate throughout the liver parenchyma, is usually referred to as the acute, or hepatic stage (7).
Symptoms in this initial phase are the classic triad of prolonged fever, hepatomegaly and/or right upper quadrant discomfort (9). Some patients remain asymptomatic; others display atypical symptoms, most often respiratory complaints (10, 11). Despite its particular tropism for the liver, there have been reports of aberrant migration, mostly to the cutaneous tissues. This ectopic migration is not seen in other liver fluke diseases (12), and seems to be limited to the acute stage of the disease (13). Marked eosinophilia is often present. The levels of hepatic enzymes, including alkaline phosphatase, are normal or only minimally raised, and the bilirubin levels remain normal (7).
After two to four months, the chronic stage gradually replaces the acute stage. The flukes nest in the bile ducts, producing metabolites and eggs. Irritation and inflammation of the bile ducts' mucosa and intermittent obstruction of the bile ducts by the adult flukes cause symptoms that are sometimes hardly distinguishable from cholangitis or cholecystitis, with biliary colic, epigastric pain, jaundice and abdominal tenderness. Laboratory findings include fluctuating elevations of alkaline phosphatases, transaminases and bilirubin. Eosinophilia is usually not present. There may be some anaemia (7).
The chronic infection phase is not associated with an increased risk of bile duct cancer, as is the case with other trematode infections (14).
Many authors describe a third phase, classified as the latent state, for numerous cases remain subclinical and even asymptomatic, sometimes only discovered incidentally as a member of the patient's family or during a search for eosinophilia (15–18).
Self-limiting disease is thought to be relatively common (19).
Until recently, diagnosis could only be confirmed by identifying the flukes or their eggs in bile, stool or duodenal aspirate (9). Serologic studies are the current golden standard (20). ELISA-based arrays have largely replaced all of the other techniques because they are sensitive, rapid and quantitative (21, 22).
Ultrasound findings in the hepatic phase may not be diagnostic: the poorly defined, rounded lesions of low to variable echogenicity are non-specific (17, 23, 24). CT is the golden standard in imaging of fascioliasis, especially in the acute stage of the disease (25). Two types of lesions can be recognized: small, ill-defined areas of low attenuation, and tunnel-like branching hypodense areas (26, 27), sometimes only visible after administration of intravenous contrast (28). While the rounded lesions are non-specific and cannot be distinguished from necrotic neoplasms or usual abscesses (29), the presence of tortuous channels should make fascioliasis the primary diagnostic consideration (25). These lesions seem to have a preference for the right liver lobe and subcapsular locations (25, 27, 30). Van Beers et al. report thickening and enhancement of Glisson's capsule (25), a finding that has been described by other authors as well and might be a characteristic feature of fascioliasis (28), although this has been declined by others (31). Subcapsular hematomas have also been reported in the hepatic phase (25, 30, 32).
Whereas the opposite is true in the acute phase, ultrasound is more useful than CT in the biliary stage (25), revealing biliary dilatation and especially bile duct wall thickening, expected signs of cholangitis, caused by the fluke (31, 33). Echogenic, sometimes vermiform particles with no acoustic shadowing, floating in the gallbladder or central bile duct, suggest the presence of fasciola hepatica, especially when they are mobile (25, 31, 34).
In our case, T2-weighted MR-imaging after administration of iron oxide particles (ferucarbotran, Resovist®, Bayer Schering Pharma) proved very useful in two ways: first, by demonstrating uptake of the contrast medium in the bulk of the lesion, thus discarding the possibility of a solitary malignant liver tumor. Secondly, a constellation of clearly discernible small nodules remained visible, a posteriori corresponding to the histologically described granulomas. Upon clinical suspicion of a fasciola infection, those kind of images, together with suggestive laboratory findings, reduce the need for liver biopsy or surgical intervention. For that matter, the authors believe that the role of MRI, in particular iron-oxide enhanced MRI, should be further investigated.
Praziquantel, the drug of choice for treating trematode infections, is ineffective against fasciola hepatica (35), as are mebendazole and albendazole (20). Today, triclabendazole is the drug of choice. Although recommended by the World Health Organisation (36), it is not commercially available in many countries. Individuals who have not been cured by oral drug therapy have been treated successfully with endoscopic retrograde cholangiopancreatography and flushing of the biliary system (37).
TEACHING POINT
The final diagnosis of fasciola hepatica infection is nowadays based on serologic studies. Although there are no pathognomonic radiologic signs, different imaging modalities can provide suggestive clues and thereby reduce the need for an invasive diagnostic procedure. The role of iron oxide enhanced MR imaging merits further investigation.
Figure 2b.
Axial PET image (1 hour after IV injection of 300MBq fluorodeoxyglucose).
65-y-old woman with fasciola hepatica. The PET image shows a small focal tracer uptake anteriorly in the right liver lobe (arrow).
ABBREVIATIONS
- CT
computed tomography
- ELISA
enzyme-linked immunosorbent assay
- FDG
fluorodeoxyglucose
- GE
General Electric
- H&E
haematoxylin and eosin staining (classic staining)
- MDCT
multidetector computed tomography
- MIP
maximum intensity projection
- MRI
magnetic resonance imaging
- Msec
milliseconds
- PET
positron emission tomography
- VIBE
Volumetric Interpolated Breath Hold Examination
REFERENCES
- 1.Mas-Coma MS, Esteban JG, Bargues MD. Epidemiology of human fascioliasis: a review and proposed new classification. Bull World Health Organ. 1999;77:340–346. [PMC free article] [PubMed] [Google Scholar]
- 2.Hopkins DR. Homing in on helminths. American Journal of Tropical Medicine and Hygiene. 1992;46:626–634. doi: 10.4269/ajtmh.1992.46.626. [DOI] [PubMed] [Google Scholar]
- 3.Ooms HWA, Puylaert JBCM, Van Der Werf SDJ. Biliary fascioliasis: US and endoscopic retrograde cholangiopancreatography findings. Eur Radiol. 1995;5:196–199. [Google Scholar]
- 4.Kabaalioglu A, Apaydin A, Sindel T, Luleci E. US-guided gallbladder aspiration: a new diagnostic method for biliary fascioliasis. Eur Radiol. 1999;9:880–882. doi: 10.1007/s003300050759. [DOI] [PubMed] [Google Scholar]
- 5.Neff GW, Dinavahi RV, Chase V, Reddy KR. Laparoscopic appearance of fasciola hepatica infection. Gastrointest Endosc. 2001;53:668–671. doi: 10.1067/mge.2001.113275. [DOI] [PubMed] [Google Scholar]
- 6.Mas Coma S. Secondary reservoir role of domestic animals other than sheep and cattle in fascioliasis transmission in the Northern Bolivian Altiplano. Research and reviews in parasitology. 1997;57:39–46. [Google Scholar]
- 7.MacLean JD, Graeme-Cook FM. Case records of the Massachusetts General Hospital. Weekly clinicopathological exercises. Case 12-2002. A 50-year-old man with eosinophilia and fluctuating hepatic lesions. N Engl J Med. 2002;346:1232–1239. doi: 10.1056/NEJMcpc020012. [DOI] [PubMed] [Google Scholar]
- 8.MacLean JD, Cross JH, Mahanti S. Liver, lung and intestinal fluke infections. In: Guerrant RL, Walker DH, Weller PF, editors. Tropical infectious diseases: principles, pathogens, & practice. Philadelphia: Churchill-Livingstone; 1999. pp. 1039–1057. [Google Scholar]
- 9.Arjona R, Riancho JA, Aguado JM, Salesa R, Gonzalez-Macias J. Fascioliasis in developed countries: a review of classic and aberrant forms of the disease. Medicine (Baltimore) 1995;74:13–23. doi: 10.1097/00005792-199501000-00002. [DOI] [PubMed] [Google Scholar]
- 10.Schussele A, Laperrouza C. Liver fluke infections: nine personal cases. II. Fluke infection by Clonorchis sinensis (Chinese fluke) Schweiz Med Wochenschr. 1971;101:1713–1717. [PubMed] [Google Scholar]
- 11.Marsden PD. Fascioliasis in man: an outbreak in Hampshire. Br Med J. 1960;5199:619–625. doi: 10.1136/bmj.2.5199.619. [DOI] [PMC free article] [PubMed] [Google Scholar]
- 12.Jones EA, Kay JM, Milligan HP, Owens D. Massive infection with Fasciola hepatica in man. Am J Med. 1977;63:836–842. doi: 10.1016/0002-9343(77)90171-1. [DOI] [PubMed] [Google Scholar]
- 13.Zali MR, Ghaziani T, Shahraz S, Hekmatdoost A, Radmehr A. Liver, spleen, pancreas and kidney involvement by human fascioliasis: imaging findings. BMC Gastroenterol. 2004;4:15. doi: 10.1186/1471-230X-4-15. [DOI] [PMC free article] [PubMed] [Google Scholar]
- 14.Sripa B, Kaewkes S, Sithithaworn P, et al. Liver fluke induces cholangiocarcinoma. PLoS Med. 2007;4:e201. doi: 10.1371/journal.pmed.0040201. [DOI] [PMC free article] [PubMed] [Google Scholar]
- 15.Pulpeiro JR, Armesto V, Varela J, Corredoira J. Fascioliasis: findings in 15 patients. Br J Radiol. 1991;64:798–801. doi: 10.1259/0007-1285-64-765-798. [DOI] [PubMed] [Google Scholar]
- 16.Saba R, Korkmaz M, Inan D, et al. Human fascioliasis. Clin Microbiol Infect. 2004;10:385–387. doi: 10.1111/j.1469-0691.2004.00820.x. [DOI] [PubMed] [Google Scholar]
- 17.Andresen B, Blum J, von Weymarn A, Burge M, Steinbrich W, Duewell S. Hepatic fascioliasis: report of two cases. Eur Radiol. 2000;10:1713–1715. doi: 10.1007/s003300000477. [DOI] [PubMed] [Google Scholar]
- 18.Cevikol C, Karaali K. Comments on Andresen et al.: Hepatic fascioliasis: report of two cases. Eur Radiol. 2001;11:2112–2113. doi: 10.1007/s003300100895. [DOI] [PubMed] [Google Scholar]
- 19.Haswill Elkins MR, Elkins DB. Lung and Liver Flukes. In: Collier L, Balows A, Sussman M, editors. Parasitology. 9 ed. London: Arnold; 1998. pp. 507–520. [Google Scholar]
- 20.Leder K, Weller PF. Liver flukes: fascioliasis. In: Rose BD, editor. UpToDate. Waltham, MA: UpToDate; 2006. [Google Scholar]
- 21.Hillyer GV, Soler de Galanes M, Rodriguez-Perez J, et al. Use of the Falcon assay screening test--enzyme-linked immunosorbent assay (FAST-ELISA) and the enzyme-linked immunoelectrotransfer blot (EITB) to determine the prevalence of human fascioliasis in the Bolivian Altiplano. Am J Trop Med Hyg. 1992;46:603–609. doi: 10.4269/ajtmh.1992.46.603. [DOI] [PubMed] [Google Scholar]
- 22.Espino AM, Finlay CM. Sandwich enzyme-linked immunosorbent assay for detection of excretory secretory antigens in humans with fascioliasis. J Clin Microbiol. 1994;32:190–193. doi: 10.1128/jcm.32.1.190-193.1994. [DOI] [PMC free article] [PubMed] [Google Scholar]
- 23.Messner M, Pelletier S, Loisance C, Friguet JL, Brissot P, Bourel M. Hepatic fascioliasis. Echotomographic appearance at an early stage. Gastroenterol Clin Biol. 1983;7:753. [PubMed] [Google Scholar]
- 24.Han JK, Choi BI, Cho JM, Chung KB, Han MC, Kim CW. Radiological findings of human fascioliasis. Abdom Imaging. 1993;18:261–264. doi: 10.1007/BF00198118. [DOI] [PubMed] [Google Scholar]
- 25.Van Beers B, Pringot J, Geubel A, Trigaux JP, Bigaignon G, Dooms G. Hepatobiliary fascioliasis: noninvasive imaging findings. Radiology. 1990;174:809–810. doi: 10.1148/radiology.174.3.2406786. [DOI] [PubMed] [Google Scholar]
- 26.de Miguel F, Carrasco J, Garcia N, Bustamante V, Beltran J. CT findings in human fascioliasis. Gastrointest Radiol. 1984;9:157–159. doi: 10.1007/BF01887824. [DOI] [PubMed] [Google Scholar]
- 27.Pagola Serrano MA, Vega A, Ortega E, Gonzalez A. Computed tomography of hepatic fascioliasis. J Comput Assist Tomogr. 1987;11:269–272. doi: 10.1097/00004728-198703000-00014. [DOI] [PubMed] [Google Scholar]
- 28.Hidalgo F, Valls C, Narvaez JA, Serra J. Hepatic fascioliasis: CT findings. AJR Am J Roentgenol. 1995;164:768. doi: 10.2214/ajr.164.3.7863918. [DOI] [PubMed] [Google Scholar]
- 29.Takeyama N, Okumura N, Sakai Y, et al. Computed tomography findings of hepatic lesions in human fascioliasis: report of two cases. Am J Gastroenterol. 1986;81:1078–1081. [PubMed] [Google Scholar]
- 30.Oto A, Akhan O, Ozmen M. Focal inflammatory diseases of the liver. Eur J Radiol. 1999;32:61–75. doi: 10.1016/s0720-048x(99)00115-1. [DOI] [PubMed] [Google Scholar]
- 31.Kabaalioglu A, Cubuk M, Senol U, et al. Fascioliasis: US, CT, and MRI findings with new observations. Abdom Imaging. 2000;25:400–404. doi: 10.1007/s002610000017. [DOI] [PubMed] [Google Scholar]
- 32.Gaucher P, Thelu JL, Bigard MA, Champigneulle B, Brucker P, Regent D. Subcapsular hematoma of the liver and hepatic distomiasis. Nouv Presse Med. 1981;10:3161. [PubMed] [Google Scholar]
- 33.Sezgin O, Altintas E, Disibeyaz S, Saritas U, Sahin B. Hepatobiliary fascioliasis: clinical and radiologic features and endoscopic management. J Clin Gastroenterol. 2004;38:285–291. doi: 10.1097/00004836-200403000-00017. [DOI] [PubMed] [Google Scholar]
- 34.Pandolfo I, Zimbaro G, Bartiromo G, et al. Ultrasonographic and cholecystographic findings in a case of fascioliasis of the gallbladder. J Clin Ultrasound. 1991;19:505–507. doi: 10.1002/jcu.1870190810. [DOI] [PubMed] [Google Scholar]
- 35.Farid Z, Kamal M, Mansour N. Praziquantel and Fasciola hepatica infection. Trans R Soc Trop Med Hyg. 1989;83:813. doi: 10.1016/0035-9203(89)90339-8. [DOI] [PubMed] [Google Scholar]
- 36.Savioli L, Chitsulo L, Montresor A. New opportunities for the control of fascioliasis. Bull World Health Organ. 1999;77:300. [PMC free article] [PubMed] [Google Scholar]
- 37.Dowidar N, El Sayad M, Osman M, Salem A. Endoscopic therapy of fascioliasis resistant to oral therapy. Gastrointest Endosc. 1999;50:345–351. doi: 10.1053/ge.1999.v50.97780. [DOI] [PubMed] [Google Scholar]












