Abstract
With the development of numerous mouse models of cancer, there is a tremendous need for an appropriate imaging technique to study the disease evolution. High-field T2-weighted imaging using PROPELLER MRI meets this need. The 2-shot PROPELLER technique presented here, provides (a) high spatial resolution, (b) high contrast resolution, and (c) rapid and non-invasive imaging, which enables high-throughput, longitudinal studies in free-breathing mice. Unique data collection and reconstruction makes this method robust against motion artifacts. The 2-shot modification introduced here, retains more high-frequency information and provides higher SNR than conventional single-shot PROPELLER, making this sequence feasible at high-fields, where signal loss is rapid. Results are shown in a liver metastases model to demonstrate the utility of this technique in one of the more challenging regions of the mouse, which is the abdomen.
Keywords: PROPELLER, high-field, preclinical, T2
Introduction
Cancer is the second most common cause of death in the developed world, so there is considerable interest in techniques for detection, prevention, diagnosis, and treatment of the disease. Recent years have seen an explosive growth in the use of mouse models of cancer for preclinical studies. Correspondingly an increased need exists for better non-invasive imaging techniques to enable the study of disease evolution and treatment.
The requirements for such an imaging technique include (a) high spatial resolution, (b) good soft tissue differentiation (contrast), and the ability to be (c) fast and non-invasive to enable high-throughput, longitudinal studies. High-field magnetic resonance imaging (MRI) (7T) is used to obtain higher spatial resolution (1). MRI offers a variety of contrast mechanisms for visualizing different aspects of cancer. Contrast-enhanced T1-weighted imaging and diffusion-weighted imaging are typically used for functional (i.e. vascular permeability and cell viability) information, while T2-weighted imaging is the method of choice for anatomical imaging. The technique proposed here relies on T2-weighted contrast. For T2-weighted imaging, the third criterion (rapid, high-throughput scanning) is one of the most problematic. Much of the work in small animals has addressed motion through the use of scan-synchronous ventilation (2). This is both traumatic and time-consuming, limiting the application for longitudinal, high-throughput studies. We address the problem with a novel imaging technique that permits the use of free-breathing mice. The unique data acquisition and reconstruction technique overcomes the adverse effects of respiratory motion, allows for rapid setup and acquisition and provides excellent tissue contrast.
Continued efforts to improve image quality in the clinical arena have led to the development of novel imaging sequences that provide higher signal, better contrast and increased immunity to motion. We build upon work by J.D. Pipe in the development of Periodically Rotated Overlapping ParallEL Lines with Enhanced Reconstruction (PROPELLER) (3). This unique method of data collection and reconstruction makes the sequence inherently motion-insensitive and permits for the correction and prioritized weighting of data corrupted by certain kinds of motion. When implemented as a fast spin echo (FSE) sequence, PROPELLER can be used to obtain excellent T2-weighted contrast.
Adapting the clinical PROPELLER sequence to the small animal domain is not trivial. A mouse at 25g is over 3000 times smaller than a human. To see a definition of structures comparable to the clinical domain, mice need to be imaged at resolutions in the range of 50–150μm. But, the signal from the smaller tissue volume is concomitantly weaker. Sensitivity can be recovered by imaging at higher magnetic field strengths. But at higher field strengths, the susceptibility-induced losses are larger (4–6). This puts a limitation on the echo train length. Thus care must be taken to minimize the readout duration and echo spacing. We address this by optimizing both the hardware and the software. In the clinical domain, PROPELLER reconstruction corrects for in-plane rigid body rotational and translational motion and mitigates the effects of through-plane motion. In murine imaging, rigid body motion is negligible as the mouse is anesthetized and restrained in a custom-built cradle (7). The main source of motion is the through-plane respiratory motion. We address this difference in motion correction in the reconstruction algorithm.
We describe a technique for non-invasive T2-weighted MR imaging in free-breathing mice (8). We demonstrate that our implementation of PROPELLER is an improvement over many commonly available imaging techniques—it has better motion immunity than traditional Cartesian acquisition methods and requires shorter imaging time than standard projection acquisition techniques. We have applied PROPELLER in one of the most challenging possible regions of the mouse, i.e., the abdomen where respiratory motion is very high.
Methods
MR Hardware
All imaging was carried out on a 7T, 150 mm bore, Magnex magnet with a GE EXCITE console on the EPIC Lx12.4 software platform (GE Healthcare, Milwaukee, WI). The system uses shielded gradient coils (Resonance Research Inc., Billerica, MA) with a maximum gradient strength of 770 mT/m and a rise time of 100 μs. High-power amplifiers (Copley Controls, Canton, MA) drive the gradients. The strong gradients with high slew rate, high duty cycle and high power amplifiers are necessary to achieve the short inter-echo spacing (ESP) that is critical at high fields to minimize susceptibility-induced losses. The RF coil used for imaging is a 35 mm diameter quadrature transmit/receive volume coil (M2M Imaging Corporation, Cleveland, OH).
Animal Setup
All animal studies were approved by the Duke University Institutional Animal Care and Use Committee. In preliminary experiments, C57BL/6 mice were used. To best demonstrate the utility of this technique in a biologically significant experiment, the final set of imaging studies were carried out in a mouse model of cancer. Female athymic nude mice were implanted with 5 × 106 cells of HT29 colon carcinoma in a volume of 50μl with a 25-gauge needle in the spleen. After a two-minute pause post-injection, a splenectomy was performed and the surgical site was closed. The procedure was conducted under isoflurane anesthesia. Animals were allowed to recover for a minimum of 8 days before imaging.
In all imaging experiments, the mice were free-breathing and maintained under anesthesia by isoflurane administered via a nose cone. The respiratory rate was monitored throughout the course of the study (SA Instruments Inc., Edison, NJ). Surface body temperature was measured with a thermistor that was placed snugly under the neck. The temperature was maintained between 33–34°C by blowing warm air into the magnet bore. An integrated animal cradle that addressed the anesthesia delivery, physiological signal monitoring and animal positioning needs was used for these studies (7). At the conclusion of the studies, the mice were euthanized with an overdose of isoflurane.
Pulse Sequence
The PROPELLER sequence was implemented as a modification of the standard fast spin echo (FSE) sequence on the EPIC Lx12.4 software platform. Figure 1a shows the k-space trajectory for PROPELLER and the pulse sequence diagram for the horizontal blade acquisition is shown in Fig. 1b. A slice-selective 90° RF pulse is used for excitation, which is then followed by a train of 180° RF refocusing pulses. The refocusing pulses are also slice-selective and are flanked on either side by “crusher” gradients to suppress the FID arising due to imperfections in the refocusing pulses. Gradients are also applied on either side of the readout gradients for the same purpose. Phase-encoding gradients are applied after the refocusing pulse and rewound after the readout gradients. This step is essential for maintaining phase coherence of the echoes, i.e., the CPMG condition (9,10). Phase-encoding gradients are applied concurrently with the crusher gradients on the readout axis to minimize the inter-echo spacing. Subsequent blades are acquired by rotating the readout and phase gradients about the slice-select axis. Together the blades sample the whole of the k-space, while each blade samples the circular region in the center of k-space.
Figure 1.
k-space trajectory (a) traversed by PROPELLER and the pulse sequence diagram (b) for the same as implemented in the EPIC Lx12M4 platform.
In conventional PROPELLER, a single echo train (one acquisition) is used to acquire one complete blade, as shown in Fig. 2a, where decreasing echo amplitude signifies echoes sampled later in the echo train. T2 decay during the echo train limits the length of the echo train that can be prescribed, which in turn, affects TE, and hence the T2-weighting of the image; and blade width, and hence the motion correction ability of the sequence. To overcome this, our implementation of PROPELLER uses two echo trains (two acquisitions or shots) to acquire a single blade. Three different blade acquisition orders are employed to increase the flexibility in echo times. In the early echo scheme (Fig. 2b), the first echo in the echo trains is used to sample the lowest phase-encoding line (the center of k-space). The effective TE in this case is small, equal to the inter-echo time, and the images have minimal T2-weighting. The intermediate echo scheme (Fig. 2c) and the late echo scheme (Fig. 2d) have the central and the last echo in the echo train sampling the center of k-space respectively. These are the two schemes used predominantly for T2-weighted imaging.
Figure 2.
Echo number to blade position correspondence in (a) conventional PROPELLER and 2-shot PROPELLER with (b) early, (c) intermediate, and (d) late acquisition order. The echo number increases as the echo amplitude decreases. In the 2-shot case, the bold and the dotted lined represent the two echo trains that make up a single blade. Effective echo time is defined as the time at which the echo at the k-space center is acquired.
In 2-shot PROPELLER, for an echo train length of L, the blade width is 2L. Thus the total number of blades required to cover the complete k-space (i.e., to ensure that the data is Nyquist sampled) is
| [1] |
M is the desired image matrix size. The incremental angle between two successive blades in k-space is then given by
| [2] |
Reconstruction
MATLAB (The Mathworks Inc., Natick, MA) is used for image reconstruction. Figure 3 outlines the steps followed during reconstruction, which is essentially the standard PROPELLER reconstruction flow (3), but with two modifications. First, for 2-shot PROPELLER, the echo data are first reordered depending on the acquisition order (early/intermediate/late) used. This is done during the acquisition phase, so that the raw data has the blades in the correct sequence. Then image-space phase correction is carried out for each blade to align the point of rotation with the center of k-space. The second modification to the reconstruction flow is that only through-plane motion correction is employed. As the mice are anesthetized and securely positioned in the cradle throughout the course of the experiment, we do not encounter in-plane rigid body translational and rotational motion. The only motion encountered is the through-plane respiratory motion. This is corrected during reconstruction by prioritizing the data from each blade based on correlation with the averaged central data and minimizing the contribution of the blades that encounter through-plane motion. In the final reconstruction step, the corrected data are gridded onto a Cartesian array with density compensation applied to take into account the non-uniform sampling. The final image is obtained as the magnitude of the inverse Fourier transform of this data.
Figure 3.

Reconstruction flow for 2-shot PROPELLER in small animals.
Results
At high magnetic field strength, the susceptibility-induced signal losses are high. Multi-echo techniques yield better T2-weighted images compared to conventional single-echo spin-echo techniques (11). The use of a train of 180° pulses refocuses the magnetization at shorter intervals and minimizes the T2* losses.
For improved image quality, it is important to have as short an inter-echo spacing (ESP) as possible (12). This was achieved by overlapping the phase-encoding gradients with the “crusher” gradients on the readout gradient. Additionally, as the extent of the blade in the phase direction is restricted to the central regions of k-space, the phase encoding gradients in PROPELLER have smaller amplitudes. This, in combination with the use of gradient amplifiers with rapid rise time (770mT/m in 100μs) enabled us to obtain a short ESP of 6.8ms. This is significantly shorter than that seen in the clinical arena (for standard FSE) where the typical gradient amplifies have maximum amplitude of 20–40mT/m with a rise time of 150–300μs.
The comparison of the conventional single-shot and the 2-shot PROPELLER sequences with the Cartesian fast spin echo present a wide selection of parameters. We have constrained our comparisons to those with similar imaging time and spatial resolution. Table 1 provides a summary of the acquisition parameters that were maintained constant for all three protocols.
Table 1.
Imaging parameters that were maintained constant for comparison between Cartesian fast spin echo, single-shot PROPELLER and 2-shot PROPELLER sequences
| Parameter | Value |
|---|---|
| Repetition time | 3 s |
| Echo time | ~70 ms |
| Bandwidth | 125 kHz |
| Field of view | 30 mm |
| Image matrix | 256 × 256 |
| Number of slices | 13 |
| Slice thickness | 1 mm |
| Total imaging time | 30 minutes |
Figure 4a, 4b show two representative slices from a multi-slice Cartesian fast spin echo sequence in a free-breathing mouse. Figure 4c, 4d show the same slices in the same free-breathing mouse acquired with the single-shot PROPELLER sequence. And Fig. 4e, 4f show the same slices from a 2-shot PROPELLER sequence. The imaging time was set to 30 minutes, representing a reasonable time for high-throughput studies. The animals were anesthetized using inhaled isoflurane, but they were breathing on their own. The reduction in motion artifacts with PROPELLER is dramatic. The Cartesian data (Fig. 4a, 4b) is severely degraded by ghosting artifacts arising from respiratory motion. Both PROPELLER datasets at the same levels (Fig. 4c, 4d and 4e, 4f) are nearly artifact-free. An ETL of 20 was used for the single-shot PROPELLER and FSE, whereas the 2-shot PROPELLER used an ETL of 10 with the late echo-ordering scheme. The acquisition time was maintained constant by adjusting the number of signal averages (NEX). NEX for single-shot acquisition (Fig. 4c,d) is twice that of the 2-shot acquisition (Fig. 4e, 4f). Signal-to-noise ratio (SNR) was compared in the inner and outer medulla of the kidney for single-shot (Fig. 4d) and 2-shot (Fig. 4f) sequences. The SNR in the 2-shot PROPELLER image (Fig. 4f) is 20–40% higher in the inner and outer medulla (8.07 and 13.24, respectively) than the single-shot PROPELLER (5.64 and 10.82, respectively). The higher signal also causes the peripheral streaking artifacts, which arise due to signal variations within views, to be more evident in the 2-shot technique. This can be seen in Fig. 4e, 4f where the images have been windowed down to see the background. The use of two shots preserves the higher frequencies much more effectively. Note, for example, that smaller vessels within the liver can be seen with 2-shot PROPELLER (Fig. 4e) than with conventional single-shot PROPELLER (Fig. 4c). The edge definition within the layers of the kidney is superior in Fig. 4f. The 2-shot sequence limits some of the pulsatile artifacts. Ghosting artifacts (arrow) in the vena cava seen in Fig. 4d are not seen in Fig. 4f.
Figure 4.
Comparison between standard Cartesian fast spin echo (a, b), conventional PROPELLER (c, d), and 2-shot PROPELLER (e, f). Multi-slice datasets with similar imaging parameters were acquired with all three sequences (TR/TE = 3s/70ms, imaging time = 30 minutes). This figure shows two identical slices, one through the liver (a, c, e) and one through the kidney (b, d, f). The arrow points to ghosting artifact in the vena cava seen in single-shot PROPELLER, but absent in the 2-shot scheme.
T2 contrast is governed by the effective echo time. Effective echo time is defined as the time at which the central line of k-space is acquired. In 2-shot PROPELLER, changing the length of the echo train, as well as varying the blade acquisition order, can vary the effective echo time. Figure 5 shows a series of images with increasing TE, obtained, in this case, by varying the echo train length. All three datasets were acquired using the 2-shot PROPELLER technique with the intermediate echo-ordering scheme. The imaging parameters are shown in Table 2. The number of blades in each case is adjusted depending on the ETL to ensure full Nyquist sampling of data at the periphery of k-space. To ensure sufficient SNR, the imaging time for all three datasets was fixed to about 45 minutes, which was maintained constant by increasing the number of excitations (NEX) for the longer echo train length scans.
Figure 5.
T2-weighted images of kidneys in a free-breathing mouse. Effective echo times were varied by changing the ETL of the scans (a) TE = 34ms, ETL = 8, (b) TE = 48ms, ETL = 12, (c) TE = 62ms, ETL = 16, (d) CNR between the outer renal medulla (region 1) and the renal cortex (region 2) and inner medulla (region 3).
Table 2.
Imaging parameters for Figure 5a–c
| Figure | ETL | Number of blades | Effective TE | TR | In-plane resolution | Slice thickness | NEX |
|---|---|---|---|---|---|---|---|
| 5a | 8 | 25 | 34ms | 3s | 117μm | 1 mm | 18 |
| 5b | 12 | 16 | 48ms | 3s | 117μm | 1 mm | 28 |
| 5c | 16 | 12 | 62ms | 3s | 117μm | 1 mm | 36 |
Figure 5a–c show the same slice from multi-slice datasets acquired at different effective echo times. At a TE of 34ms (Fig 5a), the inner medulla (region 1) and outer medulla (region 2) are virtually indistinguishable, but at longer TEs, as the T2-weighted contrast increases, the renal layers can be easily separated. The contrast evolution in the T2-weighted images with increasing echo times is shown in Fig 5d.
| [3] |
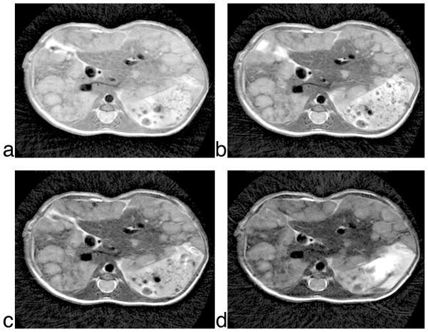
Figure 6 shows the final set of images acquired in a free-breathing mouse with metastatic cancer in the liver. The liver is positioned immediately underneath the diaphragm, where the respiratory motion is greater than in any other part of the body. Nevertheless, the PROPELLER images are nearly artifact-free. The multi-slice datasets cover the entire abdominal region, from the lungs to the kidneys. All four datasets were acquired with the 2-shot PROPELLER sequence with the intermediate acquisition order. An identical representative slice, from all four datasets is shown in Fig. 6a–d. As the echo time increases from Fig. 6a (27ms) to Fig. 6d (69ms), the T2-weighting in the images increases. The relative contrast between the viable liver and the tumor tissue also increases accordingly, 43.2%, 55.9%, 63.2%, and 69.2%. The contrast is calculated as a percentage difference between the signal intensities between the tumor tissue and the viable liver, relative to the viable liver.
Figure 6.
Liver tumor images from a free-breathing mouse acquired over a range of increasing echo times. 117μm in-plane, 1mm slice thickness (21 slices), TR = 2.5s, BW = 125 KHz, ESP = 6.856ms, imaging time ~ 40 minutes. (a) TE = 27ms, ETL = 6, (b) TE = 41ms, ETL = 10, (c) TE = 55ms, ETL = 14, (d) TE = 69ms, ETL = 18.
Images at higher TEs show an additional definition in the tumor abnormal parenchyma. Note for example Fig. 6d, where increased inhomogeneity can be seen within the tumor.
Discussion and Conclusions
T2-weighted imaging has proven to be a good mechanism for abdominal imaging due to the excellent soft-tissue contrast that can be obtained. It is routinely used for detection and characterization of liver lesion clinically (13–15), as well as in small animals (16,17). Clinical studies focusing on the abdominal region rely on breath-hold imaging to mitigate the effects of respiratory motion (18,19). In small animal imaging, scan-synchronous ventilation is the method of choice. Intubation or tracheotomy of the animals (20) allows maximum control on the respiration, but this is highly invasive and time-consuming. The alternative is to track the respiratory motion in spontaneously-breathing animals and synchronize the data acquisition with the respiratory cycle (16,21). The main drawback of this method is the dependence of repetition time on the respiratory period. This adversely affects the image contrast as well as restricts the number of slices that can be acquired. The technique proposed here avoids these limitations by relying on the imaging sequence to detect and reject views acquired during breathing. It also gives excellent T2-weighted images and provides the flexibility in choosing the most appropriate parameters to get the optimal contrast in different parts of the body. This method demonstrates an efficient way for acquiring heavily T2-weighted images in free-breathing mice that enables high-throughput, longitudinal studies.
The multi-slice, multi-echo approach makes efficient use of the longer TR that is necessary to minimize the effects of longer T1 at high field. Minimizing the echo spacing in a multi-echo sequence reduces the susceptibility losses that are typical at high fields. We have achieved this by optimizing both the hardware (high-strength gradient amplifiers) and the pulse sequence (overlapping gradient waveforms). Reducing the width of the slice-selective gradients can further shorten the echo spacing. More sophisticated RF refocusing pulses offer additional opportunities for fine-tuning of the sequence.
The main advantage of this technique is in its robustness against motion. Both the conventional single-shot and 2-shot PROPELLER sequences effectively eliminate respiratory artifacts that make Cartesian strategies virtually useless for free-breathing animals. Additionally, the artifacts due to uncorrected motion and undersampling are expressed benignly in the form of peripheral streaking in image space (Fig. 4). This is characteristic of all non-Cartesian data acquisition schemes that oversample the center of k-space (22). Though unlike the commonly used projection acquisition schemes, which merely offer relative immunity to motion, the PROPELLER data acquisition scheme is more robust as it also allows for correction and/or rejection of data corrupted by motion. PROPELLER oversamples a bigger area at the center of k-space and obtains inherent navigator information that makes this possible.
The 2-shot sequence is marginally more robust to a broader range of motions (e.g. pulsatile motion) as can be seen from Fig. 4d, 4f. For the same blade width, the 2-shot scheme has higher SNR than the single-shot scheme. At high fields, T2 decay is faster, and hence signal variation between views is larger. This causes increased artifacts, mainly seen in the periphery of image space. As the signal in the 2-shot scheme is higher, artifacts also appear brighter (Fig. 4e, 4f). The 2-shot blade data can be acquired using one of three acquisition orders defined earlier, thus permitting three different effective echo times for a particular blade width. The early echo scheme provides T1 or proton density-weighted images, while the intermediate and late echo schemes are used for acquiring T2-weighted images. Unlike the conventional PROPELLER sequence, where the central echo in the echo train typically defines the effective TE, this technique allows flexibility in choosing imaging parameters that provide the most significant information for the desired application in the region of interest. Note for example, the liver tumor images, where greater heterogeneity can be seen within the tumor in Fig. 6d, but Fig. 6c has higher CNR (15.08 in Fig. 6c compared to 9.49 in Fig. 6d). In this case, changing the ETL varied effective TE, but changing the acquisition order in the blades will do the same.
To ensure adequate signal in the high-resolution datasets signal averaging was carried out during all imaging experiments. For a fair comparison between images, the imaging time for all datasets in an experiment was kept constant. For a fixed imaging duration, datasets acquired with shorter ETL had fewer signal averages. Thus, for the same blade width, the number of signal averages for the 2-shot scheme was half of that for the single-shot scheme. But, since later echoes in a short echo train make a more substantial contribution to the overall signal than the later echoes in a long echo train, the 2-shot technique retains more high-frequency information and the overall SNR is also higher (as can be seen from Fig. 4).
We have restricted our current protocol to axial images. In PROPELLER, sagittal and coronal images cause streaking artifacts when the object volume extends beyond the field of view. Prescribing the field of view to cover the entire extent of the coil overcomes this, but at the expense of reduced image resolution. Alternatively, an asymmetric field of view can be acquired at the cost of higher pulse sequence complexity (23). The second concern is lipid signal enhancement (24). This is seen in all RARE sequences, particularly when late echoes are used to sample the center of k-space. This effect increases with decreasing echo spacing. Lipid signal suppression using frequency-selective pulses is a possible remedy. The drawback in this case is reduced SNR due to water signal saturation or attenuation that is unavoidable in these techniques.
While the current work focuses on T2-weighted imaging in free-breathing mice, we see potential in extending this technique for diffusion-weighted imaging. Work is currently under way to develop a PROPELLER-based diffusion-weighted sequence that adheres to the CPMG condition. The two contrast mechanisms together will provide an excellent toolkit for high-throughput cancer imaging in free-breathing mice.
Acknowledgments
The authors thank Elizabeth Rainbolt for her assistance in tumor inoculation surgeries and Sally Zimney for her assistance in manuscript preparation. All work was performed at the Duke Center for In Vivo Microscopy, an NIH/NCRR national Biomedical Technology Research Center (P41 RR005959) and NCI Small Animal Imaging Resource Program (U24 092656).
References
- 1.Marzola P, Osculati F, Sbarbati A. High field MRI in preclinical research. Eur J Radiol. 2003;48(2):165–170. doi: 10.1016/j.ejrad.2003.08.007. [DOI] [PubMed] [Google Scholar]
- 2.Hedlund LW, Cofer GP, Owen SJ, Allan Johnson G. MR-compatible ventilator for small animals: computer-controlled ventilation for proton and noble gas imaging. Magn Reson Imaging. 2000;18(6):753–759. doi: 10.1016/s0730-725x(00)00154-5. [DOI] [PubMed] [Google Scholar]
- 3.Pipe JG. Motion correction with PROPELLER MRI: application to head motion and free-breathing cardiac imaging. Magn Reson Med. 1999;42(5):963–969. doi: 10.1002/(sici)1522-2594(199911)42:5<963::aid-mrm17>3.0.co;2-l. [DOI] [PubMed] [Google Scholar]
- 4.DiFrancesco MW, Rasmussen JM, Yuan W, Pratt R, Dunn S, Dardzinski BJ, Holland SK. Comparison of SNR and CNR for in vivo mouse brain imaging at 3 and 7 T using well matched scanner configurations. Med Phys. 2008;35(9):3972–3978. doi: 10.1118/1.2968092. [DOI] [PMC free article] [PubMed] [Google Scholar]
- 5.Malisch TW, Hedlund LW, Suddarth SA, Johnson GA. MR microscopy at 7. 0 T: effects of brain iron. J Magn Reson Imaging. 1991;1(3):301–305. doi: 10.1002/jmri.1880010308. [DOI] [PubMed] [Google Scholar]
- 6.Zhong JH, Gore JC, Armitage IM. Relative contributions of chemical exchange and other relaxation mechanisms in protein solutions and tissues. Magn Reson Med. 1989;11(3):295–308. doi: 10.1002/mrm.1910110304. [DOI] [PubMed] [Google Scholar]
- 7.Howles GP, Nouls JC, Qi Y, Johnson GA. Rapid production of specialized animal handling devices using computer-aided design and solid freeform fabrication. J Magn Reson Imaging. 2009;30(2):466–471. doi: 10.1002/jmri.21821. [DOI] [PMC free article] [PubMed] [Google Scholar]
- 8.Pandit P, King K, Johnson GA. Abdominal imaging in free-breathing mice using PROPELLER; 2008 April; Toronto. p. 420. [Google Scholar]
- 9.Carr HY, Purcell EM. Effects of Diffusion on Free Precession in Nuclear Magnetic Resonance Experiments. Phys Rev. 1954;94(3):630–638. [Google Scholar]
- 10.Meiboom S, Gill D. Modified Spin-Echo Method for Measuring Nuclear Relaxation Times. Rev Sci Instrum. 1958;29(8):688–691. [Google Scholar]
- 11.Low RN, Francis IR, Sigeti JS, Foo TK. Abdominal MR imaging: comparison of T2-weighted fast and conventional spin-echo, and contrast-enhanced fast multiplanar spoiled gradient-recalled imaging. Radiology. 1993;186(3):803–811. doi: 10.1148/radiology.186.3.8430191. [DOI] [PubMed] [Google Scholar]
- 12.Vinitski S, Mitchell DG, Einstein SG, Rao VM, Flanders AE, Schweitzer ME, Listerud J, Schnall MD. Conventional and fast spin-echo MR imaging: minimizing echo time. J Magn Reson Imaging. 1993;3(3):501–507. doi: 10.1002/jmri.1880030312. [DOI] [PubMed] [Google Scholar]
- 13.Altbach MI, Outwater EK, Trouard TP, Krupinski EA, Theilmann RJ, Stopeck AT, Kono M, Gmitro AF. Radial fast spin-echo method for T2-weighted imaging and T2 mapping of the liver. J Magn Reson Imaging. 2002;16(2):179–189. doi: 10.1002/jmri.10142. [DOI] [PubMed] [Google Scholar]
- 14.Ito K, Mitchell DG, Outwater EK, Szklaruk J, Sadek AG. Hepatic lesions: discrimination of nonsolid, benign lesions from solid, malignant lesions with heavily T2-weighted fast spin-echo MR imaging. Radiology. 1997;204(3):729–737. doi: 10.1148/radiology.204.3.9280251. [DOI] [PubMed] [Google Scholar]
- 15.McFarland EG, Mayo-Smith WW, Saini S, Hahn PF, Goldberg MA, Lee MJ. Hepatic hemangiomas and malignant tumors: improved differentiation with heavily T2-weighted conventional spin-echo MR imaging. Radiology. 1994;193(1):43–47. doi: 10.1148/radiology.193.1.8090920. [DOI] [PubMed] [Google Scholar]
- 16.Baboi LM, Milot L, Lartizien C, Roche C, Scoazec JY, Pilleul F, Beuf O. Characterization of neuro-endocrine tumors in an athymic nude mouse model using dedicated synchronization strategies for T2-weigted MR imaging at 7T. Conf Proc IEEE Eng Med Biol Soc. 2007;2007:2879–2882. doi: 10.1109/IEMBS.2007.4352930. [DOI] [PubMed] [Google Scholar]
- 17.Inderbitzin D, Stoupis C, Sidler D, Gass M, Candinas D. Abdominal magnetic resonance imaging in small rodents using a clinical 1. 5 T MR scanner. Methods. 2007;43(1):46–53. doi: 10.1016/j.ymeth.2007.03.010. [DOI] [PubMed] [Google Scholar]
- 18.Choe KA, Smith RC, Wilkens K, Constable RT. Motion artifact in T2-weighted fast spin-echo images of the liver: effect on image contrast and reduction of artifact using respiratory triggering in normal volunteers. J Magn Reson Imaging. 1997;7(2):298–302. doi: 10.1002/jmri.1880070207. [DOI] [PubMed] [Google Scholar]
- 19.Keogan MT, Edelman RR. Technologic advances in abdominal MR imaging. Radiology. 2001;220(2):310–320. doi: 10.1148/radiology.220.2.r01au22310. [DOI] [PubMed] [Google Scholar]
- 20.Mai W, Badea CT, Wheeler CT, Hedlund LW, Johnson GA. Effects of breathing and cardiac motion on spatial resolution in the microscopic imaging of rodents. Magn Reson Med. 2005;53(4):858–865. doi: 10.1002/mrm.20400. [DOI] [PubMed] [Google Scholar]
- 21.Cassidy PJ, Schneider JE, Grieve SM, Lygate C, Neubauer S, Clarke K. Assessment of motion gating strategies for mouse magnetic resonance at high magnetic fields. J Magn Reson Imaging. 2004;19(2):229–237. doi: 10.1002/jmri.10454. [DOI] [PubMed] [Google Scholar]
- 22.Glover GH, Pauly JM. Projection reconstruction techniques for reduction of motion effects in MRI. Magn Reson Med. 1992;28(2):275–289. doi: 10.1002/mrm.1910280209. [DOI] [PubMed] [Google Scholar]
- 23.Devaraj A, Pipe JG. Elliptical field-of-view PROPELLER imaging. Magn Reson Med. 2009;62(3):808–814. doi: 10.1002/mrm.22006. [DOI] [PubMed] [Google Scholar]
- 24.Henkelman RM, Hardy PA, Bishop JE, Poon CS, Plewes DB. Why fat is bright in RARE and fast spin-echo imaging. J Magn Reson Imaging. 1992;2(5):533–540. doi: 10.1002/jmri.1880020511. [DOI] [PubMed] [Google Scholar]





