Interaction of RGS proteins with orphan GPCRs promotes signaling compartmentalization and specificity.
Abstract
The extent and temporal characteristics of G protein–coupled receptor (GPCR) signaling are shaped by the regulator of G protein signaling (RGS) proteins, which promote G protein deactivation. With hundreds of GPCRs and dozens of RGS proteins, compartmentalization plays a key role in establishing signaling specificity. However, the molecular details and mechanisms of this process are poorly understood. In this paper, we report that the R7 group of RGS regulators is controlled by interaction with two previously uncharacterized orphan GPCRs: GPR158 and GPR179. We show that GPR158/179 recruited RGS complexes to the plasma membrane and augmented their ability to regulate GPCR signaling. The loss of GPR179 in a mouse model of night blindness prevented targeting of RGS to the postsynaptic compartment of bipolar neurons in the retina, illuminating the role of GPR179 in night vision. We propose that the interaction of RGS proteins with orphan GPCRs promotes signaling selectivity in G protein pathways.
Introduction
Signal transduction via heterotrimeric G proteins is fundamental for mediating a wide range of the cellular responses to changes in the extracellular environment (Offermanns, 2003). In these pathways, the signaling is initiated upon binding of ligand to a G protein–coupled receptor (GPCR) that catalyzes the GDP/GTP exchange on the G protein, which leads to their dissociation into active Gα-GTP and Gβγ subunits. Control of the kinetics and extent of the signaling in the G protein pathways is realized through the action of the regulator of G protein signaling (RGS) proteins that inactivate the signaling by promoting the GTP hydrolysis on G protein α subunits (Ross and Wilkie, 2000; Hollinger and Hepler, 2002). In mammalian nervous systems, the R7 family of RGS proteins (RGS6, RGS7, RGS9, and RGS11) plays a key role in synaptic transmission, light perception, and sensitivity to addictive drugs by regulating several GPCR pathways (Anderson et al., 2009; Slepak, 2009). The function of the R7 RGS proteins depends on the formation of the macromolecular complexes with other proteins that dictate their catalytic activity and compartmentalization and allows achieving signaling specificity. Two homologous membrane-anchoring subunits have previously been shown to form complexes with R7 RGS proteins: RGS9 anchor protein (R9AP) and R7 binding protein (R7BP; Jayaraman et al., 2009). Knockout of R9AP or R7BP in mice has been shown to dramatically affect the localization and expression of RGS9 and RGS11 (Keresztes et al., 2004; Anderson et al., 2007a; Cao et al., 2009). However, the protein levels of RGS6 and RGS7 were not affected upon the elimination of R7BP, and only minor changes in the membrane recruitment of these proteins were observed in neurons lacking R7BP (Anderson et al., 2007a; Cao et al., 2008; Panicker et al., 2010). These observations suggest the presence of other, yet unidentified, membrane anchors for R7 RGS proteins. However, homology searches of genomic sequences revealed no proteins with sufficient similarity to R7BP/R9AP.
In this study, we used an unbiased proteomic approach to identify additional membrane anchors for RGS7 in the nervous system. We demonstrate that the previously uncharacterized orphan GPCRs GPR158 and GPR179 control localization and activity of RGS7–Gβ5 complexes, both in reconstituted cells and in vivo. These findings for the first time describe the role of the orphan GPCRs GPR158 and GPR179 in the regulation of G protein signaling.
Results and discussion
Identification of GPR158 as a binding partner of RGS7 in the brain
We conducted an unbiased screen aimed at identifying novel binding partners of RGS7. RGS7 was immunoprecipitated from the total brain lysates followed by the mass spectrometric sequencing of pulled down proteins. Gβ5 knockout mice, which show dramatically reduced expression of RGS7 (Chen et al., 2003), were used as a negative control to exclude nonspecific interactions. We found only two proteins with confidence similar to RGS7 (Fig. 1 A). The first protein was Gβ5, a well-known binding partner of RGS7, validating our identification strategy. The second protein was identified as an orphan GPCR 158, or GPR158 (Fig. 1 B and Table S1). Tandem mass spectrometry analysis of the identified peptides revealed high confidence of sequence assignment (Fig. S1).
Figure 1.
GPR158 is a novel binding partner of RGS7. (A) Summary of the mass spectrometric analysis of identified proteins. Positive identification criteria were set to 95% confidence. Only hits >95% confidence threshold (yellow) with the number of unique peptides similar to RGS7 were considered (green). Red indicates those that did not meet the identification criteria. (B) Bioinformatics analysis of GPR158 organization. Key residues important for the G protein activation in class C GPCRs are marked. term, terminus. (C) Tissue specificity of GPR158 expression as indicated by Western blotting analysis. (D) RGS7 and GPR158 coimmunoprecipitate from native brain lysates when specific antibodies are used. (E) RGS7 and GPR158 coimmunoprecipitate from transfected HEK293T/17 cells. (F) Coimmunoprecipitation of GPR158 with RGS6 but not with RGS9 or RGS11 after expression in HEK293T/17 cells. (G) GPR158 does not coimmunoprecipitate with R7BP in the presence of the RGS7–Gβ5 complex in transfected HEK293T/17 cells. (H) GPR158 and R7BP compete for binding to RGS7. Transfection of increasing amounts of R7BP reduced coimmunoprecipitation of GPR158 with RGS7, and conversely, increasing concentrations of GPR158 reduced binding of RGS7 to R7BP. Error bars indicate SEM. IP, immunoprecipitation; WB, Western blot; wt, wild type.
Based on amino acid sequence similarity, GPR158 belongs to the class C GPCR family (Bjarnadóttir et al., 2005). Our bioinformatics analysis indicates that the GPR158 (NCBI Protein database accession no. NP_065803.2) is conserved across multiple species and contains several conserved residues in the intracellular face of the TM3 and TM6 (Fig. 1 B). However, GPR158 lacks the extracellular Venus flytrap module that plays an essential role in ligand binding and receptor activation in all known class C receptors (Jingami et al., 2003; Bjarnadóttir et al., 2005). Instead, GPR158 features two other conserved elements that are not found in typical class C receptors: a calcium-binding EGF-like domain (aa 314–359) and a leucine repeat region (aa 108–136). The expression of GPR158 is detected in many tissues, but the protein is particularly prominent in the nervous system (Fig. 1 C).
GPR158 specifically interacts with the RGS7–Gβ5 complex and competes with R7BP
To validate the interaction of RGS7 with GPR158, we first verified their coimmunoprecipitation from the brain lysates by Western blotting. As illustrated in Fig. 1 D, precipitation of RGS7 pulls down GPR158 from wild-type, but not from Gβ5 knockout, tissues, confirming the specificity of the interaction. Conversely, antibodies against GPR158, but not nonimmune IgG, effectively coprecipitate RGS7 from the brain (Fig. 1 D). We next examined interaction between GPR158 and RGS7 in transfected HEK293T/17. Immunoprecipitation of GPR158 by the engineered affinity myc tag resulted in efficient pull-down of RGS7 together with Gβ5 when the proteins were coexpressed (Fig. 1 E). Similarly, reciprocal immunoprecipitation of HA-tagged RGS7 led to coprecipitation of GPR158 when both proteins were present in the cells (Fig. 1 E).
Because RGS7 shares a high degree of similarity with other R7 RGS proteins, we tested whether GPR158 interacts with RGS6–Gβ5, RGS9-2–Gβ5, and RGS11–Gβ5 complexes. We found that GPR158 could only coprecipitate with RGS6 but not with RGS9-2 or RGS11 (Fig. 1 F). Although interaction with RGS6 was specific, it was apparently less efficient relative to RGS7 binding.
The RGS7–Gβ5 dimer has previously been shown to bind membrane anchor R7BP (Drenan et al., 2005; Martemyanov et al., 2005). Therefore, we next explored whether RGS7–Gβ5 can simultaneously bind to both GPR158 and R7BP. Coimmunoprecipitation experiments after the reconstitution in HEK293T/17 cells show that the interaction of RGS7 with GPR158 and R7BP is mutually exclusive (Fig. 1 G). R7BP pulls down only RGS7 but not GPR158. Conversely, GPR158 pulls down RGS7 but not R7BP. This mutually exclusive nature of R7BP and GPR158 binding to RGS7–Gβ5 was further confirmed in the competition experiments (Fig. 1 H). The interaction of RGS7 with GPR158 was progressively reduced upon an increase in R7BP expression. Similarly, the binding of RGS7 to R7BP decreased when more GPR158 was supplied to the cells.
GPR158 targets the RGS7–Gβ5 complex to the plasma membrane via the interaction with the Disheveled, EGL-10, and Pleckstrin (DEP) domain
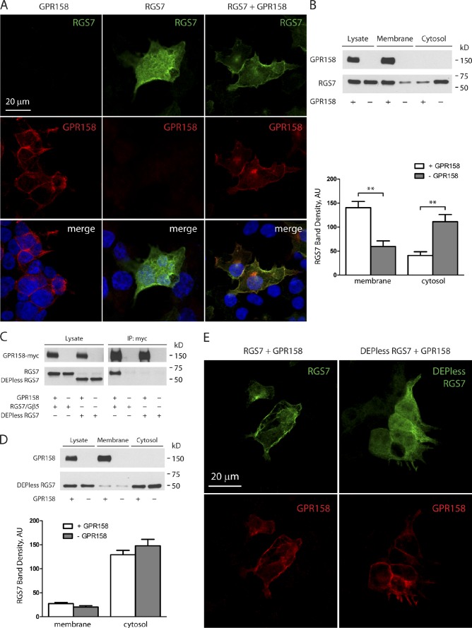
Because GPR158 is a membrane protein, we next asked whether it could change the localization of the RGS7 complex in the cells. We found that when expressed in HEK293T/17 cells, GPR158 is efficiently targeted to the plasma membrane (Fig. 2 A). In contrast, as previously noted (Zhang et al., 2001; Drenan et al., 2006), localization of RGS7–Gβ5 was mostly cytoplasmic. Coexpression of RGS7–Gβ5 with GPR158, however, resulted in its efficient translocation to the plasma membrane (Fig. 2 A). We further confirmed recruitment of RGS7–Gβ5 to the plasma membrane biochemically (Fig. 2 B). Consistent with the immunocytochemistry data, most of RGS7 was found in the cytosolic fraction upon sedimentation analysis but moved to the membrane pellet when coexpressed with GPR158 (Fig. 2 B). These results suggest that GPR158 serves as a membrane anchor for the RGS7–Gβ5 complex.
Figure 2.
GPR158 recruits RGS7 to the plasma membrane in a DEP domain–dependent manner. (A) Analysis of GPR158 and RGS7 localization in transfected HEK293T/17 cells by immunocytochemistry followed by confocal microscopy. (B) Localization of RGS7 determined by subcellular fractionation in the presence or absence of GPR158. Band densities were quantified from three independently conducted experiments. **, P < 0.01; Student’s t test. (C) Full-length RGS7, but not RGS7, mutant with the deleted DEP domain (DEPless RGS7) coimmunoprecipitates with GPR158. (D) DEPless RGS7 does not cosegregate with GPR158 in the membrane fraction upon sedimentation analysis. (E) DEPless RGS7 is not recruited to the plasma membrane of the transfected HEK293T/17 cells that express GPR158. Error bars indicate SEM. AU, arbitrary unit; IP, immunoprecipitation.
Competition between GPR158 and R7BP for binding to RGS7 suggests that their interactions are mediated by the same or overlapping determinants. Because binding to R7BP requires the presence of the DEP domain of RGS7 (Anderson et al., 2009), we hypothesized that this domain also mediates the interaction of RGS7 with GPR158. Indeed, a truncated mutant of RGS7 lacking the DEP domain (DEPless), although preserving the interaction with Gβ5, did not coimmunoprecipitate with GPR158 upon cotransfection in HEK293T/17 cells (Fig. 2 C). Consequently, DEPless-RGS7 failed to be recruited to the plasma membrane by GPR158 as indicated by either biochemical fractionation (Fig. 2 D) or immunocytochemistry (Fig. 2 E).
GPR158 augments GTPase-activating protein activity of RGS7 toward Gαo
The identification of the novel interaction of the RGS7–Gβ5 complex with GPR158 raises the question about its physiological significance. Members of the R7 RGS family are efficient GTPase-activating proteins for the Gαo class of the proteins, downstream from multiple GPCRs, including the μ-opioid receptor (MOR; Anderson et al., 2009). We therefore used a cell-based bioluminescence resonance energy transfer (BRET) assay to monitor the effects of RGS7–Gβ5 on Gαo activated by the MOR (Fig. 3 A; Hollins et al., 2009). We primarily focused on analyzing the deactivation kinetics of G protein signaling that reflects the catalytic activity of RGS proteins. We found that the RGS7–Gβ5 complex accelerated Gαo deactivation kinetics (Fig. 3 B). Cotransfection of GPR158 resulted in further acceleration of signaling termination. Notably, GPR158 did not influence the kinetics of µ-opioid signaling when supplied without the RGS7–Gβ5 complex, indicating that it acts via an increase in the activity of RGS7 (Fig. 3 C). Indeed, the catalytic activity of RGS7–Gβ5 as measured by the kGAP parameter was increased by GPR158 by approximately twofold (from 0.081 ± 0.016 to 0.152 ± 0.022 s−1). We found no effect of GPR158 on either the activation kinetics of Gαo, which reflects MOR activity in the cells (Fig. 3 D), or the expression of reporter constructs (Fig. S2). Furthermore, no significant effect of GPR158 on the expression of RGS7 was detected under the conditions and concentrations of components used for the BRET assays (Fig. 3 E). This suggests that GPR158 exerts a direct stimulatory effect on the activity of the RGS7–Gβ5 complex.
Figure 3.
GPR158 potentiates the ability of RGS7–Gβ5 to deactivate Gαo signaling. (A) Schematic representation of the BRET-based assay to monitor G protein signaling cycle. Activation of the μ-opioid receptor (MOR) causes the G protein heterotrimer to dissociate into Gα and Gβγ subunits. Released Gβγ subunits tagged with Venus fluorescent protein interacts with Renilla luciferase (Rluc)–tagged reporter G protein receptor kinase (GRK) to produce the BRET signal. Upon termination of MOR activation by antagonist naloxone, Gαo subunit hydrolyses GTP and reassociates with Gβγ subunits, quenching the BRET signal. (B) Time course of the normalized BRET responses recorded in a representative experiment. Individual data points show BRET values averaged from six replicates. Deactivation phase of the response was fitted with the single exponent (solid line). R, resulting difference; Rmax, maximal value. Black indicates no additions. (C) Quantification of the deactivation time constant after the addition of naltrexone. Exponential fits of the data shown in B were used to derive time constant τ. Asterisks indicate statistical significance of the differences (**, P < 0.01 and ***, P < 0.001; Mann–Whitney rank sum test; n = 18) as compared with the control experiment with no regulators added (black bar). (D) Quantification of the activation time constant derived from the exponential fitting of the onset kinetics (fits not depicted). (E) Western blot (WB) analysis of RGS7 expression levels upon cotransfection with GPR158 using the same ratios and conditions as in BRET assays. Error bars indicate SEM.
GPR158-like protein, GPR179, targets RGS–Gβ5 complexes to the dendritic tips of ON bipolar cells
Regulation of the RGS7–Gβ5 complex localization and activity by GPR158 prompted us to ask whether the interaction with the GPCR-like proteins is a general mechanism for controlling RGS7 function in neurons and whether proteins similar to GPR158 might also be engaged in this process. Our analysis shows that GPR158 shares substantial sequence similarity with another orphan receptor, GPR179 (Fig. 4 A). We found that GPR179 (NCBI Protein databank accession no. NP_001004334.2), just like GPR158, also forms specific complexes with RGS7 (Fig. 4 B). However, unlike GPR158, it could interact with all members of the R7 RGS subfamily (Fig. 4 C). Interestingly, GPR179 exhibited much more restricted expression and was detected only in the retina (Fig. 4 D). Two recent studies showed that mutations in the GPR179 gene cause congenital stationary night blindness in humans, indicating that GPR179 is required for normal synaptic transmission between photoreceptors and ON bipolar cells in the retina (Audo et al., 2012; Peachey et al., 2012). Furthermore, a mouse mutant nob5 lacks an electroretinogram b-wave and is a model for this form of complete congenital stationary night blindness (Peachey et al., 2012). Earlier studies showed that RGS7–Gβ5 and RGS11–Gβ5 complexes colocalize with the essential components of the signaling cascade at the dendritic tips of the ON bipolar cells and play an important role in normal transmission at this synapse (Mojumder et al., 2009; Chen et al., 2010; Zhang et al., 2010). We then asked whether GPR179 could influence localization and function of RGS proteins in these neurons. Indeed, our examination revealed that RGS7 and RGS11 colocalize with GPR179 at the dendritic tips of the ON bipolar cells (Fig. 4 E). Remarkably, loss of GPR179 in the nob5 mice resulted in loss of the punctate staining for both RGS7 and RGS11 (Fig. 4, G and H), although their protein levels were unchanged (Fig. 4 F). These data suggest that GPR179 is essential for the postsynaptic targeting of the RGS–Gβ5 complexes in retinal ON bipolar neurons.
Figure 4.
GPR179 is a paralogue of GPR158 required for subcellular targeting of the RGS7–Gβ5 complex in vivo. (A) GPR158 shares considerable sequence homology and conservation among species with GPR179 as revealed by phylogenic analysis. (B) GPR179 forms complexes with RGS7 in transfected cells. Forward and reverse immunoprecipitation experiments were carried using the indicated antibodies after cotransfection of GPR158 with RGS7 in HEK293T/17 cells. (C) Coimmunoprecipitation of GPR179 with members of the R7 RGS subfamily upon expression in HEK293T/17 cells. (D) Expression profile of GPR179 as determined by the Western blotting of total tissue lysates. (E) GPR179 colocalizes with RGS7 and RGS11 at the dendritic tips of the ON bipolar cells in the outer plexiform layer of the retina. Retina cross sections were immunolabeled for GPR179 and RGS7. (F) Loss of GPR179 in nob5 retinas does not affect the expression of RGS7 and RGS11 as revealed by Western blot analysis of RGS7 and RGS11 expression in total retina lysates from wild-type (WT) mice or mice lacking GPR179 (nob5). (G and H) Elimination of GPR179 prevents targeting of RGS7 and RGS11, but not TRPM1, to the dendritic tips. Retina cross sections were double immunostained for RGS7 and GPR179 in G or RGS7/RGS11 and TRPM1 in H. Cell nuclei are labeled with DAPI. Bars: (E and G) 10 µm; (H) 5 µm. IP, immunoprecipitation; KO, knockout.
GPR158/179 and G protein signaling
The results of our study reveal the existence of a new family of membrane anchors and activity modulators for the R7 RGS proteins that belong to the group of orphan GPCRs and contain two members, GPR158 and GPR179. Two other membrane anchors for the R7 RGS family have been described previously (Jayaraman et al., 2009). R9AP was found to form complexes with RGS9 and RGS11 but not with RGS6 or RGS7 and was demonstrated to play a key role in controlling posttranslational stability, subcellular targeting, and activity of its RGS partners (Anderson et al., 2009; Jayaraman et al., 2009). Subsequently, a R9AP homologue, R7BP, was identified as a universal partner for all members of the R7 RGS subfamily (Drenan et al., 2005; Martemyanov et al., 2005). Similarly to R9AP, R7BP was demonstrated to play a role in stabilization, localization, and activity regulation for some, but not all, R7 RGS proteins and in some, but not all, neurons (Anderson et al., 2009; Jayaraman et al., 2009). For example, R7BP was shown to be important for achieving the high expression level of RGS9-2 in the striatum but did not affect the expression of RGS7 in the same region (Anderson et al., 2007a). Likewise, although R7BP is important for the recruitment of the RGS7–Gβ5 complex to the nucleus (Panicker et al., 2010), it was not required for the delivery of the same complex to the dendritic tips of the ON bipolar neurons in the retina (Cao et al., 2008) and only mildly affected RGS7–Gβ5 recruitment to the plasma membrane in the brain (Panicker et al., 2010). These observations suggested the existence of additional targeting mechanisms for the R7 RGS complexes, particularly for the RGS7–Gβ5. The identification of GPR158 and GPR179 as RGS membrane anchors suggests a new mechanism for achieving subcellular targeting of this important class of GPCR regulatory proteins.
Our findings provide a new example for the interaction between R7 RGS proteins with the GPCRs. Previous studies found that RGS9 can form complexes with MOR (Garzón et al., 2005) and D2 dopamine receptors (Kovoor et al., 2005). Furthermore, RGS7–Gβ5 complexes have been shown to bind to the third intracellular loop of the M3 muscarinic receptor via a direct protein–protein interaction involving the DEP domain of the molecule (Sandiford et al., 2010). As in the case of GPR158, this binding was mutually exclusive with R7BP recruitment, whereas R7BP prevented the interaction. Similarly, the DEP domain of the primordial yeast RGS protein Sst2 mediates its recruitment to the pheromone-sensing GPCR Ste2 (Ballon et al., 2006). These observations indicate that, in addition to specialized membrane anchoring subunits, the DEP domains of R7 RGS proteins are recruited to elements found in some GPCRs. Yet, no common motifs are detected across any DEP domain–interacting proteins, reinforcing an idea that these modules potentially recognize a diverse set of targets.
The interaction with GPR158 results in translocation of RGS7–Gβ5 complexes to the plasma membrane compartments and augmentation of their catalytic activity. In the case of retinal ON bipolar cells, GPR179 is required for the localization of both RGS7 and RGS11. Because these RGS proteins in complex with the Gβ5 are essential for the synaptic transmission at the ON bipolar synapse (Cao et al., 2012; Shim et al., 2012), their mistargeting in mice with GPR179 deletion or human patients with mutations in GPR179 gene (Audo et al., 2012; Peachey et al., 2012) may account for their no b-wave phenotype and night blindness, respectively. What remains unexplored, however, is whether GPR158 and GPR179 only serve as RGS anchor proteins or whether they can act as bona fide GPCRs. Both are distant members of the class C GPCRs (Bjarnadóttir et al., 2005), and our bioinformatics analysis shows that the amino acids that are critical for the ability of the class C receptors to activate G proteins (Binet et al., 2007) also are conserved in GPR158 and GPR179. This suggests a possibility that these orphan receptors can, in principle, activate G proteins. However, the lack of typical class C ligand binding domain in GPR158/GPR179 suggests that if they can in fact activate G proteins, the mechanism must be substantially different.
Materials and methods
Mice, antibodies, and genetic constructs
Generation of sheep anti-RGS6 (aa 263–472 of mouse RGS6), sheep anti-RGS9-2 (aa 644–675 of mouse RGS9-2), sheep anti-TRPM1 (aa 1,423–1,622 of mouse TRPM1), and sheep anti-RGS11 (aa 444–466 of mouse RGS11) antibodies was previously described (Martemyanov et al., 2005; Cao et al., 2008, 2011). Rabbit anti-Gβ5 (aa 44–59 of mouse Gβ5), rabbit anti-RGS7 (7RC1; aa 312–469 of bovine RGS7), and rabbit anti-R7BP (TRS; aa 16–37 of human R7BP) were gifts from W. Simonds (National Institute of Diabetes and Digestive and Kidney Disease, National Institutes of Health, Bethesda, MD), and anti-TRPM1 was also used. Mouse anti-HA (Millipore), rabbit antimyc (GenScript), rabbit anti-GPR179 (Sigma-Aldrich), and rabbit anti-GPR158 (Sigma-Aldrich) were purchased. The GPR179nob5/nob5 mice with a null mutation in the GPR179 gene are described elsewhere (Peachey et al., 2012).
Cloning of full-length mouse RGS7, DEPless-RGS7 (lacking aa 1–122 of RGS7), RGS6, RGS9-2, RGS11, Gβ5, R7BP, and HA-tagged RGS7 (in which the sequence encoding the HA affinity tag was placed in front of the RGS7 coding sequence maintaining the ORF) into the pcDNA3.1/V5-His-TOPO was previously described (Martemyanov et al., 2003, 2005; Anderson et al., 2007b; Panicker et al., 2010; Porter et al., 2010). Mouse myc-tagged GPR158 was obtained by subcloning the GPR158 ORF, purchased from Thermo Fisher Scientific, in the pcDNA3.1 vector by adding a myc tag in the C terminus. Human myc-tagged GPR179 was purchased from OriGene. BRET sensor constructs Venus155–239-Gβ1, Venus1–155-Gγ2, and masGRKct-Rluc8 were provided by N.A. Lambert (Medical College of Georgia, Augusta, GA).
Cell culture, transfection, immunoprecipitation, and Western blotting
HEK293T/17 cells were cultured at 37°C and 5% CO2 in DME supplemented with 10% FBS, MEM nonessential amino acids, 1 mM sodium pyruvate, and antibiotics (100 U/ml penicillin and 100 µg/ml streptomycin). Cells were transfected using Lipofectamine LTX (Invitrogen), harvested 24 h later, lysed in ice-cold immunoprecipitation buffer (300 mM NaCl, 50 mM Tris-HCl, pH 7.4, 1% Triton X-100, and complete protease inhibitor cocktail) by sonication. For immunoprecipitation, lysates were cleared by centrifugation at 14,000 rpm for 15 min, and the supernatants were incubated with 20 µl Dynabeads (Invitrogen) and 2 µg of antibodies on a rocker at 4°C for 1 h. After three washes with immunoprecipitation buffer, proteins were eluted with 50 µl of 4× SDS sample buffer. Samples were analyzed by SDS-PAGE followed by Western blotting using HRP-conjugated secondary antibodies and a detection system (ECL West Pico; Thermo Fisher Scientific).
Preparative immunoprecipitation and mass spectrometry
Whole brains were removed from mice, homogenized in immunoprecipitation buffer (PBS, 0.3 mM NaCl, 1% Triton X-100, and protease inhibitor cocktail [Roche]) with a series of needles with increasing gauges, and lysed for 30 min at 4°C. Samples were centrifuged (30,000 g for 20 min) to remove debris, and supernatants were incubated for 45 min with 5 mg anti-RGS7 antibody covalently coupled to protein G beads as previously described (Martemyanov et al., 2005). Protein complexes were eluted with 5% ammonium hydroxide and vacuum dried.
Proteins were dissolved in 0.5 M triethylammonium bicarbonate, pH 8.5, containing 0.1% SDS, reduced with 5 mM tris-(2-carboxyethyl) phosphine for 1 h at 60°C, and alkylated with 10 mM methyl methanethiosulfonate for 10 min at room temperature. Proteins were digested with 20 µg of modified porcine trypsin (Promega) in the presence of 3 mM CaCl2 at 37°C for 16 h. Peptide mixtures were vacuum dried, reconstituted in 0.2% formic acid (Thermo Fisher Scientific), and applied to a cartridge (Oasis MCX; Waters) preequilibrated with methanol/water (1:1 vol/vol). The cartridge was washed with 0.1% formic acid in 5% methanol followed by a 100% methanol wash. Peptides were eluted from the MCX resin in 1 ml of 1.5% NH4OH in methanol and vacuum dried. The resulting peptide mixtures were desalted, resolved by liquid chromatography, and analyzed by mass spectrometry (LTQ Orbitrap XL; Thermo Fisher Scientific) as previously described (Cao et al., 2011). Full scans were performed with the orbital trap over a range of mass/charge 360–1,800 at 60,000 resolution using a target value of 106 ions or 500 ms. Tandem mass spectra were obtained using the linear ion trap using collision-induced dissociation with a normalized collision energy of 35%, an isolation width of 2.0 mass/charge, and target values of 10,000 ions or 100 ms.
Membrane/cytosol fractionation
HEK293T/17 transfected cells were lysed in lysis buffer (50 mM Tris-HCl, pH 7.4, 2.5 mM MgCl2, 1 mM EDTA, 1 mM DTT, and complete protease inhibitor cocktail) by 10 passages through a 27-gauge needle and then centrifuged at 400 g for 5 min at 4°C to remove nuclei and intact cells. Supernatants were ultracentrifuged at 150,000 g for 20 min at 4°C. The cytosolic soluble fraction was collected from the supernatant, whereas the pellet containing the membrane fraction was resuspended in an equal amount of lysis buffer. Samples were then sonicated, and 4× SDS sample buffer was added for Western blot analysis.
Immunocytochemistry
HEK293T/17 transfected cells or retina cross sections were fixed for 15 min with 4% paraformaldehyde, permeabilized for 5 min with 0.2% Triton X-100/PBS, blocked with 10% donkey serum for 1 h, and incubated with primary antibody in 2% donkey serum for 1 h. After three washes, sections were incubated with Alexa Fluor 488– or Alexa Fluor 546–conjugated secondary antibodies for 1 h. Cells were stained 5 min with DAPI before mounting in Fluoromount (Sigma-Aldrich). Images used in this paper were generated at The Light Microscopy Facility, the Max Planck Florida Institute, using a confocal microscope (LSM 780; Carl Zeiss; Plan Neofluar 63×/1.3 NA Korr differential interference contrast M27 objective in water) at room temperature. Image acquisition and processing were accomplished using ZEN 2011 (64 bit) software (Carl Zeiss) with only minor manipulations of the images setting the fluorescence intensity in nonsaturating conditions and maintaining similar parameters for each acquired image.
Dissected retinas were immersion fixed in 4% (wt/vol) paraformaldehyde in 0.1 M phosphate buffer (PB), pH 7.4, for 15 min and then washed in PB, cryoprotected through a graded sucrose series in PB (5, 10, and 20%), and frozen in optimal cutting temperature (Sakura Finetek USA, Inc.)/20% sucrose (2:1). 16-µm sections were cut on a cryostat (CM3050S; Leica), mounted onto Superfrost glass slides, air dried, and stored at −80°C. For staining, slides were brought to room temperature and washed in PBS for 5 min followed by three 5-min washes in PBX (PBS containing 0.5% [vol/vol] Triton X-100) and then incubated in blocking solution (PBX containing 5% [vol/vol] normal goat serum) for 1 h. Primary antibodies were diluted in blocking solution and incubated on retinal sections at room temperature overnight. Sections then were washed three times in PBS for 5 min each followed by a 1-h incubation with fluorescently labeled secondary antibodies diluted in blocking solution. Slides were mounted in Vectashield containing DAPI (Vector Laboratories). Secondary antibodies were Alexa Fluor 488 donkey anti–sheep and Alexa Fluor 546 donkey anti–rabbit (Invitrogen). Sections were imaged on a confocal microscope (FV1000; Olympus) using a Plan Apochromat N 60× oil objective (1.42 NA). FluoView FV10-ASW 2.1 software (Olympus) was used for image acquisition with care to avoid saturation. Images are maximum projections of between 3 and 10 scans in the z axis with 0.4-µm steps.
Monitoring G protein cycle in live cells by fast kinetic BRET assay
Agonist-dependent cellular measurements of BRET between masGRKct-Rluc8 and Gβ1γ2-Venus were performed to visualize the action of G protein signaling in living cells as previously described with slight modification (Hollins et al., 2009; Lambert et al., 2010). HEK293T/17 cells were grown in DME supplemented with 10% FBS, MEM nonessential amino acids, 1 mM sodium pyruvate, and antibiotics (100 U/ml penicillin and 100 µg/ml streptomycin) at 37°C in a humidified incubator containing 5% CO2. For transfection, cells were seeded into 6-cm dishes at a density of 4 × 106 cells/dish. After 4 h, expression constructs (total 5 µg/dish) were transfected into the cells using Lipofectamine LTX (8 µl/dish) and PLUS (5 µl/dish) reagents. MOR, Gαo, Venus155–239-Gβ1, Venus1–155-Gγ2, masGRKct-Rluc8, RGS7, Gβ5, and GPR158 constructs were transfected using equal DNA amounts. Empty vector was used to balance the amount of transfected DNA. The cells were used for experiments at 16–24 h after transfection. BRET measurements were made using a microplate reader (POLARstar Omega; BMG Labtech) equipped with two emission photomultiplier tubes, allowing us to detect two emissions simultaneously with a resolution of 50 ms for every data point. All measurements were performed at room temperature. The BRET signal is determined by calculating the ration of the light emitted by the Gβ1γ2-Venus (535 nm) over the light emitted by the masGRKct-Rluc8 (475 nm). The mean baseline value recorded before agonist stimulation was subtracted from BRET signal values, and the resulting difference (R) was normalized against the maximal value (Rmax) recorded upon agonist stimulation.
Statistical analyses
We used the Student’s t test to analyze densitometry data from biochemical fractionation experiments. For the analysis of the nonparametric data reporting differences in the exponential rate constant of the G protein deactivation kinetics observed in BRET experiments, we used the Mann–Whitney rank sum test. The confidence values below P < 0.05 were considered to be statistically significant.
Online supplemental material
Fig. S1 shows mass spectrometric identification of GPR158. Fig. S2 shows expression levels of G protein subunits in the BRET assays. Table S1 shows proteins identified in an immunoprecipitation experiment using anti-RGS7 antibodies. Online supplemental material is available at http://www.jcb.org/cgi/content/full/jcb.201202123/DC1.
Supplementary Material
Acknowledgments
We would like to thank Dr. William Simonds for the generous gift of anti-Gβ5 antibodies and the DEPless RGS7 construct and Dr. Nevin A. Lambert for the BRET sensor constructs Venus155–239-Gβ1, Venus1–155-Gγ2, and masGRKct-Rluc8.
This work was supported by National Institutes of Health grants DA021743, DA026405, and EY018139 (to K.A. Martemyanov) and EY012354 (to R.G. Gregg).
Footnotes
Abbreviations used in this paper:
- BRET
- bioluminescence resonance energy transfer
- DEP
- Disheveled, EGL-10, and Pleckstrin
- GPCR
- G protein–coupled receptor
- MOR
- μ-opioid receptor
- PB
- phosphate buffer
- R9AP
- RGS9 anchor protein
- R7BP
- R7 binding protein
- RGS
- regulator of G protein signaling
References
- Anderson G.R., Lujan R., Semenov A., Pravetoni M., Posokhova E.N., Song J.H., Uversky V., Chen C.K., Wickman K., Martemyanov K.A.. 2007a. Expression and localization of RGS9-2/G 5/R7BP complex in vivo is set by dynamic control of its constitutive degradation by cellular cysteine proteases. J. Neurosci. 27:14117–14127. 10.1523/JNEUROSCI.3884-07.2007 [DOI] [PMC free article] [PubMed] [Google Scholar]
- Anderson G.R., Semenov A., Song J.H., Martemyanov K.A.. 2007b. The membrane anchor R7BP controls the proteolytic stability of the striatal specific RGS protein, RGS9-2. J. Biol. Chem. 282:4772–4781. 10.1074/jbc.M610518200 [DOI] [PubMed] [Google Scholar]
- Anderson G.R., Posokhova E., Martemyanov K.A.. 2009. The R7 RGS protein family: multi-subunit regulators of neuronal G protein signaling. Cell Biochem. Biophys. 54:33–46. 10.1007/s12013-009-9052-9 [DOI] [PMC free article] [PubMed] [Google Scholar]
- Audo I., Bujakowska K., Orhan E., Poloschek C.M., Defoort-Dhellemmes S., Drumare I., Kohl S., Luu T.D., Lecompte O., Zrenner E., et al. 2012. Whole-exome sequencing identifies mutations in GPR179 leading to autosomal-recessive complete congenital stationary night blindness. Am. J. Hum. Genet. 90:321–330. 10.1016/j.ajhg.2011.12.007 [DOI] [PMC free article] [PubMed] [Google Scholar]
- Ballon D.R., Flanary P.L., Gladue D.P., Konopka J.B., Dohlman H.G., Thorner J.. 2006. DEP-domain-mediated regulation of GPCR signaling responses. Cell. 126:1079–1093. 10.1016/j.cell.2006.07.030 [DOI] [PubMed] [Google Scholar]
- Binet V., Duthey B., Lecaillon J., Vol C., Quoyer J., Labesse G., Pin J.P., Prézeau L.. 2007. Common structural requirements for heptahelical domain function in class A and class C G protein-coupled receptors. J. Biol. Chem. 282:12154–12163. 10.1074/jbc.M611071200 [DOI] [PMC free article] [PubMed] [Google Scholar]
- Bjarnadóttir T.K., Fredriksson R., Schiöth H.B.. 2005. The gene repertoire and the common evolutionary history of glutamate, pheromone (V2R), taste(1) and other related G protein-coupled receptors. Gene. 362:70–84. 10.1016/j.gene.2005.07.029 [DOI] [PubMed] [Google Scholar]
- Cao Y., Song H., Okawa H., Sampath A.P., Sokolov M., Martemyanov K.A.. 2008. Targeting of RGS7/Gbeta5 to the dendritic tips of ON-bipolar cells is independent of its association with membrane anchor R7BP. J. Neurosci. 28:10443–10449. 10.1523/JNEUROSCI.3282-08.2008 [DOI] [PMC free article] [PubMed] [Google Scholar]
- Cao Y., Masuho I., Okawa H., Xie K., Asami J., Kammermeier P.J., Maddox D.M., Furukawa T., Inoue T., Sampath A.P., Martemyanov K.A.. 2009. Retina-specific GTPase accelerator RGS11/G β 5S/R9AP is a constitutive heterotrimer selectively targeted to mGluR6 in ON-bipolar neurons. J. Neurosci. 29:9301–9313. 10.1523/JNEUROSCI.1367-09.2009 [DOI] [PMC free article] [PubMed] [Google Scholar]
- Cao Y., Posokhova E., Martemyanov K.A.. 2011. TRPM1 forms complexes with nyctalopin in vivo and accumulates in postsynaptic compartment of ON-bipolar neurons in mGluR6-dependent manner. J. Neurosci. 31:11521–11526. 10.1523/JNEUROSCI.1682-11.2011 [DOI] [PMC free article] [PubMed] [Google Scholar]
- Cao Y., Pahlberg J., Sarria I., Kamasawa N., Sampath A.P., Martemyanov K.A.. 2012. Regulators of G protein signaling RGS7 and RGS11 determine the onset of the light response in ON bipolar neurons. Proc. Natl. Acad. Sci. USA. 109:7905–7910. 10.1073/pnas.1202332109 [DOI] [PMC free article] [PubMed] [Google Scholar]
- Chen C.K., Eversole-Cire P., Zhang H.K., Mancino V., Chen Y.J., He W., Wensel T.G., Simon M.I.. 2003. Instability of GGL domain-containing RGS proteins in mice lacking the G protein β-subunit Gbeta5. Proc. Natl. Acad. Sci. USA. 100:6604–6609. 10.1073/pnas.0631825100 [DOI] [PMC free article] [PubMed] [Google Scholar]
- Chen F.S., Shim H., Morhardt D., Dallman R., Krahn E., McWhinney L., Rao A., Gold S.J., Chen C.K.. 2010. Functional redundancy of R7 RGS proteins in ON-bipolar cell dendrites. Invest. Ophthalmol. Vis. Sci. 51:686–693. 10.1167/iovs.09-4084 [DOI] [PMC free article] [PubMed] [Google Scholar]
- Drenan R.M., Doupnik C.A., Boyle M.P., Muglia L.J., Huettner J.E., Linder M.E., Blumer K.J.. 2005. Palmitoylation regulates plasma membrane–nuclear shuttling of R7BP, a novel membrane anchor for the RGS7 family. J. Cell Biol. 169:623–633. 10.1083/jcb.200502007 [DOI] [PMC free article] [PubMed] [Google Scholar]
- Drenan R.M., Doupnik C.A., Jayaraman M., Buchwalter A.L., Kaltenbronn K.M., Huettner J.E., Linder M.E., Blumer K.J.. 2006. R7BP augments the function of RGS7*Gbeta5 complexes by a plasma membrane-targeting mechanism. J. Biol. Chem. 281:28222–28231. 10.1074/jbc.M604428200 [DOI] [PubMed] [Google Scholar]
- Garzón J., Rodríguez-Muñoz M., López-Fando A., Sánchez-Blázquez P.. 2005. Activation of mu-opioid receptors transfers control of Galpha subunits to the regulator of G-protein signaling RGS9-2: role in receptor desensitization. J. Biol. Chem. 280:8951–8960. 10.1074/jbc.M407005200 [DOI] [PubMed] [Google Scholar]
- Hollinger S., Hepler J.R.. 2002. Cellular regulation of RGS proteins: modulators and integrators of G protein signaling. Pharmacol. Rev. 54:527–559. 10.1124/pr.54.3.527 [DOI] [PubMed] [Google Scholar]
- Hollins B., Kuravi S., Digby G.J., Lambert N.A.. 2009. The c-terminus of GRK3 indicates rapid dissociation of G protein heterotrimers. Cell. Signal. 21:1015–1021. 10.1016/j.cellsig.2009.02.017 [DOI] [PMC free article] [PubMed] [Google Scholar]
- Jayaraman M., Zhou H., Jia L., Cain M.D., Blumer K.J.. 2009. R9AP and R7BP: traffic cops for the RGS7 family in phototransduction and neuronal GPCR signaling. Trends Pharmacol. Sci. 30:17–24. 10.1016/j.tips.2008.10.002 [DOI] [PMC free article] [PubMed] [Google Scholar]
- Jingami H., Nakanishi S., Morikawa K.. 2003. Structure of the metabotropic glutamate receptor. Curr. Opin. Neurobiol. 13:271–278. 10.1016/S0959-4388(03)00067-9 [DOI] [PubMed] [Google Scholar]
- Keresztes G., Martemyanov K.A., Krispel C.M., Mutai H., Yoo P.J., Maison S.F., Burns M.E., Arshavsky V.Y., Heller S.. 2004. Absence of the RGS9.Gbeta5 GTPase-activating complex in photoreceptors of the R9AP knockout mouse. J. Biol. Chem. 279:1581–1584. 10.1074/jbc.C300456200 [DOI] [PubMed] [Google Scholar]
- Kovoor A., Seyffarth P., Ebert J., Barghshoon S., Chen C.K., Schwarz S., Axelrod J.D., Cheyette B.N., Simon M.I., Lester H.A., Schwarz J.. 2005. D2 dopamine receptors colocalize regulator of G-protein signaling 9-2 (RGS9-2) via the RGS9 DEP domain, and RGS9 knock-out mice develop dyskinesias associated with dopamine pathways. J. Neurosci. 25:2157–2165. 10.1523/JNEUROSCI.2840-04.2005 [DOI] [PMC free article] [PubMed] [Google Scholar]
- Lambert N.A., Johnston C.A., Cappell S.D., Kuravi S., Kimple A.J., Willard F.S., Siderovski D.P.. 2010. Regulators of G-protein signaling accelerate GPCR signaling kinetics and govern sensitivity solely by accelerating GTPase activity. Proc. Natl. Acad. Sci. USA. 107:7066–7071. 10.1073/pnas.0912934107 [DOI] [PMC free article] [PubMed] [Google Scholar]
- Martemyanov K.A., Lishko P.V., Calero N., Keresztes G., Sokolov M., Strissel K.J., Leskov I.B., Hopp J.A., Kolesnikov A.V., Chen C.K., et al. 2003. The DEP domain determines subcellular targeting of the GTPase activating protein RGS9 in vivo. J. Neurosci. 23:10175–10181. [DOI] [PMC free article] [PubMed] [Google Scholar]
- Martemyanov K.A., Yoo P.J., Skiba N.P., Arshavsky V.Y.. 2005. R7BP, a novel neuronal protein interacting with RGS proteins of the R7 family. J. Biol. Chem. 280:5133–5136. 10.1074/jbc.C400596200 [DOI] [PubMed] [Google Scholar]
- Mojumder D.K., Qian Y., Wensel T.G.. 2009. Two R7 regulator of G-protein signaling proteins shape retinal bipolar cell signaling. J. Neurosci. 29:7753–7765. 10.1523/JNEUROSCI.1794-09.2009 [DOI] [PMC free article] [PubMed] [Google Scholar]
- Offermanns S. 2003. G-proteins as transducers in transmembrane signalling. Prog. Biophys. Mol. Biol. 83:101–130. 10.1016/S0079-6107(03)00052-X [DOI] [PubMed] [Google Scholar]
- Panicker L.M., Zhang J.H., Posokhova E., Gastinger M.J., Martemyanov K.A., Simonds W.F.. 2010. Nuclear localization of the G protein beta 5/R7-regulator of G protein signaling protein complex is dependent on R7 binding protein. J. Neurochem. 113:1101–1112. [DOI] [PMC free article] [PubMed] [Google Scholar]
- Peachey N.S., Ray T.A., Florijn R., Rowe L.B., Sjoerdsma T., Contreras-Alcantara S., Baba K., Tosini G., Pozdeyev N., Iuvone P.M., et al. 2012. GPR179 is required for depolarizing bipolar cell function and is mutated in autosomal-recessive complete congenital stationary night blindness. Am. J. Hum. Genet. 90:331–339. 10.1016/j.ajhg.2011.12.006 [DOI] [PMC free article] [PubMed] [Google Scholar]
- Porter M.Y., Xie K., Pozharski E., Koelle M.R., Martemyanov K.A.. 2010. A conserved protein interaction interface on the type 5 G protein beta subunit controls proteolytic stability and activity of R7 family regulator of G protein signaling proteins. J. Biol. Chem. 285:41100–41112. 10.1074/jbc.M110.163600 [DOI] [PMC free article] [PubMed] [Google Scholar]
- Ross E.M., Wilkie T.M.. 2000. GTPase-activating proteins for heterotrimeric G proteins: regulators of G protein signaling (RGS) and RGS-like proteins. Annu. Rev. Biochem. 69:795–827. 10.1146/annurev.biochem.69.1.795 [DOI] [PubMed] [Google Scholar]
- Sandiford S.L., Wang Q., Levay K., Buchwald P., Slepak V.Z.. 2010. Molecular organization of the complex between the muscarinic M3 receptor and the regulator of G protein signaling, Gbeta(5)-RGS7. Biochemistry. 49:4998–5006. 10.1021/bi100080p [DOI] [PMC free article] [PubMed] [Google Scholar]
- Shim H., Wang C.T., Chen Y.L., Chau V.Q., Fu K.G., Yang J., McQuiston A.R., Fisher R.A., Chen C.K.. 2012. Defective retinal depolarizing bipolar cells in regulators of G protein signaling (RGS) 7 and 11 double null mice. J. Biol. Chem. 287:14873–14879. 10.1074/jbc.M112.345751 [DOI] [PMC free article] [PubMed] [Google Scholar]
- Slepak V.Z. 2009. Structure, function, and localization of Gβ5-RGS complexes. Prog. Mol. Biol. Transl. Sci. 86:157–203. 10.1016/S1877-1173(09)86006-7 [DOI] [PMC free article] [PubMed] [Google Scholar]
- Zhang J.H., Barr V.A., Mo Y.Y., Rojkova A.M., Liu S.H., Simonds W.F.. 2001. Nuclear localization of G protein β 5 and regulator of G protein signaling 7 in neurons and brain. J. Biol. Chem. 276:10284–10289. 10.1074/jbc.M009247200 [DOI] [PubMed] [Google Scholar]
- Zhang J., Jeffrey B.G., Morgans C.W., Burke N.S., Haley T.L., Duvoisin R.M., Brown R.L.. 2010. RGS7 and -11 complexes accelerate the ON-bipolar cell light response. Invest. Ophthalmol. Vis. Sci. 51:1121–1129. 10.1167/iovs.09-4163 [DOI] [PMC free article] [PubMed] [Google Scholar]
Associated Data
This section collects any data citations, data availability statements, or supplementary materials included in this article.




