Abstract
Lipooligosaccharides of the gastrointestinal pathogen Campylobacter jejuni are regarded as a major virulence factor and are implicated in the production of cross-reactive antibodies against host gangliosides, which leads to the development of autoimmune neuropathies such as Guillain-Barré and Fisher Syndromes. C. jejuni strains are known to produce diverse LOS structures encoded by more than 19 types of LOS biosynthesis clusters. This study demonstrates that the final C. jejuni LOS structure cannot always be predicted from the genetic composition of the LOS biosynthesis cluster, as determined by novel lectin array analysis of the terminal LOS glycans. The differences were shown to be partially facilitated by the differential on/off status of three genes wlaN, cst and cj1144-45. The on/off status of these genes was also analysed in C. jejuni strains grown in vitro and in vivo, isolated directly from the host animal without passaging, using immunoseparation. Importantly, C. jejuni strains 331, 421 and 520 encoding cluster type C were shown to produce different LOS, mimicking asialo GM1, asialo GM2 and a heterogeneous mix of gangliosides and other glycoconjugates respectively. In addition, individual C. jejuni colonies were shown to consistently produce heterogeneous LOS structures, irrespective of the cluster type and the status of phase variable genes. Furthermore we describe C. jejuni strains (351 and 375) with LOS clusters that do not match any of the previously described LOS clusters, yet are able to produce LOS with asialo GM2-like mimicries. The LOS biosynthesis clusters of these strains are likely to contain genes that code for LOS biosynthesis machinery previously not identified, yet capable of synthesising LOS mimicking gangliosides.
Introduction
Campylobacter induced enteritis is one of the major food borne diseases with increasingly high incidence rates in the developing world [1], [2], [3]. C. jejuni is the most common species of Campylobacter to infect humans. It is well documented that the LOS of some C. jejuni strains structurally mimics human gangliosides, particularly those found in the peripheral nervous system [4], [5], [6]. Approximately 1/1000 patients diagnosed with C. jejuni infection develop Guillain-Barré (GBS) or Fisher (FS) neuropathies due to the induction of anti-ganglioside cross-reactive antibodies [7], [8], [9], [10]. C. jejuni strains have been documented to produce a variety of LOS structures that mimic mammalian gangliosides, including those implicated in GBS (GM1, GM1b, GD1a, GalNAc-GD1a) and FS (GQ1b, GT1a) [10], [11]. Recent studies have also demonstrated that sialylation of C. jejuni LOS plays a key role in the onset of both neuropathies possibly through increased activation of dendritic cells and B cell proliferation that then could lead to the synthesis of cross-reactive antibodies [8], [9]. The genes involved in LOS biosynthesis have been identified following sequencing of the C. jejuni NCTC 11168 genome (GS), a laboratory passaged variant of the original isolate –11168-O [12]. To date, 19 LOS biosynthesis cluster types have been identified with those belonging to the ABC group able to synthesise LOS that induces the production of cross-reactive antibodies [13]. In addition, cluster types M and R contain genes that are required for the synthesis of sialylated LOS structures, but not all have been directly implicated in the development of autoimmune neuropathies.
The differential expression of genes involved in synthesis and modification of surface molecules through single nucleotide mutations is commonly attributed to the diversity of C. jejuni LOS structures observed [14], [15]. Furthermore, it has been suggested that environmental factors such as temperature play an important role in the modulation of bacterial metabolism as a result of the colonisation of different hosts [16], [17], [18]. Accordingly, modification of the surface antigens by C. jejuni through variation of gene expression and modulation of metabolism is a unique adaptation method utilised by the bacterium to promote its survival and persistence.
This study investigated the genetic basis for the production of heterogeneous LOS structures by C. jejuni and the mechanisms involved. Here we show that the terminal LOS structures from six isolates of C. jejuni, identified using a novel lectin array technique, do not fully correspond to the genetic composition of the LOS biosynthesis clusters. Furthermore, the LOS biosynthesis clusters of two human isolates of C. jejuni could not be identified by standard PCR approaches, indicating the presence of LOS cluster types, not previously described in the literature. Furthermore, all isolates were passaged in a co-culture with the human colonic carcinoma cell line (CaCo-2) monolayer to determine if adherence and invasion levels can be influenced by the LOS structure or LOS biosynthesis cluster types. We also analysed the effect of culturing in host adapted conditions on the on/off status of two genes cj1144-45 and wlaN that are associated with the production of variable LOS structures. The on/off status of these genes was analysed in cells isolated directly from animal caeca using immunoseparation.
Results
LOS Biosynthesis Cluster Type Analysis
In order to investigate the correlation between the LOS biosynthesis cluster type and the terminal LOS structures produced by C. jejuni isolates, the LOS biosynthesis clusters of six uncharacterised C. jejuni isolates (C. jejuni 224, 351, 375, 421 and 520– human isolates and C. jejuni 331– a hyper-colonising chicken isolate) were typed using a standard PCR approach. Primer combinations for the PCR typing of the LOS gene clusters were based on the genetic organisation of C. jejuni NCTC 11168, the LOS biosynthesis cluster – type C (Figure 1A). Primer integrity, enabling cluster identification, was confirmed bioinformatically to have the level of sequence similarity required to amplify targeted genes from C. jejuni strains including those that have the LOS biosynthesis clusters A, B, C, M and R. LOS biosynthesis clusters of C. jejuni isolates were then typed by analysing the amplified DNA sequences of orf5 (cgtA), orf6 (wlaN), orf7 (cstIII), orf8 (neuB), orf5/10 (cgtA/neuA), orf12 (waaV), orf14 (cj1137), orf15 (cj1138) and orf16 (cj1144-45), and the overlapping gene fragments I: orf6-orf8 (wlaN-neuB), II: orf14–15 (cj1137-cj1138), III: orf5/10–16 (cgtA/neuA-cj1144-45) IV: orf9-orf5 (neuC-cgtA), V: orf6-orf5/10 (wlaN-cgtA/neuA) and VI: orf5-orf6 (cgtA-wlaN) from each of the genomes, (Figure 1B). Figure 1 shows the results of the PCR amplifications as well as the proposed LOS cluster types for C. jejuni isolates 224, 331, 351, 375, 421 and 520. The LOS biosynthesis cluster type could not be determined for C. jejuni isolates 351 and 375 as only orf12 (waaV) and orf6 (wlaN) could be amplified from their genomes despite reducing the stringency of all the amplifications and multiple optimisations, indicating that these strains may have a novel LOS cluster type.
Figure 1. C. jejuni LOS biosynthesis cluster typing.
A) LOS biosynthesis cluster types A, B, C, R & M and amplified DNA fragments that were used for cluster identification. B) Results of independent (orf5, orf6, orf7, orf8, orf5/10, orf12, orf14, orf15 & orf16) and overlapping (I: orf6-orf8; II: orf14–15; III: orf5/10–16; IV: orf9-orf5/10; V: orf6-orf5/10; VI orf5-orf6) PCR amplifications from the genomes of C. jejuni isolates 224, 331, 351, 375, 421 and 520. Plus (+) symbol denotes a positive result of the PCR amplification judged by the correct DNA fragment size and confirmed by dideoxynucleotide sequencing of the amplified DNA fragment. Minus (−) symbol denotes a negative PCR outcome, suggestive of the gene’s absence or inability to amplify it using low stringency conditions.
C. jejuni strains 331, 421 and 520 were determined to have a LOS biosynthesis cluster type C, identical to the paradigm C. jejuni strain NCTC 11168-GS. C. jejuni 224 was deduced to have a LOS biosynthesis cluster type R by amplifying only orf6 (wlaN), orf7 (cstIII), orf8 (neuB), orf12 (waaV) and orf16 (cj1144-45) (Figure 1B), and the overlapping DNA fragments I: orf6-orf8 (wlaN-neuB) and III: orf5/10–16 (cgtA/neuA-cj1144-45). The amplicons were sequenced using the dideoxynucleotide approach to confirm their identity. The in silico analysis of cstIII DNA sequences from C. jejuni 224 showed that it has 70% and 100% sequence identity with its homologues in C. jejuni strains 84-25, 11168 (cluster type C) and GC149 (cluster type R) respectively. The DNA sequence analysis of cj1144-45 from C. jejuni 224 showed that it has 80% and 98% sequence identity with its homologues in C. jejuni GC149 (cluster type R) and C. jejuni 11168 (cluster type C) respectively. Similarly, the DNA sequence of wlaN from C. jejuni 224 showed it has 89% identity with a partial sequence from C. jejuni GC149 and 98% identity with its homologue in C. jejuni 11168. The PCR amplified nucleotide sequence of orf7 (cstIII – α2,3 sialyltransferase), revealed that the gene translation is interrupted prematurely by an early stop codon (255bp) in C. jejuni strains 331 and 421, unlike C. jejuni strains 224 and 520 where the reading frame is uninterrupted. This suggests that C. jejuni strains 331 and 421 should not be able to sialylate their LOS. Similarly, it was shown that the wlaN DNA sequences were interrupted by an extra guanine residue in the polynucleotide tract in C. jejuni strains 421 and 520. This indicates that these strains are unlikely to produce LOS with GM1-like mimicries. Interestingly, the open reading frame of cj1144-45 from C.jejuni 224 was shown to be uninterrupted in the polynucleotide tract, indicating that C. jejuni 224 has a functional cj1144-45.
Host Effect on the on/off Status of the Phase Variable Genes wlaN and cj1144-45
Generation of antigenic variation by C. jejuni during colonisation of different hosts is generally attributed to differential expression profiles of phase variable genes. To further investigate the phenomenon of variable LOS production by C. jejuni, we have analysed the on/off status of two phase variable genes cj1144-45 and wlaN from the LOS biosynthesis cluster following passage of C. jejuni isolates in different hosts. Unlike previous studies, where host adapted C. jejuni was analysed following an additional passage in laboratory conditions, this study investigated the on/off status of cj1144-45 and wlaN genes by analysing PCR amplified full DNA sequences of these genes from the genomes of six C. jejuni strains (11168-O, 11168-GS, cluster type C; 224, cluster type R; 331, cluster type C; 421 cluster type C and 520, cluster type C) isolated directly from chicken caecal content and the infected CaCo-2 cells by immunoseparation. The six strains containing both cj1144-45 and wlaN genes were selected for this part of the study, in order to investigate whether these genes are phase variable in vivo in different C. jejuni hosts. The baseline on/off profile of cj1144-45 and wlaN genes was determined by analysing the DNA sequence of these genes amplified from the genomes of C. jejuni isolates passaged in laboratory conditions with the growth temperatures adjusted to mimic avian (42°C) and mammalian (37°C) hosts. As shown in Table 1, there was no change in the lengths of cj1144-45 and wlaN homopolymeric tracts following growth in laboratory conditions at either 37°C or 42°C, implying that the on/off status of these genes did not change (cj1144-45-10A/9G tracts “on” in C. jejuni 224; wlaN –8G tract “on” in C. jejuni 11168-O, 11168-GS, 224 and 331).
Table 1. Sequence analysis of polynucleotide tracts of cj1144-45 and wlaN amplified from genomes of passaged C. jejuni strains 11168-O, 11168-GS, 224, 331, 421 and 520.
| Polynucleotide tract lengths | ||||
| Strain | cj1144-45 | wlaN | ||
| 37°C | 42°C | 37°C | 42°C | |
| 11168-O | ||||
| lab conditions | 9A/9G* | 9A/9G | 8G ** | 8G |
| caco-2 | 9A/9G | – | 8G | – |
| chicken | – | 9A/9G | – | 8G |
| 11168-GS **** | ||||
| lab conditions | 9A/8G | 9A/8G | 8G | 8G |
| caco-2 | 9A/9G | – | 8G | – |
| 224 | ||||
| lab conditions | 10A/9G | 10A/9G | 8G | 8G |
| caco-2 | 10A/9G | – | 8G | – |
| chicken | – | 10A/10G | – | 9G |
| 331 | ||||
| lab conditions | 10A/10G | 10A/10G | 8G | 8G |
| caco-2 | 10A/10G | – | 9G | – |
| chicken | – | 10A/10G | – | 9G |
| 421 | ||||
| lab conditions | 10A/10G | 10A/10G | 9G | 9G |
| caco-2 | 10A/10G | – | 9G | – |
| chicken | – | *** | – | 9G |
| 520 | ||||
| lab conditions | 10A/10G | 10A/10G | 9G | 9G |
| caco-2 | 10A/10G | – | 9G | |
| chicken | – | 10A/10G | – | 9G |
(Normal text) denotes the “off” status of the gene, indicating the introduction of an early stop codon due to a frame shift mutation (cj1144-45 10A/10G, 9A/9G or 9A/8G; wlaN 9G).
(Bold text) denotes the “on” status of the gene (cj1144-45 10A/9G or 9A/10G; wlaN 8G).
no data could be obtained for C. jejuni 421 isolated from chicken.
C. jejuni 11168-GS does not colonise chicks.
Analysis of the on/off status of cj1144-45 and wlaN genes following a 5 day colonisation in chickens, and an overnight passage in co-culture with CaCo-2 cells, showed that only C. jejuni strains 11168-GS, 224 and 331 changed the lengths of cj1144-45 and wlaN homopolymeric tracts, whereas strains C. jejuni 11168-O, 421 and 520 showed no change (Table 1). C. jejuni 224 was shown to switch “off” both of its cj1144-45 and wlaN genes following passage in chickens (changing the lengths of polynucleotide tracts from 10A/9G to 10A/10G, and 8G to 9G respectively), while no effect was observed after co-culture with CaCo-2 cells. C. jejuni 331 was found to switch “off” its wlaN gene following passage in chickens and CaCo-2 co-culture (changing the tract length from 8G to 9G) but no change was observed in the polynucleotide tracts of cj1144-45 after either passages where it remained switched off. C. jejuni 11168-GS was found to change the cj1144-45 homopolymeric G-tract length from 8 to 9 guanine residues following co-culture with CaCo-2 cells. This however, had no effect on the translation of the mRNA sequence, as the reading frame remained interrupted. Neither passaging in chickens or co-culture of CaCo-2 cells altered the on/off state of the cj1144-45 and wlaN genes in C. jejuni 11168-GS.
Electrophoretic Analysis of C. jejuni LOS
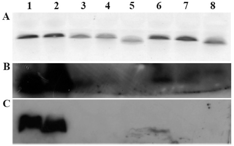
Following typing of the LOS biosynthesis clusters of the C. jejuni isolates 224, 331, 351, 375, 421 and 520, their LOS was analysed and compared to that of the paradigm C. jejuni strains 11168-O and 81–176. Firstly, the LOS forms were analysed by comparing their relative molecular weights and the silver stained banding patterns following Tricine SDS-PAGE (Figure 2A). It is important to note that in order to reduce the heterogeneity of the LOS forms produced, all bacteria were grown at 37°C. Figure 2A shows the inter- and intra-strain diversity of C. jejuni LOS phenotypes and further suggests that the LOS biosynthesis cluster types are not indicative of the final LOS structure. For example: class R C. jejuni strain 224 (lane 2) was shown to produce LOS of a similar molecular weight to the paradigm C. jejuni strain 11168-O LOS (lane 1), which is known to display GM1-like ganglioside mimicry. C. jejuni strains 331 (class C, lane 3), 421 (class C, lane 4) and 375 (lane 6) were shown to produce LOS of similar molecular weight, slightly lower than that of C. jejuni 11168-O. Interestingly, the LOS of C. jejuni 520, also class C, (lane 7) was shown to resolve at a lower molecular weight than that of C. jejuni 11168-O (lane 1) and higher than that of C. jejuni 81–176 (lane 8).
Figure 2. Silver stain (A), CTB blot (B) and PNA blot (C) of resolved LOS from C. jejuni isolates.
Lane 1: C. jejuni 11168-O, lane 2: C. jejuni 224, lane 3: C. jejuni 331, lane 4: C. jejuni 421, lane 5: C. jejuni 351, lane 6: C. jejuni 375, lane 7: C. jejuni 520, lane 8: C. jejuni 81–176.
Lectin Blot Analysis of C. jejuni LOS
In order to further describe the terminal LOS epitopes associated with ganglioside molecular mimicry and to further correlate the terminal LOS structures with LOS biosynthesis cluster types, Tricine-SDS PAGE resolved C. jejuni 224 (cluster type R), 331 (cluster type C), 351 (unknown cluster type), 375 (unknown cluster type), 421 (cluster type C) and 520 (cluster type C) LOS were transferred onto PVDF membrane and probed with CTB lectin (cholera toxin subunit B, CTB – differentially binds LOS with GM1−3-like structures) (Figure 2B) and PNA lectin from Arachis hypogaea (PNA – binds LOS with Galβ1,3GalNAc – terminal structures mimicking GM1 gangliosides) (Figure 2C). C. jejuni 11168-O (lane 1) and 224 LOS (lane 2) were shown to bind both, CTB and PNA, as expected of structures that mimic GM1-like gangliosides. C. jejuni 375 (lane 6) and 520 (lane 7) on the other hand, showed much weaker binding to CTB than C. jejuni 11168-O (lane 1) and 224 (lane 2), indicating that their LOS is likely to be lacking terminal structures such as galactose or sialic acid, which are required for strong binding to CTB. C. jejuni strains 375 (lane 6) and 520 (lane 7) LOS did not bind to PNA, suggesting that they do not have terminal Galβ1,3GalNAc - a moiety distinctive of G(M-Q)1-like structures. C. jejuni isolates 331 (lane 3) and 421 LOS (lane 4) bound CTB, however with much weaker binding than that of C. jejuni 11168-O (lane 1) and 224 (lane 2), which is consistent with the fact that their LOS is missing terminal structures such as terminal galactose or sialic acid. No binding to PNA by C. jejuni 331 (lane 3) and 421 (lane 4) LOS was observed, again suggesting that these LOS molecules do not have a terminal Galβ1,3GalNAc moiety. The clinical isolate C. jejuni 351 LOS (lane 5) exhibited no binding to either CTB or PNA indicating that it does not have a terminal Galβ1,3GalNAc moiety and hence does not mimic GM1-like gangliosides. C. jejuni 81–176 control LOS (lane 8), known to exhibit GM2∼GM3-like ganglioside mimicry, did not bind PNA and only weakly bound CTB, confirming the absence of a terminal galactose typical of a GM2-like structure.
Lectin Array Analysis of C. jejuni Isolates LOS
Lectin blotting and silver stain were initially used for the identification of ganglioside mimicry, molecular weight determination and partial structural characterisation of C. jejuni LOS [14], [17]. Although it is possible to identify heterogeneity of the LOS sample, the data provided by these techniques is limited in the scope of structures characterised [17]. In order to better characterise the molecular mimicries and terminal structures of LOS isolated from C. jejuni strains and to correlate them with the LOS biosynthesis cluster types of these isolates, LOS samples were analysed on a lectin array. As previously described [19] the lectin array consisted of 15 lectins (ABA, ConA, DBA, DSA, ECA, JAC, LFA, MAA, MPA, PNA, SJA, SNA, UEAI, VAA and WGA) and 2 antibodies (anti-GM1 and anti-GM2 IgG) that were selected based on their binding specificities to solve the C. jejuni LOS structures. The lectin specificities and identified terminal LOS structures are shown in Table 2. In order to further validate the lectin array assay, C. jejuni strains 11168-O and 81–176 were used as controls to demonstrate positive identification of known GM1 and GM2-like LOS epitopes respectively. C. jejuni 11168-O LOS bound to anti-GM1 and anti-GM2 antibodies as well as SJA (a subterminal GalNAc binding lectin), MPA (an α-D-Gal/Galβ1,3GalNAc binding lectin) and PNA (Galβ1,3GalNAc binding lectin) confirming that it possesses a GM1-like terminal structure. Furthermore, positive binding to LFA (a sialic acid binding lectin) and MAA (a Neu5Acα2,3Gal binding lectin) correctly identified the presence of an α2,3 linked N-acetylneuraminic acid (Neu5Ac). Strong binding to JAC (an α-D-Gal/Galβ1,3GalNAc binding lectin) and MPA (an α-D-Gal/Galβ1,3GalNAc binding lectin) by C. jejuni 11168-O LOS was indicative of a terminal galactose linked to N-acetylgalactosamine (GalNAc), a moiety specific to the GM1-like structure. C. jejuni 81–176 LOS strongly bound anti-GM2 IgG and LFA (a sialic acid binding lectin) implying that the terminal structure mimics GM2-like ganglioside. In a similar fashion the terminal glycan structures of the LOS for all the other C. jejuni strains were determined (Table 2). C. jejuni 224 (cluster type R) LOS was shown to have GM1-like ganglioside mimicry as it strongly bound to anti-GM1 IgG, LFA, MAA, VAA, PNA and JAC (for specific lectin binding by the LOS refer to Table 2). C. jejuni 331 (cluster type C) LOS was deduced to have a terminal asialo GM1-like ganglioside structure as it bound to PNA and JAC. C. jejuni 351 (unknown cluster type) LOS terminus was found to mimic asialo GM2-like ganglioside as it bound to anti-GM2 IgG, PNA, ECA and JAC. C. jejuni 375 (unknown cluster type) LOS terminal moiety was also shown to exhibit asialo GM2-like ganglioside mimicry as it bound to anti-GM2 IgG, PNA, DSA, SJA and JAC. Similar to C. jejuni 351 and 375, the LOS of C. jejuni 421 (cluster type C) was shown to exhibit asialo GM2-like ganglioside mimicry as it bound to anti-GM2 IgG, PNA, ECA, DSA and JAC. C. jejuni 520 (cluster type C) LOS bound to the majority of lectins (ABA, DBA, DSA, ECA, Jacalin, LFA, MAA, PNA, SJA, SNA, UEAI, VAA and WGA) which indicated that C. jejuni 520 produces a heterogenous mixture of LOS mimicking GM1, GM2, asialo GM1 and asialo GM2-like gangliosides, despite being grown at 37°C, a condition known to minimise heterogeneity [17].
Table 2. Lectin array results.
| Lectin/Antibody | Specificity | 11168-O | 81–176 | 224 | 331 | 351 | 375 | 421 | 520 |
| ABA | β-D-Gal/Gal-GalNAc-serine | – | – | – | – | – | – | – | + |
| Anti-GM1 | GM1 | + | – | + | – | – | – | – | + |
| Anti-GM2 | GM2 | + | + | – | – | + | + | + | + |
| ConA | α−methyl-mannopyranoside > α−D-Man > α−D-Glc | – | – | – | – | – | – | – | – |
| DBA | Terminal α-GalNAc | – | – | – | – | – | – | – | + |
| DSA | GlcNAcβ1,4GlcNAc | + | + | – | – | – | + | + | + |
| ECA | Terminal LacNAc>Lac>GalNAc>Gal, Galβ1,4GlcNAc | + | + | – | – | + | – | + | + |
| JAC | Terminal α−D-Gal/Galβ1,3GalNAc | + | + | + | + | + | + | + | + |
| LFA | Neu5Ac/Neu5Gc | + | + | + | – | – | – | – | + |
| MAA | Neu5Acα2,3Gal | + | – | + | – | – | – | – | + |
| MPA | α-D-Gal/Galα1,6Glc/Galβ1,3GalNAc | + | – | – | – | – | – | – | – |
| PNA | Terminal β-Gal/Galβ1,3GalNAc | + | + | + | + | + | + | + | + |
| SJA | Subterminal GalNAcβ1,6Gal/GalNAc>Gal | + | – | – | – | – | + | – | + |
| SNA | Neu5Acα2,6Gal/Neu5Acα2,6GalNAc/GalNAc = Lac>Gal | – | – | – | – | – | – | – | + |
| UEAI | Terminal α1,2Fuc/Fucα1,2Galβ1,4GlcNAc | – | – | – | – | – | – | – | + |
| VAA | β-D-Gal/minor specificity for Neu5Ac/Gal-GalNAc/GalNAc | – | – | + | – | + | – | – | + |
| WGA | Manβ1,4GlcNAcβ1,4GlcNAc>GlcNAcβ1,4GlcNAc>Neu5Ac>GalNAc | – | – | – | – | – | – | – | + |
| Proposed terminal end structure of LOS | GM1 | GM2 | GM1 | asialo GM1 | asialo GM2 | asialo GM2 | asialo GM2 | Heterogenous * |
Significant binding above the background was observed.
No significant binding above the background level was observed.
Heterogeneity of LOS structures was detected in C. jejuni 520 sample and appears to be a mix of GM1/GM2/asialo GM1/asialo GM2 mimicry.
It is important to note that the PNA binding results on the lectin array (Table 2) appear contradictory to the lectin blot analysis shown in Figure 2C, again showing the limitations of the blotting method. The lectin blot results illustrate the binding of PNA to C. jejuni 11168-O and 224 LOS indicating that both of them have a GM1-like ganglioside mimicry. The LOS of all other isolates (C. jejuni 331, 351, 375, 421 and 520) were shown not to have GM1-like ganglioside mimicry and hence did not bind PNA. In contrast, the lectin array experiment has positively identified strong binding to PNA by the LOS of all strains. PNA has highest specificity for Galβ1,3GalNAc, but still has affinity for all terminal galactose containing structures. The high binding avidity of LOS to lectins, printed on the glass slide, is likely to be due to the high density immobilisation of lectin molecules on the glass slide surface, which allows interactions to be detected that could not be visualised by lectin blot analysis.
SPR Analysis of DBA Interactions with LOS Samples Purified from C. jejuni 520
The binding between DBA lectin and the C. jejuni 520 LOS sample on the lectin array was unexpected as DBA has affinity for terminal α-GalNAc and this structure has not been reported for C. jejuni strains encoding Class C LOS biosynthesis clusters. To further confirm this interaction, we performed binding affinity analysis between purified C. jejuni 520 LOS and DBA using surface plasmon resonance, SPR, analysis (Biacore). The binding affinity was confirmed at Kd of 3 µM, while the negative control assays, featuring DBA with C. jejuni 11168 LOS and purified GM1 from bovine brain, showed interactions at Kd between 1 and 300 mM. This indicates that at least some of the heterogeneous LOS produced by C. jejuni 520 has terminal α-GalNAc.
Invasion and Adherence Assays of C. jejuni Laboratory Strains and Clinical Isolates
LOS has previously been shown to play an important role in adherence and invasion of host cells [20], [21], [22], [23], [24], however, the correlation between the adherence/invasion profiles of C. jejuni strains and their LOS phenotypes, particularly with respect to sialylation is yet to be determined. In order to elucidate whether a correlation exists between the specific type of the terminal structure of the LOS and the ability of C. jejuni to adhere to and invade host cells, adherence and invasion assays were performed on C. jejuni isolates whose LOS terminal structure and LOS biosynthesis cluster type had been earlier identified. The adherence and invasive capacity of C. jejuni isolates 224 (cluster type R), 331 (cluster type C), 351 (unknown cluster type), 375 (unknown cluster type), 421 (cluster type C) and 520 (cluster type C) to CaCo-2 cells were assessed by comparison to C. jejuni paradigm strains 11168-O (cluster type C) and 81–176 (cluster type B). As shown in Figure 3, C. jejuni strains 11168-O, 224 and 520, which were identified as having LOS that mimicked GM1-like gangliosides, displayed similar levels of adherence to CaCo-2 cells, however, the invasiveness of these strains differed (P<0.01) (Figure 3B). C. jejuni isolate 331 which has a LOS that displays asialo GM1-like mimicry was shown to have the lowest level of adherence and invasion (1.0×104 and 0.8 respectively; P<0.01) in comparison to the paradigm stains C. jejuni 11168-O and 81–176. This can be explained by the fact the C. jejuni 331 was isolated from chickens and is therefore not adapted to colonisation of mammalian host. C. jejuni strains 351 and 421 both displaying asialo GM2-like mimicry showed similar levels of adherence to CaCo-2 cells, but were significantly lower than that of C. jejuni 11168-O. Strain C. jejuni 421 was shown to be significantly less invasive (P<0.01) than C. jejuni 351 and C. jejuni 11168-O. C. jejuni strain 375 with an asialo GM2-like LOS had significantly higher levels of adherence to CaCo-2 cells (P<0.01) than C. jejuni strains (351 and 421) that have a similar LOS structure. The adherence of C. jejuni 375 was similar to that of the paradigm C. jejuni strain 81–176 that has GM2-like mimicry, however C. jejuni 375 was shown to be significantly less invasive. The adherence assays showed that there is a correlation between the molecular mimicry of the LOS and the level of adherence to the surface of CaCo-2 cells for the strains tested, demonstrated by similar levels of adherence to CaCo-2 cells by C. jejuni strains 11168-O, 224 and 520 displaying GM1-like ganglioside mimicry. Furthermore it was shown that C. jejuni strains that have sialylated LOS have significantly higher levels of adherence than those with asialo epitopes (P = 1.3×10−4). This is a strong indicator that sialylation of LOS promotes the attachment of C. jejuni to the surface of mammalian cells. Conversely, the current findings indicate that molecular mimicry by C. jejuni LOS does not correlate with the invasion levels observed in strains with analogous LOS structures, with strains demonstrating different levels of invasion in CaCo-2 cells (P>0.05).
Figure 3. Adherence and invasion of C. jejuni strains.
A) Adherence analysis of C. jejuni 11168-O, 81–176, 224, 331, 351, 375, 421 and 520 strains to CaCo-2 cells. B) Invasion analysis of C. jejuni 11168-O, 81–176, 224, 331, 351, 375, 421 and 520 strains into CaCo-2 cells.
Discussion
Antigenic variation of bacterial surface molecules is widely acknowledged to be caused by a variety of mechanisms ranging from the regulation of gene expression to post translational modifications. The genetic basis for the generation of antigenic variation in bacterial surface molecules has been extensively studied over the last decade [14], [15], [25]. Regulation of gene expression by phase variation is documented in Campylobacter spp. as well as other bacteria like Helicobacter pylori, Haemophilus influenzae, Neisseria meningitidis and Escherichia coli [26], [27], [28], [29]. The mechanisms that control gene expression via inactivation of open reading frames without the need for an intrinsic site to introduce the mutation have also been documented in Campylobacter spp. [15], [30]. This study aimed to correlate the genetics encoding the synthesis of LOS in C. jejuni and the actual LOS structures produced by the bacteria. As described earlier, environmental factors can influence gene expression, protein folding, enzymatic activity and generally modulate cell metabolism, possibly as an intended survival/adaptation mechanism employed by the bacterium to enhance its fitness [17].
Our data showed that LOS biosynthesis cluster type C C. jejuni strains NCTC 11168, 421, 520 and 331 enabled production of LOS with different molecular mimicries to the expected GM1∼GM2-like mimicries, such as that of C. jejuni 331 which produces LOS with asialo GM1-like mimicry. The genetic basis for the production of the asialo GM1-like structure was confirmed by DNA sequence analysis of wlaN, cj1144-45 and cst genes. The DNA sequence of wlaN (a β1,3 galactosyltransferase) was uninterrupted by the homopolymeric tract (8G) in strain 331, suggesting that the gene was transcribed fully, and therefore functional. This correlated with the terminal GM1-like Galβ1,3GalNAc moiety identified by lectin array analysis. The DNA sequence of cj1144-45 (a putative α1,4 galactosyltransferase) on the other hand was found to be interrupted by a 10/10 double adenine/guanine tract, resulting in transcriptional inactivation of the gene. This result was consistent with the lectin array data as no terminal α-linked galactose units were identified in the LOS structure. Interestingly, DNA sequence analysis has shown that a cst gene homologue in the genome of C. jejuni 331 is a monofunctional α2,3 sialyltransferase (cstIII), the transcription of which was found to be terminated by an early stop codon [13]. This indicates that C. jejuni 331 should not be able to sialylate its LOS, which was confirmed by lectin analysis.
Furthermore, it was found that in C. jejuni 331 (LOS cluster type C) isolated directly from chicken intestines and CaCo-2 cells, the status of the wlaN was changed to “off” by the introduction of an additional ninth guanine residue into the polynucleotide tract. This is indicative that the strain preferentially produced LOS lacking terminal galactose residue during colonisation of chickens and mammalian cells.
The most remarkable was the LOS of another LOS cluster C C. jejuni strain 520 that was shown to have heterogeneous mix of GM1-like, GM2-like, asialo GM1-like and asialo GM2-like structures. The analysis of the gene sequences coding for the galactosyltransferases WlaN and Cj1144-45, and a sialyltransferase Cst suggests that the variable on/off profiles of these genes are likely to be involved in the production of heterogenous LOS forms. Similar to C. jejuni 421, the transcription of wlaN and the cj1144-45 genes was terminated in C. jejuni 520, which suggests that an unknown galactosyltransferase is likely to play a role in facilitating the production of GM1-like mimicry by C. jejuni 520, a strain lacking genomic sequence data. The availability of additional transferases and the heterogenous nature of the LOS may provide an explanation as to why C. jejuni 520 LOS was able to bind ABA – a lectin with strong affinity for ABO blood antigens and Gal-GalNAc-Ser/Thr moieties with non-specific linkages. As observed for C. jejuni 11168-O the transcription of cstIII (a α2,3 sialyltransferase) in C. jejuni 520 was uninterrupted and therefore its LOS is decorated with sialic acid. C. jejuni 520 also produces non-sialylated LOS forms as its LOS bound to DBA in both array and SPR experiments – a lectin with strong affinity for terminal αGalNAc moieties which is not consistent with GM2-like mimicries. This is indicative of terminal αGalNAc, which is more similar to blood group antigens. To the best of our knowledge this is the first report of a terminal or subterminal αGalNAc detected in C. jejuni LOS. Other C. jejuni surface molecules have been reported to present αGalNAc as a terminal sugar, such as that seen in glycosylated proteins [32], [33]. It is not unusual for C. jejuni to utilise enzymes that support multiple synthesis pathways including genes shared between protein glycosylation, capsular polysaccharide and LOS biosynthesis [34], [35]. Therefore, it is possible to speculate that the LOS biosynthesis machinery of C. jejuni 520 may utilise an enzyme usually involved in the protein glycosylation pathway to incorporate an αGalNAc into the LOS molecule. It is important to note that C. jejuni 520 has an identical LOS biosynthesis cluster type to that seen in C. jejuni 11168. However, these two strains produce a very different range of LOS structures. This further confirms our finding that the LOS biosynthesis cluster type does not allow prediction of LOS structure. High levels of heterogeneity were observed in the LOS forms of C. jejuni 520, even though the strain was grown under conditions that are known to minimise heterogeneity [17].
The C. jejuni human isolate 224 synthesised LOS structures identical to the paradigm C. jejuni strain 11168-O that mimics the structure of the human GM1 ganglioside even though it was demonstrated that C. jejuni 224 has a LOS biosynthesis cluster type R, a variation of cluster type A, with the addition of cj1144-45 (orf16). Unlike all previously tested strains, C. jejuni 224 was shown to have functional cj1144-45, wlaN and cstIII genes. The in silico analysis of cj1144-45, wlaN and cstIII DNA sequences from C. jejuni 224 showed that they have a high level of identity with their homologues in C. jejuni strains 11168 (cluster type C) and GC149 (cluster type R) respectively. This is suggestive of the functional similarity of these genes in C. jejuni strain 224 to characterised homologues in the paradigm strains. The genetic profile indicates that C. jejuni 224 should produce a Gal-GM1-like LOS structure, a phenotype previously not identified in the literature. The lectin array technique used in this study could not confirm the presence of a α1,4 linked terminal galactose residue in the structure of C. jejuni 224 LOS, however, its presence cannot be ruled out [36], [37].
Furthermore, it was observed that C. jejuni 224 had the “on” status of the wlaN gene terminated following the passage in chickens in contrast to CaCo-2 cells, where the “on” state did not change. This indicates that this bacterium preferentially produces LOS variant lacking a terminal galactose residue that promotes colonisation of an avian, but not a mammalian host. This is consistent with other studies describing that as much as 80% of C. jejuni isolated from chickens have transcription of the wlaN gene terminated [31]. However, this result is contradictory to one seen in C. jejuni strain 331 where the wlaN translation was terminated following passage in both chickens and mammalian cells. We strongly believe that differential expression of LOS genes by C. jejuni is strictly situational and no host specific LOS structure exists but rather it is interchanging to benefit the survival of the bacterium during the infection.
Human isolates C. jejuni 351 and 375 were found to produce LOS with asialo GM2-like mimicry as determined by lectin array analysis, however their LOS biosynthesis clusters could not be typed by the standard PCR approach, raising the possibility that some C. jejuni strains are able to produce LOS with structures demonstrating molecular mimicry to human gangliosides whilst having a completely different LOS biosynthesis cluster.
LOS is a primary antigenic molecule on the surface of C. jejuni and it plays a vital role in pathogen-host interactions. Involvement of LOS in adherence and invasion of the host cell is well documented and is of primary interest as it’s one of the major factors that determine the outcome of infection [9], [20], [21], [22], [23], [24]. Furthermore, phenotypic features of LOS such as sialylation have been shown to have a role in the induction of the host immune response through modulation of dendritic cell activation, which highlights the importance LOS in the overall outcome of the infection [8], [9], [21]. This study has documented that not all C. jejuni strains that have LOS biosynthesis cluster type that contains genes required for sialylation of its LOS, will produce a sialylated LOS under different conditions. We also show that there is a strong correlation between the LOS structure and the levels of adherence of C. jejuni to the surface of GI tract cells. C. jejuni strains (11168-O (C), 224 (R) and 520 (C)) which produce at least some LOS mimicking GM1 gangliosides have similar levels of adherence. Likewise, C. jejuni strains producing LOS with some asialo-GM2-mimicry demonstrated similar levels of adherence. On the other hand, C. jejuni strains (11168-O (C), 81–176 (B), 224 and 520 (C)) that have sialylated LOS showed significantly higher levels of adherence than those with asialo epitopes (C. jejuni 331 (C), 351 and 375 (unknown) and 421(C)). This is a strong indicator that sialylation of LOS promotes the attachment of C. jejuni to the surface of cells, most likely through interactions with sialoadhesin [8]. It would be interesting to further observe the role of LOS structure on adherence in both clinical and animal strains of C. jejuni that have a more diverse range of LOS biosynthesis clusters especially those that do not belong to classes A, B, C, M or R.
In summary, we demonstrated that the LOS biosynthesis clusters and the LOS structures produced by C. jejuni isolates 224, 331, 351, 375, 421 and 520 could not be correlated with the final structure of the LOS produced by the bacteria. Furthermore, structural variation in C. jejuni LOS was enhanced by phase variation in the genes coding for galactosyltransferases wlaN and cj1144-45. We have also shown that C. jejuni cells of the same strain can be decorated with more than one species of LOS and that the LOS phenotype is not static. Both of these features can be attributed to variation in the expression of LOS biosynthesis genes, which are facilitated by the response to the bacterium’s immediate environmental conditions. We have also been able to demonstrate that knowledge of the genetic composition of LOS biosynthesis cluster alone would not provide enough information to postulate the LOS structure, and that identification of a single LOS structure from a major sample fraction would not correctly depict the actual capacity of the strain to produce variant forms of LOS. It has been suggested that terminal heterogeneity of the C. jejuni LOS is of critical importance to interactions between the host and the infecting strain [38]. Lectin arrays enable the identification of LOS mimicry and the total capacity of each strain to produce varied LOS structures more effectively than biosynthesis cluster typing, lectin blotting or electrophoretic analysis, and more rapidly than complete structural analysis.
Materials and Methods
Bacterial Strains and Growth Conditions
The original isolate of C. jejuni NCTC 11168 (11168-O, Skirrow culture collection) was kindly supplied by D.J. Newell (Veterinary Laboratories Agency, Weybridge, UK). The human isolate, C. jejuni 81–176, was donated by James G. Fox (Massachusetts Institute of Technology, Cambridge, Massachusetts, USA). C. jejuni clinical isolates 224, 351, 375, 421, 520, and chicken isolate 331 were obtained from the Royal Melbourne Institute of Technology (Melbourne, Vic., Australia) and Griffith University (Gold Coast, Qld., Australia) culture collections. All C. jejuni strains were subcultured no more than once to avoid the influence of passaging. Strains were grown on blood agar, composed of Columbia agar containing 5% (v/v) defibrinated horse blood and Skirrow’s antibiotic supplement (Oxoid), under microaerobic conditions (5% O2, 10% CO2 and 85% N2) at 37°C for 48 h or 42°C for 24 h.
LOS Biosynthesis Cluster Typing
The LOS biosynthesis clusters of C. jejuni isolates were typed by amplifying the open reading frame (orf) DNA sequences 5 (cgtA), 6 (wlaN), 7 (cstIII), 8 (neuB), 5/10 (cgtA/neuA), 12 (waaV), 14 (cj1137), 15 (cj1138) and 16 (cj1144-45) and overlapping gene fragments orf6-orf8 (wlaN-neuB), orf14–15 (cj1137-cj1138), orf5/10–16 (cgtA/neuA-cj1144-45), orf9-orf5 (neuC-cgtA), orf6-orf5/10 (wlaN-cgtA/neuA) and orf5-orf6 (cgtA-wlaN) from each of the genomes using the polymerase chain reaction (PCR). Each amplified DNA fragment combination is specific to a particular cluster type as shown in Figure 1B, hence allowing differentiation between LOS cluster types A, B, C and R as these are thought to produce LOS mimicking human gangliosides. The full gene sequences of orf5 (cgtA), orf8 (neuB), orf9 (neuC) and orf10 (neuA) were amplified, as they are involved in sialylation of LOS. Orf12 (waaV) present in all C. jejuni LOS biosynthesis cluster types was used as a positive control. The presence, as well as the on/off status of orf6 and orf16 encoding phase variable genes wlaN and cj1144-45, respectively, was identified by amplifying and analysing their full gene sequences. C. jejuni LOS biosynthesis cluster type C contains a unique orf14 (cj1138) and orf15 (cj1138) that were also amplified. Primer sequences for amplifying gene fragments were designed based on the published genome of C. jejuni NCTC 11168 (Table 3). Primers were analysed using Primer-BLAST tool (NCBI) to demonstrate that they have sufficient sequence identity with target genes from C. jejuni strains with LOS cluster types A, B, C, M and R. PCR reactions were optimised to contain MgCl2 specific to each primer set (0.5–2 mM) and were performed for 30 cycles of 10 sec of DNA melting, 30 sec of primer annealing optimised to each primer set (45–49°C) and fragment-length specific elongation time at 72°C. Amplified gene fragments were sequenced at the Australian Genome Research Facility (Brisbane, Australia) using a dideoxynucleotide approach on an AB 3730xl platform and the sequences analysed on 4Peaks software package.
Table 3. Primers used for LOS biosynthesis cluster typing.
| Primer name | Primer sequence |
| orf 5 Forward | ATGATGTTACCTGCCATACAAAGAGG |
| orf 5 Reverse | CACGAATTACTTTTTCATCAAGC |
| orf 6 Forward | GTAGTAGATGATTGTGGTAATGATAAA |
| orf 6 Reverse | ATAGAATTGCTATTTACATGCTGG |
| orf 7 Forward | GCTTTGGTATGCGGTAATGGACCTAG |
| orf 7 Reverse | GGAAGTCTAATTAGATCTTTTATTAGC |
| orf 8 Forward | CCTTTGATAATCCCTGAAATAGGT |
| orf 8 Reverse | TCCTTTGCACTTATACCACCTT |
| orf 9 Forward | CAACTAACATGGGATGATTTTGAATG |
| orf 5/10 Forward | GGTGTTATAGGATATAATGATTGTACTGATGG |
| orf 5/10 Reverse | CCTCTGTTGTATCTATATCCAAACTAGC |
| orf 12 Forward | GCCACAACTTTCTATCATAATCCCGC |
| orf 12 Reverse | CGCCATAACTCAAACGCTCATCTATT |
| orf 14 Forward | GCTAGAACACCCTAAAGTGACTAA |
| orf 14 Reverse | TGGCACTAAATTGTAATAAATGGC |
| orf 15 Forward | GGTTATGTATATATGAAAACCGTAGTAGGTG |
| orf 15 Reverse | AATTTAATTCCGTAAAGATATTAAAAATTTC |
| orf 16 Forward | GGGTTGATGAAGCAAGAAATTAG |
| orf 16 Reverse | GTTTGGATATAGATACAACAGAGG |
LOS Preparations
Columbia blood agar-grown bacteria were harvested in 1 mL of sterile water, washed once in 1 mL of sterile water, and lysed by heating to 100°C for 5 min followed by proteinase K treatment overnight as previously described [17]. Prior to lysis, samples were adjusted for numbers of bacteria using the OD600 measurements of bacterial suspensions. Note that in order to reduce the heterogeneity of LOS forms present in the sample, all bacteria were grown at 37°C.
Electrophoretic Analysis
Samples containing equal quantities of LOS were resolved on 10% (v/v) SDS-PAGE containing urea (6 M) and tricine (0.3 mM) (Tricine-SDS-PAGE) with Tricine-containing cathode buffer as previously described [17]. Following electrophoresis of LOS samples, the gels were fixed and the resolved molecules were detected using carbohydrate silver staining.
Lectin Blotting
Tricine SDS-PAGE fractionated C. jejuni LOS was transferred onto Pall® PVDF membrane and was detected with horseradish peroxidase-(HRP-) conjugated cholera toxin subunit B (CTB) (3 µg mL−1) and with HRP-conjugated PNA (lectin from Arachis hypogaea) (5 µg mL−1) as previously described [17]. Membranes were developed using HRP Color Development Solution (Bio-Rad) or SuperSignal HRP Chemiluminescent Substrate (Thermo Scientific) according to the manufacturer’s instructions.
Lectin Array Analysis
LOS samples were labelled with the lipophilic dye BODIPY® TR methyl ester (Invitrogen) as described by Semchenko et al., [19]. LOS (5 µg) was labelled in the 0.1 µM solution the BODIPY® TR methyl ester (5 mM) in the final volume of 5 µL of milli-Q water for 10 min at room temperature prior to its direct application to printed lectin arrays. Following labelling, samples were diluted in 195 µL (1∶40) of milli-Q water and applied to the array slide separated with 25 µL gene frames (Thermo Scientific). LOS was incubated on the arrays for 10 minutes, followed by 3 washes with milli-Q water containing 0.1% Tween 20 (v/v). Controls for the BODIPY and unlabelled LOS were also applied to the array and washed in the same way. Image acquisition and data processing were performed using the ProScanArray Microarray 4-Laser Scanner and the ProScanArray imaging software ScanArray Express from PerkinElmer as described previously [16], [19]. Analysis was limited to the presence or absence of binding to lectin spots across a 1∶2 serial dilution rather than absolute binding levels. All positive binding spots were confirmed by visual inspection of the array and tested significantly above the background, which was confirmed by two-tailed unpaired T-test in Microsoft Excel. Lectin array analyses were performed a minimum of two times per LOS sample.
Biacore Affinity Analysis
The affinity of C. jejuni 520 LOS to the lectin DBA was tested using surface Plasmon resonance methodology on a Biacore T100 (GE). A series S sensor chip L1 (GE) was chosen for the analysis of the lipid containing molecules. E. coli lipidA at 0.75 mg/mL (Sigma-Aldrich) was used as a non glycosylated control for background subtraction on flow cell 1. LOS from C. jejuni 520 and 11168 at 0.75 mg/mL, which were produced as described above, were immobilised on flow cells 2 and 3 respectively. A negative binding control of purified bovine GM1 ganglioside at 0.75 mg/mL (Sigma-Aldrich) was immobilised on flow cell 4. A standard L1 capture and sample analysis method was used from within the Biacore T100 control software. DBA was used in a 5-fold serial dilution starting from 0.1 mg/mL in PBS contain 2 mM Ca2+ and Mg2+. Immobilisation was performed for 100 seconds at a flow rate of 10 uL/minute. The DBA sample was run at a flow rate of 30 uL/minute for a total contact time of 60 seconds. A base line control was obtained using the same PBS used to dilute the DBA. The running buffer used was PBS contain 2 mM Ca2+ and Mg2+. Analysis was carried out using the Biacore T100 evaluation software surface bound affinity/kinetics tool. Affinities were determined for each of the flow cells tested, using flow cell one as a base line subtraction.
Adherence and Invasion Assays
Adherence and invasion assays were performed using the previously described method in [39]. A confluent monolayer of CaCo-2 (ATCC) cells was inoculated across six wells with 100 µL of 1×108 per mL of bacteria in each well. Infected cells were then incubated at 37°C for 1 h to allow for passive adherence and internalisation. Control assays were performed using E. coli in same manner (data not shown). All assays were performed at least twice. The data was transformed using natural log function in order to address the variance issue as determined by the Levene’s test. Statistical analysis of the adherence and invasion data was performed using two-tailed unpaired T-test in Microsoft Excel.
Chicken Infection Study
Day old Ross chicks were inoculated with 1×108 cfu of bacteria. Caecal content was collected from sacrificed animals following 5 days of colonisation as approved by the Griffith University Animal Ethics Committee (GU Ref No: BDD/02/10/AEC). Bacteria were extracted from the caecal content using Dynabeads® (Invitrogen) coated with whole anti-C. jejuni IgG [40]. The on/off status of phase variable genes cj1144-45 and wlaN from the extracted bacteria was determined by PCR as described above.
Footnotes
Competing Interests: The authors have declared that no competing interests exist.
Funding: This study was funded by an Australian Postgraduate Award (to EAS) and a Griffith University Postdoctoral Research Fellowship (to CJD). The funders had no role in study design, data collection and analysis, decision to publish, or preparation of the manuscript.
References
- 1.Shahrizaila N, Yuki N. The role of immunotherapy in Guillain-Barré syndrome: understanding the mechanism of action. Expert Opin Pharmacother. 2011;12:1551–1560. doi: 10.1517/14656566.2011.564160. [DOI] [PubMed] [Google Scholar]
- 2.Humphrey T, O’Brien S, Madsen M. Campylobacters as zoonotic pathogens: a food production perspective. Int J Food Microbiol. 2007;117:237–257. doi: 10.1016/j.ijfoodmicro.2007.01.006. [DOI] [PubMed] [Google Scholar]
- 3.Blaser MJ, Berkowitz ID, LaForce FM, Cravens J, Reller LB, et al. Campylobacter enteritis: clinical and epidemiologic features. Ann Intern Med. 1979;91:179–185. doi: 10.7326/0003-4819-91-2-179. [DOI] [PubMed] [Google Scholar]
- 4.Prendergast MM, Moran AP. Lipopolysaccharides in the development of the Guillain-Barré syndrome and Miller Fisher syndrome forms of acute inflammatory peripheral neuropathies. J Endotoxin Res. 2000;6:341–359. [PubMed] [Google Scholar]
- 5.Nachamkin I, Allos BM, Ho T. Campylobacter species and Guillain-Barré syndrome. Clin Microbiol Rev. 1998;11:555–567. doi: 10.1128/cmr.11.3.555. [DOI] [PMC free article] [PubMed] [Google Scholar]
- 6.Moran AP, Annuk H, Prendergast MM. Antibodies induced by ganglioside-mimicking Campylobacter jejuni lipooligosaccharides recognise epitopes at the nodes of Ranvier. J Neuroimmunol. 2005;165:179–185. doi: 10.1016/j.jneuroim.2005.04.013. [DOI] [PubMed] [Google Scholar]
- 7.Yuki N, Susuki K, Koga M, Nishimoto Y, Odaka M, et al. Carbohydrate mimicry between human ganglioside GM1 and Campylobacter jejuni lipooligosaccharide causes Guillain-Barré syndrome. Proc Natl Acad Sci U S A. 2004;101:11404–11409. doi: 10.1073/pnas.0402391101. [DOI] [PMC free article] [PubMed] [Google Scholar]
- 8.Heikema AP, Bergman MP, Richards H, Crocker PR, Gilbert M, et al. Characterization of the specific interaction between sialoadhesin and sialylated Campylobacter jejuni lipooligosaccharides. Infect Immun. 2010;78:3237–3246. doi: 10.1128/IAI.01273-09. [DOI] [PMC free article] [PubMed] [Google Scholar]
- 9.Kuijf ML, Samsom JN, van Rijs W, Bax M, Huizinga R, et al. TLR4-mediated sensing of Campylobacter jejuni by dendritic cells is determined by sialylation. J Immunol. 2010;185:748–755. doi: 10.4049/jimmunol.0903014. [DOI] [PubMed] [Google Scholar]
- 10.Yuki N. Human gangliosides and bacterial lipo-oligosaccharides in the development of autoimmune neuropathies. Methods Mol Biol. 2010;600:51–65. doi: 10.1007/978-1-60761-454-8_4. [DOI] [PubMed] [Google Scholar]
- 11.Fujikawa K, Nakashima S, Konishi M, Fuse T, Komura N, et al. The first total synthesis of ganglioside GalNAc-GD1a, a target molecule for autoantibodies in Guillain-Barré syndrome. Chemistry. 2011;17:5641–5651. doi: 10.1002/chem.201003357. [DOI] [PubMed] [Google Scholar]
- 12.Parkhill J, Wren BW, Mungall K, Ketley JM, Churcher C, et al. The genome sequence of the food-borne pathogen Campylobacter jejuni reveals hypervariable sequences. Nature. 2000;403:665–668. doi: 10.1038/35001088. [DOI] [PubMed] [Google Scholar]
- 13.Gilbert M, Brisson JR, Karwaski MF, Michniewicz J, Cunningham AM, et al. Biosynthesis of ganglioside mimics in Campylobacter jejuni OH4384. Identification of the glycosyltransferase genes, enzymatic synthesis of model compounds, and characterization of nanomole amounts by 600-mhz (1)h and (13)c NMR analysis. J Biol Chem. 2000;275:3896–3906. doi: 10.1074/jbc.275.6.3896. [DOI] [PubMed] [Google Scholar]
- 14.Linton D, Gilbert M, Hitchen PG, Dell A, Morris HR, et al. Phase variation of a beta-1,3 galactosyltransferase involved in generation of the ganglioside GM1-like lipo-oligosaccharide of Campylobacter jejuni. Mol Microbiol. 2000;37:501–514. doi: 10.1046/j.1365-2958.2000.02020.x. [DOI] [PubMed] [Google Scholar]
- 15.Gilbert M, Karwaski MF, Bernatchez S, Young NM, Taboada E, et al. The genetic bases for the variation in the lipo-oligosaccharide of the mucosal pathogen, Campylobacter jejuni. Biosynthesis of sialylated ganglioside mimics in the core oligosaccharide. J Biol Chem. 2002;277:327–337. doi: 10.1074/jbc.M108452200. [DOI] [PubMed] [Google Scholar]
- 16.Day CJ, Tiralongo J, Hartnell RD, Logue CA, Wilson JC, et al. Differential carbohydrate recognition by Campylobacter jejuni strain 11168: influences of temperature and growth conditions. PLoS One. 2009;4:e4927. doi: 10.1371/journal.pone.0004927. [DOI] [PMC free article] [PubMed] [Google Scholar]
- 17.Semchenko EA, Day CJ, Wilson JC, Grice ID, Moran AP, et al. Temperature-dependent phenotypic variation of Campylobacter jejuni lipooligosaccharides. BMC Microbiol. 2010;10:305. doi: 10.1186/1471-2180-10-305. [DOI] [PMC free article] [PubMed] [Google Scholar]
- 18.Stintzi A. Gene expression profile of Campylobacter jejuni in response to growth temperature variation. J Bacteriol. 2003;185:2009–2016. doi: 10.1128/JB.185.6.2009-2016.2003. [DOI] [PMC free article] [PubMed] [Google Scholar]
- 19.Semchenko EA, Moutin M, Korolik V, Tiralongo J, Day CJ. Lectin array analysis of purified lipooligosaccharide: a method for the determination of molecular mimicry. Journal of Glycomics and Lipidomics. 2011;1:5. [Google Scholar]
- 20.Guerry P, Szymanski CM, Prendergast MM, Hickey TE, Ewing CP, et al. Phase variation of Campylobacter jejuni 81–176 lipooligosaccharide affects ganglioside mimicry and invasiveness in vitro. Infect Immun. 2002;70:787–793. doi: 10.1128/iai.70.2.787-793.2002. [DOI] [PMC free article] [PubMed] [Google Scholar]
- 21.Louwen R, Heikema A, van Belkum A, Ott A, Gilbert M, et al. The sialylated lipooligosaccharide outer core in Campylobacter jejuni is an important determinant for epithelial cell invasion. Infect Immun. 2008;76:4431–4438. doi: 10.1128/IAI.00321-08. [DOI] [PMC free article] [PubMed] [Google Scholar]
- 22.Muller J, Meyer B, Hanel I, Hotzel H. Comparison of lipooligosaccharide biosynthesis genes of Campylobacter jejuni strains with varying abilities to colonize the chicken gut and to invade Caco-2 cells. J Med Microbiol. 2007;56:1589–1594. doi: 10.1099/jmm.0.47305-0. [DOI] [PubMed] [Google Scholar]
- 23.Fry BN, Feng S, Chen YY, Newell DG, Coloe PJ, et al. The galE gene of Campylobacter jejuni is involved in lipopolysaccharide synthesis and virulence. Infect Immun. 2000;68:2594–2601. doi: 10.1128/iai.68.5.2594-2601.2000. [DOI] [PMC free article] [PubMed] [Google Scholar]
- 24.McSweegan E, Walker RI. Identification and characterization of two Campylobacter jejuni adhesins for cellular and mucous substrates. Infect Immun. 1986;53:141–148. doi: 10.1128/iai.53.1.141-148.1986. [DOI] [PMC free article] [PubMed] [Google Scholar]
- 25.Houliston RS, Vinogradov E, Dzieciatkowska M, Li J, St Michael F, et al. Lipooligosaccharide of Campylobacter jejuni: similarity with multiple types of mammalian glycans beyond gangliosides. J Biol Chem. 2011;286:12361–12370. doi: 10.1074/jbc.M110.181750. [DOI] [PMC free article] [PubMed] [Google Scholar]
- 26.Hammerschmidt S, Muller A, Sillmann H, Muhlenhoff M, Borrow R, et al. Capsule phase variation in Neisseria meningitidis serogroup B by slipped-strand mispairing in the polysialyltransferase gene (siaD): correlation with bacterial invasion and the outbreak of meningococcal disease. Mol Microbiol. 1996;20:1211–1220. doi: 10.1111/j.1365-2958.1996.tb02641.x. [DOI] [PubMed] [Google Scholar]
- 27.Holden N, Totsika M, Dixon L, Catherwood K, Gally DL. Regulation of P-fimbrial phase variation frequencies in Escherichia coli CFT073. Infect Immun. 2007;75:3325–3334. doi: 10.1128/IAI.01989-06. [DOI] [PMC free article] [PubMed] [Google Scholar]
- 28.Weiser JN, Love JM, Moxon ER. The molecular mechanism of phase variation of H. influenzae lipopolysaccharide. Cell. 1989;59:657–665. doi: 10.1016/0092-8674(89)90011-1. [DOI] [PubMed] [Google Scholar]
- 29.Appelmelk BJ, Shiberu B, Trinks C, Tapsi N, Zheng PY, et al. Phase variation in Helicobacter pylori lipopolysaccharide. Infect Immun. 1998;66:70–76. doi: 10.1128/iai.66.1.70-76.1998. [DOI] [PMC free article] [PubMed] [Google Scholar]
- 30.van der Woude MW, Baumler AJ. Phase and antigenic variation in bacteria. Clin Microbiol Rev. 2004;17:581–611. doi: 10.1128/CMR.17.3.581-611.2004. [DOI] [PMC free article] [PubMed] [Google Scholar]
- 31.Wilson DL, Rathinam VA, Qi W, Wick LM, Landgraf J, et al. Genetic diversity in Campylobacter jejuni is associated with differential colonization of broiler chickens and C57BL/6J IL10-deficient mice. Microbiology. 2010;156:2046–2057. doi: 10.1099/mic.0.035717-0. [DOI] [PMC free article] [PubMed] [Google Scholar]
- 32.Glover KJ, Weerapana E, Imperiali B. In vitro assembly of the undecaprenylpyrophosphate-linked heptasaccharide for prokaryotic N-linked glycosylation. Proc Natl Acad Sci U S A. 2005;102:14255–14259. doi: 10.1073/pnas.0507311102. [DOI] [PMC free article] [PubMed] [Google Scholar]
- 33.Kowarik M, Young NM, Numao S, Schulz BL, Hug I, et al. Definition of the bacterial N-glycosylation site consensus sequence. EMBO J. 2006;25:1957–1966. doi: 10.1038/sj.emboj.7601087. [DOI] [PMC free article] [PubMed] [Google Scholar]
- 34.Kanipes MI, Papp-Szabo E, Guerry P, Monteiro MA. Mutation of waaC, encoding heptosyltransferase I in Campylobacter jejuni 81–176, affects the structure of both lipooligosaccharide and capsular carbohydrate. J Bacteriol. 2006;188:3273–3279. doi: 10.1128/JB.188.9.3273-3279.2006. [DOI] [PMC free article] [PubMed] [Google Scholar]
- 35.Bernatchez S, Szymanski CM, Ishiyama N, Li J, Jarrell HC, et al. A single bifunctional UDP-GlcNAc/Glc 4-epimerase supports the synthesis of three cell surface glycoconjugates in Campylobacter jejuni. J Biol Chem. 2005;280:4792–4802. doi: 10.1074/jbc.M407767200. [DOI] [PubMed] [Google Scholar]
- 36.Hagiwara K, Collet-Cassart D, Kobayashi K, Vaerman JP. Jacalin: isolation, characterization, and influence of various factors on its interaction with human IgA1, as assessed by precipitation and latex agglutination. Mol Immunol. 1988;25:69–83. doi: 10.1016/0161-5890(88)90092-2. [DOI] [PubMed] [Google Scholar]
- 37.Lis H, Sharon N. Erythrina lectins. Methods Enzymol. 1987;138:544–551. doi: 10.1016/0076-6879(87)38049-8. [DOI] [PubMed] [Google Scholar]
- 38.Day CJ, Semchenko EA, Korolik V. Glycoconjugates play a key role in Campylobacter jejuni infection: interactions between host and pathogen. Front Cell Inf Microbio 2. 2012. [DOI] [PMC free article] [PubMed]
- 39.Hartley-Tassell LE, Shewell LK, Day CJ, Wilson JC, Sandhu R, et al. Identification and characterization of the aspartate chemosensory receptor of Campylobacter jejuni. Mol Microbiol. 2010;75:710–730. doi: 10.1111/j.1365-2958.2009.07010.x. [DOI] [PubMed] [Google Scholar]
- 40.King RM, Day CJ, Hartley-Tassell LE, Connerton IF, Tiralongo J, et al. (Final revision) Carbohydrate binding and gene expression by in vitro and in vivo propagated Campylobacter jejuni after Immunomagnetic Separation. Journal of Basic Microbiology. [DOI] [PubMed]



