Summary
Internal carotid artery (ICA) dissection is an important cause of stroke in the younger population. Carotid stenting with or without angioplasty is usually the preferred treatment for symptomatic patients who have failed medical therapy. We report a case of a symptomatic internal carotid artery dissection at the petrous segment of the ICA initially treated conservatively with anticoagulation and antiplatlet agents. Due to early clinical deterioration from near complete carotid occlusion without adequate cross over flow, the patient underwent emergency stenting of the ICA.
Post procedure angiography demonstrated no residual stenosis of the ICA. The patient progressively improved and at six months follow-up, the patient had no further symptoms, a normal neurological examination and improvement in the imaging findings.
The successful clinical result in our case of ICA stenting for dissection as a ‘hemispheric rescue’ contributes to the growing literature of endovascular management of carotid dissection. The excellent mid term follow-up confirms the efficacy of this treatment for a dominant ICA.
Key words: carotid artery, internal, dissection, stent, endovascular, early
Introduction
Internal carotid artery (ICA) dissection is an important cause of stroke in the younger population1,2. Carotid artery dissections result from intimal tearing and passage of blood into the false lumen, causing vessel narrowing (subintimal dissection), aneurysm formation (subadventitia dissection) or both1. Dissections usually involve the extracranial portion of the ICA with 90% occurring near the C2-3 level and terminating at its entry into the carotid canal14. The mainstay of treatment includes anticoagulation and antiplatelet therapy that in time allows healing of the dissection, however medical therapy can fail3,4. Since Marks et Al13 reported stenting for arterial cerebrovascular disease there have been many others who have shown it to be useful in cases of spontaneous or traumatic dissections5-9. Early stenting have been reported acutely for iatrogenic carotid dissections (within 12 hours of symptom onset7, in those without trial of medical therapy16 or failure of medical therapy7 (within ten days of symptom onset). We report an interesting case of a symptomatic spontaneous ICA dissection that deteriorated clinically despite optimal medical therapy. The symptoms were more marked due to the fact that the ICA was almost completely occluded without adequate cross over flow. The dissection was successfully treated with a stent deployed to the internal carotid artery. This halted the progression of his neurological deficit and also returned perfusion and function to his left hemisphere. We believe this is the first reported case of an ‘emergency’ stenting for spontaneous ICA dissection following early failed medical therapy.
Case Report
A previously fit and healthy 44-year-old male developed sudden onset right-sided weakness while lifting weights in a gym.
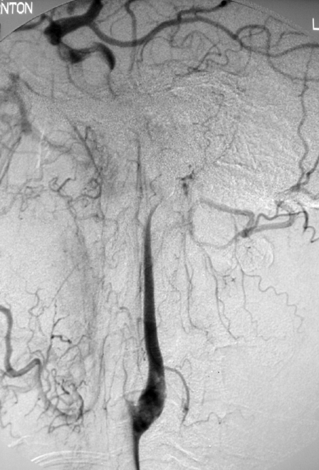
The symptoms were initially mild and fluctuated in relation to posture and blood pressure change over the following three days. He then developed transient aphasia. A left internal carotid artery dissection (LICA) in the petrous portion had been diagnosed on MRA. He underwent formal angiography, which defined the dissection (figure 1).
Figure 1.
Angiography showing abrupt cut off of the left CCA (common carotid artery) caused by the dissection.
It also revealed a hypoplastic left posterior cerebral artery in the P1 portion that was receiving most of its flow from the internal carotid artery on the left. He was managed conservatively initially on high dose aspirin and clopidrogel in addition to heparin infusion maintaining the APTT ratio at twice the control range. His symptoms continued to worsen over the next 24 hours, however, with worsening cerebral ischaemia evident as enlargement of the infarct in the watershed area of the centrum semiovale on MRI (figure 2).
Figure 2.
T2-weighted axial brain MRI showing a subacute the left centrum semi ovale infarct.
A multidisciplinary (stroke neurologist and interventional neuroradiologist) decision was made for stenting of his LICA in the petrous portion. As the stenosis was high extending into the skull base, no distal filter was deployed. First a microcatheter (Excelsior microcatheter, Boston Scientific Target, CorpNatick, MA) was advanced over a transcend wire through the dissection. Angiography was performed to confirm catheter location in the true rather than false lumen. A 6mm x 4cm stent (Xact, Abbott Laboratories, Illinois) was placed in position with a good radiographic result (figure 3).
Figure 3.
Post stenting angiography of the left CCA showing restored flow into to the left ICA with restoration of normal intracranial flow. Note the persistent fetal type left posterior communicating artery.
The procedure was done under general anaesthesia and he remained in anaesthetic coma for control of peri-procedural hypertension for 24 hours. He was slow to wake up, but following extubation, he made a swift improvement with recovery of strength and dexterity in the right side and a return to normal language. Follow-up MRI two weeks post-procedure showed white matter signal alteration in the centrum semiovale of the parietal lobe and frontal lobe that had features of watershed type infarction. There was also involvement of the head of the caudate nucleus on the left. The major intracranial vessels appeared patent. At five months follow-up, the patient’s clinical status remained excellent. He had returned to work and all his usual activities.
Discussion
Spontaneous carotid dissection is a major cause of stroke in the young1,2 and often associated with a good prognosis3. A subintimal dissection may narrow or completely occlude a vessel. If this extends into the subadventitia, a dissecting aneurysm can be formed. Thrombosis in and around the dissected intima can embolize distally and cause cerebral ischaemia. Most strokes or TIAs in ICA dissections are embolic, hence the use of anticoagulation that may also allow restoration of vessel anatomy4. However, there is a risk of progression of intramural dissection and stenosis, although these are more common in traumatic causes of ICA dissection3,8.
Medical management of ICA dissection takes precedence over surgery and endovascular stenting. It consists of antiplatelet and anticoagulation therapy and is usually associated with a high success rate. Therefore stenting is usually limited to cases of failed medical management. Surgery can be performed for direct repair of carotid dissection, however it can be difficult to identify the inflow zone or repair the entire dissection therefore operative morbidity is higher than for carotid endarterectomy for atherosclerosis15.
There are several advantages of endovascular therapy of carotid dissection. Firstly it allows identification of the true and false lumens by superselective catheterization and angiography and subsequently allows recanalisation of completely occluded vessels by the use of microcatheter techniques7. Secondly, it provides a centrifugal force to appose the dissected segment of the vessel wall, obliterating the false lumen and thereby remove the stenosis5. It also precludes the need for blood flow occlusion that is required during surgical bypass procedures. Finally endovascular approach allows simultaneous deployment of coils through stents if coexisting pseudoaneurysms are present7. Experiences of endovascular stenting in ICA dissections are rare and the literature is limited to case reports and small series. The indications for stenting are usually failure or contraindication of medical therapy and generally include presence of recurrent or fluctuating neurological signs, impending stroke due to significant stenosis/ occlusion with poor collateralization, symptomatic thromboembolic occlusion of cerebral vessels, contralateral carotid stenosis, avoidance of relying on the anterior communicating artery due to associated aneurysm and concurrent pseudoaneurysms12.
We would like to add our case that is unique from two aspects. Firstly the rapid deterioration of the patients’ condition over five days since the start of symptoms despite commencement of optimal medical therapy represented a very early failure of conservative treatment in carotid dissection. Secondly, our patient had an unusual hypoplastic left posterior cerebral artery in the P1 portion. As a result of the dissection, the entire left hemisphere was in danger of infarction. Initial recanalisation of the dissected artery was achieved using a microcatheter and a micro-guide wire positioned intracranially and this was followed by stent deployment. This was successful as a ‘hemispheric rescue’ by recanalisation of the carotid artery and excluding the dissection.
Risks associated with stenting of a carotid artery dissection include embolisation of thrombotic fragments during deployment of the stent, reperfusion hemorrhage, worsening or extension of the dissection in the weakened vessel wall and subsequent rupture. Therefore, this procedure should be performed by experienced hands along with a rigorous pharmacological regimen9. Also unlike stenting for atherosclerotic stenosis, stent deployment for dissection is less traumatic, performed at lower pressure and the vessels are more compliant7. A distal protection device may help prevent thromboembolism but it is not always possible as in our case. This patient was also maintained in anaesthetic coma to assist control of hypertension. Restoration of a hyperdynamic cerebral circulation could have resulted in oedema or intracranial hemorrhage in this patient.
Post procedural risks after stenting include stenosis or occlusion of the stent. The use of various intra-arterial injections of platelet antagonist and vasodilators can help overcome thrombotic and vasospastic procedure induced complications10. To date, no procedure related mortality or significant morbidity has been reported although larger studies may be required to fully evaluate this5-8,10,11. Long-term follow-up is limited although small series have shown that the stents remain patent and likewise patients remain asymptomatic12. Prompt referral to specialist neuroradiological centres in cases that do not respond to medical therapy is recommended.
Conclusions
The successful outcome in our case of emergency petrous ICA stenting of a rapidly progressive dissection adds to the growing experience of endovascular therapy in this condition. Although we have limited knowledge of the natural history of stent placement for carotid dissections, the excellent mid term status of our patient confirms the efficacy of this treatment and it can be a potentially life saving option.
References
- 1.Schievink WI. Spontaneous dissection of the carotid and vertebral arteries. N Engl J Med. 2001;344:898–906. doi: 10.1056/NEJM200103223441206. [DOI] [PubMed] [Google Scholar]
- 2.Lucas C, Moulin T, et al. Stroke patterns of internal carotid artery dissection in 40 patients. Stroke. 1998;29:2646–2648. doi: 10.1161/01.str.29.12.2646. [DOI] [PubMed] [Google Scholar]
- 3.Mokri B, Sundt TM, Jr, et al. Spontaneous dissection of the cervical internal carotid artery. Ann Neurol. 1986;19:126–138. doi: 10.1002/ana.410190204. [DOI] [PubMed] [Google Scholar]
- 4.Sturzenegger M. Spontaneous internal carotid artery dissection: early diagnosis and management in 44 patients. J Neurol. 1995;242:231–238. doi: 10.1007/BF00919596. [DOI] [PubMed] [Google Scholar]
- 5.DeOcampo J, Brillman J, Levy DI. Stenting: a new approach to carotid dissection. J Neuroimaging. 1997;7:187–190. doi: 10.1111/jon199773187. [DOI] [PubMed] [Google Scholar]
- 6.Bejjani GK, Monsein LH, et al. Treatment of symptomatic cervical carotid dissections with endovascular stents. Neurosurgery. 1999;44:755–760. doi: 10.1097/00006123-199904000-00037. [DOI] [PubMed] [Google Scholar]
- 7.Malek AM, Higashida RT, et al. Endovascular management of extracranial carotid artery dissection achieved using stent angioplasty. Am J Neuroradiol. 2000;21:1280–1292. [PMC free article] [PubMed] [Google Scholar]
- 8.Cohen JE, Ben-Hur T, et al. Endovascular stent-assisted angioplasty in the management of traumatic internal carotid artery dissections. Stroke. 2005;36:e45–e47. doi: 10.1161/01.STR.0000158910.08024.7f. [DOI] [PubMed] [Google Scholar]
- 9.Biondi A, Katz JM, et al. Progressive symptomatic carotid dissection treated with multiple stents. Stroke. 2005;36(9):e80–82. doi: 10.1161/01.STR.0000177883.50262.cf. Epub 2005 Aug 11. [DOI] [PubMed] [Google Scholar]
- 10.Lylyk P, Cohen JE, et al. Angioplasty and stent placement in intracranial atherosclerotic stenoses and dissections. Am J Neuroradiol. 2002;23:430–436. [PMC free article] [PubMed] [Google Scholar]
- 11.Abboud H, Houdart E, et al. Stent assisted endovascular thrombolysis of internal carotid artery dissection. J Neurol Neurosurg Psychiatry. 2005;76:292–293. doi: 10.1136/jnnp.2004.041863. [DOI] [PMC free article] [PubMed] [Google Scholar]
- 12.Liu AY, Paulsen RD, et al. Long-term outcomes after carotid stent placement treatment of carotid artery dissection. Neurosurgery. 1999;45(6):1368–1373. doi: 10.1097/00006123-199912000-00022. discussion 1373-1374. [DOI] [PubMed] [Google Scholar]
- 13.Marks MP, Dake MD, et al. Stent placement for arterial and venous cerebrovascular disease: preliminary experience. Radiology. 1994;19(2):441–446. doi: 10.1148/radiology.191.2.8153318. [DOI] [PubMed] [Google Scholar]
- 14.Guillon B, Levy C, Bousser MG. Internal carotid artery dissection: an update. J Neurol Sci. 1998 Jan 8 ;153(2):146–158. doi: 10.1016/s0022-510x(97)00287-6. [DOI] [PubMed] [Google Scholar]
- 15.Ehrenfeld WK, Wylie EJ. Spontaneous dissection of the internal carotid artery. Arch Surg. 1976;111(11):1294– 1300 . doi: 10.1001/archsurg.1976.01360290128019. [DOI] [PubMed] [Google Scholar]
- 16.Ecker RD, Levy EI, Hopkins LN. Acute neuroform stenting of a symptomatic petrous dissection. J Invasive Cardiol. 2007;19(5):E137–138. [PubMed] [Google Scholar]



